About   Help   FAQ
Gene Expression Data
Assay Details
Assay
Reference: J:228563 Koscielny G, et al., The International Mouse Phenotyping Consortium Web Portal, a unified point of access for knockout mice and related phenotyping data. Nucleic Acids Res. 2014 Jan;42(Database issue):D802-9
Assay type: In situ reporter (knock in)
MGI Accession ID: MGI:6692121
Gene symbol: Phpt1
Gene name: phosphohistidine phosphatase 1
Reporter: lacZ
Direct Detection
Results
Specimen UC Davis_1857120: postnatal adult; Phpt1tm1.1(KOMP)Vlcg/Phpt1+ (more )
Structure Level Pattern Image Note
TS28: submandibular gland Present UC Davis_1857120

Specimen UC Davis_1857121: postnatal adult; Phpt1tm1.1(KOMP)Vlcg/Phpt1+ (more )
Structure Level Pattern Image Note
TS28: submandibular gland Present UC Davis_1857121

Specimen UC Davis_1857122: postnatal adult; Phpt1tm1.1(KOMP)Vlcg/Phpt1+ (more )
Structure Level Pattern Image Note
TS28: submandibular gland Present UC Davis_1857122

Specimen UC Davis_1857123: postnatal adult; Phpt1tm1.1(KOMP)Vlcg/Phpt1+ (more )
Structure Level Pattern Image Note
TS28: sublingual gland Present UC Davis_1857123

Specimen UC Davis_1857124: postnatal adult; Phpt1tm1.1(KOMP)Vlcg/Phpt1+ (more )
Structure Level Pattern Image Note
TS28: sublingual gland Present UC Davis_1857124

Specimen UC Davis_1857125: postnatal adult; Phpt1tm1.1(KOMP)Vlcg/Phpt1+ (more )
Structure Level Pattern Image Note
TS28: sublingual gland Present UC Davis_1857125

Specimen UC Davis_1857126: postnatal adult; Phpt1tm1.1(KOMP)Vlcg/Phpt1+ (more )
Structure Level Pattern Image Note
TS28: parotid gland Present UC Davis_1857126

Specimen UC Davis_1857127: postnatal adult; Phpt1tm1.1(KOMP)Vlcg/Phpt1+ (more )
Structure Level Pattern Image Note
TS28: parotid gland Present UC Davis_1857127

Specimen UC Davis_1857128: postnatal adult; Phpt1tm1.1(KOMP)Vlcg/Phpt1+ (more )
Structure Level Pattern Image Note
TS28: trachea Present UC Davis_1857128

Specimen UC Davis_1857129: postnatal adult; Phpt1tm1.1(KOMP)Vlcg/Phpt1+ (more )
Structure Level Pattern Image Note
TS28: trachea Present UC Davis_1857129

Specimen UC Davis_1857130: postnatal adult; Phpt1tm1.1(KOMP)Vlcg/Phpt1+ (more )
Structure Level Pattern Image Note
TS28: trachea Present UC Davis_1857130

Specimen UC Davis_1857131: postnatal adult; Phpt1tm1.1(KOMP)Vlcg/Phpt1+ (more )
Structure Level Pattern Image Note
TS28: thyroid gland Present UC Davis_1857131

Specimen UC Davis_1857132: postnatal adult; Phpt1tm1.1(KOMP)Vlcg/Phpt1+ (more )
Structure Level Pattern Image Note
TS28: aorta Present UC Davis_1857132

Specimen UC Davis_1857133: postnatal adult; Phpt1tm1.1(KOMP)Vlcg/Phpt1+ (more )
Structure Level Pattern Image Note
TS28: lung Present UC Davis_1857133

Specimen UC Davis_1857134: postnatal adult; Phpt1tm1.1(KOMP)Vlcg/Phpt1+ (more )
Structure Level Pattern Image Note
TS28: thymus Present UC Davis_1857134

Specimen UC Davis_1857139: postnatal adult; Phpt1tm1.1(KOMP)Vlcg/Phpt1+ (more )
Structure Level Pattern Image Note
TS28: stomach Present UC Davis_1857139

Specimen UC Davis_1857140: postnatal adult; Phpt1tm1.1(KOMP)Vlcg/Phpt1+ (more )
Structure Level Pattern Image Note
TS28: stomach Present UC Davis_1857140

Specimen UC Davis_1857141: postnatal adult; Phpt1tm1.1(KOMP)Vlcg/Phpt1+ (more )
Structure Level Pattern Image Note
TS28: duodenum Present UC Davis_1857141

Specimen UC Davis_1857142: postnatal adult; Phpt1tm1.1(KOMP)Vlcg/Phpt1+ (more )
Structure Level Pattern Image Note
TS28: duodenum Present UC Davis_1857142

Specimen UC Davis_1857143: postnatal adult; Phpt1tm1.1(KOMP)Vlcg/Phpt1+ (more )
Structure Level Pattern Image Note
TS28: ileum Present UC Davis_1857143

Specimen UC Davis_1857144: postnatal adult; Phpt1tm1.1(KOMP)Vlcg/Phpt1+ (more )
Structure Level Pattern Image Note
TS28: ileum Present UC Davis_1857144

Specimen UC Davis_1857145: postnatal adult; Phpt1tm1.1(KOMP)Vlcg/Phpt1+ (more )
Structure Level Pattern Image Note
TS28: colon Present UC Davis_1857145

Specimen UC Davis_1857146: postnatal adult; Phpt1tm1.1(KOMP)Vlcg/Phpt1+ (more )
Structure Level Pattern Image Note
TS28: colon Present UC Davis_1857146

Specimen UC Davis_1857147: postnatal adult; Phpt1tm1.1(KOMP)Vlcg/Phpt1+ (more )
Structure Level Pattern Image Note
TS28: cecum Present UC Davis_1857147

Specimen UC Davis_1857148: postnatal adult; Phpt1tm1.1(KOMP)Vlcg/Phpt1+ (more )
Structure Level Pattern Image Note
TS28: cecum Present UC Davis_1857148

