About   Help   FAQ
Gene Expression Data
Assay Details
Assay
Reference: J:228563 Koscielny G, et al., The International Mouse Phenotyping Consortium Web Portal, a unified point of access for knockout mice and related phenotyping data. Nucleic Acids Res. 2014 Jan;42(Database issue):D802-9
Assay type: In situ reporter (knock in)
MGI Accession ID: MGI:6692334
Gene symbol: Cilk1
Gene name: ciliogenesis associated kinase 1
Reporter: lacZ
Direct Detection
Results
Specimen UC Davis_1863152: postnatal adult; Cilk1tm1b(KOMP)Mbp/Cilk1+ (more )
Structure Level Pattern Image Note
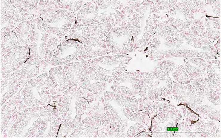
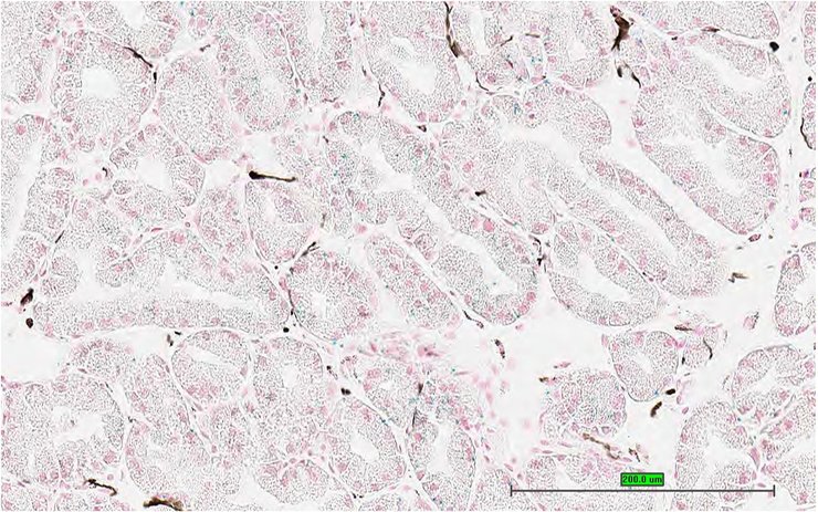
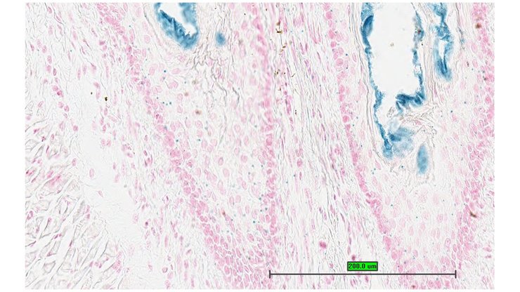
TS28: submandibular gland Present UC Davis_1863152

Specimen UC Davis_1863153: postnatal adult; Cilk1tm1b(KOMP)Mbp/Cilk1+ (more )
Structure Level Pattern Image Note
TS28: submandibular gland Present UC Davis_1863153

Specimen UC Davis_1863154: postnatal adult; Cilk1tm1b(KOMP)Mbp/Cilk1+ (more )
Structure Level Pattern Image Note
TS28: sublingual gland Present UC Davis_1863154

Specimen UC Davis_1863155: postnatal adult; Cilk1tm1b(KOMP)Mbp/Cilk1+ (more )
Structure Level Pattern Image Note
TS28: sublingual gland Present UC Davis_1863155

Specimen UC Davis_1863156: postnatal adult; Cilk1tm1b(KOMP)Mbp/Cilk1+ (more )
Structure Level Pattern Image Note
TS28: parotid gland Present UC Davis_1863156

Specimen UC Davis_1863157: postnatal adult; Cilk1tm1b(KOMP)Mbp/Cilk1+ (more )
Structure Level Pattern Image Note
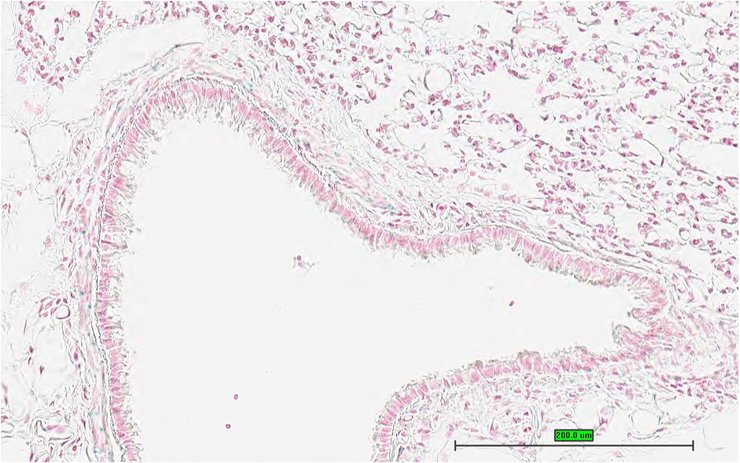
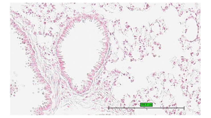
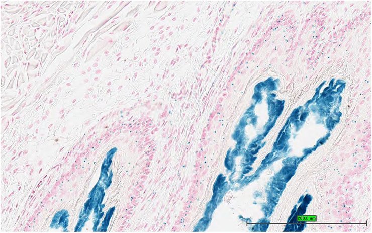
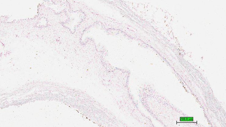
TS28: trachea Present UC Davis_1863157

