About   Help   FAQ
Gene Expression Data
Assay Details
Assay
Reference: J:228563 Koscielny G, et al., The International Mouse Phenotyping Consortium Web Portal, a unified point of access for knockout mice and related phenotyping data. Nucleic Acids Res. 2014 Jan;42(Database issue):D802-9
Assay type: In situ reporter (knock in)
MGI Accession ID: MGI:6692271
Gene symbol: Plin4
Gene name: perilipin 4
Reporter: lacZ
Direct Detection
Results
Specimen UC Davis_1870959: postnatal adult; Plin4tm1.1(KOMP)Wtsi/Plin4+ (more )
Note: The IMPC refers to this as a tm1b allele; when using standard nomenclature conventions, however, it is a tm1.1 allele.
Structure Level Pattern Image Note
TS28: trachea Present UC Davis_1870959

Specimen UC Davis_1870960: postnatal adult; Plin4tm1.1(KOMP)Wtsi/Plin4+ (more )
Note: The IMPC refers to this as a tm1b allele; when using standard nomenclature conventions, however, it is a tm1.1 allele.
Structure Level Pattern Image Note
TS28: trachea Present UC Davis_1870960

Specimen UC Davis_1870961: postnatal adult; Plin4tm1.1(KOMP)Wtsi/Plin4+ (more )
Note: The IMPC refers to this as a tm1b allele; when using standard nomenclature conventions, however, it is a tm1.1 allele.
Structure Level Pattern Image Note
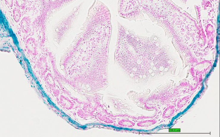
TS28: esophagus Present UC Davis_1870961

Specimen UC Davis_1870962: postnatal adult; Plin4tm1.1(KOMP)Wtsi/Plin4+ (more )
Note: The IMPC refers to this as a tm1b allele; when using standard nomenclature conventions, however, it is a tm1.1 allele.
Structure Level Pattern Image Note
TS28: esophagus Present UC Davis_1870962

Specimen UC Davis_1870963: postnatal adult; Plin4tm1.1(KOMP)Wtsi/Plin4+ (more )
Note: The IMPC refers to this as a tm1b allele; when using standard nomenclature conventions, however, it is a tm1.1 allele.
Structure Level Pattern Image Note
TS28: thyroid gland Present UC Davis_1870963

Specimen UC Davis_1870964: postnatal adult; Plin4tm1.1(KOMP)Wtsi/Plin4+ (more )
Note: The IMPC refers to this as a tm1b allele; when using standard nomenclature conventions, however, it is a tm1.1 allele.
Structure Level Pattern Image Note
TS28: thyroid gland Present UC Davis_1870964

Specimen UC Davis_1870965: postnatal adult; Plin4tm1.1(KOMP)Wtsi/Plin4+ (more )
Note: The IMPC refers to this as a tm1b allele; when using standard nomenclature conventions, however, it is a tm1.1 allele.
Structure Level Pattern Image Note
TS28: aorta Present UC Davis_1870965

Specimen UC Davis_1870966: postnatal adult; Plin4tm1.1(KOMP)Wtsi/Plin4+ (more )
Note: The IMPC refers to this as a tm1b allele; when using standard nomenclature conventions, however, it is a tm1.1 allele.
Structure Level Pattern Image Note
TS28: lung Present UC Davis_1870966

Specimen UC Davis_1870967: postnatal adult; Plin4tm1.1(KOMP)Wtsi/Plin4+ (more )
Note: The IMPC refers to this as a tm1b allele; when using standard nomenclature conventions, however, it is a tm1.1 allele.
Structure Level Pattern Image Note
TS28: lung Present UC Davis_1870967

Specimen UC Davis_1870973: postnatal adult; Plin4tm1.1(KOMP)Wtsi/Plin4+ (more )
Note: The IMPC refers to this as a tm1b allele; when using standard nomenclature conventions, however, it is a tm1.1 allele.
Structure Level Pattern Image Note
TS28: ileum Present UC Davis_1870973

Specimen UC Davis_1870974: postnatal adult; Plin4tm1.1(KOMP)Wtsi/Plin4+ (more )
Note: The IMPC refers to this as a tm1b allele; when using standard nomenclature conventions, however, it is a tm1.1 allele.
Structure Level Pattern Image Note
TS28: colon Present UC Davis_1870974

