About   Help   FAQ
Gene Expression Data
Assay Details
Assay
Reference: J:228563 Koscielny G, et al., The International Mouse Phenotyping Consortium Web Portal, a unified point of access for knockout mice and related phenotyping data. Nucleic Acids Res. 2014 Jan;42(Database issue):D802-9
Assay type: In situ reporter (knock in)
MGI Accession ID: MGI:6692393
Gene symbol: Jazf1
Gene name: JAZF zinc finger 1
Reporter: lacZ
Direct Detection
Results
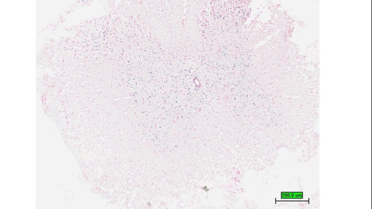
Specimen UC Davis_1865343: postnatal adult; Jazf1tm1b(EUCOMM)Wtsi/Jazf1+ (more )
Structure Level Pattern Image Note
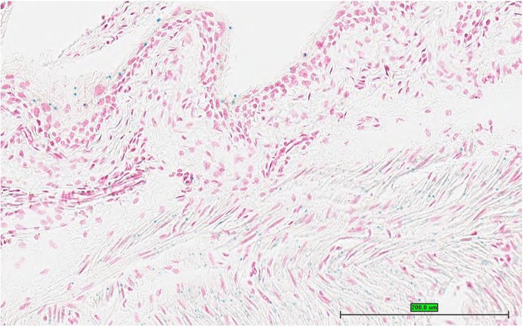
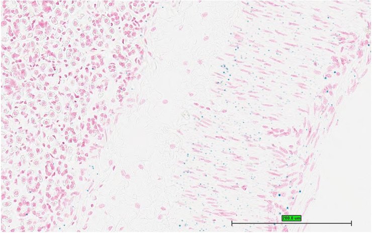
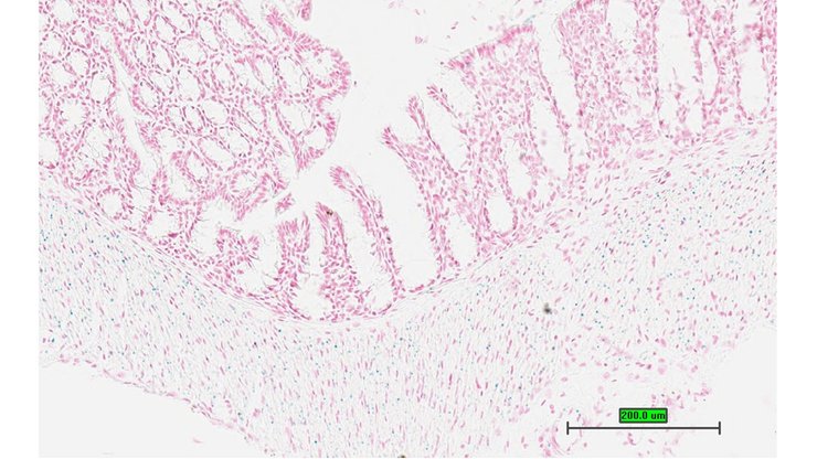
TS28: colon Present UC Davis_1865343

Specimen UC Davis_1865344: postnatal adult; Jazf1tm1b(EUCOMM)Wtsi/Jazf1+ (more )
Structure Level Pattern Image Note
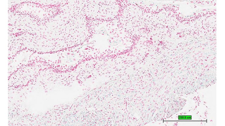
TS28: colon Present UC Davis_1865344

Specimen UC Davis_1865345: postnatal adult; Jazf1tm1b(EUCOMM)Wtsi/Jazf1+ (more )
Structure Level Pattern Image Note
TS28: colon Present UC Davis_1865345

Specimen UC Davis_1865346: postnatal adult; Jazf1tm1b(EUCOMM)Wtsi/Jazf1+ (more )
Structure Level Pattern Image Note
TS28: cecum Present UC Davis_1865346

