About   Help   FAQ
Gene Expression Data
Assay Details
Assay
Reference: J:228563 Koscielny G, et al., The International Mouse Phenotyping Consortium Web Portal, a unified point of access for knockout mice and related phenotyping data. Nucleic Acids Res. 2014 Jan;42(Database issue):D802-9
Assay type: In situ reporter (knock in)
MGI Accession ID: MGI:6692177
Gene symbol: Cep83
Gene name: centrosomal protein 83
Reporter: lacZ
Direct Detection
Results
Specimen UC Davis_1889279: postnatal adult; Cep83tm1.1(KOMP)Vlcg/Cep83+ (more )
Structure Level Pattern Image Note
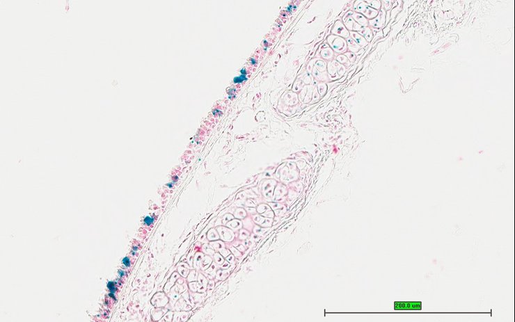
TS28: trachea Present UC Davis_1889279

Specimen UC Davis_1889280: postnatal adult; Cep83tm1.1(KOMP)Vlcg/Cep83+ (more )
Structure Level Pattern Image Note
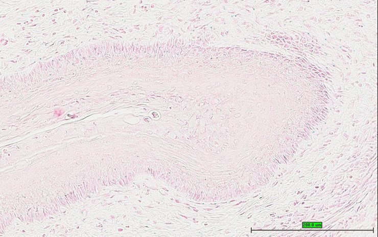
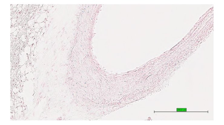
TS28: aorta Present UC Davis_1889280

Specimen UC Davis_1889281: postnatal adult; Cep83tm1.1(KOMP)Vlcg/Cep83+ (more )
Structure Level Pattern Image Note
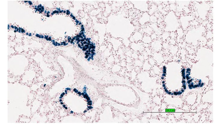
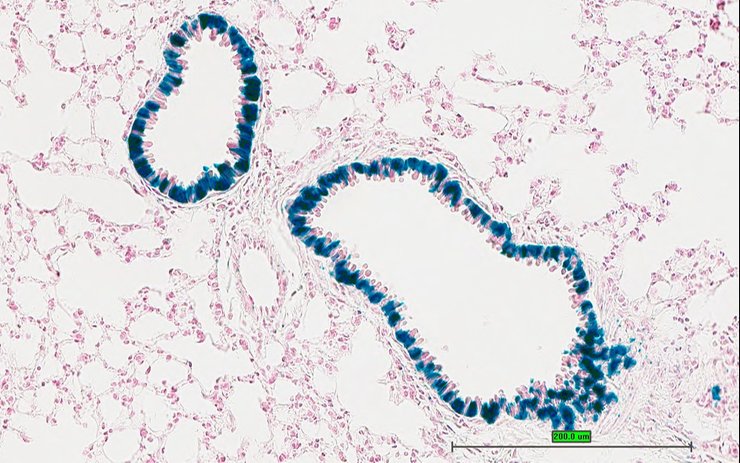
TS28: lung Present UC Davis_1889281

Specimen UC Davis_1889282: postnatal adult; Cep83tm1.1(KOMP)Vlcg/Cep83+ (more )
Structure Level Pattern Image Note
TS28: lung Present UC Davis_1889282

