About   Help   FAQ
Gene Expression Data
Assay Details
Assay
Reference: J:228563 Koscielny G, et al., The International Mouse Phenotyping Consortium Web Portal, a unified point of access for knockout mice and related phenotyping data. Nucleic Acids Res. 2014 Jan;42(Database issue):D802-9
Assay type: In situ reporter (knock in)
MGI Accession ID: MGI:6692356
Gene symbol: Fam20c
Gene name: FAM20C, golgi associated secretory pathway kinase
Reporter: lacZ
Direct Detection
Results
Specimen UC Davis_1869068: postnatal adult; Fam20ctm1e.1(KOMP)Wtsi/Fam20c+ (more )
Note: The IMPC refers to this as a tm1b allele; when using standard nomenclature conventions, however, it is a tm1e.1 allele
Structure Level Pattern Image Note
TS28: sublingual gland Present UC Davis_1869068

Specimen UC Davis_1869069: postnatal adult; Fam20ctm1e.1(KOMP)Wtsi/Fam20c+ (more )
Note: The IMPC refers to this as a tm1b allele; when using standard nomenclature conventions, however, it is a tm1e.1 allele
Structure Level Pattern Image Note
TS28: parotid gland Present UC Davis_1869069

Specimen UC Davis_1869073: postnatal adult; Fam20ctm1e.1(KOMP)Wtsi/Fam20c+ (more )
Note: The IMPC refers to this as a tm1b allele; when using standard nomenclature conventions, however, it is a tm1e.1 allele
Structure Level Pattern Image Note
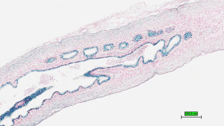
TS28: trachea Present UC Davis_1869073

Specimen UC Davis_1869074: postnatal adult; Fam20ctm1e.1(KOMP)Wtsi/Fam20c+ (more )
Note: The IMPC refers to this as a tm1b allele; when using standard nomenclature conventions, however, it is a tm1e.1 allele
Structure Level Pattern Image Note
TS28: trachea Present UC Davis_1869074

Specimen UC Davis_1869075: postnatal adult; Fam20ctm1e.1(KOMP)Wtsi/Fam20c+ (more )
Note: The IMPC refers to this as a tm1b allele; when using standard nomenclature conventions, however, it is a tm1e.1 allele
Structure Level Pattern Image Note
TS28: trachea Present UC Davis_1869075

Specimen UC Davis_1869076: postnatal adult; Fam20ctm1e.1(KOMP)Wtsi/Fam20c+ (more )
Note: The IMPC refers to this as a tm1b allele; when using standard nomenclature conventions, however, it is a tm1e.1 allele
Structure Level Pattern Image Note
TS28: esophagus Present UC Davis_1869076

Specimen UC Davis_1869077: postnatal adult; Fam20ctm1e.1(KOMP)Wtsi/Fam20c+ (more )
Note: The IMPC refers to this as a tm1b allele; when using standard nomenclature conventions, however, it is a tm1e.1 allele
Structure Level Pattern Image Note
TS28: esophagus Present UC Davis_1869077

Specimen UC Davis_1869078: postnatal adult; Fam20ctm1e.1(KOMP)Wtsi/Fam20c+ (more )
Note: The IMPC refers to this as a tm1b allele; when using standard nomenclature conventions, however, it is a tm1e.1 allele
Structure Level Pattern Image Note
TS28: parathyroid gland Present UC Davis_1869078

Specimen UC Davis_1869079: postnatal adult; Fam20ctm1e.1(KOMP)Wtsi/Fam20c+ (more )
Note: The IMPC refers to this as a tm1b allele; when using standard nomenclature conventions, however, it is a tm1e.1 allele
Structure Level Pattern Image Note
TS28: lung Present UC Davis_1869079

Specimen UC Davis_1869080: postnatal adult; Fam20ctm1e.1(KOMP)Wtsi/Fam20c+ (more )
Note: The IMPC refers to this as a tm1b allele; when using standard nomenclature conventions, however, it is a tm1e.1 allele
Structure Level Pattern Image Note
TS28: lung Present UC Davis_1869080

Specimen UC Davis_1869081: postnatal adult; Fam20ctm1e.1(KOMP)Wtsi/Fam20c+ (more )
Note: The IMPC refers to this as a tm1b allele; when using standard nomenclature conventions, however, it is a tm1e.1 allele
Structure Level Pattern Image Note
TS28: lung Present UC Davis_1869081

