About   Help   FAQ
Gene Expression Data
Assay Details
Assay
Reference: J:228563 Koscielny G, et al., The International Mouse Phenotyping Consortium Web Portal, a unified point of access for knockout mice and related phenotyping data. Nucleic Acids Res. 2014 Jan;42(Database issue):D802-9
Assay type: In situ reporter (knock in)
MGI Accession ID: MGI:6692134
Gene symbol: Prpf6
Gene name: pre-mRNA splicing factor 6
Reporter: lacZ
Direct Detection
Results
Specimen JAX_1123577: embryonic day 12.5; Prpf6tm1.1(KOMP)Vlcg/Prpf6+ (more )
Structure Level Pattern Image Note
TS20: embryo Present JAX_1123577

Specimen JAX_1123579: embryonic day 12.5; Prpf6tm1.1(KOMP)Vlcg/Prpf6+ (more )
Structure Level Pattern Image Note
TS20: embryo Present JAX_1123579

Specimen JAX_1123581: embryonic day 12.5; Prpf6tm1.1(KOMP)Vlcg/Prpf6+ (more )
Structure Level Pattern Image Note
TS20: embryo Present JAX_1123581

Specimen JAX_1123583: embryonic day 12.5; Prpf6tm1.1(KOMP)Vlcg/Prpf6+ (more )
Structure Level Pattern Image Note
TS20: embryo Present JAX_1123583

Specimen JAX_927679: embryonic day 12.5; Prpf6tm1.1(KOMP)Vlcg/Prpf6+ (more )
Structure Level Pattern Image Note
TS20: embryo Present JAX_927679

Specimen JAX_927681: embryonic day 12.5; Prpf6tm1.1(KOMP)Vlcg/Prpf6+ (more )
Structure Level Pattern Image Note
TS20: embryo Present JAX_927681

Specimen JAX_927683: embryonic day 12.5; Prpf6tm1.1(KOMP)Vlcg/Prpf6+ (more )
Structure Level Pattern Image Note
TS20: embryo Present JAX_927683

Specimen JAX_927685: embryonic day 12.5; Prpf6tm1.1(KOMP)Vlcg/Prpf6+ (more )
Structure Level Pattern Image Note
TS20: embryo Present JAX_927685

Specimen JAX_1803416: postnatal adult; Prpf6tm1.1(KOMP)Vlcg/Prpf6+ (more )
Structure Level Pattern Image Note
TS28: thalamus Present JAX_1803416

Specimen JAX_1803417: postnatal adult; Prpf6tm1.1(KOMP)Vlcg/Prpf6+ (more )
Structure Level Pattern Image Note
TS28: midbrain Present JAX_1803417

Specimen JAX_1803418: postnatal adult; Prpf6tm1.1(KOMP)Vlcg/Prpf6+ (more )
Structure Level Pattern Image Note
TS28: bone marrow Present JAX_1803418

Specimen JAX_1803419: postnatal adult; Prpf6tm1.1(KOMP)Vlcg/Prpf6+ (more )
Structure Level Pattern Image Note
TS28: bladder Present JAX_1803419

Specimen JAX_1803420: postnatal adult; Prpf6tm1.1(KOMP)Vlcg/Prpf6+ (more )
Structure Level Pattern Image Note
TS28: corpus striatum Present JAX_1803420

Specimen JAX_1803421: postnatal adult; Prpf6tm1.1(KOMP)Vlcg/Prpf6+ (more )
Structure Level Pattern Image Note
TS28: olfactory lobe Present JAX_1803421

Specimen JAX_1803422: postnatal adult; Prpf6tm1.1(KOMP)Vlcg/Prpf6+ (more )
Structure Level Pattern Image Note
TS28: hypothalamus Present JAX_1803422

Specimen JAX_1803423: postnatal adult; Prpf6tm1.1(KOMP)Vlcg/Prpf6+ (more )
Structure Level Pattern Image Note
TS28: hippocampus Present JAX_1803423

