About   Help   FAQ
Gene Expression Data
Assay Details
Assay
Reference: J:228563 Koscielny G, et al., The International Mouse Phenotyping Consortium Web Portal, a unified point of access for knockout mice and related phenotyping data. Nucleic Acids Res. 2014 Jan;42(Database issue):D802-9
Assay type: In situ reporter (knock in)
MGI Accession ID: MGI:6692389
Gene symbol: Nsun5
Gene name: NOL1/NOP2/Sun domain family, member 5
Reporter: lacZ
Direct Detection
Results
Specimen JAX_1128307: embryonic day 12.5; Nsun5tm2b(EUCOMM)Wtsi/Nsun5+ (more )
Structure Level Pattern Image Note
TS20: embryo Present JAX_1128307

Specimen JAX_1128309: embryonic day 12.5; Nsun5tm2b(EUCOMM)Wtsi/Nsun5+ (more )
Structure Level Pattern Image Note
TS20: embryo Present JAX_1128309

Specimen JAX_1128311: embryonic day 12.5; Nsun5tm2b(EUCOMM)Wtsi/Nsun5+ (more )
Structure Level Pattern Image Note
TS20: embryo Present JAX_1128311

Specimen JAX_1128313: embryonic day 12.5; Nsun5tm2b(EUCOMM)Wtsi/Nsun5+ (more )
Structure Level Pattern Image Note
TS20: embryo Present JAX_1128313

Specimen JAX_1128315: embryonic day 12.5; Nsun5tm2b(EUCOMM)Wtsi/Nsun5+ (more )
Structure Level Pattern Image Note
TS20: embryo Present JAX_1128315

Specimen JAX_1128317: embryonic day 12.5; Nsun5tm2b(EUCOMM)Wtsi/Nsun5+ (more )
Structure Level Pattern Image Note
TS20: embryo Present JAX_1128317

Specimen JAX_1128319: embryonic day 12.5; Nsun5tm2b(EUCOMM)Wtsi/Nsun5+ (more )
Structure Level Pattern Image Note
TS20: embryo Present JAX_1128319

Specimen JAX_1128321: embryonic day 12.5; Nsun5tm2b(EUCOMM)Wtsi/Nsun5+ (more )
Structure Level Pattern Image Note
TS20: embryo Present JAX_1128321

