About   Help   FAQ
Gene Expression Data
Assay Details
Assay
Reference: J:228563 Koscielny G, et al., The International Mouse Phenotyping Consortium Web Portal, a unified point of access for knockout mice and related phenotyping data. Nucleic Acids Res. 2014 Jan;42(Database issue):D802-9
Assay type: In situ reporter (knock in)
MGI Accession ID: MGI:6692292
Gene symbol: Golga7
Gene name: golgin A7
Reporter: lacZ
Direct Detection
Results
Specimen TCP_2460718: postnatal adult; Golga7tm1b(KOMP)Wtsi/Golga7+ (more )
Structure Level Pattern Image Note
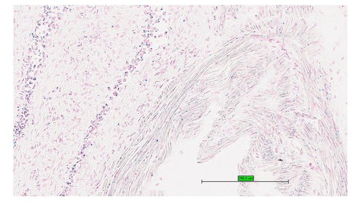
TS28: brain Present TCP_2460718

Specimen TCP_2460719: postnatal adult; Golga7tm1b(KOMP)Wtsi/Golga7+ (more )
Structure Level Pattern Image Note
TS28: brown fat Present TCP_2460719

Specimen TCP_2460720: postnatal adult; Golga7tm1b(KOMP)Wtsi/Golga7+ (more )
Structure Level Pattern Image Note
TS28: cerebellum Present TCP_2460720

Specimen TCP_2460721: postnatal adult; Golga7tm1b(KOMP)Wtsi/Golga7+ (more )
Structure Level Pattern Image Note
TS28: brainstem Present TCP_2460721

Specimen TCP_2460722: postnatal adult; Golga7tm1b(KOMP)Wtsi/Golga7+ (more )
Structure Level Pattern Image Note
TS28: heart Present TCP_2460722

Specimen TCP_2460723: postnatal adult; Golga7tm1b(KOMP)Wtsi/Golga7+ (more )
Structure Level Pattern Image Note
TS28: liver Present TCP_2460723

Specimen TCP_2460724: postnatal adult; Golga7tm1b(KOMP)Wtsi/Golga7+ (more )
Structure Level Pattern Image Note
TS28: skin Present TCP_2460724

Specimen TCP_2460725: postnatal adult; Golga7tm1b(KOMP)Wtsi/Golga7+ (more )
Structure Level Pattern Image Note
TS28: spinal cord Present TCP_2460725

Specimen UC Davis_1880639: postnatal adult; Golga7tm1b(KOMP)Wtsi/Golga7+ (more )
Structure Level Pattern Image Note
TS28: submandibular gland Present UC Davis_1880639

Specimen UC Davis_1880640: postnatal adult; Golga7tm1b(KOMP)Wtsi/Golga7+ (more )
Structure Level Pattern Image Note
TS28: sublingual gland Present UC Davis_1880640

Specimen UC Davis_1880641: postnatal adult; Golga7tm1b(KOMP)Wtsi/Golga7+ (more )
Structure Level Pattern Image Note
TS28: sublingual gland Present UC Davis_1880641

Specimen UC Davis_1880642: postnatal adult; Golga7tm1b(KOMP)Wtsi/Golga7+ (more )
Structure Level Pattern Image Note
TS28: esophagus Present UC Davis_1880642

Specimen UC Davis_1880643: postnatal adult; Golga7tm1b(KOMP)Wtsi/Golga7+ (more )
Structure Level Pattern Image Note
TS28: esophagus Present UC Davis_1880643

Specimen UC Davis_1880644: postnatal adult; Golga7tm1b(KOMP)Wtsi/Golga7+ (more )
Structure Level Pattern Image Note
TS28: esophagus Present UC Davis_1880644

Specimen UC Davis_1880645: postnatal adult; Golga7tm1b(KOMP)Wtsi/Golga7+ (more )
Structure Level Pattern Image Note
TS28: aorta Present UC Davis_1880645

Specimen UC Davis_1880646: postnatal adult; Golga7tm1b(KOMP)Wtsi/Golga7+ (more )
Structure Level Pattern Image Note
TS28: thymus Present UC Davis_1880646

