About   Help   FAQ
Gene Expression Data
Assay Details
Assay
Reference: J:228563 Koscielny G, et al., The International Mouse Phenotyping Consortium Web Portal, a unified point of access for knockout mice and related phenotyping data. Nucleic Acids Res. 2014 Jan;42(Database issue):D802-9
Assay type: In situ reporter (knock in)
MGI Accession ID: MGI:6692367
Gene symbol: Snx18
Gene name: sorting nexin 18
Reporter: lacZ
Direct Detection
Results
Specimen JAX_1314367: embryonic day 12.5; Snx18tm1.1(KOMP)Vlcg/Snx18+ (more )
Structure Level Pattern Image Note
TS20: embryo Present JAX_1314367

Specimen JAX_1314368: embryonic day 12.5; Snx18tm1.1(KOMP)Vlcg/Snx18+ (more )
Structure Level Pattern Image Note
TS20: embryo Present JAX_1314368

Specimen JAX_1314369: embryonic day 12.5; Snx18tm1.1(KOMP)Vlcg/Snx18+ (more )
Structure Level Pattern Image Note
TS20: embryo Present JAX_1314369

Specimen JAX_1314370: embryonic day 12.5; Snx18tm1.1(KOMP)Vlcg/Snx18+ (more )
Structure Level Pattern Image Note
TS20: embryo Present JAX_1314370

Specimen JAX_1314371: embryonic day 12.5; Snx18tm1.1(KOMP)Vlcg/Snx18+ (more )
Structure Level Pattern Image Note
TS20: embryo Present JAX_1314371

Specimen JAX_1314372: embryonic day 12.5; Snx18tm1.1(KOMP)Vlcg/Snx18+ (more )
Structure Level Pattern Image Note
TS20: embryo Present JAX_1314372

Specimen JAX_1314373: embryonic day 12.5; Snx18tm1.1(KOMP)Vlcg/Snx18+ (more )
Structure Level Pattern Image Note
TS20: embryo Present JAX_1314373

Specimen JAX_1314374: embryonic day 12.5; Snx18tm1.1(KOMP)Vlcg/Snx18+ (more )
Structure Level Pattern Image Note
TS20: embryo Present JAX_1314374

Specimen JAX_1470685: postnatal adult; Snx18tm1.1(KOMP)Vlcg/Snx18+ (more )
Structure Level Pattern Image Note
TS28: vascular system Present JAX_1470685

Specimen JAX_1470686: postnatal adult; Snx18tm1.1(KOMP)Vlcg/Snx18+ (more )
Structure Level Pattern Image Note
TS28: brown fat Present JAX_1470686

Specimen JAX_1470687: postnatal adult; Snx18tm1.1(KOMP)Vlcg/Snx18+ (more )
Structure Level Pattern Image Note
TS28: bladder Present JAX_1470687

Specimen JAX_1470688: postnatal adult; Snx18tm1.1(KOMP)Vlcg/Snx18+ (more )
Structure Level Pattern Image Note
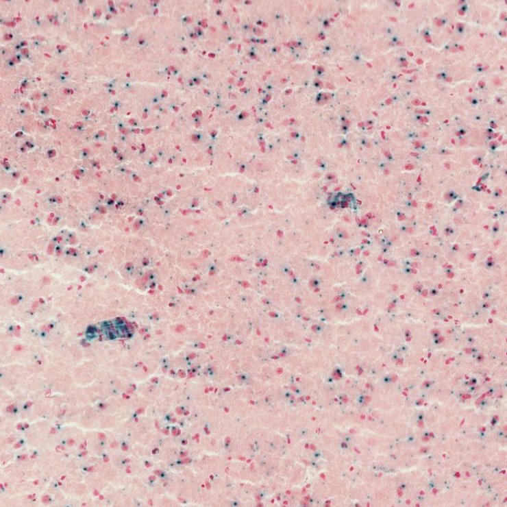
TS28: cerebral cortex Present JAX_1470688

Specimen JAX_1470689: postnatal adult; Snx18tm1.1(KOMP)Vlcg/Snx18+ (more )
Structure Level Pattern Image Note
TS28: small intestine Present JAX_1470689

Specimen JAX_1470690: postnatal adult; Snx18tm1.1(KOMP)Vlcg/Snx18+ (more )
Structure Level Pattern Image Note
TS28: pituitary gland Present JAX_1470690

