About   Help   FAQ
Gene Expression Data
Assay Details
Assay
Reference: J:228563 Koscielny G, et al., The International Mouse Phenotyping Consortium Web Portal, a unified point of access for knockout mice and related phenotyping data. Nucleic Acids Res. 2014 Jan;42(Database issue):D802-9
Assay type: In situ reporter (knock in)
MGI Accession ID: MGI:6692232
Gene symbol: Pard6a
Gene name: par-6 family cell polarity regulator alpha
Reporter: lacZ
Direct Detection
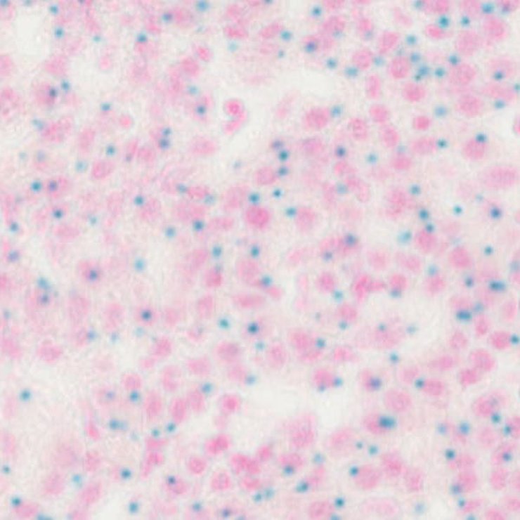
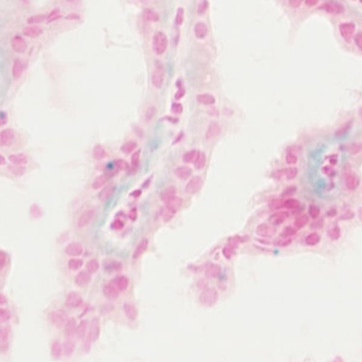
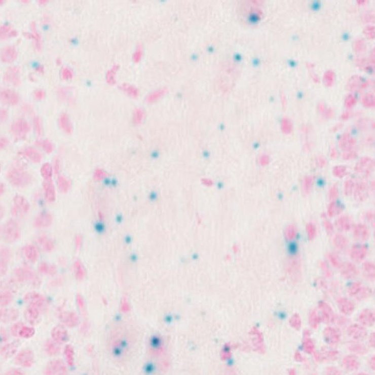
Results
Specimen JAX_1295039: postnatal adult; Pard6atm1.1(KOMP)Vlcg/Pard6a+ (more )
Structure Level Pattern Image Note
TS28: thalamus Present JAX_1295039

Specimen JAX_1295041: postnatal adult; Pard6atm1.1(KOMP)Vlcg/Pard6a+ (more )
Structure Level Pattern Image Note
TS28: midbrain Present JAX_1295041

Specimen JAX_1295043: postnatal adult; Pard6atm1.1(KOMP)Vlcg/Pard6a+ (more )
Structure Level Pattern Image Note
TS28: corpus striatum Present JAX_1295043

Specimen JAX_1295045: postnatal adult; Pard6atm1.1(KOMP)Vlcg/Pard6a+ (more )
Structure Level Pattern Image Note
TS28: olfactory lobe Present JAX_1295045

Specimen JAX_1295047: postnatal adult; Pard6atm1.1(KOMP)Vlcg/Pard6a+ (more )
Structure Level Pattern Image Note
TS28: hypothalamus Present JAX_1295047

Specimen JAX_1295049: postnatal adult; Pard6atm1.1(KOMP)Vlcg/Pard6a+ (more )
Structure Level Pattern Image Note
TS28: hippocampus Present JAX_1295049

Specimen JAX_1295051: postnatal adult; Pard6atm1.1(KOMP)Vlcg/Pard6a+ (more )
Structure Level Pattern Image Note
TS28: cerebellum Present JAX_1295051

Specimen JAX_1295053: postnatal adult; Pard6atm1.1(KOMP)Vlcg/Pard6a+ (more )
Structure Level Pattern Image Note
TS28: cerebral cortex Present JAX_1295053

