About   Help   FAQ
Gene Expression Data
Assay Details
Assay
Reference: J:228563 Koscielny G, et al., The International Mouse Phenotyping Consortium Web Portal, a unified point of access for knockout mice and related phenotyping data. Nucleic Acids Res. 2014 Jan;42(Database issue):D802-9
Assay type: In situ reporter (knock in)
MGI Accession ID: MGI:6692397
Gene symbol: Ric8a
Gene name: RIC8 guanine nucleotide exchange factor A
Reporter: lacZ
Direct Detection
Results
Specimen JAX_1314200: embryonic day 12.5; Ric8atm1b(KOMP)Wtsi/Ric8a+ (more )
Structure Level Pattern Image Note
TS20: embryo Present JAX_1314200

Specimen JAX_1314201: embryonic day 12.5; Ric8atm1b(KOMP)Wtsi/Ric8a+ (more )
Structure Level Pattern Image Note
TS20: embryo Present JAX_1314201

Specimen JAX_1314202: embryonic day 12.5; Ric8atm1b(KOMP)Wtsi/Ric8a+ (more )
Structure Level Pattern Image Note
TS20: embryo Present JAX_1314202

Specimen JAX_1314203: embryonic day 12.5; Ric8atm1b(KOMP)Wtsi/Ric8a+ (more )
Structure Level Pattern Image Note
TS20: embryo Present JAX_1314203

Specimen JAX_1125105: embryonic day 12.5; Ric8atm1b(KOMP)Wtsi/Ric8a+ (more )
Structure Level Pattern Image Note
TS20: embryo Present JAX_1125105

Specimen JAX_1125107: embryonic day 12.5; Ric8atm1b(KOMP)Wtsi/Ric8a+ (more )
Structure Level Pattern Image Note
TS20: embryo Present JAX_1125107

Specimen JAX_1125109: embryonic day 12.5; Ric8atm1b(KOMP)Wtsi/Ric8a+ (more )
Structure Level Pattern Image Note
TS20: embryo Present JAX_1125109

Specimen JAX_1125111: embryonic day 12.5; Ric8atm1b(KOMP)Wtsi/Ric8a+ (more )
Structure Level Pattern Image Note
TS20: embryo Present JAX_1125111

Specimen JAX_1125065: postnatal adult; Ric8atm1b(KOMP)Wtsi/Ric8a+ (more )
Structure Level Pattern Image Note
TS28: bladder Present JAX_1125065

Specimen JAX_1125067: postnatal adult; Ric8atm1b(KOMP)Wtsi/Ric8a+ (more )
Structure Level Pattern Image Note
TS28: peripheral nervous system Present JAX_1125067

Specimen JAX_1125069: postnatal adult; Ric8atm1b(KOMP)Wtsi/Ric8a+ (more )
Structure Level Pattern Image Note
TS28: olfactory lobe Present JAX_1125069

Specimen JAX_1125071: postnatal adult; Ric8atm1b(KOMP)Wtsi/Ric8a+ (more )
Structure Level Pattern Image Note
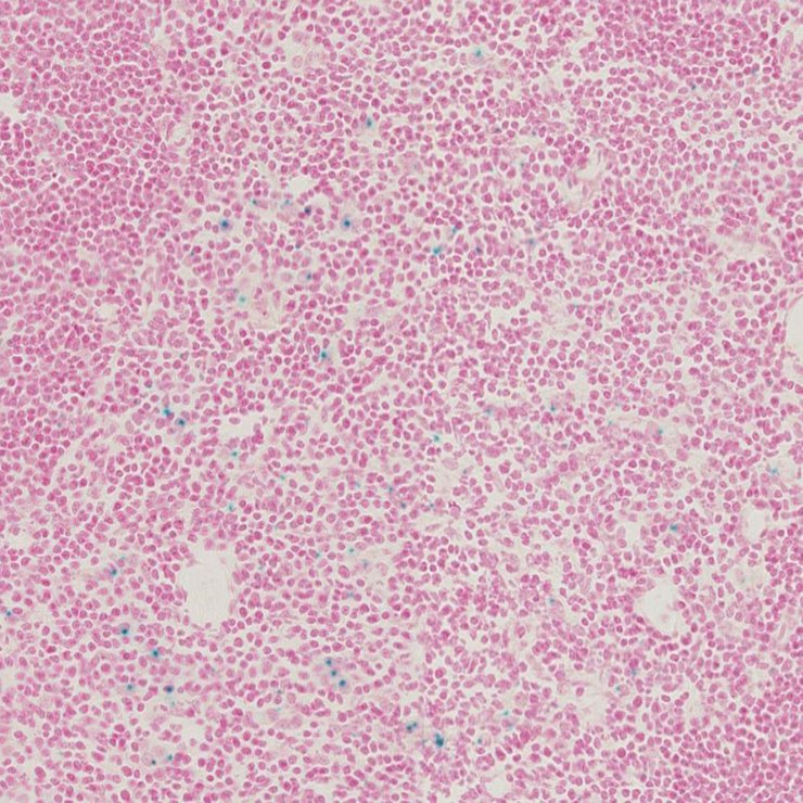
TS28: spleen Present JAX_1125071

