About   Help   FAQ
Gene Expression Data
Assay Details
Assay
Reference: J:228563 Koscielny G, et al., The International Mouse Phenotyping Consortium Web Portal, a unified point of access for knockout mice and related phenotyping data. Nucleic Acids Res. 2014 Jan;42(Database issue):D802-9
Assay type: In situ reporter (knock in)
MGI Accession ID: MGI:6692346
Gene symbol: Chrac1
Gene name: chromatin accessibility complex 1
Reporter: lacZ
Direct Detection
Results
Specimen UC Davis_1886085: postnatal adult; Chrac1tm1.1(KOMP)Vlcg/Chrac1+ (more )
Structure Level Pattern Image Note
TS28: sublingual gland Present UC Davis_1886085

Specimen UC Davis_1886086: postnatal adult; Chrac1tm1.1(KOMP)Vlcg/Chrac1+ (more )
Structure Level Pattern Image Note
TS28: sublingual gland Present UC Davis_1886086

Specimen UC Davis_1886087: postnatal adult; Chrac1tm1.1(KOMP)Vlcg/Chrac1+ (more )
Structure Level Pattern Image Note
TS28: trachea Present UC Davis_1886087

Specimen UC Davis_1886088: postnatal adult; Chrac1tm1.1(KOMP)Vlcg/Chrac1+ (more )
Structure Level Pattern Image Note
TS28: esophagus Present UC Davis_1886088

Specimen UC Davis_1886089: postnatal adult; Chrac1tm1.1(KOMP)Vlcg/Chrac1+ (more )
Structure Level Pattern Image Note
TS28: esophagus Present UC Davis_1886089

Specimen UC Davis_1886090: postnatal adult; Chrac1tm1.1(KOMP)Vlcg/Chrac1+ (more )
Structure Level Pattern Image Note
TS28: stomach Present UC Davis_1886090

Specimen UC Davis_1886091: postnatal adult; Chrac1tm1.1(KOMP)Vlcg/Chrac1+ (more )
Structure Level Pattern Image Note
TS28: stomach Present UC Davis_1886091

Specimen UC Davis_1886092: postnatal adult; Chrac1tm1.1(KOMP)Vlcg/Chrac1+ (more )
Structure Level Pattern Image Note
TS28: ileum Present UC Davis_1886092

Specimen UC Davis_1886093: postnatal adult; Chrac1tm1.1(KOMP)Vlcg/Chrac1+ (more )
Structure Level Pattern Image Note
TS28: colon Present UC Davis_1886093

Specimen UC Davis_1886094: postnatal adult; Chrac1tm1.1(KOMP)Vlcg/Chrac1+ (more )
Structure Level Pattern Image Note
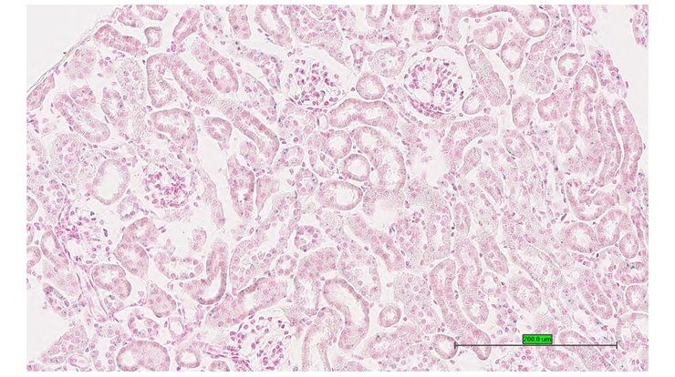
TS28: metanephros Present UC Davis_1886094 kidney

Specimen UC Davis_1886095: postnatal adult; Chrac1tm1.1(KOMP)Vlcg/Chrac1+ (more )
Structure Level Pattern Image Note
TS28: metanephros Present UC Davis_1886095 kidney

Specimen UC Davis_1886096: postnatal adult; Chrac1tm1.1(KOMP)Vlcg/Chrac1+ (more )
Structure Level Pattern Image Note
TS28: spinal cord Present UC Davis_1886096

