About   Help   FAQ
Gene Expression Data
Assay Details
Assay
Reference: J:228563 Koscielny G, et al., The International Mouse Phenotyping Consortium Web Portal, a unified point of access for knockout mice and related phenotyping data. Nucleic Acids Res. 2014 Jan;42(Database issue):D802-9
Assay type: In situ reporter (knock in)
MGI Accession ID: MGI:6692147
Gene symbol: Fads1
Gene name: fatty acid desaturase 1
Reporter: lacZ
Direct Detection
Results
Specimen UC Davis_1868358: postnatal adult; Fads1tm1.1(KOMP)Vlcg/Fads1+ (more )
Structure Level Pattern Image Note
TS28: submandibular gland Present UC Davis_1868358

Specimen UC Davis_1868359: postnatal adult; Fads1tm1.1(KOMP)Vlcg/Fads1+ (more )
Structure Level Pattern Image Note
TS28: submandibular gland Present UC Davis_1868359

Specimen UC Davis_1868360: postnatal adult; Fads1tm1.1(KOMP)Vlcg/Fads1+ (more )
Structure Level Pattern Image Note
TS28: sublingual gland Present UC Davis_1868360

Specimen UC Davis_1868361: postnatal adult; Fads1tm1.1(KOMP)Vlcg/Fads1+ (more )
Structure Level Pattern Image Note
TS28: trachea Present UC Davis_1868361

Specimen UC Davis_1868363: postnatal adult; Fads1tm1.1(KOMP)Vlcg/Fads1+ (more )
Structure Level Pattern Image Note
TS28: lung Present UC Davis_1868363

Specimen UC Davis_1868364: postnatal adult; Fads1tm1.1(KOMP)Vlcg/Fads1+ (more )
Structure Level Pattern Image Note
TS28: lung Present UC Davis_1868364

Specimen UC Davis_1868365: postnatal adult; Fads1tm1.1(KOMP)Vlcg/Fads1+ (more )
Structure Level Pattern Image Note
TS28: stomach Present UC Davis_1868365

Specimen UC Davis_1868366: postnatal adult; Fads1tm1.1(KOMP)Vlcg/Fads1+ (more )
Structure Level Pattern Image Note
TS28: stomach Present UC Davis_1868366

Specimen UC Davis_1868367: postnatal adult; Fads1tm1.1(KOMP)Vlcg/Fads1+ (more )
Structure Level Pattern Image Note
TS28: stomach Present UC Davis_1868367

Specimen UC Davis_1868368: postnatal adult; Fads1tm1.1(KOMP)Vlcg/Fads1+ (more )
Structure Level Pattern Image Note
TS28: duodenum Present UC Davis_1868368

Specimen UC Davis_1868369: postnatal adult; Fads1tm1.1(KOMP)Vlcg/Fads1+ (more )
Structure Level Pattern Image Note
TS28: duodenum Present UC Davis_1868369

Specimen UC Davis_1868370: postnatal adult; Fads1tm1.1(KOMP)Vlcg/Fads1+ (more )
Structure Level Pattern Image Note
TS28: ileum Present UC Davis_1868370

Specimen UC Davis_1868371: postnatal adult; Fads1tm1.1(KOMP)Vlcg/Fads1+ (more )
Structure Level Pattern Image Note
TS28: ileum Present UC Davis_1868371

Specimen UC Davis_1868372: postnatal adult; Fads1tm1.1(KOMP)Vlcg/Fads1+ (more )
Structure Level Pattern Image Note
TS28: ileum Present UC Davis_1868372

Specimen UC Davis_1868373: postnatal adult; Fads1tm1.1(KOMP)Vlcg/Fads1+ (more )
Structure Level Pattern Image Note
TS28: colon Present UC Davis_1868373

Specimen UC Davis_1868374: postnatal adult; Fads1tm1.1(KOMP)Vlcg/Fads1+ (more )
Structure Level Pattern Image Note
TS28: colon Present UC Davis_1868374

Specimen UC Davis_1868375: postnatal adult; Fads1tm1.1(KOMP)Vlcg/Fads1+ (more )
Structure Level Pattern Image Note
TS28: colon Present UC Davis_1868375

Specimen UC Davis_1868376: postnatal adult; Fads1tm1.1(KOMP)Vlcg/Fads1+ (more )
Structure Level Pattern Image Note
TS28: cecum Present UC Davis_1868376

Specimen UC Davis_1868377: postnatal adult; Fads1tm1.1(KOMP)Vlcg/Fads1+ (more )
Structure Level Pattern Image Note
TS28: cecum Present UC Davis_1868377

