About   Help   FAQ
Gene Expression Data
Assay Details
Assay
Reference: J:228563 Koscielny G, et al., The International Mouse Phenotyping Consortium Web Portal, a unified point of access for knockout mice and related phenotyping data. Nucleic Acids Res. 2014 Jan;42(Database issue):D802-9
Assay type: In situ reporter (knock in)
MGI Accession ID: MGI:6692300
Gene symbol: Pum2
Gene name: pumilio RNA-binding family member 2
Reporter: lacZ
Direct Detection
Results
Specimen UC Davis_1886362: postnatal adult; Pum2tm1b(KOMP)Wtsi/Pum2+ (more )
Structure Level Pattern Image Note
TS28: submandibular gland Present UC Davis_1886362

Specimen UC Davis_1886363: postnatal adult; Pum2tm1b(KOMP)Wtsi/Pum2+ (more )
Structure Level Pattern Image Note
TS28: sublingual gland Present UC Davis_1886363

Specimen UC Davis_1886364: postnatal adult; Pum2tm1b(KOMP)Wtsi/Pum2+ (more )
Structure Level Pattern Image Note
TS28: parotid gland Present UC Davis_1886364

Specimen UC Davis_1886366: postnatal adult; Pum2tm1b(KOMP)Wtsi/Pum2+ (more )
Structure Level Pattern Image Note
TS28: trachea Present UC Davis_1886366

Specimen UC Davis_1886367: postnatal adult; Pum2tm1b(KOMP)Wtsi/Pum2+ (more )
Structure Level Pattern Image Note
TS28: aorta Present UC Davis_1886367

Specimen UC Davis_1886368: postnatal adult; Pum2tm1b(KOMP)Wtsi/Pum2+ (more )
Structure Level Pattern Image Note
TS28: thymus Present UC Davis_1886368

Specimen UC Davis_1886369: postnatal adult; Pum2tm1b(KOMP)Wtsi/Pum2+ (more )
Structure Level Pattern Image Note
TS28: thymus Present UC Davis_1886369

Specimen UC Davis_1886370: postnatal adult; Pum2tm1b(KOMP)Wtsi/Pum2+ (more )
Structure Level Pattern Image Note
TS28: thymus Present UC Davis_1886370

Specimen UC Davis_1886374: postnatal adult; Pum2tm1b(KOMP)Wtsi/Pum2+ (more )
Structure Level Pattern Image Note
TS28: stomach Present UC Davis_1886374

Specimen UC Davis_1886375: postnatal adult; Pum2tm1b(KOMP)Wtsi/Pum2+ (more )
Structure Level Pattern Image Note
TS28: stomach Present UC Davis_1886375

Specimen UC Davis_1886376: postnatal adult; Pum2tm1b(KOMP)Wtsi/Pum2+ (more )
Structure Level Pattern Image Note
TS28: stomach Present UC Davis_1886376

Specimen UC Davis_1886377: postnatal adult; Pum2tm1b(KOMP)Wtsi/Pum2+ (more )
Structure Level Pattern Image Note
TS28: duodenum Present UC Davis_1886377

Specimen UC Davis_1886378: postnatal adult; Pum2tm1b(KOMP)Wtsi/Pum2+ (more )
Structure Level Pattern Image Note
TS28: jejunum Present UC Davis_1886378

Specimen UC Davis_1886379: postnatal adult; Pum2tm1b(KOMP)Wtsi/Pum2+ (more )
Structure Level Pattern Image Note
TS28: ileum Present UC Davis_1886379

Specimen UC Davis_1886380: postnatal adult; Pum2tm1b(KOMP)Wtsi/Pum2+ (more )
Structure Level Pattern Image Note
TS28: colon Present UC Davis_1886380

Specimen UC Davis_1886381: postnatal adult; Pum2tm1b(KOMP)Wtsi/Pum2+ (more )
Structure Level Pattern Image Note
TS28: colon Present UC Davis_1886381

Specimen UC Davis_1886382: postnatal adult; Pum2tm1b(KOMP)Wtsi/Pum2+ (more )
Structure Level Pattern Image Note
TS28: cecum Present UC Davis_1886382