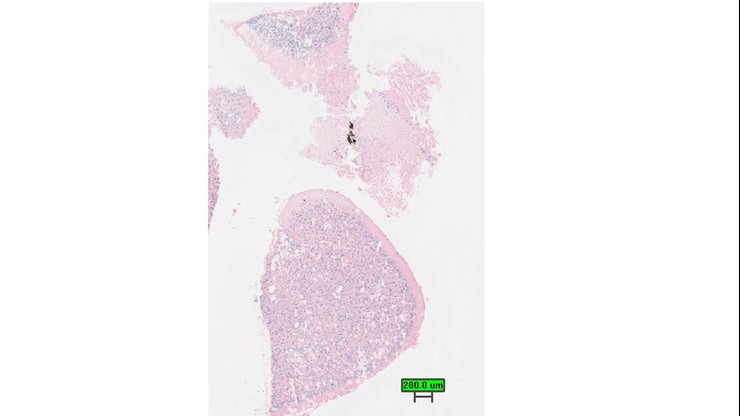
Specimen UC Davis_1865347: postnatal adult; Jazf1tm1b(EUCOMM)Wtsi/Jazf1+ (more )
Structure Level Pattern Image Note
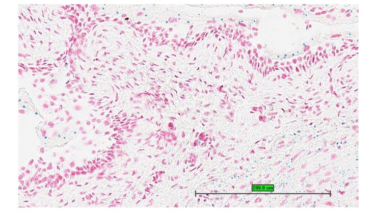
TS28: metanephros Present UC Davis_1865347 kidney

Specimen UC Davis_1865348: postnatal adult; Jazf1tm1b(EUCOMM)Wtsi/Jazf1+ (more )
Structure Level Pattern Image Note
TS28: metanephros Present UC Davis_1865348 kidney

Specimen UC Davis_1865349: postnatal adult; Jazf1tm1b(EUCOMM)Wtsi/Jazf1+ (more )
Structure Level Pattern Image Note
TS28: spinal cord Present UC Davis_1865349

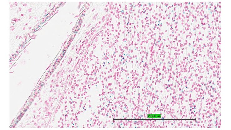
Specimen UC Davis_1865350: postnatal adult; Jazf1tm1b(EUCOMM)Wtsi/Jazf1+ (more )
Structure Level Pattern Image Note
TS28: spinal cord Present UC Davis_1865350

Specimen UC Davis_1865351: postnatal adult; Jazf1tm1b(EUCOMM)Wtsi/Jazf1+ (more )
Structure Level Pattern Image Note
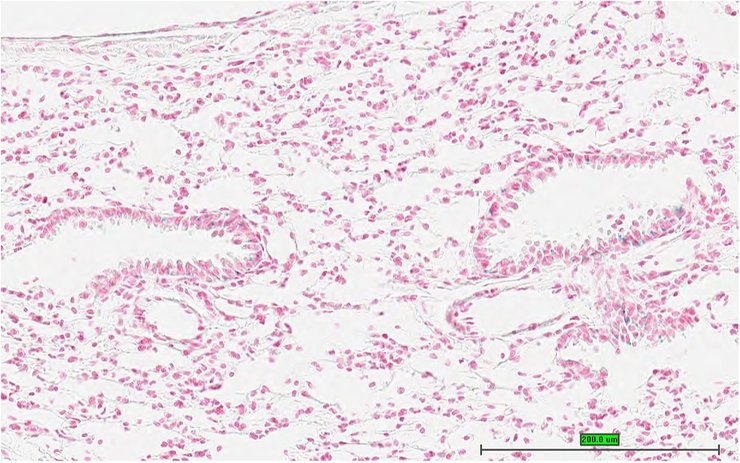
TS28: eye Present UC Davis_1865351

Specimen UC Davis_1865352: postnatal adult; Jazf1tm1b(EUCOMM)Wtsi/Jazf1+ (more )
Structure Level Pattern Image Note
TS28: eye Present UC Davis_1865352

Specimen UC Davis_1865353: postnatal adult; Jazf1tm1b(EUCOMM)Wtsi/Jazf1+ (more )
Structure Level Pattern Image Note
TS28: eye Present UC Davis_1865353

Specimen UC Davis_1865354: postnatal adult; Jazf1tm1b(EUCOMM)Wtsi/Jazf1+ (more )
Structure Level Pattern Image Note
TS28: olfactory lobe Present UC Davis_1865354

