About   Help   FAQ
Gene Expression Data
Assay Details
Assay
Reference: J:228563 Koscielny G, et al., The International Mouse Phenotyping Consortium Web Portal, a unified point of access for knockout mice and related phenotyping data. Nucleic Acids Res. 2014 Jan;42(Database issue):D802-9
Assay type: In situ reporter (knock in)
MGI Accession ID: MGI:6692216
Gene symbol: Pdk1
Gene name: pyruvate dehydrogenase kinase, isoenzyme 1
Reporter: lacZ
Direct Detection
Results
Specimen UC Davis_1865836: postnatal adult; Pdk1tm1.1(KOMP)Vlcg/Pdk1+ (more )
Structure Level Pattern Image Note
TS28: trachea Present UC Davis_1865836

Specimen UC Davis_1865837: postnatal adult; Pdk1tm1.1(KOMP)Vlcg/Pdk1+ (more )
Structure Level Pattern Image Note
TS28: thymus Present UC Davis_1865837

Specimen UC Davis_1865838: postnatal adult; Pdk1tm1.1(KOMP)Vlcg/Pdk1+ (more )
Structure Level Pattern Image Note
TS28: jejunum Present UC Davis_1865838

Specimen UC Davis_1865839: postnatal adult; Pdk1tm1.1(KOMP)Vlcg/Pdk1+ (more )
Structure Level Pattern Image Note
TS28: ileum Present UC Davis_1865839

Specimen UC Davis_1865840: postnatal adult; Pdk1tm1.1(KOMP)Vlcg/Pdk1+ (more )
Structure Level Pattern Image Note
TS28: colon Present UC Davis_1865840

Specimen UC Davis_1865841: postnatal adult; Pdk1tm1.1(KOMP)Vlcg/Pdk1+ (more )
Structure Level Pattern Image Note
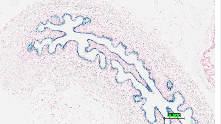
TS28: metanephros Present UC Davis_1865841 kidney

Specimen UC Davis_1865842: postnatal adult; Pdk1tm1.1(KOMP)Vlcg/Pdk1+ (more )
Structure Level Pattern Image Note
TS28: metanephros Present UC Davis_1865842 kidney

Specimen UC Davis_1865843: postnatal adult; Pdk1tm1.1(KOMP)Vlcg/Pdk1+ (more )
Structure Level Pattern Image Note
TS28: eye Present UC Davis_1865843

Specimen UC Davis_1865844: postnatal adult; Pdk1tm1.1(KOMP)Vlcg/Pdk1+ (more )
Structure Level Pattern Image Note
TS28: eye Present UC Davis_1865844

Specimen UC Davis_1865845: postnatal adult; Pdk1tm1.1(KOMP)Vlcg/Pdk1+ (more )
Structure Level Pattern Image Note
TS28: olfactory lobe Present UC Davis_1865845

Specimen UC Davis_1865849: postnatal adult; Pdk1tm1.1(KOMP)Vlcg/Pdk1+ (more )
Structure Level Pattern Image Note
TS28: midbrain Present UC Davis_1865849

Specimen UC Davis_1865811: postnatal adult; Pdk1tm1.1(KOMP)Vlcg/Pdk1+ (more )
Structure Level Pattern Image Note
TS28: trachea Present UC Davis_1865811

Specimen UC Davis_1865812: postnatal adult; Pdk1tm1.1(KOMP)Vlcg/Pdk1+ (more )
Structure Level Pattern Image Note
TS28: trachea Present UC Davis_1865812

Specimen UC Davis_1865813: postnatal adult; Pdk1tm1.1(KOMP)Vlcg/Pdk1+ (more )
Structure Level Pattern Image Note
TS28: esophagus Present UC Davis_1865813

Specimen UC Davis_1865814: postnatal adult; Pdk1tm1.1(KOMP)Vlcg/Pdk1+ (more )
Structure Level Pattern Image Note
TS28: spleen Present UC Davis_1865814

Specimen UC Davis_1865815: postnatal adult; Pdk1tm1.1(KOMP)Vlcg/Pdk1+ (more )
Structure Level Pattern Image Note
TS28: spleen Present UC Davis_1865815

Specimen UC Davis_1865816: postnatal adult; Pdk1tm1.1(KOMP)Vlcg/Pdk1+ (more )
Structure Level Pattern Image Note
TS28: metanephros Present UC Davis_1865816 kidney

