About   Help   FAQ
Gene Expression Data
Assay Details
Assay
Reference: J:228563 Koscielny G, et al., The International Mouse Phenotyping Consortium Web Portal, a unified point of access for knockout mice and related phenotyping data. Nucleic Acids Res. 2014 Jan;42(Database issue):D802-9
Assay type: In situ reporter (knock in)
MGI Accession ID: MGI:6692284
Gene symbol: Krit1
Gene name: KRIT1, ankyrin repeat containing
Reporter: lacZ
Direct Detection
Results
Specimen UC Davis_1866859: postnatal adult; Krit1tm1.1(KOMP)Vlcg/Krit1+ (more )
Structure Level Pattern Image Note
TS28: sublingual gland Present UC Davis_1866859

Specimen UC Davis_1866860: postnatal adult; Krit1tm1.1(KOMP)Vlcg/Krit1+ (more )
Structure Level Pattern Image Note
TS28: trachea Present UC Davis_1866860

Specimen UC Davis_1866861: postnatal adult; Krit1tm1.1(KOMP)Vlcg/Krit1+ (more )
Structure Level Pattern Image Note
TS28: esophagus Present UC Davis_1866861

Specimen UC Davis_1866862: postnatal adult; Krit1tm1.1(KOMP)Vlcg/Krit1+ (more )
Structure Level Pattern Image Note
TS28: thyroid gland Present UC Davis_1866862

Specimen UC Davis_1866863: postnatal adult; Krit1tm1.1(KOMP)Vlcg/Krit1+ (more )
Structure Level Pattern Image Note
TS28: aorta Present UC Davis_1866863

Specimen UC Davis_1866864: postnatal adult; Krit1tm1.1(KOMP)Vlcg/Krit1+ (more )
Structure Level Pattern Image Note
TS28: lung Present UC Davis_1866864

Specimen UC Davis_1866865: postnatal adult; Krit1tm1.1(KOMP)Vlcg/Krit1+ (more )
Structure Level Pattern Image Note
TS28: lung Present UC Davis_1866865

Specimen UC Davis_1866866: postnatal adult; Krit1tm1.1(KOMP)Vlcg/Krit1+ (more )
Structure Level Pattern Image Note
TS28: thymus Present UC Davis_1866866

Specimen UC Davis_1866867: postnatal adult; Krit1tm1.1(KOMP)Vlcg/Krit1+ (more )
Structure Level Pattern Image Note
TS28: thymus Present UC Davis_1866867

Specimen UC Davis_1866872: postnatal adult; Krit1tm1.1(KOMP)Vlcg/Krit1+ (more )
Structure Level Pattern Image Note
TS28: stomach Present UC Davis_1866872

Specimen UC Davis_1866873: postnatal adult; Krit1tm1.1(KOMP)Vlcg/Krit1+ (more )
Structure Level Pattern Image Note
TS28: stomach Present UC Davis_1866873

Specimen UC Davis_1866874: postnatal adult; Krit1tm1.1(KOMP)Vlcg/Krit1+ (more )
Structure Level Pattern Image Note
TS28: stomach Present UC Davis_1866874

Specimen UC Davis_1866875: postnatal adult; Krit1tm1.1(KOMP)Vlcg/Krit1+ (more )
Structure Level Pattern Image Note
TS28: duodenum Present UC Davis_1866875

Specimen UC Davis_1866876: postnatal adult; Krit1tm1.1(KOMP)Vlcg/Krit1+ (more )
Structure Level Pattern Image Note
TS28: duodenum Present UC Davis_1866876

Specimen UC Davis_1866877: postnatal adult; Krit1tm1.1(KOMP)Vlcg/Krit1+ (more )
Structure Level Pattern Image Note
TS28: ileum Present UC Davis_1866877

Specimen UC Davis_1866878: postnatal adult; Krit1tm1.1(KOMP)Vlcg/Krit1+ (more )
Structure Level Pattern Image Note
TS28: colon Present UC Davis_1866878

