About   Help   FAQ
Gene Expression Data
Assay Details
Assay
Reference: J:228563 Koscielny G, et al., The International Mouse Phenotyping Consortium Web Portal, a unified point of access for knockout mice and related phenotyping data. Nucleic Acids Res. 2014 Jan;42(Database issue):D802-9
Assay type: In situ reporter (knock in)
MGI Accession ID: MGI:6692329
Gene symbol: Mcam
Gene name: melanoma cell adhesion molecule
Reporter: lacZ
Direct Detection
Results
Specimen UC Davis_1855951: postnatal adult; Mcamtm1.1(KOMP)Wtsi/Mcam+ (more )
Structure Level Pattern Image Note
TS28: trachea Present UC Davis_1855951

Specimen UC Davis_1855952: postnatal adult; Mcamtm1.1(KOMP)Wtsi/Mcam+ (more )
Structure Level Pattern Image Note
TS28: trachea Present UC Davis_1855952

Specimen UC Davis_1855953: postnatal adult; Mcamtm1.1(KOMP)Wtsi/Mcam+ (more )
Structure Level Pattern Image Note
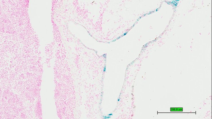
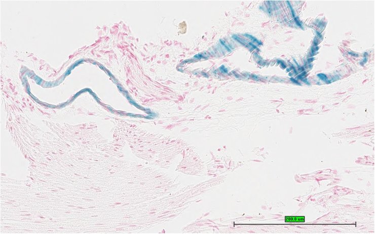
TS28: aorta Present UC Davis_1855953

Specimen UC Davis_1855954: postnatal adult; Mcamtm1.1(KOMP)Wtsi/Mcam+ (more )
Structure Level Pattern Image Note
TS28: aorta Present UC Davis_1855954

Specimen UC Davis_1855955: postnatal adult; Mcamtm1.1(KOMP)Wtsi/Mcam+ (more )
Structure Level Pattern Image Note
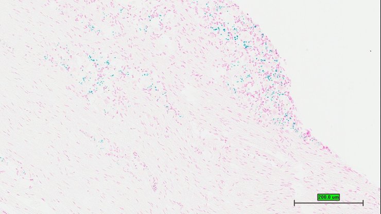
TS28: lung Present UC Davis_1855955

Specimen UC Davis_1855956: postnatal adult; Mcamtm1.1(KOMP)Wtsi/Mcam+ (more )
Structure Level Pattern Image Note
TS28: lung Present UC Davis_1855956

Specimen UC Davis_1855958: postnatal adult; Mcamtm1.1(KOMP)Wtsi/Mcam+ (more )
Structure Level Pattern Image Note
TS28: stomach Present UC Davis_1855958

Specimen UC Davis_1855959: postnatal adult; Mcamtm1.1(KOMP)Wtsi/Mcam+ (more )
Structure Level Pattern Image Note
TS28: stomach Present UC Davis_1855959

Specimen UC Davis_1855960: postnatal adult; Mcamtm1.1(KOMP)Wtsi/Mcam+ (more )
Structure Level Pattern Image Note
TS28: stomach Present UC Davis_1855960

Specimen UC Davis_1855961: postnatal adult; Mcamtm1.1(KOMP)Wtsi/Mcam+ (more )
Structure Level Pattern Image Note
TS28: ileum Present UC Davis_1855961

Specimen UC Davis_1855962: postnatal adult; Mcamtm1.1(KOMP)Wtsi/Mcam+ (more )
Structure Level Pattern Image Note
TS28: colon Present UC Davis_1855962

Specimen UC Davis_1855963: postnatal adult; Mcamtm1.1(KOMP)Wtsi/Mcam+ (more )
Structure Level Pattern Image Note
TS28: colon Present UC Davis_1855963

Specimen UC Davis_1855964: postnatal adult; Mcamtm1.1(KOMP)Wtsi/Mcam+ (more )
Structure Level Pattern Image Note
TS28: spleen Present UC Davis_1855964

