About   Help   FAQ
Gene Expression Data
Assay Details
Assay
Reference: J:228563 Koscielny G, et al., The International Mouse Phenotyping Consortium Web Portal, a unified point of access for knockout mice and related phenotyping data. Nucleic Acids Res. 2014 Jan;42(Database issue):D802-9
Assay type: In situ reporter (knock in)
MGI Accession ID: MGI:6692381
Gene symbol: Fastkd5
Gene name: FAST kinase domains 5
Reporter: lacZ
Direct Detection
Results
Specimen JAX_1263179: embryonic day 12.5; Fastkd5tm1.1(KOMP)Vlcg/Fastkd5+ (more )
Structure Level Pattern Image Note
TS20: embryo Present JAX_1263179

Specimen JAX_1263181: embryonic day 12.5; Fastkd5tm1.1(KOMP)Vlcg/Fastkd5+ (more )
Structure Level Pattern Image Note
TS20: embryo Present JAX_1263181

Specimen JAX_1263183: embryonic day 12.5; Fastkd5tm1.1(KOMP)Vlcg/Fastkd5+ (more )
Structure Level Pattern Image Note
TS20: embryo Present JAX_1263183

Specimen JAX_1263185: embryonic day 12.5; Fastkd5tm1.1(KOMP)Vlcg/Fastkd5+ (more )
Structure Level Pattern Image Note
TS20: embryo Present JAX_1263185

Specimen JAX_1263187: embryonic day 12.5; Fastkd5tm1.1(KOMP)Vlcg/Fastkd5+ (more )
Structure Level Pattern Image Note
TS20: embryo Present JAX_1263187

Specimen JAX_1263189: embryonic day 12.5; Fastkd5tm1.1(KOMP)Vlcg/Fastkd5+ (more )
Structure Level Pattern Image Note
TS20: embryo Present JAX_1263189

Specimen JAX_1263191: embryonic day 12.5; Fastkd5tm1.1(KOMP)Vlcg/Fastkd5+ (more )
Structure Level Pattern Image Note
TS20: embryo Present JAX_1263191

Specimen JAX_1263193: embryonic day 12.5; Fastkd5tm1.1(KOMP)Vlcg/Fastkd5+ (more )
Structure Level Pattern Image Note
TS20: embryo Present JAX_1263193

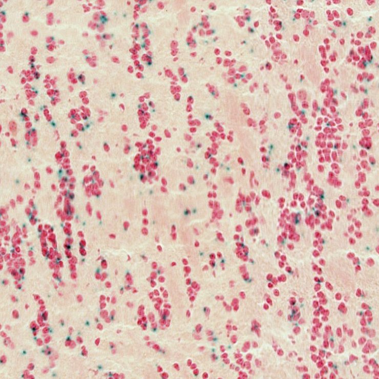
Specimen JAX_1630094: postnatal adult; Fastkd5tm1.1(KOMP)Vlcg/Fastkd5+ (more )
Structure Level Pattern Image Note
TS28: thalamus Present JAX_1630094

Specimen JAX_1630095: postnatal adult; Fastkd5tm1.1(KOMP)Vlcg/Fastkd5+ (more )
Structure Level Pattern Image Note
TS28: midbrain Present JAX_1630095

Specimen JAX_1630096: postnatal adult; Fastkd5tm1.1(KOMP)Vlcg/Fastkd5+ (more )
Structure Level Pattern Image Note
TS28: vascular system Present JAX_1630096

Specimen JAX_1630097: postnatal adult; Fastkd5tm1.1(KOMP)Vlcg/Fastkd5+ (more )
Structure Level Pattern Image Note
TS28: bladder Present JAX_1630097

Specimen JAX_1630098: postnatal adult; Fastkd5tm1.1(KOMP)Vlcg/Fastkd5+ (more )
Structure Level Pattern Image Note
TS28: corpus striatum Present JAX_1630098

Specimen JAX_1630099: postnatal adult; Fastkd5tm1.1(KOMP)Vlcg/Fastkd5+ (more )
Structure Level Pattern Image Note
TS28: Peyer's patch Present JAX_1630099

Specimen JAX_1630100: postnatal adult; Fastkd5tm1.1(KOMP)Vlcg/Fastkd5+ (more )
Structure Level Pattern Image Note
TS28: hypothalamus Present JAX_1630100

Specimen JAX_1630101: postnatal adult; Fastkd5tm1.1(KOMP)Vlcg/Fastkd5+ (more )
Structure Level Pattern Image Note
TS28: cartilage Present JAX_1630101

Specimen JAX_1630102: postnatal adult; Fastkd5tm1.1(KOMP)Vlcg/Fastkd5+ (more )
Structure Level Pattern Image Note
TS28: pancreas Present JAX_1630102

