About   Help   FAQ
Gene Expression Data
Assay Details
Assay
Reference: J:228563 Koscielny G, et al., The International Mouse Phenotyping Consortium Web Portal, a unified point of access for knockout mice and related phenotyping data. Nucleic Acids Res. 2014 Jan;42(Database issue):D802-9
Assay type: In situ reporter (knock in)
MGI Accession ID: MGI:6692282
Gene symbol: Popdc3
Gene name: popeye domain containing 3
Reporter: lacZ
Direct Detection
Results
Specimen UC Davis_1857479: postnatal adult; Popdc3tm1.1(KOMP)Vlcg/Popdc3+ (more )
Structure Level Pattern Image Note
TS28: trachea Present UC Davis_1857479

Specimen UC Davis_1857480: postnatal adult; Popdc3tm1.1(KOMP)Vlcg/Popdc3+ (more )
Structure Level Pattern Image Note
TS28: esophagus Present UC Davis_1857480

Specimen UC Davis_1857481: postnatal adult; Popdc3tm1.1(KOMP)Vlcg/Popdc3+ (more )
Structure Level Pattern Image Note
TS28: esophagus Present UC Davis_1857481

Specimen UC Davis_1857485: postnatal adult; Popdc3tm1.1(KOMP)Vlcg/Popdc3+ (more )
Structure Level Pattern Image Note
TS28: stomach Present UC Davis_1857485

Specimen UC Davis_1857486: postnatal adult; Popdc3tm1.1(KOMP)Vlcg/Popdc3+ (more )
Structure Level Pattern Image Note
TS28: ileum Present UC Davis_1857486

Specimen UC Davis_1857487: postnatal adult; Popdc3tm1.1(KOMP)Vlcg/Popdc3+ (more )
Structure Level Pattern Image Note
TS28: colon Present UC Davis_1857487

Specimen UC Davis_1857488: postnatal adult; Popdc3tm1.1(KOMP)Vlcg/Popdc3+ (more )
Structure Level Pattern Image Note
TS28: colon Present UC Davis_1857488

Specimen UC Davis_1857489: postnatal adult; Popdc3tm1.1(KOMP)Vlcg/Popdc3+ (more )
Structure Level Pattern Image Note
TS28: quadriceps femoris muscle Present UC Davis_1857489

Specimen UC Davis_1857490: postnatal adult; Popdc3tm1.1(KOMP)Vlcg/Popdc3+ (more )
Structure Level Pattern Image Note
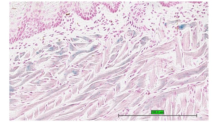
TS28: tongue Present UC Davis_1857490

Specimen UC Davis_1857491: postnatal adult; Popdc3tm1.1(KOMP)Vlcg/Popdc3+ (more )
Structure Level Pattern Image Note
TS28: tongue Present UC Davis_1857491

Specimen UC Davis_1857492: postnatal adult; Popdc3tm1.1(KOMP)Vlcg/Popdc3+ (more )
Structure Level Pattern Image Note
TS28: tongue Present UC Davis_1857492

Specimen UC Davis_1857493: postnatal adult; Popdc3tm1.1(KOMP)Vlcg/Popdc3+ (more )
Structure Level Pattern Image Note
TS28: diaphragm Present UC Davis_1857493

Specimen UC Davis_1857494: postnatal adult; Popdc3tm1.1(KOMP)Vlcg/Popdc3+ (more )
Structure Level Pattern Image Note
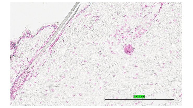
TS28: skin Present UC Davis_1857494

Specimen UC Davis_1857496: postnatal adult; Popdc3tm1.1(KOMP)Vlcg/Popdc3+ (more )
Structure Level Pattern Image Note
TS28: midbrain Present UC Davis_1857496

Specimen UC Davis_1857497: postnatal adult; Popdc3tm1.1(KOMP)Vlcg/Popdc3+ (more )
Structure Level Pattern Image Note
TS28: trigeminal nerve Present UC Davis_1857497

Specimen UC Davis_1857554: postnatal adult; Popdc3tm1.1(KOMP)Vlcg/Popdc3+ (more )
Structure Level Pattern Image Note
TS28: esophagus Present UC Davis_1857554

Specimen UC Davis_1857498: postnatal adult; Popdc3tm1.1(KOMP)Vlcg/Popdc3+ (more )
Structure Level Pattern Image Note
TS28: esophagus Present UC Davis_1857498

Specimen UC Davis_1857499: postnatal adult; Popdc3tm1.1(KOMP)Vlcg/Popdc3+ (more )
Structure Level Pattern Image Note
TS28: esophagus Present UC Davis_1857499