Specimen UC Davis_1863158: postnatal adult; Cilk1tm1b(KOMP)Mbp/Cilk1+ (more )
Structure Level Pattern Image Note
TS28: esophagus Present UC Davis_1863158

Specimen UC Davis_1863159: postnatal adult; Cilk1tm1b(KOMP)Mbp/Cilk1+ (more )
Structure Level Pattern Image Note
TS28: lung Present UC Davis_1863159

Specimen UC Davis_1863161: postnatal adult; Cilk1tm1b(KOMP)Mbp/Cilk1+ (more )
Structure Level Pattern Image Note
TS28: stomach Present UC Davis_1863161

Specimen UC Davis_1863162: postnatal adult; Cilk1tm1b(KOMP)Mbp/Cilk1+ (more )
Structure Level Pattern Image Note
TS28: stomach Present UC Davis_1863162

Specimen UC Davis_1863163: postnatal adult; Cilk1tm1b(KOMP)Mbp/Cilk1+ (more )
Structure Level Pattern Image Note
TS28: stomach Present UC Davis_1863163

Specimen UC Davis_1863164: postnatal adult; Cilk1tm1b(KOMP)Mbp/Cilk1+ (more )
Structure Level Pattern Image Note
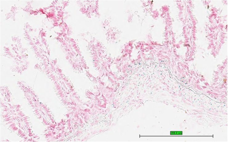
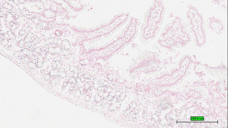
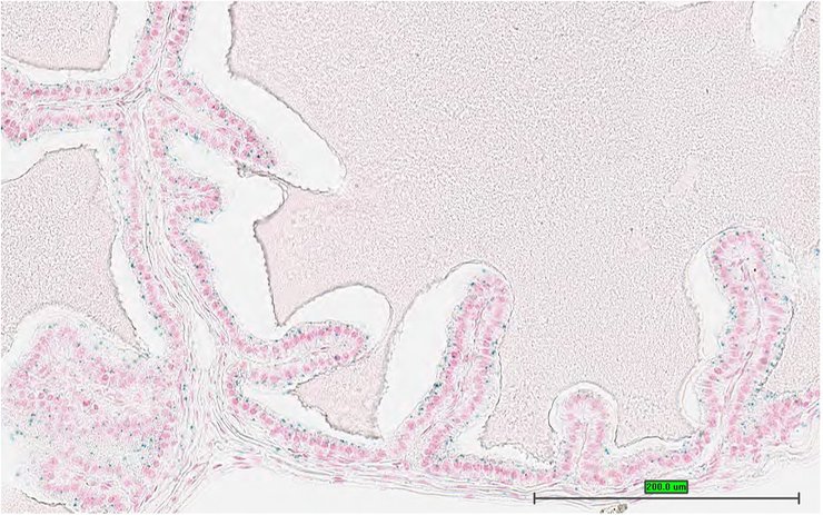
TS28: duodenum Present UC Davis_1863164

Specimen UC Davis_1863165: postnatal adult; Cilk1tm1b(KOMP)Mbp/Cilk1+ (more )
Structure Level Pattern Image Note
TS28: duodenum Present UC Davis_1863165

Specimen UC Davis_1863166: postnatal adult; Cilk1tm1b(KOMP)Mbp/Cilk1+ (more )
Structure Level Pattern Image Note
TS28: duodenum Present UC Davis_1863166

Specimen UC Davis_1863167: postnatal adult; Cilk1tm1b(KOMP)Mbp/Cilk1+ (more )
Structure Level Pattern Image Note
TS28: ileum Present UC Davis_1863167

Specimen UC Davis_1863168: postnatal adult; Cilk1tm1b(KOMP)Mbp/Cilk1+ (more )
Structure Level Pattern Image Note
TS28: colon Present UC Davis_1863168

Specimen UC Davis_1863169: postnatal adult; Cilk1tm1b(KOMP)Mbp/Cilk1+ (more )
Structure Level Pattern Image Note
TS28: colon Present UC Davis_1863169

Specimen UC Davis_1863170: postnatal adult; Cilk1tm1b(KOMP)Mbp/Cilk1+ (more )
Structure Level Pattern Image Note
TS28: cecum Present UC Davis_1863170