Specimen JAX_1295055: postnatal adult; Pard6atm1.1(KOMP)Vlcg/Pard6a+ (more )
Structure Level Pattern Image Note
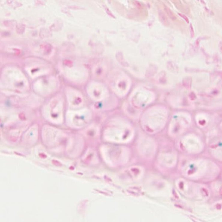
TS28: cartilage Present JAX_1295055

Specimen JAX_1295057: postnatal adult; Pard6atm1.1(KOMP)Vlcg/Pard6a+ (more )
Structure Level Pattern Image Note
TS28: brainstem Present JAX_1295057

Specimen JAX_1295059: postnatal adult; Pard6atm1.1(KOMP)Vlcg/Pard6a+ (more )
Structure Level Pattern Image Note
TS28: thyroid gland Present JAX_1295059

Specimen JAX_1295061: postnatal adult; Pard6atm1.1(KOMP)Vlcg/Pard6a+ (more )
Structure Level Pattern Image Note
TS28: spinal cord Present JAX_1295061

Specimen JAX_1295063: postnatal adult; Pard6atm1.1(KOMP)Vlcg/Pard6a+ (more )
Structure Level Pattern Image Note
TS28: large intestine Present JAX_1295063

Specimen JAX_1295065: postnatal adult; Pard6atm1.1(KOMP)Vlcg/Pard6a+ (more )
Structure Level Pattern Image Note
TS28: oviduct Present JAX_1295065

Specimen JAX_1295069: postnatal adult; Pard6atm1.1(KOMP)Vlcg/Pard6a+ (more )
Structure Level Pattern Image Note
TS28: metanephros Present JAX_1295069 kidney

Specimen JAX_1295071: postnatal adult; Pard6atm1.1(KOMP)Vlcg/Pard6a+ (more )
Structure Level Pattern Image Note
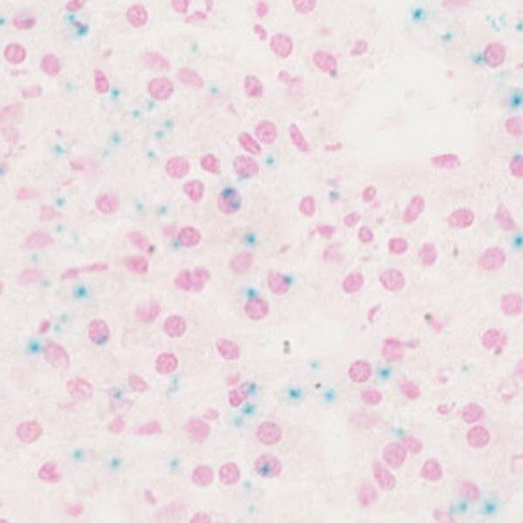
TS28: adrenal gland Present JAX_1295071

Specimen JAX_1295073: postnatal adult; Pard6atm1.1(KOMP)Vlcg/Pard6a+ (more )
Structure Level Pattern Image Note
TS28: vascular system Present JAX_1295073

Specimen JAX_1295075: postnatal adult; Pard6atm1.1(KOMP)Vlcg/Pard6a+ (more )
Structure Level Pattern Image Note
TS28: epididymis Present JAX_1295075

Specimen JAX_1295077: postnatal adult; Pard6atm1.1(KOMP)Vlcg/Pard6a+ (more )
Structure Level Pattern Image Note
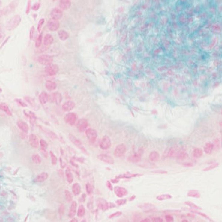
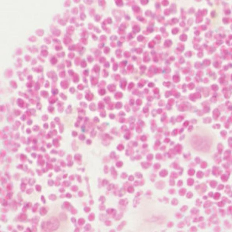
TS28: bone marrow Present JAX_1295077

