About   Help   FAQ
Gene Expression Data
Assay Details
Assay
Reference: J:228563 Koscielny G, et al., The International Mouse Phenotyping Consortium Web Portal, a unified point of access for knockout mice and related phenotyping data. Nucleic Acids Res. 2014 Jan;42(Database issue):D802-9
Assay type: In situ reporter (knock in)
MGI Accession ID: MGI:6692385
Gene symbol: Dcaf10
Gene name: DDB1 and CUL4 associated factor 10
Reporter: lacZ
Direct Detection
Results
Specimen JAX_1618699: embryonic day 12.5; Dcaf10tm1.1(KOMP)Vlcg/Dcaf10+ (more )
Structure Level Pattern Image Note
TS20: embryo Present JAX_1618699

Specimen JAX_1618700: embryonic day 12.5; Dcaf10tm1.1(KOMP)Vlcg/Dcaf10+ (more )
Structure Level Pattern Image Note
TS20: embryo Present JAX_1618700

Specimen JAX_1618701: embryonic day 12.5; Dcaf10tm1.1(KOMP)Vlcg/Dcaf10+ (more )
Structure Level Pattern Image Note
TS20: embryo Present JAX_1618701

Specimen JAX_1618702: embryonic day 12.5; Dcaf10tm1.1(KOMP)Vlcg/Dcaf10+ (more )
Structure Level Pattern Image Note
TS20: embryo Present JAX_1618702

Specimen JAX_610773: embryonic day 12.5; Dcaf10tm1.1(KOMP)Vlcg/Dcaf10+ (more )
Structure Level Pattern Image Note
TS20: embryo Present JAX_610773

Specimen JAX_610775: embryonic day 12.5; Dcaf10tm1.1(KOMP)Vlcg/Dcaf10+ (more )
Structure Level Pattern Image Note
TS20: embryo Present JAX_610775

Specimen JAX_610777: embryonic day 12.5; Dcaf10tm1.1(KOMP)Vlcg/Dcaf10+ (more )
Structure Level Pattern Image Note
TS20: embryo Present JAX_610777

Specimen JAX_610779: embryonic day 12.5; Dcaf10tm1.1(KOMP)Vlcg/Dcaf10+ (more )
Structure Level Pattern Image Note
TS20: embryo Present JAX_610779

Specimen JAX_610781: embryonic day 12.5; Dcaf10tm1.1(KOMP)Vlcg/Dcaf10+ (more )
Structure Level Pattern Image Note
TS20: embryo Present JAX_610781

Specimen JAX_610783: embryonic day 12.5; Dcaf10tm1.1(KOMP)Vlcg/Dcaf10+ (more )
Structure Level Pattern Image Note
TS20: embryo Present JAX_610783

Specimen JAX_610785: embryonic day 12.5; Dcaf10tm1.1(KOMP)Vlcg/Dcaf10+ (more )
Structure Level Pattern Image Note
TS20: embryo Present JAX_610785

Specimen JAX_610787: embryonic day 12.5; Dcaf10tm1.1(KOMP)Vlcg/Dcaf10+ (more )
Structure Level Pattern Image Note
TS20: embryo Present JAX_610787