Specimen UC Davis_1886383: postnatal adult; Pum2tm1b(KOMP)Wtsi/Pum2+ (more )
Structure Level Pattern Image Note
TS28: spleen Present UC Davis_1886383

Specimen UC Davis_1886384: postnatal adult; Pum2tm1b(KOMP)Wtsi/Pum2+ (more )
Structure Level Pattern Image Note
TS28: spleen Present UC Davis_1886384

Specimen UC Davis_1886385: postnatal adult; Pum2tm1b(KOMP)Wtsi/Pum2+ (more )
Structure Level Pattern Image Note
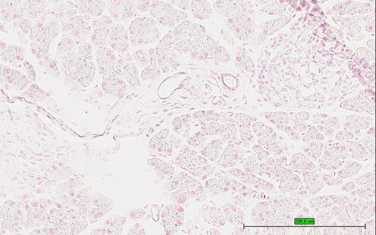
TS28: pancreas Present UC Davis_1886385

Specimen UC Davis_1886386: postnatal adult; Pum2tm1b(KOMP)Wtsi/Pum2+ (more )
Structure Level Pattern Image Note
TS28: liver Present UC Davis_1886386

Specimen UC Davis_1886387: postnatal adult; Pum2tm1b(KOMP)Wtsi/Pum2+ (more )
Structure Level Pattern Image Note
TS28: liver Present UC Davis_1886387

Specimen UC Davis_1886388: postnatal adult; Pum2tm1b(KOMP)Wtsi/Pum2+ (more )
Structure Level Pattern Image Note
TS28: metanephros Present UC Davis_1886388 kidney

Specimen UC Davis_1886389: postnatal adult; Pum2tm1b(KOMP)Wtsi/Pum2+ (more )
Structure Level Pattern Image Note
TS28: metanephros Present UC Davis_1886389 kidney

Specimen UC Davis_1886390: postnatal adult; Pum2tm1b(KOMP)Wtsi/Pum2+ (more )
Structure Level Pattern Image Note
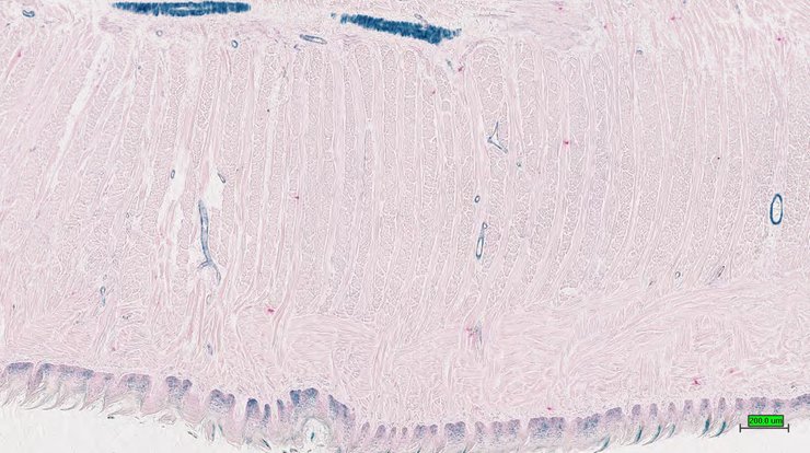
TS28: quadriceps femoris muscle Present UC Davis_1886390

Specimen UC Davis_1886391: postnatal adult; Pum2tm1b(KOMP)Wtsi/Pum2+ (more )
Structure Level Pattern Image Note
TS28: quadriceps femoris muscle Present UC Davis_1886391

Specimen UC Davis_1886392: postnatal adult; Pum2tm1b(KOMP)Wtsi/Pum2+ (more )
Structure Level Pattern Image Note
TS28: tongue Present UC Davis_1886392

Specimen UC Davis_1886393: postnatal adult; Pum2tm1b(KOMP)Wtsi/Pum2+ (more )
Structure Level Pattern Image Note
TS28: tongue Present UC Davis_1886393

Specimen UC Davis_1886394: postnatal adult; Pum2tm1b(KOMP)Wtsi/Pum2+ (more )
Structure Level Pattern Image Note
TS28: tongue Present UC Davis_1886394

Specimen UC Davis_1886395: postnatal adult; Pum2tm1b(KOMP)Wtsi/Pum2+ (more )
Structure Level Pattern Image Note
TS28: diaphragm Present UC Davis_1886395