Specimen UC Davis_1857149: postnatal adult; Phpt1tm1.1(KOMP)Vlcg/Phpt1+ (more )
Structure Level Pattern Image Note
TS28: spleen Present UC Davis_1857149

Specimen UC Davis_1857150: postnatal adult; Phpt1tm1.1(KOMP)Vlcg/Phpt1+ (more )
Structure Level Pattern Image Note
TS28: spleen Present UC Davis_1857150

Specimen UC Davis_1857151: postnatal adult; Phpt1tm1.1(KOMP)Vlcg/Phpt1+ (more )
Structure Level Pattern Image Note
TS28: spleen Present UC Davis_1857151

Specimen UC Davis_1857152: postnatal adult; Phpt1tm1.1(KOMP)Vlcg/Phpt1+ (more )
Structure Level Pattern Image Note
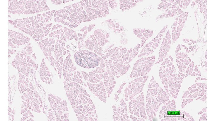
TS28: pancreas Present UC Davis_1857152

Specimen UC Davis_1857153: postnatal adult; Phpt1tm1.1(KOMP)Vlcg/Phpt1+ (more )
Structure Level Pattern Image Note
TS28: pancreas Present UC Davis_1857153

Specimen UC Davis_1857154: postnatal adult; Phpt1tm1.1(KOMP)Vlcg/Phpt1+ (more )
Structure Level Pattern Image Note
TS28: pancreas Present UC Davis_1857154

Specimen UC Davis_1857155: postnatal adult; Phpt1tm1.1(KOMP)Vlcg/Phpt1+ (more )
Structure Level Pattern Image Note
TS28: liver Present UC Davis_1857155

Specimen UC Davis_1857156: postnatal adult; Phpt1tm1.1(KOMP)Vlcg/Phpt1+ (more )
Structure Level Pattern Image Note
TS28: liver Present UC Davis_1857156

Specimen UC Davis_1857157: postnatal adult; Phpt1tm1.1(KOMP)Vlcg/Phpt1+ (more )
Structure Level Pattern Image Note
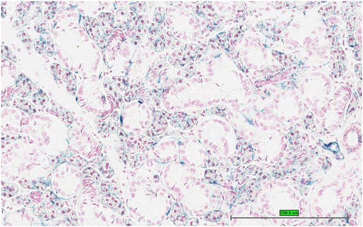
TS28: metanephros Present UC Davis_1857157 kidney

Specimen UC Davis_1857158: postnatal adult; Phpt1tm1.1(KOMP)Vlcg/Phpt1+ (more )
Structure Level Pattern Image Note
TS28: metanephros Present UC Davis_1857158 kidney

Specimen UC Davis_1857159: postnatal adult; Phpt1tm1.1(KOMP)Vlcg/Phpt1+ (more )
Structure Level Pattern Image Note
TS28: metanephros Present UC Davis_1857159 kidney

Specimen UC Davis_1857160: postnatal adult; Phpt1tm1.1(KOMP)Vlcg/Phpt1+ (more )
Structure Level Pattern Image Note
TS28: quadriceps femoris muscle Present UC Davis_1857160

Specimen UC Davis_1857161: postnatal adult; Phpt1tm1.1(KOMP)Vlcg/Phpt1+ (more )
Structure Level Pattern Image Note
TS28: quadriceps femoris muscle Present UC Davis_1857161

Specimen UC Davis_1857162: postnatal adult; Phpt1tm1.1(KOMP)Vlcg/Phpt1+ (more )
Structure Level Pattern Image Note
TS28: quadriceps femoris muscle Present UC Davis_1857162

Specimen UC Davis_1857163: postnatal adult; Phpt1tm1.1(KOMP)Vlcg/Phpt1+ (more )
Structure Level Pattern Image Note
TS28: quadriceps femoris muscle Present UC Davis_1857163

Specimen UC Davis_1857164: postnatal adult; Phpt1tm1.1(KOMP)Vlcg/Phpt1+ (more )
Structure Level Pattern Image Note
TS28: tongue Present UC Davis_1857164

Specimen UC Davis_1857165: postnatal adult; Phpt1tm1.1(KOMP)Vlcg/Phpt1+ (more )
Structure Level Pattern Image Note
TS28: tongue Present UC Davis_1857165

Specimen UC Davis_1857166: postnatal adult; Phpt1tm1.1(KOMP)Vlcg/Phpt1+ (more )
Structure Level Pattern Image Note
TS28: diaphragm Present UC Davis_1857166

Specimen UC Davis_1857167: postnatal adult; Phpt1tm1.1(KOMP)Vlcg/Phpt1+ (more )
Structure Level Pattern Image Note
TS28: adrenal gland Present UC Davis_1857167

Specimen UC Davis_1857168: postnatal adult; Phpt1tm1.1(KOMP)Vlcg/Phpt1+ (more )
Structure Level Pattern Image Note
TS28: adrenal gland Present UC Davis_1857168

Specimen UC Davis_1857169: postnatal adult; Phpt1tm1.1(KOMP)Vlcg/Phpt1+ (more )
Structure Level Pattern Image Note
TS28: pituitary gland Present UC Davis_1857169

Specimen UC Davis_1857170: postnatal adult; Phpt1tm1.1(KOMP)Vlcg/Phpt1+ (more )
Structure Level Pattern Image Note
TS28: pituitary gland Present UC Davis_1857170

Specimen UC Davis_1857171: postnatal adult; Phpt1tm1.1(KOMP)Vlcg/Phpt1+ (more )
Structure Level Pattern Image Note
TS28: pituitary gland Present UC Davis_1857171

Specimen UC Davis_1857172: postnatal adult; Phpt1tm1.1(KOMP)Vlcg/Phpt1+ (more )
Structure Level Pattern Image Note
TS28: spinal cord Present UC Davis_1857172

Specimen UC Davis_1857173: postnatal adult; Phpt1tm1.1(KOMP)Vlcg/Phpt1+ (more )
Structure Level Pattern Image Note
TS28: spinal cord Present UC Davis_1857173

