About   Help   FAQ
Gene Expression Data
Assay Details
Assay
Reference: J:228563 Koscielny G, et al., The International Mouse Phenotyping Consortium Web Portal, a unified point of access for knockout mice and related phenotyping data. Nucleic Acids Res. 2014 Jan;42(Database issue):D802-9
Assay type: In situ reporter (knock in)
MGI Accession ID: MGI:6692386
Gene symbol: Myorg
Gene name: myogenesis regulating glycosidase (putative)
Reporter: lacZ
Direct Detection
Results
Specimen JAX_1369703: embryonic day 12.5; Myorgtm1b(KOMP)Wtsi/Myorg+ (more )
Structure Level Pattern Image Note
TS20: embryo Present JAX_1369703

Specimen JAX_1369704: embryonic day 12.5; Myorgtm1b(KOMP)Wtsi/Myorg+ (more )
Structure Level Pattern Image Note
TS20: embryo Present JAX_1369704

Specimen JAX_1369705: embryonic day 12.5; Myorgtm1b(KOMP)Wtsi/Myorg+ (more )
Structure Level Pattern Image Note
TS20: embryo Present JAX_1369705

Specimen JAX_1369706: embryonic day 12.5; Myorgtm1b(KOMP)Wtsi/Myorg+ (more )
Structure Level Pattern Image Note
TS20: embryo Present JAX_1369706

Specimen JAX_610405: embryonic day 12.5; Myorgtm1b(KOMP)Wtsi/Myorg+ (more )
Structure Level Pattern Image Note
TS20: embryo Present JAX_610405

Specimen JAX_610407: embryonic day 12.5; Myorgtm1b(KOMP)Wtsi/Myorg+ (more )
Structure Level Pattern Image Note
TS20: embryo Present JAX_610407

Specimen JAX_610409: embryonic day 12.5; Myorgtm1b(KOMP)Wtsi/Myorg+ (more )
Structure Level Pattern Image Note
TS20: embryo Present JAX_610409

Specimen JAX_610411: embryonic day 12.5; Myorgtm1b(KOMP)Wtsi/Myorg+ (more )
Structure Level Pattern Image Note
TS20: embryo Present JAX_610411

Specimen JAX_610413: embryonic day 12.5; Myorgtm1b(KOMP)Wtsi/Myorg+ (more )
Structure Level Pattern Image Note
TS20: embryo Present JAX_610413

Specimen JAX_610415: embryonic day 12.5; Myorgtm1b(KOMP)Wtsi/Myorg+ (more )
Structure Level Pattern Image Note
TS20: embryo Present JAX_610415

Specimen JAX_610417: embryonic day 12.5; Myorgtm1b(KOMP)Wtsi/Myorg+ (more )
Structure Level Pattern Image Note
TS20: embryo Present JAX_610417

Specimen JAX_610419: embryonic day 12.5; Myorgtm1b(KOMP)Wtsi/Myorg+ (more )
Structure Level Pattern Image Note
TS20: embryo Present JAX_610419

Specimen JAX_1798095: postnatal adult; Myorgtm1b(KOMP)Wtsi/Myorg+ (more )
Structure Level Pattern Image Note
TS28: thalamus Present JAX_1798095

Specimen JAX_1798096: postnatal adult; Myorgtm1b(KOMP)Wtsi/Myorg+ (more )
Structure Level Pattern Image Note
TS28: midbrain Present JAX_1798096

Specimen JAX_1798097: postnatal adult; Myorgtm1b(KOMP)Wtsi/Myorg+ (more )
Structure Level Pattern Image Note
TS28: corpus striatum Present JAX_1798097

Specimen JAX_1798098: postnatal adult; Myorgtm1b(KOMP)Wtsi/Myorg+ (more )
Structure Level Pattern Image Note
TS28: olfactory lobe Present JAX_1798098

Specimen JAX_1798099: postnatal adult; Myorgtm1b(KOMP)Wtsi/Myorg+ (more )
Structure Level Pattern Image Note
TS28: hypothalamus Present JAX_1798099

Specimen JAX_1798100: postnatal adult; Myorgtm1b(KOMP)Wtsi/Myorg+ (more )
Structure Level Pattern Image Note
TS28: hippocampus Present JAX_1798100