Specimen JAX_1803424: postnatal adult; Prpf6tm1.1(KOMP)Vlcg/Prpf6+ (more )
Structure Level Pattern Image Note
TS28: cerebellum Present JAX_1803424

Specimen JAX_1803425: postnatal adult; Prpf6tm1.1(KOMP)Vlcg/Prpf6+ (more )
Structure Level Pattern Image Note
TS28: cerebral cortex Present JAX_1803425

Specimen JAX_1803426: postnatal adult; Prpf6tm1.1(KOMP)Vlcg/Prpf6+ (more )
Structure Level Pattern Image Note
TS28: brainstem Present JAX_1803426

Specimen JAX_1803427: postnatal adult; Prpf6tm1.1(KOMP)Vlcg/Prpf6+ (more )
Structure Level Pattern Image Note
TS28: spinal cord Present JAX_1803427

Specimen JAX_1803428: postnatal adult; Prpf6tm1.1(KOMP)Vlcg/Prpf6+ (more )
Structure Level Pattern Image Note
TS28: large intestine Present JAX_1803428

Specimen JAX_1803429: postnatal adult; Prpf6tm1.1(KOMP)Vlcg/Prpf6+ (more )
Structure Level Pattern Image Note
TS28: uterus Present JAX_1803429

Specimen JAX_1803430: postnatal adult; Prpf6tm1.1(KOMP)Vlcg/Prpf6+ (more )
Structure Level Pattern Image Note
TS28: trachea Present JAX_1803430

Specimen JAX_1803431: postnatal adult; Prpf6tm1.1(KOMP)Vlcg/Prpf6+ (more )
Structure Level Pattern Image Note
TS28: oviduct Present JAX_1803431

Specimen JAX_1803432: postnatal adult; Prpf6tm1.1(KOMP)Vlcg/Prpf6+ (more )
Structure Level Pattern Image Note
TS28: ovary Present JAX_1803432

Specimen JAX_1803433: postnatal adult; Prpf6tm1.1(KOMP)Vlcg/Prpf6+ (more )
Structure Level Pattern Image Note
TS28: mammary gland Present JAX_1803433

Specimen JAX_1803434: postnatal adult; Prpf6tm1.1(KOMP)Vlcg/Prpf6+ (more )
Structure Level Pattern Image Note
TS28: brain Present JAX_1803434

Specimen JAX_1803435: postnatal adult; Prpf6tm1.1(KOMP)Vlcg/Prpf6+ (more )
Structure Level Pattern Image Note
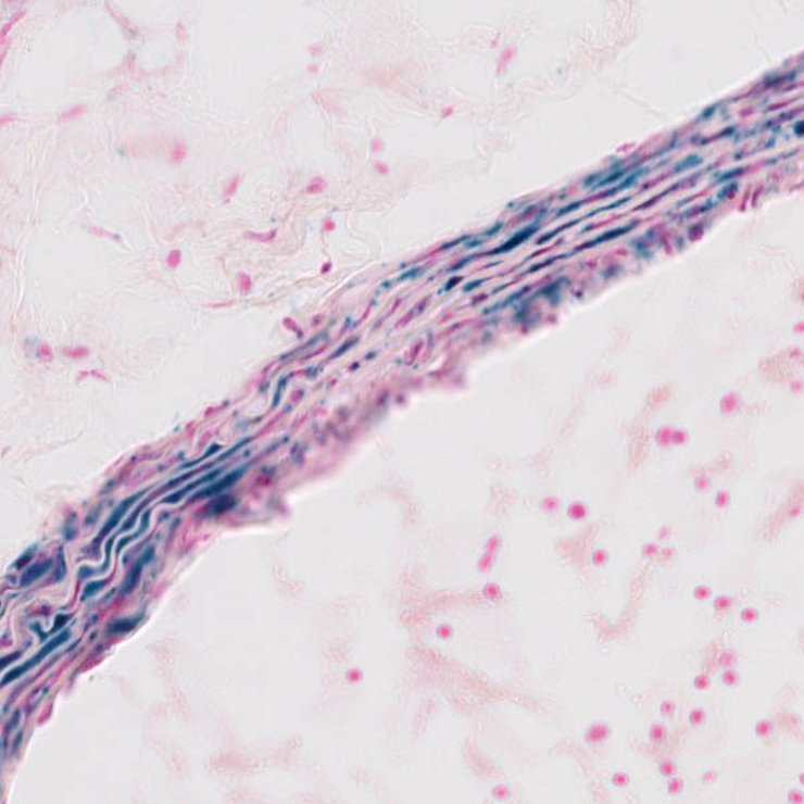
TS28: vascular system Present JAX_1803435