Specimen UC Davis_1865357: postnatal adult; Jazf1tm1b(EUCOMM)Wtsi/Jazf1+ (more )
Structure Level Pattern Image Note
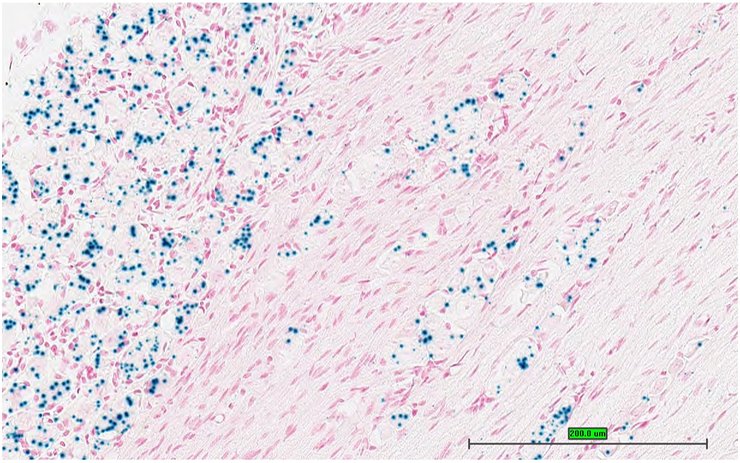
TS28: midbrain Present UC Davis_1865357

Specimen UC Davis_1865359: postnatal adult; Jazf1tm1b(EUCOMM)Wtsi/Jazf1+ (more )
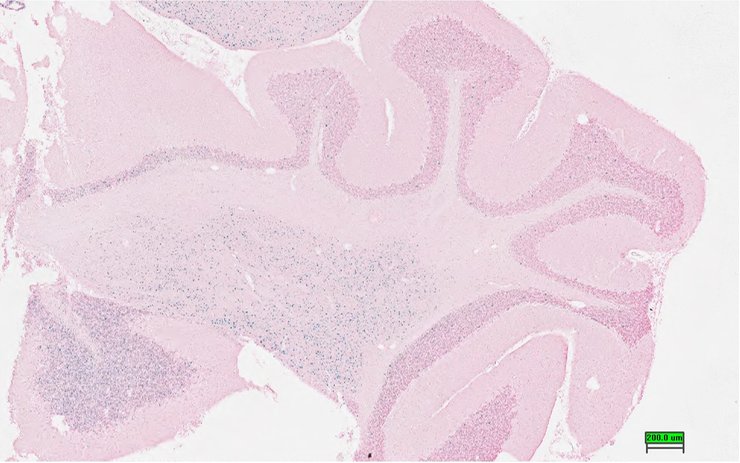
Structure Level Pattern Image Note
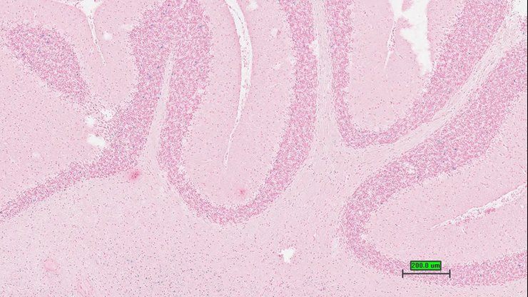
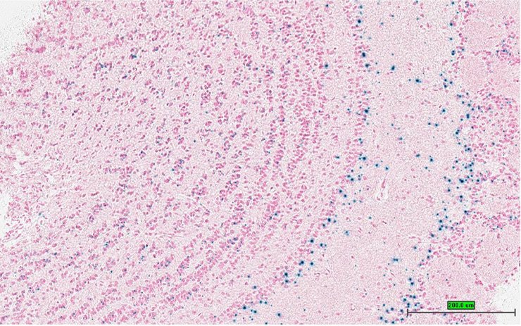
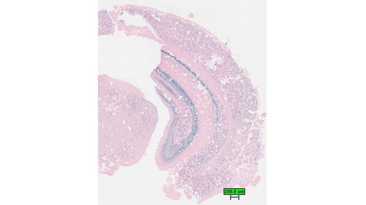
TS28: cerebellum Present UC Davis_1865359

Specimen UC Davis_1865360: postnatal adult; Jazf1tm1b(EUCOMM)Wtsi/Jazf1+ (more )
Structure Level Pattern Image Note
TS28: trigeminal nerve Present UC Davis_1865360

Specimen UC Davis_1865361: postnatal adult; Jazf1tm1b(EUCOMM)Wtsi/Jazf1+ (more )
Structure Level Pattern Image Note
TS28: trigeminal nerve Present UC Davis_1865361

