About   Help   FAQ
Gene Expression Data
Assay Details
Assay
Reference: J:228563 Koscielny G, et al., The International Mouse Phenotyping Consortium Web Portal, a unified point of access for knockout mice and related phenotyping data. Nucleic Acids Res. 2014 Jan;42(Database issue):D802-9
Assay type: In situ reporter (knock in)
MGI Accession ID: MGI:6692136
Gene symbol: Cul5
Gene name: cullin 5
Reporter: lacZ
Direct Detection
Results
Specimen UC Davis_1873403: postnatal adult; Cul5tm1.1(KOMP)Vlcg/Cul5+ (more )
Structure Level Pattern Image Note
TS28: ileum Present UC Davis_1873403

Specimen UC Davis_1873404: postnatal adult; Cul5tm1.1(KOMP)Vlcg/Cul5+ (more )
Structure Level Pattern Image Note
TS28: colon Present UC Davis_1873404

Specimen UC Davis_1873405: postnatal adult; Cul5tm1.1(KOMP)Vlcg/Cul5+ (more )
Structure Level Pattern Image Note
TS28: colon Present UC Davis_1873405

Specimen UC Davis_1873406: postnatal adult; Cul5tm1.1(KOMP)Vlcg/Cul5+ (more )
Structure Level Pattern Image Note
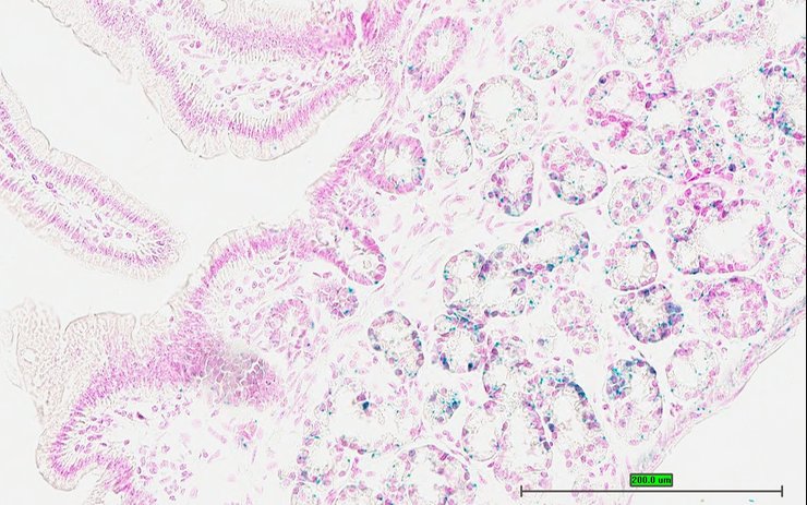
TS28: metanephros Present UC Davis_1873406 kidney

Specimen UC Davis_1873407: postnatal adult; Cul5tm1.1(KOMP)Vlcg/Cul5+ (more )
Structure Level Pattern Image Note
TS28: metanephros Present UC Davis_1873407 kidney

Specimen UC Davis_1873408: postnatal adult; Cul5tm1.1(KOMP)Vlcg/Cul5+ (more )
Structure Level Pattern Image Note
TS28: metanephros Present UC Davis_1873408 kidney

Specimen UC Davis_1873409: postnatal adult; Cul5tm1.1(KOMP)Vlcg/Cul5+ (more )
Structure Level Pattern Image Note
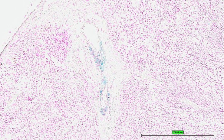
TS28: spinal cord Absent UC Davis_1873409

Specimen UC Davis_1873410: postnatal adult; Cul5tm1.1(KOMP)Vlcg/Cul5+ (more )
Structure Level Pattern Image Note
TS28: spinal cord Absent UC Davis_1873410

Specimen UC Davis_1873411: postnatal adult; Cul5tm1.1(KOMP)Vlcg/Cul5+ (more )
Structure Level Pattern Image Note
TS28: eye Present UC Davis_1873411

Specimen UC Davis_1873412: postnatal adult; Cul5tm1.1(KOMP)Vlcg/Cul5+ (more )
Structure Level Pattern Image Note
TS28: Harderian gland Present UC Davis_1873412

Specimen UC Davis_1873413: postnatal adult; Cul5tm1.1(KOMP)Vlcg/Cul5+ (more )
Structure Level Pattern Image Note
TS28: skin Present UC Davis_1873413

Specimen UC Davis_1873414: postnatal adult; Cul5tm1.1(KOMP)Vlcg/Cul5+ (more )
Structure Level Pattern Image Note
TS28: skin Present UC Davis_1873414

Specimen UC Davis_1873415: postnatal adult; Cul5tm1.1(KOMP)Vlcg/Cul5+ (more )
Structure Level Pattern Image Note
TS28: brown fat Present UC Davis_1873415

