About   Help   FAQ
Gene Expression Data
Assay Details
Assay
Reference: J:228563 Koscielny G, et al., The International Mouse Phenotyping Consortium Web Portal, a unified point of access for knockout mice and related phenotyping data. Nucleic Acids Res. 2014 Jan;42(Database issue):D802-9
Assay type: In situ reporter (knock in)
MGI Accession ID: MGI:6692268
Gene symbol: Hacl1
Gene name: 2-hydroxyacyl-CoA lyase 1
Reporter: lacZ
Direct Detection
Results
Specimen UC Davis_1870388: postnatal adult; Hacl1tm1b(KOMP)Wtsi/Hacl1+ (more )
Structure Level Pattern Image Note
TS28: parathyroid gland Present UC Davis_1870388

Specimen UC Davis_1870390: postnatal adult; Hacl1tm1b(KOMP)Wtsi/Hacl1+ (more )
Structure Level Pattern Image Note
TS28: stomach Present UC Davis_1870390

Specimen UC Davis_1870391: postnatal adult; Hacl1tm1b(KOMP)Wtsi/Hacl1+ (more )
Structure Level Pattern Image Note
TS28: ileum Present UC Davis_1870391

Specimen UC Davis_1870392: postnatal adult; Hacl1tm1b(KOMP)Wtsi/Hacl1+ (more )
Structure Level Pattern Image Note
TS28: colon Present UC Davis_1870392

Specimen UC Davis_1870393: postnatal adult; Hacl1tm1b(KOMP)Wtsi/Hacl1+ (more )
Structure Level Pattern Image Note
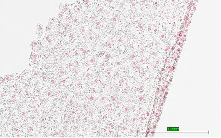
TS28: liver Present UC Davis_1870393

Specimen UC Davis_1870394: postnatal adult; Hacl1tm1b(KOMP)Wtsi/Hacl1+ (more )
Structure Level Pattern Image Note
TS28: metanephros Present UC Davis_1870394 kidney

Specimen UC Davis_1870395: postnatal adult; Hacl1tm1b(KOMP)Wtsi/Hacl1+ (more )
Structure Level Pattern Image Note
TS28: metanephros Present UC Davis_1870395 kidney

Specimen UC Davis_1870396: postnatal adult; Hacl1tm1b(KOMP)Wtsi/Hacl1+ (more )
Structure Level Pattern Image Note
TS28: adrenal gland Present UC Davis_1870396

Specimen UC Davis_1870397: postnatal adult; Hacl1tm1b(KOMP)Wtsi/Hacl1+ (more )
Structure Level Pattern Image Note
TS28: adrenal gland Present UC Davis_1870397

Specimen UC Davis_1870398: postnatal adult; Hacl1tm1b(KOMP)Wtsi/Hacl1+ (more )
Structure Level Pattern Image Note
TS28: spinal cord Present UC Davis_1870398

Specimen UC Davis_1870401: postnatal adult; Hacl1tm1b(KOMP)Wtsi/Hacl1+ (more )
Structure Level Pattern Image Note
TS28: Harderian gland Present UC Davis_1870401

Specimen UC Davis_1870402: postnatal adult; Hacl1tm1b(KOMP)Wtsi/Hacl1+ (more )
Structure Level Pattern Image Note
TS28: skin Present UC Davis_1870402

Specimen UC Davis_1870403: postnatal adult; Hacl1tm1b(KOMP)Wtsi/Hacl1+ (more )
Structure Level Pattern Image Note
TS28: skin Present UC Davis_1870403

Specimen UC Davis_1870404: postnatal adult; Hacl1tm1b(KOMP)Wtsi/Hacl1+ (more )
Structure Level Pattern Image Note
TS28: midbrain Present UC Davis_1870404

Specimen UC Davis_1870405: postnatal adult; Hacl1tm1b(KOMP)Wtsi/Hacl1+ (more )
Structure Level Pattern Image Note
TS28: cerebellum Present UC Davis_1870405

Specimen UC Davis_1870406: postnatal adult; Hacl1tm1b(KOMP)Wtsi/Hacl1+ (more )
Structure Level Pattern Image Note
TS28: oviduct Present UC Davis_1870406

Specimen UC Davis_1870407: postnatal adult; Hacl1tm1b(KOMP)Wtsi/Hacl1+ (more )
Structure Level Pattern Image Note
TS28: oviduct Present UC Davis_1870407

