About   Help   FAQ
Gene Expression Data
Assay Details
Assay
Reference: J:228563 Koscielny G, et al., The International Mouse Phenotyping Consortium Web Portal, a unified point of access for knockout mice and related phenotyping data. Nucleic Acids Res. 2014 Jan;42(Database issue):D802-9
Assay type: In situ reporter (knock in)
MGI Accession ID: MGI:6692243
Gene symbol: Dnajc7
Gene name: DnaJ heat shock protein family (Hsp40) member C7
Reporter: lacZ
Direct Detection
Results
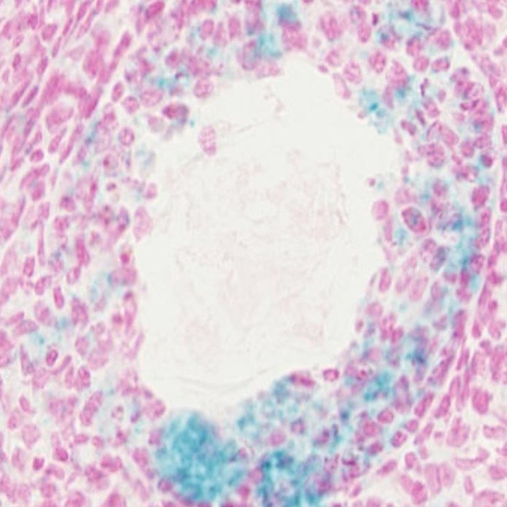
Specimen JAX_1122905: embryonic day 12.5; Dnajc7tm1b(KOMP)Wtsi/Dnajc7+ (more )
Structure Level Pattern Image Note
TS20: embryo Present JAX_1122905

Specimen JAX_1122907: embryonic day 12.5; Dnajc7tm1b(KOMP)Wtsi/Dnajc7+ (more )
Structure Level Pattern Image Note
TS20: embryo Present JAX_1122907

Specimen JAX_1122909: embryonic day 12.5; Dnajc7tm1b(KOMP)Wtsi/Dnajc7+ (more )
Structure Level Pattern Image Note
TS20: embryo Present JAX_1122909

Specimen JAX_1122911: embryonic day 12.5; Dnajc7tm1b(KOMP)Wtsi/Dnajc7+ (more )
Structure Level Pattern Image Note
TS20: embryo Present JAX_1122911

Specimen JAX_1802375: postnatal adult; Dnajc7tm1b(KOMP)Wtsi/Dnajc7+ (more )
Structure Level Pattern Image Note
TS28: thalamus Present JAX_1802375

Specimen JAX_1802376: postnatal adult; Dnajc7tm1b(KOMP)Wtsi/Dnajc7+ (more )
Structure Level Pattern Image Note
TS28: midbrain Present JAX_1802376

Specimen JAX_1802377: postnatal adult; Dnajc7tm1b(KOMP)Wtsi/Dnajc7+ (more )
Structure Level Pattern Image Note
TS28: vascular system Present JAX_1802377

Specimen JAX_1802378: postnatal adult; Dnajc7tm1b(KOMP)Wtsi/Dnajc7+ (more )
Structure Level Pattern Image Note
TS28: bladder Present JAX_1802378

Specimen JAX_1802379: postnatal adult; Dnajc7tm1b(KOMP)Wtsi/Dnajc7+ (more )
Structure Level Pattern Image Note
TS28: peripheral nervous system Present JAX_1802379

Specimen JAX_1802380: postnatal adult; Dnajc7tm1b(KOMP)Wtsi/Dnajc7+ (more )
Structure Level Pattern Image Note
TS28: hypothalamus Present JAX_1802380

Specimen JAX_1802381: postnatal adult; Dnajc7tm1b(KOMP)Wtsi/Dnajc7+ (more )
Structure Level Pattern Image Note
TS28: cerebellum Present JAX_1802381

Specimen JAX_1802382: postnatal adult; Dnajc7tm1b(KOMP)Wtsi/Dnajc7+ (more )
Structure Level Pattern Image Note
TS28: cartilage Present JAX_1802382

Specimen JAX_1802383: postnatal adult; Dnajc7tm1b(KOMP)Wtsi/Dnajc7+ (more )
Structure Level Pattern Image Note
TS28: brainstem Present JAX_1802383

Specimen JAX_1802384: postnatal adult; Dnajc7tm1b(KOMP)Wtsi/Dnajc7+ (more )
Structure Level Pattern Image Note
TS28: pancreas Present JAX_1802384

Specimen JAX_1802385: postnatal adult; Dnajc7tm1b(KOMP)Wtsi/Dnajc7+ (more )
Structure Level Pattern Image Note
TS28: aorta Present JAX_1802385

Specimen JAX_1802386: postnatal adult; Dnajc7tm1b(KOMP)Wtsi/Dnajc7+ (more )
Structure Level Pattern Image Note
TS28: lung Present JAX_1802386

Specimen JAX_1802387: postnatal adult; Dnajc7tm1b(KOMP)Wtsi/Dnajc7+ (more )
Structure Level Pattern Image Note
TS28: white fat Present JAX_1802387

Specimen JAX_1802388: postnatal adult; Dnajc7tm1b(KOMP)Wtsi/Dnajc7+ (more )
Structure Level Pattern Image Note
TS28: small intestine Present JAX_1802388