Specimen JAX_1630103: postnatal adult; Fastkd5tm1.1(KOMP)Vlcg/Fastkd5+ (more )
Structure Level Pattern Image Note
TS28: aorta Present JAX_1630103

Specimen JAX_1630104: postnatal adult; Fastkd5tm1.1(KOMP)Vlcg/Fastkd5+ (more )
Structure Level Pattern Image Note
TS28: pituitary gland Present JAX_1630104

Specimen JAX_1630105: postnatal adult; Fastkd5tm1.1(KOMP)Vlcg/Fastkd5+ (more )
Structure Level Pattern Image Note
TS28: spinal cord Present JAX_1630105

Specimen JAX_1630106: postnatal adult; Fastkd5tm1.1(KOMP)Vlcg/Fastkd5+ (more )
Structure Level Pattern Image Note
TS28: esophagus Present JAX_1630106

Specimen JAX_1630107: postnatal adult; Fastkd5tm1.1(KOMP)Vlcg/Fastkd5+ (more )
Structure Level Pattern Image Note
TS28: large intestine Present JAX_1630107

Specimen JAX_1630108: postnatal adult; Fastkd5tm1.1(KOMP)Vlcg/Fastkd5+ (more )
Structure Level Pattern Image Note
TS28: uterus Present JAX_1630108

Specimen JAX_1630109: postnatal adult; Fastkd5tm1.1(KOMP)Vlcg/Fastkd5+ (more )
Structure Level Pattern Image Note
TS28: thymus Present JAX_1630109

Specimen JAX_1630110: postnatal adult; Fastkd5tm1.1(KOMP)Vlcg/Fastkd5+ (more )
Structure Level Pattern Image Note
TS28: stomach Present JAX_1630110

Specimen JAX_1630111: postnatal adult; Fastkd5tm1.1(KOMP)Vlcg/Fastkd5+ (more )
Structure Level Pattern Image Note
TS28: skin Present JAX_1630111

Specimen JAX_1630112: postnatal adult; Fastkd5tm1.1(KOMP)Vlcg/Fastkd5+ (more )
Structure Level Pattern Image Note
TS28: oviduct Present JAX_1630112

Specimen JAX_1630113: postnatal adult; Fastkd5tm1.1(KOMP)Vlcg/Fastkd5+ (more )
Structure Level Pattern Image Note
TS28: ovary Present JAX_1630113

Specimen JAX_1630114: postnatal adult; Fastkd5tm1.1(KOMP)Vlcg/Fastkd5+ (more )
Structure Level Pattern Image Note
TS28: mammary gland Present JAX_1630114

Specimen JAX_1630115: postnatal adult; Fastkd5tm1.1(KOMP)Vlcg/Fastkd5+ (more )
Structure Level Pattern Image Note
TS28: metanephros Present JAX_1630115 kidney

Specimen JAX_1630075: postnatal adult; Fastkd5tm1.1(KOMP)Vlcg/Fastkd5+ (more )
Structure Level Pattern Image Note
TS28: epididymis Present JAX_1630075

Specimen JAX_1630077: postnatal adult; Fastkd5tm1.1(KOMP)Vlcg/Fastkd5+ (more )
Structure Level Pattern Image Note
TS28: peripheral nervous system Present JAX_1630077

Specimen JAX_1630078: postnatal adult; Fastkd5tm1.1(KOMP)Vlcg/Fastkd5+ (more )
Structure Level Pattern Image Note
TS28: olfactory lobe Present JAX_1630078

Specimen JAX_1630079: postnatal adult; Fastkd5tm1.1(KOMP)Vlcg/Fastkd5+ (more )
Structure Level Pattern Image Note
TS28: hippocampus Present JAX_1630079

Specimen JAX_1630080: postnatal adult; Fastkd5tm1.1(KOMP)Vlcg/Fastkd5+ (more )
Structure Level Pattern Image Note
TS28: cerebellum Present JAX_1630080

Specimen JAX_1630081: postnatal adult; Fastkd5tm1.1(KOMP)Vlcg/Fastkd5+ (more )
Structure Level Pattern Image Note
TS28: cerebral cortex Present JAX_1630081

Specimen JAX_1630082: postnatal adult; Fastkd5tm1.1(KOMP)Vlcg/Fastkd5+ (more )
Structure Level Pattern Image Note
TS28: brainstem Present JAX_1630082

Specimen JAX_1630083: postnatal adult; Fastkd5tm1.1(KOMP)Vlcg/Fastkd5+ (more )
Structure Level Pattern Image Note
TS28: spleen Present JAX_1630083

Specimen JAX_1630084: postnatal adult; Fastkd5tm1.1(KOMP)Vlcg/Fastkd5+ (more )
Structure Level Pattern Image Note
TS28: lung Present JAX_1630084

