About   Help   FAQ
Gene Expression Data
Assay Details
Assay
Reference: J:228563 Koscielny G, et al., The International Mouse Phenotyping Consortium Web Portal, a unified point of access for knockout mice and related phenotyping data. Nucleic Acids Res. 2014 Jan;42(Database issue):D802-9
Assay type: In situ reporter (knock in)
MGI Accession ID: MGI:6692317
Gene symbol: Sacm1l
Gene name: SAC1 suppressor of actin mutations 1-like (yeast)
Reporter: lacZ
Direct Detection
Results
Specimen UC Davis_1871166: postnatal adult; Sacm1ltm1b(KOMP)Wtsi/Sacm1l+ (more )
Structure Level Pattern Image Note
TS28: submandibular gland Present UC Davis_1871166

Specimen UC Davis_1871167: postnatal adult; Sacm1ltm1b(KOMP)Wtsi/Sacm1l+ (more )
Structure Level Pattern Image Note
TS28: submandibular gland Present UC Davis_1871167

Specimen UC Davis_1871168: postnatal adult; Sacm1ltm1b(KOMP)Wtsi/Sacm1l+ (more )
Structure Level Pattern Image Note
TS28: sublingual gland Present UC Davis_1871168

Specimen UC Davis_1871170: postnatal adult; Sacm1ltm1b(KOMP)Wtsi/Sacm1l+ (more )
Structure Level Pattern Image Note
TS28: trachea Present UC Davis_1871170

Specimen UC Davis_1871171: postnatal adult; Sacm1ltm1b(KOMP)Wtsi/Sacm1l+ (more )
Structure Level Pattern Image Note
TS28: esophagus Present UC Davis_1871171

Specimen UC Davis_1871172: postnatal adult; Sacm1ltm1b(KOMP)Wtsi/Sacm1l+ (more )
Structure Level Pattern Image Note
TS28: esophagus Present UC Davis_1871172

Specimen UC Davis_1871173: postnatal adult; Sacm1ltm1b(KOMP)Wtsi/Sacm1l+ (more )
Structure Level Pattern Image Note
TS28: lung Present UC Davis_1871173

Specimen UC Davis_1871174: postnatal adult; Sacm1ltm1b(KOMP)Wtsi/Sacm1l+ (more )
Structure Level Pattern Image Note
TS28: thymus Present UC Davis_1871174

Specimen UC Davis_1871175: postnatal adult; Sacm1ltm1b(KOMP)Wtsi/Sacm1l+ (more )
Structure Level Pattern Image Note
TS28: thymus Present UC Davis_1871175

Specimen UC Davis_1871176: postnatal adult; Sacm1ltm1b(KOMP)Wtsi/Sacm1l+ (more )
Structure Level Pattern Image Note
TS28: thymus Present UC Davis_1871176

Specimen UC Davis_1871179: postnatal adult; Sacm1ltm1b(KOMP)Wtsi/Sacm1l+ (more )
Structure Level Pattern Image Note
TS28: mesenteric lymph node Present UC Davis_1871179

Specimen UC Davis_1871180: postnatal adult; Sacm1ltm1b(KOMP)Wtsi/Sacm1l+ (more )
Structure Level Pattern Image Note
TS28: mesenteric lymph node Present UC Davis_1871180

Specimen UC Davis_1871181: postnatal adult; Sacm1ltm1b(KOMP)Wtsi/Sacm1l+ (more )
Structure Level Pattern Image Note
TS28: stomach Present UC Davis_1871181

Specimen UC Davis_1871182: postnatal adult; Sacm1ltm1b(KOMP)Wtsi/Sacm1l+ (more )
Structure Level Pattern Image Note
TS28: stomach Present UC Davis_1871182