Specimen UC Davis_1865362: postnatal adult; Jazf1tm1b(EUCOMM)Wtsi/Jazf1+ (more )
Structure Level Pattern Image Note
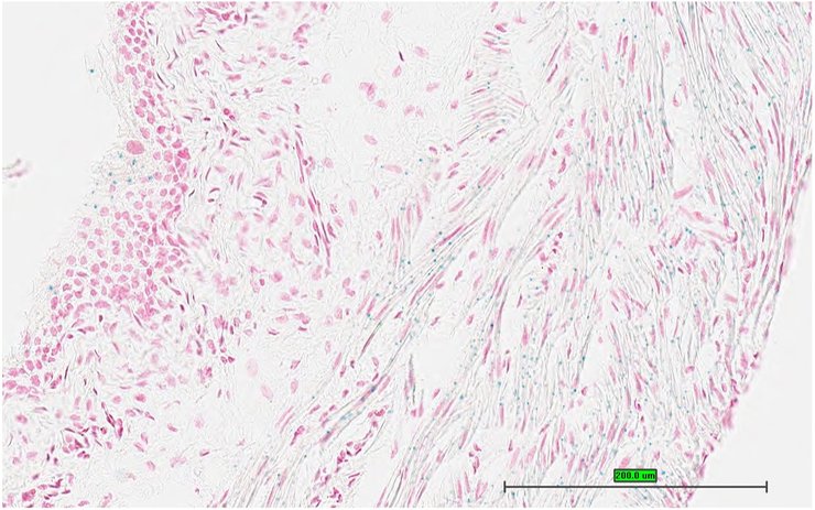
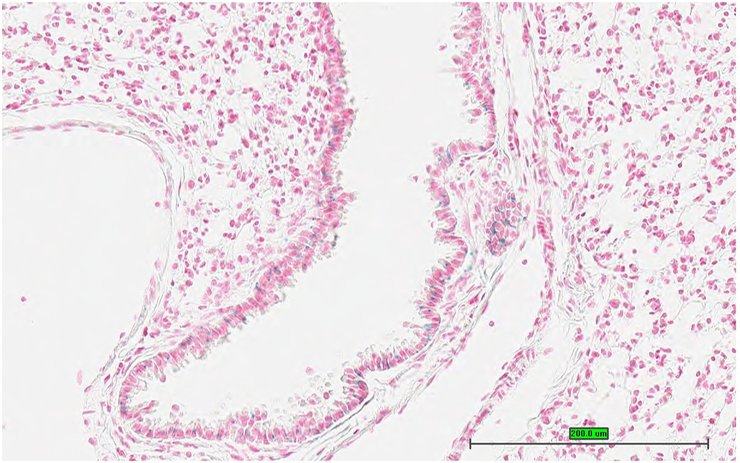
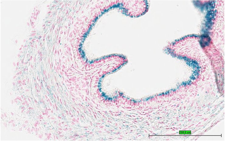
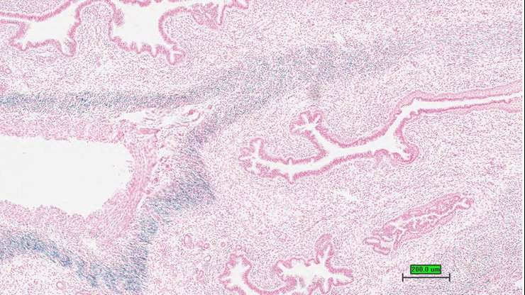
TS28: oviduct Present UC Davis_1865362

Specimen UC Davis_1865363: postnatal adult; Jazf1tm1b(EUCOMM)Wtsi/Jazf1+ (more )
Structure Level Pattern Image Note
TS28: uterus Present UC Davis_1865363

Specimen UC Davis_1865364: postnatal adult; Jazf1tm1b(EUCOMM)Wtsi/Jazf1+ (more )
Structure Level Pattern Image Note
TS28: uterus Present UC Davis_1865364