Specimen UC Davis_1870975: postnatal adult; Plin4tm1.1(KOMP)Wtsi/Plin4+ (more )
Note: The IMPC refers to this as a tm1b allele; when using standard nomenclature conventions, however, it is a tm1.1 allele.
Structure Level Pattern Image Note
TS28: colon Present UC Davis_1870975

Specimen UC Davis_1870976: postnatal adult; Plin4tm1.1(KOMP)Wtsi/Plin4+ (more )
Note: The IMPC refers to this as a tm1b allele; when using standard nomenclature conventions, however, it is a tm1.1 allele.
Structure Level Pattern Image Note
TS28: cecum Present UC Davis_1870976

Specimen UC Davis_1870977: postnatal adult; Plin4tm1.1(KOMP)Wtsi/Plin4+ (more )
Note: The IMPC refers to this as a tm1b allele; when using standard nomenclature conventions, however, it is a tm1.1 allele.
Structure Level Pattern Image Note
TS28: spleen Present UC Davis_1870977

Specimen UC Davis_1870978: postnatal adult; Plin4tm1.1(KOMP)Wtsi/Plin4+ (more )
Note: The IMPC refers to this as a tm1b allele; when using standard nomenclature conventions, however, it is a tm1.1 allele.
Structure Level Pattern Image Note
TS28: spleen Present UC Davis_1870978

Specimen UC Davis_1870979: postnatal adult; Plin4tm1.1(KOMP)Wtsi/Plin4+ (more )
Note: The IMPC refers to this as a tm1b allele; when using standard nomenclature conventions, however, it is a tm1.1 allele.
Structure Level Pattern Image Note
TS28: pancreas Present UC Davis_1870979

Specimen UC Davis_1870980: postnatal adult; Plin4tm1.1(KOMP)Wtsi/Plin4+ (more )
Note: The IMPC refers to this as a tm1b allele; when using standard nomenclature conventions, however, it is a tm1.1 allele.
Structure Level Pattern Image Note
TS28: pancreas Present UC Davis_1870980

Specimen UC Davis_1870981: postnatal adult; Plin4tm1.1(KOMP)Wtsi/Plin4+ (more )
Note: The IMPC refers to this as a tm1b allele; when using standard nomenclature conventions, however, it is a tm1.1 allele.
Structure Level Pattern Image Note
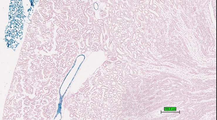
TS28: metanephros Present UC Davis_1870981 kidney

Specimen UC Davis_1870982: postnatal adult; Plin4tm1.1(KOMP)Wtsi/Plin4+ (more )
Note: The IMPC refers to this as a tm1b allele; when using standard nomenclature conventions, however, it is a tm1.1 allele.
Structure Level Pattern Image Note
TS28: metanephros Present UC Davis_1870982 kidney

Specimen UC Davis_1870983: postnatal adult; Plin4tm1.1(KOMP)Wtsi/Plin4+ (more )
Note: The IMPC refers to this as a tm1b allele; when using standard nomenclature conventions, however, it is a tm1.1 allele.
Structure Level Pattern Image Note
TS28: metanephros Present UC Davis_1870983 kidney

Specimen UC Davis_1870984: postnatal adult; Plin4tm1.1(KOMP)Wtsi/Plin4+ (more )
Note: The IMPC refers to this as a tm1b allele; when using standard nomenclature conventions, however, it is a tm1.1 allele.
Structure Level Pattern Image Note
TS28: quadriceps femoris muscle Present UC Davis_1870984

Specimen UC Davis_1870985: postnatal adult; Plin4tm1.1(KOMP)Wtsi/Plin4+ (more )
Note: The IMPC refers to this as a tm1b allele; when using standard nomenclature conventions, however, it is a tm1.1 allele.
Structure Level Pattern Image Note
TS28: quadriceps femoris muscle Present UC Davis_1870985

Specimen UC Davis_1870986: postnatal adult; Plin4tm1.1(KOMP)Wtsi/Plin4+ (more )
Note: The IMPC refers to this as a tm1b allele; when using standard nomenclature conventions, however, it is a tm1.1 allele.
Structure Level Pattern Image Note
TS28: sciatic nerve Present UC Davis_1870986

