About   Help   FAQ
Gene Expression Data
Assay Details
Assay
Reference: J:228563 Koscielny G, et al., The International Mouse Phenotyping Consortium Web Portal, a unified point of access for knockout mice and related phenotyping data. Nucleic Acids Res. 2014 Jan;42(Database issue):D802-9
Assay type: In situ reporter (knock in)
MGI Accession ID: MGI:6692260
Gene symbol: Dstn
Gene name: destrin
Reporter: lacZ
Direct Detection
Results
Specimen TCP_2460767: postnatal adult; Dstntm1b(KOMP)Wtsi/Dstn+ (more )
Structure Level Pattern Image Note
TS28: adrenal gland Present TCP_2460767

Specimen TCP_2460768: postnatal adult; Dstntm1b(KOMP)Wtsi/Dstn+ (more )
Structure Level Pattern Image Note
TS28: aorta Present TCP_2460768

Specimen TCP_2460769: postnatal adult; Dstntm1b(KOMP)Wtsi/Dstn+ (more )
Structure Level Pattern Image Note
TS28: brain Present TCP_2460769

Specimen TCP_2460770: postnatal adult; Dstntm1b(KOMP)Wtsi/Dstn+ (more )
Structure Level Pattern Image Note
TS28: eye Present TCP_2460770

Specimen TCP_2460771: postnatal adult; Dstntm1b(KOMP)Wtsi/Dstn+ (more )
Structure Level Pattern Image Note
TS28: heart Present TCP_2460771

Specimen TCP_2460772: postnatal adult; Dstntm1b(KOMP)Wtsi/Dstn+ (more )
Structure Level Pattern Image Note
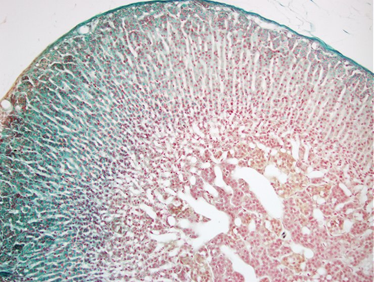
TS28: liver Present TCP_2460772

Specimen TCP_2460773: postnatal adult; Dstntm1b(KOMP)Wtsi/Dstn+ (more )
Structure Level Pattern Image Note
TS28: lung Present TCP_2460773

Specimen TCP_2460774: postnatal adult; Dstntm1b(KOMP)Wtsi/Dstn+ (more )
Structure Level Pattern Image Note
TS28: pancreas Present TCP_2460774

Specimen TCP_2460776: postnatal adult; Dstntm1b(KOMP)Wtsi/Dstn+ (more )
Structure Level Pattern Image Note
TS28: skin Present TCP_2460776

Specimen TCP_2460777: postnatal adult; Dstntm1b(KOMP)Wtsi/Dstn+ (more )
Structure Level Pattern Image Note
TS28: spinal cord Present TCP_2460777

Specimen TCP_2460755: postnatal adult; Dstntm1b(KOMP)Wtsi/Dstn+ (more )
Structure Level Pattern Image Note
TS28: adrenal gland Present TCP_2460755

Specimen TCP_2460756: postnatal adult; Dstntm1b(KOMP)Wtsi/Dstn+ (more )
Structure Level Pattern Image Note
TS28: aorta Present TCP_2460756

Specimen TCP_2460757: postnatal adult; Dstntm1b(KOMP)Wtsi/Dstn+ (more )
Structure Level Pattern Image Note
TS28: brain Present TCP_2460757

Specimen TCP_2460758: postnatal adult; Dstntm1b(KOMP)Wtsi/Dstn+ (more )
Structure Level Pattern Image Note
TS28: cerebellum Present TCP_2460758

Specimen TCP_2460759: postnatal adult; Dstntm1b(KOMP)Wtsi/Dstn+ (more )
Structure Level Pattern Image Note
TS28: eye Present TCP_2460759

Specimen TCP_2460760: postnatal adult; Dstntm1b(KOMP)Wtsi/Dstn+ (more )
Structure Level Pattern Image Note
TS28: heart Present TCP_2460760

Specimen TCP_2460761: postnatal adult; Dstntm1b(KOMP)Wtsi/Dstn+ (more )
Structure Level Pattern Image Note
TS28: lung Present TCP_2460761

Specimen TCP_2460762: postnatal adult; Dstntm1b(KOMP)Wtsi/Dstn+ (more )
Structure Level Pattern Image Note
TS28: pancreas Present TCP_2460762

Specimen TCP_2460764: postnatal adult; Dstntm1b(KOMP)Wtsi/Dstn+ (more )
Structure Level Pattern Image Note
TS28: skin Present TCP_2460764

Specimen TCP_2460765: postnatal adult; Dstntm1b(KOMP)Wtsi/Dstn+ (more )
Structure Level Pattern Image Note
TS28: spinal cord Present TCP_2460765

Specimen TCP_2460766: postnatal adult; Dstntm1b(KOMP)Wtsi/Dstn+ (more )
Structure Level Pattern Image Note
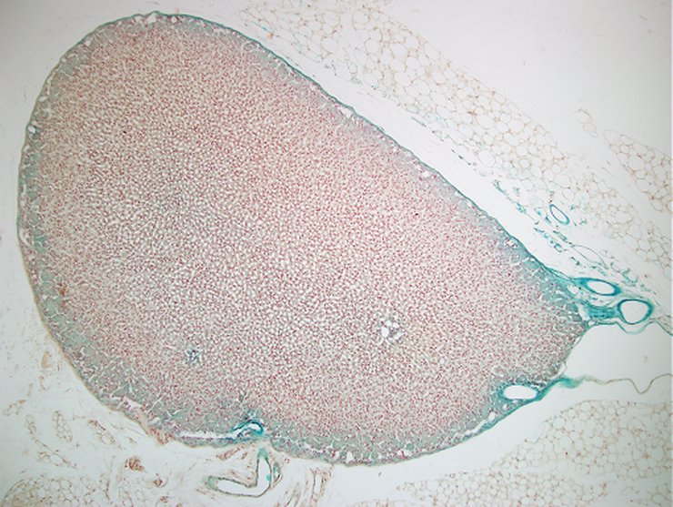
TS28: spleen Present TCP_2460766


Contributing Projects:
Mouse Genome Database (MGD), Gene Expression Database (GXD), Mouse Models of Human Cancer database (MMHCdb) (formerly Mouse Tumor Biology (MTB)), Gene Ontology (GO)
Citing These Resources
Funding Information
Warranty Disclaimer, Privacy Notice, Licensing, & Copyright
Send questions and comments to User Support.
last database update
01/20/2026
MGI 6.24
The Jackson Laboratory