About   Help   FAQ
Gene Expression Data
Assay Details
Assay
Reference: J:228563 Koscielny G, et al., The International Mouse Phenotyping Consortium Web Portal, a unified point of access for knockout mice and related phenotyping data. Nucleic Acids Res. 2014 Jan;42(Database issue):D802-9
Assay type: In situ reporter (knock in)
MGI Accession ID: MGI:6692312
Gene symbol: Plekha3
Gene name: pleckstrin homology domain-containing, family A (phosphoinositide binding specific) member 3
Reporter: lacZ
Direct Detection
Results
Specimen JAX_1126705: embryonic day 12.5; Plekha3tm1.1(KOMP)Vlcg/Plekha3+ (more )
Structure Level Pattern Image Note
TS20: embryo Present JAX_1126705

Specimen JAX_1126707: embryonic day 12.5; Plekha3tm1.1(KOMP)Vlcg/Plekha3+ (more )
Structure Level Pattern Image Note
TS20: embryo Present JAX_1126707

Specimen JAX_1126709: embryonic day 12.5; Plekha3tm1.1(KOMP)Vlcg/Plekha3+ (more )
Structure Level Pattern Image Note
TS20: embryo Present JAX_1126709

Specimen JAX_1126711: embryonic day 12.5; Plekha3tm1.1(KOMP)Vlcg/Plekha3+ (more )
Structure Level Pattern Image Note
TS20: embryo Present JAX_1126711

Specimen JAX_1470339: embryonic day 12.5; Plekha3tm1.1(KOMP)Vlcg/Plekha3+ (more )
Structure Level Pattern Image Note
TS20: embryo Present JAX_1470339

Specimen JAX_1470340: embryonic day 12.5; Plekha3tm1.1(KOMP)Vlcg/Plekha3+ (more )
Structure Level Pattern Image Note
TS20: embryo Present JAX_1470340

Specimen JAX_1470341: embryonic day 12.5; Plekha3tm1.1(KOMP)Vlcg/Plekha3+ (more )
Structure Level Pattern Image Note
TS20: embryo Present JAX_1470341

Specimen JAX_1470342: embryonic day 12.5; Plekha3tm1.1(KOMP)Vlcg/Plekha3+ (more )
Structure Level Pattern Image Note
TS20: embryo Present JAX_1470342

Specimen JAX_1470303: postnatal adult; Plekha3tm1.1(KOMP)Vlcg/Plekha3+ (more )
Structure Level Pattern Image Note
TS28: bladder Present JAX_1470303

Specimen JAX_1470304: postnatal adult; Plekha3tm1.1(KOMP)Vlcg/Plekha3+ (more )
Structure Level Pattern Image Note
TS28: corpus striatum Present JAX_1470304

Specimen JAX_1470305: postnatal adult; Plekha3tm1.1(KOMP)Vlcg/Plekha3+ (more )
Structure Level Pattern Image Note
TS28: hypothalamus Present JAX_1470305

Specimen JAX_1470306: postnatal adult; Plekha3tm1.1(KOMP)Vlcg/Plekha3+ (more )
Structure Level Pattern Image Note
TS28: hippocampus Present JAX_1470306

Specimen JAX_1470307: postnatal adult; Plekha3tm1.1(KOMP)Vlcg/Plekha3+ (more )
Structure Level Pattern Image Note
TS28: cerebellum Present JAX_1470307

Specimen JAX_1470308: postnatal adult; Plekha3tm1.1(KOMP)Vlcg/Plekha3+ (more )
Structure Level Pattern Image Note
TS28: brainstem Present JAX_1470308

Specimen JAX_1470310: postnatal adult; Plekha3tm1.1(KOMP)Vlcg/Plekha3+ (more )
Structure Level Pattern Image Note
TS28: spinal cord Present JAX_1470310

Specimen JAX_1470311: postnatal adult; Plekha3tm1.1(KOMP)Vlcg/Plekha3+ (more )
Structure Level Pattern Image Note
TS28: large intestine Present JAX_1470311

Specimen JAX_1470312: postnatal adult; Plekha3tm1.1(KOMP)Vlcg/Plekha3+ (more )
Structure Level Pattern Image Note
TS28: uterus Present JAX_1470312