Specimen UC Davis_1870987: postnatal adult; Plin4tm1.1(KOMP)Wtsi/Plin4+ (more )
Note: The IMPC refers to this as a tm1b allele; when using standard nomenclature conventions, however, it is a tm1.1 allele.
Structure Level Pattern Image Note
TS28: sciatic nerve Present UC Davis_1870987

Specimen UC Davis_1870988: postnatal adult; Plin4tm1.1(KOMP)Wtsi/Plin4+ (more )
Note: The IMPC refers to this as a tm1b allele; when using standard nomenclature conventions, however, it is a tm1.1 allele.
Structure Level Pattern Image Note
TS28: tongue Present UC Davis_1870988

Specimen UC Davis_1870989: postnatal adult; Plin4tm1.1(KOMP)Wtsi/Plin4+ (more )
Note: The IMPC refers to this as a tm1b allele; when using standard nomenclature conventions, however, it is a tm1.1 allele.
Structure Level Pattern Image Note
TS28: diaphragm Present UC Davis_1870989

Specimen UC Davis_1870992: postnatal adult; Plin4tm1.1(KOMP)Wtsi/Plin4+ (more )
Note: The IMPC refers to this as a tm1b allele; when using standard nomenclature conventions, however, it is a tm1.1 allele.
Structure Level Pattern Image Note
TS28: gonadal fat pad Present UC Davis_1870992

Specimen UC Davis_1870993: postnatal adult; Plin4tm1.1(KOMP)Wtsi/Plin4+ (more )
Note: The IMPC refers to this as a tm1b allele; when using standard nomenclature conventions, however, it is a tm1.1 allele.
Structure Level Pattern Image Note
TS28: gonadal fat pad Present UC Davis_1870993

Specimen UC Davis_1870994: postnatal adult; Plin4tm1.1(KOMP)Wtsi/Plin4+ (more )
Note: The IMPC refers to this as a tm1b allele; when using standard nomenclature conventions, however, it is a tm1.1 allele.
Structure Level Pattern Image Note
TS28: gonadal fat pad Present UC Davis_1870994

Specimen UC Davis_1870995: postnatal adult; Plin4tm1.1(KOMP)Wtsi/Plin4+ (more )
Note: The IMPC refers to this as a tm1b allele; when using standard nomenclature conventions, however, it is a tm1.1 allele.
Structure Level Pattern Image Note
TS28: skin Present UC Davis_1870995

Specimen UC Davis_1870996: postnatal adult; Plin4tm1.1(KOMP)Wtsi/Plin4+ (more )
Note: The IMPC refers to this as a tm1b allele; when using standard nomenclature conventions, however, it is a tm1.1 allele.
Structure Level Pattern Image Note
TS28: skin Present UC Davis_1870996

Specimen UC Davis_1870997: postnatal adult; Plin4tm1.1(KOMP)Wtsi/Plin4+ (more )
Note: The IMPC refers to this as a tm1b allele; when using standard nomenclature conventions, however, it is a tm1.1 allele.
Structure Level Pattern Image Note
TS28: brown fat Absent UC Davis_1870997

Specimen UC Davis_1870998: postnatal adult; Plin4tm1.1(KOMP)Wtsi/Plin4+ (more )
Note: The IMPC refers to this as a tm1b allele; when using standard nomenclature conventions, however, it is a tm1.1 allele.
Structure Level Pattern Image Note
TS28: brown fat Absent UC Davis_1870998

Specimen UC Davis_1871001: postnatal adult; Plin4tm1.1(KOMP)Wtsi/Plin4+ (more )
Note: The IMPC refers to this as a tm1b allele; when using standard nomenclature conventions, however, it is a tm1.1 allele.
Structure Level Pattern Image Note
TS28: midbrain Present UC Davis_1871001

Specimen UC Davis_1871003: postnatal adult; Plin4tm1.1(KOMP)Wtsi/Plin4+ (more )
Note: The IMPC refers to this as a tm1b allele; when using standard nomenclature conventions, however, it is a tm1.1 allele.
Structure Level Pattern Image Note
TS28: cerebellum Present UC Davis_1871003