Specimen JAX_1798101: postnatal adult; Myorgtm1b(KOMP)Wtsi/Myorg+ (more )
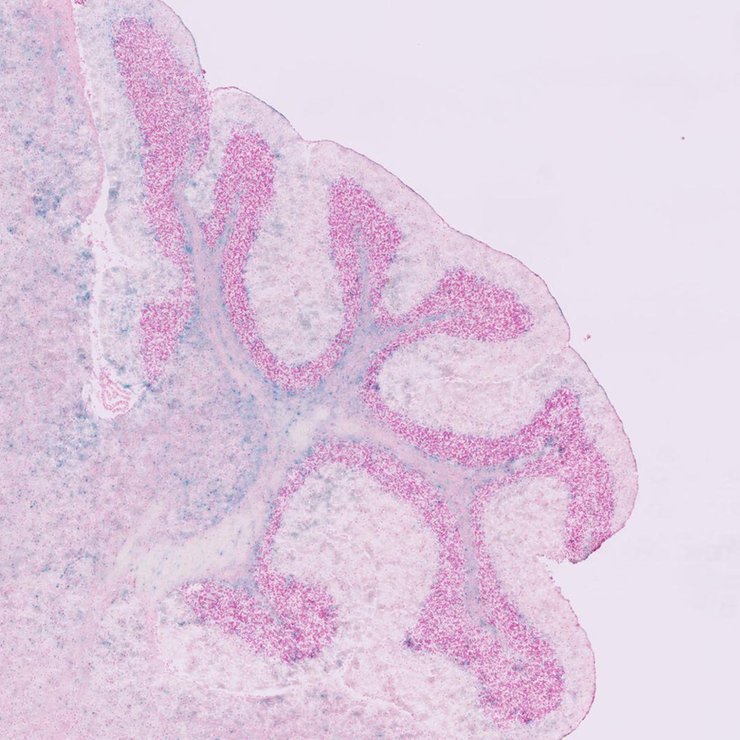
Structure Level Pattern Image Note
TS28: cerebellum Present JAX_1798101

Specimen JAX_1798102: postnatal adult; Myorgtm1b(KOMP)Wtsi/Myorg+ (more )
Structure Level Pattern Image Note
TS28: cerebral cortex Present JAX_1798102

Specimen JAX_1798103: postnatal adult; Myorgtm1b(KOMP)Wtsi/Myorg+ (more )
Structure Level Pattern Image Note
TS28: brainstem Present JAX_1798103

Specimen JAX_1798104: postnatal adult; Myorgtm1b(KOMP)Wtsi/Myorg+ (more )
Structure Level Pattern Image Note
TS28: spleen Present JAX_1798104

Specimen JAX_1798105: postnatal adult; Myorgtm1b(KOMP)Wtsi/Myorg+ (more )
Structure Level Pattern Image Note
TS28: pancreas Present JAX_1798105

Specimen JAX_1798106: postnatal adult; Myorgtm1b(KOMP)Wtsi/Myorg+ (more )
Structure Level Pattern Image Note
TS28: aorta Present JAX_1798106

Specimen JAX_1798107: postnatal adult; Myorgtm1b(KOMP)Wtsi/Myorg+ (more )
Structure Level Pattern Image Note
TS28: white fat Present JAX_1798107

Specimen JAX_1798108: postnatal adult; Myorgtm1b(KOMP)Wtsi/Myorg+ (more )
Structure Level Pattern Image Note
TS28: small intestine Present JAX_1798108

Specimen JAX_1798109: postnatal adult; Myorgtm1b(KOMP)Wtsi/Myorg+ (more )
Structure Level Pattern Image Note
TS28: skeletal muscle tissue Present JAX_1798109

Specimen JAX_1798110: postnatal adult; Myorgtm1b(KOMP)Wtsi/Myorg+ (more )
Structure Level Pattern Image Note
TS28: pituitary gland Present JAX_1798110

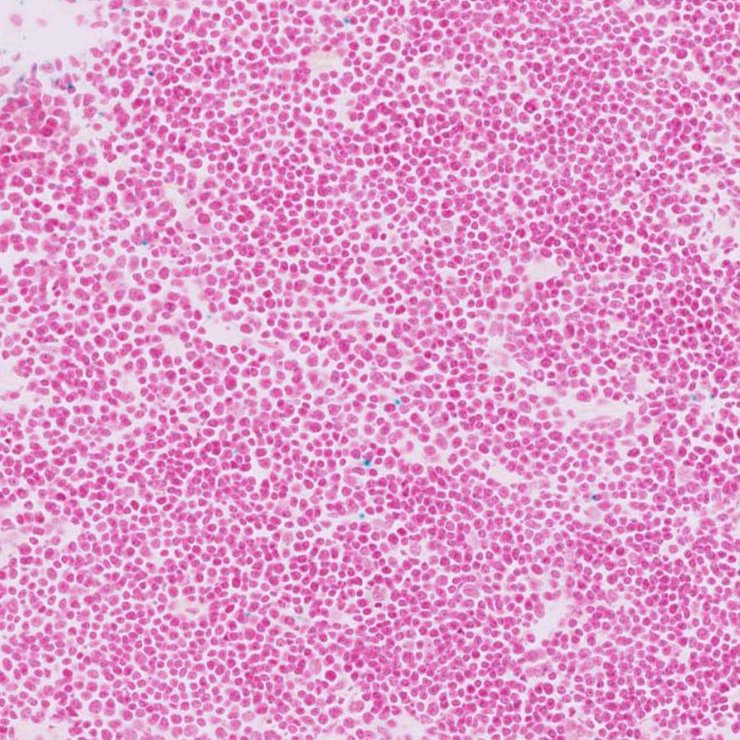
Specimen JAX_1798111: postnatal adult; Myorgtm1b(KOMP)Wtsi/Myorg+ (more )
Structure Level Pattern Image Note
TS28: thymus Present JAX_1798111