Specimen UC Davis_1873416: postnatal adult; Cul5tm1.1(KOMP)Vlcg/Cul5+ (more )
Structure Level Pattern Image Note
TS28: brown fat Present UC Davis_1873416

Specimen UC Davis_1873417: postnatal adult; Cul5tm1.1(KOMP)Vlcg/Cul5+ (more )
Structure Level Pattern Image Note
TS28: trigeminal nerve Present UC Davis_1873417

Specimen UC Davis_1873418: postnatal adult; Cul5tm1.1(KOMP)Vlcg/Cul5+ (more )
Structure Level Pattern Image Note
TS28: oviduct Present UC Davis_1873418

Specimen UC Davis_1873419: postnatal adult; Cul5tm1.1(KOMP)Vlcg/Cul5+ (more )
Structure Level Pattern Image Note
TS28: oviduct Present UC Davis_1873419

Specimen UC Davis_1873420: postnatal adult; Cul5tm1.1(KOMP)Vlcg/Cul5+ (more )
Structure Level Pattern Image Note
TS28: bladder Present UC Davis_1873420

Specimen UC Davis_1873421: postnatal adult; Cul5tm1.1(KOMP)Vlcg/Cul5+ (more )
Structure Level Pattern Image Note
TS28: bladder Present UC Davis_1873421

Specimen UC Davis_1873422: postnatal adult; Cul5tm1.1(KOMP)Vlcg/Cul5+ (more )
Structure Level Pattern Image Note
TS28: sublingual gland Present UC Davis_1873422

Specimen UC Davis_1873423: postnatal adult; Cul5tm1.1(KOMP)Vlcg/Cul5+ (more )
Structure Level Pattern Image Note
TS28: trachea Present UC Davis_1873423

Specimen UC Davis_1873424: postnatal adult; Cul5tm1.1(KOMP)Vlcg/Cul5+ (more )
Structure Level Pattern Image Note
TS28: esophagus Present UC Davis_1873424

Specimen UC Davis_1873426: postnatal adult; Cul5tm1.1(KOMP)Vlcg/Cul5+ (more )
Structure Level Pattern Image Note
TS28: parathyroid gland Present UC Davis_1873426

Specimen UC Davis_1873427: postnatal adult; Cul5tm1.1(KOMP)Vlcg/Cul5+ (more )
Structure Level Pattern Image Note
TS28: lung Present UC Davis_1873427

Specimen UC Davis_1873428: postnatal adult; Cul5tm1.1(KOMP)Vlcg/Cul5+ (more )
Structure Level Pattern Image Note
TS28: lung Present UC Davis_1873428

Specimen UC Davis_1873429: postnatal adult; Cul5tm1.1(KOMP)Vlcg/Cul5+ (more )
Structure Level Pattern Image Note
TS28: thymus Present UC Davis_1873429

Specimen UC Davis_1873431: postnatal adult; Cul5tm1.1(KOMP)Vlcg/Cul5+ (more )
Structure Level Pattern Image Note
TS28: stomach Present UC Davis_1873431

Specimen UC Davis_1873432: postnatal adult; Cul5tm1.1(KOMP)Vlcg/Cul5+ (more )
Structure Level Pattern Image Note
TS28: stomach Present UC Davis_1873432

Specimen UC Davis_1873433: postnatal adult; Cul5tm1.1(KOMP)Vlcg/Cul5+ (more )
Structure Level Pattern Image Note
TS28: stomach Present UC Davis_1873433

Specimen UC Davis_1873434: postnatal adult; Cul5tm1.1(KOMP)Vlcg/Cul5+ (more )
Structure Level Pattern Image Note
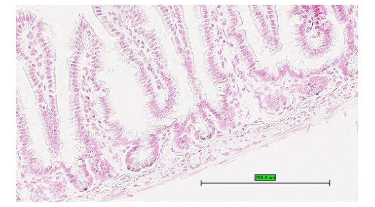
TS28: duodenum Present UC Davis_1873434

Specimen UC Davis_1873435: postnatal adult; Cul5tm1.1(KOMP)Vlcg/Cul5+ (more )
Structure Level Pattern Image Note
TS28: duodenum Present UC Davis_1873435

Specimen UC Davis_1873436: postnatal adult; Cul5tm1.1(KOMP)Vlcg/Cul5+ (more )
Structure Level Pattern Image Note
TS28: colon Present UC Davis_1873436

Specimen UC Davis_1873437: postnatal adult; Cul5tm1.1(KOMP)Vlcg/Cul5+ (more )
Structure Level Pattern Image Note
TS28: cecum Present UC Davis_1873437

Specimen UC Davis_1873438: postnatal adult; Cul5tm1.1(KOMP)Vlcg/Cul5+ (more )
Structure Level Pattern Image Note
TS28: spleen Present UC Davis_1873438

