About   Help   FAQ
Gene Expression Data
Assay Details
Assay
Reference: J:228563 Koscielny G, et al., The International Mouse Phenotyping Consortium Web Portal, a unified point of access for knockout mice and related phenotyping data. Nucleic Acids Res. 2014 Jan;42(Database issue):D802-9
Assay type: In situ reporter (knock in)
MGI Accession ID: MGI:6692132
Gene symbol: Ippk
Gene name: inositol 1,3,4,5,6-pentakisphosphate 2-kinase
Reporter: lacZ
Direct Detection
Results
Specimen UC Davis_1888681: postnatal adult; Ippktm1b(KOMP)Wtsi/Ippk+ (more )
Structure Level Pattern Image Note
TS28: trachea Present UC Davis_1888681

Specimen UC Davis_1888682: postnatal adult; Ippktm1b(KOMP)Wtsi/Ippk+ (more )
Structure Level Pattern Image Note
TS28: trachea Present UC Davis_1888682

Specimen UC Davis_1888683: postnatal adult; Ippktm1b(KOMP)Wtsi/Ippk+ (more )
Structure Level Pattern Image Note
TS28: esophagus Present UC Davis_1888683

Specimen UC Davis_1888684: postnatal adult; Ippktm1b(KOMP)Wtsi/Ippk+ (more )
Structure Level Pattern Image Note
TS28: esophagus Present UC Davis_1888684

Specimen UC Davis_1888685: postnatal adult; Ippktm1b(KOMP)Wtsi/Ippk+ (more )
Structure Level Pattern Image Note
TS28: esophagus Present UC Davis_1888685

Specimen UC Davis_1888688: postnatal adult; Ippktm1b(KOMP)Wtsi/Ippk+ (more )
Structure Level Pattern Image Note
TS28: stomach Present UC Davis_1888688

Specimen UC Davis_1888689: postnatal adult; Ippktm1b(KOMP)Wtsi/Ippk+ (more )
Structure Level Pattern Image Note
TS28: ileum Present UC Davis_1888689

Specimen UC Davis_1888690: postnatal adult; Ippktm1b(KOMP)Wtsi/Ippk+ (more )
Structure Level Pattern Image Note
TS28: colon Present UC Davis_1888690

Specimen UC Davis_1888691: postnatal adult; Ippktm1b(KOMP)Wtsi/Ippk+ (more )
Structure Level Pattern Image Note
TS28: pancreas Present UC Davis_1888691

Specimen UC Davis_1888692: postnatal adult; Ippktm1b(KOMP)Wtsi/Ippk+ (more )
Structure Level Pattern Image Note
TS28: pancreas Present UC Davis_1888692

Specimen UC Davis_1888693: postnatal adult; Ippktm1b(KOMP)Wtsi/Ippk+ (more )
Structure Level Pattern Image Note
TS28: adrenal gland Present UC Davis_1888693

Specimen UC Davis_1888694: postnatal adult; Ippktm1b(KOMP)Wtsi/Ippk+ (more )
Structure Level Pattern Image Note
TS28: Harderian gland Present UC Davis_1888694

Specimen UC Davis_1888695: postnatal adult; Ippktm1b(KOMP)Wtsi/Ippk+ (more )
Structure Level Pattern Image Note
TS28: Harderian gland Present UC Davis_1888695

Specimen UC Davis_1888696: postnatal adult; Ippktm1b(KOMP)Wtsi/Ippk+ (more )
Structure Level Pattern Image Note
TS28: gonadal fat pad Present UC Davis_1888696

Specimen UC Davis_1888697: postnatal adult; Ippktm1b(KOMP)Wtsi/Ippk+ (more )
Structure Level Pattern Image Note
TS28: mesenteric adipose tissue Present UC Davis_1888697

Specimen UC Davis_1888701: postnatal adult; Ippktm1b(KOMP)Wtsi/Ippk+ (more )
Structure Level Pattern Image Note
TS28: midbrain Present UC Davis_1888701

Specimen UC Davis_1888704: postnatal adult; Ippktm1b(KOMP)Wtsi/Ippk+ (more )
Structure Level Pattern Image Note
TS28: cerebellum Present UC Davis_1888704

Specimen UC Davis_1888705: postnatal adult; Ippktm1b(KOMP)Wtsi/Ippk+ (more )
Structure Level Pattern Image Note
TS28: cerebellum Present UC Davis_1888705

Specimen UC Davis_1888706: postnatal adult; Ippktm1b(KOMP)Wtsi/Ippk+ (more )
Structure Level Pattern Image Note
TS28: trigeminal nerve Present UC Davis_1888706

Specimen UC Davis_1888707: postnatal adult; Ippktm1b(KOMP)Wtsi/Ippk+ (more )
Structure Level Pattern Image Note
TS28: trigeminal nerve Present UC Davis_1888707