Specimen JAX_1470313: postnatal adult; Plekha3tm1.1(KOMP)Vlcg/Plekha3+ (more )
Structure Level Pattern Image Note
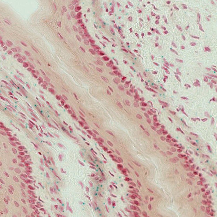
TS28: skin Present JAX_1470313

Specimen JAX_1470314: postnatal adult; Plekha3tm1.1(KOMP)Vlcg/Plekha3+ (more )
Structure Level Pattern Image Note
TS28: oviduct Present JAX_1470314

Specimen JAX_1470315: postnatal adult; Plekha3tm1.1(KOMP)Vlcg/Plekha3+ (more )
Structure Level Pattern Image Note
TS28: ovary Present JAX_1470315

Specimen JAX_1470316: postnatal adult; Plekha3tm1.1(KOMP)Vlcg/Plekha3+ (more )
Structure Level Pattern Image Note
TS28: adrenal gland Present JAX_1470316

Specimen JAX_1470317: postnatal adult; Plekha3tm1.1(KOMP)Vlcg/Plekha3+ (more )
Structure Level Pattern Image Note
TS28: thalamus Present JAX_1470317

Specimen JAX_1470318: postnatal adult; Plekha3tm1.1(KOMP)Vlcg/Plekha3+ (more )
Structure Level Pattern Image Note
TS28: midbrain Present JAX_1470318

Specimen JAX_1470319: postnatal adult; Plekha3tm1.1(KOMP)Vlcg/Plekha3+ (more )
Structure Level Pattern Image Note
TS28: vascular system Present JAX_1470319

Specimen JAX_1470320: postnatal adult; Plekha3tm1.1(KOMP)Vlcg/Plekha3+ (more )
Structure Level Pattern Image Note
TS28: epididymis Present JAX_1470320

Specimen JAX_1470321: postnatal adult; Plekha3tm1.1(KOMP)Vlcg/Plekha3+ (more )
Structure Level Pattern Image Note
TS28: submandibular gland Present JAX_1470321

Specimen JAX_1470322: postnatal adult; Plekha3tm1.1(KOMP)Vlcg/Plekha3+ (more )
Structure Level Pattern Image Note
TS28: peripheral nervous system Present JAX_1470322

Specimen JAX_1470323: postnatal adult; Plekha3tm1.1(KOMP)Vlcg/Plekha3+ (more )
Structure Level Pattern Image Note
TS28: olfactory lobe Present JAX_1470323

Specimen JAX_1470324: postnatal adult; Plekha3tm1.1(KOMP)Vlcg/Plekha3+ (more )
Structure Level Pattern Image Note
TS28: cerebral cortex Present JAX_1470324

Specimen JAX_1470325: postnatal adult; Plekha3tm1.1(KOMP)Vlcg/Plekha3+ (more )
Structure Level Pattern Image Note
TS28: cartilage Present JAX_1470325

Specimen JAX_1470326: postnatal adult; Plekha3tm1.1(KOMP)Vlcg/Plekha3+ (more )
Structure Level Pattern Image Note
TS28: spleen Present JAX_1470326

Specimen JAX_1470327: postnatal adult; Plekha3tm1.1(KOMP)Vlcg/Plekha3+ (more )
Structure Level Pattern Image Note
TS28: pancreas Present JAX_1470327

Specimen JAX_1470328: postnatal adult; Plekha3tm1.1(KOMP)Vlcg/Plekha3+ (more )
Structure Level Pattern Image Note
TS28: aorta Present JAX_1470328

Specimen JAX_1470329: postnatal adult; Plekha3tm1.1(KOMP)Vlcg/Plekha3+ (more )
Structure Level Pattern Image Note
TS28: lung Present JAX_1470329

Specimen JAX_1470330: postnatal adult; Plekha3tm1.1(KOMP)Vlcg/Plekha3+ (more )
Structure Level Pattern Image Note
TS28: small intestine Present JAX_1470330