Specimen UC Davis_1866879: postnatal adult; Krit1tm1.1(KOMP)Vlcg/Krit1+ (more )
Structure Level Pattern Image Note
TS28: colon Present UC Davis_1866879

Specimen UC Davis_1866880: postnatal adult; Krit1tm1.1(KOMP)Vlcg/Krit1+ (more )
Structure Level Pattern Image Note
TS28: cecum Present UC Davis_1866880

Specimen UC Davis_1866881: postnatal adult; Krit1tm1.1(KOMP)Vlcg/Krit1+ (more )
Structure Level Pattern Image Note
TS28: spleen Present UC Davis_1866881

Specimen UC Davis_1866882: postnatal adult; Krit1tm1.1(KOMP)Vlcg/Krit1+ (more )
Structure Level Pattern Image Note
TS28: spleen Present UC Davis_1866882

Specimen UC Davis_1866883: postnatal adult; Krit1tm1.1(KOMP)Vlcg/Krit1+ (more )
Structure Level Pattern Image Note
TS28: spleen Present UC Davis_1866883

Specimen UC Davis_1866884: postnatal adult; Krit1tm1.1(KOMP)Vlcg/Krit1+ (more )
Structure Level Pattern Image Note
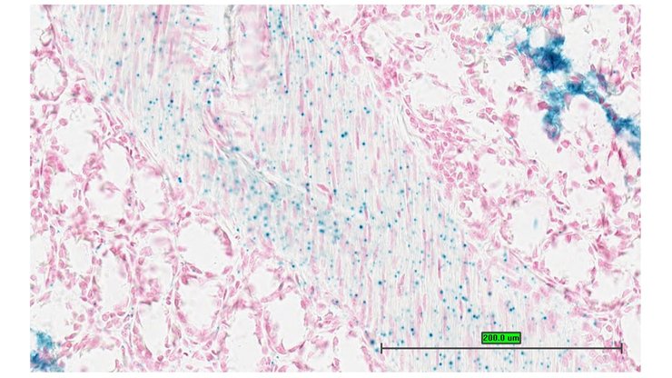
TS28: metanephros Present UC Davis_1866884 kidney

Specimen UC Davis_1866885: postnatal adult; Krit1tm1.1(KOMP)Vlcg/Krit1+ (more )
Structure Level Pattern Image Note
TS28: metanephros Present UC Davis_1866885 kidney

Specimen UC Davis_1866886: postnatal adult; Krit1tm1.1(KOMP)Vlcg/Krit1+ (more )
Structure Level Pattern Image Note
TS28: metanephros Present UC Davis_1866886 kidney

Specimen UC Davis_1866887: postnatal adult; Krit1tm1.1(KOMP)Vlcg/Krit1+ (more )
Structure Level Pattern Image Note
TS28: quadriceps femoris muscle Present UC Davis_1866887

Specimen UC Davis_1866888: postnatal adult; Krit1tm1.1(KOMP)Vlcg/Krit1+ (more )
Structure Level Pattern Image Note
TS28: quadriceps femoris muscle Present UC Davis_1866888

Specimen UC Davis_1866889: postnatal adult; Krit1tm1.1(KOMP)Vlcg/Krit1+ (more )
Structure Level Pattern Image Note
TS28: tongue Present UC Davis_1866889

Specimen UC Davis_1866890: postnatal adult; Krit1tm1.1(KOMP)Vlcg/Krit1+ (more )
Structure Level Pattern Image Note
TS28: tongue Present UC Davis_1866890

Specimen UC Davis_1866891: postnatal adult; Krit1tm1.1(KOMP)Vlcg/Krit1+ (more )
Structure Level Pattern Image Note
TS28: tongue Present UC Davis_1866891

