About   Help   FAQ
Gene Expression Data
Assay Details
Assay
Reference: J:228563 Koscielny G, et al., The International Mouse Phenotyping Consortium Web Portal, a unified point of access for knockout mice and related phenotyping data. Nucleic Acids Res. 2014 Jan;42(Database issue):D802-9
Assay type: In situ reporter (knock in)
MGI Accession ID: MGI:6692197
Gene symbol: Prune1
Gene name: prune exopolyphosphatase
Reporter: lacZ
Direct Detection
Results
Specimen UC Davis_1876424: postnatal adult; Prune1tm1.1(KOMP)Vlcg/Prune1+ (more )
Structure Level Pattern Image Note
TS28: parathyroid gland Present UC Davis_1876424

Specimen UC Davis_1876425: postnatal adult; Prune1tm1.1(KOMP)Vlcg/Prune1+ (more )
Structure Level Pattern Image Note
TS28: parathyroid gland Present UC Davis_1876425

Specimen UC Davis_1876426: postnatal adult; Prune1tm1.1(KOMP)Vlcg/Prune1+ (more )
Structure Level Pattern Image Note
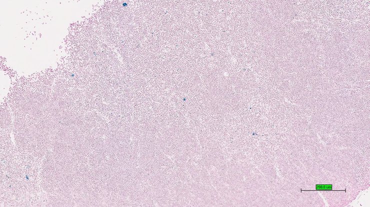
TS28: thymus Present UC Davis_1876426

Specimen UC Davis_1876427: postnatal adult; Prune1tm1.1(KOMP)Vlcg/Prune1+ (more )
Structure Level Pattern Image Note
TS28: thymus Present UC Davis_1876427

Specimen UC Davis_1876428: postnatal adult; Prune1tm1.1(KOMP)Vlcg/Prune1+ (more )
Structure Level Pattern Image Note
TS28: thymus Present UC Davis_1876428

Specimen UC Davis_1876433: postnatal adult; Prune1tm1.1(KOMP)Vlcg/Prune1+ (more )
Structure Level Pattern Image Note
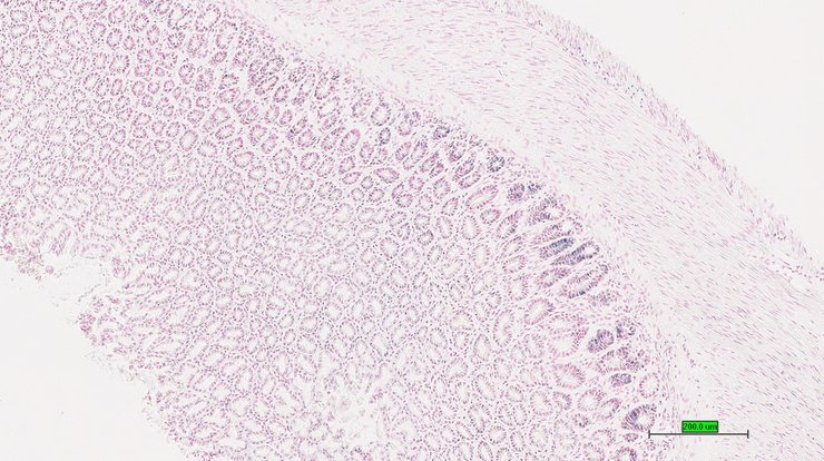
TS28: stomach Present UC Davis_1876433

Specimen UC Davis_1876434: postnatal adult; Prune1tm1.1(KOMP)Vlcg/Prune1+ (more )
Structure Level Pattern Image Note
TS28: stomach Present UC Davis_1876434

Specimen UC Davis_1876435: postnatal adult; Prune1tm1.1(KOMP)Vlcg/Prune1+ (more )
Structure Level Pattern Image Note
TS28: stomach Present UC Davis_1876435

Specimen UC Davis_1876436: postnatal adult; Prune1tm1.1(KOMP)Vlcg/Prune1+ (more )
Structure Level Pattern Image Note
TS28: duodenum Present UC Davis_1876436