Specimen UC Davis_1857174: postnatal adult; Phpt1tm1.1(KOMP)Vlcg/Phpt1+ (more )
Structure Level Pattern Image Note
TS28: eye Present UC Davis_1857174

Specimen UC Davis_1857175: postnatal adult; Phpt1tm1.1(KOMP)Vlcg/Phpt1+ (more )
Structure Level Pattern Image Note
TS28: eye Present UC Davis_1857175

Specimen UC Davis_1857176: postnatal adult; Phpt1tm1.1(KOMP)Vlcg/Phpt1+ (more )
Structure Level Pattern Image Note
TS28: Harderian gland Present UC Davis_1857176

Specimen UC Davis_1857177: postnatal adult; Phpt1tm1.1(KOMP)Vlcg/Phpt1+ (more )
Structure Level Pattern Image Note
TS28: Harderian gland Present UC Davis_1857177

Specimen UC Davis_1857178: postnatal adult; Phpt1tm1.1(KOMP)Vlcg/Phpt1+ (more )
Structure Level Pattern Image Note
TS28: mesenteric adipose tissue Absent UC Davis_1857178

Specimen UC Davis_1857179: postnatal adult; Phpt1tm1.1(KOMP)Vlcg/Phpt1+ (more )
Structure Level Pattern Image Note
TS28: mesenteric adipose tissue Absent UC Davis_1857179

Specimen UC Davis_1857180: postnatal adult; Phpt1tm1.1(KOMP)Vlcg/Phpt1+ (more )
Structure Level Pattern Image Note
TS28: mesenteric adipose tissue Absent UC Davis_1857180

Specimen UC Davis_1857181: postnatal adult; Phpt1tm1.1(KOMP)Vlcg/Phpt1+ (more )
Structure Level Pattern Image Note
TS28: skin Present UC Davis_1857181

Specimen UC Davis_1857182: postnatal adult; Phpt1tm1.1(KOMP)Vlcg/Phpt1+ (more )
Structure Level Pattern Image Note
TS28: skin Present UC Davis_1857182

Specimen UC Davis_1857183: postnatal adult; Phpt1tm1.1(KOMP)Vlcg/Phpt1+ (more )
Structure Level Pattern Image Note
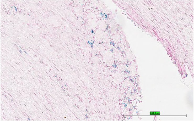
TS28: brown fat Present UC Davis_1857183

Specimen UC Davis_1857184: postnatal adult; Phpt1tm1.1(KOMP)Vlcg/Phpt1+ (more )
Structure Level Pattern Image Note
TS28: brown fat Present UC Davis_1857184

Specimen UC Davis_1857185: postnatal adult; Phpt1tm1.1(KOMP)Vlcg/Phpt1+ (more )
Structure Level Pattern Image Note
TS28: brown fat Present UC Davis_1857185

Specimen UC Davis_1857186: postnatal adult; Phpt1tm1.1(KOMP)Vlcg/Phpt1+ (more )
Structure Level Pattern Image Note
TS28: olfactory lobe Present UC Davis_1857186

Specimen UC Davis_1857189: postnatal adult; Phpt1tm1.1(KOMP)Vlcg/Phpt1+ (more )
Structure Level Pattern Image Note
TS28: midbrain Present UC Davis_1857189

Specimen UC Davis_1857191: postnatal adult; Phpt1tm1.1(KOMP)Vlcg/Phpt1+ (more )
Structure Level Pattern Image Note
TS28: cerebellum Present UC Davis_1857191

Specimen UC Davis_1857192: postnatal adult; Phpt1tm1.1(KOMP)Vlcg/Phpt1+ (more )
Structure Level Pattern Image Note
TS28: trigeminal nerve Present UC Davis_1857192

Specimen UC Davis_1857193: postnatal adult; Phpt1tm1.1(KOMP)Vlcg/Phpt1+ (more )
Structure Level Pattern Image Note
TS28: ovary Present UC Davis_1857193

Specimen UC Davis_1857194: postnatal adult; Phpt1tm1.1(KOMP)Vlcg/Phpt1+ (more )
Structure Level Pattern Image Note
TS28: ovary Present UC Davis_1857194

Specimen UC Davis_1857195: postnatal adult; Phpt1tm1.1(KOMP)Vlcg/Phpt1+ (more )
Structure Level Pattern Image Note
TS28: oviduct Present UC Davis_1857195

Specimen UC Davis_1857196: postnatal adult; Phpt1tm1.1(KOMP)Vlcg/Phpt1+ (more )
Structure Level Pattern Image Note
TS28: oviduct Present UC Davis_1857196

Specimen UC Davis_1857197: postnatal adult; Phpt1tm1.1(KOMP)Vlcg/Phpt1+ (more )
Structure Level Pattern Image Note
TS28: uterus Present UC Davis_1857197

Specimen UC Davis_1857198: postnatal adult; Phpt1tm1.1(KOMP)Vlcg/Phpt1+ (more )
Structure Level Pattern Image Note
TS28: uterus Present UC Davis_1857198

Specimen UC Davis_1857199: postnatal adult; Phpt1tm1.1(KOMP)Vlcg/Phpt1+ (more )
Structure Level Pattern Image Note
TS28: vagina Present UC Davis_1857199

Specimen UC Davis_1857200: postnatal adult; Phpt1tm1.1(KOMP)Vlcg/Phpt1+ (more )
Structure Level Pattern Image Note
TS28: vagina Present UC Davis_1857200

Specimen UC Davis_1857201: postnatal adult; Phpt1tm1.1(KOMP)Vlcg/Phpt1+ (more )
Structure Level Pattern Image Note
TS28: bladder Present UC Davis_1857201

Specimen UC Davis_1857202: postnatal adult; Phpt1tm1.1(KOMP)Vlcg/Phpt1+ (more )
Structure Level Pattern Image Note
TS28: bladder Present UC Davis_1857202

Specimen UC Davis_1857255: postnatal adult; Phpt1tm1.1(KOMP)Vlcg/Phpt1+ (more )
Structure Level Pattern Image Note
TS28: ovary Present UC Davis_1857255