Specimen UC Davis_1866892: postnatal adult; Krit1tm1.1(KOMP)Vlcg/Krit1+ (more )
Structure Level Pattern Image Note
TS28: diaphragm Present UC Davis_1866892

Specimen UC Davis_1866893: postnatal adult; Krit1tm1.1(KOMP)Vlcg/Krit1+ (more )
Structure Level Pattern Image Note
TS28: adrenal gland Present UC Davis_1866893

Specimen UC Davis_1866894: postnatal adult; Krit1tm1.1(KOMP)Vlcg/Krit1+ (more )
Structure Level Pattern Image Note
TS28: pituitary gland Present UC Davis_1866894

Specimen UC Davis_1866895: postnatal adult; Krit1tm1.1(KOMP)Vlcg/Krit1+ (more )
Structure Level Pattern Image Note
TS28: pituitary gland Present UC Davis_1866895

Specimen UC Davis_1866896: postnatal adult; Krit1tm1.1(KOMP)Vlcg/Krit1+ (more )
Structure Level Pattern Image Note
TS28: spinal cord Present UC Davis_1866896

Specimen UC Davis_1866897: postnatal adult; Krit1tm1.1(KOMP)Vlcg/Krit1+ (more )
Structure Level Pattern Image Note
TS28: spinal cord Present UC Davis_1866897

Specimen UC Davis_1866898: postnatal adult; Krit1tm1.1(KOMP)Vlcg/Krit1+ (more )
Structure Level Pattern Image Note
TS28: eye Present UC Davis_1866898

Specimen UC Davis_1866899: postnatal adult; Krit1tm1.1(KOMP)Vlcg/Krit1+ (more )
Structure Level Pattern Image Note
TS28: eye Present UC Davis_1866899

Specimen UC Davis_1866900: postnatal adult; Krit1tm1.1(KOMP)Vlcg/Krit1+ (more )
Structure Level Pattern Image Note
TS28: eye Present UC Davis_1866900

Specimen UC Davis_1866901: postnatal adult; Krit1tm1.1(KOMP)Vlcg/Krit1+ (more )
Structure Level Pattern Image Note
TS28: eye Present UC Davis_1866901

Specimen UC Davis_1866902: postnatal adult; Krit1tm1.1(KOMP)Vlcg/Krit1+ (more )
Structure Level Pattern Image Note
TS28: eye Present UC Davis_1866902

Specimen UC Davis_1866903: postnatal adult; Krit1tm1.1(KOMP)Vlcg/Krit1+ (more )
Structure Level Pattern Image Note
TS28: Harderian gland Present UC Davis_1866903

Specimen UC Davis_1866904: postnatal adult; Krit1tm1.1(KOMP)Vlcg/Krit1+ (more )
Structure Level Pattern Image Note
TS28: gonadal fat pad Present UC Davis_1866904

Specimen UC Davis_1866905: postnatal adult; Krit1tm1.1(KOMP)Vlcg/Krit1+ (more )
Structure Level Pattern Image Note
TS28: mesenteric adipose tissue Present UC Davis_1866905

Specimen UC Davis_1866906: postnatal adult; Krit1tm1.1(KOMP)Vlcg/Krit1+ (more )
Structure Level Pattern Image Note
TS28: skin Present UC Davis_1866906

Specimen UC Davis_1866907: postnatal adult; Krit1tm1.1(KOMP)Vlcg/Krit1+ (more )
Structure Level Pattern Image Note
TS28: skin Present UC Davis_1866907

Specimen UC Davis_1866908: postnatal adult; Krit1tm1.1(KOMP)Vlcg/Krit1+ (more )
Structure Level Pattern Image Note
TS28: olfactory lobe Present UC Davis_1866908

Specimen UC Davis_1866911: postnatal adult; Krit1tm1.1(KOMP)Vlcg/Krit1+ (more )
Structure Level Pattern Image Note
TS28: midbrain Present UC Davis_1866911

