About   Help   FAQ
Gene Expression Data
Assay Details
Assay
Reference: J:228563 Koscielny G, et al., The International Mouse Phenotyping Consortium Web Portal, a unified point of access for knockout mice and related phenotyping data. Nucleic Acids Res. 2014 Jan;42(Database issue):D802-9
Assay type: In situ reporter (knock in)
MGI Accession ID: MGI:6692128
Gene symbol: Ppp1r35
Gene name: protein phosphatase 1, regulatory subunit 35
Reporter: lacZ
Direct Detection
Results
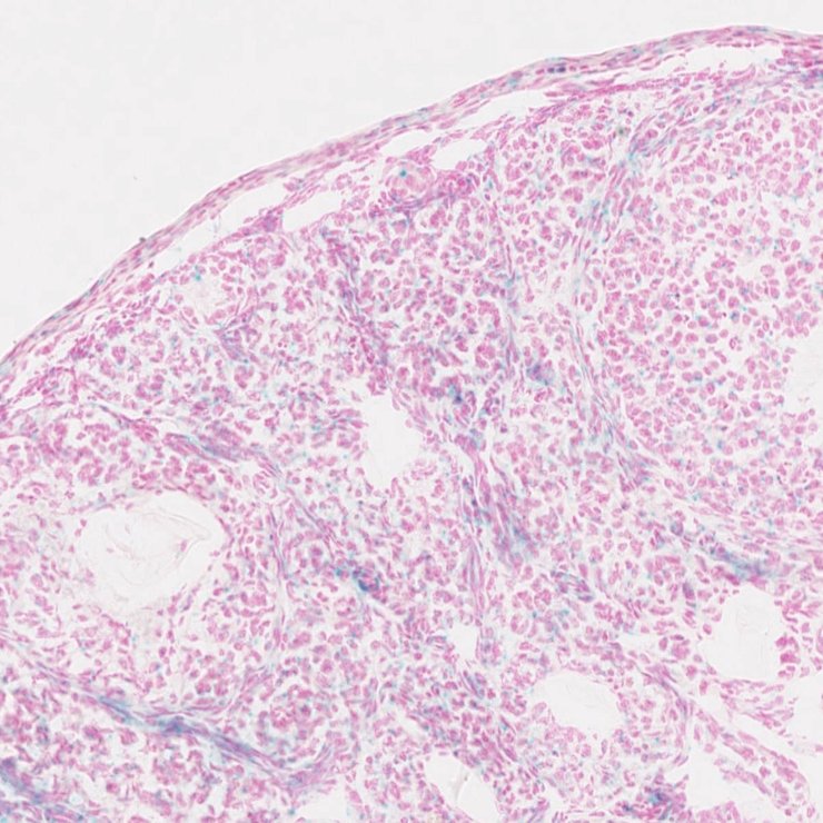
Specimen JAX_1261607: embryonic day 12.5; Ppp1r35tm1.1(KOMP)Vlcg/Ppp1r35+ (more )
Structure Level Pattern Image Note
TS20: embryo Present JAX_1261607

Specimen JAX_1261609: embryonic day 12.5; Ppp1r35tm1.1(KOMP)Vlcg/Ppp1r35+ (more )
Structure Level Pattern Image Note
TS20: embryo Present JAX_1261609

Specimen JAX_1261611: embryonic day 12.5; Ppp1r35tm1.1(KOMP)Vlcg/Ppp1r35+ (more )
Structure Level Pattern Image Note
TS20: embryo Present JAX_1261611

Specimen JAX_1261613: embryonic day 12.5; Ppp1r35tm1.1(KOMP)Vlcg/Ppp1r35+ (more )
Structure Level Pattern Image Note
TS20: embryo Present JAX_1261613

Specimen JAX_1469899: embryonic day 12.5; Ppp1r35tm1.1(KOMP)Vlcg/Ppp1r35+ (more )
Structure Level Pattern Image Note
TS20: embryo Present JAX_1469899

