About   Help   FAQ
Gene Expression Data
Assay Details
Assay
Reference: J:228563 Koscielny G, et al., The International Mouse Phenotyping Consortium Web Portal, a unified point of access for knockout mice and related phenotyping data. Nucleic Acids Res. 2014 Jan;42(Database issue):D802-9
Assay type: In situ reporter (knock in)
MGI Accession ID: MGI:6692166
Gene symbol: Ntaq1
Gene name: N-terminal glutamine amidase 1
Reporter: lacZ
Direct Detection
Results
Specimen JAX_1470901: embryonic day 12.5; Ntaq1tm1.1(KOMP)Vlcg/Ntaq1+ (more )
Structure Level Pattern Image Note
TS20: embryo Present JAX_1470901

Specimen JAX_1470902: embryonic day 12.5; Ntaq1tm1.1(KOMP)Vlcg/Ntaq1+ (more )
Structure Level Pattern Image Note
TS20: embryo Present JAX_1470902

Specimen JAX_1470903: embryonic day 12.5; Ntaq1tm1.1(KOMP)Vlcg/Ntaq1+ (more )
Structure Level Pattern Image Note
TS20: embryo Present JAX_1470903

Specimen JAX_1470904: embryonic day 12.5; Ntaq1tm1.1(KOMP)Vlcg/Ntaq1+ (more )
Structure Level Pattern Image Note
TS20: embryo Present JAX_1470904

Specimen JAX_1470905: embryonic day 12.5; Ntaq1tm1.1(KOMP)Vlcg/Ntaq1+ (more )
Structure Level Pattern Image Note
TS20: embryo Present JAX_1470905

Specimen JAX_1470906: embryonic day 12.5; Ntaq1tm1.1(KOMP)Vlcg/Ntaq1+ (more )
Structure Level Pattern Image Note
TS20: embryo Present JAX_1470906

Specimen JAX_1470907: embryonic day 12.5; Ntaq1tm1.1(KOMP)Vlcg/Ntaq1+ (more )
Structure Level Pattern Image Note
TS20: embryo Present JAX_1470907

Specimen JAX_1470908: embryonic day 12.5; Ntaq1tm1.1(KOMP)Vlcg/Ntaq1+ (more )
Structure Level Pattern Image Note
TS20: embryo Present JAX_1470908

Specimen JAX_1634227: postnatal adult; Ntaq1tm1.1(KOMP)Vlcg/Ntaq1+ (more )
Structure Level Pattern Image Note
TS28: bladder Present JAX_1634227

Specimen JAX_1634228: postnatal adult; Ntaq1tm1.1(KOMP)Vlcg/Ntaq1+ (more )
Structure Level Pattern Image Note
TS28: uterus Present JAX_1634228

Specimen JAX_1634230: postnatal adult; Ntaq1tm1.1(KOMP)Vlcg/Ntaq1+ (more )
Structure Level Pattern Image Note
TS28: ovary Present JAX_1634230

Specimen JAX_1634231: postnatal adult; Ntaq1tm1.1(KOMP)Vlcg/Ntaq1+ (more )
Structure Level Pattern Image Note
TS28: mammary gland Present JAX_1634231

Specimen JAX_1634232: postnatal adult; Ntaq1tm1.1(KOMP)Vlcg/Ntaq1+ (more )
Structure Level Pattern Image Note
TS28: thalamus Present JAX_1634232

Specimen JAX_1634233: postnatal adult; Ntaq1tm1.1(KOMP)Vlcg/Ntaq1+ (more )
Structure Level Pattern Image Note
TS28: midbrain Present JAX_1634233

Specimen JAX_1634234: postnatal adult; Ntaq1tm1.1(KOMP)Vlcg/Ntaq1+ (more )
Structure Level Pattern Image Note
TS28: vascular system Present JAX_1634234

Specimen JAX_1634235: postnatal adult; Ntaq1tm1.1(KOMP)Vlcg/Ntaq1+ (more )
Structure Level Pattern Image Note
TS28: epididymis Present JAX_1634235

Specimen JAX_1634236: postnatal adult; Ntaq1tm1.1(KOMP)Vlcg/Ntaq1+ (more )
Structure Level Pattern Image Note
TS28: submandibular gland Present JAX_1634236