Specimen UC Davis_1873439: postnatal adult; Cul5tm1.1(KOMP)Vlcg/Cul5+ (more )
Structure Level Pattern Image Note
TS28: pancreas Present UC Davis_1873439

Specimen UC Davis_1873440: postnatal adult; Cul5tm1.1(KOMP)Vlcg/Cul5+ (more )
Structure Level Pattern Image Note
TS28: liver Present UC Davis_1873440

Specimen UC Davis_1873441: postnatal adult; Cul5tm1.1(KOMP)Vlcg/Cul5+ (more )
Structure Level Pattern Image Note
TS28: liver Present UC Davis_1873441

Specimen UC Davis_1873442: postnatal adult; Cul5tm1.1(KOMP)Vlcg/Cul5+ (more )
Structure Level Pattern Image Note
TS28: metanephros Present UC Davis_1873442 kidney

Specimen UC Davis_1873443: postnatal adult; Cul5tm1.1(KOMP)Vlcg/Cul5+ (more )
Structure Level Pattern Image Note
TS28: metanephros Present UC Davis_1873443 kidney

Specimen UC Davis_1873444: postnatal adult; Cul5tm1.1(KOMP)Vlcg/Cul5+ (more )
Structure Level Pattern Image Note
TS28: metanephros Present UC Davis_1873444 kidney

Specimen UC Davis_1873445: postnatal adult; Cul5tm1.1(KOMP)Vlcg/Cul5+ (more )
Structure Level Pattern Image Note
TS28: metanephros Present UC Davis_1873445 kidney

Specimen UC Davis_1873446: postnatal adult; Cul5tm1.1(KOMP)Vlcg/Cul5+ (more )
Structure Level Pattern Image Note
TS28: quadriceps femoris muscle Present UC Davis_1873446

Specimen UC Davis_1873447: postnatal adult; Cul5tm1.1(KOMP)Vlcg/Cul5+ (more )
Structure Level Pattern Image Note
TS28: tongue Present UC Davis_1873447

Specimen UC Davis_1873448: postnatal adult; Cul5tm1.1(KOMP)Vlcg/Cul5+ (more )
Structure Level Pattern Image Note
TS28: adrenal gland Present UC Davis_1873448

Specimen UC Davis_1873449: postnatal adult; Cul5tm1.1(KOMP)Vlcg/Cul5+ (more )
Structure Level Pattern Image Note
TS28: pituitary gland Present UC Davis_1873449

Specimen UC Davis_1873450: postnatal adult; Cul5tm1.1(KOMP)Vlcg/Cul5+ (more )
Structure Level Pattern Image Note
TS28: pituitary gland Present UC Davis_1873450

Specimen UC Davis_1873451: postnatal adult; Cul5tm1.1(KOMP)Vlcg/Cul5+ (more )
Structure Level Pattern Image Note
TS28: spinal cord Present UC Davis_1873451

Specimen UC Davis_1873452: postnatal adult; Cul5tm1.1(KOMP)Vlcg/Cul5+ (more )
Structure Level Pattern Image Note
TS28: spinal cord Present UC Davis_1873452

Specimen UC Davis_1873453: postnatal adult; Cul5tm1.1(KOMP)Vlcg/Cul5+ (more )
Structure Level Pattern Image Note
TS28: eye Present UC Davis_1873453

Specimen UC Davis_1873455: postnatal adult; Cul5tm1.1(KOMP)Vlcg/Cul5+ (more )
Structure Level Pattern Image Note
TS28: Harderian gland Present UC Davis_1873455

Specimen UC Davis_1873456: postnatal adult; Cul5tm1.1(KOMP)Vlcg/Cul5+ (more )
Structure Level Pattern Image Note
TS28: Harderian gland Present UC Davis_1873456

Specimen UC Davis_1873457: postnatal adult; Cul5tm1.1(KOMP)Vlcg/Cul5+ (more )
Structure Level Pattern Image Note
TS28: gonadal fat pad Present UC Davis_1873457

Specimen UC Davis_1873458: postnatal adult; Cul5tm1.1(KOMP)Vlcg/Cul5+ (more )
Structure Level Pattern Image Note
TS28: skin Present UC Davis_1873458

Specimen UC Davis_1873459: postnatal adult; Cul5tm1.1(KOMP)Vlcg/Cul5+ (more )
Structure Level Pattern Image Note
TS28: skin Present UC Davis_1873459

Specimen UC Davis_1873460: postnatal adult; Cul5tm1.1(KOMP)Vlcg/Cul5+ (more )
Structure Level Pattern Image Note
TS28: brown fat Present UC Davis_1873460

Specimen UC Davis_1873461: postnatal adult; Cul5tm1.1(KOMP)Vlcg/Cul5+ (more )
Structure Level Pattern Image Note
TS28: brown fat Present UC Davis_1873461