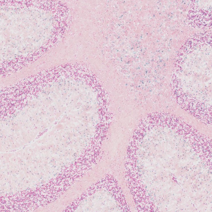
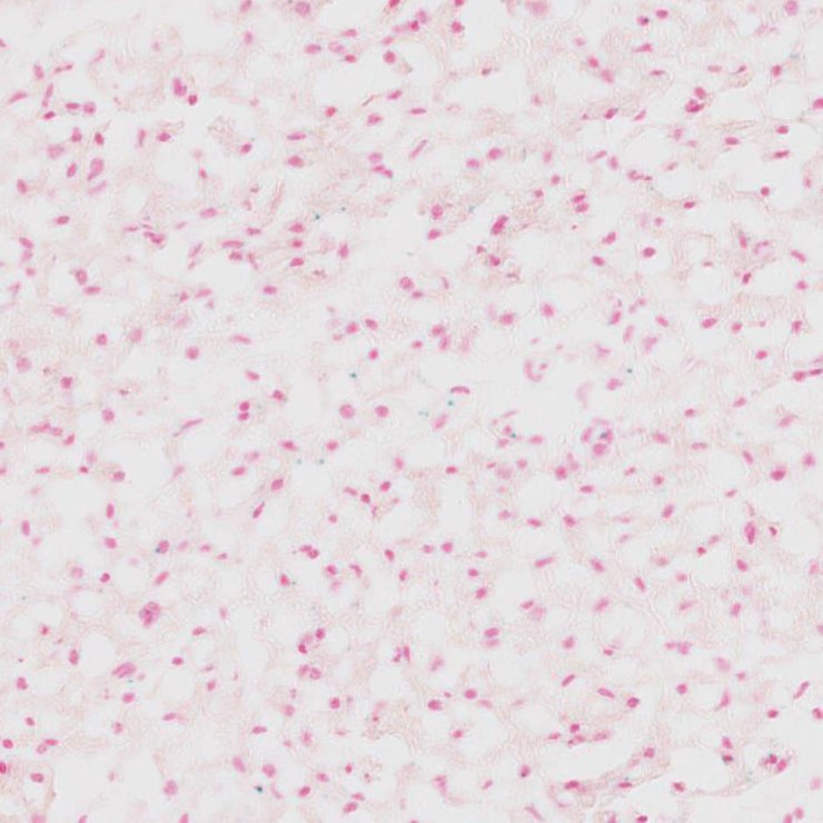
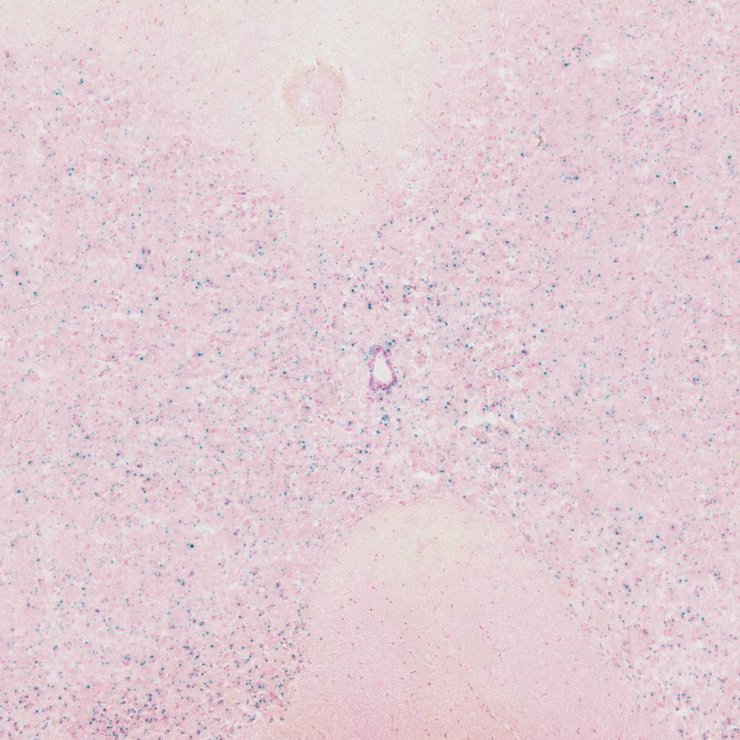
Specimen JAX_1801431: postnatal adult; Dcaf10tm1.1(KOMP)Vlcg/Dcaf10+ (more )
Structure Level Pattern Image Note
TS28: thalamus Present JAX_1801431

Specimen JAX_1801432: postnatal adult; Dcaf10tm1.1(KOMP)Vlcg/Dcaf10+ (more )
Structure Level Pattern Image Note
TS28: midbrain Present JAX_1801432

Specimen JAX_1801433: postnatal adult; Dcaf10tm1.1(KOMP)Vlcg/Dcaf10+ (more )
Structure Level Pattern Image Note
TS28: submandibular gland Present JAX_1801433

Specimen JAX_1801434: postnatal adult; Dcaf10tm1.1(KOMP)Vlcg/Dcaf10+ (more )
Structure Level Pattern Image Note
TS28: corpus striatum Present JAX_1801434

Specimen JAX_1801435: postnatal adult; Dcaf10tm1.1(KOMP)Vlcg/Dcaf10+ (more )
Structure Level Pattern Image Note
TS28: olfactory lobe Present JAX_1801435

Specimen JAX_1801436: postnatal adult; Dcaf10tm1.1(KOMP)Vlcg/Dcaf10+ (more )
Structure Level Pattern Image Note
TS28: hypothalamus Present JAX_1801436

Specimen JAX_1801437: postnatal adult; Dcaf10tm1.1(KOMP)Vlcg/Dcaf10+ (more )
Structure Level Pattern Image Note
TS28: hippocampus Present JAX_1801437

Specimen JAX_1801438: postnatal adult; Dcaf10tm1.1(KOMP)Vlcg/Dcaf10+ (more )
Structure Level Pattern Image Note
TS28: cerebellum Present JAX_1801438

Specimen JAX_1801439: postnatal adult; Dcaf10tm1.1(KOMP)Vlcg/Dcaf10+ (more )
Structure Level Pattern Image Note
TS28: cerebral cortex Present JAX_1801439

Specimen JAX_1801440: postnatal adult; Dcaf10tm1.1(KOMP)Vlcg/Dcaf10+ (more )
Structure Level Pattern Image Note
TS28: cartilage Present JAX_1801440

