About   Help   FAQ
Gene Expression Data
Assay Details
Assay
Reference: J:228563 Koscielny G, et al., The International Mouse Phenotyping Consortium Web Portal, a unified point of access for knockout mice and related phenotyping data. Nucleic Acids Res. 2014 Jan;42(Database issue):D802-9
Assay type: In situ reporter (knock in)
MGI Accession ID: MGI:6692179
Gene symbol: Il33
Gene name: interleukin 33
Reporter: lacZ
Direct Detection
Results
Specimen UC Davis_1861130: postnatal adult; Il33tm1.1(KOMP)Vlcg/Il33+ (more )
Structure Level Pattern Image Note
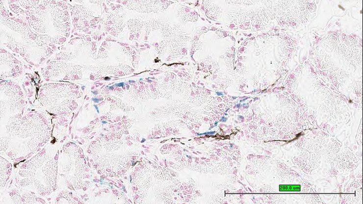
TS28: submandibular gland Present UC Davis_1861130

Specimen UC Davis_1861131: postnatal adult; Il33tm1.1(KOMP)Vlcg/Il33+ (more )
Structure Level Pattern Image Note
TS28: submandibular gland Present UC Davis_1861131

Specimen UC Davis_1861132: postnatal adult; Il33tm1.1(KOMP)Vlcg/Il33+ (more )
Structure Level Pattern Image Note
TS28: submandibular gland Present UC Davis_1861132

Specimen UC Davis_1861133: postnatal adult; Il33tm1.1(KOMP)Vlcg/Il33+ (more )
Structure Level Pattern Image Note
TS28: sublingual gland Present UC Davis_1861133

Specimen UC Davis_1861134: postnatal adult; Il33tm1.1(KOMP)Vlcg/Il33+ (more )
Structure Level Pattern Image Note
TS28: sublingual gland Present UC Davis_1861134

Specimen UC Davis_1861135: postnatal adult; Il33tm1.1(KOMP)Vlcg/Il33+ (more )
Structure Level Pattern Image Note
TS28: parotid gland Present UC Davis_1861135

Specimen UC Davis_1861136: postnatal adult; Il33tm1.1(KOMP)Vlcg/Il33+ (more )
Structure Level Pattern Image Note
TS28: parotid gland Present UC Davis_1861136

Specimen UC Davis_1861137: postnatal adult; Il33tm1.1(KOMP)Vlcg/Il33+ (more )
Structure Level Pattern Image Note
TS28: parotid gland Present UC Davis_1861137

Specimen UC Davis_1861141: postnatal adult; Il33tm1.1(KOMP)Vlcg/Il33+ (more )
Structure Level Pattern Image Note
TS28: parathyroid gland Present UC Davis_1861141

Specimen UC Davis_1861142: postnatal adult; Il33tm1.1(KOMP)Vlcg/Il33+ (more )
Structure Level Pattern Image Note
TS28: lung Present UC Davis_1861142

Specimen UC Davis_1861143: postnatal adult; Il33tm1.1(KOMP)Vlcg/Il33+ (more )
Structure Level Pattern Image Note
TS28: lung Present UC Davis_1861143

Specimen UC Davis_1861144: postnatal adult; Il33tm1.1(KOMP)Vlcg/Il33+ (more )
Structure Level Pattern Image Note
TS28: mesenteric lymph node Present UC Davis_1861144

Specimen UC Davis_1861145: postnatal adult; Il33tm1.1(KOMP)Vlcg/Il33+ (more )
Structure Level Pattern Image Note
TS28: mesenteric lymph node Present UC Davis_1861145

Specimen UC Davis_1861146: postnatal adult; Il33tm1.1(KOMP)Vlcg/Il33+ (more )
Structure Level Pattern Image Note
TS28: mesenteric lymph node Present UC Davis_1861146

Specimen UC Davis_1861147: postnatal adult; Il33tm1.1(KOMP)Vlcg/Il33+ (more )
Structure Level Pattern Image Note
TS28: ileum Present UC Davis_1861147

Specimen UC Davis_1861148: postnatal adult; Il33tm1.1(KOMP)Vlcg/Il33+ (more )
Structure Level Pattern Image Note
TS28: ileum Present UC Davis_1861148

Specimen UC Davis_1861149: postnatal adult; Il33tm1.1(KOMP)Vlcg/Il33+ (more )
Structure Level Pattern Image Note
TS28: ileum Present UC Davis_1861149

Specimen UC Davis_1861150: postnatal adult; Il33tm1.1(KOMP)Vlcg/Il33+ (more )
Structure Level Pattern Image Note
TS28: colon Present UC Davis_1861150

Specimen UC Davis_1861151: postnatal adult; Il33tm1.1(KOMP)Vlcg/Il33+ (more )
Structure Level Pattern Image Note
TS28: colon Present UC Davis_1861151

Specimen UC Davis_1861152: postnatal adult; Il33tm1.1(KOMP)Vlcg/Il33+ (more )
Structure Level Pattern Image Note
TS28: colon Present UC Davis_1861152

Specimen UC Davis_1861153: postnatal adult; Il33tm1.1(KOMP)Vlcg/Il33+ (more )
Structure Level Pattern Image Note
TS28: spleen Present UC Davis_1861153

Specimen UC Davis_1861154: postnatal adult; Il33tm1.1(KOMP)Vlcg/Il33+ (more )
Structure Level Pattern Image Note
TS28: spleen Present UC Davis_1861154

Specimen UC Davis_1861155: postnatal adult; Il33tm1.1(KOMP)Vlcg/Il33+ (more )
Structure Level Pattern Image Note
TS28: spleen Present UC Davis_1861155

Specimen UC Davis_1861156: postnatal adult; Il33tm1.1(KOMP)Vlcg/Il33+ (more )
Structure Level Pattern Image Note
TS28: quadriceps femoris muscle Present UC Davis_1861156

Specimen UC Davis_1861157: postnatal adult; Il33tm1.1(KOMP)Vlcg/Il33+ (more )
Structure Level Pattern Image Note
TS28: quadriceps femoris muscle Present UC Davis_1861157

Specimen UC Davis_1861158: postnatal adult; Il33tm1.1(KOMP)Vlcg/Il33+ (more )
Structure Level Pattern Image Note
TS28: quadriceps femoris muscle Present UC Davis_1861158

Specimen UC Davis_1861159: postnatal adult; Il33tm1.1(KOMP)Vlcg/Il33+ (more )
Structure Level Pattern Image Note
TS28: sciatic nerve Present UC Davis_1861159

Specimen UC Davis_1861160: postnatal adult; Il33tm1.1(KOMP)Vlcg/Il33+ (more )
Structure Level Pattern Image Note
TS28: sciatic nerve Present UC Davis_1861160

Specimen UC Davis_1861161: postnatal adult; Il33tm1.1(KOMP)Vlcg/Il33+ (more )
Structure Level Pattern Image Note
TS28: sciatic nerve Present UC Davis_1861161

Specimen UC Davis_1861162: postnatal adult; Il33tm1.1(KOMP)Vlcg/Il33+ (more )
Structure Level Pattern Image Note
TS28: tongue Present UC Davis_1861162

Specimen UC Davis_1861163: postnatal adult; Il33tm1.1(KOMP)Vlcg/Il33+ (more )
Structure Level Pattern Image Note
TS28: tongue Present UC Davis_1861163

Specimen UC Davis_1861164: postnatal adult; Il33tm1.1(KOMP)Vlcg/Il33+ (more )
Structure Level Pattern Image Note
TS28: tongue Present UC Davis_1861164

Specimen UC Davis_1861165: postnatal adult; Il33tm1.1(KOMP)Vlcg/Il33+ (more )
Structure Level Pattern Image Note
TS28: adrenal gland Present UC Davis_1861165

