About   Help   FAQ
Gene Expression Data
Assay Details
Assay
Reference: J:228563 Koscielny G, et al., The International Mouse Phenotyping Consortium Web Portal, a unified point of access for knockout mice and related phenotyping data. Nucleic Acids Res. 2014 Jan;42(Database issue):D802-9
Assay type: In situ reporter (knock in)
MGI Accession ID: MGI:6692412
Gene symbol: Bbs4
Gene name: Bardet-Biedl syndrome 4
Reporter: lacZ
Direct Detection
Results
Specimen JAX_900631: embryonic day 12.5; Bbs4tm1b(EUCOMM)Hmgu/Bbs4+ (more )
Structure Level Pattern Image Note
TS20: embryo Present JAX_900631

Specimen JAX_900633: embryonic day 12.5; Bbs4tm1b(EUCOMM)Hmgu/Bbs4+ (more )
Structure Level Pattern Image Note
TS20: embryo Present JAX_900633

Specimen JAX_900635: embryonic day 12.5; Bbs4tm1b(EUCOMM)Hmgu/Bbs4+ (more )
Structure Level Pattern Image Note
TS20: embryo Present JAX_900635

Specimen JAX_900637: embryonic day 12.5; Bbs4tm1b(EUCOMM)Hmgu/Bbs4+ (more )
Structure Level Pattern Image Note
TS20: embryo Present JAX_900637

Specimen JAX_1122791: postnatal adult; Bbs4tm1b(EUCOMM)Hmgu/Bbs4+ (more )
Structure Level Pattern Image Note
TS28: thalamus Present JAX_1122791

Specimen JAX_1122793: postnatal adult; Bbs4tm1b(EUCOMM)Hmgu/Bbs4+ (more )
Structure Level Pattern Image Note
TS28: midbrain Present JAX_1122793

Specimen JAX_1122795: postnatal adult; Bbs4tm1b(EUCOMM)Hmgu/Bbs4+ (more )
Structure Level Pattern Image Note
TS28: vascular system Present JAX_1122795

Specimen JAX_1122797: postnatal adult; Bbs4tm1b(EUCOMM)Hmgu/Bbs4+ (more )
Structure Level Pattern Image Note
TS28: corpus striatum Present JAX_1122797

Specimen JAX_1122799: postnatal adult; Bbs4tm1b(EUCOMM)Hmgu/Bbs4+ (more )
Structure Level Pattern Image Note
TS28: peripheral nervous system Present JAX_1122799

Specimen JAX_1122801: postnatal adult; Bbs4tm1b(EUCOMM)Hmgu/Bbs4+ (more )
Structure Level Pattern Image Note
TS28: olfactory lobe Present JAX_1122801

Specimen JAX_1122803: postnatal adult; Bbs4tm1b(EUCOMM)Hmgu/Bbs4+ (more )
Structure Level Pattern Image Note
TS28: hypothalamus Present JAX_1122803

Specimen JAX_1122805: postnatal adult; Bbs4tm1b(EUCOMM)Hmgu/Bbs4+ (more )
Structure Level Pattern Image Note
TS28: hippocampus Present JAX_1122805

Specimen JAX_1122807: postnatal adult; Bbs4tm1b(EUCOMM)Hmgu/Bbs4+ (more )
Structure Level Pattern Image Note
TS28: cerebellum Present JAX_1122807

Specimen JAX_1122809: postnatal adult; Bbs4tm1b(EUCOMM)Hmgu/Bbs4+ (more )
Structure Level Pattern Image Note
TS28: cerebral cortex Present JAX_1122809

Specimen JAX_1122811: postnatal adult; Bbs4tm1b(EUCOMM)Hmgu/Bbs4+ (more )
Structure Level Pattern Image Note
TS28: cartilage Present JAX_1122811

Specimen JAX_1122813: postnatal adult; Bbs4tm1b(EUCOMM)Hmgu/Bbs4+ (more )
Structure Level Pattern Image Note
TS28: brainstem Present JAX_1122813

Specimen JAX_1122815: postnatal adult; Bbs4tm1b(EUCOMM)Hmgu/Bbs4+ (more )
Structure Level Pattern Image Note
TS28: lung Present JAX_1122815

Specimen JAX_1122817: postnatal adult; Bbs4tm1b(EUCOMM)Hmgu/Bbs4+ (more )
Structure Level Pattern Image Note
TS28: small intestine Present JAX_1122817

Specimen JAX_1122819: postnatal adult; Bbs4tm1b(EUCOMM)Hmgu/Bbs4+ (more )
Structure Level Pattern Image Note
TS28: pituitary gland Present JAX_1122819

Specimen JAX_1122821: postnatal adult; Bbs4tm1b(EUCOMM)Hmgu/Bbs4+ (more )
Structure Level Pattern Image Note
TS28: spinal cord Present JAX_1122821

