About   Help   FAQ
Gene Expression Data
Assay Details
Assay
Reference: J:228563 Koscielny G, et al., The International Mouse Phenotyping Consortium Web Portal, a unified point of access for knockout mice and related phenotyping data. Nucleic Acids Res. 2014 Jan;42(Database issue):D802-9
Assay type: In situ reporter (knock in)
MGI Accession ID: MGI:6692238
Gene symbol: Sp5
Gene name: trans-acting transcription factor 5
Reporter: lacZ
Direct Detection
Results
Specimen JAX_1470226: embryonic day 12.5; Sp5tm1b(KOMP)Wtsi/Sp5+ (more )
Structure Level Pattern Image Note
TS20: embryo Present JAX_1470226

Specimen JAX_1470227: embryonic day 12.5; Sp5tm1b(KOMP)Wtsi/Sp5+ (more )
Structure Level Pattern Image Note
TS20: embryo Present JAX_1470227

Specimen JAX_1470228: embryonic day 12.5; Sp5tm1b(KOMP)Wtsi/Sp5+ (more )
Structure Level Pattern Image Note
TS20: embryo Present JAX_1470228

Specimen JAX_1470229: embryonic day 12.5; Sp5tm1b(KOMP)Wtsi/Sp5+ (more )
Structure Level Pattern Image Note
TS20: embryo Present JAX_1470229

Specimen JAX_1006065: embryonic day 12.5; Sp5tm1b(KOMP)Wtsi/Sp5+ (more )
Structure Level Pattern Image Note
TS20: embryo Present JAX_1006065

Specimen JAX_1006067: embryonic day 12.5; Sp5tm1b(KOMP)Wtsi/Sp5+ (more )
Structure Level Pattern Image Note
TS20: embryo Present JAX_1006067

Specimen JAX_1006069: embryonic day 12.5; Sp5tm1b(KOMP)Wtsi/Sp5+ (more )
Structure Level Pattern Image Note
TS20: embryo Present JAX_1006069

Specimen JAX_1006071: embryonic day 12.5; Sp5tm1b(KOMP)Wtsi/Sp5+ (more )
Structure Level Pattern Image Note
TS20: embryo Present JAX_1006071

Specimen JAX_1006073: embryonic day 12.5; Sp5tm1b(KOMP)Wtsi/Sp5+ (more )
Structure Level Pattern Image Note
TS20: embryo Present JAX_1006073

Specimen JAX_1006075: embryonic day 12.5; Sp5tm1b(KOMP)Wtsi/Sp5+ (more )
Structure Level Pattern Image Note
TS20: embryo Present JAX_1006075

Specimen JAX_1006077: embryonic day 12.5; Sp5tm1b(KOMP)Wtsi/Sp5+ (more )
Structure Level Pattern Image Note
TS20: embryo Present JAX_1006077

Specimen JAX_1006079: embryonic day 12.5; Sp5tm1b(KOMP)Wtsi/Sp5+ (more )
Structure Level Pattern Image Note
TS20: embryo Present JAX_1006079

Specimen JAX_1619991: postnatal adult; Sp5tm1b(KOMP)Wtsi/Sp5+ (more )
Structure Level Pattern Image Note
TS28: thalamus Present JAX_1619991

Specimen JAX_1619992: postnatal adult; Sp5tm1b(KOMP)Wtsi/Sp5+ (more )
Structure Level Pattern Image Note
TS28: midbrain Present JAX_1619992

Specimen JAX_1619993: postnatal adult; Sp5tm1b(KOMP)Wtsi/Sp5+ (more )
Structure Level Pattern Image Note
TS28: corpus striatum Present JAX_1619993

Specimen JAX_1619994: postnatal adult; Sp5tm1b(KOMP)Wtsi/Sp5+ (more )
Structure Level Pattern Image Note
TS28: olfactory lobe Present JAX_1619994

Specimen JAX_1619995: postnatal adult; Sp5tm1b(KOMP)Wtsi/Sp5+ (more )
Structure Level Pattern Image Note
TS28: hypothalamus Present JAX_1619995

Specimen JAX_1619996: postnatal adult; Sp5tm1b(KOMP)Wtsi/Sp5+ (more )
Structure Level Pattern Image Note
TS28: hippocampus Present JAX_1619996