Specimen JAX_1634237: postnatal adult; Ntaq1tm1.1(KOMP)Vlcg/Ntaq1+ (more )
Structure Level Pattern Image Note
TS28: corpus striatum Present JAX_1634237

Specimen JAX_1634238: postnatal adult; Ntaq1tm1.1(KOMP)Vlcg/Ntaq1+ (more )
Structure Level Pattern Image Note
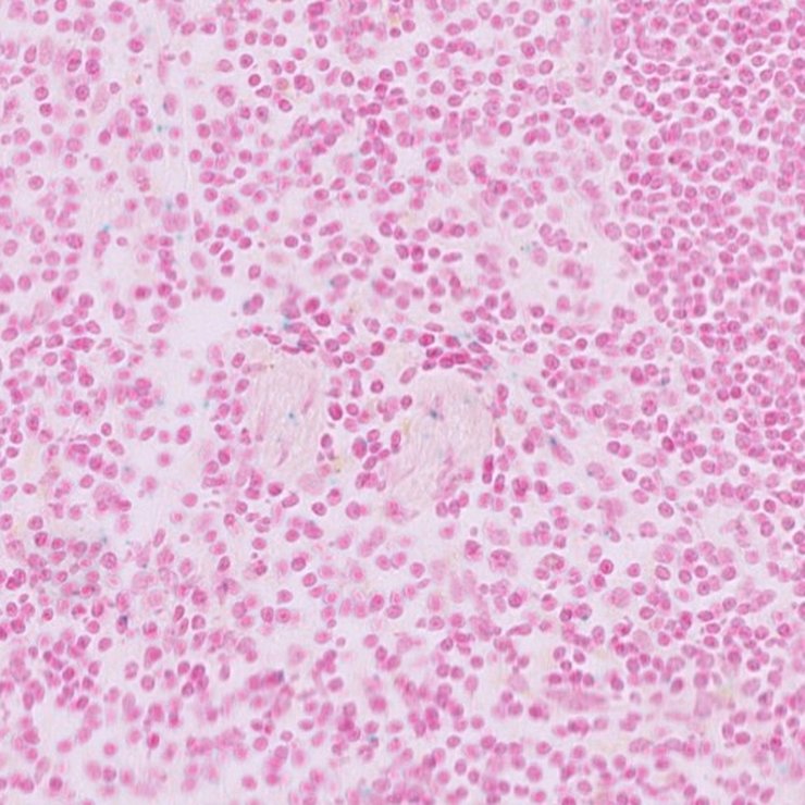
TS28: Peyer's patch Present JAX_1634238

Specimen JAX_1634239: postnatal adult; Ntaq1tm1.1(KOMP)Vlcg/Ntaq1+ (more )
Structure Level Pattern Image Note
TS28: peripheral nervous system Present JAX_1634239

Specimen JAX_1634240: postnatal adult; Ntaq1tm1.1(KOMP)Vlcg/Ntaq1+ (more )
Structure Level Pattern Image Note
TS28: olfactory lobe Present JAX_1634240

Specimen JAX_1634241: postnatal adult; Ntaq1tm1.1(KOMP)Vlcg/Ntaq1+ (more )
Structure Level Pattern Image Note
TS28: hypothalamus Present JAX_1634241

Specimen JAX_1634242: postnatal adult; Ntaq1tm1.1(KOMP)Vlcg/Ntaq1+ (more )
Structure Level Pattern Image Note
TS28: hippocampus Present JAX_1634242

Specimen JAX_1634243: postnatal adult; Ntaq1tm1.1(KOMP)Vlcg/Ntaq1+ (more )
Structure Level Pattern Image Note
TS28: cerebellum Present JAX_1634243

Specimen JAX_1634244: postnatal adult; Ntaq1tm1.1(KOMP)Vlcg/Ntaq1+ (more )
Structure Level Pattern Image Note
TS28: cerebral cortex Present JAX_1634244

Specimen JAX_1634245: postnatal adult; Ntaq1tm1.1(KOMP)Vlcg/Ntaq1+ (more )
Structure Level Pattern Image Note
TS28: cartilage Present JAX_1634245

Specimen JAX_1634246: postnatal adult; Ntaq1tm1.1(KOMP)Vlcg/Ntaq1+ (more )
Structure Level Pattern Image Note
TS28: brainstem Present JAX_1634246