Specimen JAX_1798112: postnatal adult; Myorgtm1b(KOMP)Wtsi/Myorg+ (more )
Structure Level Pattern Image Note
TS28: stomach Present JAX_1798112

Specimen JAX_1798113: postnatal adult; Myorgtm1b(KOMP)Wtsi/Myorg+ (more )
Structure Level Pattern Image Note
TS28: skin Present JAX_1798113

Specimen JAX_1798114: postnatal adult; Myorgtm1b(KOMP)Wtsi/Myorg+ (more )
Structure Level Pattern Image Note
TS28: liver Present JAX_1798114

Specimen JAX_1798115: postnatal adult; Myorgtm1b(KOMP)Wtsi/Myorg+ (more )
Structure Level Pattern Image Note
TS28: metanephros Present JAX_1798115 kidney

Specimen JAX_1798116: postnatal adult; Myorgtm1b(KOMP)Wtsi/Myorg+ (more )
Structure Level Pattern Image Note
TS28: heart Present JAX_1798116

Specimen JAX_1798117: postnatal adult; Myorgtm1b(KOMP)Wtsi/Myorg+ (more )
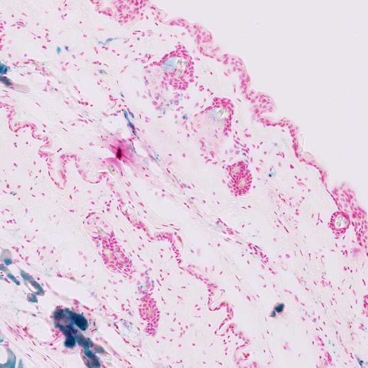
Structure Level Pattern Image Note
TS28: eye Present JAX_1798117

Specimen JAX_1798118: postnatal adult; Myorgtm1b(KOMP)Wtsi/Myorg+ (more )
Structure Level Pattern Image Note
TS28: brain Present JAX_1798118

Specimen JAX_1798119: postnatal adult; Myorgtm1b(KOMP)Wtsi/Myorg+ (more )
Structure Level Pattern Image Note
TS28: adrenal gland Present JAX_1798119

Specimen JAX_1798083: postnatal adult; Myorgtm1b(KOMP)Wtsi/Myorg+ (more )
Structure Level Pattern Image Note
TS28: epididymis Present JAX_1798083

Specimen JAX_1798084: postnatal adult; Myorgtm1b(KOMP)Wtsi/Myorg+ (more )
Structure Level Pattern Image Note
TS28: submandibular gland Present JAX_1798084

Specimen JAX_1798085: postnatal adult; Myorgtm1b(KOMP)Wtsi/Myorg+ (more )
Structure Level Pattern Image Note
TS28: brown fat Present JAX_1798085

Specimen JAX_1798086: postnatal adult; Myorgtm1b(KOMP)Wtsi/Myorg+ (more )
Structure Level Pattern Image Note
TS28: bladder Present JAX_1798086

Specimen JAX_1798087: postnatal adult; Myorgtm1b(KOMP)Wtsi/Myorg+ (more )
Structure Level Pattern Image Note
TS28: peripheral nervous system Present JAX_1798087

Specimen JAX_1798088: postnatal adult; Myorgtm1b(KOMP)Wtsi/Myorg+ (more )
Structure Level Pattern Image Note
TS28: cartilage Present JAX_1798088

Specimen JAX_1798089: postnatal adult; Myorgtm1b(KOMP)Wtsi/Myorg+ (more )
Structure Level Pattern Image Note
TS28: lung Present JAX_1798089

Specimen JAX_1798090: postnatal adult; Myorgtm1b(KOMP)Wtsi/Myorg+ (more )
Structure Level Pattern Image Note
TS28: spinal cord Present JAX_1798090

Specimen JAX_1798091: postnatal adult; Myorgtm1b(KOMP)Wtsi/Myorg+ (more )
Structure Level Pattern Image Note
TS28: esophagus Present JAX_1798091

Specimen JAX_1798092: postnatal adult; Myorgtm1b(KOMP)Wtsi/Myorg+ (more )
Structure Level Pattern Image Note
TS28: large intestine Present JAX_1798092

Specimen JAX_1798093: postnatal adult; Myorgtm1b(KOMP)Wtsi/Myorg+ (more )
Structure Level Pattern Image Note
TS28: trachea Present JAX_1798093

Specimen JAX_1798094: postnatal adult; Myorgtm1b(KOMP)Wtsi/Myorg+ (more )
Structure Level Pattern Image Note
TS28: testis Present JAX_1798094


Contributing Projects:
Mouse Genome Database (MGD), Gene Expression Database (GXD), Mouse Models of Human Cancer database (MMHCdb) (formerly Mouse Tumor Biology (MTB)), Gene Ontology (GO)
Citing These Resources
Funding Information
Warranty Disclaimer, Privacy Notice, Licensing, & Copyright
Send questions and comments to User Support.
last database update
01/06/2026
MGI 6.24
The Jackson Laboratory