Specimen UC Davis_1871004: postnatal adult; Plin4tm1.1(KOMP)Wtsi/Plin4+ (more )
Note: The IMPC refers to this as a tm1b allele; when using standard nomenclature conventions, however, it is a tm1.1 allele.
Structure Level Pattern Image Note
TS28: ovary Present UC Davis_1871004

Specimen UC Davis_1871005: postnatal adult; Plin4tm1.1(KOMP)Wtsi/Plin4+ (more )
Note: The IMPC refers to this as a tm1b allele; when using standard nomenclature conventions, however, it is a tm1.1 allele.
Structure Level Pattern Image Note
TS28: ovary Present UC Davis_1871005

Specimen UC Davis_1871006: postnatal adult; Plin4tm1.1(KOMP)Wtsi/Plin4+ (more )
Note: The IMPC refers to this as a tm1b allele; when using standard nomenclature conventions, however, it is a tm1.1 allele.
Structure Level Pattern Image Note
TS28: oviduct Present UC Davis_1871006

Specimen UC Davis_1871007: postnatal adult; Plin4tm1.1(KOMP)Wtsi/Plin4+ (more )
Note: The IMPC refers to this as a tm1b allele; when using standard nomenclature conventions, however, it is a tm1.1 allele.
Structure Level Pattern Image Note
TS28: oviduct Present UC Davis_1871007

Specimen UC Davis_1871008: postnatal adult; Plin4tm1.1(KOMP)Wtsi/Plin4+ (more )
Note: The IMPC refers to this as a tm1b allele; when using standard nomenclature conventions, however, it is a tm1.1 allele.
Structure Level Pattern Image Note
TS28: uterus Present UC Davis_1871008

Specimen UC Davis_1871009: postnatal adult; Plin4tm1.1(KOMP)Wtsi/Plin4+ (more )
Note: The IMPC refers to this as a tm1b allele; when using standard nomenclature conventions, however, it is a tm1.1 allele.
Structure Level Pattern Image Note
TS28: uterus Present UC Davis_1871009

Specimen UC Davis_1871010: postnatal adult; Plin4tm1.1(KOMP)Wtsi/Plin4+ (more )
Note: The IMPC refers to this as a tm1b allele; when using standard nomenclature conventions, however, it is a tm1.1 allele.
Structure Level Pattern Image Note
TS28: bladder Present UC Davis_1871010

Specimen UC Davis_1871011: postnatal adult; Plin4tm1.1(KOMP)Wtsi/Plin4+ (more )
Note: The IMPC refers to this as a tm1b allele; when using standard nomenclature conventions, however, it is a tm1.1 allele.
Structure Level Pattern Image Note
TS28: bladder Present UC Davis_1871011

Specimen UC Davis_1871014: postnatal adult; Plin4tm1.1(KOMP)Wtsi/Plin4+ (more )
Note: The IMPC refers to this as a tm1b allele; when using standard nomenclature conventions, however, it is a tm1.1 allele.
Structure Level Pattern Image Note
TS28: submandibular gland Present UC Davis_1871014

Specimen UC Davis_1871015: postnatal adult; Plin4tm1.1(KOMP)Wtsi/Plin4+ (more )
Note: The IMPC refers to this as a tm1b allele; when using standard nomenclature conventions, however, it is a tm1.1 allele.
Structure Level Pattern Image Note
TS28: parotid gland Present UC Davis_1871015

Specimen UC Davis_1871016: postnatal adult; Plin4tm1.1(KOMP)Wtsi/Plin4+ (more )
Note: The IMPC refers to this as a tm1b allele; when using standard nomenclature conventions, however, it is a tm1.1 allele.
Structure Level Pattern Image Note
TS28: trachea Present UC Davis_1871016

Specimen UC Davis_1871017: postnatal adult; Plin4tm1.1(KOMP)Wtsi/Plin4+ (more )
Note: The IMPC refers to this as a tm1b allele; when using standard nomenclature conventions, however, it is a tm1.1 allele.
Structure Level Pattern Image Note
TS28: aorta Present UC Davis_1871017