Specimen JAX_1630085: postnatal adult; Fastkd5tm1.1(KOMP)Vlcg/Fastkd5+ (more )
Structure Level Pattern Image Note
TS28: small intestine Present JAX_1630085

Specimen JAX_1630086: postnatal adult; Fastkd5tm1.1(KOMP)Vlcg/Fastkd5+ (more )
Structure Level Pattern Image Note
TS28: skeletal muscle tissue Present JAX_1630086

Specimen JAX_1630087: postnatal adult; Fastkd5tm1.1(KOMP)Vlcg/Fastkd5+ (more )
Structure Level Pattern Image Note
TS28: trachea Present JAX_1630087

Specimen JAX_1630088: postnatal adult; Fastkd5tm1.1(KOMP)Vlcg/Fastkd5+ (more )
Structure Level Pattern Image Note
TS28: testis Present JAX_1630088

Specimen JAX_1630089: postnatal adult; Fastkd5tm1.1(KOMP)Vlcg/Fastkd5+ (more )
Structure Level Pattern Image Note
TS28: lymph node Present JAX_1630089

Specimen JAX_1630090: postnatal adult; Fastkd5tm1.1(KOMP)Vlcg/Fastkd5+ (more )
Structure Level Pattern Image Note
TS28: heart Present JAX_1630090

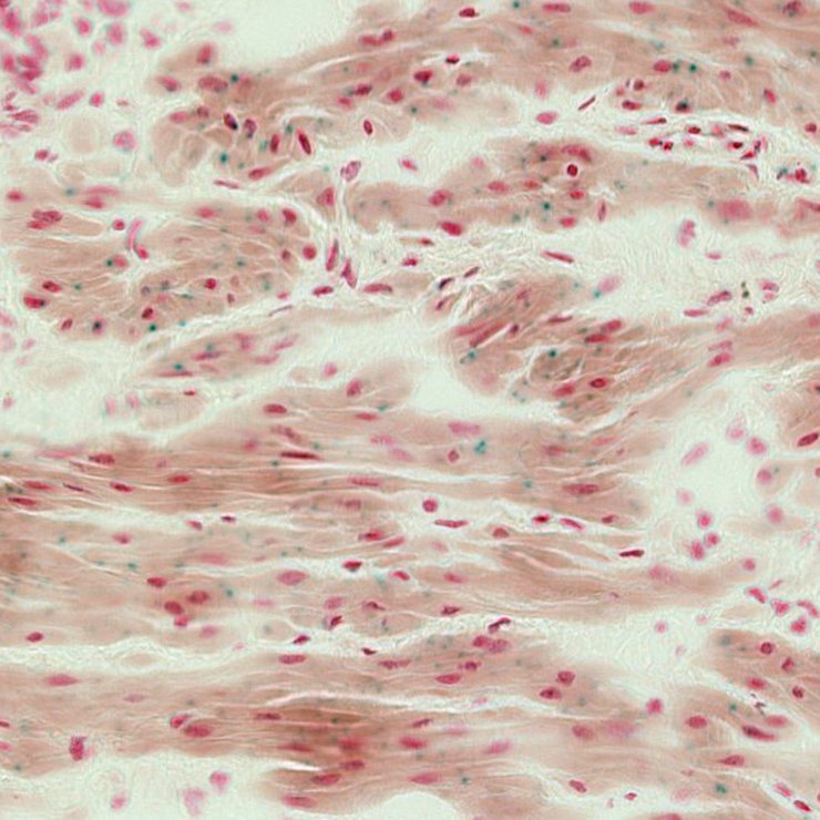
Specimen JAX_1630091: postnatal adult; Fastkd5tm1.1(KOMP)Vlcg/Fastkd5+ (more )
Structure Level Pattern Image Note
TS28: eye Present JAX_1630091

Specimen JAX_1630092: postnatal adult; Fastkd5tm1.1(KOMP)Vlcg/Fastkd5+ (more )
Structure Level Pattern Image Note
TS28: brain Present JAX_1630092

Specimen JAX_1630093: postnatal adult; Fastkd5tm1.1(KOMP)Vlcg/Fastkd5+ (more )
Structure Level Pattern Image Note
TS28: adrenal gland Present JAX_1630093


Contributing Projects:
Mouse Genome Database (MGD), Gene Expression Database (GXD), Mouse Models of Human Cancer database (MMHCdb) (formerly Mouse Tumor Biology (MTB)), Gene Ontology (GO)
Citing These Resources
Funding Information
Warranty Disclaimer, Privacy Notice, Licensing, & Copyright
Send questions and comments to User Support.
last database update
01/28/2026
MGI 6.24
The Jackson Laboratory