About   Help   FAQ
Gene Expression Data
Assay Details
Assay
Reference: J:228563 Koscielny G, et al., The International Mouse Phenotyping Consortium Web Portal, a unified point of access for knockout mice and related phenotyping data. Nucleic Acids Res. 2014 Jan;42(Database issue):D802-9
Assay type: In situ reporter (knock in)
MGI Accession ID: MGI:6692167
Gene symbol: Catsper3
Gene name: cation channel, sperm associated 3
Reporter: lacZ
Direct Detection
Results
Specimen UC Davis_1880353: postnatal adult; Catsper3tm1.1(KOMP)Vlcg/Catsper3+ (more )
Structure Level Pattern Image Note
TS28: ileum Present UC Davis_1880353

Specimen UC Davis_1880345: postnatal adult; Catsper3tm1.1(KOMP)Vlcg/Catsper3+ (more )
Structure Level Pattern Image Note
TS28: testis Present UC Davis_1880345

Specimen UC Davis_1880346: postnatal adult; Catsper3tm1.1(KOMP)Vlcg/Catsper3+ (more )
Structure Level Pattern Image Note
TS28: testis Present UC Davis_1880346

Specimen UC Davis_1880347: postnatal adult; Catsper3tm1.1(KOMP)Vlcg/Catsper3+ (more )
Structure Level Pattern Image Note
TS28: epididymis Present UC Davis_1880347

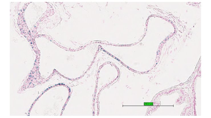
Specimen UC Davis_1880348: postnatal adult; Catsper3tm1.1(KOMP)Vlcg/Catsper3+ (more )
Structure Level Pattern Image Note
TS28: epididymis Present UC Davis_1880348

Specimen UC Davis_1880349: postnatal adult; Catsper3tm1.1(KOMP)Vlcg/Catsper3+ (more )
Structure Level Pattern Image Note
TS28: epididymis Present UC Davis_1880349

Specimen UC Davis_1880350: postnatal adult; Catsper3tm1.1(KOMP)Vlcg/Catsper3+ (more )
Structure Level Pattern Image Note
TS28: epididymis Present UC Davis_1880350

Specimen UC Davis_1880351: postnatal adult; Catsper3tm1.1(KOMP)Vlcg/Catsper3+ (more )
Structure Level Pattern Image Note
TS28: prostate gland Present UC Davis_1880351

Specimen UC Davis_1880352: postnatal adult; Catsper3tm1.1(KOMP)Vlcg/Catsper3+ (more )
Structure Level Pattern Image Note
TS28: ductus deferens Present UC Davis_1880352 vas deferens


Contributing Projects:
Mouse Genome Database (MGD), Gene Expression Database (GXD), Mouse Models of Human Cancer database (MMHCdb) (formerly Mouse Tumor Biology (MTB)), Gene Ontology (GO)
Citing These Resources
Funding Information
Warranty Disclaimer, Privacy Notice, Licensing, & Copyright
Send questions and comments to User Support.
last database update
12/30/2025
MGI 6.24
The Jackson Laboratory