About   Help   FAQ
Gene Expression Data
Assay Details
Assay
Reference: J:228563 Koscielny G, et al., The International Mouse Phenotyping Consortium Web Portal, a unified point of access for knockout mice and related phenotyping data. Nucleic Acids Res. 2014 Jan;42(Database issue):D802-9
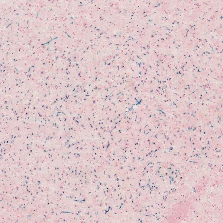
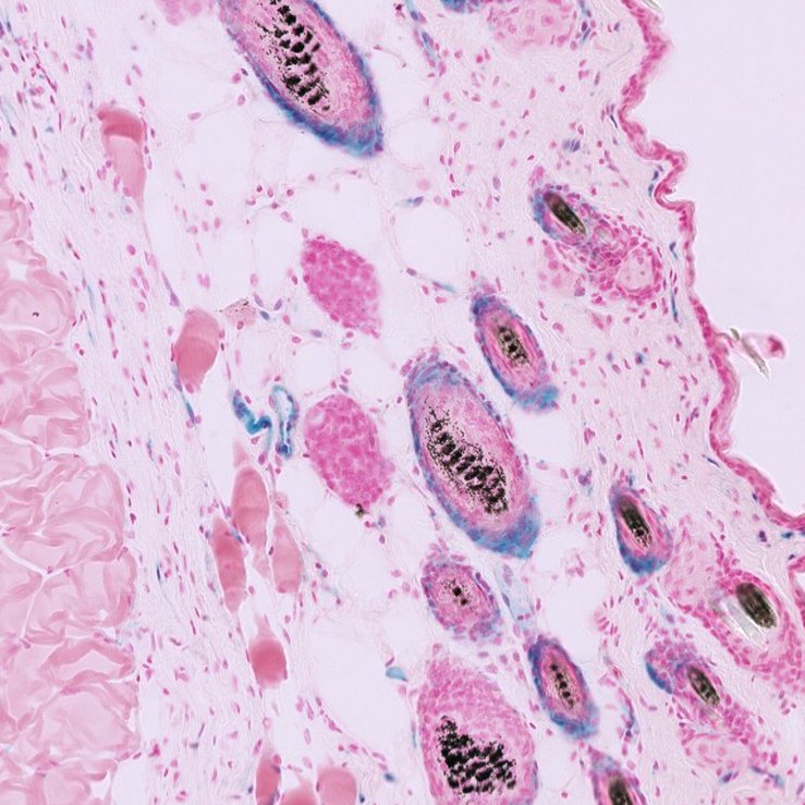
Assay type: In situ reporter (knock in)
MGI Accession ID: MGI:6692186
Gene symbol: Heg1
Gene name: heart development protein with EGF-like domains 1
Reporter: lacZ
Direct Detection
Results
Specimen JAX_1127351: embryonic day 12.5; Heg1tm1.1(KOMP)Vlcg/Heg1+ (more )
Structure Level Pattern Image Note
TS20: embryo Present JAX_1127351

Specimen JAX_1127353: embryonic day 12.5; Heg1tm1.1(KOMP)Vlcg/Heg1+ (more )
Structure Level Pattern Image Note
TS20: embryo Present JAX_1127353

Specimen JAX_1127355: embryonic day 12.5; Heg1tm1.1(KOMP)Vlcg/Heg1+ (more )
Structure Level Pattern Image Note
TS20: embryo Present JAX_1127355

Specimen JAX_1127357: embryonic day 12.5; Heg1tm1.1(KOMP)Vlcg/Heg1+ (more )
Structure Level Pattern Image Note
TS20: embryo Present JAX_1127357

Specimen JAX_1127359: embryonic day 12.5; Heg1tm1.1(KOMP)Vlcg/Heg1+ (more )
Structure Level Pattern Image Note
TS20: embryo Present JAX_1127359

Specimen JAX_1127361: embryonic day 12.5; Heg1tm1.1(KOMP)Vlcg/Heg1+ (more )
Structure Level Pattern Image Note
TS20: embryo Present JAX_1127361

Specimen JAX_1127363: embryonic day 12.5; Heg1tm1.1(KOMP)Vlcg/Heg1+ (more )
Structure Level Pattern Image Note
TS20: embryo Present JAX_1127363

Specimen JAX_1127365: embryonic day 12.5; Heg1tm1.1(KOMP)Vlcg/Heg1+ (more )
Structure Level Pattern Image Note
TS20: embryo Present JAX_1127365

Specimen JAX_1470455: postnatal adult; Heg1tm1.1(KOMP)Vlcg/Heg1+ (more )
Structure Level Pattern Image Note
TS28: thalamus Present JAX_1470455

