About   Help   FAQ
Gene Expression Data
Assay Details
Assay
Reference: J:228563 Koscielny G, et al., The International Mouse Phenotyping Consortium Web Portal, a unified point of access for knockout mice and related phenotyping data. Nucleic Acids Res. 2014 Jan;42(Database issue):D802-9
Assay type: In situ reporter (knock in)
MGI Accession ID: MGI:6692142
Gene symbol: Stx16
Gene name: syntaxin 16
Reporter: lacZ
Direct Detection
Results
Specimen JAX_1314116: embryonic day 12.5; Stx16tm1b(KOMP)Wtsi/Stx16+ (more )
Structure Level Pattern Image Note
TS20: embryo Present JAX_1314116

Specimen JAX_1314117: embryonic day 12.5; Stx16tm1b(KOMP)Wtsi/Stx16+ (more )
Structure Level Pattern Image Note
TS20: embryo Present JAX_1314117

Specimen JAX_1314118: embryonic day 12.5; Stx16tm1b(KOMP)Wtsi/Stx16+ (more )
Structure Level Pattern Image Note
TS20: embryo Present JAX_1314118

Specimen JAX_1314119: embryonic day 12.5; Stx16tm1b(KOMP)Wtsi/Stx16+ (more )
Structure Level Pattern Image Note
TS20: embryo Present JAX_1314119

Specimen JAX_1314112: embryonic day 12.5; Stx16tm1b(KOMP)Wtsi/Stx16+ (more )
Structure Level Pattern Image Note
TS20: embryo Present JAX_1314112

Specimen JAX_1314113: embryonic day 12.5; Stx16tm1b(KOMP)Wtsi/Stx16+ (more )
Structure Level Pattern Image Note
TS20: embryo Present JAX_1314113

Specimen JAX_1314114: embryonic day 12.5; Stx16tm1b(KOMP)Wtsi/Stx16+ (more )
Structure Level Pattern Image Note
TS20: embryo Present JAX_1314114

Specimen JAX_1314115: embryonic day 12.5; Stx16tm1b(KOMP)Wtsi/Stx16+ (more )
Structure Level Pattern Image Note
TS20: embryo Present JAX_1314115

Specimen JAX_1800846: postnatal adult; Stx16tm1b(KOMP)Wtsi/Stx16+ (more )
Structure Level Pattern Image Note
TS28: uterus Present JAX_1800846

Specimen JAX_1800809: postnatal adult; Stx16tm1b(KOMP)Wtsi/Stx16+ (more )
Structure Level Pattern Image Note
TS28: thalamus Present JAX_1800809

Specimen JAX_1800810: postnatal adult; Stx16tm1b(KOMP)Wtsi/Stx16+ (more )
Structure Level Pattern Image Note
TS28: midbrain Present JAX_1800810

Specimen JAX_1800811: postnatal adult; Stx16tm1b(KOMP)Wtsi/Stx16+ (more )
Structure Level Pattern Image Note
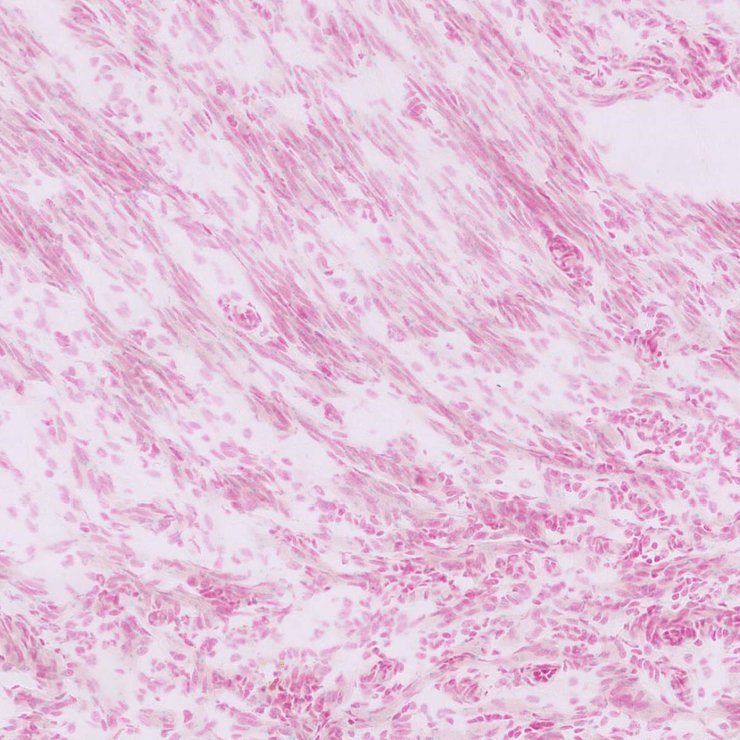
TS28: vascular system Present JAX_1800811