Specimen UC Davis_1889283: postnatal adult; Cep83tm1.1(KOMP)Vlcg/Cep83+ (more )
Structure Level Pattern Image Note
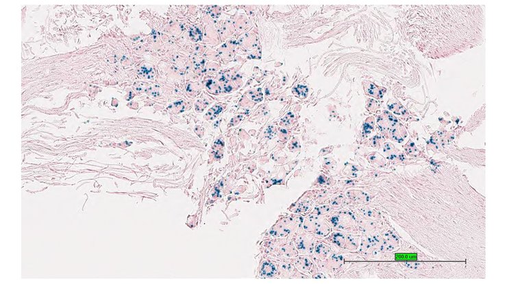
TS28: thymus Present UC Davis_1889283

Specimen UC Davis_1889284: postnatal adult; Cep83tm1.1(KOMP)Vlcg/Cep83+ (more )
Structure Level Pattern Image Note
TS28: thymus Present UC Davis_1889284

Specimen UC Davis_1889287: postnatal adult; Cep83tm1.1(KOMP)Vlcg/Cep83+ (more )
Structure Level Pattern Image Note
TS28: stomach Present UC Davis_1889287

Specimen UC Davis_1889288: postnatal adult; Cep83tm1.1(KOMP)Vlcg/Cep83+ (more )
Structure Level Pattern Image Note
TS28: stomach Present UC Davis_1889288

Specimen UC Davis_1889289: postnatal adult; Cep83tm1.1(KOMP)Vlcg/Cep83+ (more )
Structure Level Pattern Image Note
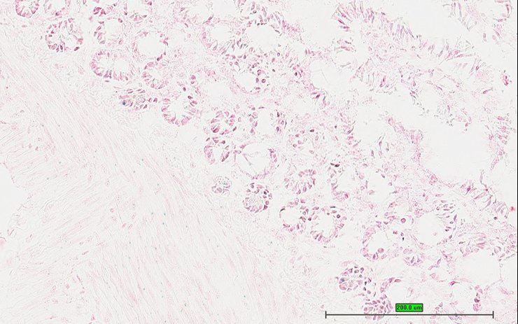
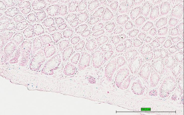
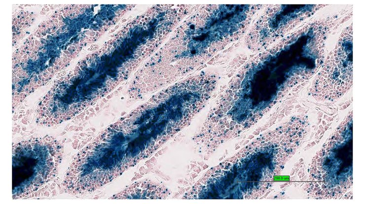
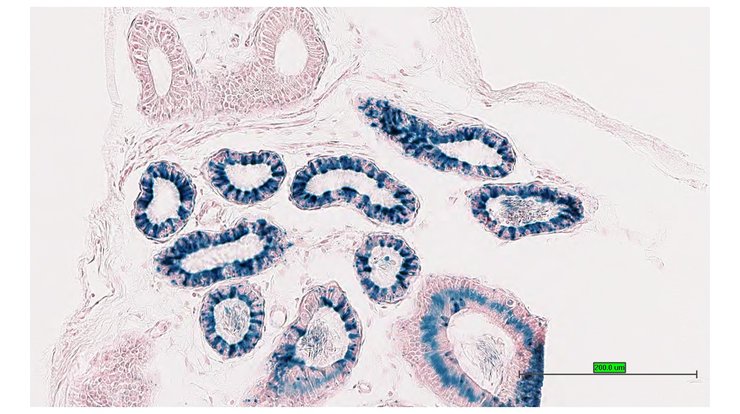
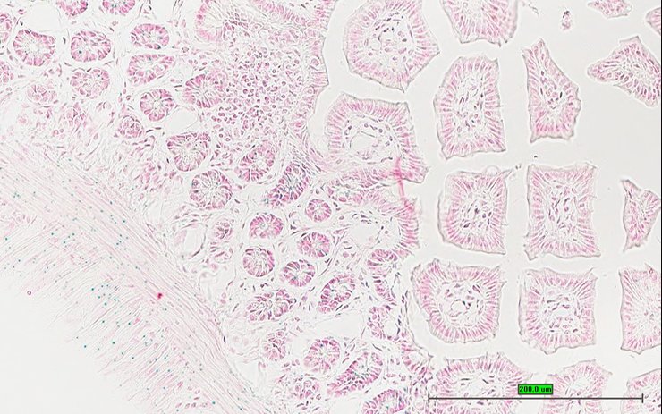
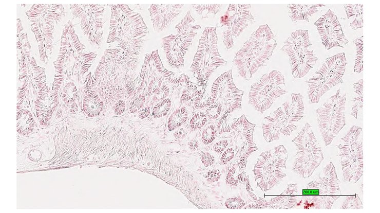
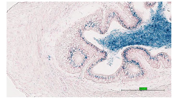
TS28: duodenum Present UC Davis_1889289