Specimen JAX_1125073: postnatal adult; Ric8atm1b(KOMP)Wtsi/Ric8a+ (more )
Structure Level Pattern Image Note
TS28: pancreas Present JAX_1125073

Specimen JAX_1125075: postnatal adult; Ric8atm1b(KOMP)Wtsi/Ric8a+ (more )
Structure Level Pattern Image Note
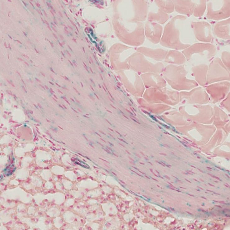
TS28: aorta Present JAX_1125075

Specimen JAX_1125077: postnatal adult; Ric8atm1b(KOMP)Wtsi/Ric8a+ (more )
Structure Level Pattern Image Note
TS28: white fat Present JAX_1125077

Specimen JAX_1125079: postnatal adult; Ric8atm1b(KOMP)Wtsi/Ric8a+ (more )
Structure Level Pattern Image Note
TS28: pituitary gland Present JAX_1125079

Specimen JAX_1125081: postnatal adult; Ric8atm1b(KOMP)Wtsi/Ric8a+ (more )
Structure Level Pattern Image Note
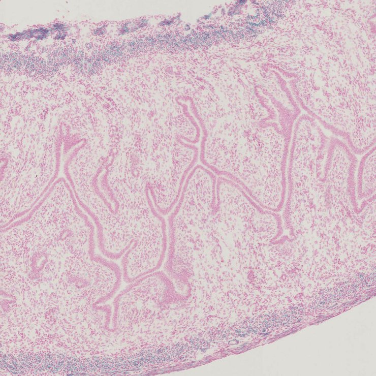
TS28: uterus Present JAX_1125081

Specimen JAX_1125083: postnatal adult; Ric8atm1b(KOMP)Wtsi/Ric8a+ (more )
Structure Level Pattern Image Note
TS28: thymus Present JAX_1125083

Specimen JAX_1125085: postnatal adult; Ric8atm1b(KOMP)Wtsi/Ric8a+ (more )
Structure Level Pattern Image Note
TS28: oviduct Present JAX_1125085

Specimen JAX_1125087: postnatal adult; Ric8atm1b(KOMP)Wtsi/Ric8a+ (more )
Structure Level Pattern Image Note
TS28: ovary Present JAX_1125087

Specimen JAX_1125089: postnatal adult; Ric8atm1b(KOMP)Wtsi/Ric8a+ (more )
Structure Level Pattern Image Note
TS28: mammary gland Present JAX_1125089

Specimen JAX_1125091: postnatal adult; Ric8atm1b(KOMP)Wtsi/Ric8a+ (more )
Structure Level Pattern Image Note
TS28: liver Present JAX_1125091

Specimen JAX_1125093: postnatal adult; Ric8atm1b(KOMP)Wtsi/Ric8a+ (more )
Structure Level Pattern Image Note
TS28: metanephros Present JAX_1125093 kidney

Specimen JAX_1125095: postnatal adult; Ric8atm1b(KOMP)Wtsi/Ric8a+ (more )
Structure Level Pattern Image Note
TS28: brain Present JAX_1125095

Specimen JAX_1125097: postnatal adult; Ric8atm1b(KOMP)Wtsi/Ric8a+ (more )
Structure Level Pattern Image Note
TS28: adrenal gland Present JAX_1125097

Specimen JAX_1125013: postnatal adult; Ric8atm1b(KOMP)Wtsi/Ric8a+ (more )
Structure Level Pattern Image Note
TS28: thalamus Present JAX_1125013

Specimen JAX_1125015: postnatal adult; Ric8atm1b(KOMP)Wtsi/Ric8a+ (more )
Structure Level Pattern Image Note
TS28: midbrain Present JAX_1125015

Specimen JAX_1125017: postnatal adult; Ric8atm1b(KOMP)Wtsi/Ric8a+ (more )
Structure Level Pattern Image Note
TS28: vascular system Present JAX_1125017

Specimen JAX_1125019: postnatal adult; Ric8atm1b(KOMP)Wtsi/Ric8a+ (more )
Structure Level Pattern Image Note
TS28: epididymis Present JAX_1125019

Specimen JAX_1125021: postnatal adult; Ric8atm1b(KOMP)Wtsi/Ric8a+ (more )
Structure Level Pattern Image Note
TS28: submandibular gland Present JAX_1125021

