About   Help   FAQ
Gene Expression Data
Assay Details
Assay
Reference: J:228563 Koscielny G, et al., The International Mouse Phenotyping Consortium Web Portal, a unified point of access for knockout mice and related phenotyping data. Nucleic Acids Res. 2014 Jan;42(Database issue):D802-9
Assay type: In situ reporter (knock in)
MGI Accession ID: MGI:6692299
Gene symbol: Dbr1
Gene name: debranching RNA lariats 1
Reporter: lacZ
Direct Detection
Results
Specimen JAX_1127381: embryonic day 12.5; Dbr1tm1.1(KOMP)Vlcg/Dbr1+ (more )
Structure Level Pattern Image Note
TS20: embryo Present JAX_1127381

Specimen JAX_1127383: embryonic day 12.5; Dbr1tm1.1(KOMP)Vlcg/Dbr1+ (more )
Structure Level Pattern Image Note
TS20: embryo Present JAX_1127383

Specimen JAX_1127385: embryonic day 12.5; Dbr1tm1.1(KOMP)Vlcg/Dbr1+ (more )
Structure Level Pattern Image Note
TS20: embryo Present JAX_1127385

Specimen JAX_1127387: embryonic day 12.5; Dbr1tm1.1(KOMP)Vlcg/Dbr1+ (more )
Structure Level Pattern Image Note
TS20: embryo Present JAX_1127387

Specimen JAX_1127373: embryonic day 12.5; Dbr1tm1.1(KOMP)Vlcg/Dbr1+ (more )
Structure Level Pattern Image Note
TS20: embryo Present JAX_1127373

Specimen JAX_1127375: embryonic day 12.5; Dbr1tm1.1(KOMP)Vlcg/Dbr1+ (more )
Structure Level Pattern Image Note
TS20: embryo Present JAX_1127375

Specimen JAX_1127377: embryonic day 12.5; Dbr1tm1.1(KOMP)Vlcg/Dbr1+ (more )
Structure Level Pattern Image Note
TS20: embryo Present JAX_1127377

Specimen JAX_1127379: embryonic day 12.5; Dbr1tm1.1(KOMP)Vlcg/Dbr1+ (more )
Structure Level Pattern Image Note
TS20: embryo Present JAX_1127379

Specimen JAX_1371712: postnatal adult; Dbr1tm1.1(KOMP)Vlcg/Dbr1+ (more )
Structure Level Pattern Image Note
TS28: vascular system Present JAX_1371712

Specimen JAX_1371713: postnatal adult; Dbr1tm1.1(KOMP)Vlcg/Dbr1+ (more )
Structure Level Pattern Image Note
TS28: submandibular gland Present JAX_1371713

Specimen JAX_1371714: postnatal adult; Dbr1tm1.1(KOMP)Vlcg/Dbr1+ (more )
Structure Level Pattern Image Note
TS28: bladder Present JAX_1371714

Specimen JAX_1371715: postnatal adult; Dbr1tm1.1(KOMP)Vlcg/Dbr1+ (more )
Structure Level Pattern Image Note
TS28: peripheral nervous system Present JAX_1371715

Specimen JAX_1371716: postnatal adult; Dbr1tm1.1(KOMP)Vlcg/Dbr1+ (more )
Structure Level Pattern Image Note
TS28: lung Present JAX_1371716

Specimen JAX_1371717: postnatal adult; Dbr1tm1.1(KOMP)Vlcg/Dbr1+ (more )
Structure Level Pattern Image Note
TS28: esophagus Present JAX_1371717

Specimen JAX_1371718: postnatal adult; Dbr1tm1.1(KOMP)Vlcg/Dbr1+ (more )
Structure Level Pattern Image Note
TS28: uterus Present JAX_1371718

Specimen JAX_1371719: postnatal adult; Dbr1tm1.1(KOMP)Vlcg/Dbr1+ (more )
Structure Level Pattern Image Note
TS28: oviduct Present JAX_1371719

Specimen JAX_1371720: postnatal adult; Dbr1tm1.1(KOMP)Vlcg/Dbr1+ (more )
Structure Level Pattern Image Note
TS28: ovary Present JAX_1371720

Specimen JAX_1371721: postnatal adult; Dbr1tm1.1(KOMP)Vlcg/Dbr1+ (more )
Structure Level Pattern Image Note
TS28: eye Present JAX_1371721