Specimen JAX_1469900: embryonic day 12.5; Ppp1r35tm1.1(KOMP)Vlcg/Ppp1r35+ (more )
Structure Level Pattern Image Note
TS20: embryo Present JAX_1469900

Specimen JAX_1469901: embryonic day 12.5; Ppp1r35tm1.1(KOMP)Vlcg/Ppp1r35+ (more )
Structure Level Pattern Image Note
TS20: embryo Present JAX_1469901

Specimen JAX_1469902: embryonic day 12.5; Ppp1r35tm1.1(KOMP)Vlcg/Ppp1r35+ (more )
Structure Level Pattern Image Note
TS20: embryo Present JAX_1469902

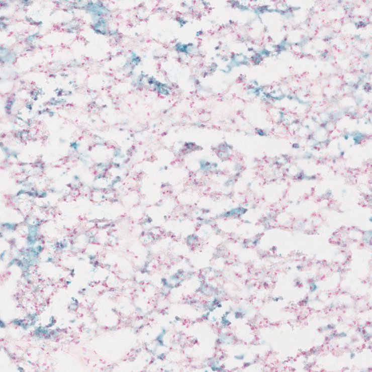
Specimen JAX_1803945: postnatal adult; Ppp1r35tm1.1(KOMP)Vlcg/Ppp1r35+ (more )
Structure Level Pattern Image Note
TS28: thalamus Present JAX_1803945

Specimen JAX_1803946: postnatal adult; Ppp1r35tm1.1(KOMP)Vlcg/Ppp1r35+ (more )
Structure Level Pattern Image Note
TS28: midbrain Present JAX_1803946

Specimen JAX_1803947: postnatal adult; Ppp1r35tm1.1(KOMP)Vlcg/Ppp1r35+ (more )
Structure Level Pattern Image Note
TS28: submandibular gland Present JAX_1803947

Specimen JAX_1803948: postnatal adult; Ppp1r35tm1.1(KOMP)Vlcg/Ppp1r35+ (more )
Structure Level Pattern Image Note
TS28: corpus striatum Present JAX_1803948

Specimen JAX_1803949: postnatal adult; Ppp1r35tm1.1(KOMP)Vlcg/Ppp1r35+ (more )
Structure Level Pattern Image Note
TS28: olfactory lobe Present JAX_1803949

Specimen JAX_1803950: postnatal adult; Ppp1r35tm1.1(KOMP)Vlcg/Ppp1r35+ (more )
Structure Level Pattern Image Note
TS28: hypothalamus Present JAX_1803950

Specimen JAX_1803951: postnatal adult; Ppp1r35tm1.1(KOMP)Vlcg/Ppp1r35+ (more )
Structure Level Pattern Image Note
TS28: hippocampus Present JAX_1803951

Specimen JAX_1803952: postnatal adult; Ppp1r35tm1.1(KOMP)Vlcg/Ppp1r35+ (more )
Structure Level Pattern Image Note
TS28: cerebellum Present JAX_1803952

Specimen JAX_1803953: postnatal adult; Ppp1r35tm1.1(KOMP)Vlcg/Ppp1r35+ (more )
Structure Level Pattern Image Note
TS28: cerebral cortex Present JAX_1803953

Specimen JAX_1803954: postnatal adult; Ppp1r35tm1.1(KOMP)Vlcg/Ppp1r35+ (more )
Structure Level Pattern Image Note
TS28: cartilage Present JAX_1803954

Specimen JAX_1803955: postnatal adult; Ppp1r35tm1.1(KOMP)Vlcg/Ppp1r35+ (more )
Structure Level Pattern Image Note
TS28: brainstem Present JAX_1803955

Specimen JAX_1803956: postnatal adult; Ppp1r35tm1.1(KOMP)Vlcg/Ppp1r35+ (more )
Structure Level Pattern Image Note
TS28: aorta Present JAX_1803956