Specimen JAX_1295079: postnatal adult; Pard6atm1.1(KOMP)Vlcg/Pard6a+ (more )
Structure Level Pattern Image Note
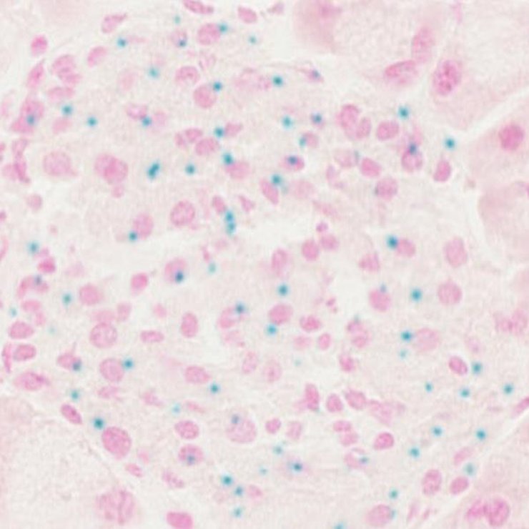
TS28: pancreas Present JAX_1295079

Specimen JAX_1295081: postnatal adult; Pard6atm1.1(KOMP)Vlcg/Pard6a+ (more )
Structure Level Pattern Image Note
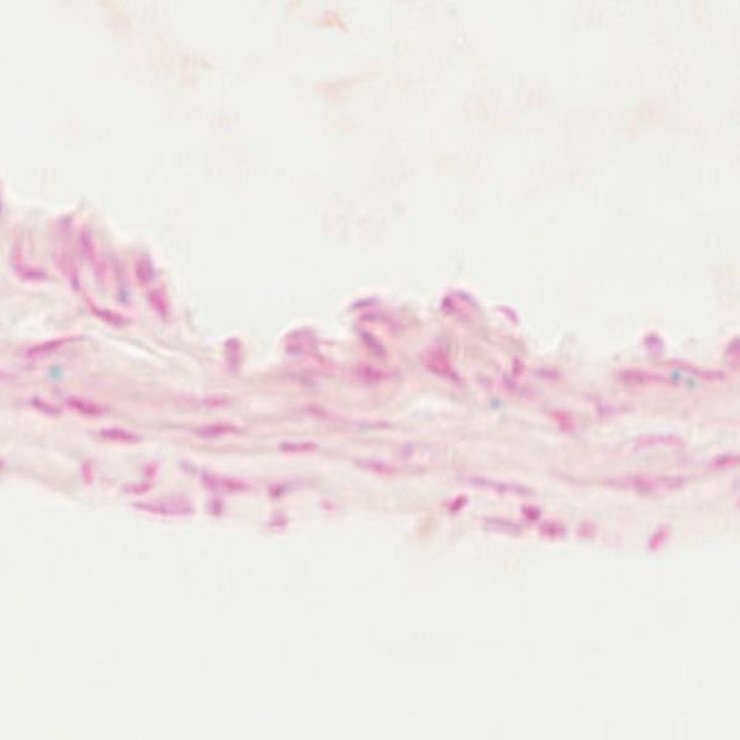
TS28: aorta Present JAX_1295081

Specimen JAX_1295083: postnatal adult; Pard6atm1.1(KOMP)Vlcg/Pard6a+ (more )
Structure Level Pattern Image Note
TS28: small intestine Present JAX_1295083

Specimen JAX_1295085: postnatal adult; Pard6atm1.1(KOMP)Vlcg/Pard6a+ (more )
Structure Level Pattern Image Note
TS28: pituitary gland Present JAX_1295085

Specimen JAX_1295087: postnatal adult; Pard6atm1.1(KOMP)Vlcg/Pard6a+ (more )
Structure Level Pattern Image Note
TS28: testis Present JAX_1295087

Specimen JAX_1295089: postnatal adult; Pard6atm1.1(KOMP)Vlcg/Pard6a+ (more )
Structure Level Pattern Image Note
TS28: stomach Present JAX_1295089

Specimen JAX_1295091: postnatal adult; Pard6atm1.1(KOMP)Vlcg/Pard6a+ (more )
Structure Level Pattern Image Note
TS28: eye Present JAX_1295091


Contributing Projects:
Mouse Genome Database (MGD), Gene Expression Database (GXD), Mouse Models of Human Cancer database (MMHCdb) (formerly Mouse Tumor Biology (MTB)), Gene Ontology (GO)
Citing These Resources
Funding Information
Warranty Disclaimer, Privacy Notice, Licensing, & Copyright
Send questions and comments to User Support.
last database update
12/30/2025
MGI 6.24
The Jackson Laboratory