Specimen JAX_1371722: postnatal adult; Dbr1tm1.1(KOMP)Vlcg/Dbr1+ (more )
Structure Level Pattern Image Note
TS28: thalamus Present JAX_1371722

Specimen JAX_1371723: postnatal adult; Dbr1tm1.1(KOMP)Vlcg/Dbr1+ (more )
Structure Level Pattern Image Note
TS28: midbrain Present JAX_1371723

Specimen JAX_1371724: postnatal adult; Dbr1tm1.1(KOMP)Vlcg/Dbr1+ (more )
Structure Level Pattern Image Note
TS28: epididymis Present JAX_1371724

Specimen JAX_1371725: postnatal adult; Dbr1tm1.1(KOMP)Vlcg/Dbr1+ (more )
Structure Level Pattern Image Note
TS28: brown fat Present JAX_1371725

Specimen JAX_1371726: postnatal adult; Dbr1tm1.1(KOMP)Vlcg/Dbr1+ (more )
Structure Level Pattern Image Note
TS28: corpus striatum Present JAX_1371726

Specimen JAX_1371727: postnatal adult; Dbr1tm1.1(KOMP)Vlcg/Dbr1+ (more )
Structure Level Pattern Image Note
TS28: Peyer's patch Present JAX_1371727

Specimen JAX_1371728: postnatal adult; Dbr1tm1.1(KOMP)Vlcg/Dbr1+ (more )
Structure Level Pattern Image Note
TS28: olfactory lobe Present JAX_1371728

Specimen JAX_1371729: postnatal adult; Dbr1tm1.1(KOMP)Vlcg/Dbr1+ (more )
Structure Level Pattern Image Note
TS28: hypothalamus Present JAX_1371729

Specimen JAX_1371730: postnatal adult; Dbr1tm1.1(KOMP)Vlcg/Dbr1+ (more )
Structure Level Pattern Image Note
TS28: hippocampus Present JAX_1371730

Specimen JAX_1371731: postnatal adult; Dbr1tm1.1(KOMP)Vlcg/Dbr1+ (more )
Structure Level Pattern Image Note
TS28: cerebellum Present JAX_1371731

Specimen JAX_1371732: postnatal adult; Dbr1tm1.1(KOMP)Vlcg/Dbr1+ (more )
Structure Level Pattern Image Note
TS28: cerebral cortex Present JAX_1371732

Specimen JAX_1371733: postnatal adult; Dbr1tm1.1(KOMP)Vlcg/Dbr1+ (more )
Structure Level Pattern Image Note
TS28: cartilage Present JAX_1371733

Specimen JAX_1371734: postnatal adult; Dbr1tm1.1(KOMP)Vlcg/Dbr1+ (more )
Structure Level Pattern Image Note
TS28: brainstem Present JAX_1371734

Specimen JAX_1371735: postnatal adult; Dbr1tm1.1(KOMP)Vlcg/Dbr1+ (more )
Structure Level Pattern Image Note
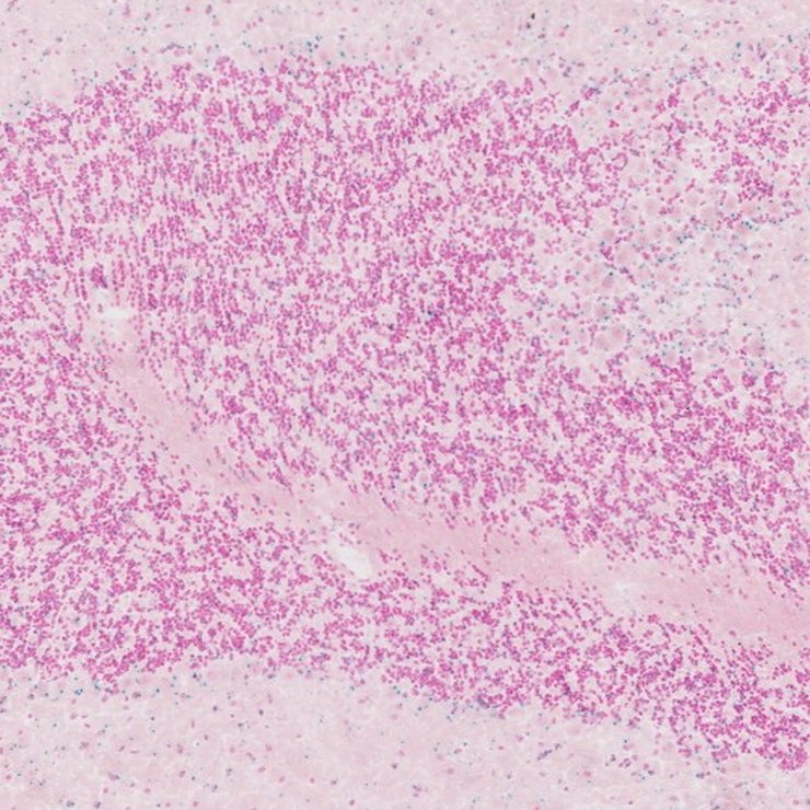
TS28: spleen Present JAX_1371735