Specimen UC Davis_1861166: postnatal adult; Il33tm1.1(KOMP)Vlcg/Il33+ (more )
Structure Level Pattern Image Note
TS28: adrenal gland Present UC Davis_1861166

Specimen UC Davis_1861167: postnatal adult; Il33tm1.1(KOMP)Vlcg/Il33+ (more )
Structure Level Pattern Image Note
TS28: adrenal gland Present UC Davis_1861167

Specimen UC Davis_1861168: postnatal adult; Il33tm1.1(KOMP)Vlcg/Il33+ (more )
Structure Level Pattern Image Note
TS28: eye Present UC Davis_1861168

Specimen UC Davis_1861169: postnatal adult; Il33tm1.1(KOMP)Vlcg/Il33+ (more )
Structure Level Pattern Image Note
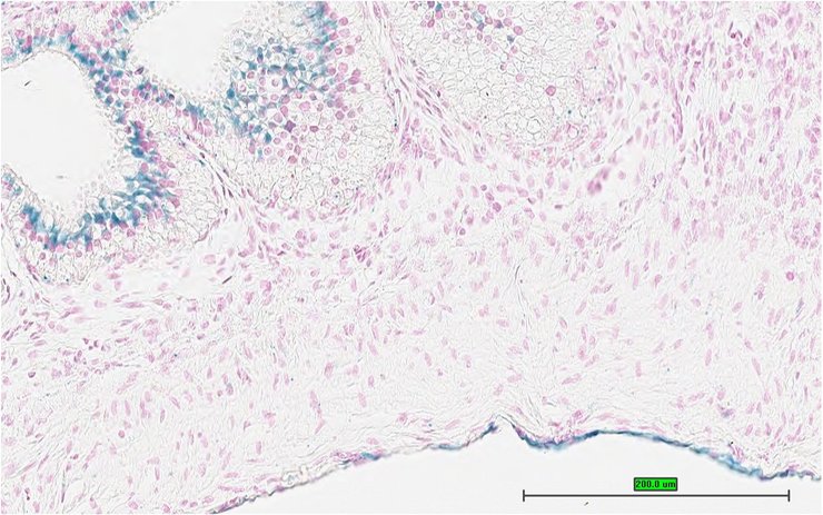
TS28: Harderian gland Present UC Davis_1861169

Specimen UC Davis_1861170: postnatal adult; Il33tm1.1(KOMP)Vlcg/Il33+ (more )
Structure Level Pattern Image Note
TS28: Harderian gland Present UC Davis_1861170

Specimen UC Davis_1861171: postnatal adult; Il33tm1.1(KOMP)Vlcg/Il33+ (more )
Structure Level Pattern Image Note
TS28: Harderian gland Present UC Davis_1861171

Specimen UC Davis_1861172: postnatal adult; Il33tm1.1(KOMP)Vlcg/Il33+ (more )
Structure Level Pattern Image Note
TS28: Harderian gland Present UC Davis_1861172

Specimen UC Davis_1861173: postnatal adult; Il33tm1.1(KOMP)Vlcg/Il33+ (more )
Structure Level Pattern Image Note
TS28: Harderian gland Present UC Davis_1861173

Specimen UC Davis_1861174: postnatal adult; Il33tm1.1(KOMP)Vlcg/Il33+ (more )
Structure Level Pattern Image Note
TS28: Harderian gland Present UC Davis_1861174

Specimen UC Davis_1861175: postnatal adult; Il33tm1.1(KOMP)Vlcg/Il33+ (more )
Structure Level Pattern Image Note
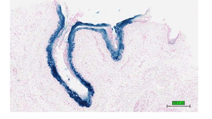
TS28: skin Present UC Davis_1861175

Specimen UC Davis_1861176: postnatal adult; Il33tm1.1(KOMP)Vlcg/Il33+ (more )
Structure Level Pattern Image Note
TS28: skin Present UC Davis_1861176

Specimen UC Davis_1861177: postnatal adult; Il33tm1.1(KOMP)Vlcg/Il33+ (more )
Structure Level Pattern Image Note
TS28: skin Present UC Davis_1861177

Specimen UC Davis_1861178: postnatal adult; Il33tm1.1(KOMP)Vlcg/Il33+ (more )
Structure Level Pattern Image Note
TS28: brown fat Present UC Davis_1861178

Specimen UC Davis_1861179: postnatal adult; Il33tm1.1(KOMP)Vlcg/Il33+ (more )
Structure Level Pattern Image Note
TS28: brown fat Present UC Davis_1861179

Specimen UC Davis_1861180: postnatal adult; Il33tm1.1(KOMP)Vlcg/Il33+ (more )
Structure Level Pattern Image Note
TS28: brown fat Present UC Davis_1861180

Specimen UC Davis_1861182: postnatal adult; Il33tm1.1(KOMP)Vlcg/Il33+ (more )
Structure Level Pattern Image Note
TS28: midbrain Present UC Davis_1861182

Specimen UC Davis_1861184: postnatal adult; Il33tm1.1(KOMP)Vlcg/Il33+ (more )
Structure Level Pattern Image Note
TS28: cerebellum Present UC Davis_1861184

Specimen UC Davis_1861185: postnatal adult; Il33tm1.1(KOMP)Vlcg/Il33+ (more )
Structure Level Pattern Image Note
TS28: ovary Present UC Davis_1861185

Specimen UC Davis_1861186: postnatal adult; Il33tm1.1(KOMP)Vlcg/Il33+ (more )
Structure Level Pattern Image Note
TS28: ovary Present UC Davis_1861186

Specimen UC Davis_1861187: postnatal adult; Il33tm1.1(KOMP)Vlcg/Il33+ (more )
Structure Level Pattern Image Note
TS28: ovary Present UC Davis_1861187

Specimen UC Davis_1861188: postnatal adult; Il33tm1.1(KOMP)Vlcg/Il33+ (more )
Structure Level Pattern Image Note
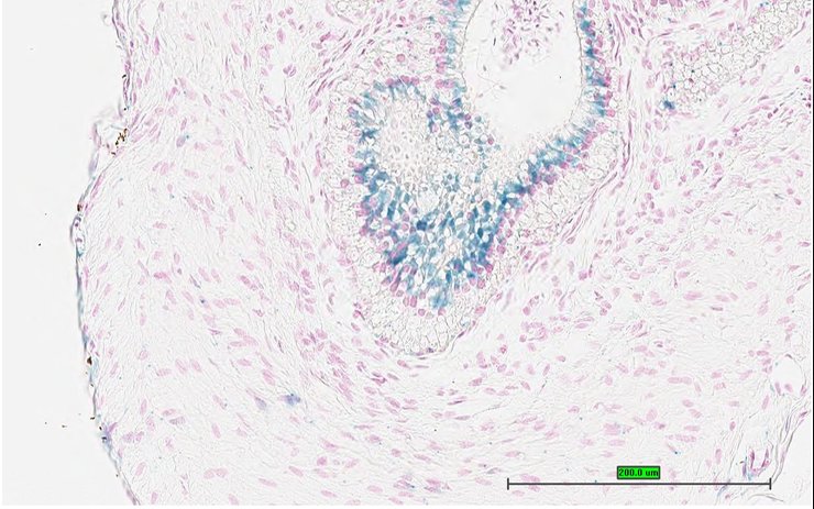
TS28: oviduct Present UC Davis_1861188

Specimen UC Davis_1861189: postnatal adult; Il33tm1.1(KOMP)Vlcg/Il33+ (more )
Structure Level Pattern Image Note
TS28: oviduct Present UC Davis_1861189

Specimen UC Davis_1861190: postnatal adult; Il33tm1.1(KOMP)Vlcg/Il33+ (more )
Structure Level Pattern Image Note
TS28: oviduct Present UC Davis_1861190

Specimen UC Davis_1861191: postnatal adult; Il33tm1.1(KOMP)Vlcg/Il33+ (more )
Structure Level Pattern Image Note
TS28: uterus Present UC Davis_1861191