Specimen UC Davis_1888708: postnatal adult; Ippktm1b(KOMP)Wtsi/Ippk+ (more )
Structure Level Pattern Image Note
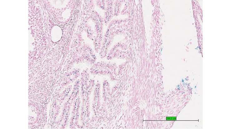
TS28: ovary Present UC Davis_1888708

Specimen UC Davis_1888709: postnatal adult; Ippktm1b(KOMP)Wtsi/Ippk+ (more )
Structure Level Pattern Image Note
TS28: ovary Present UC Davis_1888709

Specimen UC Davis_1888710: postnatal adult; Ippktm1b(KOMP)Wtsi/Ippk+ (more )
Structure Level Pattern Image Note
TS28: oviduct Present UC Davis_1888710

Specimen UC Davis_1888711: postnatal adult; Ippktm1b(KOMP)Wtsi/Ippk+ (more )
Structure Level Pattern Image Note
TS28: oviduct Present UC Davis_1888711

Specimen UC Davis_1888712: postnatal adult; Ippktm1b(KOMP)Wtsi/Ippk+ (more )
Structure Level Pattern Image Note
TS28: bladder Present UC Davis_1888712

Specimen UC Davis_1888713: postnatal adult; Ippktm1b(KOMP)Wtsi/Ippk+ (more )
Structure Level Pattern Image Note
TS28: bladder Present UC Davis_1888713

Specimen UC Davis_1888642: postnatal adult; Ippktm1b(KOMP)Wtsi/Ippk+ (more )
Structure Level Pattern Image Note
TS28: sublingual gland Present UC Davis_1888642

Specimen UC Davis_1888643: postnatal adult; Ippktm1b(KOMP)Wtsi/Ippk+ (more )
Structure Level Pattern Image Note
TS28: parotid gland Present UC Davis_1888643

Specimen UC Davis_1888644: postnatal adult; Ippktm1b(KOMP)Wtsi/Ippk+ (more )
Structure Level Pattern Image Note
TS28: trachea Present UC Davis_1888644

Specimen UC Davis_1888645: postnatal adult; Ippktm1b(KOMP)Wtsi/Ippk+ (more )
Structure Level Pattern Image Note
TS28: esophagus Present UC Davis_1888645

Specimen UC Davis_1888647: postnatal adult; Ippktm1b(KOMP)Wtsi/Ippk+ (more )
Structure Level Pattern Image Note
TS28: aorta Present UC Davis_1888647

Specimen UC Davis_1888648: postnatal adult; Ippktm1b(KOMP)Wtsi/Ippk+ (more )
Structure Level Pattern Image Note
TS28: thymus Present UC Davis_1888648

Specimen UC Davis_1888651: postnatal adult; Ippktm1b(KOMP)Wtsi/Ippk+ (more )
Structure Level Pattern Image Note
TS28: stomach Present UC Davis_1888651

Specimen UC Davis_1888652: postnatal adult; Ippktm1b(KOMP)Wtsi/Ippk+ (more )
Structure Level Pattern Image Note
TS28: stomach Present UC Davis_1888652

Specimen UC Davis_1888653: postnatal adult; Ippktm1b(KOMP)Wtsi/Ippk+ (more )
Structure Level Pattern Image Note
TS28: ileum Present UC Davis_1888653

Specimen UC Davis_1888654: postnatal adult; Ippktm1b(KOMP)Wtsi/Ippk+ (more )
Structure Level Pattern Image Note
TS28: colon Present UC Davis_1888654

Specimen UC Davis_1888655: postnatal adult; Ippktm1b(KOMP)Wtsi/Ippk+ (more )
Structure Level Pattern Image Note
TS28: pancreas Present UC Davis_1888655

Specimen UC Davis_1888656: postnatal adult; Ippktm1b(KOMP)Wtsi/Ippk+ (more )
Structure Level Pattern Image Note
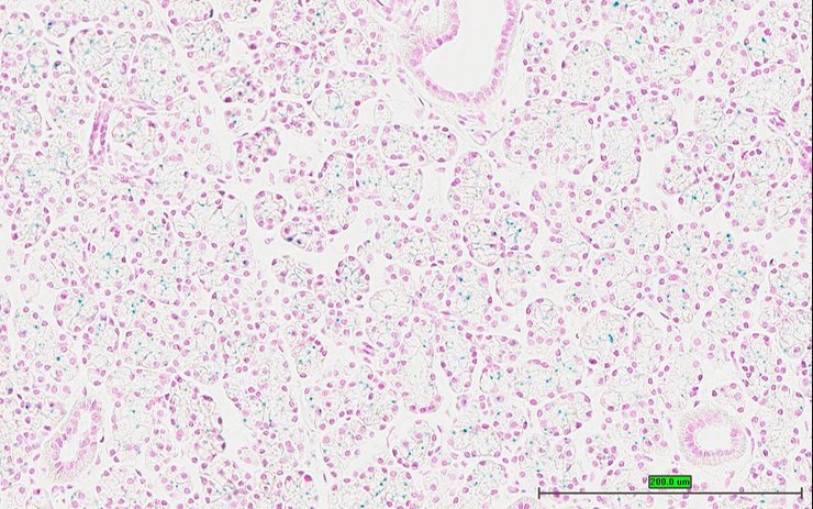
TS28: metanephros Present UC Davis_1888656 kidney