Specimen UC Davis_1863171: postnatal adult; Cilk1tm1b(KOMP)Mbp/Cilk1+ (more )
Structure Level Pattern Image Note
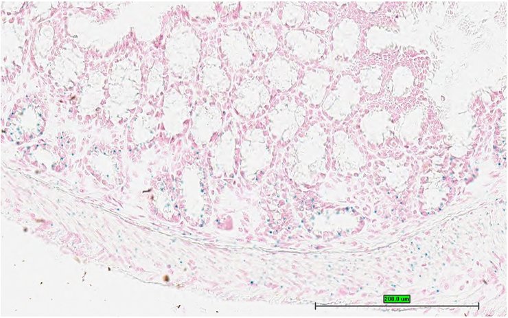
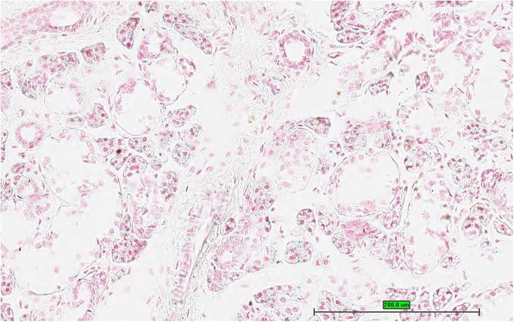
TS28: pancreas Present UC Davis_1863171

Specimen UC Davis_1863172: postnatal adult; Cilk1tm1b(KOMP)Mbp/Cilk1+ (more )
Structure Level Pattern Image Note
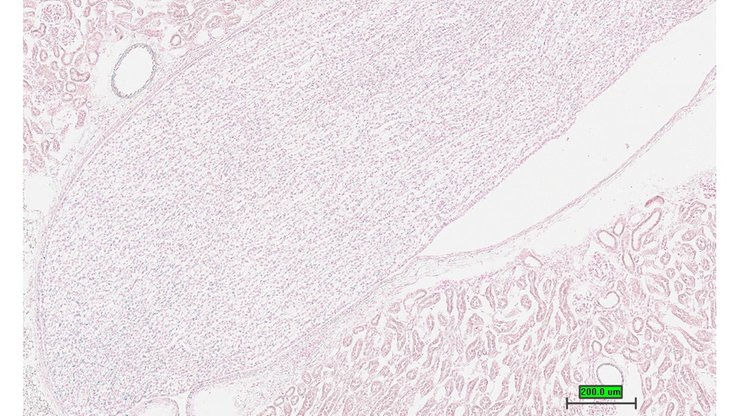
TS28: metanephros Present UC Davis_1863172 kidney

Specimen UC Davis_1863173: postnatal adult; Cilk1tm1b(KOMP)Mbp/Cilk1+ (more )
Structure Level Pattern Image Note
TS28: metanephros Present UC Davis_1863173 kidney

Specimen UC Davis_1863174: postnatal adult; Cilk1tm1b(KOMP)Mbp/Cilk1+ (more )
Structure Level Pattern Image Note
TS28: adrenal gland Present UC Davis_1863174

Specimen UC Davis_1863175: postnatal adult; Cilk1tm1b(KOMP)Mbp/Cilk1+ (more )
Structure Level Pattern Image Note
TS28: adrenal gland Present UC Davis_1863175

Specimen UC Davis_1863176: postnatal adult; Cilk1tm1b(KOMP)Mbp/Cilk1+ (more )
Structure Level Pattern Image Note
TS28: spinal cord Present UC Davis_1863176

Specimen UC Davis_1863177: postnatal adult; Cilk1tm1b(KOMP)Mbp/Cilk1+ (more )
Structure Level Pattern Image Note
TS28: eye Present UC Davis_1863177

Specimen UC Davis_1863178: postnatal adult; Cilk1tm1b(KOMP)Mbp/Cilk1+ (more )
Structure Level Pattern Image Note
TS28: Harderian gland Present UC Davis_1863178

Specimen UC Davis_1863179: postnatal adult; Cilk1tm1b(KOMP)Mbp/Cilk1+ (more )
Structure Level Pattern Image Note
TS28: gonadal fat pad Present UC Davis_1863179

Specimen UC Davis_1863180: postnatal adult; Cilk1tm1b(KOMP)Mbp/Cilk1+ (more )
Structure Level Pattern Image Note
TS28: mesenteric adipose tissue Present UC Davis_1863180

Specimen UC Davis_1863181: postnatal adult; Cilk1tm1b(KOMP)Mbp/Cilk1+ (more )
Structure Level Pattern Image Note
TS28: skin Present UC Davis_1863181

Specimen UC Davis_1863182: postnatal adult; Cilk1tm1b(KOMP)Mbp/Cilk1+ (more )
Structure Level Pattern Image Note
TS28: brown fat Present UC Davis_1863182