Specimen UC Davis_1865365: postnatal adult; Jazf1tm1b(EUCOMM)Wtsi/Jazf1+ (more )
Structure Level Pattern Image Note
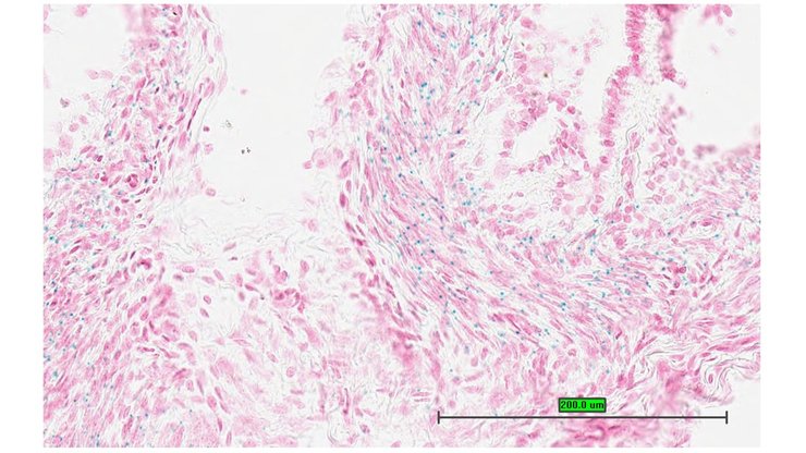
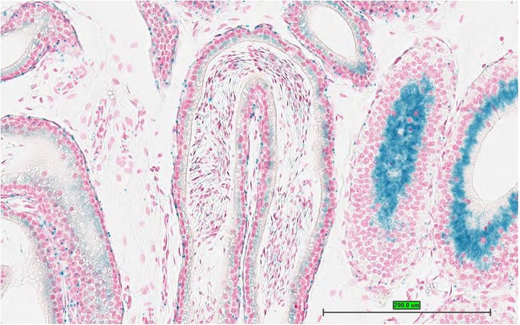
TS28: vagina Present UC Davis_1865365

Specimen UC Davis_1865366: postnatal adult; Jazf1tm1b(EUCOMM)Wtsi/Jazf1+ (more )
Structure Level Pattern Image Note
TS28: vagina Present UC Davis_1865366

Specimen UC Davis_1865367: postnatal adult; Jazf1tm1b(EUCOMM)Wtsi/Jazf1+ (more )
Structure Level Pattern Image Note
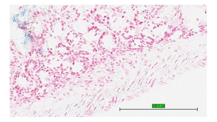
TS28: bladder Present UC Davis_1865367

Specimen UC Davis_1865368: postnatal adult; Jazf1tm1b(EUCOMM)Wtsi/Jazf1+ (more )
Structure Level Pattern Image Note
TS28: bladder Present UC Davis_1865368

Specimen UC Davis_1865369: postnatal adult; Jazf1tm1b(EUCOMM)Wtsi/Jazf1+ (more )
Structure Level Pattern Image Note
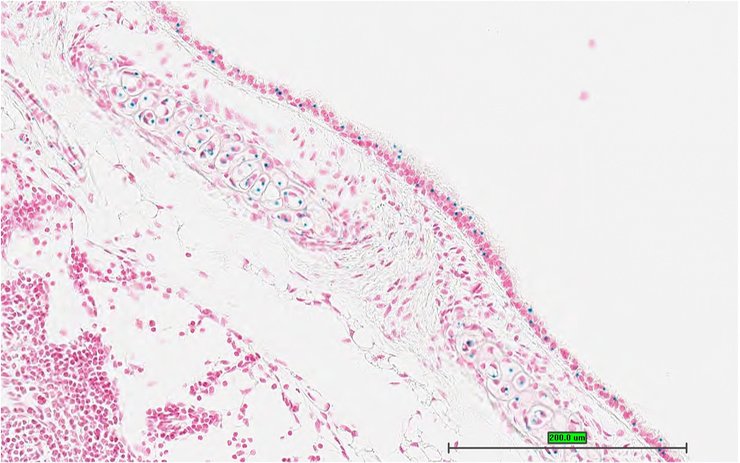
TS28: trachea Present UC Davis_1865369

Specimen UC Davis_1865371: postnatal adult; Jazf1tm1b(EUCOMM)Wtsi/Jazf1+ (more )
Structure Level Pattern Image Note
TS28: lung Present UC Davis_1865371

Specimen UC Davis_1865372: postnatal adult; Jazf1tm1b(EUCOMM)Wtsi/Jazf1+ (more )
Structure Level Pattern Image Note
TS28: lung Present UC Davis_1865372