Specimen UC Davis_1855965: postnatal adult; Mcamtm1.1(KOMP)Wtsi/Mcam+ (more )
Structure Level Pattern Image Note
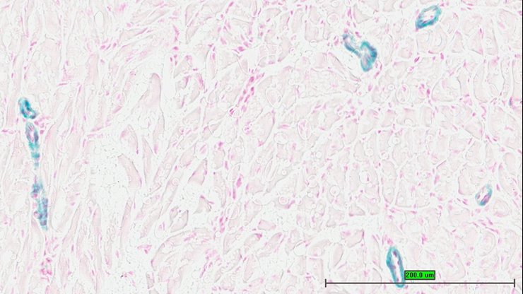
TS28: quadriceps femoris muscle Present UC Davis_1855965

Specimen UC Davis_1855966: postnatal adult; Mcamtm1.1(KOMP)Wtsi/Mcam+ (more )
Structure Level Pattern Image Note
TS28: spinal cord Present UC Davis_1855966

Specimen UC Davis_1855967: postnatal adult; Mcamtm1.1(KOMP)Wtsi/Mcam+ (more )
Structure Level Pattern Image Note
TS28: spinal cord Present UC Davis_1855967

Specimen UC Davis_1855968: postnatal adult; Mcamtm1.1(KOMP)Wtsi/Mcam+ (more )
Structure Level Pattern Image Note
TS28: spinal cord Present UC Davis_1855968

Specimen UC Davis_1855969: postnatal adult; Mcamtm1.1(KOMP)Wtsi/Mcam+ (more )
Structure Level Pattern Image Note
TS28: gonadal fat pad Present UC Davis_1855969

Specimen UC Davis_1855970: postnatal adult; Mcamtm1.1(KOMP)Wtsi/Mcam+ (more )
Structure Level Pattern Image Note
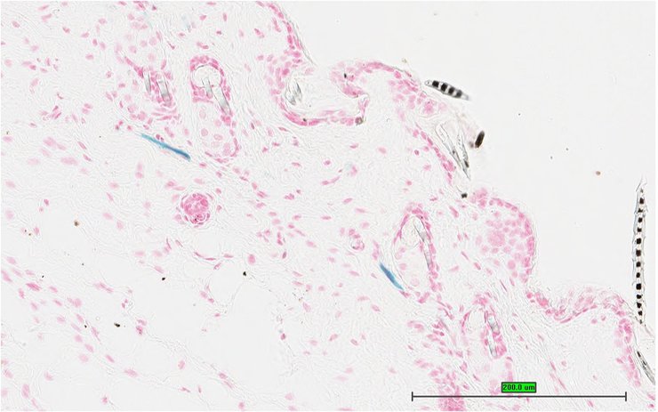
TS28: skin Present UC Davis_1855970

Specimen UC Davis_1855971: postnatal adult; Mcamtm1.1(KOMP)Wtsi/Mcam+ (more )
Structure Level Pattern Image Note
TS28: skin Present UC Davis_1855971

Specimen UC Davis_1855972: postnatal adult; Mcamtm1.1(KOMP)Wtsi/Mcam+ (more )
Structure Level Pattern Image Note
TS28: brown fat Present UC Davis_1855972

Specimen UC Davis_1855973: postnatal adult; Mcamtm1.1(KOMP)Wtsi/Mcam+ (more )
Structure Level Pattern Image Note
TS28: brown fat Present UC Davis_1855973

Specimen UC Davis_1855974: postnatal adult; Mcamtm1.1(KOMP)Wtsi/Mcam+ (more )
Structure Level Pattern Image Note
TS28: olfactory lobe Present UC Davis_1855974

Specimen UC Davis_1855978: postnatal adult; Mcamtm1.1(KOMP)Wtsi/Mcam+ (more )
Structure Level Pattern Image Note
TS28: midbrain Present UC Davis_1855978

Specimen UC Davis_1855981: postnatal adult; Mcamtm1.1(KOMP)Wtsi/Mcam+ (more )
Structure Level Pattern Image Note
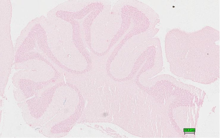
TS28: cerebellum Present UC Davis_1855981