Specimen UC Davis_1866913: postnatal adult; Krit1tm1.1(KOMP)Vlcg/Krit1+ (more )
Structure Level Pattern Image Note
TS28: cerebellum Present UC Davis_1866913

Specimen UC Davis_1866914: postnatal adult; Krit1tm1.1(KOMP)Vlcg/Krit1+ (more )
Structure Level Pattern Image Note
TS28: trigeminal nerve Present UC Davis_1866914

Specimen UC Davis_1866915: postnatal adult; Krit1tm1.1(KOMP)Vlcg/Krit1+ (more )
Structure Level Pattern Image Note
TS28: trigeminal nerve Present UC Davis_1866915

Specimen UC Davis_1866916: postnatal adult; Krit1tm1.1(KOMP)Vlcg/Krit1+ (more )
Structure Level Pattern Image Note
TS28: ovary Present UC Davis_1866916

Specimen UC Davis_1866917: postnatal adult; Krit1tm1.1(KOMP)Vlcg/Krit1+ (more )
Structure Level Pattern Image Note
TS28: ovary Present UC Davis_1866917

Specimen UC Davis_1866918: postnatal adult; Krit1tm1.1(KOMP)Vlcg/Krit1+ (more )
Structure Level Pattern Image Note
TS28: ovary Present UC Davis_1866918

Specimen UC Davis_1866919: postnatal adult; Krit1tm1.1(KOMP)Vlcg/Krit1+ (more )
Structure Level Pattern Image Note
TS28: ovary Present UC Davis_1866919

Specimen UC Davis_1866920: postnatal adult; Krit1tm1.1(KOMP)Vlcg/Krit1+ (more )
Structure Level Pattern Image Note
TS28: oviduct Present UC Davis_1866920

Specimen UC Davis_1866921: postnatal adult; Krit1tm1.1(KOMP)Vlcg/Krit1+ (more )
Structure Level Pattern Image Note
TS28: uterus Present UC Davis_1866921

Specimen UC Davis_1866922: postnatal adult; Krit1tm1.1(KOMP)Vlcg/Krit1+ (more )
Structure Level Pattern Image Note
TS28: uterus Present UC Davis_1866922

Specimen UC Davis_1866923: postnatal adult; Krit1tm1.1(KOMP)Vlcg/Krit1+ (more )
Structure Level Pattern Image Note
TS28: bladder Present UC Davis_1866923

Specimen UC Davis_1866924: postnatal adult; Krit1tm1.1(KOMP)Vlcg/Krit1+ (more )
Structure Level Pattern Image Note
TS28: bladder Present UC Davis_1866924

Specimen UC Davis_1866925: postnatal adult; Krit1tm1.1(KOMP)Vlcg/Krit1+ (more )
Structure Level Pattern Image Note
TS28: blood Present UC Davis_1866925

Specimen UC Davis_1866926: postnatal adult; Krit1tm1.1(KOMP)Vlcg/Krit1+ (more )
Structure Level Pattern Image Note
TS28: bone marrow Present UC Davis_1866926

Specimen UC Davis_1866927: postnatal adult; Krit1tm1.1(KOMP)Vlcg/Krit1+ (more )
Structure Level Pattern Image Note
TS28: bone marrow Present UC Davis_1866927

Specimen UC Davis_1866928: postnatal adult; Krit1tm1.1(KOMP)Vlcg/Krit1+ (more )
Structure Level Pattern Image Note
TS28: mammary gland Present UC Davis_1866928

Specimen UC Davis_1866929: postnatal adult; Krit1tm1.1(KOMP)Vlcg/Krit1+ (more )
Structure Level Pattern Image Note
TS28: mammary gland Present UC Davis_1866929

Specimen UC Davis_1866798: postnatal adult; Krit1tm1.1(KOMP)Vlcg/Krit1+ (more )
Structure Level Pattern Image Note
TS28: submandibular gland Present UC Davis_1866798