Specimen UC Davis_1871183: postnatal adult; Sacm1ltm1b(KOMP)Wtsi/Sacm1l+ (more )
Structure Level Pattern Image Note
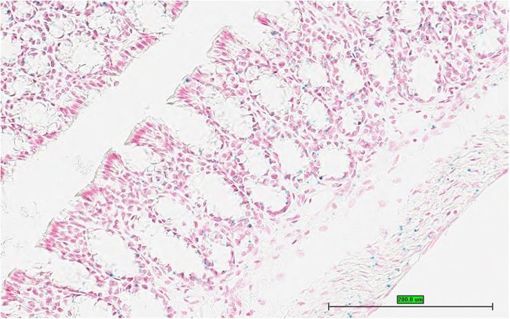
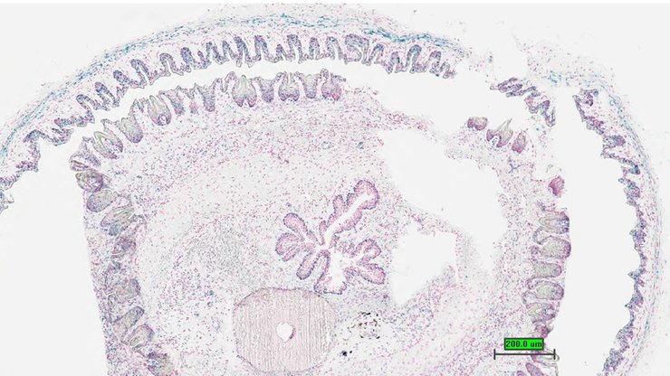
TS28: duodenum Present UC Davis_1871183

Specimen UC Davis_1871184: postnatal adult; Sacm1ltm1b(KOMP)Wtsi/Sacm1l+ (more )
Structure Level Pattern Image Note
TS28: ileum Present UC Davis_1871184

Specimen UC Davis_1871185: postnatal adult; Sacm1ltm1b(KOMP)Wtsi/Sacm1l+ (more )
Structure Level Pattern Image Note
TS28: colon Present UC Davis_1871185

Specimen UC Davis_1871186: postnatal adult; Sacm1ltm1b(KOMP)Wtsi/Sacm1l+ (more )
Structure Level Pattern Image Note
TS28: colon Present UC Davis_1871186

Specimen UC Davis_1871187: postnatal adult; Sacm1ltm1b(KOMP)Wtsi/Sacm1l+ (more )
Structure Level Pattern Image Note
TS28: cecum Present UC Davis_1871187

Specimen UC Davis_1871188: postnatal adult; Sacm1ltm1b(KOMP)Wtsi/Sacm1l+ (more )
Structure Level Pattern Image Note
TS28: cecum Present UC Davis_1871188

Specimen UC Davis_1871189: postnatal adult; Sacm1ltm1b(KOMP)Wtsi/Sacm1l+ (more )
Structure Level Pattern Image Note
TS28: spleen Present UC Davis_1871189

Specimen UC Davis_1871190: postnatal adult; Sacm1ltm1b(KOMP)Wtsi/Sacm1l+ (more )
Structure Level Pattern Image Note
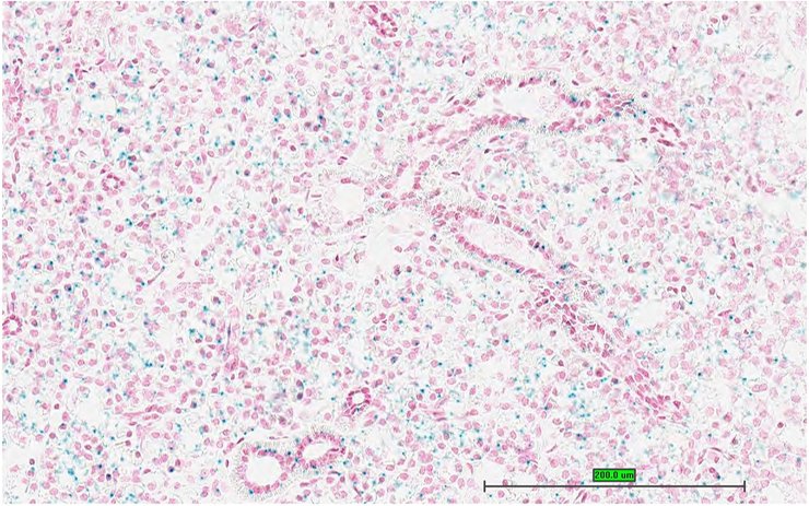
TS28: liver Present UC Davis_1871190

