About   Help   FAQ
Gene Expression Data
Assay Details
Assay
Reference: J:228563 Koscielny G, et al., The International Mouse Phenotyping Consortium Web Portal, a unified point of access for knockout mice and related phenotyping data. Nucleic Acids Res. 2014 Jan;42(Database issue):D802-9
Assay type: In situ reporter (knock in)
MGI Accession ID: MGI:6692368
Gene symbol: Sfxn1
Gene name: sideroflexin 1
Reporter: lacZ
Direct Detection
Results
Specimen JAX_1314539: embryonic day 12.5; Sfxn1tm1b(EUCOMM)Wtsi/Sfxn1+ (more )
Structure Level Pattern Image Note
TS20: embryo Present JAX_1314539

Specimen JAX_1314540: embryonic day 12.5; Sfxn1tm1b(EUCOMM)Wtsi/Sfxn1+ (more )
Structure Level Pattern Image Note
TS20: embryo Present JAX_1314540

Specimen JAX_1314541: embryonic day 12.5; Sfxn1tm1b(EUCOMM)Wtsi/Sfxn1+ (more )
Structure Level Pattern Image Note
TS20: embryo Present JAX_1314541

Specimen JAX_1314542: embryonic day 12.5; Sfxn1tm1b(EUCOMM)Wtsi/Sfxn1+ (more )
Structure Level Pattern Image Note
TS20: embryo Present JAX_1314542

Specimen JAX_1314535: embryonic day 12.5; Sfxn1tm1b(EUCOMM)Wtsi/Sfxn1+ (more )
Structure Level Pattern Image Note
TS20: embryo Present JAX_1314535

Specimen JAX_1314536: embryonic day 12.5; Sfxn1tm1b(EUCOMM)Wtsi/Sfxn1+ (more )
Structure Level Pattern Image Note
TS20: embryo Present JAX_1314536

Specimen JAX_1314537: embryonic day 12.5; Sfxn1tm1b(EUCOMM)Wtsi/Sfxn1+ (more )
Structure Level Pattern Image Note
TS20: embryo Present JAX_1314537

Specimen JAX_1314538: embryonic day 12.5; Sfxn1tm1b(EUCOMM)Wtsi/Sfxn1+ (more )
Structure Level Pattern Image Note
TS20: embryo Present JAX_1314538

Specimen JAX_1373673: postnatal adult; Sfxn1tm1b(EUCOMM)Wtsi/Sfxn1+ (more )
Structure Level Pattern Image Note
TS28: midbrain Present JAX_1373673

Specimen JAX_1373674: postnatal adult; Sfxn1tm1b(EUCOMM)Wtsi/Sfxn1+ (more )
Structure Level Pattern Image Note
TS28: vascular system Present JAX_1373674

Specimen JAX_1373675: postnatal adult; Sfxn1tm1b(EUCOMM)Wtsi/Sfxn1+ (more )
Structure Level Pattern Image Note
TS28: bladder Present JAX_1373675

Specimen JAX_1373676: postnatal adult; Sfxn1tm1b(EUCOMM)Wtsi/Sfxn1+ (more )
Structure Level Pattern Image Note
TS28: olfactory lobe Present JAX_1373676

Specimen JAX_1373677: postnatal adult; Sfxn1tm1b(EUCOMM)Wtsi/Sfxn1+ (more )
Structure Level Pattern Image Note
TS28: hypothalamus Present JAX_1373677

Specimen JAX_1373678: postnatal adult; Sfxn1tm1b(EUCOMM)Wtsi/Sfxn1+ (more )
Structure Level Pattern Image Note
TS28: cerebral cortex Present JAX_1373678

Specimen JAX_1373679: postnatal adult; Sfxn1tm1b(EUCOMM)Wtsi/Sfxn1+ (more )
Structure Level Pattern Image Note
TS28: pancreas Present JAX_1373679

Specimen JAX_1373680: postnatal adult; Sfxn1tm1b(EUCOMM)Wtsi/Sfxn1+ (more )
Structure Level Pattern Image Note
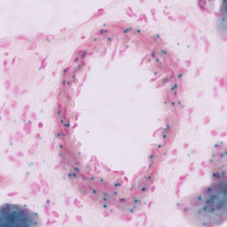
TS28: aorta Present JAX_1373680

Specimen JAX_1373681: postnatal adult; Sfxn1tm1b(EUCOMM)Wtsi/Sfxn1+ (more )
Structure Level Pattern Image Note
TS28: lung Present JAX_1373681