Specimen UC Davis_1866799: postnatal adult; Krit1tm1.1(KOMP)Vlcg/Krit1+ (more )
Structure Level Pattern Image Note
TS28: sublingual gland Present UC Davis_1866799

Specimen UC Davis_1866800: postnatal adult; Krit1tm1.1(KOMP)Vlcg/Krit1+ (more )
Structure Level Pattern Image Note
TS28: trachea Present UC Davis_1866800

Specimen UC Davis_1866801: postnatal adult; Krit1tm1.1(KOMP)Vlcg/Krit1+ (more )
Structure Level Pattern Image Note
TS28: trachea Present UC Davis_1866801

Specimen UC Davis_1866802: postnatal adult; Krit1tm1.1(KOMP)Vlcg/Krit1+ (more )
Structure Level Pattern Image Note
TS28: esophagus Present UC Davis_1866802

Specimen UC Davis_1866803: postnatal adult; Krit1tm1.1(KOMP)Vlcg/Krit1+ (more )
Structure Level Pattern Image Note
TS28: esophagus Present UC Davis_1866803

Specimen UC Davis_1866806: postnatal adult; Krit1tm1.1(KOMP)Vlcg/Krit1+ (more )
Structure Level Pattern Image Note
TS28: aorta Present UC Davis_1866806

Specimen UC Davis_1866807: postnatal adult; Krit1tm1.1(KOMP)Vlcg/Krit1+ (more )
Structure Level Pattern Image Note
TS28: lung Present UC Davis_1866807

Specimen UC Davis_1866808: postnatal adult; Krit1tm1.1(KOMP)Vlcg/Krit1+ (more )
Structure Level Pattern Image Note
TS28: thymus Present UC Davis_1866808

Specimen UC Davis_1866809: postnatal adult; Krit1tm1.1(KOMP)Vlcg/Krit1+ (more )
Structure Level Pattern Image Note
TS28: thymus Present UC Davis_1866809

Specimen UC Davis_1866812: postnatal adult; Krit1tm1.1(KOMP)Vlcg/Krit1+ (more )
Structure Level Pattern Image Note
TS28: stomach Present UC Davis_1866812

Specimen UC Davis_1866813: postnatal adult; Krit1tm1.1(KOMP)Vlcg/Krit1+ (more )
Structure Level Pattern Image Note
TS28: stomach Present UC Davis_1866813

Specimen UC Davis_1866814: postnatal adult; Krit1tm1.1(KOMP)Vlcg/Krit1+ (more )
Structure Level Pattern Image Note
TS28: stomach Present UC Davis_1866814

Specimen UC Davis_1866815: postnatal adult; Krit1tm1.1(KOMP)Vlcg/Krit1+ (more )
Structure Level Pattern Image Note
TS28: duodenum Present UC Davis_1866815

Specimen UC Davis_1866816: postnatal adult; Krit1tm1.1(KOMP)Vlcg/Krit1+ (more )
Structure Level Pattern Image Note
TS28: ileum Present UC Davis_1866816

Specimen UC Davis_1866817: postnatal adult; Krit1tm1.1(KOMP)Vlcg/Krit1+ (more )
Structure Level Pattern Image Note
TS28: ileum Present UC Davis_1866817

Specimen UC Davis_1866818: postnatal adult; Krit1tm1.1(KOMP)Vlcg/Krit1+ (more )
Structure Level Pattern Image Note
TS28: colon Present UC Davis_1866818

Specimen UC Davis_1866819: postnatal adult; Krit1tm1.1(KOMP)Vlcg/Krit1+ (more )
Structure Level Pattern Image Note
TS28: colon Present UC Davis_1866819

Specimen UC Davis_1866820: postnatal adult; Krit1tm1.1(KOMP)Vlcg/Krit1+ (more )
Structure Level Pattern Image Note
TS28: cecum Present UC Davis_1866820