Specimen UC Davis_1857256: postnatal adult; Phpt1tm1.1(KOMP)Vlcg/Phpt1+ (more )
Structure Level Pattern Image Note
TS28: oviduct Present UC Davis_1857256

Specimen UC Davis_1857257: postnatal adult; Phpt1tm1.1(KOMP)Vlcg/Phpt1+ (more )
Structure Level Pattern Image Note
TS28: uterus Present UC Davis_1857257

Specimen UC Davis_1857012: postnatal adult; Phpt1tm1.1(KOMP)Vlcg/Phpt1+ (more )
Structure Level Pattern Image Note
TS28: submandibular gland Present UC Davis_1857012

Specimen UC Davis_1857013: postnatal adult; Phpt1tm1.1(KOMP)Vlcg/Phpt1+ (more )
Structure Level Pattern Image Note
TS28: submandibular gland Present UC Davis_1857013

Specimen UC Davis_1857014: postnatal adult; Phpt1tm1.1(KOMP)Vlcg/Phpt1+ (more )
Structure Level Pattern Image Note
TS28: submandibular gland Present UC Davis_1857014

Specimen UC Davis_1857015: postnatal adult; Phpt1tm1.1(KOMP)Vlcg/Phpt1+ (more )
Structure Level Pattern Image Note
TS28: sublingual gland Present UC Davis_1857015

Specimen UC Davis_1857016: postnatal adult; Phpt1tm1.1(KOMP)Vlcg/Phpt1+ (more )
Structure Level Pattern Image Note
TS28: sublingual gland Present UC Davis_1857016

Specimen UC Davis_1857017: postnatal adult; Phpt1tm1.1(KOMP)Vlcg/Phpt1+ (more )
Structure Level Pattern Image Note
TS28: parotid gland Present UC Davis_1857017

Specimen UC Davis_1857018: postnatal adult; Phpt1tm1.1(KOMP)Vlcg/Phpt1+ (more )
Structure Level Pattern Image Note
TS28: trachea Present UC Davis_1857018

Specimen UC Davis_1857019: postnatal adult; Phpt1tm1.1(KOMP)Vlcg/Phpt1+ (more )
Structure Level Pattern Image Note
TS28: trachea Present UC Davis_1857019

Specimen UC Davis_1857020: postnatal adult; Phpt1tm1.1(KOMP)Vlcg/Phpt1+ (more )
Structure Level Pattern Image Note
TS28: esophagus Present UC Davis_1857020

Specimen UC Davis_1857021: postnatal adult; Phpt1tm1.1(KOMP)Vlcg/Phpt1+ (more )
Structure Level Pattern Image Note
TS28: esophagus Present UC Davis_1857021

Specimen UC Davis_1857022: postnatal adult; Phpt1tm1.1(KOMP)Vlcg/Phpt1+ (more )
Structure Level Pattern Image Note
TS28: thyroid gland Present UC Davis_1857022

Specimen UC Davis_1857024: postnatal adult; Phpt1tm1.1(KOMP)Vlcg/Phpt1+ (more )
Structure Level Pattern Image Note
TS28: aorta Present UC Davis_1857024

Specimen UC Davis_1857025: postnatal adult; Phpt1tm1.1(KOMP)Vlcg/Phpt1+ (more )
Structure Level Pattern Image Note
TS28: aorta Present UC Davis_1857025

Specimen UC Davis_1857026: postnatal adult; Phpt1tm1.1(KOMP)Vlcg/Phpt1+ (more )
Structure Level Pattern Image Note
TS28: lung Present UC Davis_1857026

Specimen UC Davis_1857027: postnatal adult; Phpt1tm1.1(KOMP)Vlcg/Phpt1+ (more )
Structure Level Pattern Image Note
TS28: lung Present UC Davis_1857027

Specimen UC Davis_1857028: postnatal adult; Phpt1tm1.1(KOMP)Vlcg/Phpt1+ (more )
Structure Level Pattern Image Note
TS28: lung Present UC Davis_1857028

Specimen UC Davis_1857029: postnatal adult; Phpt1tm1.1(KOMP)Vlcg/Phpt1+ (more )
Structure Level Pattern Image Note
TS28: thymus Present UC Davis_1857029

Specimen UC Davis_1857030: postnatal adult; Phpt1tm1.1(KOMP)Vlcg/Phpt1+ (more )
Structure Level Pattern Image Note
TS28: thymus Present UC Davis_1857030

Specimen UC Davis_1857035: postnatal adult; Phpt1tm1.1(KOMP)Vlcg/Phpt1+ (more )
Structure Level Pattern Image Note
TS28: stomach Present UC Davis_1857035

Specimen UC Davis_1857036: postnatal adult; Phpt1tm1.1(KOMP)Vlcg/Phpt1+ (more )
Structure Level Pattern Image Note
TS28: stomach Present UC Davis_1857036

Specimen UC Davis_1857037: postnatal adult; Phpt1tm1.1(KOMP)Vlcg/Phpt1+ (more )
Structure Level Pattern Image Note
TS28: stomach Present UC Davis_1857037

Specimen UC Davis_1857038: postnatal adult; Phpt1tm1.1(KOMP)Vlcg/Phpt1+ (more )
Structure Level Pattern Image Note
TS28: duodenum Present UC Davis_1857038

Specimen UC Davis_1857039: postnatal adult; Phpt1tm1.1(KOMP)Vlcg/Phpt1+ (more )
Structure Level Pattern Image Note
TS28: duodenum Present UC Davis_1857039

Specimen UC Davis_1857040: postnatal adult; Phpt1tm1.1(KOMP)Vlcg/Phpt1+ (more )
Structure Level Pattern Image Note
TS28: jejunum Present UC Davis_1857040

Specimen UC Davis_1857041: postnatal adult; Phpt1tm1.1(KOMP)Vlcg/Phpt1+ (more )
Structure Level Pattern Image Note
TS28: jejunum Present UC Davis_1857041