Specimen UC Davis_1869085: postnatal adult; Fam20ctm1e.1(KOMP)Wtsi/Fam20c+ (more )
Note: The IMPC refers to this as a tm1b allele; when using standard nomenclature conventions, however, it is a tm1e.1 allele
Structure Level Pattern Image Note
TS28: stomach Present UC Davis_1869085

Specimen UC Davis_1869086: postnatal adult; Fam20ctm1e.1(KOMP)Wtsi/Fam20c+ (more )
Note: The IMPC refers to this as a tm1b allele; when using standard nomenclature conventions, however, it is a tm1e.1 allele
Structure Level Pattern Image Note
TS28: stomach Present UC Davis_1869086

Specimen UC Davis_1869087: postnatal adult; Fam20ctm1e.1(KOMP)Wtsi/Fam20c+ (more )
Note: The IMPC refers to this as a tm1b allele; when using standard nomenclature conventions, however, it is a tm1e.1 allele
Structure Level Pattern Image Note
TS28: stomach Present UC Davis_1869087

Specimen UC Davis_1869088: postnatal adult; Fam20ctm1e.1(KOMP)Wtsi/Fam20c+ (more )
Note: The IMPC refers to this as a tm1b allele; when using standard nomenclature conventions, however, it is a tm1e.1 allele
Structure Level Pattern Image Note
TS28: stomach Present UC Davis_1869088

Specimen UC Davis_1869089: postnatal adult; Fam20ctm1e.1(KOMP)Wtsi/Fam20c+ (more )
Note: The IMPC refers to this as a tm1b allele; when using standard nomenclature conventions, however, it is a tm1e.1 allele
Structure Level Pattern Image Note
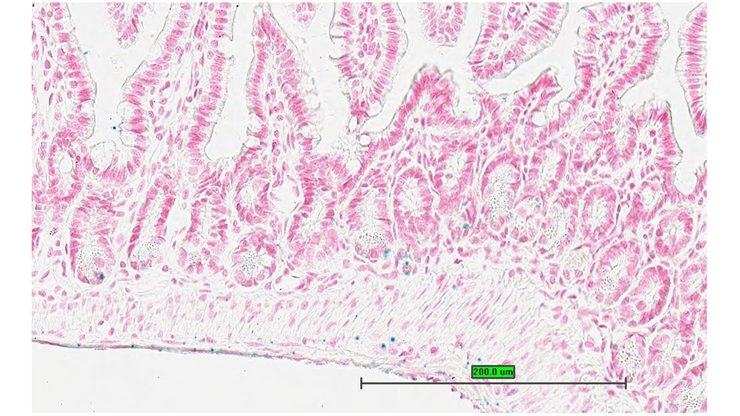
TS28: duodenum Present UC Davis_1869089

Specimen UC Davis_1869090: postnatal adult; Fam20ctm1e.1(KOMP)Wtsi/Fam20c+ (more )
Note: The IMPC refers to this as a tm1b allele; when using standard nomenclature conventions, however, it is a tm1e.1 allele
Structure Level Pattern Image Note
TS28: ileum Present UC Davis_1869090

Specimen UC Davis_1869091: postnatal adult; Fam20ctm1e.1(KOMP)Wtsi/Fam20c+ (more )
Note: The IMPC refers to this as a tm1b allele; when using standard nomenclature conventions, however, it is a tm1e.1 allele
Structure Level Pattern Image Note
TS28: colon Present UC Davis_1869091

Specimen UC Davis_1869092: postnatal adult; Fam20ctm1e.1(KOMP)Wtsi/Fam20c+ (more )
Note: The IMPC refers to this as a tm1b allele; when using standard nomenclature conventions, however, it is a tm1e.1 allele
Structure Level Pattern Image Note
TS28: spleen Present UC Davis_1869092

Specimen UC Davis_1869093: postnatal adult; Fam20ctm1e.1(KOMP)Wtsi/Fam20c+ (more )
Note: The IMPC refers to this as a tm1b allele; when using standard nomenclature conventions, however, it is a tm1e.1 allele
Structure Level Pattern Image Note
TS28: spleen Present UC Davis_1869093

Specimen UC Davis_1869094: postnatal adult; Fam20ctm1e.1(KOMP)Wtsi/Fam20c+ (more )
Note: The IMPC refers to this as a tm1b allele; when using standard nomenclature conventions, however, it is a tm1e.1 allele
Structure Level Pattern Image Note
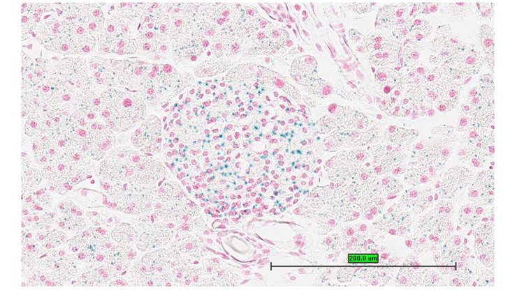
TS28: pancreas Present UC Davis_1869094