Specimen UC Davis_1871191: postnatal adult; Sacm1ltm1b(KOMP)Wtsi/Sacm1l+ (more )
Structure Level Pattern Image Note
TS28: liver Present UC Davis_1871191

Specimen UC Davis_1871192: postnatal adult; Sacm1ltm1b(KOMP)Wtsi/Sacm1l+ (more )
Structure Level Pattern Image Note
TS28: liver Present UC Davis_1871192

Specimen UC Davis_1871193: postnatal adult; Sacm1ltm1b(KOMP)Wtsi/Sacm1l+ (more )
Structure Level Pattern Image Note
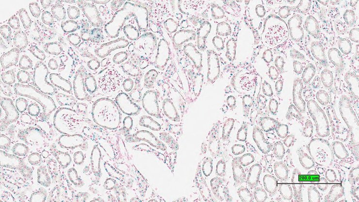
TS28: metanephros Present UC Davis_1871193 kidney

Specimen UC Davis_1871194: postnatal adult; Sacm1ltm1b(KOMP)Wtsi/Sacm1l+ (more )
Structure Level Pattern Image Note
TS28: metanephros Present UC Davis_1871194 kidney

Specimen UC Davis_1871195: postnatal adult; Sacm1ltm1b(KOMP)Wtsi/Sacm1l+ (more )
Structure Level Pattern Image Note
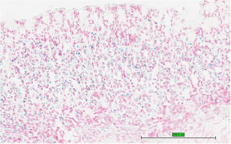
TS28: tongue Present UC Davis_1871195

Specimen UC Davis_1871196: postnatal adult; Sacm1ltm1b(KOMP)Wtsi/Sacm1l+ (more )
Structure Level Pattern Image Note
TS28: tongue Present UC Davis_1871196

Specimen UC Davis_1871197: postnatal adult; Sacm1ltm1b(KOMP)Wtsi/Sacm1l+ (more )
Structure Level Pattern Image Note
TS28: adrenal gland Present UC Davis_1871197

Specimen UC Davis_1871198: postnatal adult; Sacm1ltm1b(KOMP)Wtsi/Sacm1l+ (more )
Structure Level Pattern Image Note
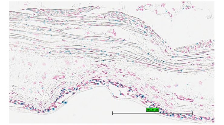
TS28: skin Present UC Davis_1871198

Specimen UC Davis_1871199: postnatal adult; Sacm1ltm1b(KOMP)Wtsi/Sacm1l+ (more )
Structure Level Pattern Image Note
TS28: skin Present UC Davis_1871199

Specimen UC Davis_1871201: postnatal adult; Sacm1ltm1b(KOMP)Wtsi/Sacm1l+ (more )
Structure Level Pattern Image Note
TS28: midbrain Present UC Davis_1871201

Specimen UC Davis_1871203: postnatal adult; Sacm1ltm1b(KOMP)Wtsi/Sacm1l+ (more )
Structure Level Pattern Image Note
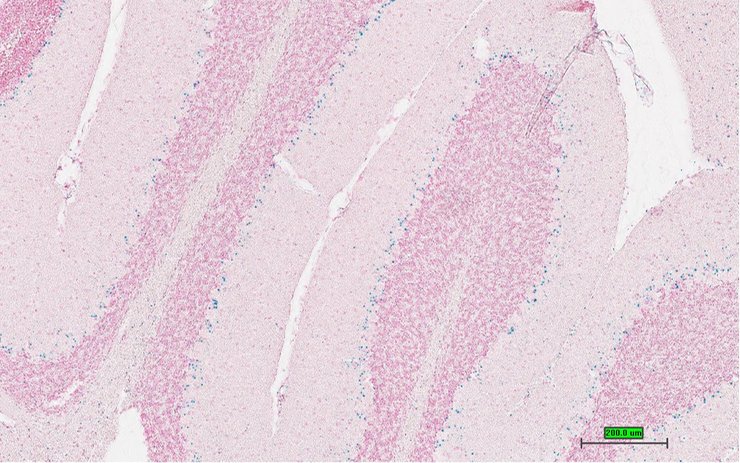
TS28: cerebellum Present UC Davis_1871203