Specimen UC Davis_1880647: postnatal adult; Golga7tm1b(KOMP)Wtsi/Golga7+ (more )
Structure Level Pattern Image Note
TS28: thymus Present UC Davis_1880647

Specimen UC Davis_1880650: postnatal adult; Golga7tm1b(KOMP)Wtsi/Golga7+ (more )
Structure Level Pattern Image Note
TS28: stomach Present UC Davis_1880650

Specimen UC Davis_1880651: postnatal adult; Golga7tm1b(KOMP)Wtsi/Golga7+ (more )
Structure Level Pattern Image Note
TS28: stomach Present UC Davis_1880651

Specimen UC Davis_1880652: postnatal adult; Golga7tm1b(KOMP)Wtsi/Golga7+ (more )
Structure Level Pattern Image Note
TS28: ileum Present UC Davis_1880652

Specimen UC Davis_1880653: postnatal adult; Golga7tm1b(KOMP)Wtsi/Golga7+ (more )
Structure Level Pattern Image Note
TS28: colon Present UC Davis_1880653

Specimen UC Davis_1880654: postnatal adult; Golga7tm1b(KOMP)Wtsi/Golga7+ (more )
Structure Level Pattern Image Note
TS28: colon Present UC Davis_1880654

Specimen UC Davis_1880655: postnatal adult; Golga7tm1b(KOMP)Wtsi/Golga7+ (more )
Structure Level Pattern Image Note
TS28: metanephros Present UC Davis_1880655 kidney

Specimen UC Davis_1880656: postnatal adult; Golga7tm1b(KOMP)Wtsi/Golga7+ (more )
Structure Level Pattern Image Note
TS28: metanephros Present UC Davis_1880656 kidney

Specimen UC Davis_1880657: postnatal adult; Golga7tm1b(KOMP)Wtsi/Golga7+ (more )
Structure Level Pattern Image Note
TS28: metanephros Present UC Davis_1880657 kidney

Specimen UC Davis_1880658: postnatal adult; Golga7tm1b(KOMP)Wtsi/Golga7+ (more )
Structure Level Pattern Image Note
TS28: tongue Present UC Davis_1880658

Specimen UC Davis_1880659: postnatal adult; Golga7tm1b(KOMP)Wtsi/Golga7+ (more )
Structure Level Pattern Image Note
TS28: tongue Present UC Davis_1880659

Specimen UC Davis_1880660: postnatal adult; Golga7tm1b(KOMP)Wtsi/Golga7+ (more )
Structure Level Pattern Image Note
TS28: tongue Present UC Davis_1880660

Specimen UC Davis_1880661: postnatal adult; Golga7tm1b(KOMP)Wtsi/Golga7+ (more )
Structure Level Pattern Image Note
TS28: adrenal gland Present UC Davis_1880661

Specimen UC Davis_1880662: postnatal adult; Golga7tm1b(KOMP)Wtsi/Golga7+ (more )
Structure Level Pattern Image Note
TS28: spinal cord Present UC Davis_1880662

Specimen UC Davis_1880663: postnatal adult; Golga7tm1b(KOMP)Wtsi/Golga7+ (more )
Structure Level Pattern Image Note
TS28: spinal cord Present UC Davis_1880663

Specimen UC Davis_1880664: postnatal adult; Golga7tm1b(KOMP)Wtsi/Golga7+ (more )
Structure Level Pattern Image Note
TS28: eye Present UC Davis_1880664

Specimen UC Davis_1880665: postnatal adult; Golga7tm1b(KOMP)Wtsi/Golga7+ (more )
Structure Level Pattern Image Note
TS28: eye Present UC Davis_1880665

Specimen UC Davis_1880667: postnatal adult; Golga7tm1b(KOMP)Wtsi/Golga7+ (more )
Structure Level Pattern Image Note
TS28: Harderian gland Present UC Davis_1880667

Specimen UC Davis_1880668: postnatal adult; Golga7tm1b(KOMP)Wtsi/Golga7+ (more )
Structure Level Pattern Image Note
TS28: Harderian gland Present UC Davis_1880668