Specimen UC Davis_1886396: postnatal adult; Pum2tm1b(KOMP)Wtsi/Pum2+ (more )
Structure Level Pattern Image Note
TS28: adrenal gland Present UC Davis_1886396

Specimen UC Davis_1886397: postnatal adult; Pum2tm1b(KOMP)Wtsi/Pum2+ (more )
Structure Level Pattern Image Note
TS28: spinal cord Present UC Davis_1886397

Specimen UC Davis_1886398: postnatal adult; Pum2tm1b(KOMP)Wtsi/Pum2+ (more )
Structure Level Pattern Image Note
TS28: spinal cord Present UC Davis_1886398

Specimen UC Davis_1886399: postnatal adult; Pum2tm1b(KOMP)Wtsi/Pum2+ (more )
Structure Level Pattern Image Note
TS28: eye Present UC Davis_1886399

Specimen UC Davis_1886400: postnatal adult; Pum2tm1b(KOMP)Wtsi/Pum2+ (more )
Structure Level Pattern Image Note
TS28: eye Present UC Davis_1886400

Specimen UC Davis_1886403: postnatal adult; Pum2tm1b(KOMP)Wtsi/Pum2+ (more )
Structure Level Pattern Image Note
TS28: Harderian gland Present UC Davis_1886403

Specimen UC Davis_1886404: postnatal adult; Pum2tm1b(KOMP)Wtsi/Pum2+ (more )
Structure Level Pattern Image Note
TS28: Harderian gland Present UC Davis_1886404

Specimen UC Davis_1886405: postnatal adult; Pum2tm1b(KOMP)Wtsi/Pum2+ (more )
Structure Level Pattern Image Note
TS28: gonadal fat pad Present UC Davis_1886405

Specimen UC Davis_1886406: postnatal adult; Pum2tm1b(KOMP)Wtsi/Pum2+ (more )
Structure Level Pattern Image Note
TS28: mesenteric adipose tissue Present UC Davis_1886406

Specimen UC Davis_1886407: postnatal adult; Pum2tm1b(KOMP)Wtsi/Pum2+ (more )
Structure Level Pattern Image Note
TS28: skin Present UC Davis_1886407

Specimen UC Davis_1886408: postnatal adult; Pum2tm1b(KOMP)Wtsi/Pum2+ (more )
Structure Level Pattern Image Note
TS28: skin Present UC Davis_1886408

Specimen UC Davis_1886409: postnatal adult; Pum2tm1b(KOMP)Wtsi/Pum2+ (more )
Structure Level Pattern Image Note
TS28: brown fat Present UC Davis_1886409

Specimen UC Davis_1886410: postnatal adult; Pum2tm1b(KOMP)Wtsi/Pum2+ (more )
Structure Level Pattern Image Note
TS28: olfactory lobe Present UC Davis_1886410

Specimen UC Davis_1886413: postnatal adult; Pum2tm1b(KOMP)Wtsi/Pum2+ (more )
Structure Level Pattern Image Note
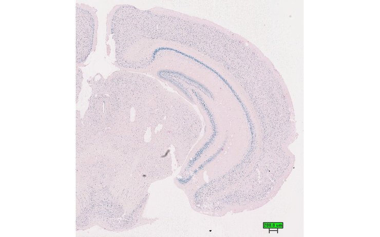
TS28: midbrain Present UC Davis_1886413

Specimen UC Davis_1886415: postnatal adult; Pum2tm1b(KOMP)Wtsi/Pum2+ (more )
Structure Level Pattern Image Note
TS28: cerebellum Present UC Davis_1886415

Specimen UC Davis_1886416: postnatal adult; Pum2tm1b(KOMP)Wtsi/Pum2+ (more )
Structure Level Pattern Image Note
TS28: trigeminal nerve Present UC Davis_1886416

Specimen UC Davis_1886417: postnatal adult; Pum2tm1b(KOMP)Wtsi/Pum2+ (more )
Structure Level Pattern Image Note
TS28: ovary Present UC Davis_1886417

Specimen UC Davis_1886418: postnatal adult; Pum2tm1b(KOMP)Wtsi/Pum2+ (more )
Structure Level Pattern Image Note
TS28: ovary Present UC Davis_1886418