Specimen JAX_1803957: postnatal adult; Ppp1r35tm1.1(KOMP)Vlcg/Ppp1r35+ (more )
Structure Level Pattern Image Note
TS28: skeletal muscle tissue Present JAX_1803957

Specimen JAX_1803958: postnatal adult; Ppp1r35tm1.1(KOMP)Vlcg/Ppp1r35+ (more )
Structure Level Pattern Image Note
TS28: pituitary gland Present JAX_1803958

Specimen JAX_1803959: postnatal adult; Ppp1r35tm1.1(KOMP)Vlcg/Ppp1r35+ (more )
Structure Level Pattern Image Note
TS28: thyroid gland Present JAX_1803959

Specimen JAX_1803960: postnatal adult; Ppp1r35tm1.1(KOMP)Vlcg/Ppp1r35+ (more )
Structure Level Pattern Image Note
TS28: uterus Present JAX_1803960

Specimen JAX_1803961: postnatal adult; Ppp1r35tm1.1(KOMP)Vlcg/Ppp1r35+ (more )
Structure Level Pattern Image Note
TS28: trachea Present JAX_1803961

Specimen JAX_1803962: postnatal adult; Ppp1r35tm1.1(KOMP)Vlcg/Ppp1r35+ (more )
Structure Level Pattern Image Note
TS28: thymus Present JAX_1803962

Specimen JAX_1803963: postnatal adult; Ppp1r35tm1.1(KOMP)Vlcg/Ppp1r35+ (more )
Structure Level Pattern Image Note
TS28: skin Present JAX_1803963

Specimen JAX_1803964: postnatal adult; Ppp1r35tm1.1(KOMP)Vlcg/Ppp1r35+ (more )
Structure Level Pattern Image Note
TS28: oviduct Present JAX_1803964

Specimen JAX_1803965: postnatal adult; Ppp1r35tm1.1(KOMP)Vlcg/Ppp1r35+ (more )
Structure Level Pattern Image Note
TS28: ovary Present JAX_1803965

Specimen JAX_1803966: postnatal adult; Ppp1r35tm1.1(KOMP)Vlcg/Ppp1r35+ (more )
Structure Level Pattern Image Note
TS28: mammary gland Present JAX_1803966

Specimen JAX_1803967: postnatal adult; Ppp1r35tm1.1(KOMP)Vlcg/Ppp1r35+ (more )
Structure Level Pattern Image Note
TS28: lymph node Present JAX_1803967

Specimen JAX_1803968: postnatal adult; Ppp1r35tm1.1(KOMP)Vlcg/Ppp1r35+ (more )
Structure Level Pattern Image Note
TS28: heart Present JAX_1803968

Specimen JAX_1803969: postnatal adult; Ppp1r35tm1.1(KOMP)Vlcg/Ppp1r35+ (more )
Structure Level Pattern Image Note
TS28: eye Present JAX_1803969

Specimen JAX_1803970: postnatal adult; Ppp1r35tm1.1(KOMP)Vlcg/Ppp1r35+ (more )
Structure Level Pattern Image Note
TS28: brain Present JAX_1803970

Specimen JAX_1124095: postnatal adult; Ppp1r35tm1.1(KOMP)Vlcg/Ppp1r35+ (more )
Structure Level Pattern Image Note
TS28: vascular system Present JAX_1124095

Specimen JAX_1124097: postnatal adult; Ppp1r35tm1.1(KOMP)Vlcg/Ppp1r35+ (more )
Structure Level Pattern Image Note
TS28: epididymis Present JAX_1124097

Specimen JAX_1124099: postnatal adult; Ppp1r35tm1.1(KOMP)Vlcg/Ppp1r35+ (more )
Structure Level Pattern Image Note
TS28: brown fat Present JAX_1124099

Specimen JAX_1124101: postnatal adult; Ppp1r35tm1.1(KOMP)Vlcg/Ppp1r35+ (more )
Structure Level Pattern Image Note
TS28: bone marrow Present JAX_1124101