Specimen UC Davis_1865375: postnatal adult; Jazf1tm1b(EUCOMM)Wtsi/Jazf1+ (more )
Structure Level Pattern Image Note
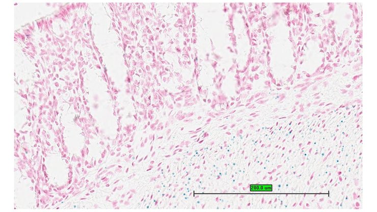
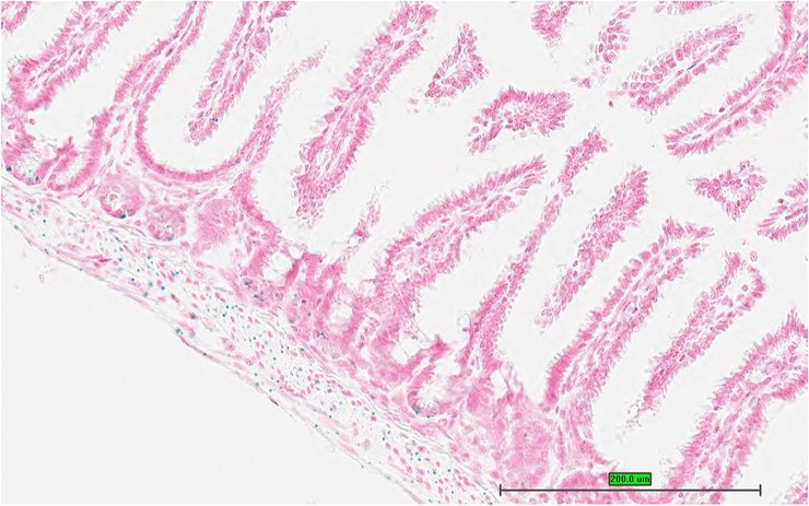
TS28: stomach Present UC Davis_1865375

Specimen UC Davis_1865376: postnatal adult; Jazf1tm1b(EUCOMM)Wtsi/Jazf1+ (more )
Structure Level Pattern Image Note
TS28: stomach Present UC Davis_1865376

Specimen UC Davis_1865377: postnatal adult; Jazf1tm1b(EUCOMM)Wtsi/Jazf1+ (more )
Structure Level Pattern Image Note
TS28: stomach Present UC Davis_1865377

Specimen UC Davis_1865378: postnatal adult; Jazf1tm1b(EUCOMM)Wtsi/Jazf1+ (more )
Structure Level Pattern Image Note
TS28: ileum Present UC Davis_1865378

Specimen UC Davis_1865379: postnatal adult; Jazf1tm1b(EUCOMM)Wtsi/Jazf1+ (more )
Structure Level Pattern Image Note
TS28: colon Present UC Davis_1865379

Specimen UC Davis_1865380: postnatal adult; Jazf1tm1b(EUCOMM)Wtsi/Jazf1+ (more )
Structure Level Pattern Image Note
TS28: colon Present UC Davis_1865380

Specimen UC Davis_1865381: postnatal adult; Jazf1tm1b(EUCOMM)Wtsi/Jazf1+ (more )
Structure Level Pattern Image Note
TS28: cecum Present UC Davis_1865381

Specimen UC Davis_1865382: postnatal adult; Jazf1tm1b(EUCOMM)Wtsi/Jazf1+ (more )
Structure Level Pattern Image Note
TS28: metanephros Present UC Davis_1865382 kidney

Specimen UC Davis_1865383: postnatal adult; Jazf1tm1b(EUCOMM)Wtsi/Jazf1+ (more )
Structure Level Pattern Image Note
TS28: pituitary gland Present UC Davis_1865383

Specimen UC Davis_1865384: postnatal adult; Jazf1tm1b(EUCOMM)Wtsi/Jazf1+ (more )
Structure Level Pattern Image Note
TS28: pituitary gland Present UC Davis_1865384

Specimen UC Davis_1865385: postnatal adult; Jazf1tm1b(EUCOMM)Wtsi/Jazf1+ (more )
Structure Level Pattern Image Note
TS28: spinal cord Present UC Davis_1865385

Specimen UC Davis_1865386: postnatal adult; Jazf1tm1b(EUCOMM)Wtsi/Jazf1+ (more )
Structure Level Pattern Image Note
TS28: spinal cord Present UC Davis_1865386

Specimen UC Davis_1865387: postnatal adult; Jazf1tm1b(EUCOMM)Wtsi/Jazf1+ (more )
Structure Level Pattern Image Note
TS28: eye Present UC Davis_1865387

Specimen UC Davis_1865388: postnatal adult; Jazf1tm1b(EUCOMM)Wtsi/Jazf1+ (more )
Structure Level Pattern Image Note
TS28: eye Present UC Davis_1865388

Specimen UC Davis_1865389: postnatal adult; Jazf1tm1b(EUCOMM)Wtsi/Jazf1+ (more )
Structure Level Pattern Image Note
TS28: eye Present UC Davis_1865389

Specimen UC Davis_1865390: postnatal adult; Jazf1tm1b(EUCOMM)Wtsi/Jazf1+ (more )
Structure Level Pattern Image Note
TS28: eye Present UC Davis_1865390

