About   Help   FAQ
Gene Expression Data
Assay Details
Assay
Reference: J:228563 Koscielny G, et al., The International Mouse Phenotyping Consortium Web Portal, a unified point of access for knockout mice and related phenotyping data. Nucleic Acids Res. 2014 Jan;42(Database issue):D802-9
Assay type: In situ reporter (knock in)
MGI Accession ID: MGI:6692325
Gene symbol: Jam2
Gene name: junction adhesion molecule 2
Reporter: lacZ
Direct Detection
Results
Specimen JAX_1802355: postnatal adult; Jam2tm1.1(KOMP)Mbp/Jam2+ (more )
Structure Level Pattern Image Note
TS28: thalamus Present JAX_1802355

Specimen JAX_1802356: postnatal adult; Jam2tm1.1(KOMP)Mbp/Jam2+ (more )
Structure Level Pattern Image Note
TS28: midbrain Present JAX_1802356

Specimen JAX_1802357: postnatal adult; Jam2tm1.1(KOMP)Mbp/Jam2+ (more )
Structure Level Pattern Image Note
TS28: corpus striatum Present JAX_1802357

Specimen JAX_1802358: postnatal adult; Jam2tm1.1(KOMP)Mbp/Jam2+ (more )
Structure Level Pattern Image Note
TS28: peripheral nervous system Present JAX_1802358

Specimen JAX_1802359: postnatal adult; Jam2tm1.1(KOMP)Mbp/Jam2+ (more )
Structure Level Pattern Image Note
TS28: olfactory lobe Present JAX_1802359

Specimen JAX_1802360: postnatal adult; Jam2tm1.1(KOMP)Mbp/Jam2+ (more )
Structure Level Pattern Image Note
TS28: hypothalamus Present JAX_1802360

Specimen JAX_1802361: postnatal adult; Jam2tm1.1(KOMP)Mbp/Jam2+ (more )
Structure Level Pattern Image Note
TS28: hippocampus Present JAX_1802361

Specimen JAX_1802362: postnatal adult; Jam2tm1.1(KOMP)Mbp/Jam2+ (more )
Structure Level Pattern Image Note
TS28: cerebellum Present JAX_1802362

Specimen JAX_1802363: postnatal adult; Jam2tm1.1(KOMP)Mbp/Jam2+ (more )
Structure Level Pattern Image Note
TS28: cerebral cortex Present JAX_1802363

Specimen JAX_1802364: postnatal adult; Jam2tm1.1(KOMP)Mbp/Jam2+ (more )
Structure Level Pattern Image Note
TS28: brainstem Present JAX_1802364

Specimen JAX_1802365: postnatal adult; Jam2tm1.1(KOMP)Mbp/Jam2+ (more )
Structure Level Pattern Image Note
TS28: small intestine Present JAX_1802365

Specimen JAX_1802366: postnatal adult; Jam2tm1.1(KOMP)Mbp/Jam2+ (more )
Structure Level Pattern Image Note
TS28: pituitary gland Present JAX_1802366

Specimen JAX_1802367: postnatal adult; Jam2tm1.1(KOMP)Mbp/Jam2+ (more )
Structure Level Pattern Image Note
TS28: spinal cord Present JAX_1802367

Specimen JAX_1802368: postnatal adult; Jam2tm1.1(KOMP)Mbp/Jam2+ (more )
Structure Level Pattern Image Note
TS28: large intestine Present JAX_1802368

Specimen JAX_1802369: postnatal adult; Jam2tm1.1(KOMP)Mbp/Jam2+ (more )
Structure Level Pattern Image Note
TS28: uterus Present JAX_1802369

Specimen JAX_1802370: postnatal adult; Jam2tm1.1(KOMP)Mbp/Jam2+ (more )
Structure Level Pattern Image Note
TS28: stomach Present JAX_1802370

Specimen JAX_1802371: postnatal adult; Jam2tm1.1(KOMP)Mbp/Jam2+ (more )
Structure Level Pattern Image Note
TS28: oviduct Present JAX_1802371

Specimen JAX_1802372: postnatal adult; Jam2tm1.1(KOMP)Mbp/Jam2+ (more )
Structure Level Pattern Image Note
TS28: ovary Present JAX_1802372

Specimen JAX_1802373: postnatal adult; Jam2tm1.1(KOMP)Mbp/Jam2+ (more )
Structure Level Pattern Image Note
TS28: eye Present JAX_1802373

Specimen JAX_1802374: postnatal adult; Jam2tm1.1(KOMP)Mbp/Jam2+ (more )
Structure Level Pattern Image Note
TS28: brain Present JAX_1802374

Specimen JAX_1802344: postnatal adult; Jam2tm1.1(KOMP)Mbp/Jam2+ (more )
Structure Level Pattern Image Note
TS28: vascular system Present JAX_1802344

Specimen JAX_1802345: postnatal adult; Jam2tm1.1(KOMP)Mbp/Jam2+ (more )
Structure Level Pattern Image Note
TS28: submandibular gland Present JAX_1802345