Specimen UC Davis_1871018: postnatal adult; Plin4tm1.1(KOMP)Wtsi/Plin4+ (more )
Note: The IMPC refers to this as a tm1b allele; when using standard nomenclature conventions, however, it is a tm1.1 allele.
Structure Level Pattern Image Note
TS28: aorta Present UC Davis_1871018

Specimen UC Davis_1871019: postnatal adult; Plin4tm1.1(KOMP)Wtsi/Plin4+ (more )
Note: The IMPC refers to this as a tm1b allele; when using standard nomenclature conventions, however, it is a tm1.1 allele.
Structure Level Pattern Image Note
TS28: lung Present UC Davis_1871019

Specimen UC Davis_1871022: postnatal adult; Plin4tm1.1(KOMP)Wtsi/Plin4+ (more )
Note: The IMPC refers to this as a tm1b allele; when using standard nomenclature conventions, however, it is a tm1.1 allele.
Structure Level Pattern Image Note
TS28: stomach Present UC Davis_1871022

Specimen UC Davis_1871023: postnatal adult; Plin4tm1.1(KOMP)Wtsi/Plin4+ (more )
Note: The IMPC refers to this as a tm1b allele; when using standard nomenclature conventions, however, it is a tm1.1 allele.
Structure Level Pattern Image Note
TS28: stomach Present UC Davis_1871023

Specimen UC Davis_1871024: postnatal adult; Plin4tm1.1(KOMP)Wtsi/Plin4+ (more )
Note: The IMPC refers to this as a tm1b allele; when using standard nomenclature conventions, however, it is a tm1.1 allele.
Structure Level Pattern Image Note
TS28: duodenum Present UC Davis_1871024

Specimen UC Davis_1871025: postnatal adult; Plin4tm1.1(KOMP)Wtsi/Plin4+ (more )
Note: The IMPC refers to this as a tm1b allele; when using standard nomenclature conventions, however, it is a tm1.1 allele.
Structure Level Pattern Image Note
TS28: jejunum Present UC Davis_1871025

Specimen UC Davis_1871026: postnatal adult; Plin4tm1.1(KOMP)Wtsi/Plin4+ (more )
Note: The IMPC refers to this as a tm1b allele; when using standard nomenclature conventions, however, it is a tm1.1 allele.
Structure Level Pattern Image Note
TS28: ileum Present UC Davis_1871026

Specimen UC Davis_1871027: postnatal adult; Plin4tm1.1(KOMP)Wtsi/Plin4+ (more )
Note: The IMPC refers to this as a tm1b allele; when using standard nomenclature conventions, however, it is a tm1.1 allele.
Structure Level Pattern Image Note
TS28: ileum Present UC Davis_1871027

Specimen UC Davis_1871028: postnatal adult; Plin4tm1.1(KOMP)Wtsi/Plin4+ (more )
Note: The IMPC refers to this as a tm1b allele; when using standard nomenclature conventions, however, it is a tm1.1 allele.
Structure Level Pattern Image Note
TS28: colon Present UC Davis_1871028

Specimen UC Davis_1871029: postnatal adult; Plin4tm1.1(KOMP)Wtsi/Plin4+ (more )
Note: The IMPC refers to this as a tm1b allele; when using standard nomenclature conventions, however, it is a tm1.1 allele.
Structure Level Pattern Image Note
TS28: spleen Present UC Davis_1871029

Specimen UC Davis_1871030: postnatal adult; Plin4tm1.1(KOMP)Wtsi/Plin4+ (more )
Note: The IMPC refers to this as a tm1b allele; when using standard nomenclature conventions, however, it is a tm1.1 allele.
Structure Level Pattern Image Note
TS28: spleen Present UC Davis_1871030

Specimen UC Davis_1871031: postnatal adult; Plin4tm1.1(KOMP)Wtsi/Plin4+ (more )
Note: The IMPC refers to this as a tm1b allele; when using standard nomenclature conventions, however, it is a tm1.1 allele.
Structure Level Pattern Image Note
TS28: pancreas Present UC Davis_1871031

Specimen UC Davis_1871032: postnatal adult; Plin4tm1.1(KOMP)Wtsi/Plin4+ (more )
Note: The IMPC refers to this as a tm1b allele; when using standard nomenclature conventions, however, it is a tm1.1 allele.
Structure Level Pattern Image Note
TS28: pancreas Present UC Davis_1871032

