About   Help   FAQ
Gene Expression Data
Assay Details
Assay
Reference: J:228563 Koscielny G, et al., The International Mouse Phenotyping Consortium Web Portal, a unified point of access for knockout mice and related phenotyping data. Nucleic Acids Res. 2014 Jan;42(Database issue):D802-9
Assay type: In situ reporter (knock in)
MGI Accession ID: MGI:6692178
Gene symbol: Tmem181a
Gene name: transmembrane protein 181A
Reporter: lacZ
Direct Detection
Results
Specimen JAX_1278997: embryonic day 12.5; Tmem181atm1b(EUCOMM)Wtsi/Tmem181a+ (more )
Structure Level Pattern Image Note
TS20: embryo Present JAX_1278997

Specimen JAX_1278999: embryonic day 12.5; Tmem181atm1b(EUCOMM)Wtsi/Tmem181a+ (more )
Structure Level Pattern Image Note
TS20: embryo Present JAX_1278999

Specimen JAX_1279001: embryonic day 12.5; Tmem181atm1b(EUCOMM)Wtsi/Tmem181a+ (more )
Structure Level Pattern Image Note
TS20: embryo Present JAX_1279001

Specimen JAX_1279003: embryonic day 12.5; Tmem181atm1b(EUCOMM)Wtsi/Tmem181a+ (more )
Structure Level Pattern Image Note
TS20: embryo Present JAX_1279003

Specimen JAX_1279005: embryonic day 12.5; Tmem181atm1b(EUCOMM)Wtsi/Tmem181a+ (more )
Structure Level Pattern Image Note
TS20: embryo Present JAX_1279005

Specimen JAX_1279007: embryonic day 12.5; Tmem181atm1b(EUCOMM)Wtsi/Tmem181a+ (more )
Structure Level Pattern Image Note
TS20: embryo Present JAX_1279007

Specimen JAX_1279009: embryonic day 12.5; Tmem181atm1b(EUCOMM)Wtsi/Tmem181a+ (more )
Structure Level Pattern Image Note
TS20: embryo Present JAX_1279009

Specimen JAX_1279011: embryonic day 12.5; Tmem181atm1b(EUCOMM)Wtsi/Tmem181a+ (more )
Structure Level Pattern Image Note
TS20: embryo Present JAX_1279011

Specimen JAX_1469912: postnatal adult; Tmem181atm1b(EUCOMM)Wtsi/Tmem181a+ (more )
Structure Level Pattern Image Note
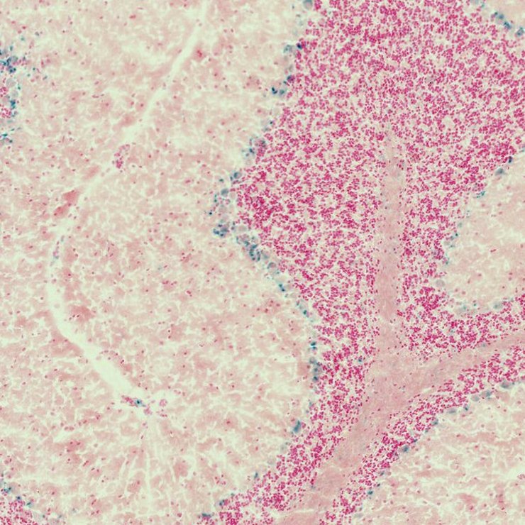
TS28: midbrain Present JAX_1469912

Specimen JAX_1469916: postnatal adult; Tmem181atm1b(EUCOMM)Wtsi/Tmem181a+ (more )
Structure Level Pattern Image Note
TS28: olfactory lobe Present JAX_1469916

Specimen JAX_1469918: postnatal adult; Tmem181atm1b(EUCOMM)Wtsi/Tmem181a+ (more )
Structure Level Pattern Image Note
TS28: cerebellum Present JAX_1469918

Specimen JAX_1469923: postnatal adult; Tmem181atm1b(EUCOMM)Wtsi/Tmem181a+ (more )
Structure Level Pattern Image Note
TS28: pituitary gland Present JAX_1469923

Specimen JAX_1469924: postnatal adult; Tmem181atm1b(EUCOMM)Wtsi/Tmem181a+ (more )
Structure Level Pattern Image Note
TS28: spinal cord Present JAX_1469924