Specimen UC Davis_1889290: postnatal adult; Cep83tm1.1(KOMP)Vlcg/Cep83+ (more )
Structure Level Pattern Image Note
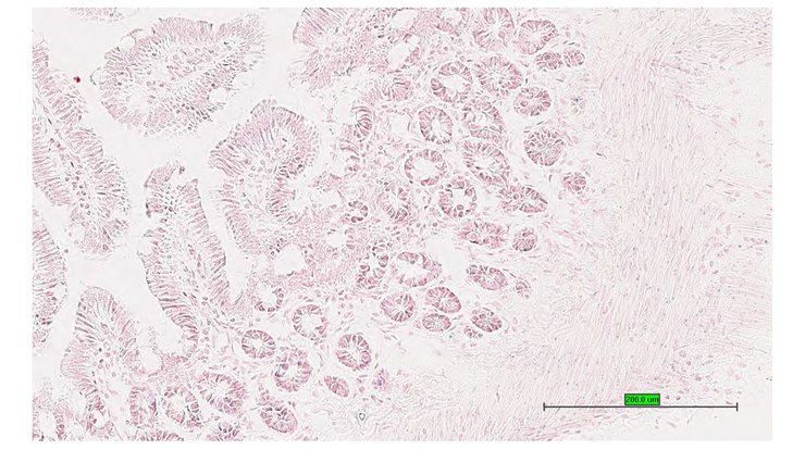
TS28: jejunum Present UC Davis_1889290

Specimen UC Davis_1889291: postnatal adult; Cep83tm1.1(KOMP)Vlcg/Cep83+ (more )
Structure Level Pattern Image Note
TS28: colon Present UC Davis_1889291

Specimen UC Davis_1889292: postnatal adult; Cep83tm1.1(KOMP)Vlcg/Cep83+ (more )
Structure Level Pattern Image Note
TS28: colon Present UC Davis_1889292

Specimen UC Davis_1889293: postnatal adult; Cep83tm1.1(KOMP)Vlcg/Cep83+ (more )
Structure Level Pattern Image Note
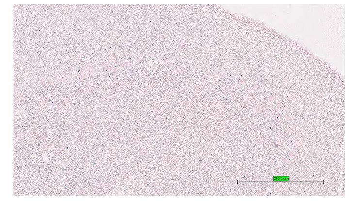
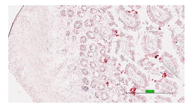
TS28: metanephros Present UC Davis_1889293 kidney

Specimen UC Davis_1889294: postnatal adult; Cep83tm1.1(KOMP)Vlcg/Cep83+ (more )
Structure Level Pattern Image Note
TS28: spinal cord Present UC Davis_1889294

Specimen UC Davis_1889295: postnatal adult; Cep83tm1.1(KOMP)Vlcg/Cep83+ (more )
Structure Level Pattern Image Note
TS28: spinal cord Present UC Davis_1889295

