About   Help   FAQ
Gene Expression Data
Assay Details
Assay
Reference: J:228563 Koscielny G, et al., The International Mouse Phenotyping Consortium Web Portal, a unified point of access for knockout mice and related phenotyping data. Nucleic Acids Res. 2014 Jan;42(Database issue):D802-9
Assay type: In situ reporter (knock in)
MGI Accession ID: MGI:6692200
Gene symbol: Atrip
Gene name: ATR interacting protein
Reporter: lacZ
Direct Detection
Results
Specimen JAX_1799733: postnatal adult; Atriptm1b(KOMP)Wtsi/Atrip+ (more )
Structure Level Pattern Image Note
TS28: thalamus Present JAX_1799733

Specimen JAX_1799734: postnatal adult; Atriptm1b(KOMP)Wtsi/Atrip+ (more )
Structure Level Pattern Image Note
TS28: midbrain Present JAX_1799734

Specimen JAX_1799735: postnatal adult; Atriptm1b(KOMP)Wtsi/Atrip+ (more )
Structure Level Pattern Image Note
TS28: submandibular gland Present JAX_1799735

Specimen JAX_1799736: postnatal adult; Atriptm1b(KOMP)Wtsi/Atrip+ (more )
Structure Level Pattern Image Note
TS28: corpus striatum Present JAX_1799736

Specimen JAX_1799737: postnatal adult; Atriptm1b(KOMP)Wtsi/Atrip+ (more )
Structure Level Pattern Image Note
TS28: olfactory lobe Present JAX_1799737

Specimen JAX_1799738: postnatal adult; Atriptm1b(KOMP)Wtsi/Atrip+ (more )
Structure Level Pattern Image Note
TS28: hypothalamus Present JAX_1799738

Specimen JAX_1799739: postnatal adult; Atriptm1b(KOMP)Wtsi/Atrip+ (more )
Structure Level Pattern Image Note
TS28: hippocampus Present JAX_1799739

Specimen JAX_1799740: postnatal adult; Atriptm1b(KOMP)Wtsi/Atrip+ (more )
Structure Level Pattern Image Note
TS28: cerebellum Present JAX_1799740

Specimen JAX_1799741: postnatal adult; Atriptm1b(KOMP)Wtsi/Atrip+ (more )
Structure Level Pattern Image Note
TS28: cerebral cortex Present JAX_1799741

Specimen JAX_1799742: postnatal adult; Atriptm1b(KOMP)Wtsi/Atrip+ (more )
Structure Level Pattern Image Note
TS28: cartilage Present JAX_1799742

Specimen JAX_1799743: postnatal adult; Atriptm1b(KOMP)Wtsi/Atrip+ (more )
Structure Level Pattern Image Note
TS28: brainstem Present JAX_1799743

Specimen JAX_1799744: postnatal adult; Atriptm1b(KOMP)Wtsi/Atrip+ (more )
Structure Level Pattern Image Note
TS28: small intestine Present JAX_1799744

Specimen JAX_1799745: postnatal adult; Atriptm1b(KOMP)Wtsi/Atrip+ (more )
Structure Level Pattern Image Note
TS28: pituitary gland Present JAX_1799745

Specimen JAX_1799746: postnatal adult; Atriptm1b(KOMP)Wtsi/Atrip+ (more )
Structure Level Pattern Image Note
TS28: spinal cord Present JAX_1799746

Specimen JAX_1799747: postnatal adult; Atriptm1b(KOMP)Wtsi/Atrip+ (more )
Structure Level Pattern Image Note
TS28: large intestine Present JAX_1799747

Specimen JAX_1799748: postnatal adult; Atriptm1b(KOMP)Wtsi/Atrip+ (more )
Structure Level Pattern Image Note
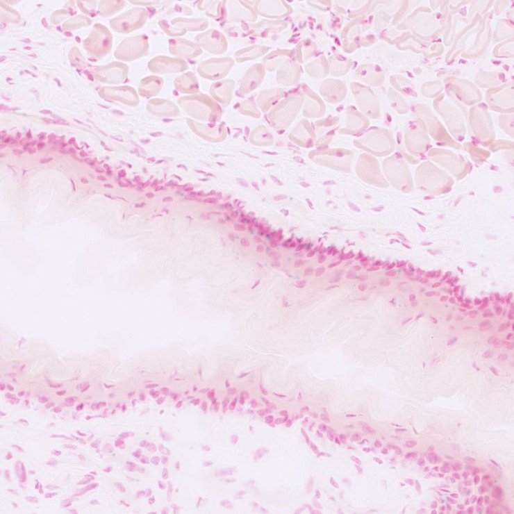
TS28: trachea Present JAX_1799748

Specimen JAX_1799749: postnatal adult; Atriptm1b(KOMP)Wtsi/Atrip+ (more )
Structure Level Pattern Image Note
TS28: stomach Present JAX_1799749