Specimen UC Davis_1886419: postnatal adult; Pum2tm1b(KOMP)Wtsi/Pum2+ (more )
Structure Level Pattern Image Note
TS28: oviduct Present UC Davis_1886419

Specimen UC Davis_1886420: postnatal adult; Pum2tm1b(KOMP)Wtsi/Pum2+ (more )
Structure Level Pattern Image Note
TS28: oviduct Present UC Davis_1886420

Specimen UC Davis_1886421: postnatal adult; Pum2tm1b(KOMP)Wtsi/Pum2+ (more )
Structure Level Pattern Image Note
TS28: uterus Present UC Davis_1886421

Specimen UC Davis_1886422: postnatal adult; Pum2tm1b(KOMP)Wtsi/Pum2+ (more )
Structure Level Pattern Image Note
TS28: vagina Present UC Davis_1886422

Specimen UC Davis_1886423: postnatal adult; Pum2tm1b(KOMP)Wtsi/Pum2+ (more )
Structure Level Pattern Image Note
TS28: vagina Present UC Davis_1886423

Specimen UC Davis_1886424: postnatal adult; Pum2tm1b(KOMP)Wtsi/Pum2+ (more )
Structure Level Pattern Image Note
TS28: vagina Present UC Davis_1886424

Specimen UC Davis_1886425: postnatal adult; Pum2tm1b(KOMP)Wtsi/Pum2+ (more )
Structure Level Pattern Image Note
TS28: bladder Present UC Davis_1886425

Specimen UC Davis_1886426: postnatal adult; Pum2tm1b(KOMP)Wtsi/Pum2+ (more )
Structure Level Pattern Image Note
TS28: bladder Present UC Davis_1886426

Specimen UC Davis_1886427: postnatal adult; Pum2tm1b(KOMP)Wtsi/Pum2+ (more )
Structure Level Pattern Image Note
TS28: bone marrow Present UC Davis_1886427

Specimen UC Davis_1886428: postnatal adult; Pum2tm1b(KOMP)Wtsi/Pum2+ (more )
Structure Level Pattern Image Note
TS28: submandibular gland Present UC Davis_1886428

Specimen UC Davis_1886429: postnatal adult; Pum2tm1b(KOMP)Wtsi/Pum2+ (more )
Structure Level Pattern Image Note
TS28: submandibular gland Present UC Davis_1886429

Specimen UC Davis_1886430: postnatal adult; Pum2tm1b(KOMP)Wtsi/Pum2+ (more )
Structure Level Pattern Image Note
TS28: sublingual gland Present UC Davis_1886430

Specimen UC Davis_1886431: postnatal adult; Pum2tm1b(KOMP)Wtsi/Pum2+ (more )
Structure Level Pattern Image Note
TS28: parotid gland Present UC Davis_1886431

Specimen UC Davis_1886433: postnatal adult; Pum2tm1b(KOMP)Wtsi/Pum2+ (more )
Structure Level Pattern Image Note
TS28: trachea Present UC Davis_1886433

Specimen UC Davis_1886434: postnatal adult; Pum2tm1b(KOMP)Wtsi/Pum2+ (more )
Structure Level Pattern Image Note
TS28: esophagus Present UC Davis_1886434

Specimen UC Davis_1886436: postnatal adult; Pum2tm1b(KOMP)Wtsi/Pum2+ (more )
Structure Level Pattern Image Note
TS28: aorta Present UC Davis_1886436

Specimen UC Davis_1886437: postnatal adult; Pum2tm1b(KOMP)Wtsi/Pum2+ (more )
Structure Level Pattern Image Note
TS28: aorta Present UC Davis_1886437

Specimen UC Davis_1886438: postnatal adult; Pum2tm1b(KOMP)Wtsi/Pum2+ (more )
Structure Level Pattern Image Note
TS28: lung Present UC Davis_1886438

Specimen UC Davis_1886439: postnatal adult; Pum2tm1b(KOMP)Wtsi/Pum2+ (more )
Structure Level Pattern Image Note
TS28: lung Present UC Davis_1886439

Specimen UC Davis_1886440: postnatal adult; Pum2tm1b(KOMP)Wtsi/Pum2+ (more )
Structure Level Pattern Image Note
TS28: thymus Present UC Davis_1886440