Specimen JAX_1801441: postnatal adult; Dcaf10tm1.1(KOMP)Vlcg/Dcaf10+ (more )
Structure Level Pattern Image Note
TS28: brainstem Present JAX_1801441

Specimen JAX_1801442: postnatal adult; Dcaf10tm1.1(KOMP)Vlcg/Dcaf10+ (more )
Structure Level Pattern Image Note
TS28: spleen Present JAX_1801442

Specimen JAX_1801443: postnatal adult; Dcaf10tm1.1(KOMP)Vlcg/Dcaf10+ (more )
Structure Level Pattern Image Note
TS28: pancreas Present JAX_1801443

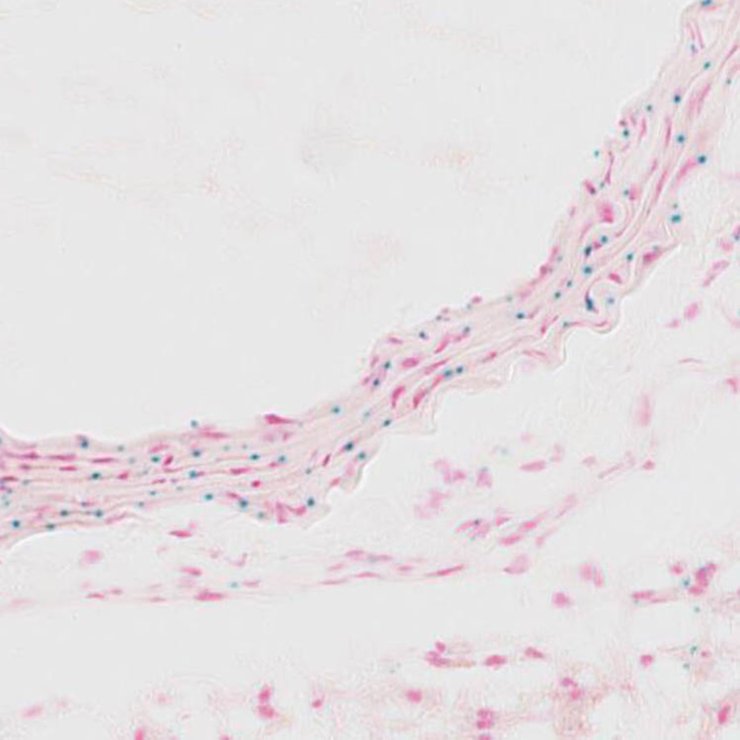
Specimen JAX_1801444: postnatal adult; Dcaf10tm1.1(KOMP)Vlcg/Dcaf10+ (more )
Structure Level Pattern Image Note
TS28: aorta Present JAX_1801444

Specimen JAX_1801445: postnatal adult; Dcaf10tm1.1(KOMP)Vlcg/Dcaf10+ (more )
Structure Level Pattern Image Note
TS28: white fat Present JAX_1801445

Specimen JAX_1801446: postnatal adult; Dcaf10tm1.1(KOMP)Vlcg/Dcaf10+ (more )
Structure Level Pattern Image Note
TS28: small intestine Present JAX_1801446

Specimen JAX_1801447: postnatal adult; Dcaf10tm1.1(KOMP)Vlcg/Dcaf10+ (more )
Structure Level Pattern Image Note
TS28: skeletal muscle tissue Present JAX_1801447

Specimen JAX_1801448: postnatal adult; Dcaf10tm1.1(KOMP)Vlcg/Dcaf10+ (more )
Structure Level Pattern Image Note
TS28: pituitary gland Present JAX_1801448

Specimen JAX_1801449: postnatal adult; Dcaf10tm1.1(KOMP)Vlcg/Dcaf10+ (more )
Structure Level Pattern Image Note
TS28: thyroid gland Present JAX_1801449

Specimen JAX_1801450: postnatal adult; Dcaf10tm1.1(KOMP)Vlcg/Dcaf10+ (more )
Structure Level Pattern Image Note
TS28: large intestine Present JAX_1801450

Specimen JAX_1801451: postnatal adult; Dcaf10tm1.1(KOMP)Vlcg/Dcaf10+ (more )
Structure Level Pattern Image Note
TS28: uterus Present JAX_1801451

Specimen JAX_1801452: postnatal adult; Dcaf10tm1.1(KOMP)Vlcg/Dcaf10+ (more )
Structure Level Pattern Image Note
TS28: trachea Present JAX_1801452

Specimen JAX_1801453: postnatal adult; Dcaf10tm1.1(KOMP)Vlcg/Dcaf10+ (more )
Structure Level Pattern Image Note
TS28: thymus Present JAX_1801453