Specimen JAX_1802346: postnatal adult; Jam2tm1.1(KOMP)Mbp/Jam2+ (more )
Structure Level Pattern Image Note
TS28: cartilage Present JAX_1802346

Specimen JAX_1802347: postnatal adult; Jam2tm1.1(KOMP)Mbp/Jam2+ (more )
Structure Level Pattern Image Note
TS28: spleen Present JAX_1802347

Specimen JAX_1802348: postnatal adult; Jam2tm1.1(KOMP)Mbp/Jam2+ (more )
Structure Level Pattern Image Note
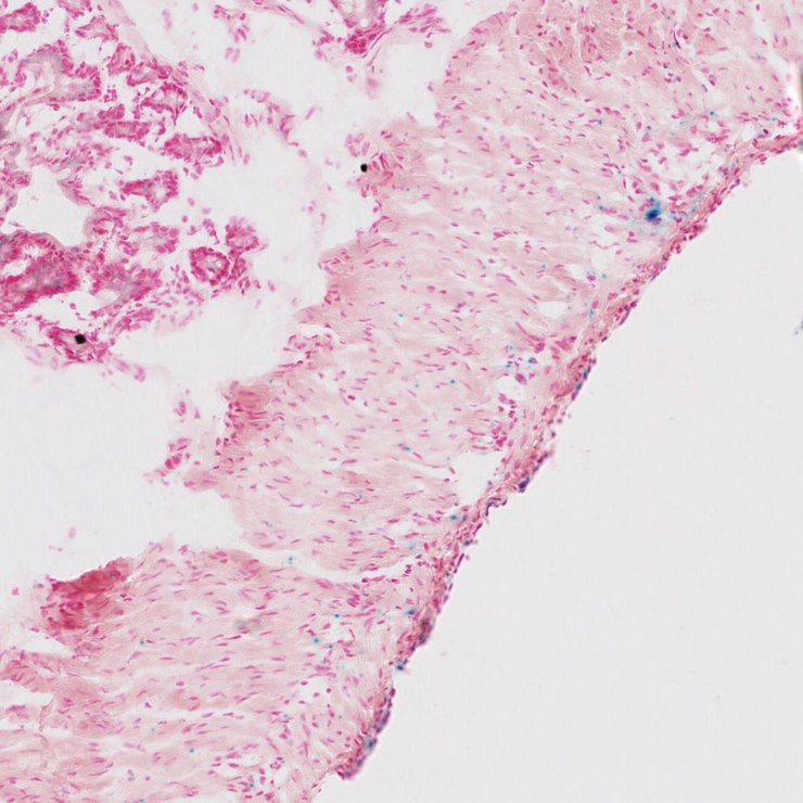
TS28: aorta Present JAX_1802348

Specimen JAX_1802349: postnatal adult; Jam2tm1.1(KOMP)Mbp/Jam2+ (more )
Structure Level Pattern Image Note
TS28: lung Present JAX_1802349

Specimen JAX_1802350: postnatal adult; Jam2tm1.1(KOMP)Mbp/Jam2+ (more )
Structure Level Pattern Image Note
TS28: trachea Present JAX_1802350

Specimen JAX_1802351: postnatal adult; Jam2tm1.1(KOMP)Mbp/Jam2+ (more )
Structure Level Pattern Image Note
TS28: testis Present JAX_1802351

Specimen JAX_1802352: postnatal adult; Jam2tm1.1(KOMP)Mbp/Jam2+ (more )
Structure Level Pattern Image Note
TS28: skin Present JAX_1802352

Specimen JAX_1802353: postnatal adult; Jam2tm1.1(KOMP)Mbp/Jam2+ (more )
Structure Level Pattern Image Note
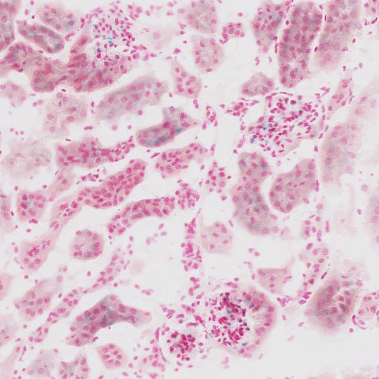
TS28: metanephros Present JAX_1802353 kidney

Specimen JAX_1802354: postnatal adult; Jam2tm1.1(KOMP)Mbp/Jam2+ (more )
Structure Level Pattern Image Note
TS28: heart Present JAX_1802354


Contributing Projects:
Mouse Genome Database (MGD), Gene Expression Database (GXD), Mouse Models of Human Cancer database (MMHCdb) (formerly Mouse Tumor Biology (MTB)), Gene Ontology (GO)
Citing These Resources
Funding Information
Warranty Disclaimer, Privacy Notice, Licensing, & Copyright
Send questions and comments to User Support.
last database update
01/28/2026
MGI 6.24
The Jackson Laboratory