Specimen UC Davis_1855982: postnatal adult; Mcamtm1.1(KOMP)Wtsi/Mcam+ (more )
Structure Level Pattern Image Note
TS28: cerebellum Present UC Davis_1855982

Specimen UC Davis_1855983: postnatal adult; Mcamtm1.1(KOMP)Wtsi/Mcam+ (more )
Structure Level Pattern Image Note
TS28: trigeminal nerve Present UC Davis_1855983

Specimen UC Davis_1855984: postnatal adult; Mcamtm1.1(KOMP)Wtsi/Mcam+ (more )
Structure Level Pattern Image Note
TS28: trigeminal nerve Present UC Davis_1855984

Specimen UC Davis_1855985: postnatal adult; Mcamtm1.1(KOMP)Wtsi/Mcam+ (more )
Structure Level Pattern Image Note
TS28: oviduct Present UC Davis_1855985

Specimen UC Davis_1855986: postnatal adult; Mcamtm1.1(KOMP)Wtsi/Mcam+ (more )
Structure Level Pattern Image Note
TS28: uterus Present UC Davis_1855986

Specimen UC Davis_1855987: postnatal adult; Mcamtm1.1(KOMP)Wtsi/Mcam+ (more )
Structure Level Pattern Image Note
TS28: uterus Present UC Davis_1855987

Specimen UC Davis_1855988: postnatal adult; Mcamtm1.1(KOMP)Wtsi/Mcam+ (more )
Structure Level Pattern Image Note
TS28: uterus Present UC Davis_1855988

Specimen UC Davis_1855989: postnatal adult; Mcamtm1.1(KOMP)Wtsi/Mcam+ (more )
Structure Level Pattern Image Note
TS28: vagina Present UC Davis_1855989

Specimen UC Davis_1855990: postnatal adult; Mcamtm1.1(KOMP)Wtsi/Mcam+ (more )
Structure Level Pattern Image Note
TS28: vagina Present UC Davis_1855990

Specimen UC Davis_1855991: postnatal adult; Mcamtm1.1(KOMP)Wtsi/Mcam+ (more )
Structure Level Pattern Image Note
TS28: bladder Present UC Davis_1855991

Specimen UC Davis_1856073: postnatal adult; Mcamtm1.1(KOMP)Wtsi/Mcam+ (more )
Structure Level Pattern Image Note
TS28: quadriceps femoris muscle Present UC Davis_1856073

Specimen UC Davis_1856074: postnatal adult; Mcamtm1.1(KOMP)Wtsi/Mcam+ (more )
Structure Level Pattern Image Note
TS28: ovary Present UC Davis_1856074

Specimen UC Davis_1856075: postnatal adult; Mcamtm1.1(KOMP)Wtsi/Mcam+ (more )
Structure Level Pattern Image Note
TS28: oviduct Present UC Davis_1856075

Specimen UC Davis_1856076: postnatal adult; Mcamtm1.1(KOMP)Wtsi/Mcam+ (more )
Structure Level Pattern Image Note
TS28: uterus Present UC Davis_1856076

Specimen UC Davis_1855992: postnatal adult; Mcamtm1.1(KOMP)Wtsi/Mcam+ (more )
Structure Level Pattern Image Note
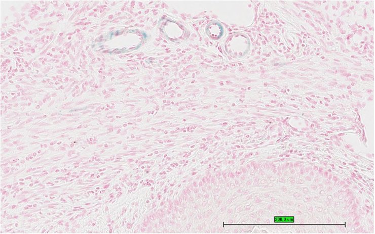
TS28: esophagus Present UC Davis_1855992

Specimen UC Davis_1855993: postnatal adult; Mcamtm1.1(KOMP)Wtsi/Mcam+ (more )
Structure Level Pattern Image Note
TS28: esophagus Present UC Davis_1855993

Specimen UC Davis_1855997: postnatal adult; Mcamtm1.1(KOMP)Wtsi/Mcam+ (more )
Structure Level Pattern Image Note
TS28: aorta Present UC Davis_1855997