Specimen UC Davis_1871204: postnatal adult; Sacm1ltm1b(KOMP)Wtsi/Sacm1l+ (more )
Structure Level Pattern Image Note
TS28: trigeminal nerve Present UC Davis_1871204

Specimen UC Davis_1871205: postnatal adult; Sacm1ltm1b(KOMP)Wtsi/Sacm1l+ (more )
Structure Level Pattern Image Note
TS28: ovary Present UC Davis_1871205

Specimen UC Davis_1871206: postnatal adult; Sacm1ltm1b(KOMP)Wtsi/Sacm1l+ (more )
Structure Level Pattern Image Note
TS28: uterus Present UC Davis_1871206

Specimen UC Davis_1871207: postnatal adult; Sacm1ltm1b(KOMP)Wtsi/Sacm1l+ (more )
Structure Level Pattern Image Note
TS28: vagina Present UC Davis_1871207

Specimen UC Davis_1871208: postnatal adult; Sacm1ltm1b(KOMP)Wtsi/Sacm1l+ (more )
Structure Level Pattern Image Note
TS28: bladder Present UC Davis_1871208

Specimen UC Davis_1871209: postnatal adult; Sacm1ltm1b(KOMP)Wtsi/Sacm1l+ (more )
Structure Level Pattern Image Note
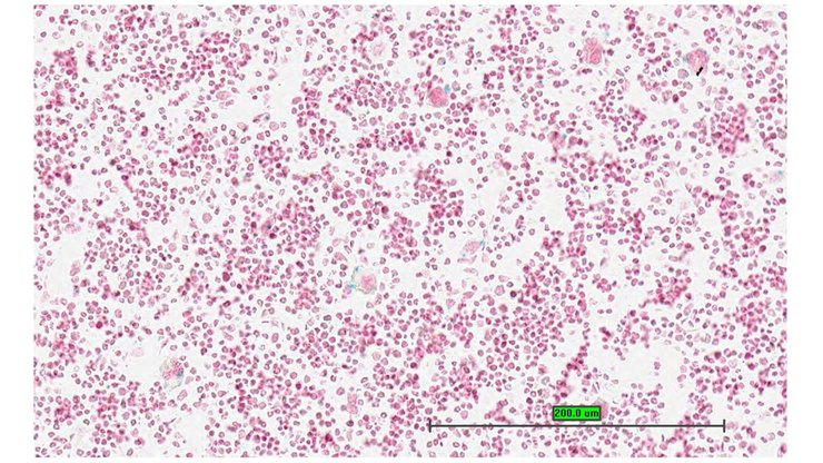
TS28: bone marrow Present UC Davis_1871209

Specimen UC Davis_1871210: postnatal adult; Sacm1ltm1b(KOMP)Wtsi/Sacm1l+ (more )
Structure Level Pattern Image Note
TS28: submandibular gland Present UC Davis_1871210

Specimen UC Davis_1871211: postnatal adult; Sacm1ltm1b(KOMP)Wtsi/Sacm1l+ (more )
Structure Level Pattern Image Note
TS28: submandibular gland Present UC Davis_1871211

Specimen UC Davis_1871212: postnatal adult; Sacm1ltm1b(KOMP)Wtsi/Sacm1l+ (more )
Structure Level Pattern Image Note
TS28: sublingual gland Present UC Davis_1871212

Specimen UC Davis_1871213: postnatal adult; Sacm1ltm1b(KOMP)Wtsi/Sacm1l+ (more )
Structure Level Pattern Image Note
TS28: sublingual gland Present UC Davis_1871213