Specimen UC Davis_1869095: postnatal adult; Fam20ctm1e.1(KOMP)Wtsi/Fam20c+ (more )
Note: The IMPC refers to this as a tm1b allele; when using standard nomenclature conventions, however, it is a tm1e.1 allele
Structure Level Pattern Image Note
TS28: pancreas Present UC Davis_1869095

Specimen UC Davis_1869096: postnatal adult; Fam20ctm1e.1(KOMP)Wtsi/Fam20c+ (more )
Note: The IMPC refers to this as a tm1b allele; when using standard nomenclature conventions, however, it is a tm1e.1 allele
Structure Level Pattern Image Note
TS28: liver Present UC Davis_1869096

Specimen UC Davis_1869097: postnatal adult; Fam20ctm1e.1(KOMP)Wtsi/Fam20c+ (more )
Note: The IMPC refers to this as a tm1b allele; when using standard nomenclature conventions, however, it is a tm1e.1 allele
Structure Level Pattern Image Note
TS28: liver Present UC Davis_1869097

Specimen UC Davis_1869098: postnatal adult; Fam20ctm1e.1(KOMP)Wtsi/Fam20c+ (more )
Note: The IMPC refers to this as a tm1b allele; when using standard nomenclature conventions, however, it is a tm1e.1 allele
Structure Level Pattern Image Note
TS28: metanephros Present UC Davis_1869098 kidney

Specimen UC Davis_1869099: postnatal adult; Fam20ctm1e.1(KOMP)Wtsi/Fam20c+ (more )
Note: The IMPC refers to this as a tm1b allele; when using standard nomenclature conventions, however, it is a tm1e.1 allele
Structure Level Pattern Image Note
TS28: metanephros Present UC Davis_1869099 kidney

Specimen UC Davis_1869100: postnatal adult; Fam20ctm1e.1(KOMP)Wtsi/Fam20c+ (more )
Note: The IMPC refers to this as a tm1b allele; when using standard nomenclature conventions, however, it is a tm1e.1 allele
Structure Level Pattern Image Note
TS28: metanephros Present UC Davis_1869100 kidney

Specimen UC Davis_1869101: postnatal adult; Fam20ctm1e.1(KOMP)Wtsi/Fam20c+ (more )
Note: The IMPC refers to this as a tm1b allele; when using standard nomenclature conventions, however, it is a tm1e.1 allele
Structure Level Pattern Image Note
TS28: metanephros Present UC Davis_1869101 kidney

Specimen UC Davis_1869102: postnatal adult; Fam20ctm1e.1(KOMP)Wtsi/Fam20c+ (more )
Note: The IMPC refers to this as a tm1b allele; when using standard nomenclature conventions, however, it is a tm1e.1 allele
Structure Level Pattern Image Note
TS28: quadriceps femoris muscle Present UC Davis_1869102

Specimen UC Davis_1869103: postnatal adult; Fam20ctm1e.1(KOMP)Wtsi/Fam20c+ (more )
Note: The IMPC refers to this as a tm1b allele; when using standard nomenclature conventions, however, it is a tm1e.1 allele
Structure Level Pattern Image Note
TS28: quadriceps femoris muscle Present UC Davis_1869103

Specimen UC Davis_1869104: postnatal adult; Fam20ctm1e.1(KOMP)Wtsi/Fam20c+ (more )
Note: The IMPC refers to this as a tm1b allele; when using standard nomenclature conventions, however, it is a tm1e.1 allele
Structure Level Pattern Image Note
TS28: tongue Present UC Davis_1869104

Specimen UC Davis_1869105: postnatal adult; Fam20ctm1e.1(KOMP)Wtsi/Fam20c+ (more )
Note: The IMPC refers to this as a tm1b allele; when using standard nomenclature conventions, however, it is a tm1e.1 allele
Structure Level Pattern Image Note
TS28: tongue Present UC Davis_1869105

Specimen UC Davis_1869106: postnatal adult; Fam20ctm1e.1(KOMP)Wtsi/Fam20c+ (more )
Note: The IMPC refers to this as a tm1b allele; when using standard nomenclature conventions, however, it is a tm1e.1 allele
Structure Level Pattern Image Note
TS28: tongue Present UC Davis_1869106