Specimen JAX_1469925: postnatal adult; Tmem181atm1b(EUCOMM)Wtsi/Tmem181a+ (more )
Structure Level Pattern Image Note
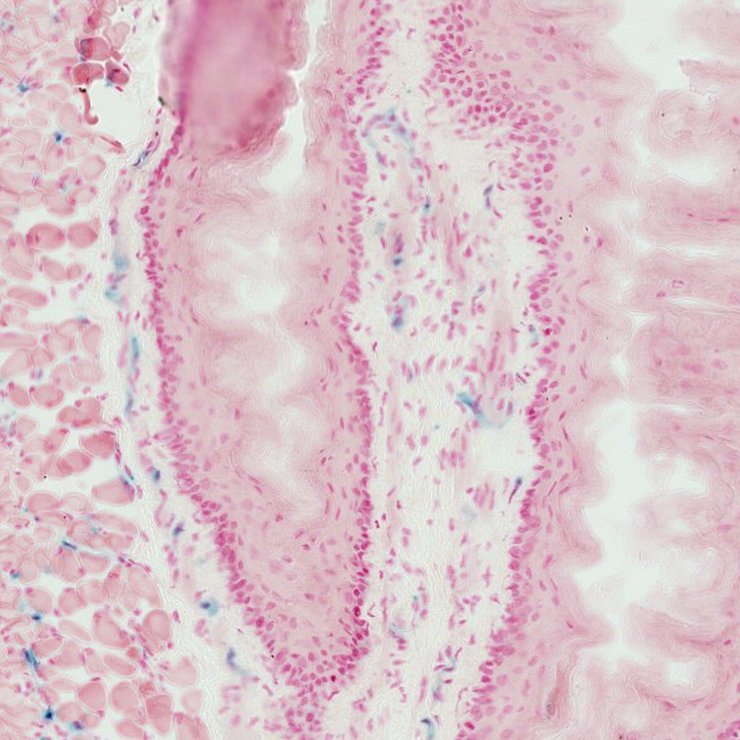
TS28: esophagus Present JAX_1469925

Specimen JAX_1469926: postnatal adult; Tmem181atm1b(EUCOMM)Wtsi/Tmem181a+ (more )
Structure Level Pattern Image Note
TS28: large intestine Present JAX_1469926

Specimen JAX_1469927: postnatal adult; Tmem181atm1b(EUCOMM)Wtsi/Tmem181a+ (more )
Structure Level Pattern Image Note
TS28: uterus Present JAX_1469927

Specimen JAX_1469929: postnatal adult; Tmem181atm1b(EUCOMM)Wtsi/Tmem181a+ (more )
Structure Level Pattern Image Note
TS28: oviduct Present JAX_1469929

Specimen JAX_1469930: postnatal adult; Tmem181atm1b(EUCOMM)Wtsi/Tmem181a+ (more )
Structure Level Pattern Image Note
TS28: ovary Present JAX_1469930

Specimen JAX_1469933: postnatal adult; Tmem181atm1b(EUCOMM)Wtsi/Tmem181a+ (more )
Structure Level Pattern Image Note
TS28: vascular system Present JAX_1469933

Specimen JAX_1469934: postnatal adult; Tmem181atm1b(EUCOMM)Wtsi/Tmem181a+ (more )
Structure Level Pattern Image Note
TS28: epididymis Present JAX_1469934

Specimen JAX_1469936: postnatal adult; Tmem181atm1b(EUCOMM)Wtsi/Tmem181a+ (more )
Structure Level Pattern Image Note
TS28: hippocampus Present JAX_1469936

Specimen JAX_1469938: postnatal adult; Tmem181atm1b(EUCOMM)Wtsi/Tmem181a+ (more )
Structure Level Pattern Image Note
TS28: pancreas Present JAX_1469938

Specimen JAX_1469940: postnatal adult; Tmem181atm1b(EUCOMM)Wtsi/Tmem181a+ (more )
Structure Level Pattern Image Note
TS28: trachea Present JAX_1469940

Specimen JAX_1469941: postnatal adult; Tmem181atm1b(EUCOMM)Wtsi/Tmem181a+ (more )
Structure Level Pattern Image Note
TS28: testis Present JAX_1469941

Specimen JAX_1469944: postnatal adult; Tmem181atm1b(EUCOMM)Wtsi/Tmem181a+ (more )
Structure Level Pattern Image Note
TS28: heart Present JAX_1469944


Contributing Projects:
Mouse Genome Database (MGD), Gene Expression Database (GXD), Mouse Models of Human Cancer database (MMHCdb) (formerly Mouse Tumor Biology (MTB)), Gene Ontology (GO)
Citing These Resources
Funding Information
Warranty Disclaimer, Privacy Notice, Licensing, & Copyright
Send questions and comments to User Support.
last database update
01/06/2026
MGI 6.24
The Jackson Laboratory