About   Help   FAQ
Gene Expression Data
Assay Details
Assay
Reference: J:228563 Koscielny G, et al., The International Mouse Phenotyping Consortium Web Portal, a unified point of access for knockout mice and related phenotyping data. Nucleic Acids Res. 2014 Jan;42(Database issue):D802-9
Assay type: In situ reporter (knock in)
MGI Accession ID: MGI:6692305
Gene symbol: Agpat1
Gene name: 1-acylglycerol-3-phosphate O-acyltransferase 1
Reporter: lacZ
Direct Detection
Results
Specimen JAX_1469903: embryonic day 12.5; Agpat1tm1.1(KOMP)Vlcg/Agpat1+ (more )
Structure Level Pattern Image Note
TS20: embryo Present JAX_1469903

Specimen JAX_1469904: embryonic day 12.5; Agpat1tm1.1(KOMP)Vlcg/Agpat1+ (more )
Structure Level Pattern Image Note
TS20: embryo Present JAX_1469904

Specimen JAX_1469905: embryonic day 12.5; Agpat1tm1.1(KOMP)Vlcg/Agpat1+ (more )
Structure Level Pattern Image Note
TS20: embryo Present JAX_1469905

Specimen JAX_1469906: embryonic day 12.5; Agpat1tm1.1(KOMP)Vlcg/Agpat1+ (more )
Structure Level Pattern Image Note
TS20: embryo Present JAX_1469906

Specimen JAX_922949: embryonic day 12.5; Agpat1tm1.1(KOMP)Vlcg/Agpat1+ (more )
Structure Level Pattern Image Note
TS20: embryo Present JAX_922949

Specimen JAX_922951: embryonic day 12.5; Agpat1tm1.1(KOMP)Vlcg/Agpat1+ (more )
Structure Level Pattern Image Note
TS20: embryo Present JAX_922951

Specimen JAX_922953: embryonic day 12.5; Agpat1tm1.1(KOMP)Vlcg/Agpat1+ (more )
Structure Level Pattern Image Note
TS20: embryo Present JAX_922953

Specimen JAX_922955: embryonic day 12.5; Agpat1tm1.1(KOMP)Vlcg/Agpat1+ (more )
Structure Level Pattern Image Note
TS20: embryo Present JAX_922955

Specimen JAX_1803971: postnatal adult; Agpat1tm1.1(KOMP)Vlcg/Agpat1+ (more )
Structure Level Pattern Image Note
TS28: thalamus Present JAX_1803971

Specimen JAX_1803972: postnatal adult; Agpat1tm1.1(KOMP)Vlcg/Agpat1+ (more )
Structure Level Pattern Image Note
TS28: midbrain Present JAX_1803972

Specimen JAX_1803973: postnatal adult; Agpat1tm1.1(KOMP)Vlcg/Agpat1+ (more )
Structure Level Pattern Image Note
TS28: vascular system Present JAX_1803973

Specimen JAX_1803974: postnatal adult; Agpat1tm1.1(KOMP)Vlcg/Agpat1+ (more )
Structure Level Pattern Image Note
TS28: brown fat Present JAX_1803974

Specimen JAX_1803975: postnatal adult; Agpat1tm1.1(KOMP)Vlcg/Agpat1+ (more )
Structure Level Pattern Image Note
TS28: bone marrow Present JAX_1803975

Specimen JAX_1803976: postnatal adult; Agpat1tm1.1(KOMP)Vlcg/Agpat1+ (more )
Structure Level Pattern Image Note
TS28: corpus striatum Present JAX_1803976

Specimen JAX_1803977: postnatal adult; Agpat1tm1.1(KOMP)Vlcg/Agpat1+ (more )
Structure Level Pattern Image Note
TS28: olfactory lobe Present JAX_1803977

Specimen JAX_1803978: postnatal adult; Agpat1tm1.1(KOMP)Vlcg/Agpat1+ (more )
Structure Level Pattern Image Note
TS28: hypothalamus Present JAX_1803978

Specimen JAX_1803979: postnatal adult; Agpat1tm1.1(KOMP)Vlcg/Agpat1+ (more )
Structure Level Pattern Image Note
TS28: hippocampus Present JAX_1803979