Specimen JAX_1371736: postnatal adult; Dbr1tm1.1(KOMP)Vlcg/Dbr1+ (more )
Structure Level Pattern Image Note
TS28: pancreas Present JAX_1371736

Specimen JAX_1371737: postnatal adult; Dbr1tm1.1(KOMP)Vlcg/Dbr1+ (more )
Structure Level Pattern Image Note
TS28: aorta Present JAX_1371737

Specimen JAX_1371738: postnatal adult; Dbr1tm1.1(KOMP)Vlcg/Dbr1+ (more )
Structure Level Pattern Image Note
TS28: white fat Present JAX_1371738

Specimen JAX_1371739: postnatal adult; Dbr1tm1.1(KOMP)Vlcg/Dbr1+ (more )
Structure Level Pattern Image Note
TS28: small intestine Present JAX_1371739

Specimen JAX_1371740: postnatal adult; Dbr1tm1.1(KOMP)Vlcg/Dbr1+ (more )
Structure Level Pattern Image Note
TS28: skeletal muscle tissue Present JAX_1371740

Specimen JAX_1371741: postnatal adult; Dbr1tm1.1(KOMP)Vlcg/Dbr1+ (more )
Structure Level Pattern Image Note
TS28: pituitary gland Present JAX_1371741

Specimen JAX_1371742: postnatal adult; Dbr1tm1.1(KOMP)Vlcg/Dbr1+ (more )
Structure Level Pattern Image Note
TS28: thyroid gland Present JAX_1371742

Specimen JAX_1371743: postnatal adult; Dbr1tm1.1(KOMP)Vlcg/Dbr1+ (more )
Structure Level Pattern Image Note
TS28: spinal cord Present JAX_1371743

Specimen JAX_1371744: postnatal adult; Dbr1tm1.1(KOMP)Vlcg/Dbr1+ (more )
Structure Level Pattern Image Note
TS28: large intestine Present JAX_1371744

Specimen JAX_1371745: postnatal adult; Dbr1tm1.1(KOMP)Vlcg/Dbr1+ (more )
Structure Level Pattern Image Note
TS28: trachea Present JAX_1371745

Specimen JAX_1371746: postnatal adult; Dbr1tm1.1(KOMP)Vlcg/Dbr1+ (more )
Structure Level Pattern Image Note
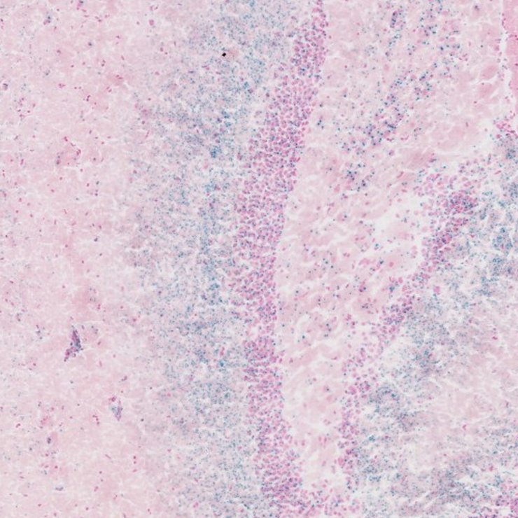
TS28: thymus Present JAX_1371746

Specimen JAX_1371747: postnatal adult; Dbr1tm1.1(KOMP)Vlcg/Dbr1+ (more )
Structure Level Pattern Image Note
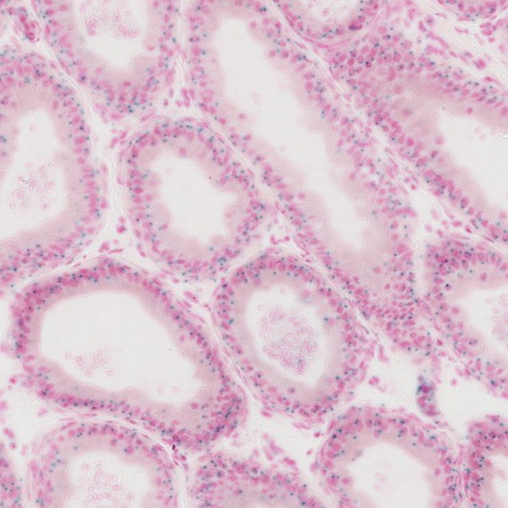
TS28: testis Present JAX_1371747