Specimen UC Davis_1863184: postnatal adult; Cilk1tm1b(KOMP)Mbp/Cilk1+ (more )
Structure Level Pattern Image Note
TS28: midbrain Present UC Davis_1863184

Specimen UC Davis_1863186: postnatal adult; Cilk1tm1b(KOMP)Mbp/Cilk1+ (more )
Structure Level Pattern Image Note
TS28: cerebellum Present UC Davis_1863186

Specimen UC Davis_1863187: postnatal adult; Cilk1tm1b(KOMP)Mbp/Cilk1+ (more )
Structure Level Pattern Image Note
TS28: ovary Present UC Davis_1863187

Specimen UC Davis_1863188: postnatal adult; Cilk1tm1b(KOMP)Mbp/Cilk1+ (more )
Structure Level Pattern Image Note
TS28: oviduct Present UC Davis_1863188

Specimen UC Davis_1863189: postnatal adult; Cilk1tm1b(KOMP)Mbp/Cilk1+ (more )
Structure Level Pattern Image Note
TS28: oviduct Present UC Davis_1863189

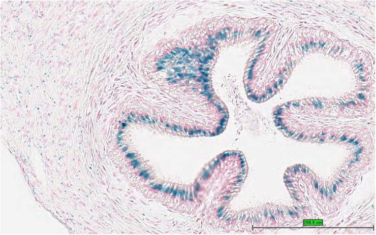
Specimen UC Davis_1863190: postnatal adult; Cilk1tm1b(KOMP)Mbp/Cilk1+ (more )
Structure Level Pattern Image Note
TS28: uterus Present UC Davis_1863190

Specimen UC Davis_1863191: postnatal adult; Cilk1tm1b(KOMP)Mbp/Cilk1+ (more )
Structure Level Pattern Image Note
TS28: uterus Present UC Davis_1863191

Specimen UC Davis_1863192: postnatal adult; Cilk1tm1b(KOMP)Mbp/Cilk1+ (more )
Structure Level Pattern Image Note
TS28: bladder Present UC Davis_1863192

Specimen UC Davis_1863193: postnatal adult; Cilk1tm1b(KOMP)Mbp/Cilk1+ (more )
Structure Level Pattern Image Note
TS28: bladder Present UC Davis_1863193

Specimen UC Davis_1863226: postnatal adult; Cilk1tm1b(KOMP)Mbp/Cilk1+ (more )
Structure Level Pattern Image Note
TS28: oviduct Present UC Davis_1863226

Specimen UC Davis_1863227: postnatal adult; Cilk1tm1b(KOMP)Mbp/Cilk1+ (more )
Structure Level Pattern Image Note
TS28: uterus Present UC Davis_1863227

Specimen UC Davis_1863090: postnatal adult; Cilk1tm1b(KOMP)Mbp/Cilk1+ (more )
Structure Level Pattern Image Note
TS28: submandibular gland Present UC Davis_1863090

Specimen UC Davis_1863091: postnatal adult; Cilk1tm1b(KOMP)Mbp/Cilk1+ (more )
Structure Level Pattern Image Note
TS28: submandibular gland Present UC Davis_1863091

Specimen UC Davis_1863092: postnatal adult; Cilk1tm1b(KOMP)Mbp/Cilk1+ (more )
Structure Level Pattern Image Note
TS28: sublingual gland Present UC Davis_1863092

Specimen UC Davis_1863093: postnatal adult; Cilk1tm1b(KOMP)Mbp/Cilk1+ (more )
Structure Level Pattern Image Note
TS28: parotid gland Present UC Davis_1863093

Specimen UC Davis_1863094: postnatal adult; Cilk1tm1b(KOMP)Mbp/Cilk1+ (more )
Structure Level Pattern Image Note
TS28: trachea Present UC Davis_1863094

Specimen UC Davis_1863095: postnatal adult; Cilk1tm1b(KOMP)Mbp/Cilk1+ (more )
Structure Level Pattern Image Note
TS28: esophagus Present UC Davis_1863095

Specimen UC Davis_1863096: postnatal adult; Cilk1tm1b(KOMP)Mbp/Cilk1+ (more )
Structure Level Pattern Image Note
TS28: esophagus Present UC Davis_1863096

Specimen UC Davis_1863098: postnatal adult; Cilk1tm1b(KOMP)Mbp/Cilk1+ (more )
Structure Level Pattern Image Note
TS28: lung Present UC Davis_1863098

Specimen UC Davis_1863099: postnatal adult; Cilk1tm1b(KOMP)Mbp/Cilk1+ (more )
Structure Level Pattern Image Note
TS28: lung Present UC Davis_1863099

Specimen UC Davis_1863100: postnatal adult; Cilk1tm1b(KOMP)Mbp/Cilk1+ (more )
Structure Level Pattern Image Note
TS28: lung Present UC Davis_1863100

Specimen UC Davis_1863103: postnatal adult; Cilk1tm1b(KOMP)Mbp/Cilk1+ (more )
Structure Level Pattern Image Note
TS28: stomach Present UC Davis_1863103