Specimen UC Davis_1871033: postnatal adult; Plin4tm1.1(KOMP)Wtsi/Plin4+ (more )
Note: The IMPC refers to this as a tm1b allele; when using standard nomenclature conventions, however, it is a tm1.1 allele.
Structure Level Pattern Image Note
TS28: metanephros Present UC Davis_1871033 kidney

Specimen UC Davis_1871034: postnatal adult; Plin4tm1.1(KOMP)Wtsi/Plin4+ (more )
Note: The IMPC refers to this as a tm1b allele; when using standard nomenclature conventions, however, it is a tm1.1 allele.
Structure Level Pattern Image Note
TS28: quadriceps femoris muscle Present UC Davis_1871034

Specimen UC Davis_1871035: postnatal adult; Plin4tm1.1(KOMP)Wtsi/Plin4+ (more )
Note: The IMPC refers to this as a tm1b allele; when using standard nomenclature conventions, however, it is a tm1.1 allele.
Structure Level Pattern Image Note
TS28: quadriceps femoris muscle Present UC Davis_1871035

Specimen UC Davis_1871036: postnatal adult; Plin4tm1.1(KOMP)Wtsi/Plin4+ (more )
Note: The IMPC refers to this as a tm1b allele; when using standard nomenclature conventions, however, it is a tm1.1 allele.
Structure Level Pattern Image Note
TS28: tongue Present UC Davis_1871036

Specimen UC Davis_1871037: postnatal adult; Plin4tm1.1(KOMP)Wtsi/Plin4+ (more )
Note: The IMPC refers to this as a tm1b allele; when using standard nomenclature conventions, however, it is a tm1.1 allele.
Structure Level Pattern Image Note
TS28: tongue Present UC Davis_1871037

Specimen UC Davis_1871038: postnatal adult; Plin4tm1.1(KOMP)Wtsi/Plin4+ (more )
Note: The IMPC refers to this as a tm1b allele; when using standard nomenclature conventions, however, it is a tm1.1 allele.
Structure Level Pattern Image Note
TS28: tongue Present UC Davis_1871038

Specimen UC Davis_1871039: postnatal adult; Plin4tm1.1(KOMP)Wtsi/Plin4+ (more )
Note: The IMPC refers to this as a tm1b allele; when using standard nomenclature conventions, however, it is a tm1.1 allele.
Structure Level Pattern Image Note
TS28: diaphragm Present UC Davis_1871039

Specimen UC Davis_1871040: postnatal adult; Plin4tm1.1(KOMP)Wtsi/Plin4+ (more )
Note: The IMPC refers to this as a tm1b allele; when using standard nomenclature conventions, however, it is a tm1.1 allele.
Structure Level Pattern Image Note
TS28: adrenal gland Present UC Davis_1871040

Specimen UC Davis_1871041: postnatal adult; Plin4tm1.1(KOMP)Wtsi/Plin4+ (more )
Note: The IMPC refers to this as a tm1b allele; when using standard nomenclature conventions, however, it is a tm1.1 allele.
Structure Level Pattern Image Note
TS28: spinal cord Present UC Davis_1871041

Specimen UC Davis_1871042: postnatal adult; Plin4tm1.1(KOMP)Wtsi/Plin4+ (more )
Note: The IMPC refers to this as a tm1b allele; when using standard nomenclature conventions, however, it is a tm1.1 allele.
Structure Level Pattern Image Note
TS28: spinal cord Present UC Davis_1871042

Specimen UC Davis_1871043: postnatal adult; Plin4tm1.1(KOMP)Wtsi/Plin4+ (more )
Note: The IMPC refers to this as a tm1b allele; when using standard nomenclature conventions, however, it is a tm1.1 allele.
Structure Level Pattern Image Note
TS28: spinal cord Present UC Davis_1871043

Specimen UC Davis_1871044: postnatal adult; Plin4tm1.1(KOMP)Wtsi/Plin4+ (more )
Note: The IMPC refers to this as a tm1b allele; when using standard nomenclature conventions, however, it is a tm1.1 allele.
Structure Level Pattern Image Note
TS28: Harderian gland Present UC Davis_1871044