Specimen UC Davis_1876437: postnatal adult; Prune1tm1.1(KOMP)Vlcg/Prune1+ (more )
Structure Level Pattern Image Note
TS28: ileum Present UC Davis_1876437

Specimen UC Davis_1876438: postnatal adult; Prune1tm1.1(KOMP)Vlcg/Prune1+ (more )
Structure Level Pattern Image Note
TS28: colon Present UC Davis_1876438

Specimen UC Davis_1876439: postnatal adult; Prune1tm1.1(KOMP)Vlcg/Prune1+ (more )
Structure Level Pattern Image Note
TS28: cecum Present UC Davis_1876439

Specimen UC Davis_1876440: postnatal adult; Prune1tm1.1(KOMP)Vlcg/Prune1+ (more )
Structure Level Pattern Image Note
TS28: pancreas Present UC Davis_1876440

Specimen UC Davis_1876441: postnatal adult; Prune1tm1.1(KOMP)Vlcg/Prune1+ (more )
Structure Level Pattern Image Note
TS28: metanephros Present UC Davis_1876441 kidney

Specimen UC Davis_1876442: postnatal adult; Prune1tm1.1(KOMP)Vlcg/Prune1+ (more )
Structure Level Pattern Image Note
TS28: metanephros Present UC Davis_1876442 kidney

Specimen UC Davis_1876443: postnatal adult; Prune1tm1.1(KOMP)Vlcg/Prune1+ (more )
Structure Level Pattern Image Note
TS28: metanephros Present UC Davis_1876443 kidney

Specimen UC Davis_1876444: postnatal adult; Prune1tm1.1(KOMP)Vlcg/Prune1+ (more )
Structure Level Pattern Image Note
TS28: adrenal gland Present UC Davis_1876444

Specimen UC Davis_1876445: postnatal adult; Prune1tm1.1(KOMP)Vlcg/Prune1+ (more )
Structure Level Pattern Image Note
TS28: adrenal gland Present UC Davis_1876445

Specimen UC Davis_1876446: postnatal adult; Prune1tm1.1(KOMP)Vlcg/Prune1+ (more )
Structure Level Pattern Image Note
TS28: pituitary gland Present UC Davis_1876446

Specimen UC Davis_1876447: postnatal adult; Prune1tm1.1(KOMP)Vlcg/Prune1+ (more )
Structure Level Pattern Image Note
TS28: spinal cord Present UC Davis_1876447

Specimen UC Davis_1876448: postnatal adult; Prune1tm1.1(KOMP)Vlcg/Prune1+ (more )
Structure Level Pattern Image Note
TS28: Harderian gland Present UC Davis_1876448

Specimen UC Davis_1876449: postnatal adult; Prune1tm1.1(KOMP)Vlcg/Prune1+ (more )
Structure Level Pattern Image Note
TS28: skin Present UC Davis_1876449

Specimen UC Davis_1876450: postnatal adult; Prune1tm1.1(KOMP)Vlcg/Prune1+ (more )
Structure Level Pattern Image Note
TS28: skin Present UC Davis_1876450

Specimen UC Davis_1876451: postnatal adult; Prune1tm1.1(KOMP)Vlcg/Prune1+ (more )
Structure Level Pattern Image Note
TS28: ovary Present UC Davis_1876451

Specimen UC Davis_1876452: postnatal adult; Prune1tm1.1(KOMP)Vlcg/Prune1+ (more )
Structure Level Pattern Image Note
TS28: ovary Present UC Davis_1876452

Specimen UC Davis_1876453: postnatal adult; Prune1tm1.1(KOMP)Vlcg/Prune1+ (more )
Structure Level Pattern Image Note
TS28: ovary Present UC Davis_1876453

Specimen UC Davis_1876454: postnatal adult; Prune1tm1.1(KOMP)Vlcg/Prune1+ (more )
Structure Level Pattern Image Note
TS28: oviduct Present UC Davis_1876454