Specimen UC Davis_1863104: postnatal adult; Cilk1tm1b(KOMP)Mbp/Cilk1+ (more )
Structure Level Pattern Image Note
TS28: stomach Present UC Davis_1863104

Specimen UC Davis_1863105: postnatal adult; Cilk1tm1b(KOMP)Mbp/Cilk1+ (more )
Structure Level Pattern Image Note
TS28: stomach Present UC Davis_1863105

Specimen UC Davis_1863106: postnatal adult; Cilk1tm1b(KOMP)Mbp/Cilk1+ (more )
Structure Level Pattern Image Note
TS28: stomach Present UC Davis_1863106

Specimen UC Davis_1863107: postnatal adult; Cilk1tm1b(KOMP)Mbp/Cilk1+ (more )
Structure Level Pattern Image Note
TS28: ileum Present UC Davis_1863107

Specimen UC Davis_1863108: postnatal adult; Cilk1tm1b(KOMP)Mbp/Cilk1+ (more )
Structure Level Pattern Image Note
TS28: colon Present UC Davis_1863108

Specimen UC Davis_1863109: postnatal adult; Cilk1tm1b(KOMP)Mbp/Cilk1+ (more )
Structure Level Pattern Image Note
TS28: colon Present UC Davis_1863109

Specimen UC Davis_1863110: postnatal adult; Cilk1tm1b(KOMP)Mbp/Cilk1+ (more )
Structure Level Pattern Image Note
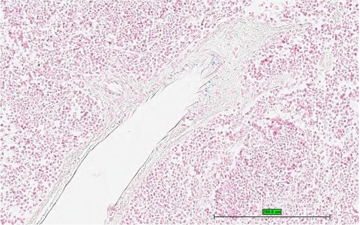
TS28: spleen Present UC Davis_1863110

Specimen UC Davis_1863111: postnatal adult; Cilk1tm1b(KOMP)Mbp/Cilk1+ (more )
Structure Level Pattern Image Note
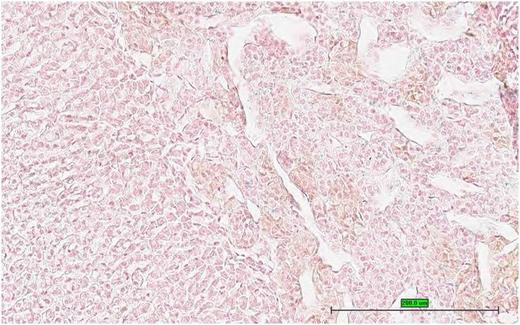
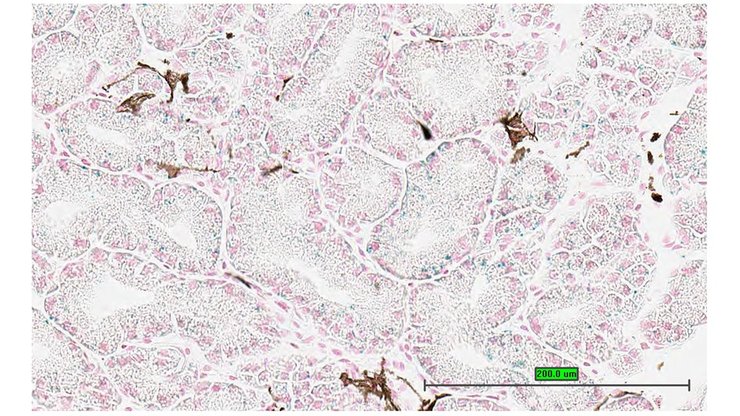
TS28: pancreas Present UC Davis_1863111

Specimen UC Davis_1863112: postnatal adult; Cilk1tm1b(KOMP)Mbp/Cilk1+ (more )
Structure Level Pattern Image Note
TS28: pancreas Present UC Davis_1863112

Specimen UC Davis_1863113: postnatal adult; Cilk1tm1b(KOMP)Mbp/Cilk1+ (more )
Structure Level Pattern Image Note
TS28: metanephros Present UC Davis_1863113 kidney

Specimen UC Davis_1863114: postnatal adult; Cilk1tm1b(KOMP)Mbp/Cilk1+ (more )
Structure Level Pattern Image Note
TS28: metanephros Present UC Davis_1863114 kidney

Specimen UC Davis_1863115: postnatal adult; Cilk1tm1b(KOMP)Mbp/Cilk1+ (more )
Structure Level Pattern Image Note
TS28: quadriceps femoris muscle Present UC Davis_1863115

Specimen UC Davis_1863116: postnatal adult; Cilk1tm1b(KOMP)Mbp/Cilk1+ (more )
Structure Level Pattern Image Note
TS28: tongue Present UC Davis_1863116

Specimen UC Davis_1863117: postnatal adult; Cilk1tm1b(KOMP)Mbp/Cilk1+ (more )
Structure Level Pattern Image Note
TS28: tongue Present UC Davis_1863117