Specimen UC Davis_1861192: postnatal adult; Il33tm1.1(KOMP)Vlcg/Il33+ (more )
Structure Level Pattern Image Note
TS28: uterus Present UC Davis_1861192

Specimen UC Davis_1861193: postnatal adult; Il33tm1.1(KOMP)Vlcg/Il33+ (more )
Structure Level Pattern Image Note
TS28: uterus Present UC Davis_1861193

Specimen UC Davis_1861194: postnatal adult; Il33tm1.1(KOMP)Vlcg/Il33+ (more )
Structure Level Pattern Image Note
TS28: vagina Present UC Davis_1861194

Specimen UC Davis_1861195: postnatal adult; Il33tm1.1(KOMP)Vlcg/Il33+ (more )
Structure Level Pattern Image Note
TS28: vagina Present UC Davis_1861195

Specimen UC Davis_1861196: postnatal adult; Il33tm1.1(KOMP)Vlcg/Il33+ (more )
Structure Level Pattern Image Note
TS28: vagina Present UC Davis_1861196

Specimen UC Davis_1861203: postnatal adult; Il33tm1.1(KOMP)Vlcg/Il33+ (more )
Structure Level Pattern Image Note
TS28: mammary gland Present UC Davis_1861203

Specimen UC Davis_1861204: postnatal adult; Il33tm1.1(KOMP)Vlcg/Il33+ (more )
Structure Level Pattern Image Note
TS28: mammary gland Present UC Davis_1861204

Specimen UC Davis_1861205: postnatal adult; Il33tm1.1(KOMP)Vlcg/Il33+ (more )
Structure Level Pattern Image Note
TS28: mammary gland Present UC Davis_1861205

Specimen UC Davis_1861445: postnatal adult; Il33tm1.1(KOMP)Vlcg/Il33+ (more )
Structure Level Pattern Image Note
TS28: ovary Present UC Davis_1861445

Specimen UC Davis_1861446: postnatal adult; Il33tm1.1(KOMP)Vlcg/Il33+ (more )
Structure Level Pattern Image Note
TS28: oviduct Present UC Davis_1861446

Specimen UC Davis_1861447: postnatal adult; Il33tm1.1(KOMP)Vlcg/Il33+ (more )
Structure Level Pattern Image Note
TS28: uterus Present UC Davis_1861447

Specimen UC Davis_1861448: postnatal adult; Il33tm1.1(KOMP)Vlcg/Il33+ (more )
Structure Level Pattern Image Note
TS28: uterus Present UC Davis_1861448

Specimen UC Davis_1861449: postnatal adult; Il33tm1.1(KOMP)Vlcg/Il33+ (more )
Structure Level Pattern Image Note
TS28: vagina Present UC Davis_1861449

Specimen UC Davis_1861206: postnatal adult; Il33tm1.1(KOMP)Vlcg/Il33+ (more )
Structure Level Pattern Image Note
TS28: submandibular gland Present UC Davis_1861206

Specimen UC Davis_1861207: postnatal adult; Il33tm1.1(KOMP)Vlcg/Il33+ (more )
Structure Level Pattern Image Note
TS28: submandibular gland Present UC Davis_1861207

Specimen UC Davis_1861208: postnatal adult; Il33tm1.1(KOMP)Vlcg/Il33+ (more )
Structure Level Pattern Image Note
TS28: sublingual gland Present UC Davis_1861208

Specimen UC Davis_1861211: postnatal adult; Il33tm1.1(KOMP)Vlcg/Il33+ (more )
Structure Level Pattern Image Note
TS28: aorta Present UC Davis_1861211

Specimen UC Davis_1861212: postnatal adult; Il33tm1.1(KOMP)Vlcg/Il33+ (more )
Structure Level Pattern Image Note
TS28: lung Present UC Davis_1861212

Specimen UC Davis_1861213: postnatal adult; Il33tm1.1(KOMP)Vlcg/Il33+ (more )
Structure Level Pattern Image Note
TS28: lung Present UC Davis_1861213

Specimen UC Davis_1861214: postnatal adult; Il33tm1.1(KOMP)Vlcg/Il33+ (more )
Structure Level Pattern Image Note
TS28: lung Present UC Davis_1861214

Specimen UC Davis_1861215: postnatal adult; Il33tm1.1(KOMP)Vlcg/Il33+ (more )
Structure Level Pattern Image Note
TS28: lung Present UC Davis_1861215

Specimen UC Davis_1861217: postnatal adult; Il33tm1.1(KOMP)Vlcg/Il33+ (more )
Structure Level Pattern Image Note
TS28: mesenteric lymph node Present UC Davis_1861217

Specimen UC Davis_1861218: postnatal adult; Il33tm1.1(KOMP)Vlcg/Il33+ (more )
Structure Level Pattern Image Note
TS28: ileum Present UC Davis_1861218

Specimen UC Davis_1861219: postnatal adult; Il33tm1.1(KOMP)Vlcg/Il33+ (more )
Structure Level Pattern Image Note
TS28: colon Present UC Davis_1861219

Specimen UC Davis_1861220: postnatal adult; Il33tm1.1(KOMP)Vlcg/Il33+ (more )
Structure Level Pattern Image Note
TS28: colon Present UC Davis_1861220

Specimen UC Davis_1861221: postnatal adult; Il33tm1.1(KOMP)Vlcg/Il33+ (more )
Structure Level Pattern Image Note
TS28: spleen Present UC Davis_1861221

Specimen UC Davis_1861222: postnatal adult; Il33tm1.1(KOMP)Vlcg/Il33+ (more )
Structure Level Pattern Image Note
TS28: spleen Present UC Davis_1861222

Specimen UC Davis_1861223: postnatal adult; Il33tm1.1(KOMP)Vlcg/Il33+ (more )
Structure Level Pattern Image Note
TS28: quadriceps femoris muscle Present UC Davis_1861223

Specimen UC Davis_1861224: postnatal adult; Il33tm1.1(KOMP)Vlcg/Il33+ (more )
Structure Level Pattern Image Note
TS28: quadriceps femoris muscle Present UC Davis_1861224

Specimen UC Davis_1861225: postnatal adult; Il33tm1.1(KOMP)Vlcg/Il33+ (more )
Structure Level Pattern Image Note
TS28: quadriceps femoris muscle Present UC Davis_1861225

Specimen UC Davis_1861226: postnatal adult; Il33tm1.1(KOMP)Vlcg/Il33+ (more )
Structure Level Pattern Image Note
TS28: sciatic nerve Present UC Davis_1861226

Specimen UC Davis_1861227: postnatal adult; Il33tm1.1(KOMP)Vlcg/Il33+ (more )
Structure Level Pattern Image Note
TS28: sciatic nerve Present UC Davis_1861227

Specimen UC Davis_1861228: postnatal adult; Il33tm1.1(KOMP)Vlcg/Il33+ (more )
Structure Level Pattern Image Note
TS28: tongue Present UC Davis_1861228

Specimen UC Davis_1861229: postnatal adult; Il33tm1.1(KOMP)Vlcg/Il33+ (more )
Structure Level Pattern Image Note
TS28: tongue Present UC Davis_1861229

Specimen UC Davis_1861230: postnatal adult; Il33tm1.1(KOMP)Vlcg/Il33+ (more )
Structure Level Pattern Image Note
TS28: tongue Present UC Davis_1861230

Specimen UC Davis_1861231: postnatal adult; Il33tm1.1(KOMP)Vlcg/Il33+ (more )
Structure Level Pattern Image Note
TS28: diaphragm Present UC Davis_1861231

Specimen UC Davis_1861232: postnatal adult; Il33tm1.1(KOMP)Vlcg/Il33+ (more )
Structure Level Pattern Image Note
TS28: adrenal gland Present UC Davis_1861232