Specimen JAX_1800812: postnatal adult; Stx16tm1b(KOMP)Wtsi/Stx16+ (more )
Structure Level Pattern Image Note
TS28: brown fat Present JAX_1800812

Specimen JAX_1800813: postnatal adult; Stx16tm1b(KOMP)Wtsi/Stx16+ (more )
Structure Level Pattern Image Note
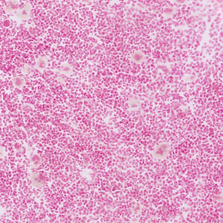
TS28: bone marrow Present JAX_1800813

Specimen JAX_1800814: postnatal adult; Stx16tm1b(KOMP)Wtsi/Stx16+ (more )
Structure Level Pattern Image Note
TS28: bladder Present JAX_1800814

Specimen JAX_1800815: postnatal adult; Stx16tm1b(KOMP)Wtsi/Stx16+ (more )
Structure Level Pattern Image Note
TS28: corpus striatum Present JAX_1800815

Specimen JAX_1800816: postnatal adult; Stx16tm1b(KOMP)Wtsi/Stx16+ (more )
Structure Level Pattern Image Note
TS28: peripheral nervous system Present JAX_1800816

Specimen JAX_1800817: postnatal adult; Stx16tm1b(KOMP)Wtsi/Stx16+ (more )
Structure Level Pattern Image Note
TS28: olfactory lobe Present JAX_1800817

Specimen JAX_1800818: postnatal adult; Stx16tm1b(KOMP)Wtsi/Stx16+ (more )
Structure Level Pattern Image Note
TS28: hypothalamus Present JAX_1800818

Specimen JAX_1800819: postnatal adult; Stx16tm1b(KOMP)Wtsi/Stx16+ (more )
Structure Level Pattern Image Note
TS28: hippocampus Present JAX_1800819

Specimen JAX_1800820: postnatal adult; Stx16tm1b(KOMP)Wtsi/Stx16+ (more )
Structure Level Pattern Image Note
TS28: cerebellum Present JAX_1800820

Specimen JAX_1800821: postnatal adult; Stx16tm1b(KOMP)Wtsi/Stx16+ (more )
Structure Level Pattern Image Note
TS28: cerebral cortex Present JAX_1800821

Specimen JAX_1800822: postnatal adult; Stx16tm1b(KOMP)Wtsi/Stx16+ (more )
Structure Level Pattern Image Note
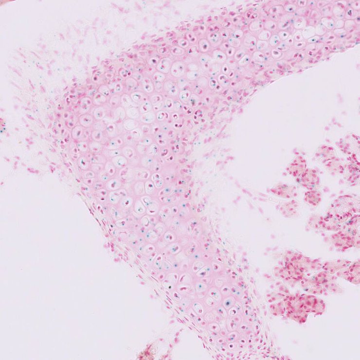
TS28: cartilage Present JAX_1800822

Specimen JAX_1800823: postnatal adult; Stx16tm1b(KOMP)Wtsi/Stx16+ (more )
Structure Level Pattern Image Note
TS28: brainstem Present JAX_1800823

Specimen JAX_1800824: postnatal adult; Stx16tm1b(KOMP)Wtsi/Stx16+ (more )
Structure Level Pattern Image Note
TS28: spleen Present JAX_1800824

Specimen JAX_1800825: postnatal adult; Stx16tm1b(KOMP)Wtsi/Stx16+ (more )
Structure Level Pattern Image Note
TS28: pancreas Present JAX_1800825

Specimen JAX_1800826: postnatal adult; Stx16tm1b(KOMP)Wtsi/Stx16+ (more )
Structure Level Pattern Image Note
TS28: aorta Present JAX_1800826

Specimen JAX_1800827: postnatal adult; Stx16tm1b(KOMP)Wtsi/Stx16+ (more )
Structure Level Pattern Image Note
TS28: lung Present JAX_1800827