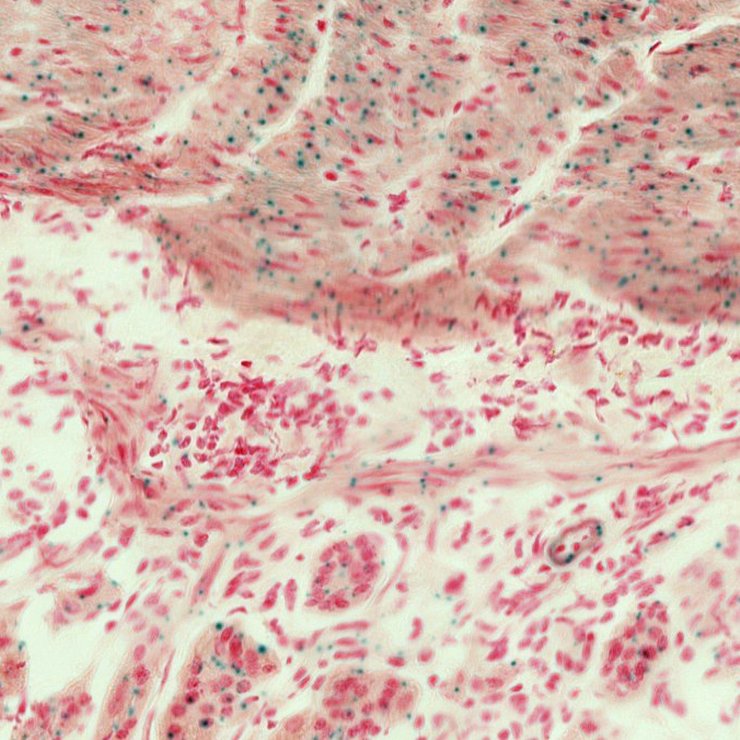
Specimen JAX_1628965: postnatal adult; Nsun5tm2b(EUCOMM)Wtsi/Nsun5+ (more )
Structure Level Pattern Image Note
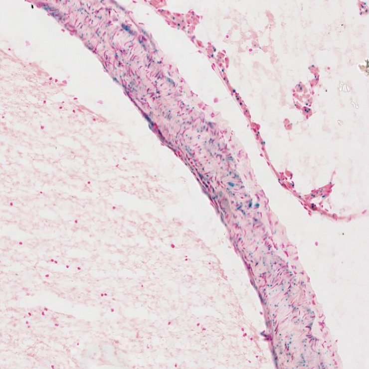
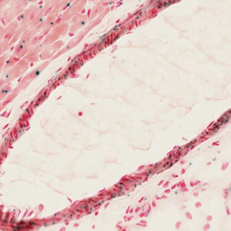
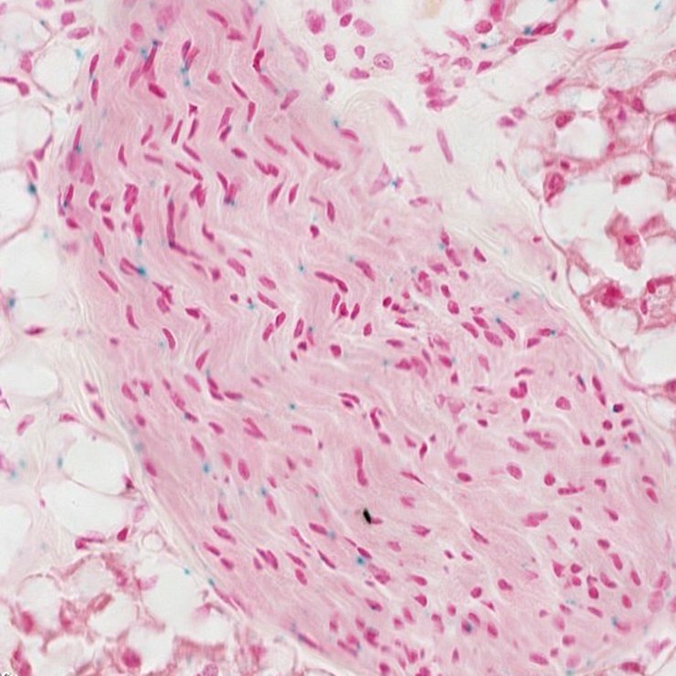
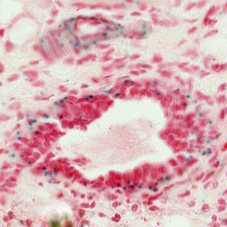
TS28: vascular system Present JAX_1628965

Specimen JAX_1628966: postnatal adult; Nsun5tm2b(EUCOMM)Wtsi/Nsun5+ (more )
Structure Level Pattern Image Note
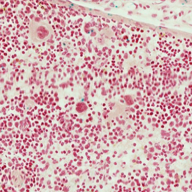
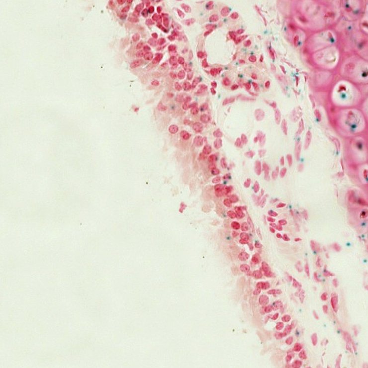
TS28: submandibular gland Present JAX_1628966

Specimen JAX_1628967: postnatal adult; Nsun5tm2b(EUCOMM)Wtsi/Nsun5+ (more )
Structure Level Pattern Image Note
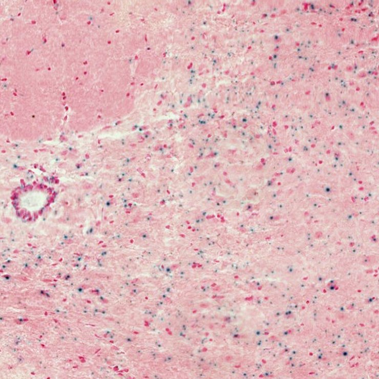
TS28: corpus striatum Present JAX_1628967