Specimen UC Davis_1855998: postnatal adult; Mcamtm1.1(KOMP)Wtsi/Mcam+ (more )
Structure Level Pattern Image Note
TS28: aorta Present UC Davis_1855998

Specimen UC Davis_1855999: postnatal adult; Mcamtm1.1(KOMP)Wtsi/Mcam+ (more )
Structure Level Pattern Image Note
TS28: aorta Present UC Davis_1855999

Specimen UC Davis_1856002: postnatal adult; Mcamtm1.1(KOMP)Wtsi/Mcam+ (more )
Structure Level Pattern Image Note
TS28: stomach Present UC Davis_1856002

Specimen UC Davis_1856003: postnatal adult; Mcamtm1.1(KOMP)Wtsi/Mcam+ (more )
Structure Level Pattern Image Note
TS28: stomach Present UC Davis_1856003

Specimen UC Davis_1856004: postnatal adult; Mcamtm1.1(KOMP)Wtsi/Mcam+ (more )
Structure Level Pattern Image Note
TS28: spleen Present UC Davis_1856004

Specimen UC Davis_1856005: postnatal adult; Mcamtm1.1(KOMP)Wtsi/Mcam+ (more )
Structure Level Pattern Image Note
TS28: spleen Present UC Davis_1856005

Specimen UC Davis_1856006: postnatal adult; Mcamtm1.1(KOMP)Wtsi/Mcam+ (more )
Structure Level Pattern Image Note
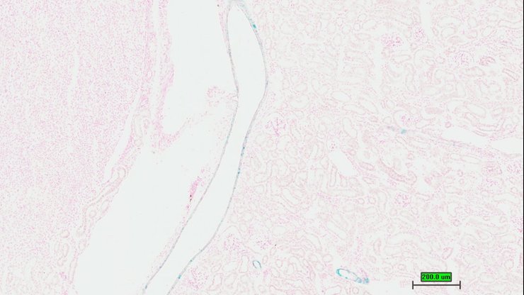
TS28: metanephros Absent UC Davis_1856006 kidney

Specimen UC Davis_1856007: postnatal adult; Mcamtm1.1(KOMP)Wtsi/Mcam+ (more )
Structure Level Pattern Image Note
TS28: metanephros Absent UC Davis_1856007 kidney

Specimen UC Davis_1856008: postnatal adult; Mcamtm1.1(KOMP)Wtsi/Mcam+ (more )
Structure Level Pattern Image Note
TS28: metanephros Absent UC Davis_1856008 kidney

Specimen UC Davis_1856009: postnatal adult; Mcamtm1.1(KOMP)Wtsi/Mcam+ (more )
Structure Level Pattern Image Note
TS28: quadriceps femoris muscle Present UC Davis_1856009

Specimen UC Davis_1856010: postnatal adult; Mcamtm1.1(KOMP)Wtsi/Mcam+ (more )
Structure Level Pattern Image Note
TS28: quadriceps femoris muscle Present UC Davis_1856010

Specimen UC Davis_1856011: postnatal adult; Mcamtm1.1(KOMP)Wtsi/Mcam+ (more )
Structure Level Pattern Image Note
TS28: tongue Present UC Davis_1856011

Specimen UC Davis_1856012: postnatal adult; Mcamtm1.1(KOMP)Wtsi/Mcam+ (more )
Structure Level Pattern Image Note
TS28: tongue Present UC Davis_1856012

Specimen UC Davis_1856013: postnatal adult; Mcamtm1.1(KOMP)Wtsi/Mcam+ (more )
Structure Level Pattern Image Note
TS28: tongue Present UC Davis_1856013

Specimen UC Davis_1856014: postnatal adult; Mcamtm1.1(KOMP)Wtsi/Mcam+ (more )
Structure Level Pattern Image Note
TS28: spinal cord Present UC Davis_1856014

Specimen UC Davis_1856015: postnatal adult; Mcamtm1.1(KOMP)Wtsi/Mcam+ (more )
Structure Level Pattern Image Note
TS28: spinal cord Present UC Davis_1856015