Specimen UC Davis_1886443: postnatal adult; Pum2tm1b(KOMP)Wtsi/Pum2+ (more )
Structure Level Pattern Image Note
TS28: mesenteric lymph node Present UC Davis_1886443

Specimen UC Davis_1886444: postnatal adult; Pum2tm1b(KOMP)Wtsi/Pum2+ (more )
Structure Level Pattern Image Note
TS28: stomach Present UC Davis_1886444

Specimen UC Davis_1886445: postnatal adult; Pum2tm1b(KOMP)Wtsi/Pum2+ (more )
Structure Level Pattern Image Note
TS28: stomach Present UC Davis_1886445

Specimen UC Davis_1886446: postnatal adult; Pum2tm1b(KOMP)Wtsi/Pum2+ (more )
Structure Level Pattern Image Note
TS28: duodenum Present UC Davis_1886446

Specimen UC Davis_1886447: postnatal adult; Pum2tm1b(KOMP)Wtsi/Pum2+ (more )
Structure Level Pattern Image Note
TS28: jejunum Present UC Davis_1886447

Specimen UC Davis_1886448: postnatal adult; Pum2tm1b(KOMP)Wtsi/Pum2+ (more )
Structure Level Pattern Image Note
TS28: ileum Present UC Davis_1886448

Specimen UC Davis_1886449: postnatal adult; Pum2tm1b(KOMP)Wtsi/Pum2+ (more )
Structure Level Pattern Image Note
TS28: colon Present UC Davis_1886449

Specimen UC Davis_1886450: postnatal adult; Pum2tm1b(KOMP)Wtsi/Pum2+ (more )
Structure Level Pattern Image Note
TS28: cecum Present UC Davis_1886450

Specimen UC Davis_1886451: postnatal adult; Pum2tm1b(KOMP)Wtsi/Pum2+ (more )
Structure Level Pattern Image Note
TS28: spleen Present UC Davis_1886451

Specimen UC Davis_1886452: postnatal adult; Pum2tm1b(KOMP)Wtsi/Pum2+ (more )
Structure Level Pattern Image Note
TS28: spleen Present UC Davis_1886452

Specimen UC Davis_1886453: postnatal adult; Pum2tm1b(KOMP)Wtsi/Pum2+ (more )
Structure Level Pattern Image Note
TS28: pancreas Present UC Davis_1886453

Specimen UC Davis_1886454: postnatal adult; Pum2tm1b(KOMP)Wtsi/Pum2+ (more )
Structure Level Pattern Image Note
TS28: pancreas Present UC Davis_1886454

Specimen UC Davis_1886455: postnatal adult; Pum2tm1b(KOMP)Wtsi/Pum2+ (more )
Structure Level Pattern Image Note
TS28: metanephros Present UC Davis_1886455 kidney

Specimen UC Davis_1886456: postnatal adult; Pum2tm1b(KOMP)Wtsi/Pum2+ (more )
Structure Level Pattern Image Note
TS28: metanephros Present UC Davis_1886456 kidney

Specimen UC Davis_1886457: postnatal adult; Pum2tm1b(KOMP)Wtsi/Pum2+ (more )
Structure Level Pattern Image Note
TS28: quadriceps femoris muscle Present UC Davis_1886457

Specimen UC Davis_1886458: postnatal adult; Pum2tm1b(KOMP)Wtsi/Pum2+ (more )
Structure Level Pattern Image Note
TS28: tongue Present UC Davis_1886458

Specimen UC Davis_1886459: postnatal adult; Pum2tm1b(KOMP)Wtsi/Pum2+ (more )
Structure Level Pattern Image Note
TS28: tongue Present UC Davis_1886459

Specimen UC Davis_1886460: postnatal adult; Pum2tm1b(KOMP)Wtsi/Pum2+ (more )
Structure Level Pattern Image Note
TS28: diaphragm Present UC Davis_1886460

Specimen UC Davis_1886461: postnatal adult; Pum2tm1b(KOMP)Wtsi/Pum2+ (more )
Structure Level Pattern Image Note
TS28: adrenal gland Present UC Davis_1886461