Specimen UC Davis_1869107: postnatal adult; Fam20ctm1e.1(KOMP)Wtsi/Fam20c+ (more )
Note: The IMPC refers to this as a tm1b allele; when using standard nomenclature conventions, however, it is a tm1e.1 allele
Structure Level Pattern Image Note
TS28: adrenal gland Present UC Davis_1869107

Specimen UC Davis_1869108: postnatal adult; Fam20ctm1e.1(KOMP)Wtsi/Fam20c+ (more )
Note: The IMPC refers to this as a tm1b allele; when using standard nomenclature conventions, however, it is a tm1e.1 allele
Structure Level Pattern Image Note
TS28: adrenal gland Present UC Davis_1869108

Specimen UC Davis_1869109: postnatal adult; Fam20ctm1e.1(KOMP)Wtsi/Fam20c+ (more )
Note: The IMPC refers to this as a tm1b allele; when using standard nomenclature conventions, however, it is a tm1e.1 allele
Structure Level Pattern Image Note
TS28: pituitary gland Present UC Davis_1869109

Specimen UC Davis_1869110: postnatal adult; Fam20ctm1e.1(KOMP)Wtsi/Fam20c+ (more )
Note: The IMPC refers to this as a tm1b allele; when using standard nomenclature conventions, however, it is a tm1e.1 allele
Structure Level Pattern Image Note
TS28: pituitary gland Present UC Davis_1869110

Specimen UC Davis_1869111: postnatal adult; Fam20ctm1e.1(KOMP)Wtsi/Fam20c+ (more )
Note: The IMPC refers to this as a tm1b allele; when using standard nomenclature conventions, however, it is a tm1e.1 allele
Structure Level Pattern Image Note
TS28: spinal cord Present UC Davis_1869111

Specimen UC Davis_1869112: postnatal adult; Fam20ctm1e.1(KOMP)Wtsi/Fam20c+ (more )
Note: The IMPC refers to this as a tm1b allele; when using standard nomenclature conventions, however, it is a tm1e.1 allele
Structure Level Pattern Image Note
TS28: eye Present UC Davis_1869112

Specimen UC Davis_1869113: postnatal adult; Fam20ctm1e.1(KOMP)Wtsi/Fam20c+ (more )
Note: The IMPC refers to this as a tm1b allele; when using standard nomenclature conventions, however, it is a tm1e.1 allele
Structure Level Pattern Image Note
TS28: Harderian gland Present UC Davis_1869113

Specimen UC Davis_1869114: postnatal adult; Fam20ctm1e.1(KOMP)Wtsi/Fam20c+ (more )
Note: The IMPC refers to this as a tm1b allele; when using standard nomenclature conventions, however, it is a tm1e.1 allele
Structure Level Pattern Image Note
TS28: Harderian gland Present UC Davis_1869114

Specimen UC Davis_1869115: postnatal adult; Fam20ctm1e.1(KOMP)Wtsi/Fam20c+ (more )
Note: The IMPC refers to this as a tm1b allele; when using standard nomenclature conventions, however, it is a tm1e.1 allele
Structure Level Pattern Image Note
TS28: gonadal fat pad Present UC Davis_1869115

Specimen UC Davis_1869116: postnatal adult; Fam20ctm1e.1(KOMP)Wtsi/Fam20c+ (more )
Note: The IMPC refers to this as a tm1b allele; when using standard nomenclature conventions, however, it is a tm1e.1 allele
Structure Level Pattern Image Note
TS28: gonadal fat pad Present UC Davis_1869116

Specimen UC Davis_1869117: postnatal adult; Fam20ctm1e.1(KOMP)Wtsi/Fam20c+ (more )
Note: The IMPC refers to this as a tm1b allele; when using standard nomenclature conventions, however, it is a tm1e.1 allele
Structure Level Pattern Image Note
TS28: mesenteric adipose tissue Present UC Davis_1869117

Specimen UC Davis_1869118: postnatal adult; Fam20ctm1e.1(KOMP)Wtsi/Fam20c+ (more )
Note: The IMPC refers to this as a tm1b allele; when using standard nomenclature conventions, however, it is a tm1e.1 allele
Structure Level Pattern Image Note
TS28: skin Present UC Davis_1869118

Specimen UC Davis_1869119: postnatal adult; Fam20ctm1e.1(KOMP)Wtsi/Fam20c+ (more )
Note: The IMPC refers to this as a tm1b allele; when using standard nomenclature conventions, however, it is a tm1e.1 allele
Structure Level Pattern Image Note
TS28: skin Present UC Davis_1869119