Specimen JAX_1803436: postnatal adult; Prpf6tm1.1(KOMP)Vlcg/Prpf6+ (more )
Structure Level Pattern Image Note
TS28: epididymis Present JAX_1803436

Specimen JAX_1803437: postnatal adult; Prpf6tm1.1(KOMP)Vlcg/Prpf6+ (more )
Structure Level Pattern Image Note
TS28: submandibular gland Present JAX_1803437

Specimen JAX_1803438: postnatal adult; Prpf6tm1.1(KOMP)Vlcg/Prpf6+ (more )
Structure Level Pattern Image Note
TS28: brown fat Present JAX_1803438

Specimen JAX_1803439: postnatal adult; Prpf6tm1.1(KOMP)Vlcg/Prpf6+ (more )
Structure Level Pattern Image Note
TS28: Peyer's patch Present JAX_1803439

Specimen JAX_1803440: postnatal adult; Prpf6tm1.1(KOMP)Vlcg/Prpf6+ (more )
Structure Level Pattern Image Note
TS28: peripheral nervous system Present JAX_1803440

Specimen JAX_1803441: postnatal adult; Prpf6tm1.1(KOMP)Vlcg/Prpf6+ (more )
Structure Level Pattern Image Note
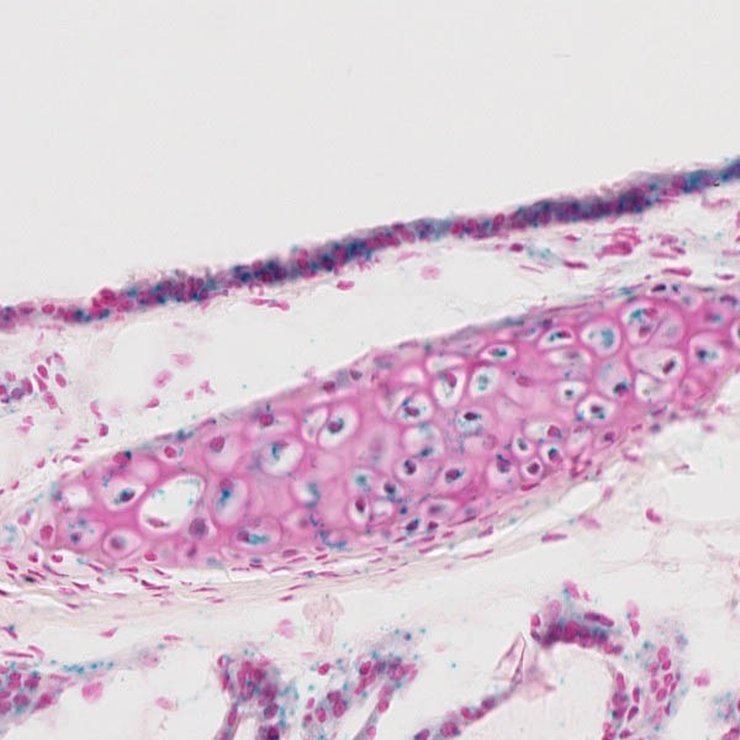
TS28: cartilage Present JAX_1803441