Specimen UC Davis_1865391: postnatal adult; Jazf1tm1b(EUCOMM)Wtsi/Jazf1+ (more )
Structure Level Pattern Image Note
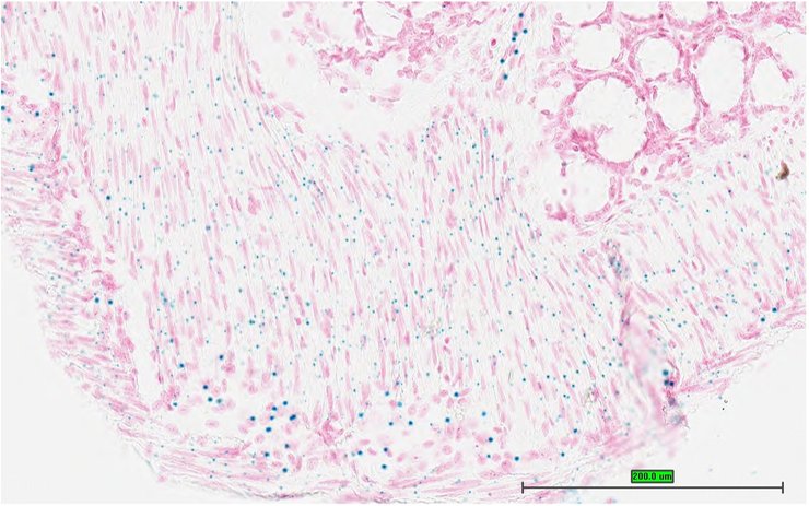
TS28: gonadal fat pad Present UC Davis_1865391

Specimen UC Davis_1865392: postnatal adult; Jazf1tm1b(EUCOMM)Wtsi/Jazf1+ (more )
Structure Level Pattern Image Note
TS28: skin Present UC Davis_1865392

Specimen UC Davis_1865393: postnatal adult; Jazf1tm1b(EUCOMM)Wtsi/Jazf1+ (more )
Structure Level Pattern Image Note
TS28: olfactory lobe Present UC Davis_1865393

Specimen UC Davis_1865397: postnatal adult; Jazf1tm1b(EUCOMM)Wtsi/Jazf1+ (more )
Structure Level Pattern Image Note
TS28: midbrain Present UC Davis_1865397

Specimen UC Davis_1865399: postnatal adult; Jazf1tm1b(EUCOMM)Wtsi/Jazf1+ (more )
Structure Level Pattern Image Note
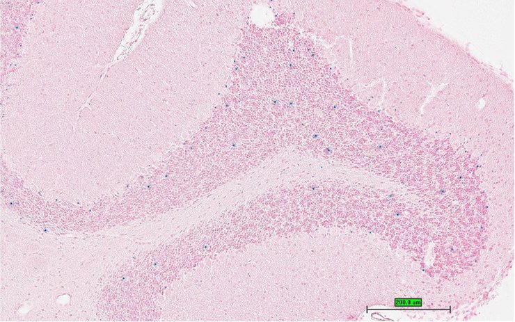
TS28: cerebellum Present UC Davis_1865399

Specimen UC Davis_1865400: postnatal adult; Jazf1tm1b(EUCOMM)Wtsi/Jazf1+ (more )
Structure Level Pattern Image Note
TS28: cerebellum Present UC Davis_1865400

Specimen UC Davis_1865401: postnatal adult; Jazf1tm1b(EUCOMM)Wtsi/Jazf1+ (more )
Structure Level Pattern Image Note
TS28: trigeminal nerve Present UC Davis_1865401

Specimen UC Davis_1865402: postnatal adult; Jazf1tm1b(EUCOMM)Wtsi/Jazf1+ (more )
Structure Level Pattern Image Note
TS28: trigeminal nerve Present UC Davis_1865402

Specimen UC Davis_1865403: postnatal adult; Jazf1tm1b(EUCOMM)Wtsi/Jazf1+ (more )
Structure Level Pattern Image Note
TS28: bladder Present UC Davis_1865403

Specimen UC Davis_1865404: postnatal adult; Jazf1tm1b(EUCOMM)Wtsi/Jazf1+ (more )
Structure Level Pattern Image Note
TS28: bladder Present UC Davis_1865404