Specimen JAX_1619997: postnatal adult; Sp5tm1b(KOMP)Wtsi/Sp5+ (more )
Structure Level Pattern Image Note
TS28: cerebral cortex Present JAX_1619997

Specimen JAX_1619998: postnatal adult; Sp5tm1b(KOMP)Wtsi/Sp5+ (more )
Structure Level Pattern Image Note
TS28: lung Present JAX_1619998

Specimen JAX_1619999: postnatal adult; Sp5tm1b(KOMP)Wtsi/Sp5+ (more )
Structure Level Pattern Image Note
TS28: small intestine Present JAX_1619999

Specimen JAX_1620001: postnatal adult; Sp5tm1b(KOMP)Wtsi/Sp5+ (more )
Structure Level Pattern Image Note
TS28: large intestine Present JAX_1620001

Specimen JAX_1620002: postnatal adult; Sp5tm1b(KOMP)Wtsi/Sp5+ (more )
Structure Level Pattern Image Note
TS28: uterus Present JAX_1620002

Specimen JAX_1620003: postnatal adult; Sp5tm1b(KOMP)Wtsi/Sp5+ (more )
Structure Level Pattern Image Note
TS28: stomach Present JAX_1620003

Specimen JAX_1620004: postnatal adult; Sp5tm1b(KOMP)Wtsi/Sp5+ (more )
Structure Level Pattern Image Note
TS28: oviduct Present JAX_1620004

Specimen JAX_1620005: postnatal adult; Sp5tm1b(KOMP)Wtsi/Sp5+ (more )
Structure Level Pattern Image Note
TS28: ovary Present JAX_1620005

Specimen JAX_1620006: postnatal adult; Sp5tm1b(KOMP)Wtsi/Sp5+ (more )
Structure Level Pattern Image Note
TS28: liver Present JAX_1620006

Specimen JAX_1620007: postnatal adult; Sp5tm1b(KOMP)Wtsi/Sp5+ (more )
Structure Level Pattern Image Note
TS28: metanephros Present JAX_1620007 kidney

Specimen JAX_1620008: postnatal adult; Sp5tm1b(KOMP)Wtsi/Sp5+ (more )
Structure Level Pattern Image Note
TS28: brain Present JAX_1620008

Specimen JAX_1620009: postnatal adult; Sp5tm1b(KOMP)Wtsi/Sp5+ (more )
Structure Level Pattern Image Note
TS28: epididymis Present JAX_1620009

Specimen JAX_1620010: postnatal adult; Sp5tm1b(KOMP)Wtsi/Sp5+ (more )
Structure Level Pattern Image Note
TS28: cerebellum Present JAX_1620010

Specimen JAX_1620011: postnatal adult; Sp5tm1b(KOMP)Wtsi/Sp5+ (more )
Structure Level Pattern Image Note
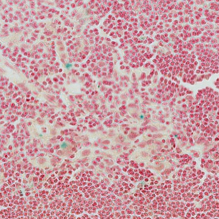
TS28: spleen Present JAX_1620011

Specimen JAX_1620012: postnatal adult; Sp5tm1b(KOMP)Wtsi/Sp5+ (more )
Structure Level Pattern Image Note
TS28: thymus Present JAX_1620012

Specimen JAX_1620013: postnatal adult; Sp5tm1b(KOMP)Wtsi/Sp5+ (more )
Structure Level Pattern Image Note
TS28: testis Present JAX_1620013

Specimen JAX_1620014: postnatal adult; Sp5tm1b(KOMP)Wtsi/Sp5+ (more )
Structure Level Pattern Image Note
TS28: skin Present JAX_1620014

Specimen JAX_1620015: postnatal adult; Sp5tm1b(KOMP)Wtsi/Sp5+ (more )
Structure Level Pattern Image Note
TS28: adrenal gland Present JAX_1620015


Contributing Projects:
Mouse Genome Database (MGD), Gene Expression Database (GXD), Mouse Models of Human Cancer database (MMHCdb) (formerly Mouse Tumor Biology (MTB)), Gene Ontology (GO)
Citing These Resources
Funding Information
Warranty Disclaimer, Privacy Notice, Licensing, & Copyright
Send questions and comments to User Support.
last database update
01/20/2026
MGI 6.24
The Jackson Laboratory