Specimen UC Davis_1871214: postnatal adult; Sacm1ltm1b(KOMP)Wtsi/Sacm1l+ (more )
Structure Level Pattern Image Note
TS28: parotid gland Present UC Davis_1871214

Specimen UC Davis_1871215: postnatal adult; Sacm1ltm1b(KOMP)Wtsi/Sacm1l+ (more )
Structure Level Pattern Image Note
TS28: parotid gland Present UC Davis_1871215

Specimen UC Davis_1871219: postnatal adult; Sacm1ltm1b(KOMP)Wtsi/Sacm1l+ (more )
Structure Level Pattern Image Note
TS28: aorta Present UC Davis_1871219

Specimen UC Davis_1871220: postnatal adult; Sacm1ltm1b(KOMP)Wtsi/Sacm1l+ (more )
Structure Level Pattern Image Note
TS28: thymus Present UC Davis_1871220

Specimen UC Davis_1871221: postnatal adult; Sacm1ltm1b(KOMP)Wtsi/Sacm1l+ (more )
Structure Level Pattern Image Note
TS28: thymus Present UC Davis_1871221

Specimen UC Davis_1871225: postnatal adult; Sacm1ltm1b(KOMP)Wtsi/Sacm1l+ (more )
Structure Level Pattern Image Note
TS28: stomach Present UC Davis_1871225

Specimen UC Davis_1871226: postnatal adult; Sacm1ltm1b(KOMP)Wtsi/Sacm1l+ (more )
Structure Level Pattern Image Note
TS28: stomach Present UC Davis_1871226

Specimen UC Davis_1871227: postnatal adult; Sacm1ltm1b(KOMP)Wtsi/Sacm1l+ (more )
Structure Level Pattern Image Note
TS28: stomach Present UC Davis_1871227

Specimen UC Davis_1871228: postnatal adult; Sacm1ltm1b(KOMP)Wtsi/Sacm1l+ (more )
Structure Level Pattern Image Note
TS28: stomach Present UC Davis_1871228

Specimen UC Davis_1871229: postnatal adult; Sacm1ltm1b(KOMP)Wtsi/Sacm1l+ (more )
Structure Level Pattern Image Note
TS28: duodenum Present UC Davis_1871229

Specimen UC Davis_1871230: postnatal adult; Sacm1ltm1b(KOMP)Wtsi/Sacm1l+ (more )
Structure Level Pattern Image Note
TS28: jejunum Present UC Davis_1871230

Specimen UC Davis_1871231: postnatal adult; Sacm1ltm1b(KOMP)Wtsi/Sacm1l+ (more )
Structure Level Pattern Image Note
TS28: jejunum Present UC Davis_1871231

Specimen UC Davis_1871232: postnatal adult; Sacm1ltm1b(KOMP)Wtsi/Sacm1l+ (more )
Structure Level Pattern Image Note
TS28: ileum Present UC Davis_1871232

Specimen UC Davis_1871233: postnatal adult; Sacm1ltm1b(KOMP)Wtsi/Sacm1l+ (more )
Structure Level Pattern Image Note
TS28: ileum Present UC Davis_1871233

Specimen UC Davis_1871234: postnatal adult; Sacm1ltm1b(KOMP)Wtsi/Sacm1l+ (more )
Structure Level Pattern Image Note
TS28: ileum Present UC Davis_1871234

Specimen UC Davis_1871235: postnatal adult; Sacm1ltm1b(KOMP)Wtsi/Sacm1l+ (more )
Structure Level Pattern Image Note
TS28: ileum Present UC Davis_1871235

Specimen UC Davis_1871236: postnatal adult; Sacm1ltm1b(KOMP)Wtsi/Sacm1l+ (more )
Structure Level Pattern Image Note
TS28: colon Present UC Davis_1871236