Specimen UC Davis_1857500: postnatal adult; Popdc3tm1.1(KOMP)Vlcg/Popdc3+ (more )
Structure Level Pattern Image Note
TS28: esophagus Present UC Davis_1857500

Specimen UC Davis_1857501: postnatal adult; Popdc3tm1.1(KOMP)Vlcg/Popdc3+ (more )
Structure Level Pattern Image Note
TS28: esophagus Present UC Davis_1857501

Specimen UC Davis_1857502: postnatal adult; Popdc3tm1.1(KOMP)Vlcg/Popdc3+ (more )
Structure Level Pattern Image Note
TS28: esophagus Present UC Davis_1857502

Specimen UC Davis_1857503: postnatal adult; Popdc3tm1.1(KOMP)Vlcg/Popdc3+ (more )
Structure Level Pattern Image Note
TS28: esophagus Present UC Davis_1857503

Specimen UC Davis_1857509: postnatal adult; Popdc3tm1.1(KOMP)Vlcg/Popdc3+ (more )
Structure Level Pattern Image Note
TS28: stomach Present UC Davis_1857509

Specimen UC Davis_1857510: postnatal adult; Popdc3tm1.1(KOMP)Vlcg/Popdc3+ (more )
Structure Level Pattern Image Note
TS28: stomach Present UC Davis_1857510

Specimen UC Davis_1857511: postnatal adult; Popdc3tm1.1(KOMP)Vlcg/Popdc3+ (more )
Structure Level Pattern Image Note
TS28: stomach Present UC Davis_1857511

Specimen UC Davis_1857512: postnatal adult; Popdc3tm1.1(KOMP)Vlcg/Popdc3+ (more )
Structure Level Pattern Image Note
TS28: stomach Present UC Davis_1857512

Specimen UC Davis_1857513: postnatal adult; Popdc3tm1.1(KOMP)Vlcg/Popdc3+ (more )
Structure Level Pattern Image Note
TS28: ileum Present UC Davis_1857513

Specimen UC Davis_1857514: postnatal adult; Popdc3tm1.1(KOMP)Vlcg/Popdc3+ (more )
Structure Level Pattern Image Note
TS28: ileum Present UC Davis_1857514

Specimen UC Davis_1857515: postnatal adult; Popdc3tm1.1(KOMP)Vlcg/Popdc3+ (more )
Structure Level Pattern Image Note
TS28: quadriceps femoris muscle Present UC Davis_1857515

Specimen UC Davis_1857516: postnatal adult; Popdc3tm1.1(KOMP)Vlcg/Popdc3+ (more )
Structure Level Pattern Image Note
TS28: quadriceps femoris muscle Present UC Davis_1857516

Specimen UC Davis_1857517: postnatal adult; Popdc3tm1.1(KOMP)Vlcg/Popdc3+ (more )
Structure Level Pattern Image Note
TS28: tongue Present UC Davis_1857517

Specimen UC Davis_1857518: postnatal adult; Popdc3tm1.1(KOMP)Vlcg/Popdc3+ (more )
Structure Level Pattern Image Note
TS28: tongue Present UC Davis_1857518

Specimen UC Davis_1857519: postnatal adult; Popdc3tm1.1(KOMP)Vlcg/Popdc3+ (more )
Structure Level Pattern Image Note
TS28: tongue Present UC Davis_1857519

Specimen UC Davis_1857520: postnatal adult; Popdc3tm1.1(KOMP)Vlcg/Popdc3+ (more )
Structure Level Pattern Image Note
TS28: diaphragm Present UC Davis_1857520

Specimen UC Davis_1857521: postnatal adult; Popdc3tm1.1(KOMP)Vlcg/Popdc3+ (more )
Structure Level Pattern Image Note
TS28: skin Present UC Davis_1857521

Specimen UC Davis_1857522: postnatal adult; Popdc3tm1.1(KOMP)Vlcg/Popdc3+ (more )
Structure Level Pattern Image Note
TS28: skin Present UC Davis_1857522

Specimen UC Davis_1857523: postnatal adult; Popdc3tm1.1(KOMP)Vlcg/Popdc3+ (more )
Structure Level Pattern Image Note
TS28: skin Present UC Davis_1857523

Specimen UC Davis_1857525: postnatal adult; Popdc3tm1.1(KOMP)Vlcg/Popdc3+ (more )
Structure Level Pattern Image Note
TS28: midbrain Present UC Davis_1857525

Specimen UC Davis_1857527: postnatal adult; Popdc3tm1.1(KOMP)Vlcg/Popdc3+ (more )
Structure Level Pattern Image Note
TS28: trigeminal nerve Present UC Davis_1857527

Specimen UC Davis_1857528: postnatal adult; Popdc3tm1.1(KOMP)Vlcg/Popdc3+ (more )
Structure Level Pattern Image Note
TS28: trigeminal nerve Present UC Davis_1857528