Specimen UC Davis_1857042: postnatal adult; Phpt1tm1.1(KOMP)Vlcg/Phpt1+ (more )
Structure Level Pattern Image Note
TS28: ileum Present UC Davis_1857042

Specimen UC Davis_1857043: postnatal adult; Phpt1tm1.1(KOMP)Vlcg/Phpt1+ (more )
Structure Level Pattern Image Note
TS28: ileum Present UC Davis_1857043

Specimen UC Davis_1857044: postnatal adult; Phpt1tm1.1(KOMP)Vlcg/Phpt1+ (more )
Structure Level Pattern Image Note
TS28: colon Present UC Davis_1857044

Specimen UC Davis_1857045: postnatal adult; Phpt1tm1.1(KOMP)Vlcg/Phpt1+ (more )
Structure Level Pattern Image Note
TS28: colon Present UC Davis_1857045

Specimen UC Davis_1857046: postnatal adult; Phpt1tm1.1(KOMP)Vlcg/Phpt1+ (more )
Structure Level Pattern Image Note
TS28: colon Present UC Davis_1857046

Specimen UC Davis_1857047: postnatal adult; Phpt1tm1.1(KOMP)Vlcg/Phpt1+ (more )
Structure Level Pattern Image Note
TS28: cecum Present UC Davis_1857047

Specimen UC Davis_1857048: postnatal adult; Phpt1tm1.1(KOMP)Vlcg/Phpt1+ (more )
Structure Level Pattern Image Note
TS28: spleen Present UC Davis_1857048

Specimen UC Davis_1857049: postnatal adult; Phpt1tm1.1(KOMP)Vlcg/Phpt1+ (more )
Structure Level Pattern Image Note
TS28: spleen Present UC Davis_1857049

Specimen UC Davis_1857050: postnatal adult; Phpt1tm1.1(KOMP)Vlcg/Phpt1+ (more )
Structure Level Pattern Image Note
TS28: pancreas Present UC Davis_1857050

Specimen UC Davis_1857051: postnatal adult; Phpt1tm1.1(KOMP)Vlcg/Phpt1+ (more )
Structure Level Pattern Image Note
TS28: pancreas Present UC Davis_1857051

Specimen UC Davis_1857052: postnatal adult; Phpt1tm1.1(KOMP)Vlcg/Phpt1+ (more )
Structure Level Pattern Image Note
TS28: liver Present UC Davis_1857052

Specimen UC Davis_1857053: postnatal adult; Phpt1tm1.1(KOMP)Vlcg/Phpt1+ (more )
Structure Level Pattern Image Note
TS28: liver Present UC Davis_1857053

Specimen UC Davis_1857054: postnatal adult; Phpt1tm1.1(KOMP)Vlcg/Phpt1+ (more )
Structure Level Pattern Image Note
TS28: liver Present UC Davis_1857054

Specimen UC Davis_1857055: postnatal adult; Phpt1tm1.1(KOMP)Vlcg/Phpt1+ (more )
Structure Level Pattern Image Note
TS28: liver Present UC Davis_1857055

Specimen UC Davis_1857056: postnatal adult; Phpt1tm1.1(KOMP)Vlcg/Phpt1+ (more )
Structure Level Pattern Image Note
TS28: metanephros Present UC Davis_1857056 kidney

Specimen UC Davis_1857057: postnatal adult; Phpt1tm1.1(KOMP)Vlcg/Phpt1+ (more )
Structure Level Pattern Image Note
TS28: metanephros Present UC Davis_1857057 kidney

Specimen UC Davis_1857058: postnatal adult; Phpt1tm1.1(KOMP)Vlcg/Phpt1+ (more )
Structure Level Pattern Image Note
TS28: metanephros Present UC Davis_1857058 kidney

Specimen UC Davis_1857059: postnatal adult; Phpt1tm1.1(KOMP)Vlcg/Phpt1+ (more )
Structure Level Pattern Image Note
TS28: metanephros Present UC Davis_1857059 kidney

Specimen UC Davis_1857060: postnatal adult; Phpt1tm1.1(KOMP)Vlcg/Phpt1+ (more )
Structure Level Pattern Image Note
TS28: metanephros Present UC Davis_1857060 kidney

Specimen UC Davis_1857061: postnatal adult; Phpt1tm1.1(KOMP)Vlcg/Phpt1+ (more )
Structure Level Pattern Image Note
TS28: quadriceps femoris muscle Present UC Davis_1857061

Specimen UC Davis_1857062: postnatal adult; Phpt1tm1.1(KOMP)Vlcg/Phpt1+ (more )
Structure Level Pattern Image Note
TS28: quadriceps femoris muscle Present UC Davis_1857062

Specimen UC Davis_1857063: postnatal adult; Phpt1tm1.1(KOMP)Vlcg/Phpt1+ (more )
Structure Level Pattern Image Note
TS28: sciatic nerve Present UC Davis_1857063

Specimen UC Davis_1857064: postnatal adult; Phpt1tm1.1(KOMP)Vlcg/Phpt1+ (more )
Structure Level Pattern Image Note
TS28: sciatic nerve Present UC Davis_1857064

Specimen UC Davis_1857065: postnatal adult; Phpt1tm1.1(KOMP)Vlcg/Phpt1+ (more )
Structure Level Pattern Image Note
TS28: sciatic nerve Present UC Davis_1857065

Specimen UC Davis_1857066: postnatal adult; Phpt1tm1.1(KOMP)Vlcg/Phpt1+ (more )
Structure Level Pattern Image Note
TS28: tongue Present UC Davis_1857066

Specimen UC Davis_1857067: postnatal adult; Phpt1tm1.1(KOMP)Vlcg/Phpt1+ (more )
Structure Level Pattern Image Note
TS28: tongue Present UC Davis_1857067

Specimen UC Davis_1857068: postnatal adult; Phpt1tm1.1(KOMP)Vlcg/Phpt1+ (more )
Structure Level Pattern Image Note
TS28: tongue Present UC Davis_1857068

Specimen UC Davis_1857069: postnatal adult; Phpt1tm1.1(KOMP)Vlcg/Phpt1+ (more )
Structure Level Pattern Image Note
TS28: diaphragm Present UC Davis_1857069