Specimen UC Davis_1870408: postnatal adult; Hacl1tm1b(KOMP)Wtsi/Hacl1+ (more )
Structure Level Pattern Image Note
TS28: bladder Present UC Davis_1870408

Specimen UC Davis_1870409: postnatal adult; Hacl1tm1b(KOMP)Wtsi/Hacl1+ (more )
Structure Level Pattern Image Note
TS28: bladder Present UC Davis_1870409

Specimen UC Davis_1870325: postnatal adult; Hacl1tm1b(KOMP)Wtsi/Hacl1+ (more )
Structure Level Pattern Image Note
TS28: submandibular gland Present UC Davis_1870325

Specimen UC Davis_1870326: postnatal adult; Hacl1tm1b(KOMP)Wtsi/Hacl1+ (more )
Structure Level Pattern Image Note
TS28: sublingual gland Present UC Davis_1870326

Specimen UC Davis_1870327: postnatal adult; Hacl1tm1b(KOMP)Wtsi/Hacl1+ (more )
Structure Level Pattern Image Note
TS28: trachea Present UC Davis_1870327

Specimen UC Davis_1870328: postnatal adult; Hacl1tm1b(KOMP)Wtsi/Hacl1+ (more )
Structure Level Pattern Image Note
TS28: esophagus Present UC Davis_1870328

Specimen UC Davis_1870330: postnatal adult; Hacl1tm1b(KOMP)Wtsi/Hacl1+ (more )
Structure Level Pattern Image Note
TS28: parathyroid gland Present UC Davis_1870330

Specimen UC Davis_1870331: postnatal adult; Hacl1tm1b(KOMP)Wtsi/Hacl1+ (more )
Structure Level Pattern Image Note
TS28: aorta Present UC Davis_1870331

Specimen UC Davis_1870332: postnatal adult; Hacl1tm1b(KOMP)Wtsi/Hacl1+ (more )
Structure Level Pattern Image Note
TS28: lung Present UC Davis_1870332

Specimen UC Davis_1870333: postnatal adult; Hacl1tm1b(KOMP)Wtsi/Hacl1+ (more )
Structure Level Pattern Image Note
TS28: lung Present UC Davis_1870333

Specimen UC Davis_1870334: postnatal adult; Hacl1tm1b(KOMP)Wtsi/Hacl1+ (more )
Structure Level Pattern Image Note
TS28: lung Present UC Davis_1870334

Specimen UC Davis_1870336: postnatal adult; Hacl1tm1b(KOMP)Wtsi/Hacl1+ (more )
Structure Level Pattern Image Note
TS28: stomach Present UC Davis_1870336

Specimen UC Davis_1870337: postnatal adult; Hacl1tm1b(KOMP)Wtsi/Hacl1+ (more )
Structure Level Pattern Image Note
TS28: stomach Present UC Davis_1870337

Specimen UC Davis_1870338: postnatal adult; Hacl1tm1b(KOMP)Wtsi/Hacl1+ (more )
Structure Level Pattern Image Note
TS28: stomach Present UC Davis_1870338

Specimen UC Davis_1870339: postnatal adult; Hacl1tm1b(KOMP)Wtsi/Hacl1+ (more )
Structure Level Pattern Image Note
TS28: duodenum Present UC Davis_1870339

Specimen UC Davis_1870340: postnatal adult; Hacl1tm1b(KOMP)Wtsi/Hacl1+ (more )
Structure Level Pattern Image Note
TS28: duodenum Present UC Davis_1870340

Specimen UC Davis_1870341: postnatal adult; Hacl1tm1b(KOMP)Wtsi/Hacl1+ (more )
Structure Level Pattern Image Note
TS28: ileum Present UC Davis_1870341

Specimen UC Davis_1870342: postnatal adult; Hacl1tm1b(KOMP)Wtsi/Hacl1+ (more )
Structure Level Pattern Image Note
TS28: ileum Present UC Davis_1870342

Specimen UC Davis_1870343: postnatal adult; Hacl1tm1b(KOMP)Wtsi/Hacl1+ (more )
Structure Level Pattern Image Note
TS28: colon Present UC Davis_1870343

Specimen UC Davis_1870344: postnatal adult; Hacl1tm1b(KOMP)Wtsi/Hacl1+ (more )
Structure Level Pattern Image Note
TS28: cecum Present UC Davis_1870344