Specimen UC Davis_1886462: postnatal adult; Pum2tm1b(KOMP)Wtsi/Pum2+ (more )
Structure Level Pattern Image Note
TS28: adrenal gland Present UC Davis_1886462

Specimen UC Davis_1886463: postnatal adult; Pum2tm1b(KOMP)Wtsi/Pum2+ (more )
Structure Level Pattern Image Note
TS28: pituitary gland Present UC Davis_1886463

Specimen UC Davis_1886464: postnatal adult; Pum2tm1b(KOMP)Wtsi/Pum2+ (more )
Structure Level Pattern Image Note
TS28: spinal cord Present UC Davis_1886464

Specimen UC Davis_1886465: postnatal adult; Pum2tm1b(KOMP)Wtsi/Pum2+ (more )
Structure Level Pattern Image Note
TS28: spinal cord Present UC Davis_1886465

Specimen UC Davis_1886466: postnatal adult; Pum2tm1b(KOMP)Wtsi/Pum2+ (more )
Structure Level Pattern Image Note
TS28: eye Present UC Davis_1886466

Specimen UC Davis_1886467: postnatal adult; Pum2tm1b(KOMP)Wtsi/Pum2+ (more )
Structure Level Pattern Image Note
TS28: eye Present UC Davis_1886467

Specimen UC Davis_1886468: postnatal adult; Pum2tm1b(KOMP)Wtsi/Pum2+ (more )
Structure Level Pattern Image Note
TS28: eye Present UC Davis_1886468

Specimen UC Davis_1886469: postnatal adult; Pum2tm1b(KOMP)Wtsi/Pum2+ (more )
Structure Level Pattern Image Note
TS28: eye Present UC Davis_1886469

Specimen UC Davis_1886470: postnatal adult; Pum2tm1b(KOMP)Wtsi/Pum2+ (more )
Structure Level Pattern Image Note
TS28: eye Present UC Davis_1886470

Specimen UC Davis_1886472: postnatal adult; Pum2tm1b(KOMP)Wtsi/Pum2+ (more )
Structure Level Pattern Image Note
TS28: Harderian gland Present UC Davis_1886472

Specimen UC Davis_1886473: postnatal adult; Pum2tm1b(KOMP)Wtsi/Pum2+ (more )
Structure Level Pattern Image Note
TS28: gonadal fat pad Present UC Davis_1886473

Specimen UC Davis_1886474: postnatal adult; Pum2tm1b(KOMP)Wtsi/Pum2+ (more )
Structure Level Pattern Image Note
TS28: mesenteric adipose tissue Present UC Davis_1886474

Specimen UC Davis_1886475: postnatal adult; Pum2tm1b(KOMP)Wtsi/Pum2+ (more )
Structure Level Pattern Image Note
TS28: skin Present UC Davis_1886475

Specimen UC Davis_1886476: postnatal adult; Pum2tm1b(KOMP)Wtsi/Pum2+ (more )
Structure Level Pattern Image Note
TS28: skin Present UC Davis_1886476

Specimen UC Davis_1886477: postnatal adult; Pum2tm1b(KOMP)Wtsi/Pum2+ (more )
Structure Level Pattern Image Note
TS28: brown fat Present UC Davis_1886477

Specimen UC Davis_1886478: postnatal adult; Pum2tm1b(KOMP)Wtsi/Pum2+ (more )
Structure Level Pattern Image Note
TS28: brown fat Present UC Davis_1886478

Specimen UC Davis_1886479: postnatal adult; Pum2tm1b(KOMP)Wtsi/Pum2+ (more )
Structure Level Pattern Image Note
TS28: olfactory lobe Present UC Davis_1886479

Specimen UC Davis_1886483: postnatal adult; Pum2tm1b(KOMP)Wtsi/Pum2+ (more )
Structure Level Pattern Image Note
TS28: midbrain Present UC Davis_1886483

Specimen UC Davis_1886485: postnatal adult; Pum2tm1b(KOMP)Wtsi/Pum2+ (more )
Structure Level Pattern Image Note
TS28: cerebellum Present UC Davis_1886485

Specimen UC Davis_1886486: postnatal adult; Pum2tm1b(KOMP)Wtsi/Pum2+ (more )
Structure Level Pattern Image Note
TS28: trigeminal nerve Present UC Davis_1886486