Specimen UC Davis_1857529: postnatal adult; Popdc3tm1.1(KOMP)Vlcg/Popdc3+ (more )
Structure Level Pattern Image Note
TS28: epididymis Present UC Davis_1857529

Specimen UC Davis_1857530: postnatal adult; Popdc3tm1.1(KOMP)Vlcg/Popdc3+ (more )
Structure Level Pattern Image Note
TS28: epididymis Present UC Davis_1857530

Specimen UC Davis_1857531: postnatal adult; Popdc3tm1.1(KOMP)Vlcg/Popdc3+ (more )
Structure Level Pattern Image Note
TS28: epididymis Present UC Davis_1857531

Specimen UC Davis_1857532: postnatal adult; Popdc3tm1.1(KOMP)Vlcg/Popdc3+ (more )
Structure Level Pattern Image Note
TS28: prostate gland Absent UC Davis_1857532

Specimen UC Davis_1857533: postnatal adult; Popdc3tm1.1(KOMP)Vlcg/Popdc3+ (more )
Structure Level Pattern Image Note
TS28: prostate gland Absent UC Davis_1857533

Specimen UC Davis_1857534: postnatal adult; Popdc3tm1.1(KOMP)Vlcg/Popdc3+ (more )
Structure Level Pattern Image Note
TS28: prostate gland Absent UC Davis_1857534

Specimen UC Davis_1857535: postnatal adult; Popdc3tm1.1(KOMP)Vlcg/Popdc3+ (more )
Structure Level Pattern Image Note
TS28: ductus deferens Present UC Davis_1857535 vas deferens

Specimen UC Davis_1857536: postnatal adult; Popdc3tm1.1(KOMP)Vlcg/Popdc3+ (more )
Structure Level Pattern Image Note
TS28: ductus deferens Present UC Davis_1857536 vas deferens

Specimen UC Davis_1857537: postnatal adult; Popdc3tm1.1(KOMP)Vlcg/Popdc3+ (more )
Structure Level Pattern Image Note
TS28: tongue Present UC Davis_1857537

Specimen UC Davis_1857538: postnatal adult; Popdc3tm1.1(KOMP)Vlcg/Popdc3+ (more )
Structure Level Pattern Image Note
TS28: spleen Present UC Davis_1857538

Specimen UC Davis_1857539: postnatal adult; Popdc3tm1.1(KOMP)Vlcg/Popdc3+ (more )
Structure Level Pattern Image Note
TS28: quadriceps femoris muscle Present UC Davis_1857539

Specimen UC Davis_1857541: postnatal adult; Popdc3tm1.1(KOMP)Vlcg/Popdc3+ (more )
Structure Level Pattern Image Note
TS28: midbrain Present UC Davis_1857541

Specimen UC Davis_1857543: postnatal adult; Popdc3tm1.1(KOMP)Vlcg/Popdc3+ (more )
Structure Level Pattern Image Note
TS28: cerebellum Present UC Davis_1857543

Specimen UC Davis_1857544: postnatal adult; Popdc3tm1.1(KOMP)Vlcg/Popdc3+ (more )
Structure Level Pattern Image Note
TS28: brain Present UC Davis_1857544

Specimen UC Davis_1857546: postnatal adult; Popdc3tm1.1(KOMP)Vlcg/Popdc3+ (more )
Structure Level Pattern Image Note
TS28: diaphragm Present UC Davis_1857546

Specimen UC Davis_1857547: postnatal adult; Popdc3tm1.1(KOMP)Vlcg/Popdc3+ (more )
Structure Level Pattern Image Note
TS28: skin Present UC Davis_1857547

Specimen UC Davis_1857548: postnatal adult; Popdc3tm1.1(KOMP)Vlcg/Popdc3+ (more )
Structure Level Pattern Image Note
TS28: skin Present UC Davis_1857548

Specimen UC Davis_1857549: postnatal adult; Popdc3tm1.1(KOMP)Vlcg/Popdc3+ (more )
Structure Level Pattern Image Note
TS28: spinal cord Present UC Davis_1857549

Specimen UC Davis_1857551: postnatal adult; Popdc3tm1.1(KOMP)Vlcg/Popdc3+ (more )
Structure Level Pattern Image Note
TS28: thoracic segment skeleton Present UC Davis_1857551 chest bone


Contributing Projects:
Mouse Genome Database (MGD), Gene Expression Database (GXD), Mouse Models of Human Cancer database (MMHCdb) (formerly Mouse Tumor Biology (MTB)), Gene Ontology (GO)
Citing These Resources
Funding Information
Warranty Disclaimer, Privacy Notice, Licensing, & Copyright
Send questions and comments to User Support.
last database update
01/20/2026
MGI 6.24
The Jackson Laboratory