Specimen JAX_1799750: postnatal adult; Atriptm1b(KOMP)Wtsi/Atrip+ (more )
Structure Level Pattern Image Note
TS28: eye Present JAX_1799750

Specimen JAX_1799751: postnatal adult; Atriptm1b(KOMP)Wtsi/Atrip+ (more )
Structure Level Pattern Image Note
TS28: brain Present JAX_1799751

Specimen JAX_1799752: postnatal adult; Atriptm1b(KOMP)Wtsi/Atrip+ (more )
Structure Level Pattern Image Note
TS28: vascular system Present JAX_1799752

Specimen JAX_1799753: postnatal adult; Atriptm1b(KOMP)Wtsi/Atrip+ (more )
Structure Level Pattern Image Note
TS28: epididymis Present JAX_1799753

Specimen JAX_1799754: postnatal adult; Atriptm1b(KOMP)Wtsi/Atrip+ (more )
Structure Level Pattern Image Note
TS28: bladder Present JAX_1799754

Specimen JAX_1799755: postnatal adult; Atriptm1b(KOMP)Wtsi/Atrip+ (more )
Structure Level Pattern Image Note
TS28: spleen Present JAX_1799755

Specimen JAX_1799756: postnatal adult; Atriptm1b(KOMP)Wtsi/Atrip+ (more )
Structure Level Pattern Image Note
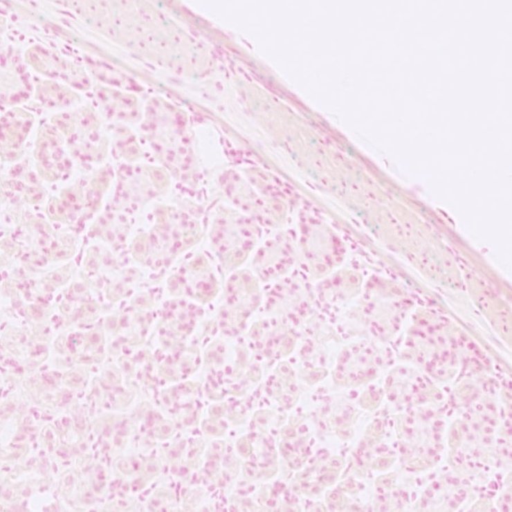
TS28: pancreas Present JAX_1799756

Specimen JAX_1799757: postnatal adult; Atriptm1b(KOMP)Wtsi/Atrip+ (more )
Structure Level Pattern Image Note
TS28: aorta Present JAX_1799757

Specimen JAX_1799758: postnatal adult; Atriptm1b(KOMP)Wtsi/Atrip+ (more )
Structure Level Pattern Image Note
TS28: lung Present JAX_1799758

Specimen JAX_1799759: postnatal adult; Atriptm1b(KOMP)Wtsi/Atrip+ (more )
Structure Level Pattern Image Note
TS28: esophagus Present JAX_1799759

Specimen JAX_1799760: postnatal adult; Atriptm1b(KOMP)Wtsi/Atrip+ (more )
Structure Level Pattern Image Note
TS28: testis Present JAX_1799760

Specimen JAX_1799761: postnatal adult; Atriptm1b(KOMP)Wtsi/Atrip+ (more )
Structure Level Pattern Image Note
TS28: skin Present JAX_1799761

Specimen JAX_1799762: postnatal adult; Atriptm1b(KOMP)Wtsi/Atrip+ (more )
Structure Level Pattern Image Note
TS28: metanephros Present JAX_1799762 kidney

Specimen JAX_1799763: postnatal adult; Atriptm1b(KOMP)Wtsi/Atrip+ (more )
Structure Level Pattern Image Note
TS28: heart Present JAX_1799763

Specimen JAX_1799764: postnatal adult; Atriptm1b(KOMP)Wtsi/Atrip+ (more )
Structure Level Pattern Image Note
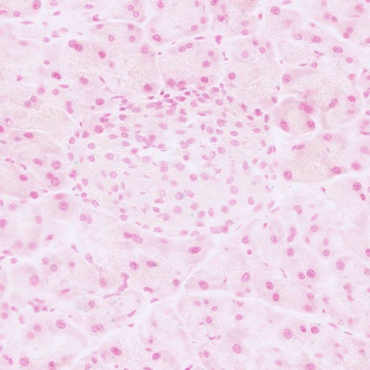
TS28: adrenal gland Present JAX_1799764


Contributing Projects:
Mouse Genome Database (MGD), Gene Expression Database (GXD), Mouse Models of Human Cancer database (MMHCdb) (formerly Mouse Tumor Biology (MTB)), Gene Ontology (GO)
Citing These Resources
Funding Information
Warranty Disclaimer, Privacy Notice, Licensing, & Copyright
Send questions and comments to User Support.
last database update
03/24/2026
MGI 6.24
The Jackson Laboratory