Specimen JAX_1125023: postnatal adult; Ric8atm1b(KOMP)Wtsi/Ric8a+ (more )
Structure Level Pattern Image Note
TS28: corpus striatum Present JAX_1125023

Specimen JAX_1125025: postnatal adult; Ric8atm1b(KOMP)Wtsi/Ric8a+ (more )
Structure Level Pattern Image Note
TS28: Peyer's patch Present JAX_1125025

Specimen JAX_1125027: postnatal adult; Ric8atm1b(KOMP)Wtsi/Ric8a+ (more )
Structure Level Pattern Image Note
TS28: hypothalamus Present JAX_1125027

Specimen JAX_1125029: postnatal adult; Ric8atm1b(KOMP)Wtsi/Ric8a+ (more )
Structure Level Pattern Image Note
TS28: hippocampus Present JAX_1125029

Specimen JAX_1125031: postnatal adult; Ric8atm1b(KOMP)Wtsi/Ric8a+ (more )
Structure Level Pattern Image Note
TS28: cerebellum Present JAX_1125031

Specimen JAX_1125033: postnatal adult; Ric8atm1b(KOMP)Wtsi/Ric8a+ (more )
Structure Level Pattern Image Note
TS28: cerebral cortex Present JAX_1125033

Specimen JAX_1125035: postnatal adult; Ric8atm1b(KOMP)Wtsi/Ric8a+ (more )
Structure Level Pattern Image Note
TS28: cartilage Present JAX_1125035

Specimen JAX_1125037: postnatal adult; Ric8atm1b(KOMP)Wtsi/Ric8a+ (more )
Structure Level Pattern Image Note
TS28: brainstem Present JAX_1125037

Specimen JAX_1125039: postnatal adult; Ric8atm1b(KOMP)Wtsi/Ric8a+ (more )
Structure Level Pattern Image Note
TS28: lung Present JAX_1125039

Specimen JAX_1125041: postnatal adult; Ric8atm1b(KOMP)Wtsi/Ric8a+ (more )
Structure Level Pattern Image Note
TS28: small intestine Present JAX_1125041

Specimen JAX_1125043: postnatal adult; Ric8atm1b(KOMP)Wtsi/Ric8a+ (more )
Structure Level Pattern Image Note
TS28: thyroid gland Present JAX_1125043

Specimen JAX_1125045: postnatal adult; Ric8atm1b(KOMP)Wtsi/Ric8a+ (more )
Structure Level Pattern Image Note
TS28: spinal cord Present JAX_1125045

Specimen JAX_1125047: postnatal adult; Ric8atm1b(KOMP)Wtsi/Ric8a+ (more )
Structure Level Pattern Image Note
TS28: esophagus Present JAX_1125047

Specimen JAX_1125049: postnatal adult; Ric8atm1b(KOMP)Wtsi/Ric8a+ (more )
Structure Level Pattern Image Note
TS28: large intestine Present JAX_1125049

Specimen JAX_1125051: postnatal adult; Ric8atm1b(KOMP)Wtsi/Ric8a+ (more )
Structure Level Pattern Image Note
TS28: trachea Present JAX_1125051

Specimen JAX_1125053: postnatal adult; Ric8atm1b(KOMP)Wtsi/Ric8a+ (more )
Structure Level Pattern Image Note
TS28: testis Present JAX_1125053

Specimen JAX_1125055: postnatal adult; Ric8atm1b(KOMP)Wtsi/Ric8a+ (more )
Structure Level Pattern Image Note
TS28: stomach Present JAX_1125055

Specimen JAX_1125057: postnatal adult; Ric8atm1b(KOMP)Wtsi/Ric8a+ (more )
Structure Level Pattern Image Note
TS28: skin Present JAX_1125057

Specimen JAX_1125059: postnatal adult; Ric8atm1b(KOMP)Wtsi/Ric8a+ (more )
Structure Level Pattern Image Note
TS28: lymph node Present JAX_1125059

Specimen JAX_1125061: postnatal adult; Ric8atm1b(KOMP)Wtsi/Ric8a+ (more )
Structure Level Pattern Image Note
TS28: heart Present JAX_1125061

Specimen JAX_1125063: postnatal adult; Ric8atm1b(KOMP)Wtsi/Ric8a+ (more )
Structure Level Pattern Image Note
TS28: eye Present JAX_1125063


Contributing Projects:
Mouse Genome Database (MGD), Gene Expression Database (GXD), Mouse Models of Human Cancer database (MMHCdb) (formerly Mouse Tumor Biology (MTB)), Gene Ontology (GO)
Citing These Resources
Funding Information
Warranty Disclaimer, Privacy Notice, Licensing, & Copyright
Send questions and comments to User Support.
last database update
03/24/2026
MGI 6.24
The Jackson Laboratory