Specimen UC Davis_1880669: postnatal adult; Golga7tm1b(KOMP)Wtsi/Golga7+ (more )
Structure Level Pattern Image Note
TS28: skin Present UC Davis_1880669

Specimen UC Davis_1880670: postnatal adult; Golga7tm1b(KOMP)Wtsi/Golga7+ (more )
Structure Level Pattern Image Note
TS28: skin Present UC Davis_1880670

Specimen UC Davis_1880671: postnatal adult; Golga7tm1b(KOMP)Wtsi/Golga7+ (more )
Structure Level Pattern Image Note
TS28: olfactory lobe Present UC Davis_1880671

Specimen UC Davis_1880674: postnatal adult; Golga7tm1b(KOMP)Wtsi/Golga7+ (more )
Structure Level Pattern Image Note
TS28: midbrain Present UC Davis_1880674

Specimen UC Davis_1880675: postnatal adult; Golga7tm1b(KOMP)Wtsi/Golga7+ (more )
Structure Level Pattern Image Note
TS28: midbrain Present UC Davis_1880675

Specimen UC Davis_1880676: postnatal adult; Golga7tm1b(KOMP)Wtsi/Golga7+ (more )
Structure Level Pattern Image Note
TS28: cerebellum Present UC Davis_1880676

Specimen UC Davis_1880677: postnatal adult; Golga7tm1b(KOMP)Wtsi/Golga7+ (more )
Structure Level Pattern Image Note
TS28: trigeminal nerve Present UC Davis_1880677

Specimen UC Davis_1880678: postnatal adult; Golga7tm1b(KOMP)Wtsi/Golga7+ (more )
Structure Level Pattern Image Note
TS28: ovary Present UC Davis_1880678

Specimen UC Davis_1880679: postnatal adult; Golga7tm1b(KOMP)Wtsi/Golga7+ (more )
Structure Level Pattern Image Note
TS28: ovary Present UC Davis_1880679

Specimen UC Davis_1880680: postnatal adult; Golga7tm1b(KOMP)Wtsi/Golga7+ (more )
Structure Level Pattern Image Note
TS28: oviduct Present UC Davis_1880680

Specimen UC Davis_1880681: postnatal adult; Golga7tm1b(KOMP)Wtsi/Golga7+ (more )
Structure Level Pattern Image Note
TS28: oviduct Present UC Davis_1880681

Specimen UC Davis_1880682: postnatal adult; Golga7tm1b(KOMP)Wtsi/Golga7+ (more )
Structure Level Pattern Image Note
TS28: oviduct Present UC Davis_1880682

Specimen UC Davis_1880683: postnatal adult; Golga7tm1b(KOMP)Wtsi/Golga7+ (more )
Structure Level Pattern Image Note
TS28: uterus Present UC Davis_1880683

Specimen UC Davis_1880684: postnatal adult; Golga7tm1b(KOMP)Wtsi/Golga7+ (more )
Structure Level Pattern Image Note
TS28: uterus Present UC Davis_1880684

Specimen UC Davis_1880685: postnatal adult; Golga7tm1b(KOMP)Wtsi/Golga7+ (more )
Structure Level Pattern Image Note
TS28: vagina Present UC Davis_1880685

Specimen UC Davis_1880686: postnatal adult; Golga7tm1b(KOMP)Wtsi/Golga7+ (more )
Structure Level Pattern Image Note
TS28: vagina Present UC Davis_1880686

Specimen UC Davis_1880687: postnatal adult; Golga7tm1b(KOMP)Wtsi/Golga7+ (more )
Structure Level Pattern Image Note
TS28: bladder Present UC Davis_1880687

Specimen UC Davis_1880689: postnatal adult; Golga7tm1b(KOMP)Wtsi/Golga7+ (more )
Structure Level Pattern Image Note
TS28: mammary gland Present UC Davis_1880689

Specimen TCP_2460708: postnatal adult; Golga7tm1b(KOMP)Wtsi/Golga7+ (more )
Structure Level Pattern Image Note
TS28: brain Present TCP_2460708