Specimen UC Davis_1856017: postnatal adult; Mcamtm1.1(KOMP)Wtsi/Mcam+ (more )
Structure Level Pattern Image Note
TS28: midbrain Present UC Davis_1856017

Specimen UC Davis_1856019: postnatal adult; Mcamtm1.1(KOMP)Wtsi/Mcam+ (more )
Structure Level Pattern Image Note
TS28: cerebellum Present UC Davis_1856019

Specimen UC Davis_1856020: postnatal adult; Mcamtm1.1(KOMP)Wtsi/Mcam+ (more )
Structure Level Pattern Image Note
TS28: trigeminal nerve Present UC Davis_1856020

Specimen UC Davis_1856021: postnatal adult; Mcamtm1.1(KOMP)Wtsi/Mcam+ (more )
Structure Level Pattern Image Note
TS28: trigeminal nerve Present UC Davis_1856021

Specimen UC Davis_1856022: postnatal adult; Mcamtm1.1(KOMP)Wtsi/Mcam+ (more )
Structure Level Pattern Image Note
TS28: bladder Present UC Davis_1856022

Specimen UC Davis_1856023: postnatal adult; Mcamtm1.1(KOMP)Wtsi/Mcam+ (more )
Structure Level Pattern Image Note
TS28: bladder Present UC Davis_1856023

Specimen UC Davis_1856024: postnatal adult; Mcamtm1.1(KOMP)Wtsi/Mcam+ (more )
Structure Level Pattern Image Note
TS28: bladder Present UC Davis_1856024

Specimen UC Davis_1856025: postnatal adult; Mcamtm1.1(KOMP)Wtsi/Mcam+ (more )
Structure Level Pattern Image Note
TS28: testis Present UC Davis_1856025

Specimen UC Davis_1856026: postnatal adult; Mcamtm1.1(KOMP)Wtsi/Mcam+ (more )
Structure Level Pattern Image Note
TS28: testis Present UC Davis_1856026

Specimen UC Davis_1856027: postnatal adult; Mcamtm1.1(KOMP)Wtsi/Mcam+ (more )
Structure Level Pattern Image Note
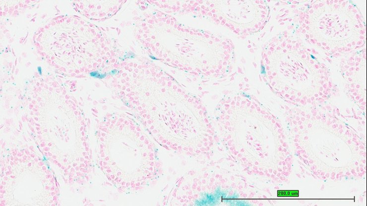
TS28: epididymis Present UC Davis_1856027

Specimen UC Davis_1856028: postnatal adult; Mcamtm1.1(KOMP)Wtsi/Mcam+ (more )
Structure Level Pattern Image Note
TS28: epididymis Present UC Davis_1856028

Specimen UC Davis_1856029: postnatal adult; Mcamtm1.1(KOMP)Wtsi/Mcam+ (more )
Structure Level Pattern Image Note
TS28: epididymis Present UC Davis_1856029

Specimen UC Davis_1856030: postnatal adult; Mcamtm1.1(KOMP)Wtsi/Mcam+ (more )
Structure Level Pattern Image Note
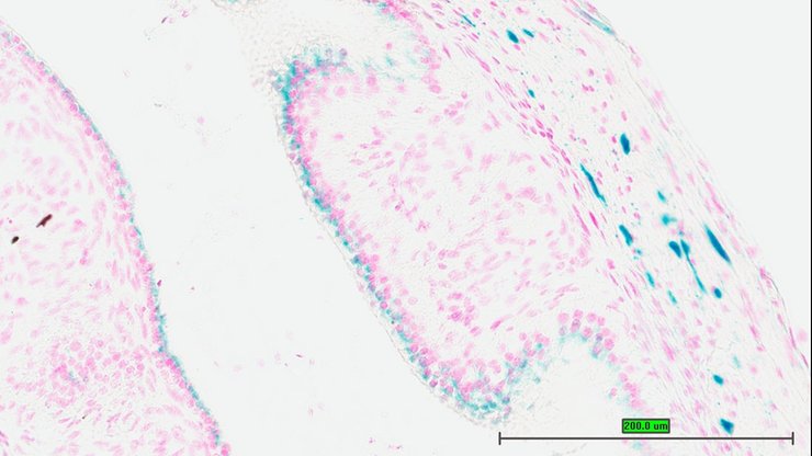
TS28: penis Present UC Davis_1856030