Specimen JAX_1628968: postnatal adult; Nsun5tm2b(EUCOMM)Wtsi/Nsun5+ (more )
Structure Level Pattern Image Note
TS28: olfactory lobe Present JAX_1628968

Specimen JAX_1628969: postnatal adult; Nsun5tm2b(EUCOMM)Wtsi/Nsun5+ (more )
Structure Level Pattern Image Note
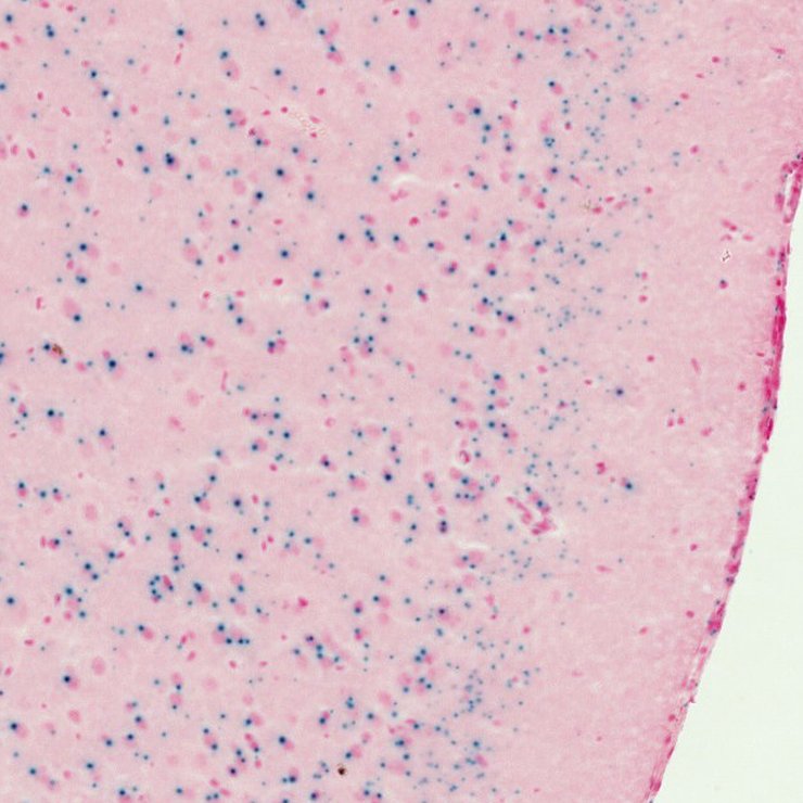
TS28: cerebral cortex Present JAX_1628969

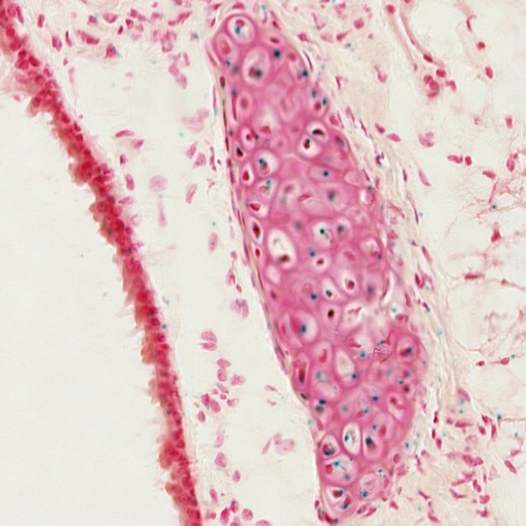
Specimen JAX_1628970: postnatal adult; Nsun5tm2b(EUCOMM)Wtsi/Nsun5+ (more )
Structure Level Pattern Image Note
TS28: cartilage Present JAX_1628970