Specimen UC Davis_1886487: postnatal adult; Pum2tm1b(KOMP)Wtsi/Pum2+ (more )
Structure Level Pattern Image Note
TS28: trigeminal nerve Present UC Davis_1886487

Specimen UC Davis_1886488: postnatal adult; Pum2tm1b(KOMP)Wtsi/Pum2+ (more )
Structure Level Pattern Image Note
TS28: bladder Present UC Davis_1886488

Specimen UC Davis_1886489: postnatal adult; Pum2tm1b(KOMP)Wtsi/Pum2+ (more )
Structure Level Pattern Image Note
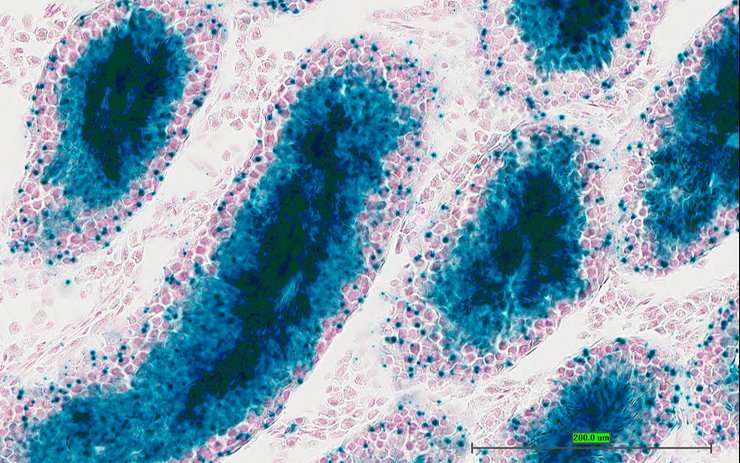
TS28: testis Present UC Davis_1886489

Specimen UC Davis_1886490: postnatal adult; Pum2tm1b(KOMP)Wtsi/Pum2+ (more )
Structure Level Pattern Image Note
TS28: epididymis Present UC Davis_1886490

Specimen UC Davis_1886491: postnatal adult; Pum2tm1b(KOMP)Wtsi/Pum2+ (more )
Structure Level Pattern Image Note
TS28: epididymis Present UC Davis_1886491

Specimen UC Davis_1886492: postnatal adult; Pum2tm1b(KOMP)Wtsi/Pum2+ (more )
Structure Level Pattern Image Note
TS28: prostate gland Present UC Davis_1886492

Specimen UC Davis_1886493: postnatal adult; Pum2tm1b(KOMP)Wtsi/Pum2+ (more )
Structure Level Pattern Image Note
TS28: prostate gland Present UC Davis_1886493

Specimen UC Davis_1886494: postnatal adult; Pum2tm1b(KOMP)Wtsi/Pum2+ (more )
Structure Level Pattern Image Note
TS28: penis Present UC Davis_1886494

Specimen UC Davis_1886495: postnatal adult; Pum2tm1b(KOMP)Wtsi/Pum2+ (more )
Structure Level Pattern Image Note
TS28: penis Present UC Davis_1886495

Specimen UC Davis_1886496: postnatal adult; Pum2tm1b(KOMP)Wtsi/Pum2+ (more )
Structure Level Pattern Image Note
TS28: ductus deferens Present UC Davis_1886496 vas deferens

Specimen UC Davis_1886500: postnatal adult; Pum2tm1b(KOMP)Wtsi/Pum2+ (more )
Structure Level Pattern Image Note
TS28: seminal vesicle Present UC Davis_1886500 vesicular gland

Specimen UC Davis_1886501: postnatal adult; Pum2tm1b(KOMP)Wtsi/Pum2+ (more )
Structure Level Pattern Image Note
TS28: seminal vesicle Present UC Davis_1886501 vesicular gland


Contributing Projects:
Mouse Genome Database (MGD), Gene Expression Database (GXD), Mouse Models of Human Cancer database (MMHCdb) (formerly Mouse Tumor Biology (MTB)), Gene Ontology (GO)
Citing These Resources
Funding Information
Warranty Disclaimer, Privacy Notice, Licensing, & Copyright
Send questions and comments to User Support.
last database update
12/30/2025
MGI 6.24
The Jackson Laboratory