Specimen UC Davis_1873462: postnatal adult; Cul5tm1.1(KOMP)Vlcg/Cul5+ (more )
Structure Level Pattern Image Note
TS28: olfactory lobe Present UC Davis_1873462

Specimen UC Davis_1873465: postnatal adult; Cul5tm1.1(KOMP)Vlcg/Cul5+ (more )
Structure Level Pattern Image Note
TS28: midbrain Present UC Davis_1873465

Specimen UC Davis_1873467: postnatal adult; Cul5tm1.1(KOMP)Vlcg/Cul5+ (more )
Structure Level Pattern Image Note
TS28: cerebellum Present UC Davis_1873467

Specimen UC Davis_1873468: postnatal adult; Cul5tm1.1(KOMP)Vlcg/Cul5+ (more )
Structure Level Pattern Image Note
TS28: trigeminal nerve Present UC Davis_1873468

Specimen UC Davis_1873469: postnatal adult; Cul5tm1.1(KOMP)Vlcg/Cul5+ (more )
Structure Level Pattern Image Note
TS28: bladder Present UC Davis_1873469

Specimen UC Davis_1873470: postnatal adult; Cul5tm1.1(KOMP)Vlcg/Cul5+ (more )
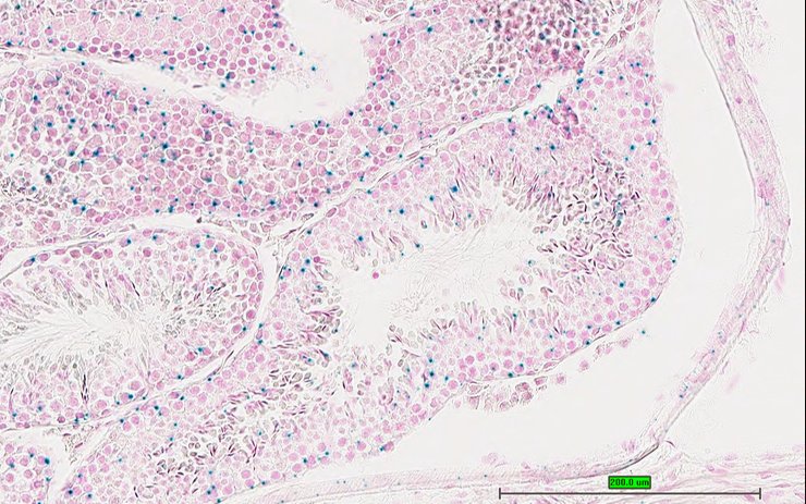
Structure Level Pattern Image Note
TS28: testis Present UC Davis_1873470

Specimen UC Davis_1873471: postnatal adult; Cul5tm1.1(KOMP)Vlcg/Cul5+ (more )
Structure Level Pattern Image Note
TS28: testis Present UC Davis_1873471

Specimen UC Davis_1873472: postnatal adult; Cul5tm1.1(KOMP)Vlcg/Cul5+ (more )
Structure Level Pattern Image Note
TS28: testis Present UC Davis_1873472

Specimen UC Davis_1873473: postnatal adult; Cul5tm1.1(KOMP)Vlcg/Cul5+ (more )
Structure Level Pattern Image Note
TS28: epididymis Present UC Davis_1873473

Specimen UC Davis_1873474: postnatal adult; Cul5tm1.1(KOMP)Vlcg/Cul5+ (more )
Structure Level Pattern Image Note
TS28: prostate gland Present UC Davis_1873474

Specimen UC Davis_1873475: postnatal adult; Cul5tm1.1(KOMP)Vlcg/Cul5+ (more )
Structure Level Pattern Image Note
TS28: penis Present UC Davis_1873475

Specimen UC Davis_1873476: postnatal adult; Cul5tm1.1(KOMP)Vlcg/Cul5+ (more )
Structure Level Pattern Image Note
TS28: penis Present UC Davis_1873476

Specimen UC Davis_1873477: postnatal adult; Cul5tm1.1(KOMP)Vlcg/Cul5+ (more )
Structure Level Pattern Image Note
TS28: ductus deferens Present UC Davis_1873477 vas deferens

Specimen UC Davis_1873479: postnatal adult; Cul5tm1.1(KOMP)Vlcg/Cul5+ (more )
Structure Level Pattern Image Note
TS28: seminal vesicle Present UC Davis_1873479 vesicular gland


Contributing Projects:
Mouse Genome Database (MGD), Gene Expression Database (GXD), Mouse Models of Human Cancer database (MMHCdb) (formerly Mouse Tumor Biology (MTB)), Gene Ontology (GO)
Citing These Resources
Funding Information
Warranty Disclaimer, Privacy Notice, Licensing, & Copyright
Send questions and comments to User Support.
last database update
01/06/2026
MGI 6.24
The Jackson Laboratory