Specimen UC Davis_1871045: postnatal adult; Plin4tm1.1(KOMP)Wtsi/Plin4+ (more )
Note: The IMPC refers to this as a tm1b allele; when using standard nomenclature conventions, however, it is a tm1.1 allele.
Structure Level Pattern Image Note
TS28: Harderian gland Present UC Davis_1871045

Specimen UC Davis_1871046: postnatal adult; Plin4tm1.1(KOMP)Wtsi/Plin4+ (more )
Note: The IMPC refers to this as a tm1b allele; when using standard nomenclature conventions, however, it is a tm1.1 allele.
Structure Level Pattern Image Note
TS28: gonadal fat pad Present UC Davis_1871046

Specimen UC Davis_1871047: postnatal adult; Plin4tm1.1(KOMP)Wtsi/Plin4+ (more )
Note: The IMPC refers to this as a tm1b allele; when using standard nomenclature conventions, however, it is a tm1.1 allele.
Structure Level Pattern Image Note
TS28: mesenteric adipose tissue Present UC Davis_1871047

Specimen UC Davis_1871048: postnatal adult; Plin4tm1.1(KOMP)Wtsi/Plin4+ (more )
Note: The IMPC refers to this as a tm1b allele; when using standard nomenclature conventions, however, it is a tm1.1 allele.
Structure Level Pattern Image Note
TS28: skin Present UC Davis_1871048

Specimen UC Davis_1871049: postnatal adult; Plin4tm1.1(KOMP)Wtsi/Plin4+ (more )
Note: The IMPC refers to this as a tm1b allele; when using standard nomenclature conventions, however, it is a tm1.1 allele.
Structure Level Pattern Image Note
TS28: skin Present UC Davis_1871049

Specimen UC Davis_1871050: postnatal adult; Plin4tm1.1(KOMP)Wtsi/Plin4+ (more )
Note: The IMPC refers to this as a tm1b allele; when using standard nomenclature conventions, however, it is a tm1.1 allele.
Structure Level Pattern Image Note
TS28: brown fat Present UC Davis_1871050

Specimen UC Davis_1871051: postnatal adult; Plin4tm1.1(KOMP)Wtsi/Plin4+ (more )
Note: The IMPC refers to this as a tm1b allele; when using standard nomenclature conventions, however, it is a tm1.1 allele.
Structure Level Pattern Image Note
TS28: brown fat Present UC Davis_1871051

Specimen UC Davis_1871052: postnatal adult; Plin4tm1.1(KOMP)Wtsi/Plin4+ (more )
Note: The IMPC refers to this as a tm1b allele; when using standard nomenclature conventions, however, it is a tm1.1 allele.
Structure Level Pattern Image Note
TS28: olfactory lobe Present UC Davis_1871052

Specimen UC Davis_1871055: postnatal adult; Plin4tm1.1(KOMP)Wtsi/Plin4+ (more )
Note: The IMPC refers to this as a tm1b allele; when using standard nomenclature conventions, however, it is a tm1.1 allele.
Structure Level Pattern Image Note
TS28: midbrain Present UC Davis_1871055

Specimen UC Davis_1871056: postnatal adult; Plin4tm1.1(KOMP)Wtsi/Plin4+ (more )
Note: The IMPC refers to this as a tm1b allele; when using standard nomenclature conventions, however, it is a tm1.1 allele.
Structure Level Pattern Image Note
TS28: cerebellum Present UC Davis_1871056

Specimen UC Davis_1871057: postnatal adult; Plin4tm1.1(KOMP)Wtsi/Plin4+ (more )
Note: The IMPC refers to this as a tm1b allele; when using standard nomenclature conventions, however, it is a tm1.1 allele.
Structure Level Pattern Image Note
TS28: bladder Present UC Davis_1871057

Specimen UC Davis_1871058: postnatal adult; Plin4tm1.1(KOMP)Wtsi/Plin4+ (more )
Note: The IMPC refers to this as a tm1b allele; when using standard nomenclature conventions, however, it is a tm1.1 allele.
Structure Level Pattern Image Note
TS28: bladder Present UC Davis_1871058