Specimen UC Davis_1876455: postnatal adult; Prune1tm1.1(KOMP)Vlcg/Prune1+ (more )
Structure Level Pattern Image Note
TS28: oviduct Present UC Davis_1876455

Specimen UC Davis_1876456: postnatal adult; Prune1tm1.1(KOMP)Vlcg/Prune1+ (more )
Structure Level Pattern Image Note
TS28: oviduct Present UC Davis_1876456

Specimen UC Davis_1876457: postnatal adult; Prune1tm1.1(KOMP)Vlcg/Prune1+ (more )
Structure Level Pattern Image Note
TS28: uterus Present UC Davis_1876457

Specimen UC Davis_1876458: postnatal adult; Prune1tm1.1(KOMP)Vlcg/Prune1+ (more )
Structure Level Pattern Image Note
TS28: uterus Present UC Davis_1876458

Specimen UC Davis_1876459: postnatal adult; Prune1tm1.1(KOMP)Vlcg/Prune1+ (more )
Structure Level Pattern Image Note
TS28: vagina Present UC Davis_1876459

Specimen UC Davis_1876460: postnatal adult; Prune1tm1.1(KOMP)Vlcg/Prune1+ (more )
Structure Level Pattern Image Note
TS28: vagina Present UC Davis_1876460

Specimen UC Davis_1876461: postnatal adult; Prune1tm1.1(KOMP)Vlcg/Prune1+ (more )
Structure Level Pattern Image Note
TS28: vagina Present UC Davis_1876461

Specimen UC Davis_1876462: postnatal adult; Prune1tm1.1(KOMP)Vlcg/Prune1+ (more )
Structure Level Pattern Image Note
TS28: bladder Present UC Davis_1876462

Specimen UC Davis_1876463: postnatal adult; Prune1tm1.1(KOMP)Vlcg/Prune1+ (more )
Structure Level Pattern Image Note
TS28: mammary gland Present UC Davis_1876463

Specimen UC Davis_1876464: postnatal adult; Prune1tm1.1(KOMP)Vlcg/Prune1+ (more )
Structure Level Pattern Image Note
TS28: sublingual gland Present UC Davis_1876464

Specimen UC Davis_1876465: postnatal adult; Prune1tm1.1(KOMP)Vlcg/Prune1+ (more )
Structure Level Pattern Image Note
TS28: trachea Present UC Davis_1876465

Specimen UC Davis_1876466: postnatal adult; Prune1tm1.1(KOMP)Vlcg/Prune1+ (more )
Structure Level Pattern Image Note
TS28: trachea Present UC Davis_1876466

Specimen UC Davis_1876467: postnatal adult; Prune1tm1.1(KOMP)Vlcg/Prune1+ (more )
Structure Level Pattern Image Note
TS28: esophagus Present UC Davis_1876467

Specimen UC Davis_1876468: postnatal adult; Prune1tm1.1(KOMP)Vlcg/Prune1+ (more )
Structure Level Pattern Image Note
TS28: thyroid gland Present UC Davis_1876468

Specimen UC Davis_1876470: postnatal adult; Prune1tm1.1(KOMP)Vlcg/Prune1+ (more )
Structure Level Pattern Image Note
TS28: parathyroid gland Present UC Davis_1876470

Specimen UC Davis_1876471: postnatal adult; Prune1tm1.1(KOMP)Vlcg/Prune1+ (more )
Structure Level Pattern Image Note
TS28: thymus Present UC Davis_1876471

Specimen UC Davis_1876475: postnatal adult; Prune1tm1.1(KOMP)Vlcg/Prune1+ (more )
Structure Level Pattern Image Note
TS28: stomach Present UC Davis_1876475

Specimen UC Davis_1876476: postnatal adult; Prune1tm1.1(KOMP)Vlcg/Prune1+ (more )
Structure Level Pattern Image Note
TS28: stomach Present UC Davis_1876476

Specimen UC Davis_1876477: postnatal adult; Prune1tm1.1(KOMP)Vlcg/Prune1+ (more )
Structure Level Pattern Image Note
TS28: jejunum Present UC Davis_1876477