Specimen JAX_1373682: postnatal adult; Sfxn1tm1b(EUCOMM)Wtsi/Sfxn1+ (more )
Structure Level Pattern Image Note
TS28: white fat Present JAX_1373682

Specimen JAX_1373683: postnatal adult; Sfxn1tm1b(EUCOMM)Wtsi/Sfxn1+ (more )
Structure Level Pattern Image Note
TS28: small intestine Present JAX_1373683

Specimen JAX_1373684: postnatal adult; Sfxn1tm1b(EUCOMM)Wtsi/Sfxn1+ (more )
Structure Level Pattern Image Note
TS28: spinal cord Present JAX_1373684

Specimen JAX_1373685: postnatal adult; Sfxn1tm1b(EUCOMM)Wtsi/Sfxn1+ (more )
Structure Level Pattern Image Note
TS28: large intestine Present JAX_1373685

Specimen JAX_1373686: postnatal adult; Sfxn1tm1b(EUCOMM)Wtsi/Sfxn1+ (more )
Structure Level Pattern Image Note
TS28: uterus Present JAX_1373686

Specimen JAX_1373687: postnatal adult; Sfxn1tm1b(EUCOMM)Wtsi/Sfxn1+ (more )
Structure Level Pattern Image Note
TS28: oviduct Present JAX_1373687

Specimen JAX_1373688: postnatal adult; Sfxn1tm1b(EUCOMM)Wtsi/Sfxn1+ (more )
Structure Level Pattern Image Note
TS28: ovary Present JAX_1373688

Specimen JAX_1373689: postnatal adult; Sfxn1tm1b(EUCOMM)Wtsi/Sfxn1+ (more )
Structure Level Pattern Image Note
TS28: mammary gland Present JAX_1373689

Specimen JAX_1373690: postnatal adult; Sfxn1tm1b(EUCOMM)Wtsi/Sfxn1+ (more )
Structure Level Pattern Image Note
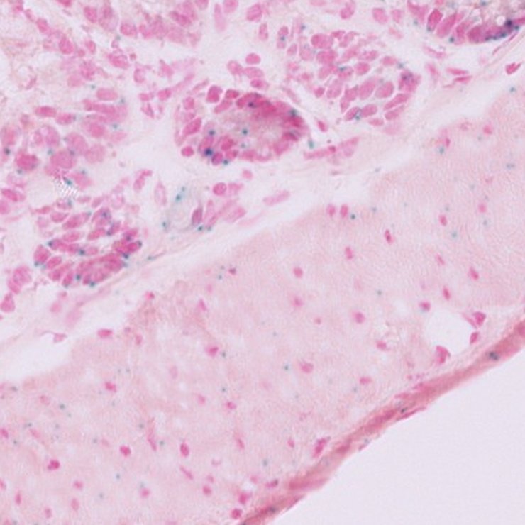
TS28: heart Present JAX_1373690

Specimen JAX_1373650: postnatal adult; Sfxn1tm1b(EUCOMM)Wtsi/Sfxn1+ (more )
Structure Level Pattern Image Note
TS28: thalamus Present JAX_1373650

Specimen JAX_1373651: postnatal adult; Sfxn1tm1b(EUCOMM)Wtsi/Sfxn1+ (more )
Structure Level Pattern Image Note
TS28: epididymis Present JAX_1373651

Specimen JAX_1373652: postnatal adult; Sfxn1tm1b(EUCOMM)Wtsi/Sfxn1+ (more )
Structure Level Pattern Image Note
TS28: submandibular gland Present JAX_1373652

Specimen JAX_1373653: postnatal adult; Sfxn1tm1b(EUCOMM)Wtsi/Sfxn1+ (more )
Structure Level Pattern Image Note
TS28: brown fat Present JAX_1373653

Specimen JAX_1373654: postnatal adult; Sfxn1tm1b(EUCOMM)Wtsi/Sfxn1+ (more )
Structure Level Pattern Image Note
TS28: corpus striatum Present JAX_1373654

Specimen JAX_1373655: postnatal adult; Sfxn1tm1b(EUCOMM)Wtsi/Sfxn1+ (more )
Structure Level Pattern Image Note
TS28: peripheral nervous system Present JAX_1373655

Specimen JAX_1373656: postnatal adult; Sfxn1tm1b(EUCOMM)Wtsi/Sfxn1+ (more )
Structure Level Pattern Image Note
TS28: hippocampus Present JAX_1373656

