About   Help   FAQ
Gene Expression Data
Assay Details
Assay
Reference: J:228563 Koscielny G, et al., The International Mouse Phenotyping Consortium Web Portal, a unified point of access for knockout mice and related phenotyping data. Nucleic Acids Res. 2014 Jan;42(Database issue):D802-9
Assay type: In situ reporter (knock in)
MGI Accession ID: MGI:6692137
Gene symbol: Bcl2l12
Gene name: BCL2 like 12
Reporter: lacZ
Direct Detection
Results
Specimen UC Davis_1881236: postnatal adult; Bcl2l12tm1.1(KOMP)Vlcg/Bcl2l12+ (more )
Structure Level Pattern Image Note
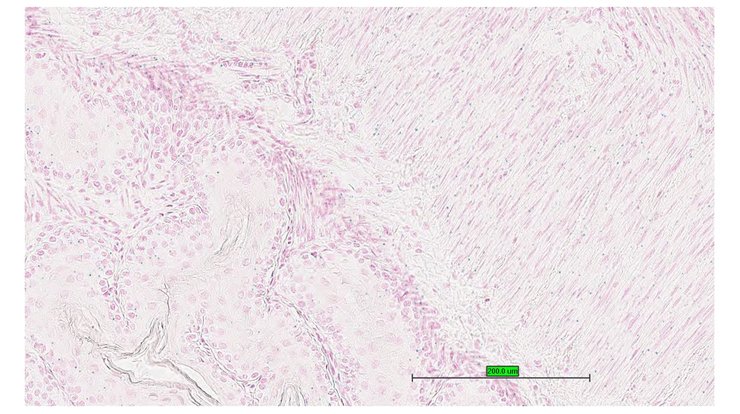
TS28: esophagus Present UC Davis_1881236

Specimen UC Davis_1881237: postnatal adult; Bcl2l12tm1.1(KOMP)Vlcg/Bcl2l12+ (more )
Structure Level Pattern Image Note
TS28: esophagus Present UC Davis_1881237

Specimen UC Davis_1881238: postnatal adult; Bcl2l12tm1.1(KOMP)Vlcg/Bcl2l12+ (more )
Structure Level Pattern Image Note
TS28: parathyroid gland Present UC Davis_1881238

Specimen UC Davis_1881242: postnatal adult; Bcl2l12tm1.1(KOMP)Vlcg/Bcl2l12+ (more )
Structure Level Pattern Image Note
TS28: stomach Present UC Davis_1881242

Specimen UC Davis_1881243: postnatal adult; Bcl2l12tm1.1(KOMP)Vlcg/Bcl2l12+ (more )
Structure Level Pattern Image Note
TS28: stomach Present UC Davis_1881243

Specimen UC Davis_1881244: postnatal adult; Bcl2l12tm1.1(KOMP)Vlcg/Bcl2l12+ (more )
Structure Level Pattern Image Note
TS28: colon Present UC Davis_1881244

Specimen UC Davis_1881245: postnatal adult; Bcl2l12tm1.1(KOMP)Vlcg/Bcl2l12+ (more )
Structure Level Pattern Image Note
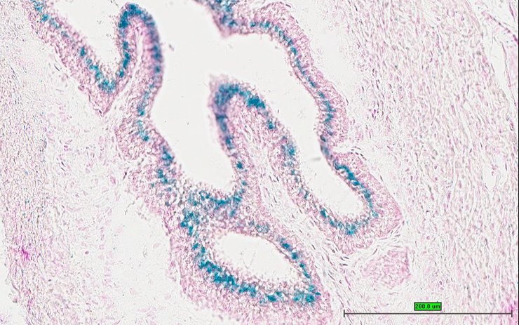
TS28: metanephros Present UC Davis_1881245 kidney

Specimen UC Davis_1881246: postnatal adult; Bcl2l12tm1.1(KOMP)Vlcg/Bcl2l12+ (more )
Structure Level Pattern Image Note
TS28: metanephros Present UC Davis_1881246 kidney