Specimen JAX_1634247: postnatal adult; Ntaq1tm1.1(KOMP)Vlcg/Ntaq1+ (more )
Structure Level Pattern Image Note
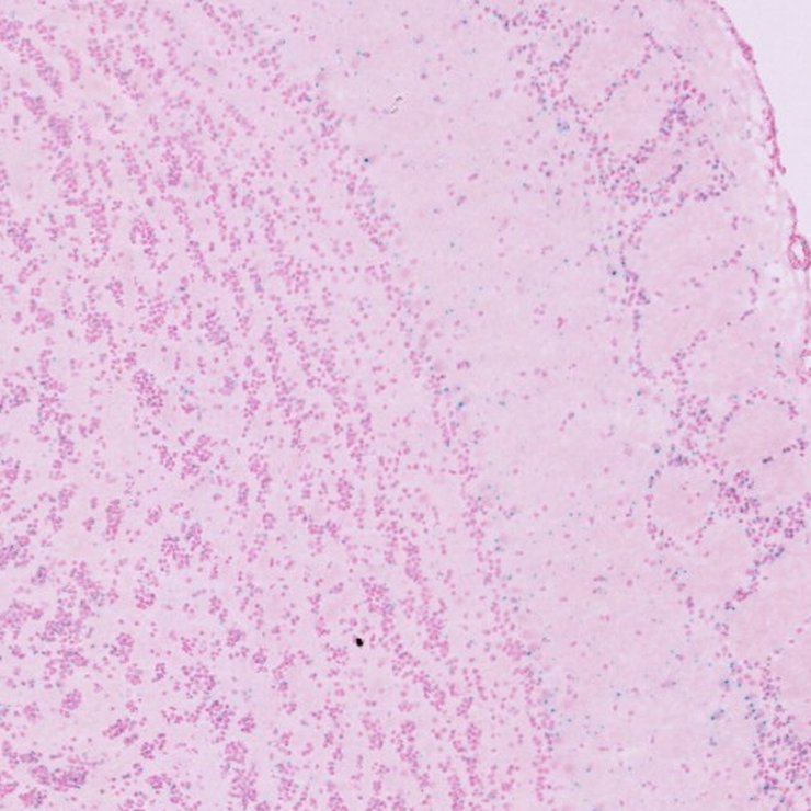
TS28: spleen Present JAX_1634247

Specimen JAX_1634248: postnatal adult; Ntaq1tm1.1(KOMP)Vlcg/Ntaq1+ (more )
Structure Level Pattern Image Note
TS28: pancreas Present JAX_1634248

Specimen JAX_1634249: postnatal adult; Ntaq1tm1.1(KOMP)Vlcg/Ntaq1+ (more )
Structure Level Pattern Image Note
TS28: aorta Present JAX_1634249

Specimen JAX_1634250: postnatal adult; Ntaq1tm1.1(KOMP)Vlcg/Ntaq1+ (more )
Structure Level Pattern Image Note
TS28: lung Present JAX_1634250

Specimen JAX_1634251: postnatal adult; Ntaq1tm1.1(KOMP)Vlcg/Ntaq1+ (more )
Structure Level Pattern Image Note
TS28: white fat Present JAX_1634251

Specimen JAX_1634252: postnatal adult; Ntaq1tm1.1(KOMP)Vlcg/Ntaq1+ (more )
Structure Level Pattern Image Note
TS28: small intestine Present JAX_1634252

Specimen JAX_1634253: postnatal adult; Ntaq1tm1.1(KOMP)Vlcg/Ntaq1+ (more )
Structure Level Pattern Image Note
TS28: skeletal muscle tissue Present JAX_1634253

Specimen JAX_1634254: postnatal adult; Ntaq1tm1.1(KOMP)Vlcg/Ntaq1+ (more )
Structure Level Pattern Image Note
TS28: pituitary gland Present JAX_1634254

Specimen JAX_1634255: postnatal adult; Ntaq1tm1.1(KOMP)Vlcg/Ntaq1+ (more )
Structure Level Pattern Image Note
TS28: thyroid gland Present JAX_1634255

Specimen JAX_1634256: postnatal adult; Ntaq1tm1.1(KOMP)Vlcg/Ntaq1+ (more )
Structure Level Pattern Image Note
TS28: spinal cord Present JAX_1634256