Specimen UC Davis_1871237: postnatal adult; Sacm1ltm1b(KOMP)Wtsi/Sacm1l+ (more )
Structure Level Pattern Image Note
TS28: colon Present UC Davis_1871237

Specimen UC Davis_1871238: postnatal adult; Sacm1ltm1b(KOMP)Wtsi/Sacm1l+ (more )
Structure Level Pattern Image Note
TS28: colon Present UC Davis_1871238

Specimen UC Davis_1871239: postnatal adult; Sacm1ltm1b(KOMP)Wtsi/Sacm1l+ (more )
Structure Level Pattern Image Note
TS28: cecum Present UC Davis_1871239

Specimen UC Davis_1871240: postnatal adult; Sacm1ltm1b(KOMP)Wtsi/Sacm1l+ (more )
Structure Level Pattern Image Note
TS28: cecum Present UC Davis_1871240

Specimen UC Davis_1871241: postnatal adult; Sacm1ltm1b(KOMP)Wtsi/Sacm1l+ (more )
Structure Level Pattern Image Note
TS28: spleen Present UC Davis_1871241

Specimen UC Davis_1871242: postnatal adult; Sacm1ltm1b(KOMP)Wtsi/Sacm1l+ (more )
Structure Level Pattern Image Note
TS28: pancreas Present UC Davis_1871242

Specimen UC Davis_1871243: postnatal adult; Sacm1ltm1b(KOMP)Wtsi/Sacm1l+ (more )
Structure Level Pattern Image Note
TS28: pancreas Present UC Davis_1871243

Specimen UC Davis_1871244: postnatal adult; Sacm1ltm1b(KOMP)Wtsi/Sacm1l+ (more )
Structure Level Pattern Image Note
TS28: metanephros Present UC Davis_1871244 kidney

Specimen UC Davis_1871245: postnatal adult; Sacm1ltm1b(KOMP)Wtsi/Sacm1l+ (more )
Structure Level Pattern Image Note
TS28: metanephros Present UC Davis_1871245 kidney

Specimen UC Davis_1871246: postnatal adult; Sacm1ltm1b(KOMP)Wtsi/Sacm1l+ (more )
Structure Level Pattern Image Note
TS28: metanephros Present UC Davis_1871246 kidney

Specimen UC Davis_1871247: postnatal adult; Sacm1ltm1b(KOMP)Wtsi/Sacm1l+ (more )
Structure Level Pattern Image Note
TS28: metanephros Present UC Davis_1871247 kidney

Specimen UC Davis_1871248: postnatal adult; Sacm1ltm1b(KOMP)Wtsi/Sacm1l+ (more )
Structure Level Pattern Image Note
TS28: metanephros Present UC Davis_1871248 kidney

Specimen UC Davis_1871249: postnatal adult; Sacm1ltm1b(KOMP)Wtsi/Sacm1l+ (more )
Structure Level Pattern Image Note
TS28: tongue Present UC Davis_1871249

Specimen UC Davis_1871250: postnatal adult; Sacm1ltm1b(KOMP)Wtsi/Sacm1l+ (more )
Structure Level Pattern Image Note
TS28: tongue Present UC Davis_1871250

Specimen UC Davis_1871251: postnatal adult; Sacm1ltm1b(KOMP)Wtsi/Sacm1l+ (more )
Structure Level Pattern Image Note
TS28: tongue Present UC Davis_1871251

Specimen UC Davis_1871252: postnatal adult; Sacm1ltm1b(KOMP)Wtsi/Sacm1l+ (more )
Structure Level Pattern Image Note
TS28: adrenal gland Present UC Davis_1871252

Specimen UC Davis_1871253: postnatal adult; Sacm1ltm1b(KOMP)Wtsi/Sacm1l+ (more )
Structure Level Pattern Image Note
TS28: adrenal gland Present UC Davis_1871253

Specimen UC Davis_1871254: postnatal adult; Sacm1ltm1b(KOMP)Wtsi/Sacm1l+ (more )
Structure Level Pattern Image Note
TS28: adrenal gland Present UC Davis_1871254