Specimen JAX_1803442: postnatal adult; Prpf6tm1.1(KOMP)Vlcg/Prpf6+ (more )
Structure Level Pattern Image Note
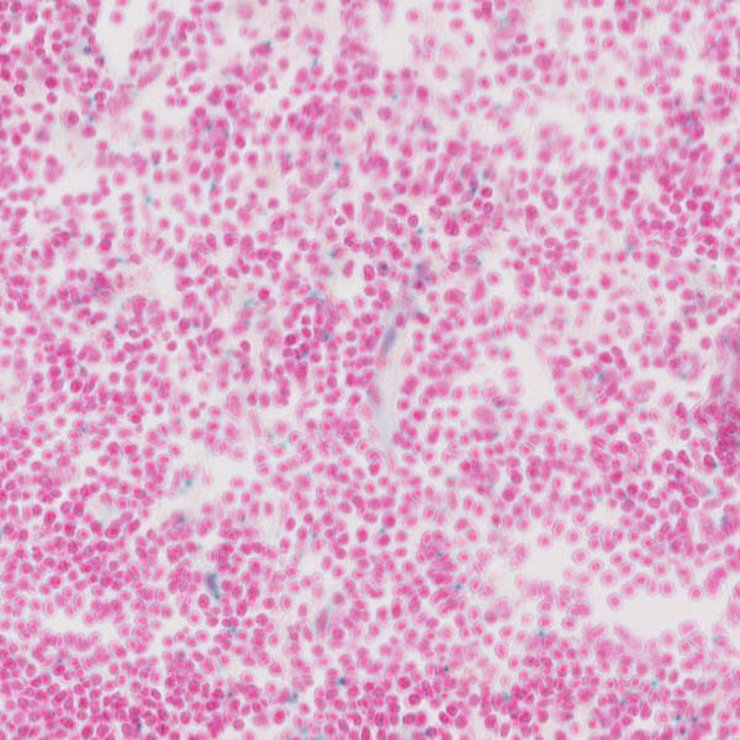
TS28: spleen Present JAX_1803442

Specimen JAX_1803443: postnatal adult; Prpf6tm1.1(KOMP)Vlcg/Prpf6+ (more )
Structure Level Pattern Image Note
TS28: pancreas Present JAX_1803443

Specimen JAX_1803444: postnatal adult; Prpf6tm1.1(KOMP)Vlcg/Prpf6+ (more )
Structure Level Pattern Image Note
TS28: aorta Present JAX_1803444

Specimen JAX_1803445: postnatal adult; Prpf6tm1.1(KOMP)Vlcg/Prpf6+ (more )
Structure Level Pattern Image Note
TS28: lung Present JAX_1803445

Specimen JAX_1803446: postnatal adult; Prpf6tm1.1(KOMP)Vlcg/Prpf6+ (more )
Structure Level Pattern Image Note
TS28: white fat Present JAX_1803446

Specimen JAX_1803447: postnatal adult; Prpf6tm1.1(KOMP)Vlcg/Prpf6+ (more )
Structure Level Pattern Image Note
TS28: small intestine Present JAX_1803447

Specimen JAX_1803448: postnatal adult; Prpf6tm1.1(KOMP)Vlcg/Prpf6+ (more )
Structure Level Pattern Image Note
TS28: skeletal muscle tissue Present JAX_1803448

Specimen JAX_1803449: postnatal adult; Prpf6tm1.1(KOMP)Vlcg/Prpf6+ (more )
Structure Level Pattern Image Note
TS28: thyroid gland Present JAX_1803449

Specimen JAX_1803450: postnatal adult; Prpf6tm1.1(KOMP)Vlcg/Prpf6+ (more )
Structure Level Pattern Image Note
TS28: esophagus Present JAX_1803450

Specimen JAX_1803451: postnatal adult; Prpf6tm1.1(KOMP)Vlcg/Prpf6+ (more )
Structure Level Pattern Image Note
TS28: thymus Present JAX_1803451

Specimen JAX_1803452: postnatal adult; Prpf6tm1.1(KOMP)Vlcg/Prpf6+ (more )
Structure Level Pattern Image Note
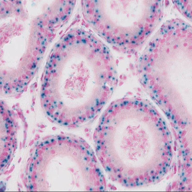
TS28: testis Present JAX_1803452