Specimen UC Davis_1886097: postnatal adult; Chrac1tm1.1(KOMP)Vlcg/Chrac1+ (more )
Structure Level Pattern Image Note
TS28: spinal cord Present UC Davis_1886097

Specimen UC Davis_1886098: postnatal adult; Chrac1tm1.1(KOMP)Vlcg/Chrac1+ (more )
Structure Level Pattern Image Note
TS28: eye Present UC Davis_1886098

Specimen UC Davis_1886099: postnatal adult; Chrac1tm1.1(KOMP)Vlcg/Chrac1+ (more )
Structure Level Pattern Image Note
TS28: eye Present UC Davis_1886099

Specimen UC Davis_1886100: postnatal adult; Chrac1tm1.1(KOMP)Vlcg/Chrac1+ (more )
Structure Level Pattern Image Note
TS28: Harderian gland Present UC Davis_1886100

Specimen UC Davis_1886101: postnatal adult; Chrac1tm1.1(KOMP)Vlcg/Chrac1+ (more )
Structure Level Pattern Image Note
TS28: Harderian gland Present UC Davis_1886101

Specimen UC Davis_1886102: postnatal adult; Chrac1tm1.1(KOMP)Vlcg/Chrac1+ (more )
Structure Level Pattern Image Note
TS28: skin Present UC Davis_1886102

Specimen UC Davis_1886103: postnatal adult; Chrac1tm1.1(KOMP)Vlcg/Chrac1+ (more )
Structure Level Pattern Image Note
TS28: skin Present UC Davis_1886103

Specimen UC Davis_1886104: postnatal adult; Chrac1tm1.1(KOMP)Vlcg/Chrac1+ (more )
Structure Level Pattern Image Note
TS28: olfactory lobe Present UC Davis_1886104

Specimen UC Davis_1886107: postnatal adult; Chrac1tm1.1(KOMP)Vlcg/Chrac1+ (more )
Structure Level Pattern Image Note
TS28: midbrain Present UC Davis_1886107

Specimen UC Davis_1886108: postnatal adult; Chrac1tm1.1(KOMP)Vlcg/Chrac1+ (more )
Structure Level Pattern Image Note
TS28: midbrain Present UC Davis_1886108

Specimen UC Davis_1886110: postnatal adult; Chrac1tm1.1(KOMP)Vlcg/Chrac1+ (more )
Structure Level Pattern Image Note
TS28: cerebellum Present UC Davis_1886110

Specimen UC Davis_1886111: postnatal adult; Chrac1tm1.1(KOMP)Vlcg/Chrac1+ (more )
Structure Level Pattern Image Note
TS28: cerebellum Present UC Davis_1886111

Specimen UC Davis_1886112: postnatal adult; Chrac1tm1.1(KOMP)Vlcg/Chrac1+ (more )
Structure Level Pattern Image Note
TS28: oviduct Present UC Davis_1886112

Specimen UC Davis_1886113: postnatal adult; Chrac1tm1.1(KOMP)Vlcg/Chrac1+ (more )
Structure Level Pattern Image Note
TS28: bladder Present UC Davis_1886113

Specimen UC Davis_1886038: postnatal adult; Chrac1tm1.1(KOMP)Vlcg/Chrac1+ (more )
Structure Level Pattern Image Note
TS28: sublingual gland Present UC Davis_1886038

Specimen UC Davis_1886039: postnatal adult; Chrac1tm1.1(KOMP)Vlcg/Chrac1+ (more )
Structure Level Pattern Image Note
TS28: trachea Present UC Davis_1886039

Specimen UC Davis_1886040: postnatal adult; Chrac1tm1.1(KOMP)Vlcg/Chrac1+ (more )
Structure Level Pattern Image Note
TS28: trachea Present UC Davis_1886040

Specimen UC Davis_1886041: postnatal adult; Chrac1tm1.1(KOMP)Vlcg/Chrac1+ (more )
Structure Level Pattern Image Note
TS28: esophagus Present UC Davis_1886041