Specimen JAX_1800828: postnatal adult; Stx16tm1b(KOMP)Wtsi/Stx16+ (more )
Structure Level Pattern Image Note
TS28: white fat Present JAX_1800828

Specimen JAX_1800829: postnatal adult; Stx16tm1b(KOMP)Wtsi/Stx16+ (more )
Structure Level Pattern Image Note
TS28: small intestine Present JAX_1800829

Specimen JAX_1800830: postnatal adult; Stx16tm1b(KOMP)Wtsi/Stx16+ (more )
Structure Level Pattern Image Note
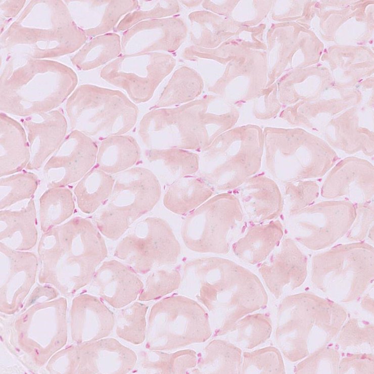
TS28: skeletal muscle tissue Present JAX_1800830

Specimen JAX_1800831: postnatal adult; Stx16tm1b(KOMP)Wtsi/Stx16+ (more )
Structure Level Pattern Image Note
TS28: pituitary gland Present JAX_1800831

Specimen JAX_1800832: postnatal adult; Stx16tm1b(KOMP)Wtsi/Stx16+ (more )
Structure Level Pattern Image Note
TS28: spinal cord Present JAX_1800832

Specimen JAX_1800833: postnatal adult; Stx16tm1b(KOMP)Wtsi/Stx16+ (more )
Structure Level Pattern Image Note
TS28: esophagus Present JAX_1800833

Specimen JAX_1800834: postnatal adult; Stx16tm1b(KOMP)Wtsi/Stx16+ (more )
Structure Level Pattern Image Note
TS28: large intestine Present JAX_1800834

Specimen JAX_1800835: postnatal adult; Stx16tm1b(KOMP)Wtsi/Stx16+ (more )
Structure Level Pattern Image Note
TS28: trachea Present JAX_1800835

Specimen JAX_1800836: postnatal adult; Stx16tm1b(KOMP)Wtsi/Stx16+ (more )
Structure Level Pattern Image Note
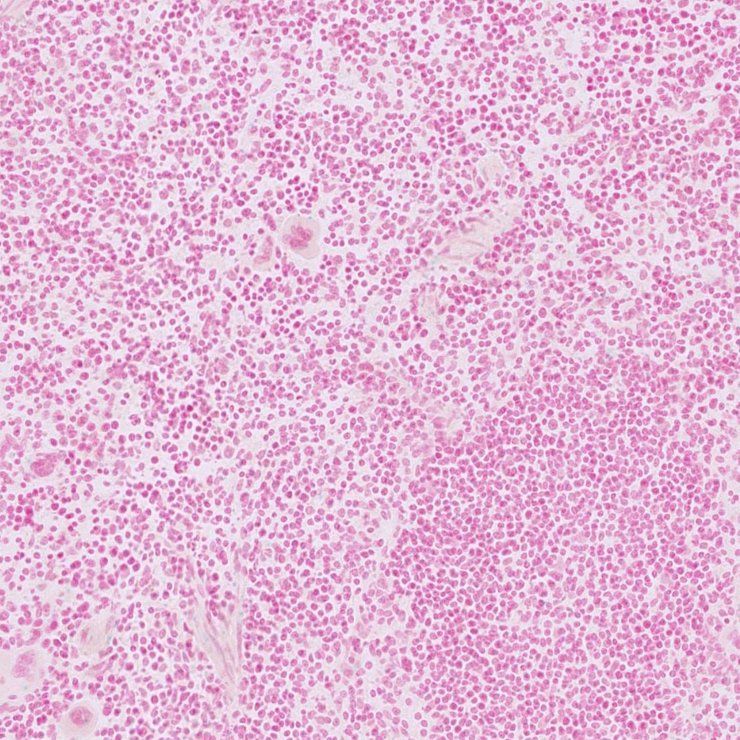
TS28: thymus Present JAX_1800836

Specimen JAX_1800837: postnatal adult; Stx16tm1b(KOMP)Wtsi/Stx16+ (more )
Structure Level Pattern Image Note
TS28: testis Present JAX_1800837