Specimen JAX_1803453: postnatal adult; Prpf6tm1.1(KOMP)Vlcg/Prpf6+ (more )
Structure Level Pattern Image Note
TS28: stomach Present JAX_1803453

Specimen JAX_1803454: postnatal adult; Prpf6tm1.1(KOMP)Vlcg/Prpf6+ (more )
Structure Level Pattern Image Note
TS28: skin Present JAX_1803454

Specimen JAX_1803455: postnatal adult; Prpf6tm1.1(KOMP)Vlcg/Prpf6+ (more )
Structure Level Pattern Image Note
TS28: lymph node Present JAX_1803455

Specimen JAX_1803456: postnatal adult; Prpf6tm1.1(KOMP)Vlcg/Prpf6+ (more )
Structure Level Pattern Image Note
TS28: liver Present JAX_1803456

Specimen JAX_1803457: postnatal adult; Prpf6tm1.1(KOMP)Vlcg/Prpf6+ (more )
Structure Level Pattern Image Note
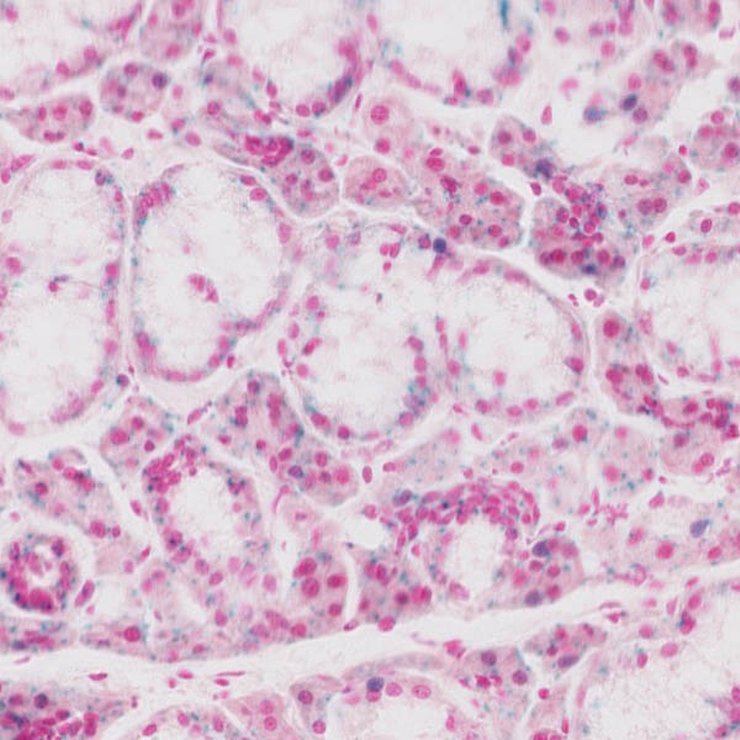
TS28: metanephros Present JAX_1803457 kidney

Specimen JAX_1803458: postnatal adult; Prpf6tm1.1(KOMP)Vlcg/Prpf6+ (more )
Structure Level Pattern Image Note
TS28: heart Present JAX_1803458

Specimen JAX_1803459: postnatal adult; Prpf6tm1.1(KOMP)Vlcg/Prpf6+ (more )
Structure Level Pattern Image Note
TS28: eye Present JAX_1803459

Specimen JAX_1803460: postnatal adult; Prpf6tm1.1(KOMP)Vlcg/Prpf6+ (more )
Structure Level Pattern Image Note
TS28: adrenal gland Present JAX_1803460


Contributing Projects:
Mouse Genome Database (MGD), Gene Expression Database (GXD), Mouse Models of Human Cancer database (MMHCdb) (formerly Mouse Tumor Biology (MTB)), Gene Ontology (GO)
Citing These Resources
Funding Information
Warranty Disclaimer, Privacy Notice, Licensing, & Copyright
Send questions and comments to User Support.
last database update
01/20/2026
MGI 6.24
The Jackson Laboratory