Specimen JAX_1803980: postnatal adult; Agpat1tm1.1(KOMP)Vlcg/Agpat1+ (more )
Structure Level Pattern Image Note
TS28: cerebellum Present JAX_1803980

Specimen JAX_1803981: postnatal adult; Agpat1tm1.1(KOMP)Vlcg/Agpat1+ (more )
Structure Level Pattern Image Note
TS28: cerebral cortex Present JAX_1803981

Specimen JAX_1803982: postnatal adult; Agpat1tm1.1(KOMP)Vlcg/Agpat1+ (more )
Structure Level Pattern Image Note
TS28: brainstem Present JAX_1803982

Specimen JAX_1803983: postnatal adult; Agpat1tm1.1(KOMP)Vlcg/Agpat1+ (more )
Structure Level Pattern Image Note
TS28: spleen Present JAX_1803983

Specimen JAX_1803984: postnatal adult; Agpat1tm1.1(KOMP)Vlcg/Agpat1+ (more )
Structure Level Pattern Image Note
TS28: pancreas Present JAX_1803984

Specimen JAX_1803985: postnatal adult; Agpat1tm1.1(KOMP)Vlcg/Agpat1+ (more )
Structure Level Pattern Image Note
TS28: lung Present JAX_1803985

Specimen JAX_1803986: postnatal adult; Agpat1tm1.1(KOMP)Vlcg/Agpat1+ (more )
Structure Level Pattern Image Note
TS28: white fat Present JAX_1803986

Specimen JAX_1803987: postnatal adult; Agpat1tm1.1(KOMP)Vlcg/Agpat1+ (more )
Structure Level Pattern Image Note
TS28: pituitary gland Present JAX_1803987

Specimen JAX_1803988: postnatal adult; Agpat1tm1.1(KOMP)Vlcg/Agpat1+ (more )
Structure Level Pattern Image Note
TS28: spinal cord Present JAX_1803988

Specimen JAX_1803989: postnatal adult; Agpat1tm1.1(KOMP)Vlcg/Agpat1+ (more )
Structure Level Pattern Image Note
TS28: esophagus Present JAX_1803989

Specimen JAX_1803990: postnatal adult; Agpat1tm1.1(KOMP)Vlcg/Agpat1+ (more )
Structure Level Pattern Image Note
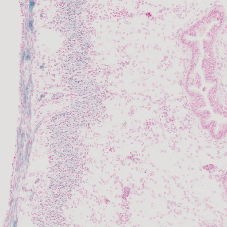
TS28: uterus Absent JAX_1803990

Specimen JAX_1803991: postnatal adult; Agpat1tm1.1(KOMP)Vlcg/Agpat1+ (more )
Structure Level Pattern Image Note
TS28: oviduct Present JAX_1803991

Specimen JAX_1803992: postnatal adult; Agpat1tm1.1(KOMP)Vlcg/Agpat1+ (more )
Structure Level Pattern Image Note
TS28: ovary Present JAX_1803992

Specimen JAX_1803993: postnatal adult; Agpat1tm1.1(KOMP)Vlcg/Agpat1+ (more )
Structure Level Pattern Image Note
TS28: mammary gland Present JAX_1803993

Specimen JAX_1803994: postnatal adult; Agpat1tm1.1(KOMP)Vlcg/Agpat1+ (more )
Structure Level Pattern Image Note
TS28: liver Present JAX_1803994

Specimen JAX_1803995: postnatal adult; Agpat1tm1.1(KOMP)Vlcg/Agpat1+ (more )
Structure Level Pattern Image Note
TS28: metanephros Present JAX_1803995 kidney

Specimen JAX_1803996: postnatal adult; Agpat1tm1.1(KOMP)Vlcg/Agpat1+ (more )
Structure Level Pattern Image Note
TS28: eye Present JAX_1803996

Specimen JAX_1803997: postnatal adult; Agpat1tm1.1(KOMP)Vlcg/Agpat1+ (more )
Structure Level Pattern Image Note
TS28: brain Present JAX_1803997

Specimen JAX_1803998: postnatal adult; Agpat1tm1.1(KOMP)Vlcg/Agpat1+ (more )
Structure Level Pattern Image Note
TS28: adrenal gland Present JAX_1803998