Specimen UC Davis_1856031: postnatal adult; Mcamtm1.1(KOMP)Wtsi/Mcam+ (more )
Structure Level Pattern Image Note
TS28: penis Present UC Davis_1856031

Specimen UC Davis_1856032: postnatal adult; Mcamtm1.1(KOMP)Wtsi/Mcam+ (more )
Structure Level Pattern Image Note
TS28: penis Present UC Davis_1856032

Specimen UC Davis_1856033: postnatal adult; Mcamtm1.1(KOMP)Wtsi/Mcam+ (more )
Structure Level Pattern Image Note
TS28: penis Present UC Davis_1856033

Specimen UC Davis_1856034: postnatal adult; Mcamtm1.1(KOMP)Wtsi/Mcam+ (more )
Structure Level Pattern Image Note
TS28: ductus deferens Present UC Davis_1856034 vas deferens

Specimen UC Davis_1856035: postnatal adult; Mcamtm1.1(KOMP)Wtsi/Mcam+ (more )
Structure Level Pattern Image Note
TS28: ductus deferens Present UC Davis_1856035 vas deferens

Specimen UC Davis_1856036: postnatal adult; Mcamtm1.1(KOMP)Wtsi/Mcam+ (more )
Structure Level Pattern Image Note
TS28: ductus deferens Present UC Davis_1856036 vas deferens

Specimen UC Davis_1856039: postnatal adult; Mcamtm1.1(KOMP)Wtsi/Mcam+ (more )
Structure Level Pattern Image Note
TS28: seminal vesicle Present UC Davis_1856039 vesicular gland

Specimen UC Davis_1856040: postnatal adult; Mcamtm1.1(KOMP)Wtsi/Mcam+ (more )
Structure Level Pattern Image Note
TS28: seminal vesicle Present UC Davis_1856040 vesicular gland

Specimen UC Davis_1856041: postnatal adult; Mcamtm1.1(KOMP)Wtsi/Mcam+ (more )
Structure Level Pattern Image Note
TS28: tongue Present UC Davis_1856041

Specimen UC Davis_1856042: postnatal adult; Mcamtm1.1(KOMP)Wtsi/Mcam+ (more )
Structure Level Pattern Image Note
TS28: spleen Present UC Davis_1856042

Specimen UC Davis_1856043: postnatal adult; Mcamtm1.1(KOMP)Wtsi/Mcam+ (more )
Structure Level Pattern Image Note
TS28: pancreas Present UC Davis_1856043

Specimen UC Davis_1856044: postnatal adult; Mcamtm1.1(KOMP)Wtsi/Mcam+ (more )
Structure Level Pattern Image Note
TS28: olfactory lobe Present UC Davis_1856044

Specimen UC Davis_1856047: postnatal adult; Mcamtm1.1(KOMP)Wtsi/Mcam+ (more )
Structure Level Pattern Image Note
TS28: midbrain Present UC Davis_1856047

Specimen UC Davis_1856049: postnatal adult; Mcamtm1.1(KOMP)Wtsi/Mcam+ (more )
Structure Level Pattern Image Note
TS28: cerebellum Present UC Davis_1856049

Specimen UC Davis_1856050: postnatal adult; Mcamtm1.1(KOMP)Wtsi/Mcam+ (more )
Structure Level Pattern Image Note
TS28: brain Present UC Davis_1856050

Specimen UC Davis_1856052: postnatal adult; Mcamtm1.1(KOMP)Wtsi/Mcam+ (more )
Structure Level Pattern Image Note
TS28: lung Present UC Davis_1856052

Specimen UC Davis_1856053: postnatal adult; Mcamtm1.1(KOMP)Wtsi/Mcam+ (more )
Structure Level Pattern Image Note
TS28: aorta Present UC Davis_1856053