Specimen UC Davis_1871059: postnatal adult; Plin4tm1.1(KOMP)Wtsi/Plin4+ (more )
Note: The IMPC refers to this as a tm1b allele; when using standard nomenclature conventions, however, it is a tm1.1 allele.
Structure Level Pattern Image Note
TS28: testis Present UC Davis_1871059

Specimen UC Davis_1871060: postnatal adult; Plin4tm1.1(KOMP)Wtsi/Plin4+ (more )
Note: The IMPC refers to this as a tm1b allele; when using standard nomenclature conventions, however, it is a tm1.1 allele.
Structure Level Pattern Image Note
TS28: testis Present UC Davis_1871060

Specimen UC Davis_1871061: postnatal adult; Plin4tm1.1(KOMP)Wtsi/Plin4+ (more )
Note: The IMPC refers to this as a tm1b allele; when using standard nomenclature conventions, however, it is a tm1.1 allele.
Structure Level Pattern Image Note
TS28: epididymis Present UC Davis_1871061

Specimen UC Davis_1871062: postnatal adult; Plin4tm1.1(KOMP)Wtsi/Plin4+ (more )
Note: The IMPC refers to this as a tm1b allele; when using standard nomenclature conventions, however, it is a tm1.1 allele.
Structure Level Pattern Image Note
TS28: epididymis Present UC Davis_1871062

Specimen UC Davis_1871063: postnatal adult; Plin4tm1.1(KOMP)Wtsi/Plin4+ (more )
Note: The IMPC refers to this as a tm1b allele; when using standard nomenclature conventions, however, it is a tm1.1 allele.
Structure Level Pattern Image Note
TS28: epididymis Present UC Davis_1871063

Specimen UC Davis_1871064: postnatal adult; Plin4tm1.1(KOMP)Wtsi/Plin4+ (more )
Note: The IMPC refers to this as a tm1b allele; when using standard nomenclature conventions, however, it is a tm1.1 allele.
Structure Level Pattern Image Note
TS28: penis Present UC Davis_1871064

Specimen UC Davis_1871065: postnatal adult; Plin4tm1.1(KOMP)Wtsi/Plin4+ (more )
Note: The IMPC refers to this as a tm1b allele; when using standard nomenclature conventions, however, it is a tm1.1 allele.
Structure Level Pattern Image Note
TS28: penis Present UC Davis_1871065

Specimen UC Davis_1871066: postnatal adult; Plin4tm1.1(KOMP)Wtsi/Plin4+ (more )
Note: The IMPC refers to this as a tm1b allele; when using standard nomenclature conventions, however, it is a tm1.1 allele.
Structure Level Pattern Image Note
TS28: bone marrow Present UC Davis_1871066

Specimen UC Davis_1871067: postnatal adult; Plin4tm1.1(KOMP)Wtsi/Plin4+ (more )
Note: The IMPC refers to this as a tm1b allele; when using standard nomenclature conventions, however, it is a tm1.1 allele.
Structure Level Pattern Image Note
TS28: ductus deferens Present UC Davis_1871067 vas deferens

Specimen UC Davis_1871070: postnatal adult; Plin4tm1.1(KOMP)Wtsi/Plin4+ (more )
Note: The IMPC refers to this as a tm1b allele; when using standard nomenclature conventions, however, it is a tm1.1 allele.
Structure Level Pattern Image Note
TS28: seminal vesicle Present UC Davis_1871070 vesicular gland

Specimen UC Davis_1871071: postnatal adult; Plin4tm1.1(KOMP)Wtsi/Plin4+ (more )
Note: The IMPC refers to this as a tm1b allele; when using standard nomenclature conventions, however, it is a tm1.1 allele.
Structure Level Pattern Image Note
TS28: seminal vesicle Present UC Davis_1871071 vesicular gland


Contributing Projects:
Mouse Genome Database (MGD), Gene Expression Database (GXD), Mouse Models of Human Cancer database (MMHCdb) (formerly Mouse Tumor Biology (MTB)), Gene Ontology (GO)
Citing These Resources
Funding Information
Warranty Disclaimer, Privacy Notice, Licensing, & Copyright
Send questions and comments to User Support.
last database update
04/14/2026
MGI 6.24
The Jackson Laboratory