Specimen JAX_1371748: postnatal adult; Dbr1tm1.1(KOMP)Vlcg/Dbr1+ (more )
Structure Level Pattern Image Note
TS28: stomach Present JAX_1371748

Specimen JAX_1371749: postnatal adult; Dbr1tm1.1(KOMP)Vlcg/Dbr1+ (more )
Structure Level Pattern Image Note
TS28: skin Present JAX_1371749

Specimen JAX_1371750: postnatal adult; Dbr1tm1.1(KOMP)Vlcg/Dbr1+ (more )
Structure Level Pattern Image Note
TS28: lymph node Present JAX_1371750

Specimen JAX_1371751: postnatal adult; Dbr1tm1.1(KOMP)Vlcg/Dbr1+ (more )
Structure Level Pattern Image Note
TS28: liver Present JAX_1371751

Specimen JAX_1371752: postnatal adult; Dbr1tm1.1(KOMP)Vlcg/Dbr1+ (more )
Structure Level Pattern Image Note
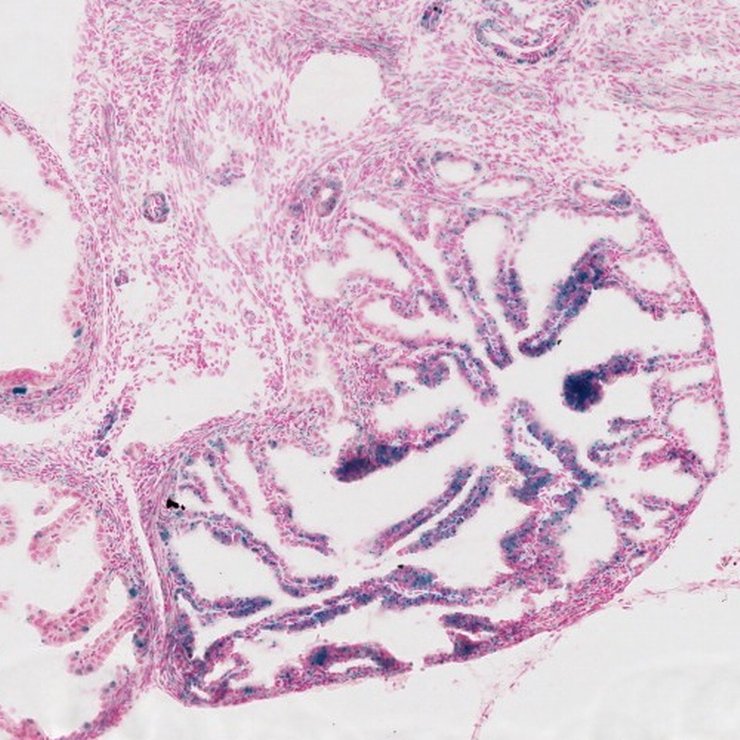
TS28: metanephros Present JAX_1371752 kidney

Specimen JAX_1371753: postnatal adult; Dbr1tm1.1(KOMP)Vlcg/Dbr1+ (more )
Structure Level Pattern Image Note
TS28: heart Present JAX_1371753

Specimen JAX_1371754: postnatal adult; Dbr1tm1.1(KOMP)Vlcg/Dbr1+ (more )
Structure Level Pattern Image Note
TS28: brain Present JAX_1371754

Specimen JAX_1371755: postnatal adult; Dbr1tm1.1(KOMP)Vlcg/Dbr1+ (more )
Structure Level Pattern Image Note
TS28: adrenal gland Present JAX_1371755


Contributing Projects:
Mouse Genome Database (MGD), Gene Expression Database (GXD), Mouse Models of Human Cancer database (MMHCdb) (formerly Mouse Tumor Biology (MTB)), Gene Ontology (GO)
Citing These Resources
Funding Information
Warranty Disclaimer, Privacy Notice, Licensing, & Copyright
Send questions and comments to User Support.
last database update
01/06/2026
MGI 6.24
The Jackson Laboratory