Specimen JAX_1470691: postnatal adult; Snx18tm1.1(KOMP)Vlcg/Snx18+ (more )
Structure Level Pattern Image Note
TS28: thyroid gland Present JAX_1470691

Specimen JAX_1470692: postnatal adult; Snx18tm1.1(KOMP)Vlcg/Snx18+ (more )
Structure Level Pattern Image Note
TS28: spinal cord Present JAX_1470692

Specimen JAX_1470693: postnatal adult; Snx18tm1.1(KOMP)Vlcg/Snx18+ (more )
Structure Level Pattern Image Note
TS28: esophagus Present JAX_1470693

Specimen JAX_1470694: postnatal adult; Snx18tm1.1(KOMP)Vlcg/Snx18+ (more )
Structure Level Pattern Image Note
TS28: uterus Present JAX_1470694

Specimen JAX_1470695: postnatal adult; Snx18tm1.1(KOMP)Vlcg/Snx18+ (more )
Structure Level Pattern Image Note
TS28: trachea Present JAX_1470695

Specimen JAX_1470696: postnatal adult; Snx18tm1.1(KOMP)Vlcg/Snx18+ (more )
Structure Level Pattern Image Note
TS28: stomach Present JAX_1470696

Specimen JAX_1470697: postnatal adult; Snx18tm1.1(KOMP)Vlcg/Snx18+ (more )
Structure Level Pattern Image Note
TS28: oviduct Present JAX_1470697

Specimen JAX_1470698: postnatal adult; Snx18tm1.1(KOMP)Vlcg/Snx18+ (more )
Structure Level Pattern Image Note
TS28: ovary Present JAX_1470698

Specimen JAX_1470699: postnatal adult; Snx18tm1.1(KOMP)Vlcg/Snx18+ (more )
Structure Level Pattern Image Note
TS28: mammary gland Present JAX_1470699

Specimen JAX_1470700: postnatal adult; Snx18tm1.1(KOMP)Vlcg/Snx18+ (more )
Structure Level Pattern Image Note
TS28: eye Present JAX_1470700

Specimen JAX_1470701: postnatal adult; Snx18tm1.1(KOMP)Vlcg/Snx18+ (more )
Structure Level Pattern Image Note
TS28: brain Present JAX_1470701

Specimen JAX_1470702: postnatal adult; Snx18tm1.1(KOMP)Vlcg/Snx18+ (more )
Structure Level Pattern Image Note
TS28: thalamus Present JAX_1470702

Specimen JAX_1470703: postnatal adult; Snx18tm1.1(KOMP)Vlcg/Snx18+ (more )
Structure Level Pattern Image Note
TS28: midbrain Present JAX_1470703

Specimen JAX_1470704: postnatal adult; Snx18tm1.1(KOMP)Vlcg/Snx18+ (more )
Structure Level Pattern Image Note
TS28: epididymis Present JAX_1470704

Specimen JAX_1470705: postnatal adult; Snx18tm1.1(KOMP)Vlcg/Snx18+ (more )
Structure Level Pattern Image Note
TS28: submandibular gland Present JAX_1470705

Specimen JAX_1470706: postnatal adult; Snx18tm1.1(KOMP)Vlcg/Snx18+ (more )
Structure Level Pattern Image Note
TS28: bone Present JAX_1470706

Specimen JAX_1470707: postnatal adult; Snx18tm1.1(KOMP)Vlcg/Snx18+ (more )
Structure Level Pattern Image Note
TS28: corpus striatum Present JAX_1470707

Specimen JAX_1470708: postnatal adult; Snx18tm1.1(KOMP)Vlcg/Snx18+ (more )
Structure Level Pattern Image Note
TS28: Peyer's patch Present JAX_1470708

Specimen JAX_1470709: postnatal adult; Snx18tm1.1(KOMP)Vlcg/Snx18+ (more )
Structure Level Pattern Image Note
TS28: peripheral nervous system Present JAX_1470709

Specimen JAX_1470710: postnatal adult; Snx18tm1.1(KOMP)Vlcg/Snx18+ (more )
Structure Level Pattern Image Note
TS28: olfactory lobe Present JAX_1470710

Specimen JAX_1470711: postnatal adult; Snx18tm1.1(KOMP)Vlcg/Snx18+ (more )
Structure Level Pattern Image Note
TS28: hypothalamus Present JAX_1470711