Specimen UC Davis_1861233: postnatal adult; Il33tm1.1(KOMP)Vlcg/Il33+ (more )
Structure Level Pattern Image Note
TS28: adrenal gland Present UC Davis_1861233

Specimen UC Davis_1861234: postnatal adult; Il33tm1.1(KOMP)Vlcg/Il33+ (more )
Structure Level Pattern Image Note
TS28: eye Present UC Davis_1861234

Specimen UC Davis_1861235: postnatal adult; Il33tm1.1(KOMP)Vlcg/Il33+ (more )
Structure Level Pattern Image Note
TS28: eye Present UC Davis_1861235

Specimen UC Davis_1861236: postnatal adult; Il33tm1.1(KOMP)Vlcg/Il33+ (more )
Structure Level Pattern Image Note
TS28: Harderian gland Present UC Davis_1861236

Specimen UC Davis_1861237: postnatal adult; Il33tm1.1(KOMP)Vlcg/Il33+ (more )
Structure Level Pattern Image Note
TS28: skin Present UC Davis_1861237

Specimen UC Davis_1861238: postnatal adult; Il33tm1.1(KOMP)Vlcg/Il33+ (more )
Structure Level Pattern Image Note
TS28: skin Present UC Davis_1861238

Specimen UC Davis_1861239: postnatal adult; Il33tm1.1(KOMP)Vlcg/Il33+ (more )
Structure Level Pattern Image Note
TS28: skin Present UC Davis_1861239

Specimen UC Davis_1861242: postnatal adult; Il33tm1.1(KOMP)Vlcg/Il33+ (more )
Structure Level Pattern Image Note
TS28: midbrain Present UC Davis_1861242

Specimen UC Davis_1861244: postnatal adult; Il33tm1.1(KOMP)Vlcg/Il33+ (more )
Structure Level Pattern Image Note
TS28: cerebellum Present UC Davis_1861244

Specimen UC Davis_1861245: postnatal adult; Il33tm1.1(KOMP)Vlcg/Il33+ (more )
Structure Level Pattern Image Note
TS28: cerebellum Present UC Davis_1861245

Specimen UC Davis_1861246: postnatal adult; Il33tm1.1(KOMP)Vlcg/Il33+ (more )
Structure Level Pattern Image Note
TS28: bladder Present UC Davis_1861246

Specimen UC Davis_1861247: postnatal adult; Il33tm1.1(KOMP)Vlcg/Il33+ (more )
Structure Level Pattern Image Note
TS28: bladder Present UC Davis_1861247

Specimen UC Davis_1861248: postnatal adult; Il33tm1.1(KOMP)Vlcg/Il33+ (more )
Structure Level Pattern Image Note
TS28: bladder Present UC Davis_1861248

Specimen UC Davis_1861249: postnatal adult; Il33tm1.1(KOMP)Vlcg/Il33+ (more )
Structure Level Pattern Image Note
TS28: testis Present UC Davis_1861249

Specimen UC Davis_1861250: postnatal adult; Il33tm1.1(KOMP)Vlcg/Il33+ (more )
Structure Level Pattern Image Note
TS28: testis Present UC Davis_1861250

Specimen UC Davis_1861251: postnatal adult; Il33tm1.1(KOMP)Vlcg/Il33+ (more )
Structure Level Pattern Image Note
TS28: epididymis Present UC Davis_1861251

Specimen UC Davis_1861252: postnatal adult; Il33tm1.1(KOMP)Vlcg/Il33+ (more )
Structure Level Pattern Image Note
TS28: epididymis Present UC Davis_1861252

Specimen UC Davis_1861253: postnatal adult; Il33tm1.1(KOMP)Vlcg/Il33+ (more )
Structure Level Pattern Image Note
TS28: epididymis Present UC Davis_1861253

Specimen UC Davis_1861254: postnatal adult; Il33tm1.1(KOMP)Vlcg/Il33+ (more )
Structure Level Pattern Image Note
TS28: prostate gland Present UC Davis_1861254

Specimen UC Davis_1861255: postnatal adult; Il33tm1.1(KOMP)Vlcg/Il33+ (more )
Structure Level Pattern Image Note
TS28: prostate gland Present UC Davis_1861255

Specimen UC Davis_1861256: postnatal adult; Il33tm1.1(KOMP)Vlcg/Il33+ (more )
Structure Level Pattern Image Note
TS28: penis Present UC Davis_1861256

Specimen UC Davis_1861257: postnatal adult; Il33tm1.1(KOMP)Vlcg/Il33+ (more )
Structure Level Pattern Image Note
TS28: penis Present UC Davis_1861257

Specimen UC Davis_1861258: postnatal adult; Il33tm1.1(KOMP)Vlcg/Il33+ (more )
Structure Level Pattern Image Note
TS28: penis Present UC Davis_1861258

Specimen UC Davis_1861259: postnatal adult; Il33tm1.1(KOMP)Vlcg/Il33+ (more )
Structure Level Pattern Image Note
TS28: ductus deferens Present UC Davis_1861259 vas deferens

Specimen UC Davis_1861260: postnatal adult; Il33tm1.1(KOMP)Vlcg/Il33+ (more )
Structure Level Pattern Image Note
TS28: ductus deferens Present UC Davis_1861260 vas deferens

Specimen UC Davis_1861262: postnatal adult; Il33tm1.1(KOMP)Vlcg/Il33+ (more )
Structure Level Pattern Image Note
TS28: seminal vesicle Present UC Davis_1861262 vesicular gland

Specimen UC Davis_1861263: postnatal adult; Il33tm1.1(KOMP)Vlcg/Il33+ (more )
Structure Level Pattern Image Note
TS28: seminal vesicle Present UC Davis_1861263 vesicular gland

Specimen UC Davis_1861264: postnatal adult; Il33tm1.1(KOMP)Vlcg/Il33+ (more )
Structure Level Pattern Image Note
TS28: submandibular gland Present UC Davis_1861264

Specimen UC Davis_1861265: postnatal adult; Il33tm1.1(KOMP)Vlcg/Il33+ (more )
Structure Level Pattern Image Note
TS28: submandibular gland Present UC Davis_1861265

Specimen UC Davis_1861266: postnatal adult; Il33tm1.1(KOMP)Vlcg/Il33+ (more )
Structure Level Pattern Image Note
TS28: parotid gland Present UC Davis_1861266

Specimen UC Davis_1861267: postnatal adult; Il33tm1.1(KOMP)Vlcg/Il33+ (more )
Structure Level Pattern Image Note
TS28: parotid gland Present UC Davis_1861267

Specimen UC Davis_1861270: postnatal adult; Il33tm1.1(KOMP)Vlcg/Il33+ (more )
Structure Level Pattern Image Note
TS28: trachea Present UC Davis_1861270

Specimen UC Davis_1861271: postnatal adult; Il33tm1.1(KOMP)Vlcg/Il33+ (more )
Structure Level Pattern Image Note
TS28: trachea Present UC Davis_1861271

Specimen UC Davis_1861273: postnatal adult; Il33tm1.1(KOMP)Vlcg/Il33+ (more )
Structure Level Pattern Image Note
TS28: lung Present UC Davis_1861273

Specimen UC Davis_1861274: postnatal adult; Il33tm1.1(KOMP)Vlcg/Il33+ (more )
Structure Level Pattern Image Note
TS28: lung Present UC Davis_1861274

Specimen UC Davis_1861275: postnatal adult; Il33tm1.1(KOMP)Vlcg/Il33+ (more )
Structure Level Pattern Image Note
TS28: thymus Present UC Davis_1861275

Specimen UC Davis_1861276: postnatal adult; Il33tm1.1(KOMP)Vlcg/Il33+ (more )
Structure Level Pattern Image Note
TS28: thymus Present UC Davis_1861276

Specimen UC Davis_1861279: postnatal adult; Il33tm1.1(KOMP)Vlcg/Il33+ (more )
Structure Level Pattern Image Note
TS28: mesenteric lymph node Present UC Davis_1861279