Specimen UC Davis_1857070: postnatal adult; Phpt1tm1.1(KOMP)Vlcg/Phpt1+ (more )
Structure Level Pattern Image Note
TS28: adrenal gland Present UC Davis_1857070

Specimen UC Davis_1857071: postnatal adult; Phpt1tm1.1(KOMP)Vlcg/Phpt1+ (more )
Structure Level Pattern Image Note
TS28: adrenal gland Present UC Davis_1857071

Specimen UC Davis_1857072: postnatal adult; Phpt1tm1.1(KOMP)Vlcg/Phpt1+ (more )
Structure Level Pattern Image Note
TS28: pituitary gland Present UC Davis_1857072

Specimen UC Davis_1857073: postnatal adult; Phpt1tm1.1(KOMP)Vlcg/Phpt1+ (more )
Structure Level Pattern Image Note
TS28: pituitary gland Present UC Davis_1857073

Specimen UC Davis_1857074: postnatal adult; Phpt1tm1.1(KOMP)Vlcg/Phpt1+ (more )
Structure Level Pattern Image Note
TS28: spinal cord Present UC Davis_1857074

Specimen UC Davis_1857075: postnatal adult; Phpt1tm1.1(KOMP)Vlcg/Phpt1+ (more )
Structure Level Pattern Image Note
TS28: spinal cord Present UC Davis_1857075

Specimen UC Davis_1857076: postnatal adult; Phpt1tm1.1(KOMP)Vlcg/Phpt1+ (more )
Structure Level Pattern Image Note
TS28: eye Present UC Davis_1857076

Specimen UC Davis_1857077: postnatal adult; Phpt1tm1.1(KOMP)Vlcg/Phpt1+ (more )
Structure Level Pattern Image Note
TS28: eye Present UC Davis_1857077

Specimen UC Davis_1857078: postnatal adult; Phpt1tm1.1(KOMP)Vlcg/Phpt1+ (more )
Structure Level Pattern Image Note
TS28: eye Present UC Davis_1857078

Specimen UC Davis_1857079: postnatal adult; Phpt1tm1.1(KOMP)Vlcg/Phpt1+ (more )
Structure Level Pattern Image Note
TS28: eye Present UC Davis_1857079

Specimen UC Davis_1857080: postnatal adult; Phpt1tm1.1(KOMP)Vlcg/Phpt1+ (more )
Structure Level Pattern Image Note
TS28: eye Present UC Davis_1857080

Specimen UC Davis_1857081: postnatal adult; Phpt1tm1.1(KOMP)Vlcg/Phpt1+ (more )
Structure Level Pattern Image Note
TS28: eye Present UC Davis_1857081

Specimen UC Davis_1857083: postnatal adult; Phpt1tm1.1(KOMP)Vlcg/Phpt1+ (more )
Structure Level Pattern Image Note
TS28: Harderian gland Present UC Davis_1857083

Specimen UC Davis_1857084: postnatal adult; Phpt1tm1.1(KOMP)Vlcg/Phpt1+ (more )
Structure Level Pattern Image Note
TS28: Harderian gland Present UC Davis_1857084

Specimen UC Davis_1857085: postnatal adult; Phpt1tm1.1(KOMP)Vlcg/Phpt1+ (more )
Structure Level Pattern Image Note
TS28: mesenteric adipose tissue Present UC Davis_1857085

Specimen UC Davis_1857086: postnatal adult; Phpt1tm1.1(KOMP)Vlcg/Phpt1+ (more )
Structure Level Pattern Image Note
TS28: skin Present UC Davis_1857086

Specimen UC Davis_1857087: postnatal adult; Phpt1tm1.1(KOMP)Vlcg/Phpt1+ (more )
Structure Level Pattern Image Note
TS28: skin Present UC Davis_1857087

Specimen UC Davis_1857088: postnatal adult; Phpt1tm1.1(KOMP)Vlcg/Phpt1+ (more )
Structure Level Pattern Image Note
TS28: brown fat Present UC Davis_1857088

Specimen UC Davis_1857089: postnatal adult; Phpt1tm1.1(KOMP)Vlcg/Phpt1+ (more )
Structure Level Pattern Image Note
TS28: brown fat Present UC Davis_1857089

Specimen UC Davis_1857090: postnatal adult; Phpt1tm1.1(KOMP)Vlcg/Phpt1+ (more )
Structure Level Pattern Image Note
TS28: brown fat Present UC Davis_1857090

Specimen UC Davis_1857091: postnatal adult; Phpt1tm1.1(KOMP)Vlcg/Phpt1+ (more )
Structure Level Pattern Image Note
TS28: olfactory lobe Present UC Davis_1857091

Specimen UC Davis_1857095: postnatal adult; Phpt1tm1.1(KOMP)Vlcg/Phpt1+ (more )
Structure Level Pattern Image Note
TS28: midbrain Present UC Davis_1857095

Specimen UC Davis_1857097: postnatal adult; Phpt1tm1.1(KOMP)Vlcg/Phpt1+ (more )
Structure Level Pattern Image Note
TS28: cerebellum Present UC Davis_1857097

Specimen UC Davis_1857098: postnatal adult; Phpt1tm1.1(KOMP)Vlcg/Phpt1+ (more )
Structure Level Pattern Image Note
TS28: cerebellum Present UC Davis_1857098

Specimen UC Davis_1857099: postnatal adult; Phpt1tm1.1(KOMP)Vlcg/Phpt1+ (more )
Structure Level Pattern Image Note
TS28: cerebellum Present UC Davis_1857099

Specimen UC Davis_1857100: postnatal adult; Phpt1tm1.1(KOMP)Vlcg/Phpt1+ (more )
Structure Level Pattern Image Note
TS28: trigeminal nerve Present UC Davis_1857100

Specimen UC Davis_1857101: postnatal adult; Phpt1tm1.1(KOMP)Vlcg/Phpt1+ (more )
Structure Level Pattern Image Note
TS28: trigeminal nerve Present UC Davis_1857101