Specimen UC Davis_1889296: postnatal adult; Cep83tm1.1(KOMP)Vlcg/Cep83+ (more )
Structure Level Pattern Image Note
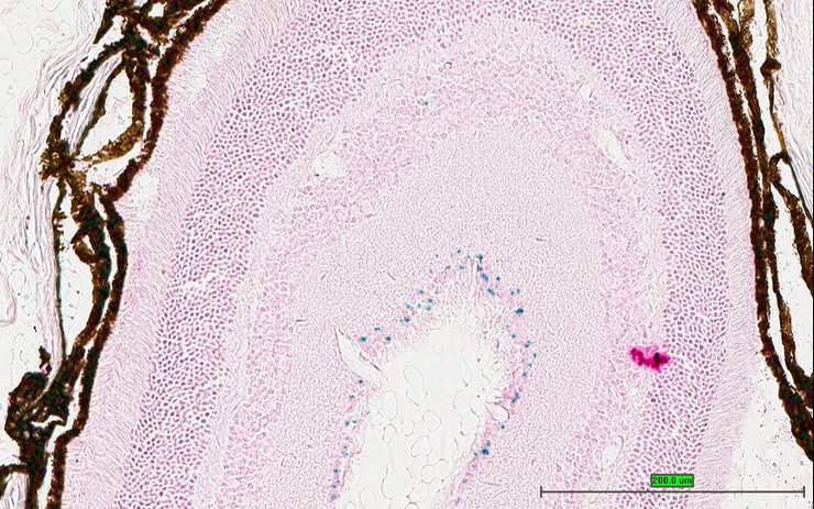
TS28: eye Present UC Davis_1889296

Specimen UC Davis_1889297: postnatal adult; Cep83tm1.1(KOMP)Vlcg/Cep83+ (more )
Structure Level Pattern Image Note
TS28: mesenteric adipose tissue Present UC Davis_1889297

Specimen UC Davis_1889298: postnatal adult; Cep83tm1.1(KOMP)Vlcg/Cep83+ (more )
Structure Level Pattern Image Note
TS28: skin Present UC Davis_1889298

Specimen UC Davis_1889299: postnatal adult; Cep83tm1.1(KOMP)Vlcg/Cep83+ (more )
Structure Level Pattern Image Note
TS28: skin Present UC Davis_1889299

Specimen UC Davis_1889300: postnatal adult; Cep83tm1.1(KOMP)Vlcg/Cep83+ (more )
Structure Level Pattern Image Note
TS28: brown fat Present UC Davis_1889300

Specimen UC Davis_1889304: postnatal adult; Cep83tm1.1(KOMP)Vlcg/Cep83+ (more )
Structure Level Pattern Image Note
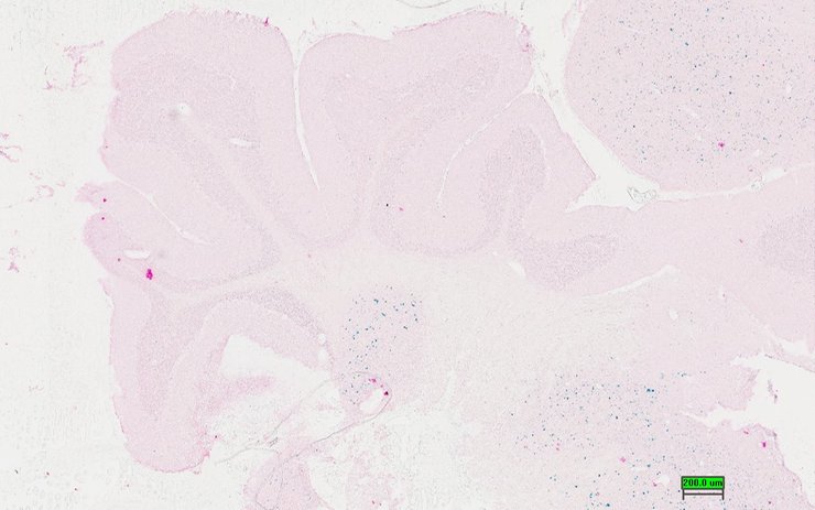
TS28: midbrain Present UC Davis_1889304