Specimen JAX_1470456: postnatal adult; Heg1tm1.1(KOMP)Vlcg/Heg1+ (more )
Structure Level Pattern Image Note
TS28: midbrain Present JAX_1470456

Specimen JAX_1470457: postnatal adult; Heg1tm1.1(KOMP)Vlcg/Heg1+ (more )
Structure Level Pattern Image Note
TS28: submandibular gland Present JAX_1470457

Specimen JAX_1470458: postnatal adult; Heg1tm1.1(KOMP)Vlcg/Heg1+ (more )
Structure Level Pattern Image Note
TS28: brown fat Present JAX_1470458

Specimen JAX_1470459: postnatal adult; Heg1tm1.1(KOMP)Vlcg/Heg1+ (more )
Structure Level Pattern Image Note
TS28: bladder Present JAX_1470459

Specimen JAX_1470460: postnatal adult; Heg1tm1.1(KOMP)Vlcg/Heg1+ (more )
Structure Level Pattern Image Note
TS28: corpus striatum Present JAX_1470460

Specimen JAX_1470461: postnatal adult; Heg1tm1.1(KOMP)Vlcg/Heg1+ (more )
Structure Level Pattern Image Note
TS28: hypothalamus Present JAX_1470461

Specimen JAX_1470462: postnatal adult; Heg1tm1.1(KOMP)Vlcg/Heg1+ (more )
Structure Level Pattern Image Note
TS28: brainstem Present JAX_1470462

Specimen JAX_1470463: postnatal adult; Heg1tm1.1(KOMP)Vlcg/Heg1+ (more )
Structure Level Pattern Image Note
TS28: lung Present JAX_1470463

Specimen JAX_1470464: postnatal adult; Heg1tm1.1(KOMP)Vlcg/Heg1+ (more )
Structure Level Pattern Image Note
TS28: white fat Present JAX_1470464

Specimen JAX_1470465: postnatal adult; Heg1tm1.1(KOMP)Vlcg/Heg1+ (more )
Structure Level Pattern Image Note
TS28: small intestine Present JAX_1470465

Specimen JAX_1470466: postnatal adult; Heg1tm1.1(KOMP)Vlcg/Heg1+ (more )
Structure Level Pattern Image Note
TS28: pituitary gland Present JAX_1470466

Specimen JAX_1470467: postnatal adult; Heg1tm1.1(KOMP)Vlcg/Heg1+ (more )
Structure Level Pattern Image Note
TS28: spinal cord Present JAX_1470467

Specimen JAX_1470468: postnatal adult; Heg1tm1.1(KOMP)Vlcg/Heg1+ (more )
Structure Level Pattern Image Note
TS28: uterus Present JAX_1470468

Specimen JAX_1470469: postnatal adult; Heg1tm1.1(KOMP)Vlcg/Heg1+ (more )
Structure Level Pattern Image Note
TS28: thymus Present JAX_1470469

Specimen JAX_1470470: postnatal adult; Heg1tm1.1(KOMP)Vlcg/Heg1+ (more )
Structure Level Pattern Image Note
TS28: stomach Present JAX_1470470

Specimen JAX_1470471: postnatal adult; Heg1tm1.1(KOMP)Vlcg/Heg1+ (more )
Structure Level Pattern Image Note
TS28: skin Present JAX_1470471

Specimen JAX_1470472: postnatal adult; Heg1tm1.1(KOMP)Vlcg/Heg1+ (more )
Structure Level Pattern Image Note
TS28: oviduct Present JAX_1470472

Specimen JAX_1470473: postnatal adult; Heg1tm1.1(KOMP)Vlcg/Heg1+ (more )
Structure Level Pattern Image Note
TS28: ovary Present JAX_1470473

Specimen JAX_1470474: postnatal adult; Heg1tm1.1(KOMP)Vlcg/Heg1+ (more )
Structure Level Pattern Image Note
TS28: mammary gland Present JAX_1470474

Specimen JAX_1470475: postnatal adult; Heg1tm1.1(KOMP)Vlcg/Heg1+ (more )
Structure Level Pattern Image Note
TS28: liver Present JAX_1470475

Specimen JAX_1470476: postnatal adult; Heg1tm1.1(KOMP)Vlcg/Heg1+ (more )
Structure Level Pattern Image Note
TS28: heart Present JAX_1470476

Specimen JAX_1470434: postnatal adult; Heg1tm1.1(KOMP)Vlcg/Heg1+ (more )
Structure Level Pattern Image Note
TS28: vascular system Present JAX_1470434