Specimen JAX_1800838: postnatal adult; Stx16tm1b(KOMP)Wtsi/Stx16+ (more )
Structure Level Pattern Image Note
TS28: stomach Present JAX_1800838

Specimen JAX_1800839: postnatal adult; Stx16tm1b(KOMP)Wtsi/Stx16+ (more )
Structure Level Pattern Image Note
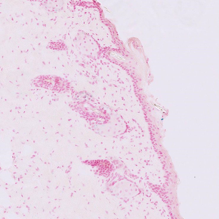
TS28: skin Present JAX_1800839

Specimen JAX_1800840: postnatal adult; Stx16tm1b(KOMP)Wtsi/Stx16+ (more )
Structure Level Pattern Image Note
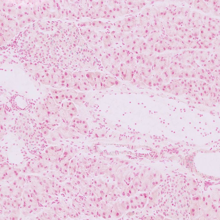
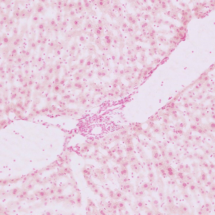
TS28: liver Present JAX_1800840

Specimen JAX_1800841: postnatal adult; Stx16tm1b(KOMP)Wtsi/Stx16+ (more )
Structure Level Pattern Image Note
TS28: metanephros Present JAX_1800841 kidney

Specimen JAX_1800842: postnatal adult; Stx16tm1b(KOMP)Wtsi/Stx16+ (more )
Structure Level Pattern Image Note
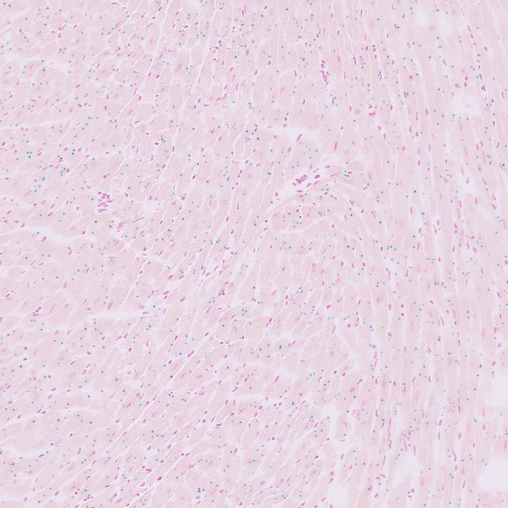
TS28: heart Present JAX_1800842

Specimen JAX_1800843: postnatal adult; Stx16tm1b(KOMP)Wtsi/Stx16+ (more )
Structure Level Pattern Image Note
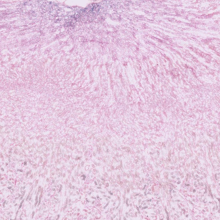
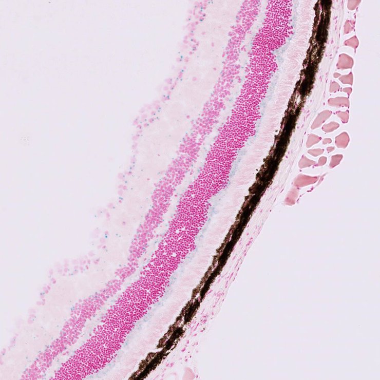
TS28: eye Present JAX_1800843

Specimen JAX_1800844: postnatal adult; Stx16tm1b(KOMP)Wtsi/Stx16+ (more )
Structure Level Pattern Image Note
TS28: brain Present JAX_1800844

Specimen JAX_1800845: postnatal adult; Stx16tm1b(KOMP)Wtsi/Stx16+ (more )
Structure Level Pattern Image Note
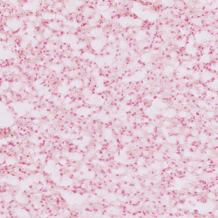
TS28: adrenal gland Present JAX_1800845


Contributing Projects:
Mouse Genome Database (MGD), Gene Expression Database (GXD), Mouse Models of Human Cancer database (MMHCdb) (formerly Mouse Tumor Biology (MTB)), Gene Ontology (GO)
Citing These Resources
Funding Information
Warranty Disclaimer, Privacy Notice, Licensing, & Copyright
Send questions and comments to User Support.
last database update
01/20/2026
MGI 6.24
The Jackson Laboratory