Specimen JAX_1470331: postnatal adult; Plekha3tm1.1(KOMP)Vlcg/Plekha3+ (more )
Structure Level Pattern Image Note
TS28: pituitary gland Present JAX_1470331

Specimen JAX_1470332: postnatal adult; Plekha3tm1.1(KOMP)Vlcg/Plekha3+ (more )
Structure Level Pattern Image Note
TS28: esophagus Present JAX_1470332

Specimen JAX_1470334: postnatal adult; Plekha3tm1.1(KOMP)Vlcg/Plekha3+ (more )
Structure Level Pattern Image Note
TS28: testis Present JAX_1470334

Specimen JAX_1470335: postnatal adult; Plekha3tm1.1(KOMP)Vlcg/Plekha3+ (more )
Structure Level Pattern Image Note
TS28: stomach Present JAX_1470335

Specimen JAX_1470336: postnatal adult; Plekha3tm1.1(KOMP)Vlcg/Plekha3+ (more )
Structure Level Pattern Image Note
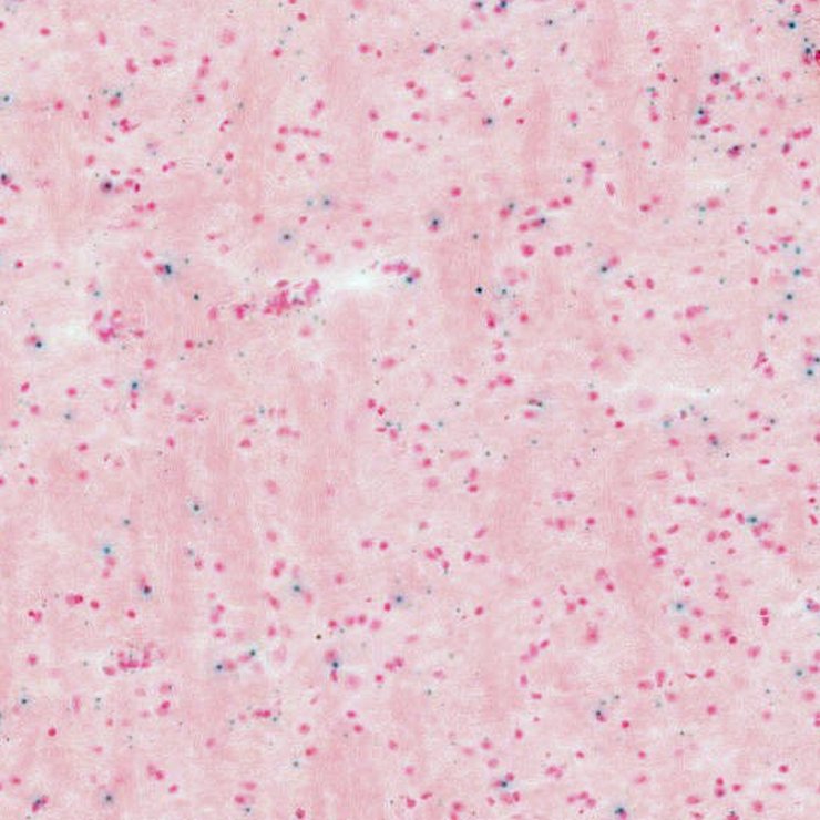
TS28: metanephros Present JAX_1470336 kidney

Specimen JAX_1470337: postnatal adult; Plekha3tm1.1(KOMP)Vlcg/Plekha3+ (more )
Structure Level Pattern Image Note
TS28: eye Present JAX_1470337

Specimen JAX_1470338: postnatal adult; Plekha3tm1.1(KOMP)Vlcg/Plekha3+ (more )
Structure Level Pattern Image Note
TS28: brain Present JAX_1470338


Contributing Projects:
Mouse Genome Database (MGD), Gene Expression Database (GXD), Mouse Models of Human Cancer database (MMHCdb) (formerly Mouse Tumor Biology (MTB)), Gene Ontology (GO)
Citing These Resources
Funding Information
Warranty Disclaimer, Privacy Notice, Licensing, & Copyright
Send questions and comments to User Support.
last database update
01/28/2026
MGI 6.24
The Jackson Laboratory