Specimen JAX_1628971: postnatal adult; Nsun5tm2b(EUCOMM)Wtsi/Nsun5+ (more )
Structure Level Pattern Image Note
TS28: brainstem Present JAX_1628971

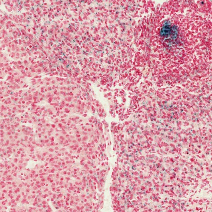
Specimen JAX_1628972: postnatal adult; Nsun5tm2b(EUCOMM)Wtsi/Nsun5+ (more )
Structure Level Pattern Image Note
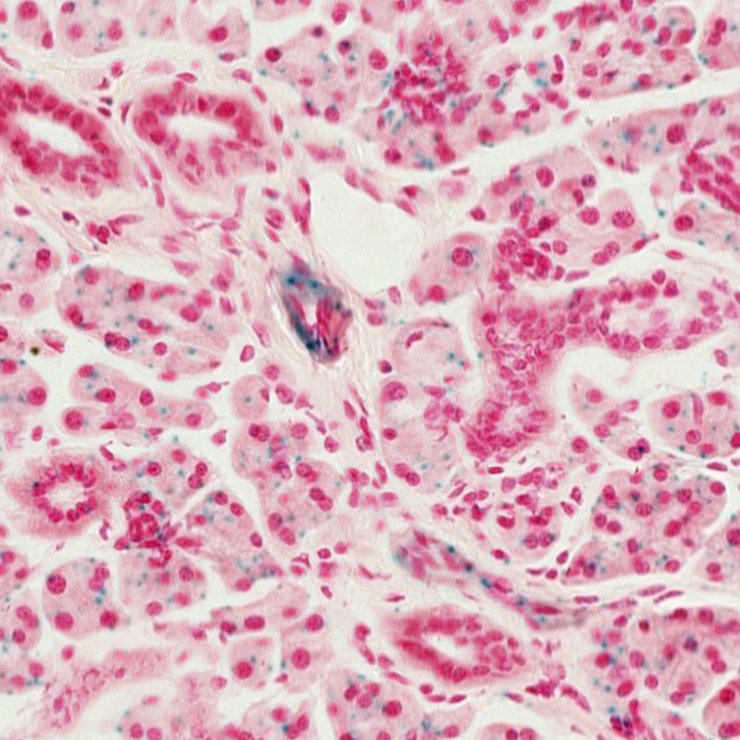
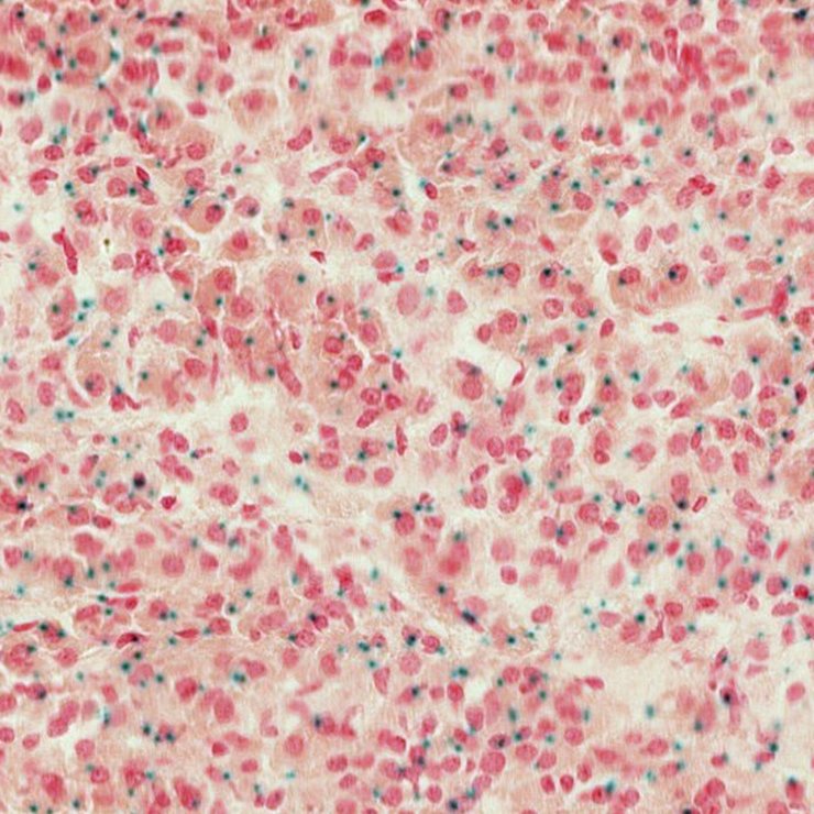
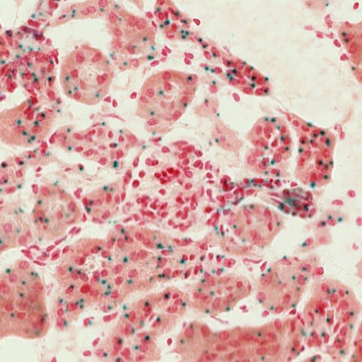
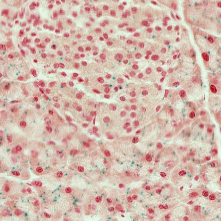
TS28: pancreas Present JAX_1628972

