About   Help   FAQ
Gene Expression Data
Assay Details
Assay
Reference: J:228563 Koscielny G, et al., The International Mouse Phenotyping Consortium Web Portal, a unified point of access for knockout mice and related phenotyping data. Nucleic Acids Res. 2014 Jan;42(Database issue):D802-9
Assay type: In situ reporter (knock in)
MGI Accession ID: MGI:6692146
Gene symbol: Dnttip1
Gene name: deoxynucleotidyltransferase, terminal, interacting protein 1
Reporter: lacZ
Direct Detection
Results
Specimen JAX_1263061: embryonic day 12.5; Dnttip1tm1b(KOMP)Wtsi/Dnttip1+ (more )
Structure Level Pattern Image Note
TS20: embryo Present JAX_1263061

Specimen JAX_1263063: embryonic day 12.5; Dnttip1tm1b(KOMP)Wtsi/Dnttip1+ (more )
Structure Level Pattern Image Note
TS20: embryo Present JAX_1263063

Specimen JAX_1263065: embryonic day 12.5; Dnttip1tm1b(KOMP)Wtsi/Dnttip1+ (more )
Structure Level Pattern Image Note
TS20: embryo Present JAX_1263065

Specimen JAX_1263067: embryonic day 12.5; Dnttip1tm1b(KOMP)Wtsi/Dnttip1+ (more )
Structure Level Pattern Image Note
TS20: embryo Present JAX_1263067

Specimen JAX_1263077: embryonic day 12.5; Dnttip1tm1b(KOMP)Wtsi/Dnttip1+ (more )
Structure Level Pattern Image Note
TS20: embryo Present JAX_1263077

Specimen JAX_1263079: embryonic day 12.5; Dnttip1tm1b(KOMP)Wtsi/Dnttip1+ (more )
Structure Level Pattern Image Note
TS20: embryo Present JAX_1263079

Specimen JAX_1263081: embryonic day 12.5; Dnttip1tm1b(KOMP)Wtsi/Dnttip1+ (more )
Structure Level Pattern Image Note
TS20: embryo Present JAX_1263081

Specimen JAX_1263083: embryonic day 12.5; Dnttip1tm1b(KOMP)Wtsi/Dnttip1+ (more )
Structure Level Pattern Image Note
TS20: embryo Present JAX_1263083

Specimen JAX_1372409: postnatal adult; Dnttip1tm1b(KOMP)Wtsi/Dnttip1+ (more )
Structure Level Pattern Image Note
TS28: midbrain Present JAX_1372409

Specimen JAX_1372410: postnatal adult; Dnttip1tm1b(KOMP)Wtsi/Dnttip1+ (more )
Structure Level Pattern Image Note
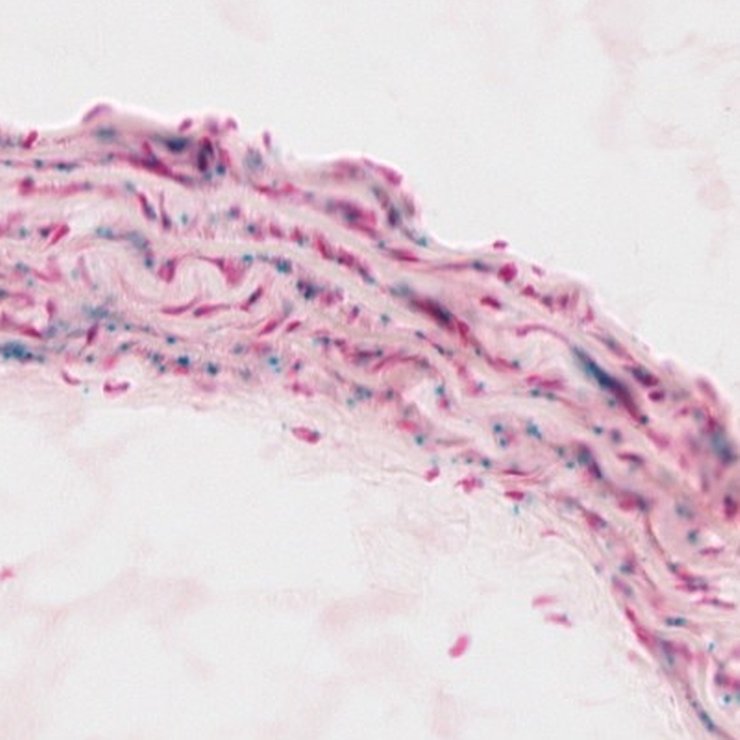
TS28: aorta Present JAX_1372410

Specimen JAX_1372411: postnatal adult; Dnttip1tm1b(KOMP)Wtsi/Dnttip1+ (more )
Structure Level Pattern Image Note
TS28: white fat Present JAX_1372411

