About   Help   FAQ
Gene Expression Data
Assay Details
Assay
Reference: J:228563 Koscielny G, et al., The International Mouse Phenotyping Consortium Web Portal, a unified point of access for knockout mice and related phenotyping data. Nucleic Acids Res. 2014 Jan;42(Database issue):D802-9
Assay type: In situ reporter (knock in)
MGI Accession ID: MGI:6692245
Gene symbol: Tdo2
Gene name: tryptophan 2,3-dioxygenase
Reporter: lacZ
Direct Detection
Results
Specimen UC Davis_1889715: postnatal adult; Tdo2tm1b(KOMP)Mbp/Tdo2+ (more )
Structure Level Pattern Image Note
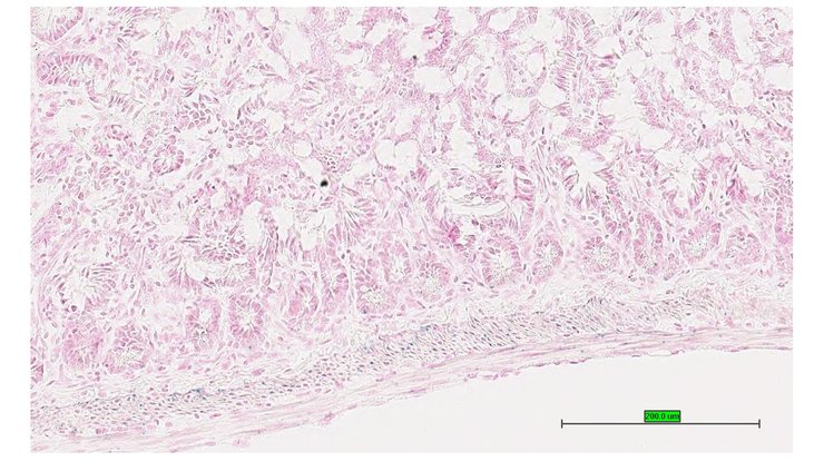
TS28: duodenum Present UC Davis_1889715

Specimen UC Davis_1889716: postnatal adult; Tdo2tm1b(KOMP)Mbp/Tdo2+ (more )
Structure Level Pattern Image Note
TS28: duodenum Present UC Davis_1889716

Specimen UC Davis_1889717: postnatal adult; Tdo2tm1b(KOMP)Mbp/Tdo2+ (more )
Structure Level Pattern Image Note
TS28: jejunum Present UC Davis_1889717

Specimen UC Davis_1889718: postnatal adult; Tdo2tm1b(KOMP)Mbp/Tdo2+ (more )
Structure Level Pattern Image Note
TS28: jejunum Present UC Davis_1889718

Specimen UC Davis_1889719: postnatal adult; Tdo2tm1b(KOMP)Mbp/Tdo2+ (more )
Structure Level Pattern Image Note
TS28: ileum Present UC Davis_1889719

Specimen UC Davis_1889720: postnatal adult; Tdo2tm1b(KOMP)Mbp/Tdo2+ (more )
Structure Level Pattern Image Note
TS28: ileum Present UC Davis_1889720

Specimen UC Davis_1889721: postnatal adult; Tdo2tm1b(KOMP)Mbp/Tdo2+ (more )
Structure Level Pattern Image Note
TS28: cerebellum Present UC Davis_1889721

Specimen UC Davis_1889722: postnatal adult; Tdo2tm1b(KOMP)Mbp/Tdo2+ (more )
Structure Level Pattern Image Note
TS28: cerebellum Present UC Davis_1889722

Specimen UC Davis_1889724: postnatal adult; Tdo2tm1b(KOMP)Mbp/Tdo2+ (more )
Structure Level Pattern Image Note
TS28: duodenum Present UC Davis_1889724

Specimen UC Davis_1889725: postnatal adult; Tdo2tm1b(KOMP)Mbp/Tdo2+ (more )
Structure Level Pattern Image Note
TS28: duodenum Present UC Davis_1889725

Specimen UC Davis_1889726: postnatal adult; Tdo2tm1b(KOMP)Mbp/Tdo2+ (more )
Structure Level Pattern Image Note
TS28: ileum Present UC Davis_1889726

Specimen UC Davis_1889727: postnatal adult; Tdo2tm1b(KOMP)Mbp/Tdo2+ (more )
Structure Level Pattern Image Note
TS28: ileum Present UC Davis_1889727

Specimen UC Davis_1889728: postnatal adult; Tdo2tm1b(KOMP)Mbp/Tdo2+ (more )
Structure Level Pattern Image Note
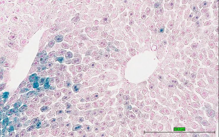
TS28: liver Present UC Davis_1889728

Specimen UC Davis_1889729: postnatal adult; Tdo2tm1b(KOMP)Mbp/Tdo2+ (more )
Structure Level Pattern Image Note
TS28: liver Present UC Davis_1889729

Specimen UC Davis_1889730: postnatal adult; Tdo2tm1b(KOMP)Mbp/Tdo2+ (more )
Structure Level Pattern Image Note
TS28: cerebellum Present UC Davis_1889730

Specimen UC Davis_1889731: postnatal adult; Tdo2tm1b(KOMP)Mbp/Tdo2+ (more )
Structure Level Pattern Image Note
TS28: cerebellum Present UC Davis_1889731

Specimen UC Davis_1889732: postnatal adult; Tdo2tm1b(KOMP)Mbp/Tdo2+ (more )
Structure Level Pattern Image Note
TS28: cerebellum Present UC Davis_1889732

Specimen UC Davis_1889733: postnatal adult; Tdo2tm1b(KOMP)Mbp/Tdo2+ (more )
Structure Level Pattern Image Note
TS28: testis Present UC Davis_1889733

Specimen UC Davis_1889734: postnatal adult; Tdo2tm1b(KOMP)Mbp/Tdo2+ (more )
Structure Level Pattern Image Note
TS28: testis Present UC Davis_1889734

Specimen UC Davis_1889735: postnatal adult; Tdo2tm1b(KOMP)Mbp/Tdo2+ (more )
Structure Level Pattern Image Note
TS28: epididymis Present UC Davis_1889735

Specimen UC Davis_1889736: postnatal adult; Tdo2tm1b(KOMP)Mbp/Tdo2+ (more )
Structure Level Pattern Image Note
TS28: prostate gland Present UC Davis_1889736

Specimen UC Davis_1889737: postnatal adult; Tdo2tm1b(KOMP)Mbp/Tdo2+ (more )
Structure Level Pattern Image Note
TS28: penis Present UC Davis_1889737

Specimen UC Davis_1889738: postnatal adult; Tdo2tm1b(KOMP)Mbp/Tdo2+ (more )
Structure Level Pattern Image Note
TS28: ductus deferens Present UC Davis_1889738 vas deferens


Contributing Projects:
Mouse Genome Database (MGD), Gene Expression Database (GXD), Mouse Models of Human Cancer database (MMHCdb) (formerly Mouse Tumor Biology (MTB)), Gene Ontology (GO)
Citing These Resources
Funding Information
Warranty Disclaimer, Privacy Notice, Licensing, & Copyright
Send questions and comments to User Support.
last database update
03/24/2026
MGI 6.24
The Jackson Laboratory