Specimen UC Davis_1869120: postnatal adult; Fam20ctm1e.1(KOMP)Wtsi/Fam20c+ (more )
Note: The IMPC refers to this as a tm1b allele; when using standard nomenclature conventions, however, it is a tm1e.1 allele
Structure Level Pattern Image Note
TS28: brown fat Present UC Davis_1869120

Specimen UC Davis_1869121: postnatal adult; Fam20ctm1e.1(KOMP)Wtsi/Fam20c+ (more )
Note: The IMPC refers to this as a tm1b allele; when using standard nomenclature conventions, however, it is a tm1e.1 allele
Structure Level Pattern Image Note
TS28: olfactory lobe Present UC Davis_1869121

Specimen UC Davis_1869125: postnatal adult; Fam20ctm1e.1(KOMP)Wtsi/Fam20c+ (more )
Note: The IMPC refers to this as a tm1b allele; when using standard nomenclature conventions, however, it is a tm1e.1 allele
Structure Level Pattern Image Note
TS28: midbrain Present UC Davis_1869125

Specimen UC Davis_1869127: postnatal adult; Fam20ctm1e.1(KOMP)Wtsi/Fam20c+ (more )
Note: The IMPC refers to this as a tm1b allele; when using standard nomenclature conventions, however, it is a tm1e.1 allele
Structure Level Pattern Image Note
TS28: cerebellum Present UC Davis_1869127

Specimen UC Davis_1869128: postnatal adult; Fam20ctm1e.1(KOMP)Wtsi/Fam20c+ (more )
Note: The IMPC refers to this as a tm1b allele; when using standard nomenclature conventions, however, it is a tm1e.1 allele
Structure Level Pattern Image Note
TS28: trigeminal nerve Present UC Davis_1869128

Specimen UC Davis_1869129: postnatal adult; Fam20ctm1e.1(KOMP)Wtsi/Fam20c+ (more )
Note: The IMPC refers to this as a tm1b allele; when using standard nomenclature conventions, however, it is a tm1e.1 allele
Structure Level Pattern Image Note
TS28: trigeminal nerve Present UC Davis_1869129

Specimen UC Davis_1869130: postnatal adult; Fam20ctm1e.1(KOMP)Wtsi/Fam20c+ (more )
Note: The IMPC refers to this as a tm1b allele; when using standard nomenclature conventions, however, it is a tm1e.1 allele
Structure Level Pattern Image Note
TS28: ovary Present UC Davis_1869130

Specimen UC Davis_1869131: postnatal adult; Fam20ctm1e.1(KOMP)Wtsi/Fam20c+ (more )
Note: The IMPC refers to this as a tm1b allele; when using standard nomenclature conventions, however, it is a tm1e.1 allele
Structure Level Pattern Image Note
TS28: ovary Present UC Davis_1869131

Specimen UC Davis_1869132: postnatal adult; Fam20ctm1e.1(KOMP)Wtsi/Fam20c+ (more )
Note: The IMPC refers to this as a tm1b allele; when using standard nomenclature conventions, however, it is a tm1e.1 allele
Structure Level Pattern Image Note
TS28: ovary Present UC Davis_1869132

Specimen UC Davis_1869133: postnatal adult; Fam20ctm1e.1(KOMP)Wtsi/Fam20c+ (more )
Note: The IMPC refers to this as a tm1b allele; when using standard nomenclature conventions, however, it is a tm1e.1 allele
Structure Level Pattern Image Note
TS28: oviduct Present UC Davis_1869133

Specimen UC Davis_1869134: postnatal adult; Fam20ctm1e.1(KOMP)Wtsi/Fam20c+ (more )
Note: The IMPC refers to this as a tm1b allele; when using standard nomenclature conventions, however, it is a tm1e.1 allele
Structure Level Pattern Image Note
TS28: oviduct Present UC Davis_1869134

Specimen UC Davis_1869135: postnatal adult; Fam20ctm1e.1(KOMP)Wtsi/Fam20c+ (more )
Note: The IMPC refers to this as a tm1b allele; when using standard nomenclature conventions, however, it is a tm1e.1 allele
Structure Level Pattern Image Note
TS28: uterus Present UC Davis_1869135

Specimen UC Davis_1869136: postnatal adult; Fam20ctm1e.1(KOMP)Wtsi/Fam20c+ (more )
Note: The IMPC refers to this as a tm1b allele; when using standard nomenclature conventions, however, it is a tm1e.1 allele
Structure Level Pattern Image Note
TS28: uterus Present UC Davis_1869136