Specimen UC Davis_1861280: postnatal adult; Il33tm1.1(KOMP)Vlcg/Il33+ (more )
Structure Level Pattern Image Note
TS28: mesenteric lymph node Present UC Davis_1861280

Specimen UC Davis_1861281: postnatal adult; Il33tm1.1(KOMP)Vlcg/Il33+ (more )
Structure Level Pattern Image Note
TS28: stomach Present UC Davis_1861281

Specimen UC Davis_1861282: postnatal adult; Il33tm1.1(KOMP)Vlcg/Il33+ (more )
Structure Level Pattern Image Note
TS28: stomach Present UC Davis_1861282

Specimen UC Davis_1861283: postnatal adult; Il33tm1.1(KOMP)Vlcg/Il33+ (more )
Structure Level Pattern Image Note
TS28: metanephros Present UC Davis_1861283 kidney

Specimen UC Davis_1861284: postnatal adult; Il33tm1.1(KOMP)Vlcg/Il33+ (more )
Structure Level Pattern Image Note
TS28: metanephros Present UC Davis_1861284 kidney

Specimen UC Davis_1861285: postnatal adult; Il33tm1.1(KOMP)Vlcg/Il33+ (more )
Structure Level Pattern Image Note
TS28: metanephros Present UC Davis_1861285 kidney

Specimen UC Davis_1861286: postnatal adult; Il33tm1.1(KOMP)Vlcg/Il33+ (more )
Structure Level Pattern Image Note
TS28: quadriceps femoris muscle Present UC Davis_1861286

Specimen UC Davis_1861287: postnatal adult; Il33tm1.1(KOMP)Vlcg/Il33+ (more )
Structure Level Pattern Image Note
TS28: quadriceps femoris muscle Present UC Davis_1861287

Specimen UC Davis_1861288: postnatal adult; Il33tm1.1(KOMP)Vlcg/Il33+ (more )
Structure Level Pattern Image Note
TS28: quadriceps femoris muscle Present UC Davis_1861288

Specimen UC Davis_1861289: postnatal adult; Il33tm1.1(KOMP)Vlcg/Il33+ (more )
Structure Level Pattern Image Note
TS28: sciatic nerve Present UC Davis_1861289

Specimen UC Davis_1861290: postnatal adult; Il33tm1.1(KOMP)Vlcg/Il33+ (more )
Structure Level Pattern Image Note
TS28: sciatic nerve Present UC Davis_1861290

Specimen UC Davis_1861291: postnatal adult; Il33tm1.1(KOMP)Vlcg/Il33+ (more )
Structure Level Pattern Image Note
TS28: tongue Present UC Davis_1861291

Specimen UC Davis_1861292: postnatal adult; Il33tm1.1(KOMP)Vlcg/Il33+ (more )
Structure Level Pattern Image Note
TS28: tongue Present UC Davis_1861292

Specimen UC Davis_1861293: postnatal adult; Il33tm1.1(KOMP)Vlcg/Il33+ (more )
Structure Level Pattern Image Note
TS28: tongue Present UC Davis_1861293

Specimen UC Davis_1861294: postnatal adult; Il33tm1.1(KOMP)Vlcg/Il33+ (more )
Structure Level Pattern Image Note
TS28: adrenal gland Present UC Davis_1861294

Specimen UC Davis_1861295: postnatal adult; Il33tm1.1(KOMP)Vlcg/Il33+ (more )
Structure Level Pattern Image Note
TS28: adrenal gland Present UC Davis_1861295

Specimen UC Davis_1861296: postnatal adult; Il33tm1.1(KOMP)Vlcg/Il33+ (more )
Structure Level Pattern Image Note
TS28: adrenal gland Present UC Davis_1861296

Specimen UC Davis_1861297: postnatal adult; Il33tm1.1(KOMP)Vlcg/Il33+ (more )
Structure Level Pattern Image Note
TS28: pituitary gland Present UC Davis_1861297

Specimen UC Davis_1861298: postnatal adult; Il33tm1.1(KOMP)Vlcg/Il33+ (more )
Structure Level Pattern Image Note
TS28: pituitary gland Present UC Davis_1861298

Specimen UC Davis_1861299: postnatal adult; Il33tm1.1(KOMP)Vlcg/Il33+ (more )
Structure Level Pattern Image Note
TS28: pituitary gland Present UC Davis_1861299

Specimen UC Davis_1861300: postnatal adult; Il33tm1.1(KOMP)Vlcg/Il33+ (more )
Structure Level Pattern Image Note
TS28: spinal cord Present UC Davis_1861300

Specimen UC Davis_1861301: postnatal adult; Il33tm1.1(KOMP)Vlcg/Il33+ (more )
Structure Level Pattern Image Note
TS28: spinal cord Present UC Davis_1861301

Specimen UC Davis_1861302: postnatal adult; Il33tm1.1(KOMP)Vlcg/Il33+ (more )
Structure Level Pattern Image Note
TS28: spinal cord Present UC Davis_1861302

Specimen UC Davis_1861303: postnatal adult; Il33tm1.1(KOMP)Vlcg/Il33+ (more )
Structure Level Pattern Image Note
TS28: eye Present UC Davis_1861303

Specimen UC Davis_1861304: postnatal adult; Il33tm1.1(KOMP)Vlcg/Il33+ (more )
Structure Level Pattern Image Note
TS28: eye Present UC Davis_1861304

Specimen UC Davis_1861305: postnatal adult; Il33tm1.1(KOMP)Vlcg/Il33+ (more )
Structure Level Pattern Image Note
TS28: eye Present UC Davis_1861305

Specimen UC Davis_1861306: postnatal adult; Il33tm1.1(KOMP)Vlcg/Il33+ (more )
Structure Level Pattern Image Note
TS28: Harderian gland Present UC Davis_1861306

Specimen UC Davis_1861307: postnatal adult; Il33tm1.1(KOMP)Vlcg/Il33+ (more )
Structure Level Pattern Image Note
TS28: skin Present UC Davis_1861307

Specimen UC Davis_1861308: postnatal adult; Il33tm1.1(KOMP)Vlcg/Il33+ (more )
Structure Level Pattern Image Note
TS28: skin Present UC Davis_1861308

Specimen UC Davis_1861309: postnatal adult; Il33tm1.1(KOMP)Vlcg/Il33+ (more )
Structure Level Pattern Image Note
TS28: skin Present UC Davis_1861309

Specimen UC Davis_1861312: postnatal adult; Il33tm1.1(KOMP)Vlcg/Il33+ (more )
Structure Level Pattern Image Note
TS28: midbrain Present UC Davis_1861312

Specimen UC Davis_1861314: postnatal adult; Il33tm1.1(KOMP)Vlcg/Il33+ (more )
Structure Level Pattern Image Note
TS28: cerebellum Present UC Davis_1861314

Specimen UC Davis_1861315: postnatal adult; Il33tm1.1(KOMP)Vlcg/Il33+ (more )
Structure Level Pattern Image Note
TS28: trigeminal nerve Present UC Davis_1861315

Specimen UC Davis_1861316: postnatal adult; Il33tm1.1(KOMP)Vlcg/Il33+ (more )
Structure Level Pattern Image Note
TS28: trigeminal nerve Present UC Davis_1861316

Specimen UC Davis_1861317: postnatal adult; Il33tm1.1(KOMP)Vlcg/Il33+ (more )
Structure Level Pattern Image Note
TS28: trigeminal nerve Present UC Davis_1861317

Specimen UC Davis_1861318: postnatal adult; Il33tm1.1(KOMP)Vlcg/Il33+ (more )
Structure Level Pattern Image Note
TS28: bladder Present UC Davis_1861318

Specimen UC Davis_1861319: postnatal adult; Il33tm1.1(KOMP)Vlcg/Il33+ (more )
Structure Level Pattern Image Note
TS28: bladder Present UC Davis_1861319