Specimen JAX_1470712: postnatal adult; Snx18tm1.1(KOMP)Vlcg/Snx18+ (more )
Structure Level Pattern Image Note
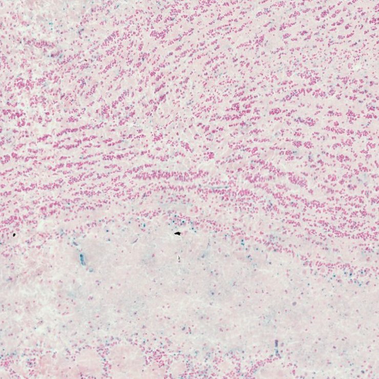
TS28: hippocampus Present JAX_1470712

Specimen JAX_1470713: postnatal adult; Snx18tm1.1(KOMP)Vlcg/Snx18+ (more )
Structure Level Pattern Image Note
TS28: cerebellum Present JAX_1470713

Specimen JAX_1470714: postnatal adult; Snx18tm1.1(KOMP)Vlcg/Snx18+ (more )
Structure Level Pattern Image Note
TS28: cartilage Present JAX_1470714

Specimen JAX_1470715: postnatal adult; Snx18tm1.1(KOMP)Vlcg/Snx18+ (more )
Structure Level Pattern Image Note
TS28: brainstem Present JAX_1470715

Specimen JAX_1470716: postnatal adult; Snx18tm1.1(KOMP)Vlcg/Snx18+ (more )
Structure Level Pattern Image Note
TS28: spleen Present JAX_1470716

Specimen JAX_1470717: postnatal adult; Snx18tm1.1(KOMP)Vlcg/Snx18+ (more )
Structure Level Pattern Image Note
TS28: pancreas Present JAX_1470717

Specimen JAX_1470718: postnatal adult; Snx18tm1.1(KOMP)Vlcg/Snx18+ (more )
Structure Level Pattern Image Note
TS28: aorta Present JAX_1470718

Specimen JAX_1470719: postnatal adult; Snx18tm1.1(KOMP)Vlcg/Snx18+ (more )
Structure Level Pattern Image Note
TS28: lung Present JAX_1470719

Specimen JAX_1470720: postnatal adult; Snx18tm1.1(KOMP)Vlcg/Snx18+ (more )
Structure Level Pattern Image Note
TS28: white fat Present JAX_1470720

Specimen JAX_1470721: postnatal adult; Snx18tm1.1(KOMP)Vlcg/Snx18+ (more )
Structure Level Pattern Image Note
TS28: skeletal muscle tissue Present JAX_1470721

Specimen JAX_1470722: postnatal adult; Snx18tm1.1(KOMP)Vlcg/Snx18+ (more )
Structure Level Pattern Image Note
TS28: large intestine Present JAX_1470722

Specimen JAX_1470723: postnatal adult; Snx18tm1.1(KOMP)Vlcg/Snx18+ (more )
Structure Level Pattern Image Note
TS28: thymus Present JAX_1470723

Specimen JAX_1470724: postnatal adult; Snx18tm1.1(KOMP)Vlcg/Snx18+ (more )
Structure Level Pattern Image Note
TS28: testis Present JAX_1470724

Specimen JAX_1470725: postnatal adult; Snx18tm1.1(KOMP)Vlcg/Snx18+ (more )
Structure Level Pattern Image Note
TS28: skin Present JAX_1470725

Specimen JAX_1470726: postnatal adult; Snx18tm1.1(KOMP)Vlcg/Snx18+ (more )
Structure Level Pattern Image Note
TS28: lymph node Present JAX_1470726

Specimen JAX_1470727: postnatal adult; Snx18tm1.1(KOMP)Vlcg/Snx18+ (more )
Structure Level Pattern Image Note
TS28: metanephros Present JAX_1470727 kidney

Specimen JAX_1470728: postnatal adult; Snx18tm1.1(KOMP)Vlcg/Snx18+ (more )
Structure Level Pattern Image Note
TS28: heart Present JAX_1470728

Specimen JAX_1470729: postnatal adult; Snx18tm1.1(KOMP)Vlcg/Snx18+ (more )
Structure Level Pattern Image Note
TS28: adrenal gland Present JAX_1470729


Contributing Projects:
Mouse Genome Database (MGD), Gene Expression Database (GXD), Mouse Models of Human Cancer database (MMHCdb) (formerly Mouse Tumor Biology (MTB)), Gene Ontology (GO)
Citing These Resources
Funding Information
Warranty Disclaimer, Privacy Notice, Licensing, & Copyright
Send questions and comments to User Support.
last database update
03/24/2026
MGI 6.24
The Jackson Laboratory