Specimen JAX_1628973: postnatal adult; Nsun5tm2b(EUCOMM)Wtsi/Nsun5+ (more )
Structure Level Pattern Image Note
TS28: aorta Present JAX_1628973

Specimen JAX_1628974: postnatal adult; Nsun5tm2b(EUCOMM)Wtsi/Nsun5+ (more )
Structure Level Pattern Image Note
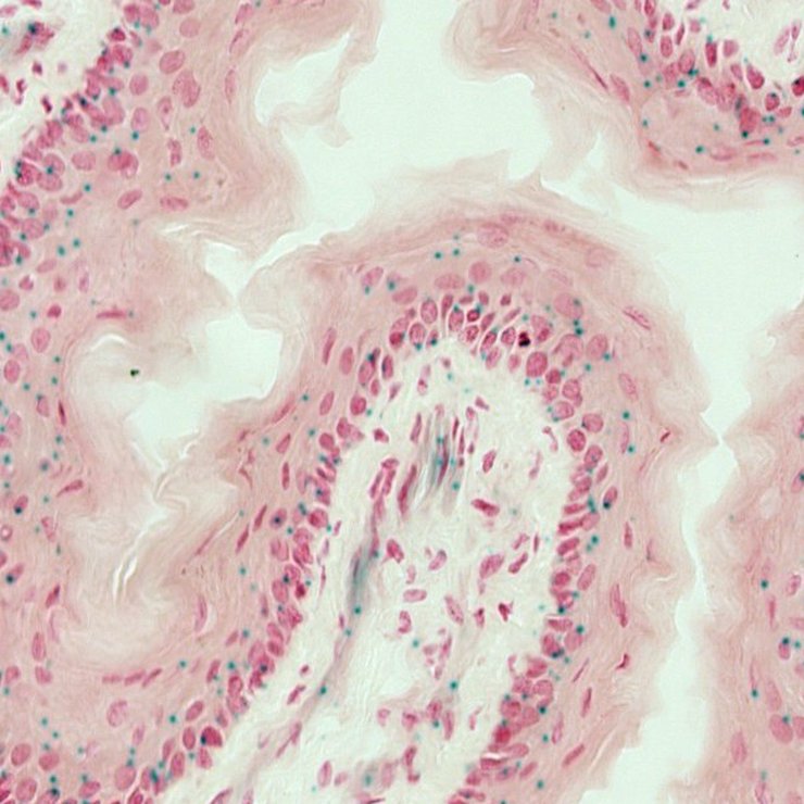
TS28: lung Present JAX_1628974

Specimen JAX_1628975: postnatal adult; Nsun5tm2b(EUCOMM)Wtsi/Nsun5+ (more )
Structure Level Pattern Image Note
TS28: thyroid gland Present JAX_1628975