Specimen JAX_1372412: postnatal adult; Dnttip1tm1b(KOMP)Wtsi/Dnttip1+ (more )
Structure Level Pattern Image Note
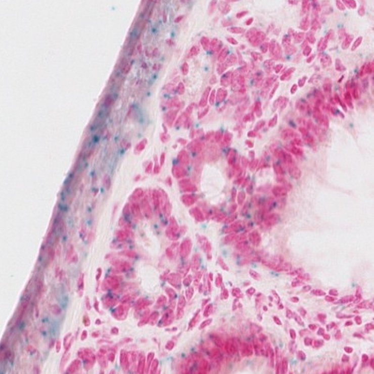
TS28: small intestine Present JAX_1372412

Specimen JAX_1372413: postnatal adult; Dnttip1tm1b(KOMP)Wtsi/Dnttip1+ (more )
Structure Level Pattern Image Note
TS28: pituitary gland Present JAX_1372413

Specimen JAX_1372414: postnatal adult; Dnttip1tm1b(KOMP)Wtsi/Dnttip1+ (more )
Structure Level Pattern Image Note
TS28: esophagus Present JAX_1372414

Specimen JAX_1372415: postnatal adult; Dnttip1tm1b(KOMP)Wtsi/Dnttip1+ (more )
Structure Level Pattern Image Note
TS28: large intestine Present JAX_1372415

Specimen JAX_1372416: postnatal adult; Dnttip1tm1b(KOMP)Wtsi/Dnttip1+ (more )
Structure Level Pattern Image Note
TS28: uterus Present JAX_1372416

Specimen JAX_1372417: postnatal adult; Dnttip1tm1b(KOMP)Wtsi/Dnttip1+ (more )
Structure Level Pattern Image Note
TS28: thymus Present JAX_1372417

Specimen JAX_1372418: postnatal adult; Dnttip1tm1b(KOMP)Wtsi/Dnttip1+ (more )
Structure Level Pattern Image Note
TS28: skin Present JAX_1372418

Specimen JAX_1372419: postnatal adult; Dnttip1tm1b(KOMP)Wtsi/Dnttip1+ (more )
Structure Level Pattern Image Note
TS28: oviduct Present JAX_1372419

Specimen JAX_1372420: postnatal adult; Dnttip1tm1b(KOMP)Wtsi/Dnttip1+ (more )
Structure Level Pattern Image Note
TS28: ovary Present JAX_1372420

Specimen JAX_1372421: postnatal adult; Dnttip1tm1b(KOMP)Wtsi/Dnttip1+ (more )
Structure Level Pattern Image Note
TS28: mammary gland Present JAX_1372421

Specimen JAX_1372422: postnatal adult; Dnttip1tm1b(KOMP)Wtsi/Dnttip1+ (more )
Structure Level Pattern Image Note
TS28: metanephros Present JAX_1372422 kidney

Specimen JAX_1372423: postnatal adult; Dnttip1tm1b(KOMP)Wtsi/Dnttip1+ (more )
Structure Level Pattern Image Note
TS28: heart Present JAX_1372423

Specimen JAX_1372424: postnatal adult; Dnttip1tm1b(KOMP)Wtsi/Dnttip1+ (more )
Structure Level Pattern Image Note
TS28: adrenal gland Present JAX_1372424

Specimen JAX_1372382: postnatal adult; Dnttip1tm1b(KOMP)Wtsi/Dnttip1+ (more )
Structure Level Pattern Image Note
TS28: thalamus Present JAX_1372382

Specimen JAX_1372383: postnatal adult; Dnttip1tm1b(KOMP)Wtsi/Dnttip1+ (more )
Structure Level Pattern Image Note
TS28: vascular system Present JAX_1372383

Specimen JAX_1372384: postnatal adult; Dnttip1tm1b(KOMP)Wtsi/Dnttip1+ (more )
Structure Level Pattern Image Note
TS28: epididymis Present JAX_1372384

Specimen JAX_1372385: postnatal adult; Dnttip1tm1b(KOMP)Wtsi/Dnttip1+ (more )
Structure Level Pattern Image Note
TS28: submandibular gland Present JAX_1372385

Specimen JAX_1372386: postnatal adult; Dnttip1tm1b(KOMP)Wtsi/Dnttip1+ (more )
Structure Level Pattern Image Note
TS28: bladder Present JAX_1372386

Specimen JAX_1372387: postnatal adult; Dnttip1tm1b(KOMP)Wtsi/Dnttip1+ (more )
Structure Level Pattern Image Note
TS28: corpus striatum Present JAX_1372387