Specimen JAX_1803999: postnatal adult; Agpat1tm1.1(KOMP)Vlcg/Agpat1+ (more )
Structure Level Pattern Image Note
TS28: epididymis Present JAX_1803999

Specimen JAX_1804000: postnatal adult; Agpat1tm1.1(KOMP)Vlcg/Agpat1+ (more )
Structure Level Pattern Image Note
TS28: submandibular gland Present JAX_1804000

Specimen JAX_1804001: postnatal adult; Agpat1tm1.1(KOMP)Vlcg/Agpat1+ (more )
Structure Level Pattern Image Note
TS28: bladder Present JAX_1804001

Specimen JAX_1804002: postnatal adult; Agpat1tm1.1(KOMP)Vlcg/Agpat1+ (more )
Structure Level Pattern Image Note
TS28: Peyer's patch Present JAX_1804002

Specimen JAX_1804003: postnatal adult; Agpat1tm1.1(KOMP)Vlcg/Agpat1+ (more )
Structure Level Pattern Image Note
TS28: peripheral nervous system Present JAX_1804003

Specimen JAX_1804004: postnatal adult; Agpat1tm1.1(KOMP)Vlcg/Agpat1+ (more )
Structure Level Pattern Image Note
TS28: cartilage Present JAX_1804004

Specimen JAX_1804005: postnatal adult; Agpat1tm1.1(KOMP)Vlcg/Agpat1+ (more )
Structure Level Pattern Image Note
TS28: aorta Present JAX_1804005

Specimen JAX_1804006: postnatal adult; Agpat1tm1.1(KOMP)Vlcg/Agpat1+ (more )
Structure Level Pattern Image Note
TS28: small intestine Present JAX_1804006

Specimen JAX_1804007: postnatal adult; Agpat1tm1.1(KOMP)Vlcg/Agpat1+ (more )
Structure Level Pattern Image Note
TS28: skeletal muscle tissue Present JAX_1804007

Specimen JAX_1804008: postnatal adult; Agpat1tm1.1(KOMP)Vlcg/Agpat1+ (more )
Structure Level Pattern Image Note
TS28: thyroid gland Present JAX_1804008

Specimen JAX_1804009: postnatal adult; Agpat1tm1.1(KOMP)Vlcg/Agpat1+ (more )
Structure Level Pattern Image Note
TS28: large intestine Present JAX_1804009

Specimen JAX_1804010: postnatal adult; Agpat1tm1.1(KOMP)Vlcg/Agpat1+ (more )
Structure Level Pattern Image Note
TS28: trachea Present JAX_1804010

Specimen JAX_1804011: postnatal adult; Agpat1tm1.1(KOMP)Vlcg/Agpat1+ (more )
Structure Level Pattern Image Note
TS28: thymus Present JAX_1804011

Specimen JAX_1804012: postnatal adult; Agpat1tm1.1(KOMP)Vlcg/Agpat1+ (more )
Structure Level Pattern Image Note
TS28: testis Present JAX_1804012

Specimen JAX_1804013: postnatal adult; Agpat1tm1.1(KOMP)Vlcg/Agpat1+ (more )
Structure Level Pattern Image Note
TS28: stomach Present JAX_1804013

Specimen JAX_1804014: postnatal adult; Agpat1tm1.1(KOMP)Vlcg/Agpat1+ (more )
Structure Level Pattern Image Note
TS28: skin Present JAX_1804014

Specimen JAX_1804015: postnatal adult; Agpat1tm1.1(KOMP)Vlcg/Agpat1+ (more )
Structure Level Pattern Image Note
TS28: lymph node Present JAX_1804015

Specimen JAX_1804016: postnatal adult; Agpat1tm1.1(KOMP)Vlcg/Agpat1+ (more )
Structure Level Pattern Image Note
TS28: heart Present JAX_1804016


Contributing Projects:
Mouse Genome Database (MGD), Gene Expression Database (GXD), Mouse Models of Human Cancer database (MMHCdb) (formerly Mouse Tumor Biology (MTB)), Gene Ontology (GO)
Citing These Resources
Funding Information
Warranty Disclaimer, Privacy Notice, Licensing, & Copyright
Send questions and comments to User Support.
last database update
01/28/2026
MGI 6.24
The Jackson Laboratory