Specimen UC Davis_1868378: postnatal adult; Fads1tm1.1(KOMP)Vlcg/Fads1+ (more )
Structure Level Pattern Image Note
TS28: spleen Present UC Davis_1868378

Specimen UC Davis_1868379: postnatal adult; Fads1tm1.1(KOMP)Vlcg/Fads1+ (more )
Structure Level Pattern Image Note
TS28: liver Present UC Davis_1868379

Specimen UC Davis_1868380: postnatal adult; Fads1tm1.1(KOMP)Vlcg/Fads1+ (more )
Structure Level Pattern Image Note
TS28: liver Present UC Davis_1868380

Specimen UC Davis_1868381: postnatal adult; Fads1tm1.1(KOMP)Vlcg/Fads1+ (more )
Structure Level Pattern Image Note
TS28: liver Present UC Davis_1868381

Specimen UC Davis_1868382: postnatal adult; Fads1tm1.1(KOMP)Vlcg/Fads1+ (more )
Structure Level Pattern Image Note
TS28: liver Present UC Davis_1868382

Specimen UC Davis_1868383: postnatal adult; Fads1tm1.1(KOMP)Vlcg/Fads1+ (more )
Structure Level Pattern Image Note
TS28: tongue Present UC Davis_1868383

Specimen UC Davis_1868384: postnatal adult; Fads1tm1.1(KOMP)Vlcg/Fads1+ (more )
Structure Level Pattern Image Note
TS28: tongue Present UC Davis_1868384

Specimen UC Davis_1868385: postnatal adult; Fads1tm1.1(KOMP)Vlcg/Fads1+ (more )
Structure Level Pattern Image Note
TS28: tongue Present UC Davis_1868385

Specimen UC Davis_1868386: postnatal adult; Fads1tm1.1(KOMP)Vlcg/Fads1+ (more )
Structure Level Pattern Image Note
TS28: adrenal gland Present UC Davis_1868386

Specimen UC Davis_1868387: postnatal adult; Fads1tm1.1(KOMP)Vlcg/Fads1+ (more )
Structure Level Pattern Image Note
TS28: adrenal gland Present UC Davis_1868387

Specimen UC Davis_1868388: postnatal adult; Fads1tm1.1(KOMP)Vlcg/Fads1+ (more )
Structure Level Pattern Image Note
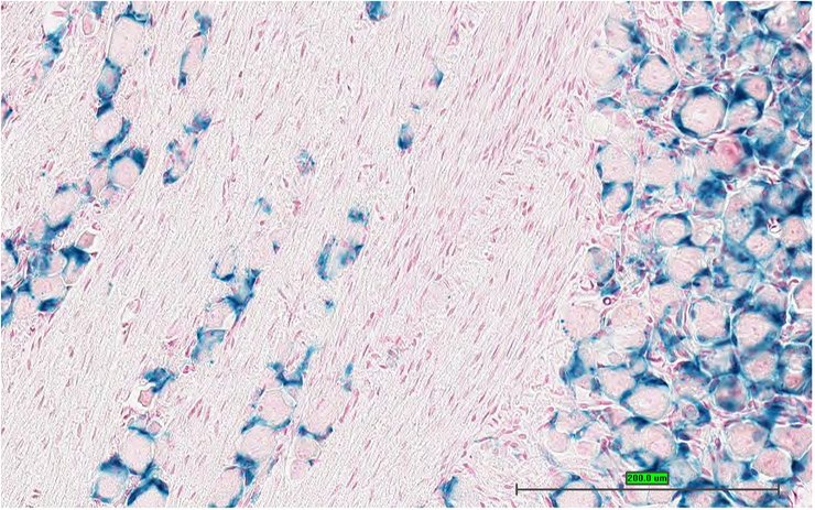
TS28: spinal cord Present UC Davis_1868388

Specimen UC Davis_1868389: postnatal adult; Fads1tm1.1(KOMP)Vlcg/Fads1+ (more )
Structure Level Pattern Image Note
TS28: spinal cord Present UC Davis_1868389

Specimen UC Davis_1868390: postnatal adult; Fads1tm1.1(KOMP)Vlcg/Fads1+ (more )
Structure Level Pattern Image Note
TS28: eye Present UC Davis_1868390

Specimen UC Davis_1868391: postnatal adult; Fads1tm1.1(KOMP)Vlcg/Fads1+ (more )
Structure Level Pattern Image Note
TS28: eye Present UC Davis_1868391