Specimen JAX_1124103: postnatal adult; Ppp1r35tm1.1(KOMP)Vlcg/Ppp1r35+ (more )
Structure Level Pattern Image Note
TS28: bladder Present JAX_1124103

Specimen JAX_1124105: postnatal adult; Ppp1r35tm1.1(KOMP)Vlcg/Ppp1r35+ (more )
Structure Level Pattern Image Note
TS28: Peyer's patch Present JAX_1124105

Specimen JAX_1124107: postnatal adult; Ppp1r35tm1.1(KOMP)Vlcg/Ppp1r35+ (more )
Structure Level Pattern Image Note
TS28: peripheral nervous system Present JAX_1124107

Specimen JAX_1124109: postnatal adult; Ppp1r35tm1.1(KOMP)Vlcg/Ppp1r35+ (more )
Structure Level Pattern Image Note
TS28: spleen Present JAX_1124109

Specimen JAX_1124111: postnatal adult; Ppp1r35tm1.1(KOMP)Vlcg/Ppp1r35+ (more )
Structure Level Pattern Image Note
TS28: pancreas Present JAX_1124111

Specimen JAX_1124113: postnatal adult; Ppp1r35tm1.1(KOMP)Vlcg/Ppp1r35+ (more )
Structure Level Pattern Image Note
TS28: lung Present JAX_1124113

Specimen JAX_1124115: postnatal adult; Ppp1r35tm1.1(KOMP)Vlcg/Ppp1r35+ (more )
Structure Level Pattern Image Note
TS28: white fat Present JAX_1124115

Specimen JAX_1124117: postnatal adult; Ppp1r35tm1.1(KOMP)Vlcg/Ppp1r35+ (more )
Structure Level Pattern Image Note
TS28: small intestine Present JAX_1124117

Specimen JAX_1124119: postnatal adult; Ppp1r35tm1.1(KOMP)Vlcg/Ppp1r35+ (more )
Structure Level Pattern Image Note
TS28: spinal cord Present JAX_1124119

Specimen JAX_1124121: postnatal adult; Ppp1r35tm1.1(KOMP)Vlcg/Ppp1r35+ (more )
Structure Level Pattern Image Note
TS28: esophagus Present JAX_1124121

Specimen JAX_1124123: postnatal adult; Ppp1r35tm1.1(KOMP)Vlcg/Ppp1r35+ (more )
Structure Level Pattern Image Note
TS28: large intestine Present JAX_1124123

Specimen JAX_1124125: postnatal adult; Ppp1r35tm1.1(KOMP)Vlcg/Ppp1r35+ (more )
Structure Level Pattern Image Note
TS28: testis Present JAX_1124125

Specimen JAX_1124127: postnatal adult; Ppp1r35tm1.1(KOMP)Vlcg/Ppp1r35+ (more )
Structure Level Pattern Image Note
TS28: stomach Present JAX_1124127

Specimen JAX_1124129: postnatal adult; Ppp1r35tm1.1(KOMP)Vlcg/Ppp1r35+ (more )
Structure Level Pattern Image Note
TS28: liver Present JAX_1124129

Specimen JAX_1124131: postnatal adult; Ppp1r35tm1.1(KOMP)Vlcg/Ppp1r35+ (more )
Structure Level Pattern Image Note
TS28: metanephros Present JAX_1124131 kidney

Specimen JAX_1124133: postnatal adult; Ppp1r35tm1.1(KOMP)Vlcg/Ppp1r35+ (more )
Structure Level Pattern Image Note
TS28: adrenal gland Present JAX_1124133


Contributing Projects:
Mouse Genome Database (MGD), Gene Expression Database (GXD), Mouse Models of Human Cancer database (MMHCdb) (formerly Mouse Tumor Biology (MTB)), Gene Ontology (GO)
Citing These Resources
Funding Information
Warranty Disclaimer, Privacy Notice, Licensing, & Copyright
Send questions and comments to User Support.
last database update
03/24/2026
MGI 6.24
The Jackson Laboratory