Specimen JAX_1628976: postnatal adult; Nsun5tm2b(EUCOMM)Wtsi/Nsun5+ (more )
Structure Level Pattern Image Note
TS28: spinal cord Present JAX_1628976

Specimen JAX_1628977: postnatal adult; Nsun5tm2b(EUCOMM)Wtsi/Nsun5+ (more )
Structure Level Pattern Image Note
TS28: esophagus Present JAX_1628977

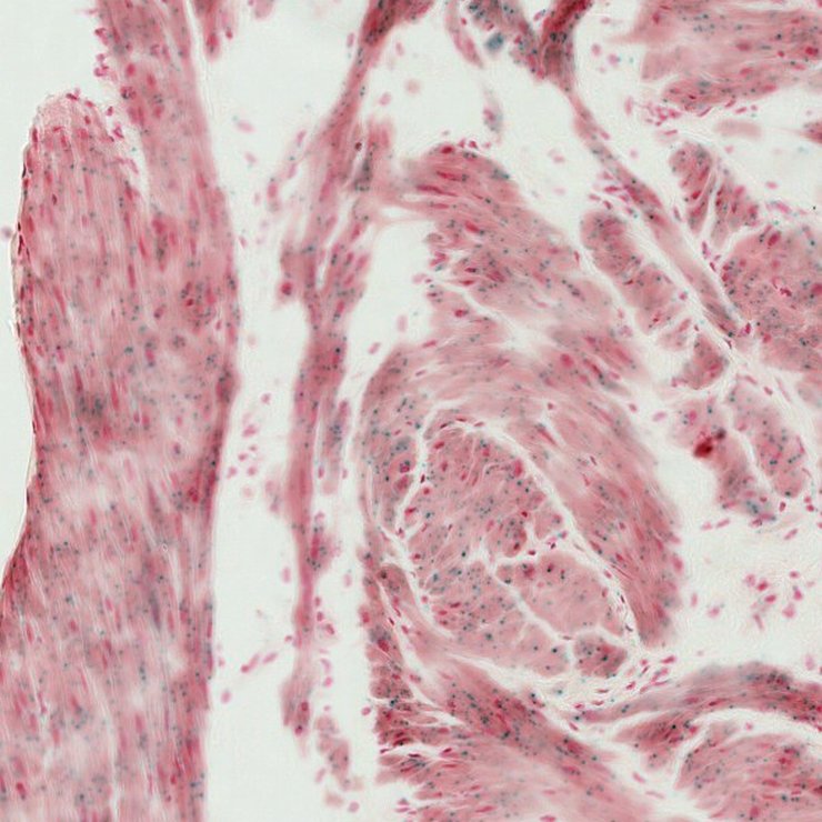
Specimen JAX_1628978: postnatal adult; Nsun5tm2b(EUCOMM)Wtsi/Nsun5+ (more )
Structure Level Pattern Image Note
TS28: uterus Present JAX_1628978

Specimen JAX_1628979: postnatal adult; Nsun5tm2b(EUCOMM)Wtsi/Nsun5+ (more )
Structure Level Pattern Image Note
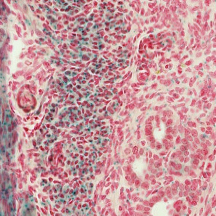
TS28: thymus Present JAX_1628979

Specimen JAX_1628980: postnatal adult; Nsun5tm2b(EUCOMM)Wtsi/Nsun5+ (more )
Structure Level Pattern Image Note
TS28: stomach Present JAX_1628980

Specimen JAX_1628981: postnatal adult; Nsun5tm2b(EUCOMM)Wtsi/Nsun5+ (more )
Structure Level Pattern Image Note
TS28: oviduct Present JAX_1628981

Specimen JAX_1628982: postnatal adult; Nsun5tm2b(EUCOMM)Wtsi/Nsun5+ (more )
Structure Level Pattern Image Note
TS28: ovary Present JAX_1628982

Specimen JAX_1628983: postnatal adult; Nsun5tm2b(EUCOMM)Wtsi/Nsun5+ (more )
Structure Level Pattern Image Note
TS28: mammary gland Present JAX_1628983