Specimen UC Davis_1865817: postnatal adult; Pdk1tm1.1(KOMP)Vlcg/Pdk1+ (more )
Structure Level Pattern Image Note
TS28: metanephros Present UC Davis_1865817 kidney

Specimen UC Davis_1865818: postnatal adult; Pdk1tm1.1(KOMP)Vlcg/Pdk1+ (more )
Structure Level Pattern Image Note
TS28: tongue Present UC Davis_1865818

Specimen UC Davis_1865819: postnatal adult; Pdk1tm1.1(KOMP)Vlcg/Pdk1+ (more )
Structure Level Pattern Image Note
TS28: skin Present UC Davis_1865819

Specimen UC Davis_1865820: postnatal adult; Pdk1tm1.1(KOMP)Vlcg/Pdk1+ (more )
Structure Level Pattern Image Note
TS28: skin Present UC Davis_1865820

Specimen UC Davis_1865821: postnatal adult; Pdk1tm1.1(KOMP)Vlcg/Pdk1+ (more )
Structure Level Pattern Image Note
TS28: olfactory lobe Present UC Davis_1865821

Specimen UC Davis_1865823: postnatal adult; Pdk1tm1.1(KOMP)Vlcg/Pdk1+ (more )
Structure Level Pattern Image Note
TS28: midbrain Present UC Davis_1865823

Specimen UC Davis_1865825: postnatal adult; Pdk1tm1.1(KOMP)Vlcg/Pdk1+ (more )
Structure Level Pattern Image Note
TS28: testis Present UC Davis_1865825

Specimen UC Davis_1865826: postnatal adult; Pdk1tm1.1(KOMP)Vlcg/Pdk1+ (more )
Structure Level Pattern Image Note
TS28: testis Present UC Davis_1865826

Specimen UC Davis_1865827: postnatal adult; Pdk1tm1.1(KOMP)Vlcg/Pdk1+ (more )
Structure Level Pattern Image Note
TS28: epididymis Present UC Davis_1865827

Specimen UC Davis_1865828: postnatal adult; Pdk1tm1.1(KOMP)Vlcg/Pdk1+ (more )
Structure Level Pattern Image Note
TS28: epididymis Present UC Davis_1865828

Specimen UC Davis_1865829: postnatal adult; Pdk1tm1.1(KOMP)Vlcg/Pdk1+ (more )
Structure Level Pattern Image Note
TS28: prostate gland Present UC Davis_1865829

Specimen UC Davis_1865830: postnatal adult; Pdk1tm1.1(KOMP)Vlcg/Pdk1+ (more )
Structure Level Pattern Image Note
TS28: penis Present UC Davis_1865830

Specimen UC Davis_1865831: postnatal adult; Pdk1tm1.1(KOMP)Vlcg/Pdk1+ (more )
Structure Level Pattern Image Note
TS28: penis Present UC Davis_1865831

Specimen UC Davis_1865832: postnatal adult; Pdk1tm1.1(KOMP)Vlcg/Pdk1+ (more )
Structure Level Pattern Image Note
TS28: penis Present UC Davis_1865832

Specimen UC Davis_1865833: postnatal adult; Pdk1tm1.1(KOMP)Vlcg/Pdk1+ (more )
Structure Level Pattern Image Note
TS28: bone marrow Present UC Davis_1865833

Specimen UC Davis_1865834: postnatal adult; Pdk1tm1.1(KOMP)Vlcg/Pdk1+ (more )
Structure Level Pattern Image Note
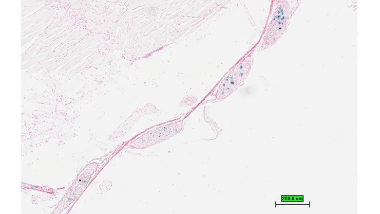
TS28: ductus deferens Present UC Davis_1865834 vas deferens

Specimen UC Davis_1865835: postnatal adult; Pdk1tm1.1(KOMP)Vlcg/Pdk1+ (more )
Structure Level Pattern Image Note
TS28: ductus deferens Present UC Davis_1865835 vas deferens


Contributing Projects:
Mouse Genome Database (MGD), Gene Expression Database (GXD), Mouse Models of Human Cancer database (MMHCdb) (formerly Mouse Tumor Biology (MTB)), Gene Ontology (GO)
Citing These Resources
Funding Information
Warranty Disclaimer, Privacy Notice, Licensing, & Copyright
Send questions and comments to User Support.
last database update
10/07/2025
MGI 6.24
The Jackson Laboratory