About   Help   FAQ
Gene Expression Data
Assay Details
Assay
Reference: J:228563 Koscielny G, et al., The International Mouse Phenotyping Consortium Web Portal, a unified point of access for knockout mice and related phenotyping data. Nucleic Acids Res. 2014 Jan;42(Database issue):D802-9
Assay type: In situ reporter (knock in)
MGI Accession ID: MGI:6692201
Gene symbol: Lpar4
Gene name: lysophosphatidic acid receptor 4
Reporter: lacZ
Direct Detection
Results
Specimen JAX_1127875: embryonic day 12.5; Lpar4tm1.1(KOMP)Vlcg/Lpar4+ (more )
Structure Level Pattern Image Note
TS20: embryo Present JAX_1127875

Specimen JAX_1127877: embryonic day 12.5; Lpar4tm1.1(KOMP)Vlcg/Lpar4+ (more )
Structure Level Pattern Image Note
TS20: embryo Present JAX_1127877

Specimen JAX_1127879: embryonic day 12.5; Lpar4tm1.1(KOMP)Vlcg/Lpar4+ (more )
Structure Level Pattern Image Note
TS20: embryo Present JAX_1127879

Specimen JAX_1127881: embryonic day 12.5; Lpar4tm1.1(KOMP)Vlcg/Lpar4+ (more )
Structure Level Pattern Image Note
TS20: embryo Present JAX_1127881

Specimen JAX_1626429: postnatal adult; Lpar4tm1.1(KOMP)Vlcg/Lpar4+ (more )
Structure Level Pattern Image Note
TS28: vascular system Present JAX_1626429

Specimen JAX_1626430: postnatal adult; Lpar4tm1.1(KOMP)Vlcg/Lpar4+ (more )
Structure Level Pattern Image Note
TS28: peripheral nervous system Present JAX_1626430

Specimen JAX_1626431: postnatal adult; Lpar4tm1.1(KOMP)Vlcg/Lpar4+ (more )
Structure Level Pattern Image Note
TS28: cartilage Present JAX_1626431

Specimen JAX_1626432: postnatal adult; Lpar4tm1.1(KOMP)Vlcg/Lpar4+ (more )
Structure Level Pattern Image Note
TS28: spinal cord Present JAX_1626432

Specimen JAX_1626433: postnatal adult; Lpar4tm1.1(KOMP)Vlcg/Lpar4+ (more )
Structure Level Pattern Image Note
TS28: uterus Present JAX_1626433

Specimen JAX_1626434: postnatal adult; Lpar4tm1.1(KOMP)Vlcg/Lpar4+ (more )
Structure Level Pattern Image Note
TS28: oviduct Present JAX_1626434

Specimen JAX_1626435: postnatal adult; Lpar4tm1.1(KOMP)Vlcg/Lpar4+ (more )
Structure Level Pattern Image Note
TS28: ovary Present JAX_1626435

Specimen JAX_1626402: postnatal adult; Lpar4tm1.1(KOMP)Vlcg/Y (more )
Structure Level Pattern Image Note
TS28: thalamus Present JAX_1626402

Specimen JAX_1626403: postnatal adult; Lpar4tm1.1(KOMP)Vlcg/Y (more )
Structure Level Pattern Image Note
TS28: midbrain Present JAX_1626403

Specimen JAX_1626404: postnatal adult; Lpar4tm1.1(KOMP)Vlcg/Y (more )
Structure Level Pattern Image Note
TS28: epididymis Present JAX_1626404

Specimen JAX_1626405: postnatal adult; Lpar4tm1.1(KOMP)Vlcg/Y (more )
Structure Level Pattern Image Note
TS28: brown fat Present JAX_1626405

Specimen JAX_1626406: postnatal adult; Lpar4tm1.1(KOMP)Vlcg/Y (more )
Structure Level Pattern Image Note
TS28: corpus striatum Present JAX_1626406

Specimen JAX_1626407: postnatal adult; Lpar4tm1.1(KOMP)Vlcg/Y (more )
Structure Level Pattern Image Note
TS28: olfactory lobe Present JAX_1626407

Specimen JAX_1626408: postnatal adult; Lpar4tm1.1(KOMP)Vlcg/Y (more )
Structure Level Pattern Image Note
TS28: hypothalamus Present JAX_1626408

Specimen JAX_1626409: postnatal adult; Lpar4tm1.1(KOMP)Vlcg/Y (more )
Structure Level Pattern Image Note
TS28: hippocampus Present JAX_1626409

Specimen JAX_1626410: postnatal adult; Lpar4tm1.1(KOMP)Vlcg/Y (more )
Structure Level Pattern Image Note
TS28: cerebellum Present JAX_1626410