Specimen UC Davis_1889306: postnatal adult; Cep83tm1.1(KOMP)Vlcg/Cep83+ (more )
Structure Level Pattern Image Note
TS28: cerebellum Present UC Davis_1889306

Specimen UC Davis_1889307: postnatal adult; Cep83tm1.1(KOMP)Vlcg/Cep83+ (more )
Structure Level Pattern Image Note
TS28: cerebellum Present UC Davis_1889307

Specimen UC Davis_1889308: postnatal adult; Cep83tm1.1(KOMP)Vlcg/Cep83+ (more )
Structure Level Pattern Image Note
TS28: trigeminal nerve Present UC Davis_1889308

Specimen UC Davis_1889309: postnatal adult; Cep83tm1.1(KOMP)Vlcg/Cep83+ (more )
Structure Level Pattern Image Note
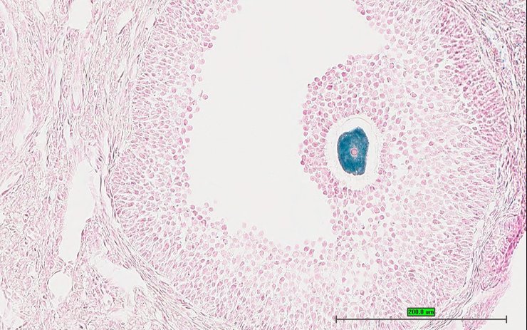
TS28: ovary Present UC Davis_1889309

Specimen UC Davis_1889310: postnatal adult; Cep83tm1.1(KOMP)Vlcg/Cep83+ (more )
Structure Level Pattern Image Note
TS28: ovary Present UC Davis_1889310

Specimen UC Davis_1889311: postnatal adult; Cep83tm1.1(KOMP)Vlcg/Cep83+ (more )
Structure Level Pattern Image Note
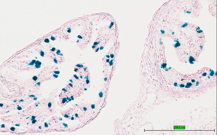
TS28: oviduct Present UC Davis_1889311

Specimen UC Davis_1889312: postnatal adult; Cep83tm1.1(KOMP)Vlcg/Cep83+ (more )
Structure Level Pattern Image Note
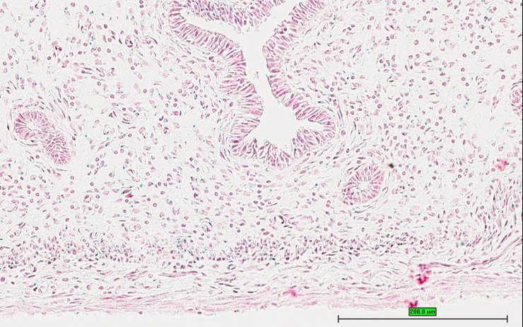
TS28: uterus Present UC Davis_1889312

Specimen UC Davis_1889313: postnatal adult; Cep83tm1.1(KOMP)Vlcg/Cep83+ (more )
Structure Level Pattern Image Note
TS28: vagina Present UC Davis_1889313

Specimen UC Davis_1889314: postnatal adult; Cep83tm1.1(KOMP)Vlcg/Cep83+ (more )
Structure Level Pattern Image Note
TS28: bladder Present UC Davis_1889314

Specimen UC Davis_1889315: postnatal adult; Cep83tm1.1(KOMP)Vlcg/Cep83+ (more )
Structure Level Pattern Image Note
TS28: mammary gland Present UC Davis_1889315

Specimen UC Davis_1889318: postnatal adult; Cep83tm1.1(KOMP)Vlcg/Cep83+ (more )
Structure Level Pattern Image Note
TS28: aorta Present UC Davis_1889318

Specimen UC Davis_1889319: postnatal adult; Cep83tm1.1(KOMP)Vlcg/Cep83+ (more )
Structure Level Pattern Image Note
TS28: lung Present UC Davis_1889319