Specimen UC Davis_1863118: postnatal adult; Cilk1tm1b(KOMP)Mbp/Cilk1+ (more )
Structure Level Pattern Image Note
TS28: tongue Present UC Davis_1863118

Specimen UC Davis_1863119: postnatal adult; Cilk1tm1b(KOMP)Mbp/Cilk1+ (more )
Structure Level Pattern Image Note
TS28: adrenal gland Present UC Davis_1863119

Specimen UC Davis_1863120: postnatal adult; Cilk1tm1b(KOMP)Mbp/Cilk1+ (more )
Structure Level Pattern Image Note
TS28: adrenal gland Present UC Davis_1863120

Specimen UC Davis_1863121: postnatal adult; Cilk1tm1b(KOMP)Mbp/Cilk1+ (more )
Structure Level Pattern Image Note
TS28: spinal cord Present UC Davis_1863121

Specimen UC Davis_1863122: postnatal adult; Cilk1tm1b(KOMP)Mbp/Cilk1+ (more )
Structure Level Pattern Image Note
TS28: spinal cord Present UC Davis_1863122

Specimen UC Davis_1863124: postnatal adult; Cilk1tm1b(KOMP)Mbp/Cilk1+ (more )
Structure Level Pattern Image Note
TS28: Harderian gland Present UC Davis_1863124

Specimen UC Davis_1863125: postnatal adult; Cilk1tm1b(KOMP)Mbp/Cilk1+ (more )
Structure Level Pattern Image Note
TS28: Harderian gland Present UC Davis_1863125

Specimen UC Davis_1863126: postnatal adult; Cilk1tm1b(KOMP)Mbp/Cilk1+ (more )
Structure Level Pattern Image Note
TS28: gonadal fat pad Present UC Davis_1863126

Specimen UC Davis_1863127: postnatal adult; Cilk1tm1b(KOMP)Mbp/Cilk1+ (more )
Structure Level Pattern Image Note
TS28: skin Present UC Davis_1863127

Specimen UC Davis_1863128: postnatal adult; Cilk1tm1b(KOMP)Mbp/Cilk1+ (more )
Structure Level Pattern Image Note
TS28: skin Present UC Davis_1863128

Specimen UC Davis_1863129: postnatal adult; Cilk1tm1b(KOMP)Mbp/Cilk1+ (more )
Structure Level Pattern Image Note
TS28: brown fat Present UC Davis_1863129

Specimen UC Davis_1863130: postnatal adult; Cilk1tm1b(KOMP)Mbp/Cilk1+ (more )
Structure Level Pattern Image Note
TS28: brown fat Present UC Davis_1863130

Specimen UC Davis_1863132: postnatal adult; Cilk1tm1b(KOMP)Mbp/Cilk1+ (more )
Structure Level Pattern Image Note
TS28: midbrain Present UC Davis_1863132

Specimen UC Davis_1863134: postnatal adult; Cilk1tm1b(KOMP)Mbp/Cilk1+ (more )
Structure Level Pattern Image Note
TS28: cerebellum Present UC Davis_1863134

Specimen UC Davis_1863135: postnatal adult; Cilk1tm1b(KOMP)Mbp/Cilk1+ (more )
Structure Level Pattern Image Note
TS28: cerebellum Present UC Davis_1863135

Specimen UC Davis_1863136: postnatal adult; Cilk1tm1b(KOMP)Mbp/Cilk1+ (more )
Structure Level Pattern Image Note
TS28: trigeminal nerve Present UC Davis_1863136

Specimen UC Davis_1863137: postnatal adult; Cilk1tm1b(KOMP)Mbp/Cilk1+ (more )
Structure Level Pattern Image Note
TS28: bladder Present UC Davis_1863137

Specimen UC Davis_1863138: postnatal adult; Cilk1tm1b(KOMP)Mbp/Cilk1+ (more )
Structure Level Pattern Image Note
TS28: bladder Present UC Davis_1863138