Specimen UC Davis_1868392: postnatal adult; Fads1tm1.1(KOMP)Vlcg/Fads1+ (more )
Structure Level Pattern Image Note
TS28: eye Present UC Davis_1868392

Specimen UC Davis_1868393: postnatal adult; Fads1tm1.1(KOMP)Vlcg/Fads1+ (more )
Structure Level Pattern Image Note
TS28: eye Present UC Davis_1868393

Specimen UC Davis_1868394: postnatal adult; Fads1tm1.1(KOMP)Vlcg/Fads1+ (more )
Structure Level Pattern Image Note
TS28: eye Present UC Davis_1868394

Specimen UC Davis_1868395: postnatal adult; Fads1tm1.1(KOMP)Vlcg/Fads1+ (more )
Structure Level Pattern Image Note
TS28: Harderian gland Present UC Davis_1868395

Specimen UC Davis_1868396: postnatal adult; Fads1tm1.1(KOMP)Vlcg/Fads1+ (more )
Structure Level Pattern Image Note
TS28: skin Present UC Davis_1868396

Specimen UC Davis_1868397: postnatal adult; Fads1tm1.1(KOMP)Vlcg/Fads1+ (more )
Structure Level Pattern Image Note
TS28: skin Present UC Davis_1868397

Specimen UC Davis_1868398: postnatal adult; Fads1tm1.1(KOMP)Vlcg/Fads1+ (more )
Structure Level Pattern Image Note
TS28: skin Present UC Davis_1868398

Specimen UC Davis_1868401: postnatal adult; Fads1tm1.1(KOMP)Vlcg/Fads1+ (more )
Structure Level Pattern Image Note
TS28: midbrain Present UC Davis_1868401

Specimen UC Davis_1868403: postnatal adult; Fads1tm1.1(KOMP)Vlcg/Fads1+ (more )
Structure Level Pattern Image Note
TS28: trigeminal nerve Present UC Davis_1868403

Specimen UC Davis_1868404: postnatal adult; Fads1tm1.1(KOMP)Vlcg/Fads1+ (more )
Structure Level Pattern Image Note
TS28: trigeminal nerve Present UC Davis_1868404

Specimen UC Davis_1868405: postnatal adult; Fads1tm1.1(KOMP)Vlcg/Fads1+ (more )
Structure Level Pattern Image Note
TS28: ovary Present UC Davis_1868405

Specimen UC Davis_1868406: postnatal adult; Fads1tm1.1(KOMP)Vlcg/Fads1+ (more )
Structure Level Pattern Image Note
TS28: ovary Present UC Davis_1868406

Specimen UC Davis_1868407: postnatal adult; Fads1tm1.1(KOMP)Vlcg/Fads1+ (more )
Structure Level Pattern Image Note
TS28: ovary Present UC Davis_1868407

Specimen UC Davis_1868408: postnatal adult; Fads1tm1.1(KOMP)Vlcg/Fads1+ (more )
Structure Level Pattern Image Note
TS28: oviduct Present UC Davis_1868408

Specimen UC Davis_1868409: postnatal adult; Fads1tm1.1(KOMP)Vlcg/Fads1+ (more )
Structure Level Pattern Image Note
TS28: oviduct Present UC Davis_1868409

Specimen UC Davis_1868410: postnatal adult; Fads1tm1.1(KOMP)Vlcg/Fads1+ (more )
Structure Level Pattern Image Note
TS28: bladder Present UC Davis_1868410

Specimen UC Davis_1868306: postnatal adult; Fads1tm1.1(KOMP)Vlcg/Fads1+ (more )
Structure Level Pattern Image Note
TS28: sublingual gland Present UC Davis_1868306

Specimen UC Davis_1868307: postnatal adult; Fads1tm1.1(KOMP)Vlcg/Fads1+ (more )
Structure Level Pattern Image Note
TS28: sublingual gland Present UC Davis_1868307

Specimen UC Davis_1868308: postnatal adult; Fads1tm1.1(KOMP)Vlcg/Fads1+ (more )
Structure Level Pattern Image Note
TS28: sublingual gland Present UC Davis_1868308

Specimen UC Davis_1868309: postnatal adult; Fads1tm1.1(KOMP)Vlcg/Fads1+ (more )
Structure Level Pattern Image Note
TS28: trachea Present UC Davis_1868309

Specimen UC Davis_1868310: postnatal adult; Fads1tm1.1(KOMP)Vlcg/Fads1+ (more )
Structure Level Pattern Image Note
TS28: trachea Present UC Davis_1868310