Specimen UC Davis_1866821: postnatal adult; Krit1tm1.1(KOMP)Vlcg/Krit1+ (more )
Structure Level Pattern Image Note
TS28: spleen Present UC Davis_1866821

Specimen UC Davis_1866822: postnatal adult; Krit1tm1.1(KOMP)Vlcg/Krit1+ (more )
Structure Level Pattern Image Note
TS28: spleen Present UC Davis_1866822

Specimen UC Davis_1866823: postnatal adult; Krit1tm1.1(KOMP)Vlcg/Krit1+ (more )
Structure Level Pattern Image Note
TS28: metanephros Present UC Davis_1866823 kidney

Specimen UC Davis_1866824: postnatal adult; Krit1tm1.1(KOMP)Vlcg/Krit1+ (more )
Structure Level Pattern Image Note
TS28: metanephros Present UC Davis_1866824 kidney

Specimen UC Davis_1866825: postnatal adult; Krit1tm1.1(KOMP)Vlcg/Krit1+ (more )
Structure Level Pattern Image Note
TS28: metanephros Present UC Davis_1866825 kidney

Specimen UC Davis_1866826: postnatal adult; Krit1tm1.1(KOMP)Vlcg/Krit1+ (more )
Structure Level Pattern Image Note
TS28: tongue Present UC Davis_1866826

Specimen UC Davis_1866827: postnatal adult; Krit1tm1.1(KOMP)Vlcg/Krit1+ (more )
Structure Level Pattern Image Note
TS28: tongue Present UC Davis_1866827

Specimen UC Davis_1866828: postnatal adult; Krit1tm1.1(KOMP)Vlcg/Krit1+ (more )
Structure Level Pattern Image Note
TS28: adrenal gland Present UC Davis_1866828

Specimen UC Davis_1866829: postnatal adult; Krit1tm1.1(KOMP)Vlcg/Krit1+ (more )
Structure Level Pattern Image Note
TS28: adrenal gland Present UC Davis_1866829

Specimen UC Davis_1866830: postnatal adult; Krit1tm1.1(KOMP)Vlcg/Krit1+ (more )
Structure Level Pattern Image Note
TS28: adrenal gland Present UC Davis_1866830

Specimen UC Davis_1866831: postnatal adult; Krit1tm1.1(KOMP)Vlcg/Krit1+ (more )
Structure Level Pattern Image Note
TS28: pituitary gland Present UC Davis_1866831

Specimen UC Davis_1866832: postnatal adult; Krit1tm1.1(KOMP)Vlcg/Krit1+ (more )
Structure Level Pattern Image Note
TS28: pituitary gland Present UC Davis_1866832

Specimen UC Davis_1866833: postnatal adult; Krit1tm1.1(KOMP)Vlcg/Krit1+ (more )
Structure Level Pattern Image Note
TS28: pituitary gland Present UC Davis_1866833

Specimen UC Davis_1866834: postnatal adult; Krit1tm1.1(KOMP)Vlcg/Krit1+ (more )
Structure Level Pattern Image Note
TS28: spinal cord Present UC Davis_1866834

Specimen UC Davis_1866835: postnatal adult; Krit1tm1.1(KOMP)Vlcg/Krit1+ (more )
Structure Level Pattern Image Note
TS28: eye Present UC Davis_1866835

Specimen UC Davis_1866836: postnatal adult; Krit1tm1.1(KOMP)Vlcg/Krit1+ (more )
Structure Level Pattern Image Note
TS28: eye Present UC Davis_1866836

Specimen UC Davis_1866837: postnatal adult; Krit1tm1.1(KOMP)Vlcg/Krit1+ (more )
Structure Level Pattern Image Note
TS28: eye Present UC Davis_1866837

Specimen UC Davis_1866838: postnatal adult; Krit1tm1.1(KOMP)Vlcg/Krit1+ (more )
Structure Level Pattern Image Note
TS28: olfactory lobe Present UC Davis_1866838