Specimen UC Davis_1889320: postnatal adult; Cep83tm1.1(KOMP)Vlcg/Cep83+ (more )
Structure Level Pattern Image Note
TS28: lung Present UC Davis_1889320

Specimen UC Davis_1889321: postnatal adult; Cep83tm1.1(KOMP)Vlcg/Cep83+ (more )
Structure Level Pattern Image Note
TS28: lung Present UC Davis_1889321

Specimen UC Davis_1889322: postnatal adult; Cep83tm1.1(KOMP)Vlcg/Cep83+ (more )
Structure Level Pattern Image Note
TS28: thymus Present UC Davis_1889322

Specimen UC Davis_1889327: postnatal adult; Cep83tm1.1(KOMP)Vlcg/Cep83+ (more )
Structure Level Pattern Image Note
TS28: stomach Present UC Davis_1889327

Specimen UC Davis_1889328: postnatal adult; Cep83tm1.1(KOMP)Vlcg/Cep83+ (more )
Structure Level Pattern Image Note
TS28: duodenum Present UC Davis_1889328

Specimen UC Davis_1889329: postnatal adult; Cep83tm1.1(KOMP)Vlcg/Cep83+ (more )
Structure Level Pattern Image Note
TS28: jejunum Present UC Davis_1889329

Specimen UC Davis_1889330: postnatal adult; Cep83tm1.1(KOMP)Vlcg/Cep83+ (more )
Structure Level Pattern Image Note
TS28: ileum Present UC Davis_1889330

Specimen UC Davis_1889331: postnatal adult; Cep83tm1.1(KOMP)Vlcg/Cep83+ (more )
Structure Level Pattern Image Note
TS28: colon Present UC Davis_1889331

Specimen UC Davis_1889332: postnatal adult; Cep83tm1.1(KOMP)Vlcg/Cep83+ (more )
Structure Level Pattern Image Note
TS28: cecum Present UC Davis_1889332

Specimen UC Davis_1889333: postnatal adult; Cep83tm1.1(KOMP)Vlcg/Cep83+ (more )
Structure Level Pattern Image Note
TS28: metanephros Present UC Davis_1889333 kidney

Specimen UC Davis_1889334: postnatal adult; Cep83tm1.1(KOMP)Vlcg/Cep83+ (more )
Structure Level Pattern Image Note
TS28: metanephros Present UC Davis_1889334 kidney

Specimen UC Davis_1889335: postnatal adult; Cep83tm1.1(KOMP)Vlcg/Cep83+ (more )
Structure Level Pattern Image Note
TS28: metanephros Present UC Davis_1889335 kidney

Specimen UC Davis_1889336: postnatal adult; Cep83tm1.1(KOMP)Vlcg/Cep83+ (more )
Structure Level Pattern Image Note
TS28: spinal cord Present UC Davis_1889336

Specimen UC Davis_1889337: postnatal adult; Cep83tm1.1(KOMP)Vlcg/Cep83+ (more )
Structure Level Pattern Image Note
TS28: eye Present UC Davis_1889337

Specimen UC Davis_1889338: postnatal adult; Cep83tm1.1(KOMP)Vlcg/Cep83+ (more )
Structure Level Pattern Image Note
TS28: olfactory lobe Present UC Davis_1889338

Specimen UC Davis_1889339: postnatal adult; Cep83tm1.1(KOMP)Vlcg/Cep83+ (more )
Structure Level Pattern Image Note
TS28: olfactory lobe Present UC Davis_1889339

Specimen UC Davis_1889342: postnatal adult; Cep83tm1.1(KOMP)Vlcg/Cep83+ (more )
Structure Level Pattern Image Note
TS28: midbrain Present UC Davis_1889342

Specimen UC Davis_1889344: postnatal adult; Cep83tm1.1(KOMP)Vlcg/Cep83+ (more )
Structure Level Pattern Image Note
TS28: cerebellum Present UC Davis_1889344