Specimen JAX_1628984: postnatal adult; Nsun5tm2b(EUCOMM)Wtsi/Nsun5+ (more )
Structure Level Pattern Image Note
TS28: lymph node Present JAX_1628984

Specimen JAX_1628985: postnatal adult; Nsun5tm2b(EUCOMM)Wtsi/Nsun5+ (more )
Structure Level Pattern Image Note
TS28: metanephros Present JAX_1628985 kidney

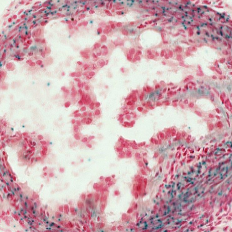
Specimen JAX_1628986: postnatal adult; Nsun5tm2b(EUCOMM)Wtsi/Nsun5+ (more )
Structure Level Pattern Image Note
TS28: heart Present JAX_1628986

Specimen JAX_1628987: postnatal adult; Nsun5tm2b(EUCOMM)Wtsi/Nsun5+ (more )
Structure Level Pattern Image Note
TS28: eye Present JAX_1628987

Specimen JAX_1628988: postnatal adult; Nsun5tm2b(EUCOMM)Wtsi/Nsun5+ (more )
Structure Level Pattern Image Note
TS28: thalamus Present JAX_1628988

Specimen JAX_1628989: postnatal adult; Nsun5tm2b(EUCOMM)Wtsi/Nsun5+ (more )
Structure Level Pattern Image Note
TS28: midbrain Present JAX_1628989

Specimen JAX_1628990: postnatal adult; Nsun5tm2b(EUCOMM)Wtsi/Nsun5+ (more )
Structure Level Pattern Image Note
TS28: epididymis Present JAX_1628990

Specimen JAX_1628991: postnatal adult; Nsun5tm2b(EUCOMM)Wtsi/Nsun5+ (more )
Structure Level Pattern Image Note
TS28: bone Present JAX_1628991

Specimen JAX_1628992: postnatal adult; Nsun5tm2b(EUCOMM)Wtsi/Nsun5+ (more )
Structure Level Pattern Image Note
TS28: bladder Present JAX_1628992

Specimen JAX_1628993: postnatal adult; Nsun5tm2b(EUCOMM)Wtsi/Nsun5+ (more )
Structure Level Pattern Image Note
TS28: peripheral nervous system Present JAX_1628993

Specimen JAX_1628994: postnatal adult; Nsun5tm2b(EUCOMM)Wtsi/Nsun5+ (more )
Structure Level Pattern Image Note
TS28: hypothalamus Present JAX_1628994

Specimen JAX_1628995: postnatal adult; Nsun5tm2b(EUCOMM)Wtsi/Nsun5+ (more )
Structure Level Pattern Image Note
TS28: hippocampus Present JAX_1628995

Specimen JAX_1628996: postnatal adult; Nsun5tm2b(EUCOMM)Wtsi/Nsun5+ (more )
Structure Level Pattern Image Note
TS28: cerebellum Present JAX_1628996

Specimen JAX_1628997: postnatal adult; Nsun5tm2b(EUCOMM)Wtsi/Nsun5+ (more )
Structure Level Pattern Image Note
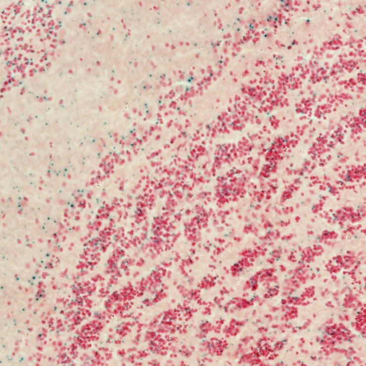
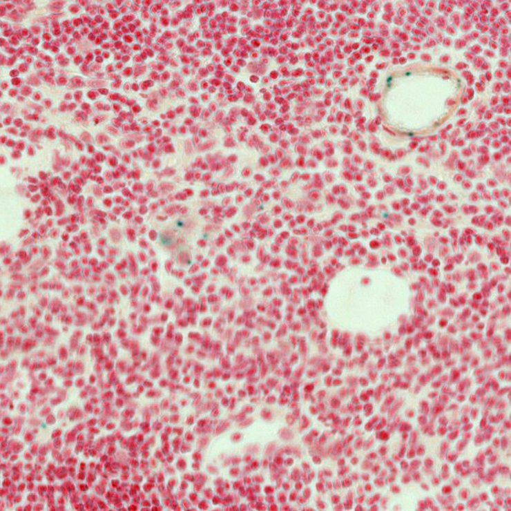
TS28: spleen Present JAX_1628997

