About   Help   FAQ
Gene Expression Data
Assay Details
Assay
Reference: J:228563 Koscielny G, et al., The International Mouse Phenotyping Consortium Web Portal, a unified point of access for knockout mice and related phenotyping data. Nucleic Acids Res. 2014 Jan;42(Database issue):D802-9
Assay type: In situ reporter (knock in)
MGI Accession ID: MGI:6692135
Gene symbol: Tmem14a
Gene name: transmembrane protein 14A
Reporter: lacZ
Direct Detection
Results
Specimen JAX_1262307: postnatal adult; Tmem14atm2b(KOMP)Wtsi/Tmem14a+ (more )
Structure Level Pattern Image Note
TS28: uterus Present JAX_1262307

Specimen JAX_1262309: postnatal adult; Tmem14atm2b(KOMP)Wtsi/Tmem14a+ (more )
Structure Level Pattern Image Note
TS28: oviduct Present JAX_1262309

Specimen JAX_1262311: postnatal adult; Tmem14atm2b(KOMP)Wtsi/Tmem14a+ (more )
Structure Level Pattern Image Note
TS28: ovary Present JAX_1262311

Specimen JAX_1262251: postnatal adult; Tmem14atm2b(KOMP)Wtsi/Tmem14a+ (more )
Structure Level Pattern Image Note
TS28: thalamus Present JAX_1262251

Specimen JAX_1262253: postnatal adult; Tmem14atm2b(KOMP)Wtsi/Tmem14a+ (more )
Structure Level Pattern Image Note
TS28: midbrain Present JAX_1262253

Specimen JAX_1262255: postnatal adult; Tmem14atm2b(KOMP)Wtsi/Tmem14a+ (more )
Structure Level Pattern Image Note
TS28: vascular system Present JAX_1262255

Specimen JAX_1262257: postnatal adult; Tmem14atm2b(KOMP)Wtsi/Tmem14a+ (more )
Structure Level Pattern Image Note
TS28: epididymis Present JAX_1262257

Specimen JAX_1262259: postnatal adult; Tmem14atm2b(KOMP)Wtsi/Tmem14a+ (more )
Structure Level Pattern Image Note
TS28: submandibular gland Present JAX_1262259

Specimen JAX_1262261: postnatal adult; Tmem14atm2b(KOMP)Wtsi/Tmem14a+ (more )
Structure Level Pattern Image Note
TS28: bladder Present JAX_1262261

Specimen JAX_1262263: postnatal adult; Tmem14atm2b(KOMP)Wtsi/Tmem14a+ (more )
Structure Level Pattern Image Note
TS28: corpus striatum Present JAX_1262263

Specimen JAX_1262265: postnatal adult; Tmem14atm2b(KOMP)Wtsi/Tmem14a+ (more )
Structure Level Pattern Image Note
TS28: peripheral nervous system Present JAX_1262265

Specimen JAX_1262267: postnatal adult; Tmem14atm2b(KOMP)Wtsi/Tmem14a+ (more )
Structure Level Pattern Image Note
TS28: olfactory lobe Present JAX_1262267

Specimen JAX_1262269: postnatal adult; Tmem14atm2b(KOMP)Wtsi/Tmem14a+ (more )
Structure Level Pattern Image Note
TS28: hypothalamus Present JAX_1262269

Specimen JAX_1262271: postnatal adult; Tmem14atm2b(KOMP)Wtsi/Tmem14a+ (more )
Structure Level Pattern Image Note
TS28: hippocampus Present JAX_1262271

Specimen JAX_1262273: postnatal adult; Tmem14atm2b(KOMP)Wtsi/Tmem14a+ (more )
Structure Level Pattern Image Note
TS28: cerebellum Present JAX_1262273

Specimen JAX_1262275: postnatal adult; Tmem14atm2b(KOMP)Wtsi/Tmem14a+ (more )
Structure Level Pattern Image Note
TS28: cerebral cortex Present JAX_1262275

Specimen JAX_1262277: postnatal adult; Tmem14atm2b(KOMP)Wtsi/Tmem14a+ (more )
Structure Level Pattern Image Note
TS28: cartilage Present JAX_1262277