Specimen UC Davis_1871255: postnatal adult; Sacm1ltm1b(KOMP)Wtsi/Sacm1l+ (more )
Structure Level Pattern Image Note
TS28: pituitary gland Present UC Davis_1871255

Specimen UC Davis_1871256: postnatal adult; Sacm1ltm1b(KOMP)Wtsi/Sacm1l+ (more )
Structure Level Pattern Image Note
TS28: pituitary gland Present UC Davis_1871256

Specimen UC Davis_1871257: postnatal adult; Sacm1ltm1b(KOMP)Wtsi/Sacm1l+ (more )
Structure Level Pattern Image Note
TS28: spinal cord Present UC Davis_1871257

Specimen UC Davis_1871258: postnatal adult; Sacm1ltm1b(KOMP)Wtsi/Sacm1l+ (more )
Structure Level Pattern Image Note
TS28: spinal cord Present UC Davis_1871258

Specimen UC Davis_1871259: postnatal adult; Sacm1ltm1b(KOMP)Wtsi/Sacm1l+ (more )
Structure Level Pattern Image Note
TS28: spinal cord Present UC Davis_1871259

Specimen UC Davis_1871260: postnatal adult; Sacm1ltm1b(KOMP)Wtsi/Sacm1l+ (more )
Structure Level Pattern Image Note
TS28: eye Present UC Davis_1871260

Specimen UC Davis_1871261: postnatal adult; Sacm1ltm1b(KOMP)Wtsi/Sacm1l+ (more )
Structure Level Pattern Image Note
TS28: Harderian gland Present UC Davis_1871261

Specimen UC Davis_1871262: postnatal adult; Sacm1ltm1b(KOMP)Wtsi/Sacm1l+ (more )
Structure Level Pattern Image Note
TS28: Harderian gland Present UC Davis_1871262

Specimen UC Davis_1871263: postnatal adult; Sacm1ltm1b(KOMP)Wtsi/Sacm1l+ (more )
Structure Level Pattern Image Note
TS28: skin Present UC Davis_1871263

Specimen UC Davis_1871264: postnatal adult; Sacm1ltm1b(KOMP)Wtsi/Sacm1l+ (more )
Structure Level Pattern Image Note
TS28: skin Present UC Davis_1871264

Specimen UC Davis_1871265: postnatal adult; Sacm1ltm1b(KOMP)Wtsi/Sacm1l+ (more )
Structure Level Pattern Image Note
TS28: brown fat Present UC Davis_1871265

Specimen UC Davis_1871266: postnatal adult; Sacm1ltm1b(KOMP)Wtsi/Sacm1l+ (more )
Structure Level Pattern Image Note
TS28: olfactory lobe Present UC Davis_1871266

Specimen UC Davis_1871269: postnatal adult; Sacm1ltm1b(KOMP)Wtsi/Sacm1l+ (more )
Structure Level Pattern Image Note
TS28: midbrain Present UC Davis_1871269

Specimen UC Davis_1871272: postnatal adult; Sacm1ltm1b(KOMP)Wtsi/Sacm1l+ (more )
Structure Level Pattern Image Note
TS28: cerebellum Present UC Davis_1871272

Specimen UC Davis_1871273: postnatal adult; Sacm1ltm1b(KOMP)Wtsi/Sacm1l+ (more )
Structure Level Pattern Image Note
TS28: trigeminal nerve Present UC Davis_1871273

Specimen UC Davis_1871274: postnatal adult; Sacm1ltm1b(KOMP)Wtsi/Sacm1l+ (more )
Structure Level Pattern Image Note
TS28: bladder Present UC Davis_1871274

Specimen UC Davis_1871275: postnatal adult; Sacm1ltm1b(KOMP)Wtsi/Sacm1l+ (more )
Structure Level Pattern Image Note
TS28: bladder Present UC Davis_1871275

Specimen UC Davis_1871276: postnatal adult; Sacm1ltm1b(KOMP)Wtsi/Sacm1l+ (more )
Structure Level Pattern Image Note
TS28: testis Present UC Davis_1871276