Specimen UC Davis_1865405: postnatal adult; Jazf1tm1b(EUCOMM)Wtsi/Jazf1+ (more )
Structure Level Pattern Image Note
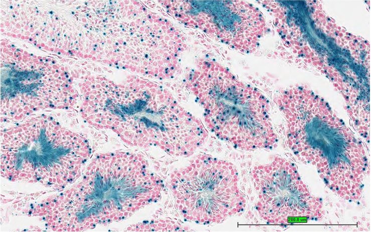
TS28: testis Present UC Davis_1865405

Specimen UC Davis_1865406: postnatal adult; Jazf1tm1b(EUCOMM)Wtsi/Jazf1+ (more )
Structure Level Pattern Image Note
TS28: epididymis Present UC Davis_1865406

Specimen UC Davis_1865407: postnatal adult; Jazf1tm1b(EUCOMM)Wtsi/Jazf1+ (more )
Structure Level Pattern Image Note
TS28: epididymis Present UC Davis_1865407

Specimen UC Davis_1865408: postnatal adult; Jazf1tm1b(EUCOMM)Wtsi/Jazf1+ (more )
Structure Level Pattern Image Note
TS28: epididymis Present UC Davis_1865408

Specimen UC Davis_1865409: postnatal adult; Jazf1tm1b(EUCOMM)Wtsi/Jazf1+ (more )
Structure Level Pattern Image Note
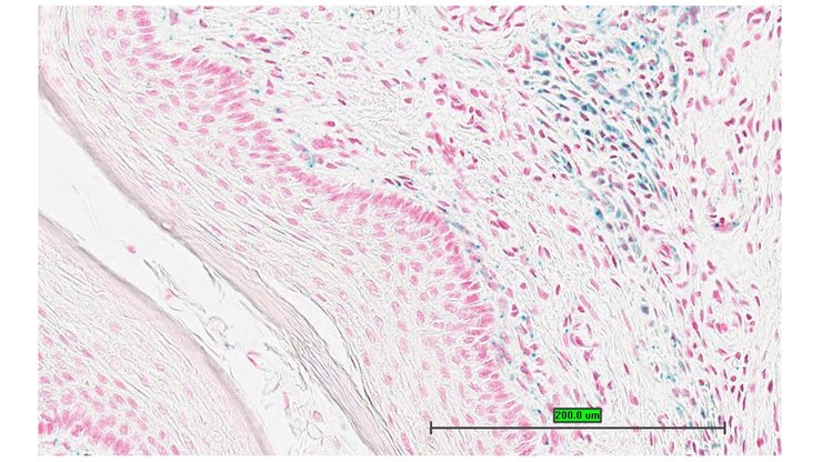
TS28: prostate gland Present UC Davis_1865409

Specimen UC Davis_1865410: postnatal adult; Jazf1tm1b(EUCOMM)Wtsi/Jazf1+ (more )
Structure Level Pattern Image Note
TS28: prostate gland Present UC Davis_1865410

Specimen UC Davis_1865411: postnatal adult; Jazf1tm1b(EUCOMM)Wtsi/Jazf1+ (more )
Structure Level Pattern Image Note
TS28: penis Present UC Davis_1865411

Specimen UC Davis_1865412: postnatal adult; Jazf1tm1b(EUCOMM)Wtsi/Jazf1+ (more )
Structure Level Pattern Image Note
TS28: penis Present UC Davis_1865412

Specimen UC Davis_1865413: postnatal adult; Jazf1tm1b(EUCOMM)Wtsi/Jazf1+ (more )
Structure Level Pattern Image Note
TS28: ductus deferens Present UC Davis_1865413 vas deferens

Specimen UC Davis_1865416: postnatal adult; Jazf1tm1b(EUCOMM)Wtsi/Jazf1+ (more )
Structure Level Pattern Image Note
TS28: seminal vesicle Present UC Davis_1865416 vesicular gland

Specimen UC Davis_1865417: postnatal adult; Jazf1tm1b(EUCOMM)Wtsi/Jazf1+ (more )
Structure Level Pattern Image Note
TS28: seminal vesicle Present UC Davis_1865417 vesicular gland


Contributing Projects:
Mouse Genome Database (MGD), Gene Expression Database (GXD), Mouse Models of Human Cancer database (MMHCdb) (formerly Mouse Tumor Biology (MTB)), Gene Ontology (GO)
Citing These Resources
Funding Information
Warranty Disclaimer, Privacy Notice, Licensing, & Copyright
Send questions and comments to User Support.
last database update
01/20/2026
MGI 6.24
The Jackson Laboratory