Specimen JAX_1262279: postnatal adult; Tmem14atm2b(KOMP)Wtsi/Tmem14a+ (more )
Structure Level Pattern Image Note
TS28: brainstem Present JAX_1262279

Specimen JAX_1262281: postnatal adult; Tmem14atm2b(KOMP)Wtsi/Tmem14a+ (more )
Structure Level Pattern Image Note
TS28: aorta Present JAX_1262281

Specimen JAX_1262283: postnatal adult; Tmem14atm2b(KOMP)Wtsi/Tmem14a+ (more )
Structure Level Pattern Image Note
TS28: lung Present JAX_1262283

Specimen JAX_1262285: postnatal adult; Tmem14atm2b(KOMP)Wtsi/Tmem14a+ (more )
Structure Level Pattern Image Note
TS28: small intestine Present JAX_1262285

Specimen JAX_1262287: postnatal adult; Tmem14atm2b(KOMP)Wtsi/Tmem14a+ (more )
Structure Level Pattern Image Note
TS28: pituitary gland Present JAX_1262287

Specimen JAX_1262289: postnatal adult; Tmem14atm2b(KOMP)Wtsi/Tmem14a+ (more )
Structure Level Pattern Image Note
TS28: spinal cord Present JAX_1262289

Specimen JAX_1262291: postnatal adult; Tmem14atm2b(KOMP)Wtsi/Tmem14a+ (more )
Structure Level Pattern Image Note
TS28: trachea Present JAX_1262291

Specimen JAX_1262293: postnatal adult; Tmem14atm2b(KOMP)Wtsi/Tmem14a+ (more )
Structure Level Pattern Image Note
TS28: testis Present JAX_1262293

Specimen JAX_1262295: postnatal adult; Tmem14atm2b(KOMP)Wtsi/Tmem14a+ (more )
Structure Level Pattern Image Note
TS28: stomach Present JAX_1262295

Specimen JAX_1262297: postnatal adult; Tmem14atm2b(KOMP)Wtsi/Tmem14a+ (more )
Structure Level Pattern Image Note
TS28: metanephros Present JAX_1262297 kidney

Specimen JAX_1262299: postnatal adult; Tmem14atm2b(KOMP)Wtsi/Tmem14a+ (more )
Structure Level Pattern Image Note
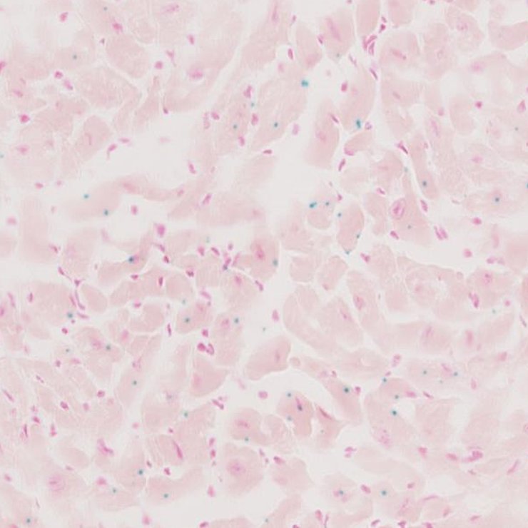
TS28: heart Present JAX_1262299

Specimen JAX_1262301: postnatal adult; Tmem14atm2b(KOMP)Wtsi/Tmem14a+ (more )
Structure Level Pattern Image Note
TS28: eye Present JAX_1262301

Specimen JAX_1262303: postnatal adult; Tmem14atm2b(KOMP)Wtsi/Tmem14a+ (more )
Structure Level Pattern Image Note
TS28: brain Present JAX_1262303

Specimen JAX_1262305: postnatal adult; Tmem14atm2b(KOMP)Wtsi/Tmem14a+ (more )
Structure Level Pattern Image Note
TS28: adrenal gland Present JAX_1262305


Contributing Projects:
Mouse Genome Database (MGD), Gene Expression Database (GXD), Mouse Models of Human Cancer database (MMHCdb) (formerly Mouse Tumor Biology (MTB)), Gene Ontology (GO)
Citing These Resources
Funding Information
Warranty Disclaimer, Privacy Notice, Licensing, & Copyright
Send questions and comments to User Support.
last database update
12/30/2025
MGI 6.24
The Jackson Laboratory