Specimen UC Davis_1863139: postnatal adult; Cilk1tm1b(KOMP)Mbp/Cilk1+ (more )
Structure Level Pattern Image Note
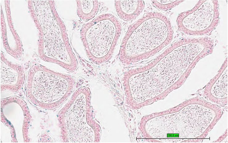
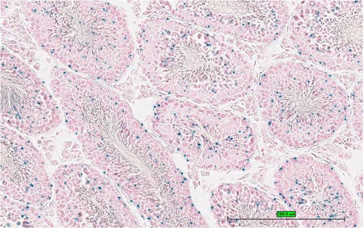
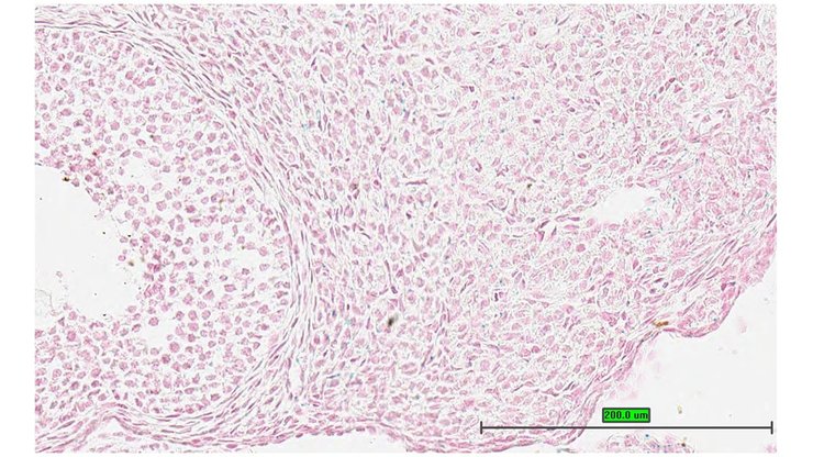
TS28: testis Present UC Davis_1863139

Specimen UC Davis_1863140: postnatal adult; Cilk1tm1b(KOMP)Mbp/Cilk1+ (more )
Structure Level Pattern Image Note
TS28: testis Present UC Davis_1863140

Specimen UC Davis_1863141: postnatal adult; Cilk1tm1b(KOMP)Mbp/Cilk1+ (more )
Structure Level Pattern Image Note
TS28: testis Present UC Davis_1863141

Specimen UC Davis_1863142: postnatal adult; Cilk1tm1b(KOMP)Mbp/Cilk1+ (more )
Structure Level Pattern Image Note
TS28: epididymis Present UC Davis_1863142

Specimen UC Davis_1863143: postnatal adult; Cilk1tm1b(KOMP)Mbp/Cilk1+ (more )
Structure Level Pattern Image Note
TS28: epididymis Present UC Davis_1863143

Specimen UC Davis_1863144: postnatal adult; Cilk1tm1b(KOMP)Mbp/Cilk1+ (more )
Structure Level Pattern Image Note
TS28: penis Present UC Davis_1863144

Specimen UC Davis_1863145: postnatal adult; Cilk1tm1b(KOMP)Mbp/Cilk1+ (more )
Structure Level Pattern Image Note
TS28: penis Present UC Davis_1863145

Specimen UC Davis_1863146: postnatal adult; Cilk1tm1b(KOMP)Mbp/Cilk1+ (more )
Structure Level Pattern Image Note
TS28: penis Present UC Davis_1863146

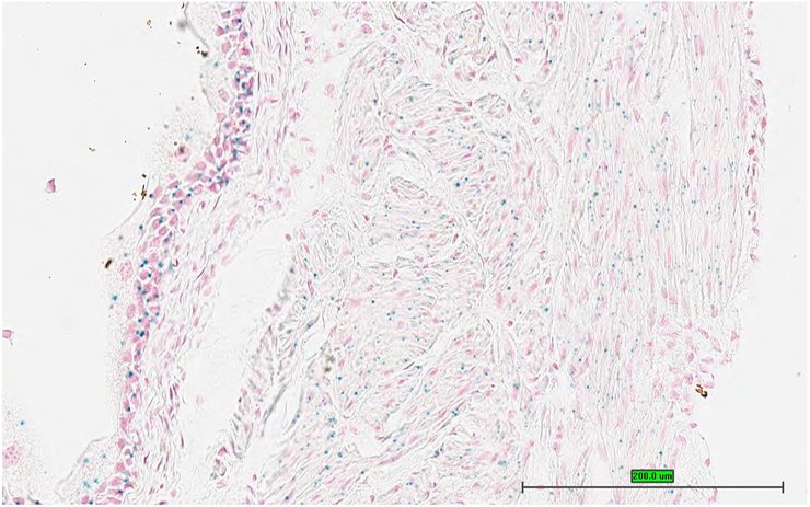
Specimen UC Davis_1863147: postnatal adult; Cilk1tm1b(KOMP)Mbp/Cilk1+ (more )
Structure Level Pattern Image Note
TS28: ductus deferens Present UC Davis_1863147 vas deferens

Specimen UC Davis_1863150: postnatal adult; Cilk1tm1b(KOMP)Mbp/Cilk1+ (more )
Structure Level Pattern Image Note
TS28: seminal vesicle Present UC Davis_1863150 vesicular gland

Specimen UC Davis_1863151: postnatal adult; Cilk1tm1b(KOMP)Mbp/Cilk1+ (more )
Structure Level Pattern Image Note
TS28: seminal vesicle Present UC Davis_1863151 vesicular gland

Specimen UC Davis_1863195: postnatal adult; Cilk1tm1b(KOMP)Mbp/Cilk1+ (more )
Structure Level Pattern Image Note
TS28: tongue Present UC Davis_1863195

Specimen UC Davis_1863196: postnatal adult; Cilk1tm1b(KOMP)Mbp/Cilk1+ (more )
Structure Level Pattern Image Note
TS28: spleen Present UC Davis_1863196