Specimen JAX_1470435: postnatal adult; Heg1tm1.1(KOMP)Vlcg/Heg1+ (more )
Structure Level Pattern Image Note
TS28: epididymis Present JAX_1470435

Specimen JAX_1470436: postnatal adult; Heg1tm1.1(KOMP)Vlcg/Heg1+ (more )
Structure Level Pattern Image Note
TS28: Peyer's patch Present JAX_1470436

Specimen JAX_1470437: postnatal adult; Heg1tm1.1(KOMP)Vlcg/Heg1+ (more )
Structure Level Pattern Image Note
TS28: olfactory lobe Present JAX_1470437

Specimen JAX_1470438: postnatal adult; Heg1tm1.1(KOMP)Vlcg/Heg1+ (more )
Structure Level Pattern Image Note
TS28: hippocampus Present JAX_1470438

Specimen JAX_1470439: postnatal adult; Heg1tm1.1(KOMP)Vlcg/Heg1+ (more )
Structure Level Pattern Image Note
TS28: cerebellum Present JAX_1470439

Specimen JAX_1470440: postnatal adult; Heg1tm1.1(KOMP)Vlcg/Heg1+ (more )
Structure Level Pattern Image Note
TS28: cerebral cortex Present JAX_1470440

Specimen JAX_1470441: postnatal adult; Heg1tm1.1(KOMP)Vlcg/Heg1+ (more )
Structure Level Pattern Image Note
TS28: spleen Present JAX_1470441

Specimen JAX_1470442: postnatal adult; Heg1tm1.1(KOMP)Vlcg/Heg1+ (more )
Structure Level Pattern Image Note
TS28: pancreas Present JAX_1470442

Specimen JAX_1470443: postnatal adult; Heg1tm1.1(KOMP)Vlcg/Heg1+ (more )
Structure Level Pattern Image Note
TS28: aorta Present JAX_1470443

Specimen JAX_1470444: postnatal adult; Heg1tm1.1(KOMP)Vlcg/Heg1+ (more )
Structure Level Pattern Image Note
TS28: skeletal muscle tissue Present JAX_1470444

Specimen JAX_1470445: postnatal adult; Heg1tm1.1(KOMP)Vlcg/Heg1+ (more )
Structure Level Pattern Image Note
TS28: thyroid gland Present JAX_1470445

Specimen JAX_1470446: postnatal adult; Heg1tm1.1(KOMP)Vlcg/Heg1+ (more )
Structure Level Pattern Image Note
TS28: esophagus Present JAX_1470446

Specimen JAX_1470447: postnatal adult; Heg1tm1.1(KOMP)Vlcg/Heg1+ (more )
Structure Level Pattern Image Note
TS28: large intestine Present JAX_1470447

Specimen JAX_1470448: postnatal adult; Heg1tm1.1(KOMP)Vlcg/Heg1+ (more )
Structure Level Pattern Image Note
TS28: trachea Present JAX_1470448

Specimen JAX_1470449: postnatal adult; Heg1tm1.1(KOMP)Vlcg/Heg1+ (more )
Structure Level Pattern Image Note
TS28: testis Present JAX_1470449

Specimen JAX_1470450: postnatal adult; Heg1tm1.1(KOMP)Vlcg/Heg1+ (more )
Structure Level Pattern Image Note
TS28: lymph node Present JAX_1470450

Specimen JAX_1470451: postnatal adult; Heg1tm1.1(KOMP)Vlcg/Heg1+ (more )
Structure Level Pattern Image Note
TS28: metanephros Present JAX_1470451 kidney

Specimen JAX_1470452: postnatal adult; Heg1tm1.1(KOMP)Vlcg/Heg1+ (more )
Structure Level Pattern Image Note
TS28: eye Present JAX_1470452

Specimen JAX_1470453: postnatal adult; Heg1tm1.1(KOMP)Vlcg/Heg1+ (more )
Structure Level Pattern Image Note
TS28: brain Present JAX_1470453

Specimen JAX_1470454: postnatal adult; Heg1tm1.1(KOMP)Vlcg/Heg1+ (more )
Structure Level Pattern Image Note
TS28: adrenal gland Present JAX_1470454


Contributing Projects:
Mouse Genome Database (MGD), Gene Expression Database (GXD), Mouse Models of Human Cancer database (MMHCdb) (formerly Mouse Tumor Biology (MTB)), Gene Ontology (GO)
Citing These Resources
Funding Information
Warranty Disclaimer, Privacy Notice, Licensing, & Copyright
Send questions and comments to User Support.
last database update
01/06/2026
MGI 6.24
The Jackson Laboratory