Specimen UC Davis_1870345: postnatal adult; Hacl1tm1b(KOMP)Wtsi/Hacl1+ (more )
Structure Level Pattern Image Note
TS28: spleen Present UC Davis_1870345

Specimen UC Davis_1870346: postnatal adult; Hacl1tm1b(KOMP)Wtsi/Hacl1+ (more )
Structure Level Pattern Image Note
TS28: spleen Present UC Davis_1870346

Specimen UC Davis_1870347: postnatal adult; Hacl1tm1b(KOMP)Wtsi/Hacl1+ (more )
Structure Level Pattern Image Note
TS28: liver Present UC Davis_1870347

Specimen UC Davis_1870348: postnatal adult; Hacl1tm1b(KOMP)Wtsi/Hacl1+ (more )
Structure Level Pattern Image Note
TS28: liver Present UC Davis_1870348

Specimen UC Davis_1870349: postnatal adult; Hacl1tm1b(KOMP)Wtsi/Hacl1+ (more )
Structure Level Pattern Image Note
TS28: metanephros Present UC Davis_1870349 kidney

Specimen UC Davis_1870350: postnatal adult; Hacl1tm1b(KOMP)Wtsi/Hacl1+ (more )
Structure Level Pattern Image Note
TS28: metanephros Present UC Davis_1870350 kidney

Specimen UC Davis_1870351: postnatal adult; Hacl1tm1b(KOMP)Wtsi/Hacl1+ (more )
Structure Level Pattern Image Note
TS28: metanephros Present UC Davis_1870351 kidney

Specimen UC Davis_1870352: postnatal adult; Hacl1tm1b(KOMP)Wtsi/Hacl1+ (more )
Structure Level Pattern Image Note
TS28: quadriceps femoris muscle Present UC Davis_1870352

Specimen UC Davis_1870353: postnatal adult; Hacl1tm1b(KOMP)Wtsi/Hacl1+ (more )
Structure Level Pattern Image Note
TS28: sciatic nerve Present UC Davis_1870353

Specimen UC Davis_1870354: postnatal adult; Hacl1tm1b(KOMP)Wtsi/Hacl1+ (more )
Structure Level Pattern Image Note
TS28: tongue Present UC Davis_1870354

Specimen UC Davis_1870355: postnatal adult; Hacl1tm1b(KOMP)Wtsi/Hacl1+ (more )
Structure Level Pattern Image Note
TS28: adrenal gland Present UC Davis_1870355

Specimen UC Davis_1870356: postnatal adult; Hacl1tm1b(KOMP)Wtsi/Hacl1+ (more )
Structure Level Pattern Image Note
TS28: spinal cord Present UC Davis_1870356

Specimen UC Davis_1870357: postnatal adult; Hacl1tm1b(KOMP)Wtsi/Hacl1+ (more )
Structure Level Pattern Image Note
TS28: spinal cord Present UC Davis_1870357

Specimen UC Davis_1870358: postnatal adult; Hacl1tm1b(KOMP)Wtsi/Hacl1+ (more )
Structure Level Pattern Image Note
TS28: eye Present UC Davis_1870358

Specimen UC Davis_1870359: postnatal adult; Hacl1tm1b(KOMP)Wtsi/Hacl1+ (more )
Structure Level Pattern Image Note
TS28: eye Present UC Davis_1870359

Specimen UC Davis_1870360: postnatal adult; Hacl1tm1b(KOMP)Wtsi/Hacl1+ (more )
Structure Level Pattern Image Note
TS28: eye Present UC Davis_1870360

Specimen UC Davis_1870361: postnatal adult; Hacl1tm1b(KOMP)Wtsi/Hacl1+ (more )
Structure Level Pattern Image Note
TS28: Harderian gland Present UC Davis_1870361

Specimen UC Davis_1870362: postnatal adult; Hacl1tm1b(KOMP)Wtsi/Hacl1+ (more )
Structure Level Pattern Image Note
TS28: Harderian gland Present UC Davis_1870362

Specimen UC Davis_1870363: postnatal adult; Hacl1tm1b(KOMP)Wtsi/Hacl1+ (more )
Structure Level Pattern Image Note
TS28: gonadal fat pad Present UC Davis_1870363

Specimen UC Davis_1870364: postnatal adult; Hacl1tm1b(KOMP)Wtsi/Hacl1+ (more )
Structure Level Pattern Image Note
TS28: mesenteric adipose tissue Present UC Davis_1870364