Specimen UC Davis_1871277: postnatal adult; Sacm1ltm1b(KOMP)Wtsi/Sacm1l+ (more )
Structure Level Pattern Image Note
TS28: testis Present UC Davis_1871277

Specimen UC Davis_1871278: postnatal adult; Sacm1ltm1b(KOMP)Wtsi/Sacm1l+ (more )
Structure Level Pattern Image Note
TS28: epididymis Present UC Davis_1871278

Specimen UC Davis_1871279: postnatal adult; Sacm1ltm1b(KOMP)Wtsi/Sacm1l+ (more )
Structure Level Pattern Image Note
TS28: epididymis Present UC Davis_1871279

Specimen UC Davis_1871282: postnatal adult; Sacm1ltm1b(KOMP)Wtsi/Sacm1l+ (more )
Structure Level Pattern Image Note
TS28: penis Present UC Davis_1871282

Specimen UC Davis_1871283: postnatal adult; Sacm1ltm1b(KOMP)Wtsi/Sacm1l+ (more )
Structure Level Pattern Image Note
TS28: penis Present UC Davis_1871283

Specimen UC Davis_1871284: postnatal adult; Sacm1ltm1b(KOMP)Wtsi/Sacm1l+ (more )
Structure Level Pattern Image Note
TS28: penis Present UC Davis_1871284

Specimen UC Davis_1871285: postnatal adult; Sacm1ltm1b(KOMP)Wtsi/Sacm1l+ (more )
Structure Level Pattern Image Note
TS28: penis Present UC Davis_1871285

Specimen UC Davis_1871286: postnatal adult; Sacm1ltm1b(KOMP)Wtsi/Sacm1l+ (more )
Structure Level Pattern Image Note
TS28: penis Present UC Davis_1871286

Specimen UC Davis_1871288: postnatal adult; Sacm1ltm1b(KOMP)Wtsi/Sacm1l+ (more )
Structure Level Pattern Image Note
TS28: bone marrow Present UC Davis_1871288

Specimen UC Davis_1871289: postnatal adult; Sacm1ltm1b(KOMP)Wtsi/Sacm1l+ (more )
Structure Level Pattern Image Note
TS28: bone marrow Present UC Davis_1871289

Specimen UC Davis_1871290: postnatal adult; Sacm1ltm1b(KOMP)Wtsi/Sacm1l+ (more )
Structure Level Pattern Image Note
TS28: ductus deferens Present UC Davis_1871290 vas deferens

Specimen UC Davis_1871291: postnatal adult; Sacm1ltm1b(KOMP)Wtsi/Sacm1l+ (more )
Structure Level Pattern Image Note
TS28: ductus deferens Present UC Davis_1871291 vas deferens

Specimen UC Davis_1871292: postnatal adult; Sacm1ltm1b(KOMP)Wtsi/Sacm1l+ (more )
Structure Level Pattern Image Note
TS28: ductus deferens Present UC Davis_1871292 vas deferens

Specimen UC Davis_1871295: postnatal adult; Sacm1ltm1b(KOMP)Wtsi/Sacm1l+ (more )
Structure Level Pattern Image Note
TS28: seminal vesicle Present UC Davis_1871295 vesicular gland

Specimen UC Davis_1871296: postnatal adult; Sacm1ltm1b(KOMP)Wtsi/Sacm1l+ (more )
Structure Level Pattern Image Note
TS28: seminal vesicle Present UC Davis_1871296 vesicular gland


Contributing Projects:
Mouse Genome Database (MGD), Gene Expression Database (GXD), Mouse Models of Human Cancer database (MMHCdb) (formerly Mouse Tumor Biology (MTB)), Gene Ontology (GO)
Citing These Resources
Funding Information
Warranty Disclaimer, Privacy Notice, Licensing, & Copyright
Send questions and comments to User Support.
last database update
01/20/2026
MGI 6.24
The Jackson Laboratory