Specimen UC Davis_1857102: postnatal adult; Phpt1tm1.1(KOMP)Vlcg/Phpt1+ (more )
Structure Level Pattern Image Note
TS28: bladder Present UC Davis_1857102

Specimen UC Davis_1857103: postnatal adult; Phpt1tm1.1(KOMP)Vlcg/Phpt1+ (more )
Structure Level Pattern Image Note
TS28: bladder Present UC Davis_1857103

Specimen UC Davis_1857104: postnatal adult; Phpt1tm1.1(KOMP)Vlcg/Phpt1+ (more )
Structure Level Pattern Image Note
TS28: testis Present UC Davis_1857104

Specimen UC Davis_1857105: postnatal adult; Phpt1tm1.1(KOMP)Vlcg/Phpt1+ (more )
Structure Level Pattern Image Note
TS28: testis Present UC Davis_1857105

Specimen UC Davis_1857106: postnatal adult; Phpt1tm1.1(KOMP)Vlcg/Phpt1+ (more )
Structure Level Pattern Image Note
TS28: testis Present UC Davis_1857106

Specimen UC Davis_1857107: postnatal adult; Phpt1tm1.1(KOMP)Vlcg/Phpt1+ (more )
Structure Level Pattern Image Note
TS28: epididymis Present UC Davis_1857107

Specimen UC Davis_1857108: postnatal adult; Phpt1tm1.1(KOMP)Vlcg/Phpt1+ (more )
Structure Level Pattern Image Note
TS28: epididymis Present UC Davis_1857108

Specimen UC Davis_1857109: postnatal adult; Phpt1tm1.1(KOMP)Vlcg/Phpt1+ (more )
Structure Level Pattern Image Note
TS28: prostate gland Present UC Davis_1857109

Specimen UC Davis_1857110: postnatal adult; Phpt1tm1.1(KOMP)Vlcg/Phpt1+ (more )
Structure Level Pattern Image Note
TS28: penis Present UC Davis_1857110

Specimen UC Davis_1857111: postnatal adult; Phpt1tm1.1(KOMP)Vlcg/Phpt1+ (more )
Structure Level Pattern Image Note
TS28: penis Present UC Davis_1857111

Specimen UC Davis_1857112: postnatal adult; Phpt1tm1.1(KOMP)Vlcg/Phpt1+ (more )
Structure Level Pattern Image Note
TS28: penis Present UC Davis_1857112

Specimen UC Davis_1857113: postnatal adult; Phpt1tm1.1(KOMP)Vlcg/Phpt1+ (more )
Structure Level Pattern Image Note
TS28: ductus deferens Present UC Davis_1857113 vas deferens

Specimen UC Davis_1857114: postnatal adult; Phpt1tm1.1(KOMP)Vlcg/Phpt1+ (more )
Structure Level Pattern Image Note
TS28: ductus deferens Present UC Davis_1857114 vas deferens

Specimen UC Davis_1857118: postnatal adult; Phpt1tm1.1(KOMP)Vlcg/Phpt1+ (more )
Structure Level Pattern Image Note
TS28: seminal vesicle Present UC Davis_1857118 vesicular gland

Specimen UC Davis_1857119: postnatal adult; Phpt1tm1.1(KOMP)Vlcg/Phpt1+ (more )
Structure Level Pattern Image Note
TS28: seminal vesicle Present UC Davis_1857119 vesicular gland

Specimen UC Davis_1857208: postnatal adult; Phpt1tm1.1(KOMP)Vlcg/Phpt1+ (more )
Structure Level Pattern Image Note
TS28: tongue Present UC Davis_1857208

Specimen UC Davis_1857209: postnatal adult; Phpt1tm1.1(KOMP)Vlcg/Phpt1+ (more )
Structure Level Pattern Image Note
TS28: spleen Present UC Davis_1857209

Specimen UC Davis_1857210: postnatal adult; Phpt1tm1.1(KOMP)Vlcg/Phpt1+ (more )
Structure Level Pattern Image Note
TS28: pancreas Present UC Davis_1857210

Specimen UC Davis_1857211: postnatal adult; Phpt1tm1.1(KOMP)Vlcg/Phpt1+ (more )
Structure Level Pattern Image Note
TS28: quadriceps femoris muscle Present UC Davis_1857211

Specimen UC Davis_1857212: postnatal adult; Phpt1tm1.1(KOMP)Vlcg/Phpt1+ (more )
Structure Level Pattern Image Note
TS28: olfactory lobe Present UC Davis_1857212

Specimen UC Davis_1857215: postnatal adult; Phpt1tm1.1(KOMP)Vlcg/Phpt1+ (more )
Structure Level Pattern Image Note
TS28: midbrain Present UC Davis_1857215

Specimen UC Davis_1857217: postnatal adult; Phpt1tm1.1(KOMP)Vlcg/Phpt1+ (more )
Structure Level Pattern Image Note
TS28: cerebellum Present UC Davis_1857217

Specimen UC Davis_1857218: postnatal adult; Phpt1tm1.1(KOMP)Vlcg/Phpt1+ (more )
Structure Level Pattern Image Note
TS28: brain Present UC Davis_1857218

Specimen UC Davis_1857220: postnatal adult; Phpt1tm1.1(KOMP)Vlcg/Phpt1+ (more )
Structure Level Pattern Image Note
TS28: lung Present UC Davis_1857220

Specimen UC Davis_1857221: postnatal adult; Phpt1tm1.1(KOMP)Vlcg/Phpt1+ (more )
Structure Level Pattern Image Note
TS28: aorta Present UC Davis_1857221

Specimen UC Davis_1857223: postnatal adult; Phpt1tm1.1(KOMP)Vlcg/Phpt1+ (more )
Structure Level Pattern Image Note
TS28: thymus Present UC Davis_1857223

Specimen UC Davis_1857224: postnatal adult; Phpt1tm1.1(KOMP)Vlcg/Phpt1+ (more )
Structure Level Pattern Image Note
TS28: metanephros Present UC Davis_1857224 kidney