Specimen JAX_1373657: postnatal adult; Sfxn1tm1b(EUCOMM)Wtsi/Sfxn1+ (more )
Structure Level Pattern Image Note
TS28: cerebellum Present JAX_1373657

Specimen JAX_1373658: postnatal adult; Sfxn1tm1b(EUCOMM)Wtsi/Sfxn1+ (more )
Structure Level Pattern Image Note
TS28: cartilage Present JAX_1373658

Specimen JAX_1373659: postnatal adult; Sfxn1tm1b(EUCOMM)Wtsi/Sfxn1+ (more )
Structure Level Pattern Image Note
TS28: brainstem Present JAX_1373659

Specimen JAX_1373660: postnatal adult; Sfxn1tm1b(EUCOMM)Wtsi/Sfxn1+ (more )
Structure Level Pattern Image Note
TS28: spleen Present JAX_1373660

Specimen JAX_1373661: postnatal adult; Sfxn1tm1b(EUCOMM)Wtsi/Sfxn1+ (more )
Structure Level Pattern Image Note
TS28: pituitary gland Present JAX_1373661

Specimen JAX_1373662: postnatal adult; Sfxn1tm1b(EUCOMM)Wtsi/Sfxn1+ (more )
Structure Level Pattern Image Note
TS28: esophagus Present JAX_1373662

Specimen JAX_1373663: postnatal adult; Sfxn1tm1b(EUCOMM)Wtsi/Sfxn1+ (more )
Structure Level Pattern Image Note
TS28: trachea Absent JAX_1373663

Specimen JAX_1373664: postnatal adult; Sfxn1tm1b(EUCOMM)Wtsi/Sfxn1+ (more )
Structure Level Pattern Image Note
TS28: testis Present JAX_1373664

Specimen JAX_1373665: postnatal adult; Sfxn1tm1b(EUCOMM)Wtsi/Sfxn1+ (more )
Structure Level Pattern Image Note
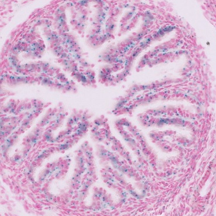
TS28: stomach Present JAX_1373665

Specimen JAX_1373666: postnatal adult; Sfxn1tm1b(EUCOMM)Wtsi/Sfxn1+ (more )
Structure Level Pattern Image Note
TS28: skin Present JAX_1373666

Specimen JAX_1373667: postnatal adult; Sfxn1tm1b(EUCOMM)Wtsi/Sfxn1+ (more )
Structure Level Pattern Image Note
TS28: lymph node Present JAX_1373667

Specimen JAX_1373668: postnatal adult; Sfxn1tm1b(EUCOMM)Wtsi/Sfxn1+ (more )
Structure Level Pattern Image Note
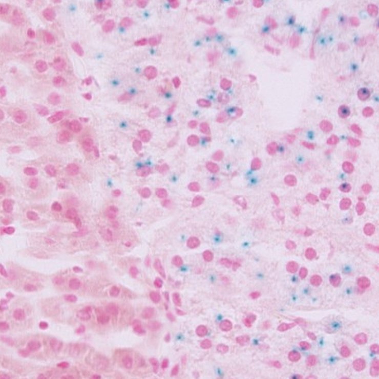
TS28: liver Present JAX_1373668

Specimen JAX_1373669: postnatal adult; Sfxn1tm1b(EUCOMM)Wtsi/Sfxn1+ (more )
Structure Level Pattern Image Note
TS28: metanephros Present JAX_1373669 kidney

Specimen JAX_1373670: postnatal adult; Sfxn1tm1b(EUCOMM)Wtsi/Sfxn1+ (more )
Structure Level Pattern Image Note
TS28: eye Present JAX_1373670

Specimen JAX_1373671: postnatal adult; Sfxn1tm1b(EUCOMM)Wtsi/Sfxn1+ (more )
Structure Level Pattern Image Note
TS28: brain Present JAX_1373671

Specimen JAX_1373672: postnatal adult; Sfxn1tm1b(EUCOMM)Wtsi/Sfxn1+ (more )
Structure Level Pattern Image Note
TS28: adrenal gland Present JAX_1373672


Contributing Projects:
Mouse Genome Database (MGD), Gene Expression Database (GXD), Mouse Models of Human Cancer database (MMHCdb) (formerly Mouse Tumor Biology (MTB)), Gene Ontology (GO)
Citing These Resources
Funding Information
Warranty Disclaimer, Privacy Notice, Licensing, & Copyright
Send questions and comments to User Support.
last database update
01/06/2026
MGI 6.24
The Jackson Laboratory