Specimen UC Davis_1861320: postnatal adult; Il33tm1.1(KOMP)Vlcg/Il33+ (more )
Structure Level Pattern Image Note
TS28: bladder Present UC Davis_1861320

Specimen UC Davis_1861321: postnatal adult; Il33tm1.1(KOMP)Vlcg/Il33+ (more )
Structure Level Pattern Image Note
TS28: testis Present UC Davis_1861321

Specimen UC Davis_1861322: postnatal adult; Il33tm1.1(KOMP)Vlcg/Il33+ (more )
Structure Level Pattern Image Note
TS28: testis Present UC Davis_1861322

Specimen UC Davis_1861323: postnatal adult; Il33tm1.1(KOMP)Vlcg/Il33+ (more )
Structure Level Pattern Image Note
TS28: epididymis Present UC Davis_1861323

Specimen UC Davis_1861324: postnatal adult; Il33tm1.1(KOMP)Vlcg/Il33+ (more )
Structure Level Pattern Image Note
TS28: epididymis Present UC Davis_1861324

Specimen UC Davis_1861325: postnatal adult; Il33tm1.1(KOMP)Vlcg/Il33+ (more )
Structure Level Pattern Image Note
TS28: epididymis Present UC Davis_1861325

Specimen UC Davis_1861326: postnatal adult; Il33tm1.1(KOMP)Vlcg/Il33+ (more )
Structure Level Pattern Image Note
TS28: epididymis Present UC Davis_1861326

Specimen UC Davis_1861327: postnatal adult; Il33tm1.1(KOMP)Vlcg/Il33+ (more )
Structure Level Pattern Image Note
TS28: epididymis Present UC Davis_1861327

Specimen UC Davis_1861328: postnatal adult; Il33tm1.1(KOMP)Vlcg/Il33+ (more )
Structure Level Pattern Image Note
TS28: epididymis Present UC Davis_1861328

Specimen UC Davis_1861329: postnatal adult; Il33tm1.1(KOMP)Vlcg/Il33+ (more )
Structure Level Pattern Image Note
TS28: penis Present UC Davis_1861329

Specimen UC Davis_1861330: postnatal adult; Il33tm1.1(KOMP)Vlcg/Il33+ (more )
Structure Level Pattern Image Note
TS28: penis Present UC Davis_1861330

Specimen UC Davis_1861331: postnatal adult; Il33tm1.1(KOMP)Vlcg/Il33+ (more )
Structure Level Pattern Image Note
TS28: penis Present UC Davis_1861331

Specimen UC Davis_1861332: postnatal adult; Il33tm1.1(KOMP)Vlcg/Il33+ (more )
Structure Level Pattern Image Note
TS28: ductus deferens Present UC Davis_1861332 vas deferens

Specimen UC Davis_1861333: postnatal adult; Il33tm1.1(KOMP)Vlcg/Il33+ (more )
Structure Level Pattern Image Note
TS28: ductus deferens Present UC Davis_1861333 vas deferens

Specimen UC Davis_1861334: postnatal adult; Il33tm1.1(KOMP)Vlcg/Il33+ (more )
Structure Level Pattern Image Note
TS28: ductus deferens Present UC Davis_1861334 vas deferens

Specimen UC Davis_1861335: postnatal adult; Il33tm1.1(KOMP)Vlcg/Il33+ (more )
Structure Level Pattern Image Note
TS28: seminal vesicle Present UC Davis_1861335 vesicular gland

Specimen UC Davis_1861336: postnatal adult; Il33tm1.1(KOMP)Vlcg/Il33+ (more )
Structure Level Pattern Image Note
TS28: seminal vesicle Present UC Davis_1861336 vesicular gland

Specimen UC Davis_1861337: postnatal adult; Il33tm1.1(KOMP)Vlcg/Il33+ (more )
Structure Level Pattern Image Note
TS28: seminal vesicle Present UC Davis_1861337 vesicular gland

Specimen UC Davis_1861338: postnatal adult; Il33tm1.1(KOMP)Vlcg/Il33+ (more )
Structure Level Pattern Image Note
TS28: submandibular gland Present UC Davis_1861338

Specimen UC Davis_1861339: postnatal adult; Il33tm1.1(KOMP)Vlcg/Il33+ (more )
Structure Level Pattern Image Note
TS28: submandibular gland Present UC Davis_1861339

Specimen UC Davis_1861340: postnatal adult; Il33tm1.1(KOMP)Vlcg/Il33+ (more )
Structure Level Pattern Image Note
TS28: submandibular gland Present UC Davis_1861340

Specimen UC Davis_1861341: postnatal adult; Il33tm1.1(KOMP)Vlcg/Il33+ (more )
Structure Level Pattern Image Note
TS28: trachea Present UC Davis_1861341

Specimen UC Davis_1861342: postnatal adult; Il33tm1.1(KOMP)Vlcg/Il33+ (more )
Structure Level Pattern Image Note
TS28: trachea Present UC Davis_1861342

Specimen UC Davis_1861346: postnatal adult; Il33tm1.1(KOMP)Vlcg/Il33+ (more )
Structure Level Pattern Image Note
TS28: lung Present UC Davis_1861346

Specimen UC Davis_1861347: postnatal adult; Il33tm1.1(KOMP)Vlcg/Il33+ (more )
Structure Level Pattern Image Note
TS28: lung Present UC Davis_1861347

Specimen UC Davis_1861348: postnatal adult; Il33tm1.1(KOMP)Vlcg/Il33+ (more )
Structure Level Pattern Image Note
TS28: lung Present UC Davis_1861348

Specimen UC Davis_1861349: postnatal adult; Il33tm1.1(KOMP)Vlcg/Il33+ (more )
Structure Level Pattern Image Note
TS28: stomach Present UC Davis_1861349

Specimen UC Davis_1861350: postnatal adult; Il33tm1.1(KOMP)Vlcg/Il33+ (more )
Structure Level Pattern Image Note
TS28: stomach Present UC Davis_1861350

Specimen UC Davis_1861351: postnatal adult; Il33tm1.1(KOMP)Vlcg/Il33+ (more )
Structure Level Pattern Image Note
TS28: stomach Present UC Davis_1861351

Specimen UC Davis_1861352: postnatal adult; Il33tm1.1(KOMP)Vlcg/Il33+ (more )
Structure Level Pattern Image Note
TS28: spleen Absent UC Davis_1861352

Specimen UC Davis_1861353: postnatal adult; Il33tm1.1(KOMP)Vlcg/Il33+ (more )
Structure Level Pattern Image Note
TS28: spleen Absent UC Davis_1861353

Specimen UC Davis_1861354: postnatal adult; Il33tm1.1(KOMP)Vlcg/Il33+ (more )
Structure Level Pattern Image Note
TS28: spleen Absent UC Davis_1861354

Specimen UC Davis_1861355: postnatal adult; Il33tm1.1(KOMP)Vlcg/Il33+ (more )
Structure Level Pattern Image Note
TS28: quadriceps femoris muscle Present UC Davis_1861355

Specimen UC Davis_1861356: postnatal adult; Il33tm1.1(KOMP)Vlcg/Il33+ (more )
Structure Level Pattern Image Note
TS28: quadriceps femoris muscle Present UC Davis_1861356

Specimen UC Davis_1861357: postnatal adult; Il33tm1.1(KOMP)Vlcg/Il33+ (more )
Structure Level Pattern Image Note
TS28: quadriceps femoris muscle Present UC Davis_1861357

Specimen UC Davis_1861358: postnatal adult; Il33tm1.1(KOMP)Vlcg/Il33+ (more )
Structure Level Pattern Image Note
TS28: sciatic nerve Present UC Davis_1861358

Specimen UC Davis_1861359: postnatal adult; Il33tm1.1(KOMP)Vlcg/Il33+ (more )
Structure Level Pattern Image Note
TS28: sciatic nerve Present UC Davis_1861359