Specimen UC Davis_1857225: postnatal adult; Phpt1tm1.1(KOMP)Vlcg/Phpt1+ (more )
Structure Level Pattern Image Note
TS28: liver Present UC Davis_1857225

Specimen UC Davis_1857226: postnatal adult; Phpt1tm1.1(KOMP)Vlcg/Phpt1+ (more )
Structure Level Pattern Image Note
TS28: diaphragm Present UC Davis_1857226

Specimen UC Davis_1857227: postnatal adult; Phpt1tm1.1(KOMP)Vlcg/Phpt1+ (more )
Structure Level Pattern Image Note
TS28: skin Present UC Davis_1857227

Specimen UC Davis_1857229: postnatal adult; Phpt1tm1.1(KOMP)Vlcg/Phpt1+ (more )
Structure Level Pattern Image Note
TS28: trachea Present UC Davis_1857229

Specimen UC Davis_1857231: postnatal adult; Phpt1tm1.1(KOMP)Vlcg/Phpt1+ (more )
Structure Level Pattern Image Note
TS28: esophagus Present UC Davis_1857231

Specimen UC Davis_1857232: postnatal adult; Phpt1tm1.1(KOMP)Vlcg/Phpt1+ (more )
Structure Level Pattern Image Note
TS28: thyroid gland Present UC Davis_1857232

Specimen UC Davis_1857233: postnatal adult; Phpt1tm1.1(KOMP)Vlcg/Phpt1+ (more )
Structure Level Pattern Image Note
TS28: spinal cord Present UC Davis_1857233

Specimen UC Davis_1857234: postnatal adult; Phpt1tm1.1(KOMP)Vlcg/Phpt1+ (more )
Structure Level Pattern Image Note
TS28: pituitary gland Present UC Davis_1857234

Specimen UC Davis_1857235: postnatal adult; Phpt1tm1.1(KOMP)Vlcg/Phpt1+ (more )
Structure Level Pattern Image Note
TS28: eye Present UC Davis_1857235

Specimen UC Davis_1857236: postnatal adult; Phpt1tm1.1(KOMP)Vlcg/Phpt1+ (more )
Structure Level Pattern Image Note
TS28: Harderian gland Present UC Davis_1857236

Specimen UC Davis_1857237: postnatal adult; Phpt1tm1.1(KOMP)Vlcg/Phpt1+ (more )
Structure Level Pattern Image Note
TS28: stomach Present UC Davis_1857237

Specimen UC Davis_1857238: postnatal adult; Phpt1tm1.1(KOMP)Vlcg/Phpt1+ (more )
Structure Level Pattern Image Note
TS28: duodenum Present UC Davis_1857238

Specimen UC Davis_1857239: postnatal adult; Phpt1tm1.1(KOMP)Vlcg/Phpt1+ (more )
Structure Level Pattern Image Note
TS28: jejunum Present UC Davis_1857239

Specimen UC Davis_1857240: postnatal adult; Phpt1tm1.1(KOMP)Vlcg/Phpt1+ (more )
Structure Level Pattern Image Note
TS28: ileum Present UC Davis_1857240

Specimen UC Davis_1857241: postnatal adult; Phpt1tm1.1(KOMP)Vlcg/Phpt1+ (more )
Structure Level Pattern Image Note
TS28: cecum Present UC Davis_1857241

Specimen UC Davis_1857242: postnatal adult; Phpt1tm1.1(KOMP)Vlcg/Phpt1+ (more )
Structure Level Pattern Image Note
TS28: colon Present UC Davis_1857242

Specimen UC Davis_1857243: postnatal adult; Phpt1tm1.1(KOMP)Vlcg/Phpt1+ (more )
Structure Level Pattern Image Note
TS28: mesenteric lymph node Present UC Davis_1857243

Specimen UC Davis_1857244: postnatal adult; Phpt1tm1.1(KOMP)Vlcg/Phpt1+ (more )
Structure Level Pattern Image Note
TS28: mesenteric adipose tissue Present UC Davis_1857244

Specimen UC Davis_1857245: postnatal adult; Phpt1tm1.1(KOMP)Vlcg/Phpt1+ (more )
Structure Level Pattern Image Note
TS28: bladder Present UC Davis_1857245

Specimen UC Davis_1857246: postnatal adult; Phpt1tm1.1(KOMP)Vlcg/Phpt1+ (more )
Structure Level Pattern Image Note
TS28: prostate gland Present UC Davis_1857246

Specimen UC Davis_1857247: postnatal adult; Phpt1tm1.1(KOMP)Vlcg/Phpt1+ (more )
Structure Level Pattern Image Note
TS28: seminal vesicle Present UC Davis_1857247 vesicular gland

Specimen UC Davis_1857248: postnatal adult; Phpt1tm1.1(KOMP)Vlcg/Phpt1+ (more )
Structure Level Pattern Image Note
TS28: penis Present UC Davis_1857248

Specimen UC Davis_1857250: postnatal adult; Phpt1tm1.1(KOMP)Vlcg/Phpt1+ (more )
Structure Level Pattern Image Note
TS28: gallbladder Present UC Davis_1857250

Specimen UC Davis_1857251: postnatal adult; Phpt1tm1.1(KOMP)Vlcg/Phpt1+ (more )
Structure Level Pattern Image Note
TS28: thoracic segment skeleton Present UC Davis_1857251 chest bone

Specimen UC Davis_1857253: postnatal adult; Phpt1tm1.1(KOMP)Vlcg/Phpt1+ (more )
Structure Level Pattern Image Note
TS28: parathyroid gland Present UC Davis_1857253


Contributing Projects:
Mouse Genome Database (MGD), Gene Expression Database (GXD), Mouse Models of Human Cancer database (MMHCdb) (formerly Mouse Tumor Biology (MTB)), Gene Ontology (GO)
Citing These Resources
Funding Information
Warranty Disclaimer, Privacy Notice, Licensing, & Copyright
Send questions and comments to User Support.
last database update
01/20/2026
MGI 6.24
The Jackson Laboratory