Specimen UC Davis_1870365: postnatal adult; Hacl1tm1b(KOMP)Wtsi/Hacl1+ (more )
Structure Level Pattern Image Note
TS28: mesenteric adipose tissue Present UC Davis_1870365

Specimen UC Davis_1870366: postnatal adult; Hacl1tm1b(KOMP)Wtsi/Hacl1+ (more )
Structure Level Pattern Image Note
TS28: skin Absent UC Davis_1870366

Specimen UC Davis_1870367: postnatal adult; Hacl1tm1b(KOMP)Wtsi/Hacl1+ (more )
Structure Level Pattern Image Note
TS28: brown fat Present UC Davis_1870367

Specimen UC Davis_1870368: postnatal adult; Hacl1tm1b(KOMP)Wtsi/Hacl1+ (more )
Structure Level Pattern Image Note
TS28: brown fat Present UC Davis_1870368

Specimen UC Davis_1870369: postnatal adult; Hacl1tm1b(KOMP)Wtsi/Hacl1+ (more )
Structure Level Pattern Image Note
TS28: olfactory lobe Present UC Davis_1870369

Specimen UC Davis_1870372: postnatal adult; Hacl1tm1b(KOMP)Wtsi/Hacl1+ (more )
Structure Level Pattern Image Note
TS28: midbrain Present UC Davis_1870372

Specimen UC Davis_1870374: postnatal adult; Hacl1tm1b(KOMP)Wtsi/Hacl1+ (more )
Structure Level Pattern Image Note
TS28: cerebellum Present UC Davis_1870374

Specimen UC Davis_1870375: postnatal adult; Hacl1tm1b(KOMP)Wtsi/Hacl1+ (more )
Structure Level Pattern Image Note
TS28: trigeminal nerve Present UC Davis_1870375

Specimen UC Davis_1870376: postnatal adult; Hacl1tm1b(KOMP)Wtsi/Hacl1+ (more )
Structure Level Pattern Image Note
TS28: trigeminal nerve Present UC Davis_1870376

Specimen UC Davis_1870377: postnatal adult; Hacl1tm1b(KOMP)Wtsi/Hacl1+ (more )
Structure Level Pattern Image Note
TS28: bladder Present UC Davis_1870377

Specimen UC Davis_1870378: postnatal adult; Hacl1tm1b(KOMP)Wtsi/Hacl1+ (more )
Structure Level Pattern Image Note
TS28: testis Present UC Davis_1870378

Specimen UC Davis_1870379: postnatal adult; Hacl1tm1b(KOMP)Wtsi/Hacl1+ (more )
Structure Level Pattern Image Note
TS28: testis Present UC Davis_1870379

Specimen UC Davis_1870380: postnatal adult; Hacl1tm1b(KOMP)Wtsi/Hacl1+ (more )
Structure Level Pattern Image Note
TS28: epididymis Present UC Davis_1870380

Specimen UC Davis_1870381: postnatal adult; Hacl1tm1b(KOMP)Wtsi/Hacl1+ (more )
Structure Level Pattern Image Note
TS28: epididymis Present UC Davis_1870381

Specimen UC Davis_1870382: postnatal adult; Hacl1tm1b(KOMP)Wtsi/Hacl1+ (more )
Structure Level Pattern Image Note
TS28: prostate gland Present UC Davis_1870382

Specimen UC Davis_1870383: postnatal adult; Hacl1tm1b(KOMP)Wtsi/Hacl1+ (more )
Structure Level Pattern Image Note
TS28: penis Present UC Davis_1870383

Specimen UC Davis_1870384: postnatal adult; Hacl1tm1b(KOMP)Wtsi/Hacl1+ (more )
Structure Level Pattern Image Note
TS28: penis Present UC Davis_1870384

Specimen UC Davis_1870385: postnatal adult; Hacl1tm1b(KOMP)Wtsi/Hacl1+ (more )
Structure Level Pattern Image Note
TS28: ductus deferens Present UC Davis_1870385 vas deferens


Contributing Projects:
Mouse Genome Database (MGD), Gene Expression Database (GXD), Mouse Models of Human Cancer database (MMHCdb) (formerly Mouse Tumor Biology (MTB)), Gene Ontology (GO)
Citing These Resources
Funding Information
Warranty Disclaimer, Privacy Notice, Licensing, & Copyright
Send questions and comments to User Support.
last database update
01/20/2026
MGI 6.24
The Jackson Laboratory