Specimen UC Davis_1861360: postnatal adult; Il33tm1.1(KOMP)Vlcg/Il33+ (more )
Structure Level Pattern Image Note
TS28: tongue Present UC Davis_1861360

Specimen UC Davis_1861361: postnatal adult; Il33tm1.1(KOMP)Vlcg/Il33+ (more )
Structure Level Pattern Image Note
TS28: tongue Present UC Davis_1861361

Specimen UC Davis_1861362: postnatal adult; Il33tm1.1(KOMP)Vlcg/Il33+ (more )
Structure Level Pattern Image Note
TS28: tongue Present UC Davis_1861362

Specimen UC Davis_1861363: postnatal adult; Il33tm1.1(KOMP)Vlcg/Il33+ (more )
Structure Level Pattern Image Note
TS28: diaphragm Present UC Davis_1861363

Specimen UC Davis_1861364: postnatal adult; Il33tm1.1(KOMP)Vlcg/Il33+ (more )
Structure Level Pattern Image Note
TS28: diaphragm Present UC Davis_1861364

Specimen UC Davis_1861365: postnatal adult; Il33tm1.1(KOMP)Vlcg/Il33+ (more )
Structure Level Pattern Image Note
TS28: adrenal gland Present UC Davis_1861365

Specimen UC Davis_1861366: postnatal adult; Il33tm1.1(KOMP)Vlcg/Il33+ (more )
Structure Level Pattern Image Note
TS28: adrenal gland Present UC Davis_1861366

Specimen UC Davis_1861367: postnatal adult; Il33tm1.1(KOMP)Vlcg/Il33+ (more )
Structure Level Pattern Image Note
TS28: adrenal gland Present UC Davis_1861367

Specimen UC Davis_1861368: postnatal adult; Il33tm1.1(KOMP)Vlcg/Il33+ (more )
Structure Level Pattern Image Note
TS28: spinal cord Present UC Davis_1861368

Specimen UC Davis_1861369: postnatal adult; Il33tm1.1(KOMP)Vlcg/Il33+ (more )
Structure Level Pattern Image Note
TS28: spinal cord Present UC Davis_1861369

Specimen UC Davis_1861370: postnatal adult; Il33tm1.1(KOMP)Vlcg/Il33+ (more )
Structure Level Pattern Image Note
TS28: eye Present UC Davis_1861370

Specimen UC Davis_1861371: postnatal adult; Il33tm1.1(KOMP)Vlcg/Il33+ (more )
Structure Level Pattern Image Note
TS28: eye Present UC Davis_1861371

Specimen UC Davis_1861372: postnatal adult; Il33tm1.1(KOMP)Vlcg/Il33+ (more )
Structure Level Pattern Image Note
TS28: Harderian gland Present UC Davis_1861372

Specimen UC Davis_1861373: postnatal adult; Il33tm1.1(KOMP)Vlcg/Il33+ (more )
Structure Level Pattern Image Note
TS28: skin Present UC Davis_1861373

Specimen UC Davis_1861374: postnatal adult; Il33tm1.1(KOMP)Vlcg/Il33+ (more )
Structure Level Pattern Image Note
TS28: skin Present UC Davis_1861374

Specimen UC Davis_1861375: postnatal adult; Il33tm1.1(KOMP)Vlcg/Il33+ (more )
Structure Level Pattern Image Note
TS28: skin Present UC Davis_1861375

Specimen UC Davis_1861378: postnatal adult; Il33tm1.1(KOMP)Vlcg/Il33+ (more )
Structure Level Pattern Image Note
TS28: midbrain Present UC Davis_1861378

Specimen UC Davis_1861380: postnatal adult; Il33tm1.1(KOMP)Vlcg/Il33+ (more )
Structure Level Pattern Image Note
TS28: cerebellum Present UC Davis_1861380

Specimen UC Davis_1861381: postnatal adult; Il33tm1.1(KOMP)Vlcg/Il33+ (more )
Structure Level Pattern Image Note
TS28: trigeminal nerve Present UC Davis_1861381

Specimen UC Davis_1861382: postnatal adult; Il33tm1.1(KOMP)Vlcg/Il33+ (more )
Structure Level Pattern Image Note
TS28: trigeminal nerve Present UC Davis_1861382

Specimen UC Davis_1861383: postnatal adult; Il33tm1.1(KOMP)Vlcg/Il33+ (more )
Structure Level Pattern Image Note
TS28: trigeminal nerve Present UC Davis_1861383

Specimen UC Davis_1861384: postnatal adult; Il33tm1.1(KOMP)Vlcg/Il33+ (more )
Structure Level Pattern Image Note
TS28: bladder Present UC Davis_1861384

Specimen UC Davis_1861385: postnatal adult; Il33tm1.1(KOMP)Vlcg/Il33+ (more )
Structure Level Pattern Image Note
TS28: bladder Present UC Davis_1861385

Specimen UC Davis_1861386: postnatal adult; Il33tm1.1(KOMP)Vlcg/Il33+ (more )
Structure Level Pattern Image Note
TS28: bladder Present UC Davis_1861386

Specimen UC Davis_1861387: postnatal adult; Il33tm1.1(KOMP)Vlcg/Il33+ (more )
Structure Level Pattern Image Note
TS28: testis Present UC Davis_1861387

Specimen UC Davis_1861388: postnatal adult; Il33tm1.1(KOMP)Vlcg/Il33+ (more )
Structure Level Pattern Image Note
TS28: testis Present UC Davis_1861388

Specimen UC Davis_1861389: postnatal adult; Il33tm1.1(KOMP)Vlcg/Il33+ (more )
Structure Level Pattern Image Note
TS28: testis Present UC Davis_1861389

Specimen UC Davis_1861390: postnatal adult; Il33tm1.1(KOMP)Vlcg/Il33+ (more )
Structure Level Pattern Image Note
TS28: epididymis Present UC Davis_1861390

Specimen UC Davis_1861391: postnatal adult; Il33tm1.1(KOMP)Vlcg/Il33+ (more )
Structure Level Pattern Image Note
TS28: epididymis Present UC Davis_1861391

Specimen UC Davis_1861392: postnatal adult; Il33tm1.1(KOMP)Vlcg/Il33+ (more )
Structure Level Pattern Image Note
TS28: epididymis Present UC Davis_1861392

Specimen UC Davis_1861393: postnatal adult; Il33tm1.1(KOMP)Vlcg/Il33+ (more )
Structure Level Pattern Image Note
TS28: epididymis Present UC Davis_1861393

Specimen UC Davis_1861394: postnatal adult; Il33tm1.1(KOMP)Vlcg/Il33+ (more )
Structure Level Pattern Image Note
TS28: prostate gland Present UC Davis_1861394

Specimen UC Davis_1861395: postnatal adult; Il33tm1.1(KOMP)Vlcg/Il33+ (more )
Structure Level Pattern Image Note
TS28: penis Present UC Davis_1861395

Specimen UC Davis_1861396: postnatal adult; Il33tm1.1(KOMP)Vlcg/Il33+ (more )
Structure Level Pattern Image Note
TS28: penis Present UC Davis_1861396

Specimen UC Davis_1861397: postnatal adult; Il33tm1.1(KOMP)Vlcg/Il33+ (more )
Structure Level Pattern Image Note
TS28: penis Present UC Davis_1861397

Specimen UC Davis_1861398: postnatal adult; Il33tm1.1(KOMP)Vlcg/Il33+ (more )
Structure Level Pattern Image Note
TS28: ductus deferens Present UC Davis_1861398 vas deferens

Specimen UC Davis_1861399: postnatal adult; Il33tm1.1(KOMP)Vlcg/Il33+ (more )
Structure Level Pattern Image Note
TS28: ductus deferens Present UC Davis_1861399 vas deferens