Specimen UC Davis_1881247: postnatal adult; Bcl2l12tm1.1(KOMP)Vlcg/Bcl2l12+ (more )
Structure Level Pattern Image Note
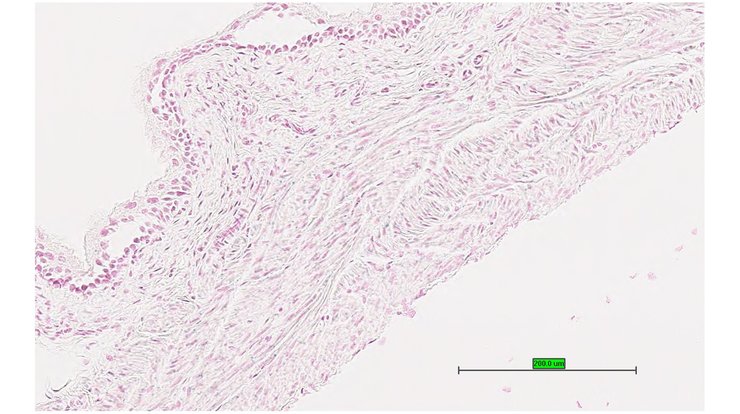
TS28: adrenal gland Present UC Davis_1881247

Specimen UC Davis_1881250: postnatal adult; Bcl2l12tm1.1(KOMP)Vlcg/Bcl2l12+ (more )
Structure Level Pattern Image Note
TS28: uterus Present UC Davis_1881250

Specimen UC Davis_1881251: postnatal adult; Bcl2l12tm1.1(KOMP)Vlcg/Bcl2l12+ (more )
Structure Level Pattern Image Note
TS28: vagina Present UC Davis_1881251

Specimen UC Davis_1881252: postnatal adult; Bcl2l12tm1.1(KOMP)Vlcg/Bcl2l12+ (more )
Structure Level Pattern Image Note
TS28: bladder Present UC Davis_1881252

Specimen UC Davis_1881253: postnatal adult; Bcl2l12tm1.1(KOMP)Vlcg/Bcl2l12+ (more )
Structure Level Pattern Image Note
TS28: trachea Present UC Davis_1881253

Specimen UC Davis_1881254: postnatal adult; Bcl2l12tm1.1(KOMP)Vlcg/Bcl2l12+ (more )
Structure Level Pattern Image Note
TS28: esophagus Present UC Davis_1881254

Specimen UC Davis_1881255: postnatal adult; Bcl2l12tm1.1(KOMP)Vlcg/Bcl2l12+ (more )
Structure Level Pattern Image Note
TS28: lung Present UC Davis_1881255

Specimen UC Davis_1881258: postnatal adult; Bcl2l12tm1.1(KOMP)Vlcg/Bcl2l12+ (more )
Structure Level Pattern Image Note
TS28: stomach Present UC Davis_1881258

Specimen UC Davis_1881259: postnatal adult; Bcl2l12tm1.1(KOMP)Vlcg/Bcl2l12+ (more )
Structure Level Pattern Image Note
TS28: stomach Present UC Davis_1881259

Specimen UC Davis_1881260: postnatal adult; Bcl2l12tm1.1(KOMP)Vlcg/Bcl2l12+ (more )
Structure Level Pattern Image Note
TS28: ileum Present UC Davis_1881260

Specimen UC Davis_1881261: postnatal adult; Bcl2l12tm1.1(KOMP)Vlcg/Bcl2l12+ (more )
Structure Level Pattern Image Note
TS28: colon Present UC Davis_1881261

Specimen UC Davis_1881262: postnatal adult; Bcl2l12tm1.1(KOMP)Vlcg/Bcl2l12+ (more )
Structure Level Pattern Image Note
TS28: metanephros Present UC Davis_1881262 kidney

Specimen UC Davis_1881263: postnatal adult; Bcl2l12tm1.1(KOMP)Vlcg/Bcl2l12+ (more )
Structure Level Pattern Image Note
TS28: metanephros Present UC Davis_1881263 kidney

Specimen UC Davis_1881264: postnatal adult; Bcl2l12tm1.1(KOMP)Vlcg/Bcl2l12+ (more )
Structure Level Pattern Image Note
TS28: adrenal gland Present UC Davis_1881264