Specimen UC Davis_1856054: postnatal adult; Mcamtm1.1(KOMP)Wtsi/Mcam+ (more )
Structure Level Pattern Image Note
TS28: metanephros Present UC Davis_1856054 kidney

Specimen UC Davis_1856055: postnatal adult; Mcamtm1.1(KOMP)Wtsi/Mcam+ (more )
Structure Level Pattern Image Note
TS28: diaphragm Present UC Davis_1856055

Specimen UC Davis_1856056: postnatal adult; Mcamtm1.1(KOMP)Wtsi/Mcam+ (more )
Structure Level Pattern Image Note
TS28: trachea Present UC Davis_1856056

Specimen UC Davis_1856057: postnatal adult; Mcamtm1.1(KOMP)Wtsi/Mcam+ (more )
Structure Level Pattern Image Note
TS28: thyroid gland Present UC Davis_1856057

Specimen UC Davis_1856058: postnatal adult; Mcamtm1.1(KOMP)Wtsi/Mcam+ (more )
Structure Level Pattern Image Note
TS28: spinal cord Present UC Davis_1856058

Specimen UC Davis_1856059: postnatal adult; Mcamtm1.1(KOMP)Wtsi/Mcam+ (more )
Structure Level Pattern Image Note
TS28: stomach Present UC Davis_1856059

Specimen UC Davis_1856060: postnatal adult; Mcamtm1.1(KOMP)Wtsi/Mcam+ (more )
Structure Level Pattern Image Note
TS28: duodenum Present UC Davis_1856060

Specimen UC Davis_1856061: postnatal adult; Mcamtm1.1(KOMP)Wtsi/Mcam+ (more )
Structure Level Pattern Image Note
TS28: jejunum Present UC Davis_1856061

Specimen UC Davis_1856062: postnatal adult; Mcamtm1.1(KOMP)Wtsi/Mcam+ (more )
Structure Level Pattern Image Note
TS28: ileum Present UC Davis_1856062

Specimen UC Davis_1856063: postnatal adult; Mcamtm1.1(KOMP)Wtsi/Mcam+ (more )
Structure Level Pattern Image Note
TS28: colon Present UC Davis_1856063

Specimen UC Davis_1856064: postnatal adult; Mcamtm1.1(KOMP)Wtsi/Mcam+ (more )
Structure Level Pattern Image Note
TS28: mesenteric adipose tissue Present UC Davis_1856064

Specimen UC Davis_1856065: postnatal adult; Mcamtm1.1(KOMP)Wtsi/Mcam+ (more )
Structure Level Pattern Image Note
TS28: bladder Present UC Davis_1856065

Specimen UC Davis_1856066: postnatal adult; Mcamtm1.1(KOMP)Wtsi/Mcam+ (more )
Structure Level Pattern Image Note
TS28: gonadal fat pad Present UC Davis_1856066

Specimen UC Davis_1856067: postnatal adult; Mcamtm1.1(KOMP)Wtsi/Mcam+ (more )
Structure Level Pattern Image Note
TS28: penis Present UC Davis_1856067

Specimen UC Davis_1856069: postnatal adult; Mcamtm1.1(KOMP)Wtsi/Mcam+ (more )
Structure Level Pattern Image Note
TS28: gallbladder Present UC Davis_1856069

Specimen UC Davis_1856070: postnatal adult; Mcamtm1.1(KOMP)Wtsi/Mcam+ (more )
Structure Level Pattern Image Note
TS28: thoracic segment skeleton Present UC Davis_1856070 chest bone


Contributing Projects:
Mouse Genome Database (MGD), Gene Expression Database (GXD), Mouse Models of Human Cancer database (MMHCdb) (formerly Mouse Tumor Biology (MTB)), Gene Ontology (GO)
Citing These Resources
Funding Information
Warranty Disclaimer, Privacy Notice, Licensing, & Copyright
Send questions and comments to User Support.
last database update
03/24/2026
MGI 6.24
The Jackson Laboratory