Specimen UC Davis_1861402: postnatal adult; Il33tm1.1(KOMP)Vlcg/Il33+ (more )
Structure Level Pattern Image Note
TS28: seminal vesicle Present UC Davis_1861402 vesicular gland

Specimen UC Davis_1861403: postnatal adult; Il33tm1.1(KOMP)Vlcg/Il33+ (more )
Structure Level Pattern Image Note
TS28: seminal vesicle Present UC Davis_1861403 vesicular gland

Specimen UC Davis_1861404: postnatal adult; Il33tm1.1(KOMP)Vlcg/Il33+ (more )
Structure Level Pattern Image Note
TS28: seminal vesicle Present UC Davis_1861404 vesicular gland

Specimen UC Davis_1861405: postnatal adult; Il33tm1.1(KOMP)Vlcg/Il33+ (more )
Structure Level Pattern Image Note
TS28: tongue Present UC Davis_1861405

Specimen UC Davis_1861406: postnatal adult; Il33tm1.1(KOMP)Vlcg/Il33+ (more )
Structure Level Pattern Image Note
TS28: spleen Present UC Davis_1861406

Specimen UC Davis_1861407: postnatal adult; Il33tm1.1(KOMP)Vlcg/Il33+ (more )
Structure Level Pattern Image Note
TS28: quadriceps femoris muscle Present UC Davis_1861407

Specimen UC Davis_1861408: postnatal adult; Il33tm1.1(KOMP)Vlcg/Il33+ (more )
Structure Level Pattern Image Note
TS28: sciatic nerve Present UC Davis_1861408

Specimen UC Davis_1861409: postnatal adult; Il33tm1.1(KOMP)Vlcg/Il33+ (more )
Structure Level Pattern Image Note
TS28: olfactory lobe Present UC Davis_1861409

Specimen UC Davis_1861411: postnatal adult; Il33tm1.1(KOMP)Vlcg/Il33+ (more )
Structure Level Pattern Image Note
TS28: midbrain Present UC Davis_1861411

Specimen UC Davis_1861413: postnatal adult; Il33tm1.1(KOMP)Vlcg/Il33+ (more )
Structure Level Pattern Image Note
TS28: cerebellum Present UC Davis_1861413

Specimen UC Davis_1861414: postnatal adult; Il33tm1.1(KOMP)Vlcg/Il33+ (more )
Structure Level Pattern Image Note
TS28: brain Present UC Davis_1861414

Specimen UC Davis_1861415: postnatal adult; Il33tm1.1(KOMP)Vlcg/Il33+ (more )
Structure Level Pattern Image Note
TS28: lung Present UC Davis_1861415

Specimen UC Davis_1861416: postnatal adult; Il33tm1.1(KOMP)Vlcg/Il33+ (more )
Structure Level Pattern Image Note
TS28: aorta Present UC Davis_1861416

Specimen UC Davis_1861417: postnatal adult; Il33tm1.1(KOMP)Vlcg/Il33+ (more )
Structure Level Pattern Image Note
TS28: thymus Present UC Davis_1861417

Specimen UC Davis_1861418: postnatal adult; Il33tm1.1(KOMP)Vlcg/Il33+ (more )
Structure Level Pattern Image Note
TS28: metanephros Present UC Davis_1861418 kidney

Specimen UC Davis_1861419: postnatal adult; Il33tm1.1(KOMP)Vlcg/Il33+ (more )
Structure Level Pattern Image Note
TS28: adrenal gland Present UC Davis_1861419

Specimen UC Davis_1861420: postnatal adult; Il33tm1.1(KOMP)Vlcg/Il33+ (more )
Structure Level Pattern Image Note
TS28: diaphragm Present UC Davis_1861420

Specimen UC Davis_1861421: postnatal adult; Il33tm1.1(KOMP)Vlcg/Il33+ (more )
Structure Level Pattern Image Note
TS28: skin Present UC Davis_1861421

Specimen UC Davis_1861422: postnatal adult; Il33tm1.1(KOMP)Vlcg/Il33+ (more )
Structure Level Pattern Image Note
TS28: trachea Present UC Davis_1861422

Specimen UC Davis_1861423: postnatal adult; Il33tm1.1(KOMP)Vlcg/Il33+ (more )
Structure Level Pattern Image Note
TS28: spinal cord Present UC Davis_1861423

Specimen UC Davis_1861424: postnatal adult; Il33tm1.1(KOMP)Vlcg/Il33+ (more )
Structure Level Pattern Image Note
TS28: pituitary gland Present UC Davis_1861424

Specimen UC Davis_1861425: postnatal adult; Il33tm1.1(KOMP)Vlcg/Il33+ (more )
Structure Level Pattern Image Note
TS28: eye Present UC Davis_1861425

Specimen UC Davis_1861426: postnatal adult; Il33tm1.1(KOMP)Vlcg/Il33+ (more )
Structure Level Pattern Image Note
TS28: stomach Present UC Davis_1861426

Specimen UC Davis_1861427: postnatal adult; Il33tm1.1(KOMP)Vlcg/Il33+ (more )
Structure Level Pattern Image Note
TS28: jejunum Present UC Davis_1861427

Specimen UC Davis_1861428: postnatal adult; Il33tm1.1(KOMP)Vlcg/Il33+ (more )
Structure Level Pattern Image Note
TS28: ileum Present UC Davis_1861428

Specimen UC Davis_1861429: postnatal adult; Il33tm1.1(KOMP)Vlcg/Il33+ (more )
Structure Level Pattern Image Note
TS28: colon Present UC Davis_1861429

Specimen UC Davis_1861430: postnatal adult; Il33tm1.1(KOMP)Vlcg/Il33+ (more )
Structure Level Pattern Image Note
TS28: mesenteric lymph node Present UC Davis_1861430

Specimen UC Davis_1861431: postnatal adult; Il33tm1.1(KOMP)Vlcg/Il33+ (more )
Structure Level Pattern Image Note
TS28: mesenteric adipose tissue Present UC Davis_1861431

Specimen UC Davis_1861432: postnatal adult; Il33tm1.1(KOMP)Vlcg/Il33+ (more )
Structure Level Pattern Image Note
TS28: testis Present UC Davis_1861432

Specimen UC Davis_1861433: postnatal adult; Il33tm1.1(KOMP)Vlcg/Il33+ (more )
Structure Level Pattern Image Note
TS28: prostate gland Present UC Davis_1861433

Specimen UC Davis_1861434: postnatal adult; Il33tm1.1(KOMP)Vlcg/Il33+ (more )
Structure Level Pattern Image Note
TS28: seminal vesicle Present UC Davis_1861434 vesicular gland

Specimen UC Davis_1861435: postnatal adult; Il33tm1.1(KOMP)Vlcg/Il33+ (more )
Structure Level Pattern Image Note
TS28: penis Present UC Davis_1861435

Specimen UC Davis_1861436: postnatal adult; Il33tm1.1(KOMP)Vlcg/Il33+ (more )
Structure Level Pattern Image Note
TS28: epididymis Present UC Davis_1861436

Specimen UC Davis_1861440: postnatal adult; Il33tm1.1(KOMP)Vlcg/Il33+ (more )
Structure Level Pattern Image Note
TS28: thoracic segment skeleton Present UC Davis_1861440 chest bone

Specimen UC Davis_1861443: postnatal adult; Il33tm1.1(KOMP)Vlcg/Il33+ (more )
Structure Level Pattern Image Note
TS28: gallbladder Present UC Davis_1861443


Contributing Projects:
Mouse Genome Database (MGD), Gene Expression Database (GXD), Mouse Models of Human Cancer database (MMHCdb) (formerly Mouse Tumor Biology (MTB)), Gene Ontology (GO)
Citing These Resources
Funding Information
Warranty Disclaimer, Privacy Notice, Licensing, & Copyright
Send questions and comments to User Support.
last database update
03/24/2026
MGI 6.24
The Jackson Laboratory