Specimen UC Davis_1876478: postnatal adult; Prune1tm1.1(KOMP)Vlcg/Prune1+ (more )
Structure Level Pattern Image Note
TS28: jejunum Present UC Davis_1876478

Specimen UC Davis_1876479: postnatal adult; Prune1tm1.1(KOMP)Vlcg/Prune1+ (more )
Structure Level Pattern Image Note
TS28: ileum Present UC Davis_1876479

Specimen UC Davis_1876480: postnatal adult; Prune1tm1.1(KOMP)Vlcg/Prune1+ (more )
Structure Level Pattern Image Note
TS28: colon Present UC Davis_1876480

Specimen UC Davis_1876481: postnatal adult; Prune1tm1.1(KOMP)Vlcg/Prune1+ (more )
Structure Level Pattern Image Note
TS28: colon Present UC Davis_1876481

Specimen UC Davis_1876482: postnatal adult; Prune1tm1.1(KOMP)Vlcg/Prune1+ (more )
Structure Level Pattern Image Note
TS28: cecum Present UC Davis_1876482

Specimen UC Davis_1876483: postnatal adult; Prune1tm1.1(KOMP)Vlcg/Prune1+ (more )
Structure Level Pattern Image Note
TS28: pancreas Present UC Davis_1876483

Specimen UC Davis_1876484: postnatal adult; Prune1tm1.1(KOMP)Vlcg/Prune1+ (more )
Structure Level Pattern Image Note
TS28: metanephros Present UC Davis_1876484 kidney

Specimen UC Davis_1876485: postnatal adult; Prune1tm1.1(KOMP)Vlcg/Prune1+ (more )
Structure Level Pattern Image Note
TS28: metanephros Present UC Davis_1876485 kidney

Specimen UC Davis_1876486: postnatal adult; Prune1tm1.1(KOMP)Vlcg/Prune1+ (more )
Structure Level Pattern Image Note
TS28: metanephros Present UC Davis_1876486 kidney

Specimen UC Davis_1876487: postnatal adult; Prune1tm1.1(KOMP)Vlcg/Prune1+ (more )
Structure Level Pattern Image Note
TS28: metanephros Present UC Davis_1876487 kidney

Specimen UC Davis_1876488: postnatal adult; Prune1tm1.1(KOMP)Vlcg/Prune1+ (more )
Structure Level Pattern Image Note
TS28: tongue Present UC Davis_1876488

Specimen UC Davis_1876489: postnatal adult; Prune1tm1.1(KOMP)Vlcg/Prune1+ (more )
Structure Level Pattern Image Note
TS28: adrenal gland Present UC Davis_1876489

Specimen UC Davis_1876490: postnatal adult; Prune1tm1.1(KOMP)Vlcg/Prune1+ (more )
Structure Level Pattern Image Note
TS28: adrenal gland Present UC Davis_1876490

Specimen UC Davis_1876491: postnatal adult; Prune1tm1.1(KOMP)Vlcg/Prune1+ (more )
Structure Level Pattern Image Note
TS28: pituitary gland Present UC Davis_1876491

Specimen UC Davis_1876492: postnatal adult; Prune1tm1.1(KOMP)Vlcg/Prune1+ (more )
Structure Level Pattern Image Note
TS28: pituitary gland Present UC Davis_1876492

Specimen UC Davis_1876493: postnatal adult; Prune1tm1.1(KOMP)Vlcg/Prune1+ (more )
Structure Level Pattern Image Note
TS28: spinal cord Present UC Davis_1876493

Specimen UC Davis_1876494: postnatal adult; Prune1tm1.1(KOMP)Vlcg/Prune1+ (more )
Structure Level Pattern Image Note
TS28: spinal cord Present UC Davis_1876494

Specimen UC Davis_1876495: postnatal adult; Prune1tm1.1(KOMP)Vlcg/Prune1+ (more )
Structure Level Pattern Image Note
TS28: eye Present UC Davis_1876495

Specimen UC Davis_1876496: postnatal adult; Prune1tm1.1(KOMP)Vlcg/Prune1+ (more )
Structure Level Pattern Image Note
TS28: eye Present UC Davis_1876496