Specimen UC Davis_1886043: postnatal adult; Chrac1tm1.1(KOMP)Vlcg/Chrac1+ (more )
Structure Level Pattern Image Note
TS28: parathyroid gland Present UC Davis_1886043

Specimen UC Davis_1886044: postnatal adult; Chrac1tm1.1(KOMP)Vlcg/Chrac1+ (more )
Structure Level Pattern Image Note
TS28: lung Present UC Davis_1886044

Specimen UC Davis_1886045: postnatal adult; Chrac1tm1.1(KOMP)Vlcg/Chrac1+ (more )
Structure Level Pattern Image Note
TS28: lung Present UC Davis_1886045

Specimen UC Davis_1886046: postnatal adult; Chrac1tm1.1(KOMP)Vlcg/Chrac1+ (more )
Structure Level Pattern Image Note
TS28: thymus Present UC Davis_1886046

Specimen UC Davis_1886048: postnatal adult; Chrac1tm1.1(KOMP)Vlcg/Chrac1+ (more )
Structure Level Pattern Image Note
TS28: stomach Present UC Davis_1886048

Specimen UC Davis_1886049: postnatal adult; Chrac1tm1.1(KOMP)Vlcg/Chrac1+ (more )
Structure Level Pattern Image Note
TS28: ileum Present UC Davis_1886049

Specimen UC Davis_1886050: postnatal adult; Chrac1tm1.1(KOMP)Vlcg/Chrac1+ (more )
Structure Level Pattern Image Note
TS28: spleen Present UC Davis_1886050

Specimen UC Davis_1886051: postnatal adult; Chrac1tm1.1(KOMP)Vlcg/Chrac1+ (more )
Structure Level Pattern Image Note
TS28: spleen Present UC Davis_1886051

Specimen UC Davis_1886052: postnatal adult; Chrac1tm1.1(KOMP)Vlcg/Chrac1+ (more )
Structure Level Pattern Image Note
TS28: pancreas Present UC Davis_1886052

Specimen UC Davis_1886053: postnatal adult; Chrac1tm1.1(KOMP)Vlcg/Chrac1+ (more )
Structure Level Pattern Image Note
TS28: metanephros Present UC Davis_1886053 kidney

Specimen UC Davis_1886054: postnatal adult; Chrac1tm1.1(KOMP)Vlcg/Chrac1+ (more )
Structure Level Pattern Image Note
TS28: metanephros Present UC Davis_1886054 kidney

Specimen UC Davis_1886055: postnatal adult; Chrac1tm1.1(KOMP)Vlcg/Chrac1+ (more )
Structure Level Pattern Image Note
TS28: metanephros Present UC Davis_1886055 kidney

Specimen UC Davis_1886056: postnatal adult; Chrac1tm1.1(KOMP)Vlcg/Chrac1+ (more )
Structure Level Pattern Image Note
TS28: tongue Present UC Davis_1886056

Specimen UC Davis_1886057: postnatal adult; Chrac1tm1.1(KOMP)Vlcg/Chrac1+ (more )
Structure Level Pattern Image Note
TS28: tongue Present UC Davis_1886057

Specimen UC Davis_1886058: postnatal adult; Chrac1tm1.1(KOMP)Vlcg/Chrac1+ (more )
Structure Level Pattern Image Note
TS28: adrenal gland Present UC Davis_1886058

Specimen UC Davis_1886059: postnatal adult; Chrac1tm1.1(KOMP)Vlcg/Chrac1+ (more )
Structure Level Pattern Image Note
TS28: pituitary gland Present UC Davis_1886059

Specimen UC Davis_1886060: postnatal adult; Chrac1tm1.1(KOMP)Vlcg/Chrac1+ (more )
Structure Level Pattern Image Note
TS28: spinal cord Present UC Davis_1886060

Specimen UC Davis_1886061: postnatal adult; Chrac1tm1.1(KOMP)Vlcg/Chrac1+ (more )
Structure Level Pattern Image Note
TS28: spinal cord Present UC Davis_1886061