Specimen TCP_2460709: postnatal adult; Golga7tm1b(KOMP)Wtsi/Golga7+ (more )
Structure Level Pattern Image Note
TS28: brown fat Present TCP_2460709

Specimen TCP_2460710: postnatal adult; Golga7tm1b(KOMP)Wtsi/Golga7+ (more )
Structure Level Pattern Image Note
TS28: cerebellum Present TCP_2460710

Specimen TCP_2460711: postnatal adult; Golga7tm1b(KOMP)Wtsi/Golga7+ (more )
Structure Level Pattern Image Note
TS28: brainstem Present TCP_2460711

Specimen TCP_2460712: postnatal adult; Golga7tm1b(KOMP)Wtsi/Golga7+ (more )
Structure Level Pattern Image Note
TS28: eye Present TCP_2460712

Specimen TCP_2460713: postnatal adult; Golga7tm1b(KOMP)Wtsi/Golga7+ (more )
Structure Level Pattern Image Note
TS28: heart Present TCP_2460713

Specimen TCP_2460714: postnatal adult; Golga7tm1b(KOMP)Wtsi/Golga7+ (more )
Structure Level Pattern Image Note
TS28: skin Present TCP_2460714

Specimen TCP_2460715: postnatal adult; Golga7tm1b(KOMP)Wtsi/Golga7+ (more )
Structure Level Pattern Image Note
TS28: spinal cord Present TCP_2460715

Specimen TCP_2460716: postnatal adult; Golga7tm1b(KOMP)Wtsi/Golga7+ (more )
Structure Level Pattern Image Note
TS28: bladder Present TCP_2460716

Specimen TCP_2460717: postnatal adult; Golga7tm1b(KOMP)Wtsi/Golga7+ (more )
Structure Level Pattern Image Note
TS28: liver Present TCP_2460717

Specimen UC Davis_1880690: postnatal adult; Golga7tm1b(KOMP)Wtsi/Golga7+ (more )
Structure Level Pattern Image Note
TS28: sublingual gland Present UC Davis_1880690

Specimen UC Davis_1880691: postnatal adult; Golga7tm1b(KOMP)Wtsi/Golga7+ (more )
Structure Level Pattern Image Note
TS28: trachea Present UC Davis_1880691

Specimen UC Davis_1880692: postnatal adult; Golga7tm1b(KOMP)Wtsi/Golga7+ (more )
Structure Level Pattern Image Note
TS28: esophagus Present UC Davis_1880692

Specimen UC Davis_1880695: postnatal adult; Golga7tm1b(KOMP)Wtsi/Golga7+ (more )
Structure Level Pattern Image Note
TS28: stomach Present UC Davis_1880695

Specimen UC Davis_1880696: postnatal adult; Golga7tm1b(KOMP)Wtsi/Golga7+ (more )
Structure Level Pattern Image Note
TS28: stomach Present UC Davis_1880696

Specimen UC Davis_1880697: postnatal adult; Golga7tm1b(KOMP)Wtsi/Golga7+ (more )
Structure Level Pattern Image Note
TS28: colon Present UC Davis_1880697

Specimen UC Davis_1880698: postnatal adult; Golga7tm1b(KOMP)Wtsi/Golga7+ (more )
Structure Level Pattern Image Note
TS28: metanephros Present UC Davis_1880698 kidney

Specimen UC Davis_1880699: postnatal adult; Golga7tm1b(KOMP)Wtsi/Golga7+ (more )
Structure Level Pattern Image Note
TS28: metanephros Present UC Davis_1880699 kidney

Specimen UC Davis_1880700: postnatal adult; Golga7tm1b(KOMP)Wtsi/Golga7+ (more )
Structure Level Pattern Image Note
TS28: tongue Present UC Davis_1880700

Specimen UC Davis_1880701: postnatal adult; Golga7tm1b(KOMP)Wtsi/Golga7+ (more )
Structure Level Pattern Image Note
TS28: tongue Present UC Davis_1880701

Specimen UC Davis_1880702: postnatal adult; Golga7tm1b(KOMP)Wtsi/Golga7+ (more )
Structure Level Pattern Image Note
TS28: adrenal gland Present UC Davis_1880702