Specimen UC Davis_1889345: postnatal adult; Cep83tm1.1(KOMP)Vlcg/Cep83+ (more )
Structure Level Pattern Image Note
TS28: trigeminal nerve Present UC Davis_1889345

Specimen UC Davis_1889346: postnatal adult; Cep83tm1.1(KOMP)Vlcg/Cep83+ (more )
Structure Level Pattern Image Note
TS28: testis Present UC Davis_1889346

Specimen UC Davis_1889347: postnatal adult; Cep83tm1.1(KOMP)Vlcg/Cep83+ (more )
Structure Level Pattern Image Note
TS28: testis Present UC Davis_1889347

Specimen UC Davis_1889348: postnatal adult; Cep83tm1.1(KOMP)Vlcg/Cep83+ (more )
Structure Level Pattern Image Note
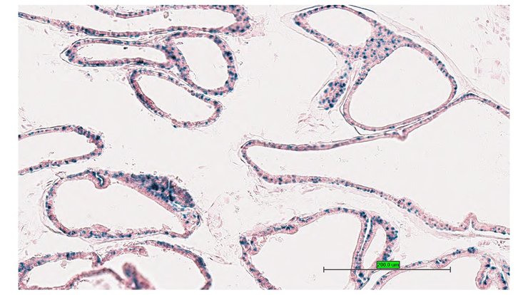
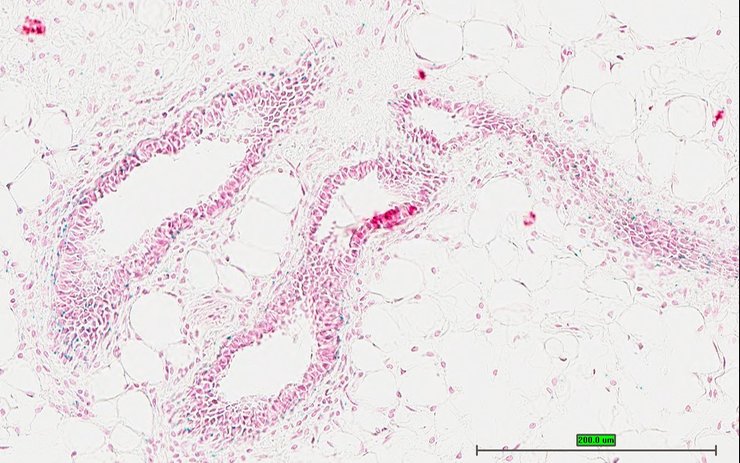
TS28: epididymis Present UC Davis_1889348

Specimen UC Davis_1889349: postnatal adult; Cep83tm1.1(KOMP)Vlcg/Cep83+ (more )
Structure Level Pattern Image Note
TS28: epididymis Present UC Davis_1889349

Specimen UC Davis_1889350: postnatal adult; Cep83tm1.1(KOMP)Vlcg/Cep83+ (more )
Structure Level Pattern Image Note
TS28: prostate gland Present UC Davis_1889350

Specimen UC Davis_1889351: postnatal adult; Cep83tm1.1(KOMP)Vlcg/Cep83+ (more )
Structure Level Pattern Image Note
TS28: penis Present UC Davis_1889351

Specimen UC Davis_1889352: postnatal adult; Cep83tm1.1(KOMP)Vlcg/Cep83+ (more )
Structure Level Pattern Image Note
TS28: ductus deferens Present UC Davis_1889352 vas deferens


Contributing Projects:
Mouse Genome Database (MGD), Gene Expression Database (GXD), Mouse Models of Human Cancer database (MMHCdb) (formerly Mouse Tumor Biology (MTB)), Gene Ontology (GO)
Citing These Resources
Funding Information
Warranty Disclaimer, Privacy Notice, Licensing, & Copyright
Send questions and comments to User Support.
last database update
01/28/2026
MGI 6.24
The Jackson Laboratory