Specimen JAX_1372388: postnatal adult; Dnttip1tm1b(KOMP)Wtsi/Dnttip1+ (more )
Structure Level Pattern Image Note
TS28: peripheral nervous system Present JAX_1372388

Specimen JAX_1372389: postnatal adult; Dnttip1tm1b(KOMP)Wtsi/Dnttip1+ (more )
Structure Level Pattern Image Note
TS28: olfactory lobe Present JAX_1372389

Specimen JAX_1372390: postnatal adult; Dnttip1tm1b(KOMP)Wtsi/Dnttip1+ (more )
Structure Level Pattern Image Note
TS28: hypothalamus Present JAX_1372390

Specimen JAX_1372391: postnatal adult; Dnttip1tm1b(KOMP)Wtsi/Dnttip1+ (more )
Structure Level Pattern Image Note
TS28: hippocampus Present JAX_1372391

Specimen JAX_1372392: postnatal adult; Dnttip1tm1b(KOMP)Wtsi/Dnttip1+ (more )
Structure Level Pattern Image Note
TS28: cerebellum Present JAX_1372392

Specimen JAX_1372393: postnatal adult; Dnttip1tm1b(KOMP)Wtsi/Dnttip1+ (more )
Structure Level Pattern Image Note
TS28: cerebral cortex Present JAX_1372393

Specimen JAX_1372394: postnatal adult; Dnttip1tm1b(KOMP)Wtsi/Dnttip1+ (more )
Structure Level Pattern Image Note
TS28: cartilage Present JAX_1372394

Specimen JAX_1372395: postnatal adult; Dnttip1tm1b(KOMP)Wtsi/Dnttip1+ (more )
Structure Level Pattern Image Note
TS28: brainstem Present JAX_1372395

Specimen JAX_1372396: postnatal adult; Dnttip1tm1b(KOMP)Wtsi/Dnttip1+ (more )
Structure Level Pattern Image Note
TS28: spleen Present JAX_1372396

Specimen JAX_1372397: postnatal adult; Dnttip1tm1b(KOMP)Wtsi/Dnttip1+ (more )
Structure Level Pattern Image Note
TS28: pancreas Present JAX_1372397

Specimen JAX_1372398: postnatal adult; Dnttip1tm1b(KOMP)Wtsi/Dnttip1+ (more )
Structure Level Pattern Image Note
TS28: lung Present JAX_1372398

Specimen JAX_1372399: postnatal adult; Dnttip1tm1b(KOMP)Wtsi/Dnttip1+ (more )
Structure Level Pattern Image Note
TS28: skeletal muscle tissue Present JAX_1372399

Specimen JAX_1372401: postnatal adult; Dnttip1tm1b(KOMP)Wtsi/Dnttip1+ (more )
Structure Level Pattern Image Note
TS28: spinal cord Present JAX_1372401

Specimen JAX_1372402: postnatal adult; Dnttip1tm1b(KOMP)Wtsi/Dnttip1+ (more )
Structure Level Pattern Image Note
TS28: trachea Present JAX_1372402

Specimen JAX_1372403: postnatal adult; Dnttip1tm1b(KOMP)Wtsi/Dnttip1+ (more )
Structure Level Pattern Image Note
TS28: testis Present JAX_1372403

Specimen JAX_1372404: postnatal adult; Dnttip1tm1b(KOMP)Wtsi/Dnttip1+ (more )
Structure Level Pattern Image Note
TS28: stomach Present JAX_1372404

Specimen JAX_1372405: postnatal adult; Dnttip1tm1b(KOMP)Wtsi/Dnttip1+ (more )
Structure Level Pattern Image Note
TS28: lymph node Present JAX_1372405

Specimen JAX_1372406: postnatal adult; Dnttip1tm1b(KOMP)Wtsi/Dnttip1+ (more )
Structure Level Pattern Image Note
TS28: liver Present JAX_1372406

Specimen JAX_1372407: postnatal adult; Dnttip1tm1b(KOMP)Wtsi/Dnttip1+ (more )
Structure Level Pattern Image Note
TS28: eye Present JAX_1372407

Specimen JAX_1372408: postnatal adult; Dnttip1tm1b(KOMP)Wtsi/Dnttip1+ (more )
Structure Level Pattern Image Note
TS28: brain Present JAX_1372408


Contributing Projects:
Mouse Genome Database (MGD), Gene Expression Database (GXD), Mouse Models of Human Cancer database (MMHCdb) (formerly Mouse Tumor Biology (MTB)), Gene Ontology (GO)
Citing These Resources
Funding Information
Warranty Disclaimer, Privacy Notice, Licensing, & Copyright
Send questions and comments to User Support.
last database update
01/06/2026
MGI 6.24
The Jackson Laboratory