Specimen JAX_1626411: postnatal adult; Lpar4tm1.1(KOMP)Vlcg/Y (more )
Structure Level Pattern Image Note
TS28: cerebral cortex Present JAX_1626411

Specimen JAX_1626412: postnatal adult; Lpar4tm1.1(KOMP)Vlcg/Y (more )
Structure Level Pattern Image Note
TS28: brainstem Present JAX_1626412

Specimen JAX_1626413: postnatal adult; Lpar4tm1.1(KOMP)Vlcg/Y (more )
Structure Level Pattern Image Note
TS28: pancreas Present JAX_1626413

Specimen JAX_1626414: postnatal adult; Lpar4tm1.1(KOMP)Vlcg/Y (more )
Structure Level Pattern Image Note
TS28: aorta Present JAX_1626414

Specimen JAX_1626415: postnatal adult; Lpar4tm1.1(KOMP)Vlcg/Y (more )
Structure Level Pattern Image Note
TS28: lung Present JAX_1626415

Specimen JAX_1626416: postnatal adult; Lpar4tm1.1(KOMP)Vlcg/Y (more )
Structure Level Pattern Image Note
TS28: white fat Present JAX_1626416

Specimen JAX_1626417: postnatal adult; Lpar4tm1.1(KOMP)Vlcg/Y (more )
Structure Level Pattern Image Note
TS28: small intestine Present JAX_1626417

Specimen JAX_1626418: postnatal adult; Lpar4tm1.1(KOMP)Vlcg/Y (more )
Structure Level Pattern Image Note
TS28: pituitary gland Present JAX_1626418

Specimen JAX_1626419: postnatal adult; Lpar4tm1.1(KOMP)Vlcg/Y (more )
Structure Level Pattern Image Note
TS28: esophagus Present JAX_1626419

Specimen JAX_1626420: postnatal adult; Lpar4tm1.1(KOMP)Vlcg/Y (more )
Structure Level Pattern Image Note
TS28: large intestine Present JAX_1626420

Specimen JAX_1626421: postnatal adult; Lpar4tm1.1(KOMP)Vlcg/Y (more )
Structure Level Pattern Image Note
TS28: trachea Present JAX_1626421

Specimen JAX_1626422: postnatal adult; Lpar4tm1.1(KOMP)Vlcg/Y (more )
Structure Level Pattern Image Note
TS28: testis Present JAX_1626422

Specimen JAX_1626423: postnatal adult; Lpar4tm1.1(KOMP)Vlcg/Y (more )
Structure Level Pattern Image Note
TS28: stomach Present JAX_1626423

Specimen JAX_1626424: postnatal adult; Lpar4tm1.1(KOMP)Vlcg/Y (more )
Structure Level Pattern Image Note
TS28: skin Present JAX_1626424

Specimen JAX_1626425: postnatal adult; Lpar4tm1.1(KOMP)Vlcg/Y (more )
Structure Level Pattern Image Note
TS28: metanephros Present JAX_1626425 kidney

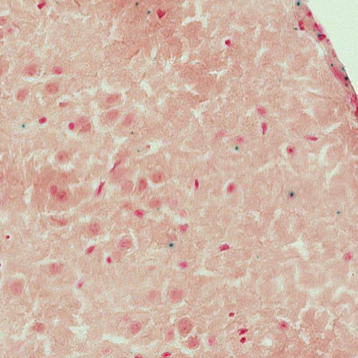
Specimen JAX_1626426: postnatal adult; Lpar4tm1.1(KOMP)Vlcg/Y (more )
Structure Level Pattern Image Note
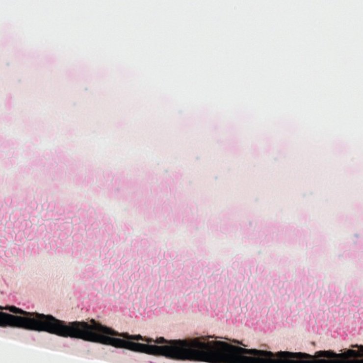
TS28: eye Present JAX_1626426

Specimen JAX_1626427: postnatal adult; Lpar4tm1.1(KOMP)Vlcg/Y (more )
Structure Level Pattern Image Note
TS28: brain Present JAX_1626427

Specimen JAX_1626428: postnatal adult; Lpar4tm1.1(KOMP)Vlcg/Y (more )
Structure Level Pattern Image Note
TS28: adrenal gland Present JAX_1626428


Contributing Projects:
Mouse Genome Database (MGD), Gene Expression Database (GXD), Mouse Models of Human Cancer database (MMHCdb) (formerly Mouse Tumor Biology (MTB)), Gene Ontology (GO)
Citing These Resources
Funding Information
Warranty Disclaimer, Privacy Notice, Licensing, & Copyright
Send questions and comments to User Support.
last database update
01/06/2026
MGI 6.24
The Jackson Laboratory