Specimen UC Davis_1886062: postnatal adult; Chrac1tm1.1(KOMP)Vlcg/Chrac1+ (more )
Structure Level Pattern Image Note
TS28: eye Present UC Davis_1886062

Specimen UC Davis_1886063: postnatal adult; Chrac1tm1.1(KOMP)Vlcg/Chrac1+ (more )
Structure Level Pattern Image Note
TS28: eye Present UC Davis_1886063

Specimen UC Davis_1886065: postnatal adult; Chrac1tm1.1(KOMP)Vlcg/Chrac1+ (more )
Structure Level Pattern Image Note
TS28: Harderian gland Present UC Davis_1886065

Specimen UC Davis_1886066: postnatal adult; Chrac1tm1.1(KOMP)Vlcg/Chrac1+ (more )
Structure Level Pattern Image Note
TS28: olfactory lobe Present UC Davis_1886066

Specimen UC Davis_1886070: postnatal adult; Chrac1tm1.1(KOMP)Vlcg/Chrac1+ (more )
Structure Level Pattern Image Note
TS28: midbrain Present UC Davis_1886070

Specimen UC Davis_1886072: postnatal adult; Chrac1tm1.1(KOMP)Vlcg/Chrac1+ (more )
Structure Level Pattern Image Note
TS28: cerebellum Present UC Davis_1886072

Specimen UC Davis_1886073: postnatal adult; Chrac1tm1.1(KOMP)Vlcg/Chrac1+ (more )
Structure Level Pattern Image Note
TS28: cerebellum Present UC Davis_1886073

Specimen UC Davis_1886074: postnatal adult; Chrac1tm1.1(KOMP)Vlcg/Chrac1+ (more )
Structure Level Pattern Image Note
TS28: trigeminal nerve Present UC Davis_1886074

Specimen UC Davis_1886075: postnatal adult; Chrac1tm1.1(KOMP)Vlcg/Chrac1+ (more )
Structure Level Pattern Image Note
TS28: bladder Present UC Davis_1886075

Specimen UC Davis_1886076: postnatal adult; Chrac1tm1.1(KOMP)Vlcg/Chrac1+ (more )
Structure Level Pattern Image Note
TS28: testis Present UC Davis_1886076

Specimen UC Davis_1886077: postnatal adult; Chrac1tm1.1(KOMP)Vlcg/Chrac1+ (more )
Structure Level Pattern Image Note
TS28: testis Present UC Davis_1886077

Specimen UC Davis_1886078: postnatal adult; Chrac1tm1.1(KOMP)Vlcg/Chrac1+ (more )
Structure Level Pattern Image Note
TS28: epididymis Present UC Davis_1886078

Specimen UC Davis_1886079: postnatal adult; Chrac1tm1.1(KOMP)Vlcg/Chrac1+ (more )
Structure Level Pattern Image Note
TS28: epididymis Present UC Davis_1886079

Specimen UC Davis_1886080: postnatal adult; Chrac1tm1.1(KOMP)Vlcg/Chrac1+ (more )
Structure Level Pattern Image Note
TS28: prostate gland Present UC Davis_1886080

Specimen UC Davis_1886081: postnatal adult; Chrac1tm1.1(KOMP)Vlcg/Chrac1+ (more )
Structure Level Pattern Image Note
TS28: penis Present UC Davis_1886081

Specimen UC Davis_1886082: postnatal adult; Chrac1tm1.1(KOMP)Vlcg/Chrac1+ (more )
Structure Level Pattern Image Note
TS28: ductus deferens Present UC Davis_1886082 vas deferens


Contributing Projects:
Mouse Genome Database (MGD), Gene Expression Database (GXD), Mouse Models of Human Cancer database (MMHCdb) (formerly Mouse Tumor Biology (MTB)), Gene Ontology (GO)
Citing These Resources
Funding Information
Warranty Disclaimer, Privacy Notice, Licensing, & Copyright
Send questions and comments to User Support.
last database update
01/06/2026
MGI 6.24
The Jackson Laboratory