Specimen JAX_1801454: postnatal adult; Dcaf10tm1.1(KOMP)Vlcg/Dcaf10+ (more )
Structure Level Pattern Image Note
TS28: stomach Present JAX_1801454

Specimen JAX_1801455: postnatal adult; Dcaf10tm1.1(KOMP)Vlcg/Dcaf10+ (more )
Structure Level Pattern Image Note
TS28: skin Present JAX_1801455

Specimen JAX_1801456: postnatal adult; Dcaf10tm1.1(KOMP)Vlcg/Dcaf10+ (more )
Structure Level Pattern Image Note
TS28: oviduct Present JAX_1801456

Specimen JAX_1801457: postnatal adult; Dcaf10tm1.1(KOMP)Vlcg/Dcaf10+ (more )
Structure Level Pattern Image Note
TS28: ovary Present JAX_1801457

Specimen JAX_1801458: postnatal adult; Dcaf10tm1.1(KOMP)Vlcg/Dcaf10+ (more )
Structure Level Pattern Image Note
TS28: lymph node Present JAX_1801458

Specimen JAX_1801459: postnatal adult; Dcaf10tm1.1(KOMP)Vlcg/Dcaf10+ (more )
Structure Level Pattern Image Note
TS28: liver Present JAX_1801459

Specimen JAX_1801460: postnatal adult; Dcaf10tm1.1(KOMP)Vlcg/Dcaf10+ (more )
Structure Level Pattern Image Note
TS28: metanephros Present JAX_1801460 kidney

Specimen JAX_1801461: postnatal adult; Dcaf10tm1.1(KOMP)Vlcg/Dcaf10+ (more )
Structure Level Pattern Image Note
TS28: heart Present JAX_1801461

Specimen JAX_1801462: postnatal adult; Dcaf10tm1.1(KOMP)Vlcg/Dcaf10+ (more )
Structure Level Pattern Image Note
TS28: eye Present JAX_1801462

Specimen JAX_1801463: postnatal adult; Dcaf10tm1.1(KOMP)Vlcg/Dcaf10+ (more )
Structure Level Pattern Image Note
TS28: brain Present JAX_1801463

Specimen JAX_1801464: postnatal adult; Dcaf10tm1.1(KOMP)Vlcg/Dcaf10+ (more )
Structure Level Pattern Image Note
TS28: adrenal gland Present JAX_1801464

Specimen JAX_1801422: postnatal adult; Dcaf10tm1.1(KOMP)Vlcg/Dcaf10+ (more )
Structure Level Pattern Image Note
TS28: vascular system Present JAX_1801422

Specimen JAX_1801423: postnatal adult; Dcaf10tm1.1(KOMP)Vlcg/Dcaf10+ (more )
Structure Level Pattern Image Note
TS28: epididymis Present JAX_1801423

Specimen JAX_1801424: postnatal adult; Dcaf10tm1.1(KOMP)Vlcg/Dcaf10+ (more )
Structure Level Pattern Image Note
TS28: brown fat Present JAX_1801424

Specimen JAX_1801425: postnatal adult; Dcaf10tm1.1(KOMP)Vlcg/Dcaf10+ (more )
Structure Level Pattern Image Note
TS28: bladder Present JAX_1801425

Specimen JAX_1801426: postnatal adult; Dcaf10tm1.1(KOMP)Vlcg/Dcaf10+ (more )
Structure Level Pattern Image Note
TS28: peripheral nervous system Present JAX_1801426

Specimen JAX_1801427: postnatal adult; Dcaf10tm1.1(KOMP)Vlcg/Dcaf10+ (more )
Structure Level Pattern Image Note
TS28: lung Present JAX_1801427

Specimen JAX_1801428: postnatal adult; Dcaf10tm1.1(KOMP)Vlcg/Dcaf10+ (more )
Structure Level Pattern Image Note
TS28: spinal cord Present JAX_1801428

Specimen JAX_1801429: postnatal adult; Dcaf10tm1.1(KOMP)Vlcg/Dcaf10+ (more )
Structure Level Pattern Image Note
TS28: esophagus Present JAX_1801429

Specimen JAX_1801430: postnatal adult; Dcaf10tm1.1(KOMP)Vlcg/Dcaf10+ (more )
Structure Level Pattern Image Note
TS28: testis Present JAX_1801430


Contributing Projects:
Mouse Genome Database (MGD), Gene Expression Database (GXD), Mouse Models of Human Cancer database (MMHCdb) (formerly Mouse Tumor Biology (MTB)), Gene Ontology (GO)
Citing These Resources
Funding Information
Warranty Disclaimer, Privacy Notice, Licensing, & Copyright
Send questions and comments to User Support.
last database update
01/20/2026
MGI 6.24
The Jackson Laboratory