Specimen UC Davis_1866841: postnatal adult; Krit1tm1.1(KOMP)Vlcg/Krit1+ (more )
Structure Level Pattern Image Note
TS28: midbrain Present UC Davis_1866841

Specimen UC Davis_1866843: postnatal adult; Krit1tm1.1(KOMP)Vlcg/Krit1+ (more )
Structure Level Pattern Image Note
TS28: cerebellum Present UC Davis_1866843

Specimen UC Davis_1866844: postnatal adult; Krit1tm1.1(KOMP)Vlcg/Krit1+ (more )
Structure Level Pattern Image Note
TS28: trigeminal nerve Present UC Davis_1866844

Specimen UC Davis_1866845: postnatal adult; Krit1tm1.1(KOMP)Vlcg/Krit1+ (more )
Structure Level Pattern Image Note
TS28: trigeminal nerve Present UC Davis_1866845

Specimen UC Davis_1866846: postnatal adult; Krit1tm1.1(KOMP)Vlcg/Krit1+ (more )
Structure Level Pattern Image Note
TS28: bladder Present UC Davis_1866846

Specimen UC Davis_1866847: postnatal adult; Krit1tm1.1(KOMP)Vlcg/Krit1+ (more )
Structure Level Pattern Image Note
TS28: bladder Present UC Davis_1866847

Specimen UC Davis_1866848: postnatal adult; Krit1tm1.1(KOMP)Vlcg/Krit1+ (more )
Structure Level Pattern Image Note
TS28: testis Present UC Davis_1866848

Specimen UC Davis_1866849: postnatal adult; Krit1tm1.1(KOMP)Vlcg/Krit1+ (more )
Structure Level Pattern Image Note
TS28: epididymis Present UC Davis_1866849

Specimen UC Davis_1866850: postnatal adult; Krit1tm1.1(KOMP)Vlcg/Krit1+ (more )
Structure Level Pattern Image Note
TS28: epididymis Present UC Davis_1866850

Specimen UC Davis_1866851: postnatal adult; Krit1tm1.1(KOMP)Vlcg/Krit1+ (more )
Structure Level Pattern Image Note
TS28: prostate gland Present UC Davis_1866851

Specimen UC Davis_1866852: postnatal adult; Krit1tm1.1(KOMP)Vlcg/Krit1+ (more )
Structure Level Pattern Image Note
TS28: penis Present UC Davis_1866852

Specimen UC Davis_1866853: postnatal adult; Krit1tm1.1(KOMP)Vlcg/Krit1+ (more )
Structure Level Pattern Image Note
TS28: penis Present UC Davis_1866853

Specimen UC Davis_1866854: postnatal adult; Krit1tm1.1(KOMP)Vlcg/Krit1+ (more )
Structure Level Pattern Image Note
TS28: ductus deferens Present UC Davis_1866854 vas deferens

Specimen UC Davis_1866855: postnatal adult; Krit1tm1.1(KOMP)Vlcg/Krit1+ (more )
Structure Level Pattern Image Note
TS28: ductus deferens Present UC Davis_1866855 vas deferens

Specimen UC Davis_1866858: postnatal adult; Krit1tm1.1(KOMP)Vlcg/Krit1+ (more )
Structure Level Pattern Image Note
TS28: seminal vesicle Present UC Davis_1866858 vesicular gland


Contributing Projects:
Mouse Genome Database (MGD), Gene Expression Database (GXD), Mouse Models of Human Cancer database (MMHCdb) (formerly Mouse Tumor Biology (MTB)), Gene Ontology (GO)
Citing These Resources
Funding Information
Warranty Disclaimer, Privacy Notice, Licensing, & Copyright
Send questions and comments to User Support.
last database update
12/30/2025
MGI 6.24
The Jackson Laboratory