Specimen UC Davis_1881268: postnatal adult; Bcl2l12tm1.1(KOMP)Vlcg/Bcl2l12+ (more )
Structure Level Pattern Image Note
TS28: parathyroid gland Present UC Davis_1881268

Specimen UC Davis_1881269: postnatal adult; Bcl2l12tm1.1(KOMP)Vlcg/Bcl2l12+ (more )
Structure Level Pattern Image Note
TS28: thymus Present UC Davis_1881269

Specimen UC Davis_1881272: postnatal adult; Bcl2l12tm1.1(KOMP)Vlcg/Bcl2l12+ (more )
Structure Level Pattern Image Note
TS28: stomach Present UC Davis_1881272

Specimen UC Davis_1881273: postnatal adult; Bcl2l12tm1.1(KOMP)Vlcg/Bcl2l12+ (more )
Structure Level Pattern Image Note
TS28: stomach Present UC Davis_1881273

Specimen UC Davis_1881274: postnatal adult; Bcl2l12tm1.1(KOMP)Vlcg/Bcl2l12+ (more )
Structure Level Pattern Image Note
TS28: colon Present UC Davis_1881274

Specimen UC Davis_1881275: postnatal adult; Bcl2l12tm1.1(KOMP)Vlcg/Bcl2l12+ (more )
Structure Level Pattern Image Note
TS28: metanephros Present UC Davis_1881275 kidney

Specimen UC Davis_1881276: postnatal adult; Bcl2l12tm1.1(KOMP)Vlcg/Bcl2l12+ (more )
Structure Level Pattern Image Note
TS28: quadriceps femoris muscle Present UC Davis_1881276

Specimen UC Davis_1881277: postnatal adult; Bcl2l12tm1.1(KOMP)Vlcg/Bcl2l12+ (more )
Structure Level Pattern Image Note
TS28: tongue Present UC Davis_1881277

Specimen UC Davis_1881278: postnatal adult; Bcl2l12tm1.1(KOMP)Vlcg/Bcl2l12+ (more )
Structure Level Pattern Image Note
TS28: eye Present UC Davis_1881278

Specimen UC Davis_1881279: postnatal adult; Bcl2l12tm1.1(KOMP)Vlcg/Bcl2l12+ (more )
Structure Level Pattern Image Note
TS28: skin Present UC Davis_1881279

Specimen UC Davis_1881282: postnatal adult; Bcl2l12tm1.1(KOMP)Vlcg/Bcl2l12+ (more )
Structure Level Pattern Image Note
TS28: bladder Present UC Davis_1881282

Specimen UC Davis_1881283: postnatal adult; Bcl2l12tm1.1(KOMP)Vlcg/Bcl2l12+ (more )
Structure Level Pattern Image Note
TS28: testis Present UC Davis_1881283

Specimen UC Davis_1881284: postnatal adult; Bcl2l12tm1.1(KOMP)Vlcg/Bcl2l12+ (more )
Structure Level Pattern Image Note
TS28: testis Present UC Davis_1881284

Specimen UC Davis_1881285: postnatal adult; Bcl2l12tm1.1(KOMP)Vlcg/Bcl2l12+ (more )
Structure Level Pattern Image Note
TS28: epididymis Present UC Davis_1881285

Specimen UC Davis_1881286: postnatal adult; Bcl2l12tm1.1(KOMP)Vlcg/Bcl2l12+ (more )
Structure Level Pattern Image Note
TS28: prostate gland Present UC Davis_1881286

Specimen UC Davis_1881287: postnatal adult; Bcl2l12tm1.1(KOMP)Vlcg/Bcl2l12+ (more )
Structure Level Pattern Image Note
TS28: ductus deferens Present UC Davis_1881287 vas deferens


Contributing Projects:
Mouse Genome Database (MGD), Gene Expression Database (GXD), Mouse Models of Human Cancer database (MMHCdb) (formerly Mouse Tumor Biology (MTB)), Gene Ontology (GO)
Citing These Resources
Funding Information
Warranty Disclaimer, Privacy Notice, Licensing, & Copyright
Send questions and comments to User Support.
last database update
01/20/2026
MGI 6.24
The Jackson Laboratory