Specimen UC Davis_1869137: postnatal adult; Fam20ctm1e.1(KOMP)Wtsi/Fam20c+ (more )
Note: The IMPC refers to this as a tm1b allele; when using standard nomenclature conventions, however, it is a tm1e.1 allele
Structure Level Pattern Image Note
TS28: vagina Present UC Davis_1869137

Specimen UC Davis_1869138: postnatal adult; Fam20ctm1e.1(KOMP)Wtsi/Fam20c+ (more )
Note: The IMPC refers to this as a tm1b allele; when using standard nomenclature conventions, however, it is a tm1e.1 allele
Structure Level Pattern Image Note
TS28: vagina Present UC Davis_1869138

Specimen UC Davis_1869139: postnatal adult; Fam20ctm1e.1(KOMP)Wtsi/Fam20c+ (more )
Note: The IMPC refers to this as a tm1b allele; when using standard nomenclature conventions, however, it is a tm1e.1 allele
Structure Level Pattern Image Note
TS28: bladder Present UC Davis_1869139

Specimen UC Davis_1869026: postnatal adult; Fam20ctm1e.1(KOMP)Wtsi/Fam20c+ (more )
Note: The IMPC refers to this as a tm1b allele; when using standard nomenclature conventions, however, it is a tm1e.1 allele
Structure Level Pattern Image Note
TS28: parotid gland Present UC Davis_1869026

Specimen UC Davis_1869027: postnatal adult; Fam20ctm1e.1(KOMP)Wtsi/Fam20c+ (more )
Note: The IMPC refers to this as a tm1b allele; when using standard nomenclature conventions, however, it is a tm1e.1 allele
Structure Level Pattern Image Note
TS28: parotid gland Present UC Davis_1869027

Specimen UC Davis_1869028: postnatal adult; Fam20ctm1e.1(KOMP)Wtsi/Fam20c+ (more )
Note: The IMPC refers to this as a tm1b allele; when using standard nomenclature conventions, however, it is a tm1e.1 allele
Structure Level Pattern Image Note
TS28: trachea Present UC Davis_1869028

Specimen UC Davis_1869029: postnatal adult; Fam20ctm1e.1(KOMP)Wtsi/Fam20c+ (more )
Note: The IMPC refers to this as a tm1b allele; when using standard nomenclature conventions, however, it is a tm1e.1 allele
Structure Level Pattern Image Note
TS28: trachea Present UC Davis_1869029

Specimen UC Davis_1869034: postnatal adult; Fam20ctm1e.1(KOMP)Wtsi/Fam20c+ (more )
Note: The IMPC refers to this as a tm1b allele; when using standard nomenclature conventions, however, it is a tm1e.1 allele
Structure Level Pattern Image Note
TS28: stomach Present UC Davis_1869034

Specimen UC Davis_1869035: postnatal adult; Fam20ctm1e.1(KOMP)Wtsi/Fam20c+ (more )
Note: The IMPC refers to this as a tm1b allele; when using standard nomenclature conventions, however, it is a tm1e.1 allele
Structure Level Pattern Image Note
TS28: stomach Present UC Davis_1869035

Specimen UC Davis_1869036: postnatal adult; Fam20ctm1e.1(KOMP)Wtsi/Fam20c+ (more )
Note: The IMPC refers to this as a tm1b allele; when using standard nomenclature conventions, however, it is a tm1e.1 allele
Structure Level Pattern Image Note
TS28: ileum Present UC Davis_1869036

Specimen UC Davis_1869037: postnatal adult; Fam20ctm1e.1(KOMP)Wtsi/Fam20c+ (more )
Note: The IMPC refers to this as a tm1b allele; when using standard nomenclature conventions, however, it is a tm1e.1 allele
Structure Level Pattern Image Note
TS28: colon Present UC Davis_1869037

Specimen UC Davis_1869038: postnatal adult; Fam20ctm1e.1(KOMP)Wtsi/Fam20c+ (more )
Note: The IMPC refers to this as a tm1b allele; when using standard nomenclature conventions, however, it is a tm1e.1 allele
Structure Level Pattern Image Note
TS28: colon Present UC Davis_1869038

Specimen UC Davis_1869039: postnatal adult; Fam20ctm1e.1(KOMP)Wtsi/Fam20c+ (more )
Note: The IMPC refers to this as a tm1b allele; when using standard nomenclature conventions, however, it is a tm1e.1 allele
Structure Level Pattern Image Note
TS28: spleen Present UC Davis_1869039