Specimen UC Davis_1863197: postnatal adult; Cilk1tm1b(KOMP)Mbp/Cilk1+ (more )
Structure Level Pattern Image Note
TS28: pancreas Present UC Davis_1863197

Specimen UC Davis_1863198: postnatal adult; Cilk1tm1b(KOMP)Mbp/Cilk1+ (more )
Structure Level Pattern Image Note
TS28: sciatic nerve Present UC Davis_1863198

Specimen UC Davis_1863199: postnatal adult; Cilk1tm1b(KOMP)Mbp/Cilk1+ (more )
Structure Level Pattern Image Note
TS28: olfactory lobe Present UC Davis_1863199

Specimen UC Davis_1863202: postnatal adult; Cilk1tm1b(KOMP)Mbp/Cilk1+ (more )
Structure Level Pattern Image Note
TS28: midbrain Present UC Davis_1863202

Specimen UC Davis_1863203: postnatal adult; Cilk1tm1b(KOMP)Mbp/Cilk1+ (more )
Structure Level Pattern Image Note
TS28: midbrain Present UC Davis_1863203

Specimen UC Davis_1863205: postnatal adult; Cilk1tm1b(KOMP)Mbp/Cilk1+ (more )
Structure Level Pattern Image Note
TS28: cerebellum Present UC Davis_1863205

Specimen UC Davis_1863206: postnatal adult; Cilk1tm1b(KOMP)Mbp/Cilk1+ (more )
Structure Level Pattern Image Note
TS28: brain Present UC Davis_1863206

Specimen UC Davis_1863207: postnatal adult; Cilk1tm1b(KOMP)Mbp/Cilk1+ (more )
Structure Level Pattern Image Note
TS28: aorta Present UC Davis_1863207

Specimen UC Davis_1863209: postnatal adult; Cilk1tm1b(KOMP)Mbp/Cilk1+ (more )
Structure Level Pattern Image Note
TS28: metanephros Present UC Davis_1863209 kidney

Specimen UC Davis_1863210: postnatal adult; Cilk1tm1b(KOMP)Mbp/Cilk1+ (more )
Structure Level Pattern Image Note
TS28: liver Present UC Davis_1863210

Specimen UC Davis_1863211: postnatal adult; Cilk1tm1b(KOMP)Mbp/Cilk1+ (more )
Structure Level Pattern Image Note
TS28: trachea Present UC Davis_1863211

Specimen UC Davis_1863212: postnatal adult; Cilk1tm1b(KOMP)Mbp/Cilk1+ (more )
Structure Level Pattern Image Note
TS28: thyroid gland Present UC Davis_1863212

Specimen UC Davis_1863213: postnatal adult; Cilk1tm1b(KOMP)Mbp/Cilk1+ (more )
Structure Level Pattern Image Note
TS28: spinal cord Present UC Davis_1863213

Specimen UC Davis_1863214: postnatal adult; Cilk1tm1b(KOMP)Mbp/Cilk1+ (more )
Structure Level Pattern Image Note
TS28: eye Present UC Davis_1863214

Specimen UC Davis_1863215: postnatal adult; Cilk1tm1b(KOMP)Mbp/Cilk1+ (more )
Structure Level Pattern Image Note
TS28: Harderian gland Present UC Davis_1863215

Specimen UC Davis_1863216: postnatal adult; Cilk1tm1b(KOMP)Mbp/Cilk1+ (more )
Structure Level Pattern Image Note
TS28: bladder Present UC Davis_1863216

Specimen UC Davis_1863217: postnatal adult; Cilk1tm1b(KOMP)Mbp/Cilk1+ (more )
Structure Level Pattern Image Note
TS28: testis Present UC Davis_1863217

Specimen UC Davis_1863218: postnatal adult; Cilk1tm1b(KOMP)Mbp/Cilk1+ (more )
Structure Level Pattern Image Note
TS28: seminal vesicle Present UC Davis_1863218 vesicular gland

Specimen UC Davis_1863219: postnatal adult; Cilk1tm1b(KOMP)Mbp/Cilk1+ (more )
Structure Level Pattern Image Note
TS28: ductus deferens Present UC Davis_1863219 vas deferens

Specimen UC Davis_1863221: postnatal adult; Cilk1tm1b(KOMP)Mbp/Cilk1+ (more )
Structure Level Pattern Image Note
TS28: thoracic segment skeleton Present UC Davis_1863221 chest bone


Contributing Projects:
Mouse Genome Database (MGD), Gene Expression Database (GXD), Mouse Models of Human Cancer database (MMHCdb) (formerly Mouse Tumor Biology (MTB)), Gene Ontology (GO)
Citing These Resources
Funding Information
Warranty Disclaimer, Privacy Notice, Licensing, & Copyright
Send questions and comments to User Support.
last database update
12/30/2025
MGI 6.24
The Jackson Laboratory