Specimen JAX_1122823: postnatal adult; Bbs4tm1b(EUCOMM)Hmgu/Bbs4+ (more )
Structure Level Pattern Image Note
TS28: uterus Present JAX_1122823

Specimen JAX_1122825: postnatal adult; Bbs4tm1b(EUCOMM)Hmgu/Bbs4+ (more )
Structure Level Pattern Image Note
TS28: trachea Present JAX_1122825

Specimen JAX_1122827: postnatal adult; Bbs4tm1b(EUCOMM)Hmgu/Bbs4+ (more )
Structure Level Pattern Image Note
TS28: stomach Present JAX_1122827

Specimen JAX_1122829: postnatal adult; Bbs4tm1b(EUCOMM)Hmgu/Bbs4+ (more )
Structure Level Pattern Image Note
TS28: oviduct Present JAX_1122829

Specimen JAX_1122833: postnatal adult; Bbs4tm1b(EUCOMM)Hmgu/Bbs4+ (more )
Structure Level Pattern Image Note
TS28: metanephros Present JAX_1122833 kidney

Specimen JAX_1122835: postnatal adult; Bbs4tm1b(EUCOMM)Hmgu/Bbs4+ (more )
Structure Level Pattern Image Note
TS28: eye Present JAX_1122835

Specimen JAX_1122837: postnatal adult; Bbs4tm1b(EUCOMM)Hmgu/Bbs4+ (more )
Structure Level Pattern Image Note
TS28: brain Present JAX_1122837

Specimen JAX_1122839: postnatal adult; Bbs4tm1b(EUCOMM)Hmgu/Bbs4+ (more )
Structure Level Pattern Image Note
TS28: adrenal gland Present JAX_1122839

Specimen JAX_1122841: postnatal adult; Bbs4tm1b(EUCOMM)Hmgu/Bbs4+ (more )
Structure Level Pattern Image Note
TS28: epididymis Present JAX_1122841

Specimen JAX_1122843: postnatal adult; Bbs4tm1b(EUCOMM)Hmgu/Bbs4+ (more )
Structure Level Pattern Image Note
TS28: bladder Present JAX_1122843

Specimen JAX_1122845: postnatal adult; Bbs4tm1b(EUCOMM)Hmgu/Bbs4+ (more )
Structure Level Pattern Image Note
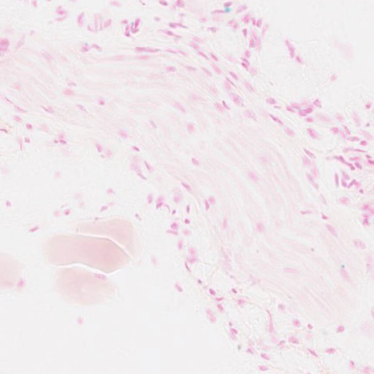
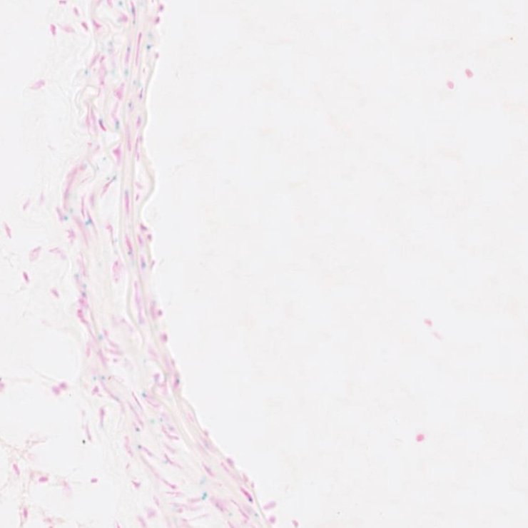
TS28: aorta Present JAX_1122845

Specimen JAX_1122847: postnatal adult; Bbs4tm1b(EUCOMM)Hmgu/Bbs4+ (more )
Structure Level Pattern Image Note
TS28: large intestine Present JAX_1122847

Specimen JAX_1122849: postnatal adult; Bbs4tm1b(EUCOMM)Hmgu/Bbs4+ (more )
Structure Level Pattern Image Note
TS28: testis Present JAX_1122849

Specimen JAX_1122851: postnatal adult; Bbs4tm1b(EUCOMM)Hmgu/Bbs4+ (more )
Structure Level Pattern Image Note
TS28: heart Present JAX_1122851


Contributing Projects:
Mouse Genome Database (MGD), Gene Expression Database (GXD), Mouse Models of Human Cancer database (MMHCdb) (formerly Mouse Tumor Biology (MTB)), Gene Ontology (GO)
Citing These Resources
Funding Information
Warranty Disclaimer, Privacy Notice, Licensing, & Copyright
Send questions and comments to User Support.
last database update
03/24/2026
MGI 6.24
The Jackson Laboratory