Specimen JAX_1628998: postnatal adult; Nsun5tm2b(EUCOMM)Wtsi/Nsun5+ (more )
Structure Level Pattern Image Note
TS28: white fat Present JAX_1628998

Specimen JAX_1628999: postnatal adult; Nsun5tm2b(EUCOMM)Wtsi/Nsun5+ (more )
Structure Level Pattern Image Note
TS28: small intestine Present JAX_1628999

Specimen JAX_1629000: postnatal adult; Nsun5tm2b(EUCOMM)Wtsi/Nsun5+ (more )
Structure Level Pattern Image Note
TS28: pituitary gland Present JAX_1629000

Specimen JAX_1629001: postnatal adult; Nsun5tm2b(EUCOMM)Wtsi/Nsun5+ (more )
Structure Level Pattern Image Note
TS28: large intestine Present JAX_1629001

Specimen JAX_1629002: postnatal adult; Nsun5tm2b(EUCOMM)Wtsi/Nsun5+ (more )
Structure Level Pattern Image Note
TS28: trachea Present JAX_1629002

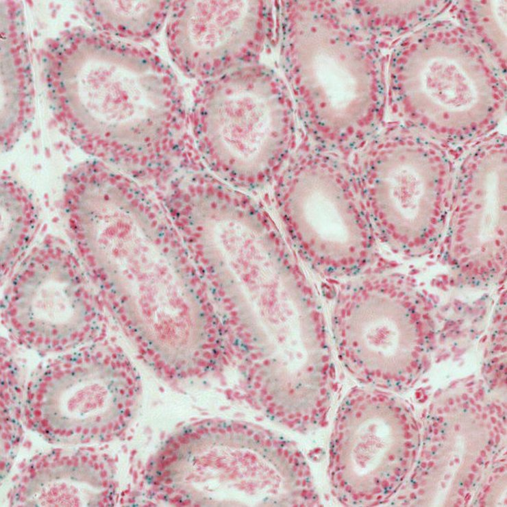
Specimen JAX_1629003: postnatal adult; Nsun5tm2b(EUCOMM)Wtsi/Nsun5+ (more )
Structure Level Pattern Image Note
TS28: testis Present JAX_1629003

Specimen JAX_1629004: postnatal adult; Nsun5tm2b(EUCOMM)Wtsi/Nsun5+ (more )
Structure Level Pattern Image Note
TS28: skin Present JAX_1629004

Specimen JAX_1629005: postnatal adult; Nsun5tm2b(EUCOMM)Wtsi/Nsun5+ (more )
Structure Level Pattern Image Note
TS28: brain Present JAX_1629005

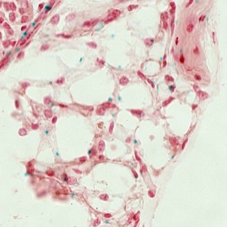
Specimen JAX_1629006: postnatal adult; Nsun5tm2b(EUCOMM)Wtsi/Nsun5+ (more )
Structure Level Pattern Image Note
TS28: adrenal gland Present JAX_1629006


Contributing Projects:
Mouse Genome Database (MGD), Gene Expression Database (GXD), Mouse Models of Human Cancer database (MMHCdb) (formerly Mouse Tumor Biology (MTB)), Gene Ontology (GO)
Citing These Resources
Funding Information
Warranty Disclaimer, Privacy Notice, Licensing, & Copyright
Send questions and comments to User Support.
last database update
01/06/2026
MGI 6.24
The Jackson Laboratory