Specimen UC Davis_1880703: postnatal adult; Golga7tm1b(KOMP)Wtsi/Golga7+ (more )
Structure Level Pattern Image Note
TS28: spinal cord Present UC Davis_1880703

Specimen UC Davis_1880704: postnatal adult; Golga7tm1b(KOMP)Wtsi/Golga7+ (more )
Structure Level Pattern Image Note
TS28: spinal cord Present UC Davis_1880704

Specimen UC Davis_1880705: postnatal adult; Golga7tm1b(KOMP)Wtsi/Golga7+ (more )
Structure Level Pattern Image Note
TS28: Harderian gland Present UC Davis_1880705

Specimen UC Davis_1880706: postnatal adult; Golga7tm1b(KOMP)Wtsi/Golga7+ (more )
Structure Level Pattern Image Note
TS28: skin Present UC Davis_1880706

Specimen UC Davis_1880707: postnatal adult; Golga7tm1b(KOMP)Wtsi/Golga7+ (more )
Structure Level Pattern Image Note
TS28: skin Present UC Davis_1880707

Specimen UC Davis_1880709: postnatal adult; Golga7tm1b(KOMP)Wtsi/Golga7+ (more )
Structure Level Pattern Image Note
TS28: midbrain Present UC Davis_1880709

Specimen UC Davis_1880710: postnatal adult; Golga7tm1b(KOMP)Wtsi/Golga7+ (more )
Structure Level Pattern Image Note
TS28: cerebellum Present UC Davis_1880710

Specimen UC Davis_1880711: postnatal adult; Golga7tm1b(KOMP)Wtsi/Golga7+ (more )
Structure Level Pattern Image Note
TS28: cerebellum Present UC Davis_1880711

Specimen UC Davis_1880712: postnatal adult; Golga7tm1b(KOMP)Wtsi/Golga7+ (more )
Structure Level Pattern Image Note
TS28: trigeminal nerve Present UC Davis_1880712

Specimen UC Davis_1880713: postnatal adult; Golga7tm1b(KOMP)Wtsi/Golga7+ (more )
Structure Level Pattern Image Note
TS28: bladder Present UC Davis_1880713

Specimen UC Davis_1880714: postnatal adult; Golga7tm1b(KOMP)Wtsi/Golga7+ (more )
Structure Level Pattern Image Note
TS28: bladder Present UC Davis_1880714

Specimen UC Davis_1880715: postnatal adult; Golga7tm1b(KOMP)Wtsi/Golga7+ (more )
Structure Level Pattern Image Note
TS28: testis Present UC Davis_1880715

Specimen UC Davis_1880716: postnatal adult; Golga7tm1b(KOMP)Wtsi/Golga7+ (more )
Structure Level Pattern Image Note
TS28: testis Present UC Davis_1880716

Specimen UC Davis_1880717: postnatal adult; Golga7tm1b(KOMP)Wtsi/Golga7+ (more )
Structure Level Pattern Image Note
TS28: epididymis Present UC Davis_1880717

Specimen UC Davis_1880718: postnatal adult; Golga7tm1b(KOMP)Wtsi/Golga7+ (more )
Structure Level Pattern Image Note
TS28: prostate gland Present UC Davis_1880718

Specimen UC Davis_1880719: postnatal adult; Golga7tm1b(KOMP)Wtsi/Golga7+ (more )
Structure Level Pattern Image Note
TS28: penis Present UC Davis_1880719

Specimen UC Davis_1880720: postnatal adult; Golga7tm1b(KOMP)Wtsi/Golga7+ (more )
Structure Level Pattern Image Note
TS28: ductus deferens Present UC Davis_1880720 vas deferens


Contributing Projects:
Mouse Genome Database (MGD), Gene Expression Database (GXD), Mouse Models of Human Cancer database (MMHCdb) (formerly Mouse Tumor Biology (MTB)), Gene Ontology (GO)
Citing These Resources
Funding Information
Warranty Disclaimer, Privacy Notice, Licensing, & Copyright
Send questions and comments to User Support.
last database update
01/28/2026
MGI 6.24
The Jackson Laboratory