Specimen UC Davis_1876499: postnatal adult; Prune1tm1.1(KOMP)Vlcg/Prune1+ (more )
Structure Level Pattern Image Note
TS28: Harderian gland Present UC Davis_1876499

Specimen UC Davis_1876500: postnatal adult; Prune1tm1.1(KOMP)Vlcg/Prune1+ (more )
Structure Level Pattern Image Note
TS28: Harderian gland Present UC Davis_1876500

Specimen UC Davis_1876501: postnatal adult; Prune1tm1.1(KOMP)Vlcg/Prune1+ (more )
Structure Level Pattern Image Note
TS28: skin Present UC Davis_1876501

Specimen UC Davis_1876502: postnatal adult; Prune1tm1.1(KOMP)Vlcg/Prune1+ (more )
Structure Level Pattern Image Note
TS28: skin Present UC Davis_1876502

Specimen UC Davis_1876503: postnatal adult; Prune1tm1.1(KOMP)Vlcg/Prune1+ (more )
Structure Level Pattern Image Note
TS28: olfactory lobe Present UC Davis_1876503

Specimen UC Davis_1876506: postnatal adult; Prune1tm1.1(KOMP)Vlcg/Prune1+ (more )
Structure Level Pattern Image Note
TS28: midbrain Present UC Davis_1876506

Specimen UC Davis_1876508: postnatal adult; Prune1tm1.1(KOMP)Vlcg/Prune1+ (more )
Structure Level Pattern Image Note
TS28: trigeminal nerve Present UC Davis_1876508

Specimen UC Davis_1876509: postnatal adult; Prune1tm1.1(KOMP)Vlcg/Prune1+ (more )
Structure Level Pattern Image Note
TS28: bladder Present UC Davis_1876509

Specimen UC Davis_1876510: postnatal adult; Prune1tm1.1(KOMP)Vlcg/Prune1+ (more )
Structure Level Pattern Image Note
TS28: testis Present UC Davis_1876510

Specimen UC Davis_1876511: postnatal adult; Prune1tm1.1(KOMP)Vlcg/Prune1+ (more )
Structure Level Pattern Image Note
TS28: testis Present UC Davis_1876511

Specimen UC Davis_1876512: postnatal adult; Prune1tm1.1(KOMP)Vlcg/Prune1+ (more )
Structure Level Pattern Image Note
TS28: epididymis Present UC Davis_1876512

Specimen UC Davis_1876513: postnatal adult; Prune1tm1.1(KOMP)Vlcg/Prune1+ (more )
Structure Level Pattern Image Note
TS28: epididymis Present UC Davis_1876513

Specimen UC Davis_1876514: postnatal adult; Prune1tm1.1(KOMP)Vlcg/Prune1+ (more )
Structure Level Pattern Image Note
TS28: prostate gland Present UC Davis_1876514

Specimen UC Davis_1876515: postnatal adult; Prune1tm1.1(KOMP)Vlcg/Prune1+ (more )
Structure Level Pattern Image Note
TS28: penis Present UC Davis_1876515

Specimen UC Davis_1876517: postnatal adult; Prune1tm1.1(KOMP)Vlcg/Prune1+ (more )
Structure Level Pattern Image Note
TS28: ductus deferens Present UC Davis_1876517 vas deferens

Specimen UC Davis_1876518: postnatal adult; Prune1tm1.1(KOMP)Vlcg/Prune1+ (more )
Structure Level Pattern Image Note
TS28: ductus deferens Present UC Davis_1876518 vas deferens


Contributing Projects:
Mouse Genome Database (MGD), Gene Expression Database (GXD), Mouse Models of Human Cancer database (MMHCdb) (formerly Mouse Tumor Biology (MTB)), Gene Ontology (GO)
Citing These Resources
Funding Information
Warranty Disclaimer, Privacy Notice, Licensing, & Copyright
Send questions and comments to User Support.
last database update
01/20/2026
MGI 6.24
The Jackson Laboratory