Specimen UC Davis_1868311: postnatal adult; Fads1tm1.1(KOMP)Vlcg/Fads1+ (more )
Structure Level Pattern Image Note
TS28: trachea Present UC Davis_1868311

Specimen UC Davis_1868312: postnatal adult; Fads1tm1.1(KOMP)Vlcg/Fads1+ (more )
Structure Level Pattern Image Note
TS28: esophagus Present UC Davis_1868312

Specimen UC Davis_1868313: postnatal adult; Fads1tm1.1(KOMP)Vlcg/Fads1+ (more )
Structure Level Pattern Image Note
TS28: esophagus Present UC Davis_1868313

Specimen UC Davis_1868314: postnatal adult; Fads1tm1.1(KOMP)Vlcg/Fads1+ (more )
Structure Level Pattern Image Note
TS28: esophagus Present UC Davis_1868314

Specimen UC Davis_1868315: postnatal adult; Fads1tm1.1(KOMP)Vlcg/Fads1+ (more )
Structure Level Pattern Image Note
TS28: esophagus Present UC Davis_1868315

Specimen UC Davis_1868318: postnatal adult; Fads1tm1.1(KOMP)Vlcg/Fads1+ (more )
Structure Level Pattern Image Note
TS28: stomach Present UC Davis_1868318

Specimen UC Davis_1868319: postnatal adult; Fads1tm1.1(KOMP)Vlcg/Fads1+ (more )
Structure Level Pattern Image Note
TS28: stomach Present UC Davis_1868319

Specimen UC Davis_1868320: postnatal adult; Fads1tm1.1(KOMP)Vlcg/Fads1+ (more )
Structure Level Pattern Image Note
TS28: duodenum Present UC Davis_1868320

Specimen UC Davis_1868321: postnatal adult; Fads1tm1.1(KOMP)Vlcg/Fads1+ (more )
Structure Level Pattern Image Note
TS28: duodenum Present UC Davis_1868321

Specimen UC Davis_1868322: postnatal adult; Fads1tm1.1(KOMP)Vlcg/Fads1+ (more )
Structure Level Pattern Image Note
TS28: duodenum Present UC Davis_1868322

Specimen UC Davis_1868323: postnatal adult; Fads1tm1.1(KOMP)Vlcg/Fads1+ (more )
Structure Level Pattern Image Note
TS28: jejunum Present UC Davis_1868323

Specimen UC Davis_1868324: postnatal adult; Fads1tm1.1(KOMP)Vlcg/Fads1+ (more )
Structure Level Pattern Image Note
TS28: jejunum Present UC Davis_1868324

Specimen UC Davis_1868325: postnatal adult; Fads1tm1.1(KOMP)Vlcg/Fads1+ (more )
Structure Level Pattern Image Note
TS28: jejunum Present UC Davis_1868325

Specimen UC Davis_1868326: postnatal adult; Fads1tm1.1(KOMP)Vlcg/Fads1+ (more )
Structure Level Pattern Image Note
TS28: ileum Present UC Davis_1868326

Specimen UC Davis_1868327: postnatal adult; Fads1tm1.1(KOMP)Vlcg/Fads1+ (more )
Structure Level Pattern Image Note
TS28: ileum Present UC Davis_1868327

Specimen UC Davis_1868328: postnatal adult; Fads1tm1.1(KOMP)Vlcg/Fads1+ (more )
Structure Level Pattern Image Note
TS28: colon Present UC Davis_1868328

Specimen UC Davis_1868329: postnatal adult; Fads1tm1.1(KOMP)Vlcg/Fads1+ (more )
Structure Level Pattern Image Note
TS28: colon Present UC Davis_1868329

Specimen UC Davis_1868330: postnatal adult; Fads1tm1.1(KOMP)Vlcg/Fads1+ (more )
Structure Level Pattern Image Note
TS28: cecum Absent UC Davis_1868330

Specimen UC Davis_1868331: postnatal adult; Fads1tm1.1(KOMP)Vlcg/Fads1+ (more )
Structure Level Pattern Image Note
TS28: cecum Absent UC Davis_1868331

Specimen UC Davis_1868332: postnatal adult; Fads1tm1.1(KOMP)Vlcg/Fads1+ (more )
Structure Level Pattern Image Note
TS28: tongue Present UC Davis_1868332