Specimen JAX_1634257: postnatal adult; Ntaq1tm1.1(KOMP)Vlcg/Ntaq1+ (more )
Structure Level Pattern Image Note
TS28: esophagus Present JAX_1634257

Specimen JAX_1634258: postnatal adult; Ntaq1tm1.1(KOMP)Vlcg/Ntaq1+ (more )
Structure Level Pattern Image Note
TS28: large intestine Present JAX_1634258

Specimen JAX_1634259: postnatal adult; Ntaq1tm1.1(KOMP)Vlcg/Ntaq1+ (more )
Structure Level Pattern Image Note
TS28: trachea Present JAX_1634259

Specimen JAX_1634260: postnatal adult; Ntaq1tm1.1(KOMP)Vlcg/Ntaq1+ (more )
Structure Level Pattern Image Note
TS28: thymus Present JAX_1634260

Specimen JAX_1634261: postnatal adult; Ntaq1tm1.1(KOMP)Vlcg/Ntaq1+ (more )
Structure Level Pattern Image Note
TS28: testis Present JAX_1634261

Specimen JAX_1634262: postnatal adult; Ntaq1tm1.1(KOMP)Vlcg/Ntaq1+ (more )
Structure Level Pattern Image Note
TS28: stomach Present JAX_1634262

Specimen JAX_1634263: postnatal adult; Ntaq1tm1.1(KOMP)Vlcg/Ntaq1+ (more )
Structure Level Pattern Image Note
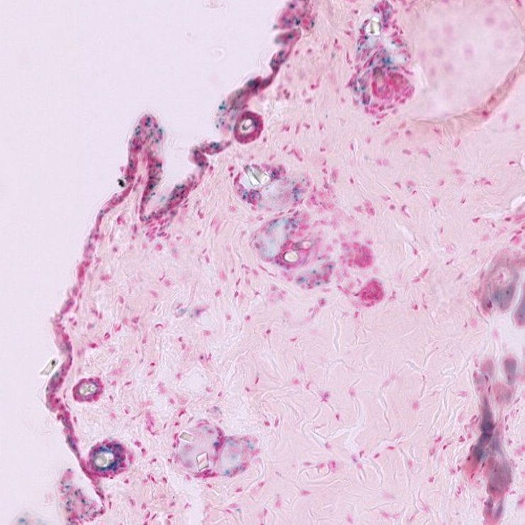
TS28: skin Present JAX_1634263

Specimen JAX_1634264: postnatal adult; Ntaq1tm1.1(KOMP)Vlcg/Ntaq1+ (more )
Structure Level Pattern Image Note
TS28: lymph node Present JAX_1634264

Specimen JAX_1634265: postnatal adult; Ntaq1tm1.1(KOMP)Vlcg/Ntaq1+ (more )
Structure Level Pattern Image Note
TS28: liver Present JAX_1634265

Specimen JAX_1634266: postnatal adult; Ntaq1tm1.1(KOMP)Vlcg/Ntaq1+ (more )
Structure Level Pattern Image Note
TS28: metanephros Present JAX_1634266 kidney

Specimen JAX_1634267: postnatal adult; Ntaq1tm1.1(KOMP)Vlcg/Ntaq1+ (more )
Structure Level Pattern Image Note
TS28: heart Present JAX_1634267

Specimen JAX_1634268: postnatal adult; Ntaq1tm1.1(KOMP)Vlcg/Ntaq1+ (more )
Structure Level Pattern Image Note
TS28: eye Present JAX_1634268

Specimen JAX_1634269: postnatal adult; Ntaq1tm1.1(KOMP)Vlcg/Ntaq1+ (more )
Structure Level Pattern Image Note
TS28: brain Present JAX_1634269

Specimen JAX_1634270: postnatal adult; Ntaq1tm1.1(KOMP)Vlcg/Ntaq1+ (more )
Structure Level Pattern Image Note
TS28: adrenal gland Present JAX_1634270


Contributing Projects:
Mouse Genome Database (MGD), Gene Expression Database (GXD), Mouse Models of Human Cancer database (MMHCdb) (formerly Mouse Tumor Biology (MTB)), Gene Ontology (GO)
Citing These Resources
Funding Information
Warranty Disclaimer, Privacy Notice, Licensing, & Copyright
Send questions and comments to User Support.
last database update
12/30/2025
MGI 6.24
The Jackson Laboratory