Specimen UC Davis_1869040: postnatal adult; Fam20ctm1e.1(KOMP)Wtsi/Fam20c+ (more )
Note: The IMPC refers to this as a tm1b allele; when using standard nomenclature conventions, however, it is a tm1e.1 allele
Structure Level Pattern Image Note
TS28: spleen Present UC Davis_1869040

Specimen UC Davis_1869041: postnatal adult; Fam20ctm1e.1(KOMP)Wtsi/Fam20c+ (more )
Note: The IMPC refers to this as a tm1b allele; when using standard nomenclature conventions, however, it is a tm1e.1 allele
Structure Level Pattern Image Note
TS28: pancreas Present UC Davis_1869041

Specimen UC Davis_1869042: postnatal adult; Fam20ctm1e.1(KOMP)Wtsi/Fam20c+ (more )
Note: The IMPC refers to this as a tm1b allele; when using standard nomenclature conventions, however, it is a tm1e.1 allele
Structure Level Pattern Image Note
TS28: liver Present UC Davis_1869042

Specimen UC Davis_1869043: postnatal adult; Fam20ctm1e.1(KOMP)Wtsi/Fam20c+ (more )
Note: The IMPC refers to this as a tm1b allele; when using standard nomenclature conventions, however, it is a tm1e.1 allele
Structure Level Pattern Image Note
TS28: liver Present UC Davis_1869043

Specimen UC Davis_1869044: postnatal adult; Fam20ctm1e.1(KOMP)Wtsi/Fam20c+ (more )
Note: The IMPC refers to this as a tm1b allele; when using standard nomenclature conventions, however, it is a tm1e.1 allele
Structure Level Pattern Image Note
TS28: metanephros Present UC Davis_1869044 kidney

Specimen UC Davis_1869045: postnatal adult; Fam20ctm1e.1(KOMP)Wtsi/Fam20c+ (more )
Note: The IMPC refers to this as a tm1b allele; when using standard nomenclature conventions, however, it is a tm1e.1 allele
Structure Level Pattern Image Note
TS28: metanephros Present UC Davis_1869045 kidney

Specimen UC Davis_1869046: postnatal adult; Fam20ctm1e.1(KOMP)Wtsi/Fam20c+ (more )
Note: The IMPC refers to this as a tm1b allele; when using standard nomenclature conventions, however, it is a tm1e.1 allele
Structure Level Pattern Image Note
TS28: metanephros Present UC Davis_1869046 kidney

Specimen UC Davis_1869047: postnatal adult; Fam20ctm1e.1(KOMP)Wtsi/Fam20c+ (more )
Note: The IMPC refers to this as a tm1b allele; when using standard nomenclature conventions, however, it is a tm1e.1 allele
Structure Level Pattern Image Note
TS28: tongue Present UC Davis_1869047

Specimen UC Davis_1869048: postnatal adult; Fam20ctm1e.1(KOMP)Wtsi/Fam20c+ (more )
Note: The IMPC refers to this as a tm1b allele; when using standard nomenclature conventions, however, it is a tm1e.1 allele
Structure Level Pattern Image Note
TS28: tongue Present UC Davis_1869048

Specimen UC Davis_1869049: postnatal adult; Fam20ctm1e.1(KOMP)Wtsi/Fam20c+ (more )
Note: The IMPC refers to this as a tm1b allele; when using standard nomenclature conventions, however, it is a tm1e.1 allele
Structure Level Pattern Image Note
TS28: adrenal gland Present UC Davis_1869049

Specimen UC Davis_1869050: postnatal adult; Fam20ctm1e.1(KOMP)Wtsi/Fam20c+ (more )
Note: The IMPC refers to this as a tm1b allele; when using standard nomenclature conventions, however, it is a tm1e.1 allele
Structure Level Pattern Image Note
TS28: adrenal gland Present UC Davis_1869050

Specimen UC Davis_1869051: postnatal adult; Fam20ctm1e.1(KOMP)Wtsi/Fam20c+ (more )
Note: The IMPC refers to this as a tm1b allele; when using standard nomenclature conventions, however, it is a tm1e.1 allele
Structure Level Pattern Image Note
TS28: spinal cord Present UC Davis_1869051

Specimen UC Davis_1869052: postnatal adult; Fam20ctm1e.1(KOMP)Wtsi/Fam20c+ (more )
Note: The IMPC refers to this as a tm1b allele; when using standard nomenclature conventions, however, it is a tm1e.1 allele
Structure Level Pattern Image Note
TS28: olfactory lobe Present UC Davis_1869052