Specimen JAX_1802389: postnatal adult; Dnajc7tm1b(KOMP)Wtsi/Dnajc7+ (more )
Structure Level Pattern Image Note
TS28: spinal cord Present JAX_1802389

Specimen JAX_1802390: postnatal adult; Dnajc7tm1b(KOMP)Wtsi/Dnajc7+ (more )
Structure Level Pattern Image Note
TS28: esophagus Present JAX_1802390

Specimen JAX_1802391: postnatal adult; Dnajc7tm1b(KOMP)Wtsi/Dnajc7+ (more )
Structure Level Pattern Image Note
TS28: large intestine Present JAX_1802391

Specimen JAX_1802392: postnatal adult; Dnajc7tm1b(KOMP)Wtsi/Dnajc7+ (more )
Structure Level Pattern Image Note
TS28: uterus Present JAX_1802392

Specimen JAX_1802393: postnatal adult; Dnajc7tm1b(KOMP)Wtsi/Dnajc7+ (more )
Structure Level Pattern Image Note
TS28: trachea Present JAX_1802393

Specimen JAX_1802394: postnatal adult; Dnajc7tm1b(KOMP)Wtsi/Dnajc7+ (more )
Structure Level Pattern Image Note
TS28: stomach Present JAX_1802394

Specimen JAX_1802395: postnatal adult; Dnajc7tm1b(KOMP)Wtsi/Dnajc7+ (more )
Structure Level Pattern Image Note
TS28: skin Present JAX_1802395

Specimen JAX_1802396: postnatal adult; Dnajc7tm1b(KOMP)Wtsi/Dnajc7+ (more )
Structure Level Pattern Image Note
TS28: ovary Present JAX_1802396

Specimen JAX_1802398: postnatal adult; Dnajc7tm1b(KOMP)Wtsi/Dnajc7+ (more )
Structure Level Pattern Image Note
TS28: metanephros Present JAX_1802398 kidney

Specimen JAX_1802399: postnatal adult; Dnajc7tm1b(KOMP)Wtsi/Dnajc7+ (more )
Structure Level Pattern Image Note
TS28: heart Present JAX_1802399

Specimen JAX_1802400: postnatal adult; Dnajc7tm1b(KOMP)Wtsi/Dnajc7+ (more )
Structure Level Pattern Image Note
TS28: adrenal gland Present JAX_1802400

Specimen JAX_1802401: postnatal adult; Dnajc7tm1b(KOMP)Wtsi/Dnajc7+ (more )
Structure Level Pattern Image Note
TS28: epididymis Present JAX_1802401

Specimen JAX_1802402: postnatal adult; Dnajc7tm1b(KOMP)Wtsi/Dnajc7+ (more )
Structure Level Pattern Image Note
TS28: submandibular gland Present JAX_1802402

Specimen JAX_1802403: postnatal adult; Dnajc7tm1b(KOMP)Wtsi/Dnajc7+ (more )
Structure Level Pattern Image Note
TS28: corpus striatum Present JAX_1802403

Specimen JAX_1802404: postnatal adult; Dnajc7tm1b(KOMP)Wtsi/Dnajc7+ (more )
Structure Level Pattern Image Note
TS28: olfactory lobe Present JAX_1802404

Specimen JAX_1802405: postnatal adult; Dnajc7tm1b(KOMP)Wtsi/Dnajc7+ (more )
Structure Level Pattern Image Note
TS28: hippocampus Present JAX_1802405

Specimen JAX_1802406: postnatal adult; Dnajc7tm1b(KOMP)Wtsi/Dnajc7+ (more )
Structure Level Pattern Image Note
TS28: cerebral cortex Present JAX_1802406

Specimen JAX_1802407: postnatal adult; Dnajc7tm1b(KOMP)Wtsi/Dnajc7+ (more )
Structure Level Pattern Image Note
TS28: spleen Present JAX_1802407

Specimen JAX_1802408: postnatal adult; Dnajc7tm1b(KOMP)Wtsi/Dnajc7+ (more )
Structure Level Pattern Image Note
TS28: pituitary gland Present JAX_1802408

Specimen JAX_1802409: postnatal adult; Dnajc7tm1b(KOMP)Wtsi/Dnajc7+ (more )
Structure Level Pattern Image Note
TS28: thyroid gland Present JAX_1802409

Specimen JAX_1802410: postnatal adult; Dnajc7tm1b(KOMP)Wtsi/Dnajc7+ (more )
Structure Level Pattern Image Note
TS28: testis Present JAX_1802410

Specimen JAX_1802412: postnatal adult; Dnajc7tm1b(KOMP)Wtsi/Dnajc7+ (more )
Structure Level Pattern Image Note
TS28: eye Present JAX_1802412


Contributing Projects:
Mouse Genome Database (MGD), Gene Expression Database (GXD), Mouse Models of Human Cancer database (MMHCdb) (formerly Mouse Tumor Biology (MTB)), Gene Ontology (GO)
Citing These Resources
Funding Information
Warranty Disclaimer, Privacy Notice, Licensing, & Copyright
Send questions and comments to User Support.
last database update
03/24/2026
MGI 6.24
The Jackson Laboratory