Specimen UC Davis_1888657: postnatal adult; Ippktm1b(KOMP)Wtsi/Ippk+ (more )
Structure Level Pattern Image Note
TS28: quadriceps femoris muscle Present UC Davis_1888657

Specimen UC Davis_1888658: postnatal adult; Ippktm1b(KOMP)Wtsi/Ippk+ (more )
Structure Level Pattern Image Note
TS28: adrenal gland Present UC Davis_1888658

Specimen UC Davis_1888659: postnatal adult; Ippktm1b(KOMP)Wtsi/Ippk+ (more )
Structure Level Pattern Image Note
TS28: spinal cord Present UC Davis_1888659

Specimen UC Davis_1888660: postnatal adult; Ippktm1b(KOMP)Wtsi/Ippk+ (more )
Structure Level Pattern Image Note
TS28: spinal cord Present UC Davis_1888660

Specimen UC Davis_1888661: postnatal adult; Ippktm1b(KOMP)Wtsi/Ippk+ (more )
Structure Level Pattern Image Note
TS28: eye Present UC Davis_1888661

Specimen UC Davis_1888662: postnatal adult; Ippktm1b(KOMP)Wtsi/Ippk+ (more )
Structure Level Pattern Image Note
TS28: eye Present UC Davis_1888662

Specimen UC Davis_1888664: postnatal adult; Ippktm1b(KOMP)Wtsi/Ippk+ (more )
Structure Level Pattern Image Note
TS28: Harderian gland Present UC Davis_1888664

Specimen UC Davis_1888665: postnatal adult; Ippktm1b(KOMP)Wtsi/Ippk+ (more )
Structure Level Pattern Image Note
TS28: skin Present UC Davis_1888665

Specimen UC Davis_1888666: postnatal adult; Ippktm1b(KOMP)Wtsi/Ippk+ (more )
Structure Level Pattern Image Note
TS28: brown fat Present UC Davis_1888666

Specimen UC Davis_1888668: postnatal adult; Ippktm1b(KOMP)Wtsi/Ippk+ (more )
Structure Level Pattern Image Note
TS28: midbrain Present UC Davis_1888668

Specimen UC Davis_1888670: postnatal adult; Ippktm1b(KOMP)Wtsi/Ippk+ (more )
Structure Level Pattern Image Note
TS28: cerebellum Present UC Davis_1888670

Specimen UC Davis_1888671: postnatal adult; Ippktm1b(KOMP)Wtsi/Ippk+ (more )
Structure Level Pattern Image Note
TS28: bladder Present UC Davis_1888671

Specimen UC Davis_1888672: postnatal adult; Ippktm1b(KOMP)Wtsi/Ippk+ (more )
Structure Level Pattern Image Note
TS28: bladder Present UC Davis_1888672

Specimen UC Davis_1888673: postnatal adult; Ippktm1b(KOMP)Wtsi/Ippk+ (more )
Structure Level Pattern Image Note
TS28: testis Present UC Davis_1888673

Specimen UC Davis_1888674: postnatal adult; Ippktm1b(KOMP)Wtsi/Ippk+ (more )
Structure Level Pattern Image Note
TS28: epididymis Present UC Davis_1888674

Specimen UC Davis_1888675: postnatal adult; Ippktm1b(KOMP)Wtsi/Ippk+ (more )
Structure Level Pattern Image Note
TS28: prostate gland Present UC Davis_1888675

Specimen UC Davis_1888676: postnatal adult; Ippktm1b(KOMP)Wtsi/Ippk+ (more )
Structure Level Pattern Image Note
TS28: penis Present UC Davis_1888676

Specimen UC Davis_1888677: postnatal adult; Ippktm1b(KOMP)Wtsi/Ippk+ (more )
Structure Level Pattern Image Note
TS28: penis Present UC Davis_1888677

Specimen UC Davis_1888678: postnatal adult; Ippktm1b(KOMP)Wtsi/Ippk+ (more )
Structure Level Pattern Image Note
TS28: ductus deferens Present UC Davis_1888678 vas deferens

Specimen UC Davis_1888680: postnatal adult; Ippktm1b(KOMP)Wtsi/Ippk+ (more )
Structure Level Pattern Image Note
TS28: seminal vesicle Present UC Davis_1888680 vesicular gland


Contributing Projects:
Mouse Genome Database (MGD), Gene Expression Database (GXD), Mouse Models of Human Cancer database (MMHCdb) (formerly Mouse Tumor Biology (MTB)), Gene Ontology (GO)
Citing These Resources
Funding Information
Warranty Disclaimer, Privacy Notice, Licensing, & Copyright
Send questions and comments to User Support.
last database update
12/30/2025
MGI 6.24
The Jackson Laboratory