Specimen UC Davis_1869054: postnatal adult; Fam20ctm1e.1(KOMP)Wtsi/Fam20c+ (more )
Note: The IMPC refers to this as a tm1b allele; when using standard nomenclature conventions, however, it is a tm1e.1 allele
Structure Level Pattern Image Note
TS28: midbrain Present UC Davis_1869054

Specimen UC Davis_1869056: postnatal adult; Fam20ctm1e.1(KOMP)Wtsi/Fam20c+ (more )
Note: The IMPC refers to this as a tm1b allele; when using standard nomenclature conventions, however, it is a tm1e.1 allele
Structure Level Pattern Image Note
TS28: cerebellum Present UC Davis_1869056

Specimen UC Davis_1869057: postnatal adult; Fam20ctm1e.1(KOMP)Wtsi/Fam20c+ (more )
Note: The IMPC refers to this as a tm1b allele; when using standard nomenclature conventions, however, it is a tm1e.1 allele
Structure Level Pattern Image Note
TS28: trigeminal nerve Present UC Davis_1869057

Specimen UC Davis_1869058: postnatal adult; Fam20ctm1e.1(KOMP)Wtsi/Fam20c+ (more )
Note: The IMPC refers to this as a tm1b allele; when using standard nomenclature conventions, however, it is a tm1e.1 allele
Structure Level Pattern Image Note
TS28: bladder Present UC Davis_1869058

Specimen UC Davis_1869059: postnatal adult; Fam20ctm1e.1(KOMP)Wtsi/Fam20c+ (more )
Note: The IMPC refers to this as a tm1b allele; when using standard nomenclature conventions, however, it is a tm1e.1 allele
Structure Level Pattern Image Note
TS28: epididymis Present UC Davis_1869059

Specimen UC Davis_1869060: postnatal adult; Fam20ctm1e.1(KOMP)Wtsi/Fam20c+ (more )
Note: The IMPC refers to this as a tm1b allele; when using standard nomenclature conventions, however, it is a tm1e.1 allele
Structure Level Pattern Image Note
TS28: epididymis Present UC Davis_1869060

Specimen UC Davis_1869061: postnatal adult; Fam20ctm1e.1(KOMP)Wtsi/Fam20c+ (more )
Note: The IMPC refers to this as a tm1b allele; when using standard nomenclature conventions, however, it is a tm1e.1 allele
Structure Level Pattern Image Note
TS28: prostate gland Present UC Davis_1869061

Specimen UC Davis_1869062: postnatal adult; Fam20ctm1e.1(KOMP)Wtsi/Fam20c+ (more )
Note: The IMPC refers to this as a tm1b allele; when using standard nomenclature conventions, however, it is a tm1e.1 allele
Structure Level Pattern Image Note
TS28: prostate gland Present UC Davis_1869062

Specimen UC Davis_1869063: postnatal adult; Fam20ctm1e.1(KOMP)Wtsi/Fam20c+ (more )
Note: The IMPC refers to this as a tm1b allele; when using standard nomenclature conventions, however, it is a tm1e.1 allele
Structure Level Pattern Image Note
TS28: penis Present UC Davis_1869063

Specimen UC Davis_1869064: postnatal adult; Fam20ctm1e.1(KOMP)Wtsi/Fam20c+ (more )
Note: The IMPC refers to this as a tm1b allele; when using standard nomenclature conventions, however, it is a tm1e.1 allele
Structure Level Pattern Image Note
TS28: ductus deferens Present UC Davis_1869064 vas deferens

Specimen UC Davis_1869065: postnatal adult; Fam20ctm1e.1(KOMP)Wtsi/Fam20c+ (more )
Note: The IMPC refers to this as a tm1b allele; when using standard nomenclature conventions, however, it is a tm1e.1 allele
Structure Level Pattern Image Note
TS28: ductus deferens Present UC Davis_1869065 vas deferens

Specimen UC Davis_1869067: postnatal adult; Fam20ctm1e.1(KOMP)Wtsi/Fam20c+ (more )
Note: The IMPC refers to this as a tm1b allele; when using standard nomenclature conventions, however, it is a tm1e.1 allele
Structure Level Pattern Image Note
TS28: seminal vesicle Present UC Davis_1869067 vesicular gland


Contributing Projects:
Mouse Genome Database (MGD), Gene Expression Database (GXD), Mouse Models of Human Cancer database (MMHCdb) (formerly Mouse Tumor Biology (MTB)), Gene Ontology (GO)
Citing These Resources
Funding Information
Warranty Disclaimer, Privacy Notice, Licensing, & Copyright
Send questions and comments to User Support.
last database update
01/20/2026
MGI 6.24
The Jackson Laboratory