Specimen UC Davis_1868333: postnatal adult; Fads1tm1.1(KOMP)Vlcg/Fads1+ (more )
Structure Level Pattern Image Note
TS28: adrenal gland Present UC Davis_1868333

Specimen UC Davis_1868334: postnatal adult; Fads1tm1.1(KOMP)Vlcg/Fads1+ (more )
Structure Level Pattern Image Note
TS28: adrenal gland Present UC Davis_1868334

Specimen UC Davis_1868335: postnatal adult; Fads1tm1.1(KOMP)Vlcg/Fads1+ (more )
Structure Level Pattern Image Note
TS28: spinal cord Present UC Davis_1868335

Specimen UC Davis_1868336: postnatal adult; Fads1tm1.1(KOMP)Vlcg/Fads1+ (more )
Structure Level Pattern Image Note
TS28: eye Present UC Davis_1868336

Specimen UC Davis_1868337: postnatal adult; Fads1tm1.1(KOMP)Vlcg/Fads1+ (more )
Structure Level Pattern Image Note
TS28: skin Present UC Davis_1868337

Specimen UC Davis_1868338: postnatal adult; Fads1tm1.1(KOMP)Vlcg/Fads1+ (more )
Structure Level Pattern Image Note
TS28: skin Present UC Davis_1868338

Specimen UC Davis_1868339: postnatal adult; Fads1tm1.1(KOMP)Vlcg/Fads1+ (more )
Structure Level Pattern Image Note
TS28: skin Present UC Davis_1868339

Specimen UC Davis_1868341: postnatal adult; Fads1tm1.1(KOMP)Vlcg/Fads1+ (more )
Structure Level Pattern Image Note
TS28: midbrain Present UC Davis_1868341

Specimen UC Davis_1868343: postnatal adult; Fads1tm1.1(KOMP)Vlcg/Fads1+ (more )
Structure Level Pattern Image Note
TS28: cerebellum Present UC Davis_1868343

Specimen UC Davis_1868344: postnatal adult; Fads1tm1.1(KOMP)Vlcg/Fads1+ (more )
Structure Level Pattern Image Note
TS28: trigeminal nerve Present UC Davis_1868344

Specimen UC Davis_1868345: postnatal adult; Fads1tm1.1(KOMP)Vlcg/Fads1+ (more )
Structure Level Pattern Image Note
TS28: bladder Absent UC Davis_1868345

Specimen UC Davis_1868346: postnatal adult; Fads1tm1.1(KOMP)Vlcg/Fads1+ (more )
Structure Level Pattern Image Note
TS28: testis Present UC Davis_1868346

Specimen UC Davis_1868347: postnatal adult; Fads1tm1.1(KOMP)Vlcg/Fads1+ (more )
Structure Level Pattern Image Note
TS28: testis Present UC Davis_1868347

Specimen UC Davis_1868348: postnatal adult; Fads1tm1.1(KOMP)Vlcg/Fads1+ (more )
Structure Level Pattern Image Note
TS28: epididymis Present UC Davis_1868348

Specimen UC Davis_1868349: postnatal adult; Fads1tm1.1(KOMP)Vlcg/Fads1+ (more )
Structure Level Pattern Image Note
TS28: epididymis Present UC Davis_1868349

Specimen UC Davis_1868350: postnatal adult; Fads1tm1.1(KOMP)Vlcg/Fads1+ (more )
Structure Level Pattern Image Note
TS28: prostate gland Present UC Davis_1868350

Specimen UC Davis_1868351: postnatal adult; Fads1tm1.1(KOMP)Vlcg/Fads1+ (more )
Structure Level Pattern Image Note
TS28: prostate gland Present UC Davis_1868351

Specimen UC Davis_1868352: postnatal adult; Fads1tm1.1(KOMP)Vlcg/Fads1+ (more )
Structure Level Pattern Image Note
TS28: ductus deferens Present UC Davis_1868352 vas deferens

Specimen UC Davis_1868353: postnatal adult; Fads1tm1.1(KOMP)Vlcg/Fads1+ (more )
Structure Level Pattern Image Note
TS28: ductus deferens Present UC Davis_1868353 vas deferens


Contributing Projects:
Mouse Genome Database (MGD), Gene Expression Database (GXD), Mouse Models of Human Cancer database (MMHCdb) (formerly Mouse Tumor Biology (MTB)), Gene Ontology (GO)
Citing These Resources
Funding Information
Warranty Disclaimer, Privacy Notice, Licensing, & Copyright
Send questions and comments to User Support.
last database update
12/30/2025
MGI 6.24
The Jackson Laboratory