About   Help   FAQ
Gene Expression Data
Assay Details
Assay
Reference: J:228563 Koscielny G, et al., The International Mouse Phenotyping Consortium Web Portal, a unified point of access for knockout mice and related phenotyping data. Nucleic Acids Res. 2014 Jan;42(Database issue):D802-9
Assay type: In situ reporter (knock in)
MGI Accession ID: MGI:6692115
Gene symbol: 4930563E22Rik
Gene name: RIKEN cDNA 4930563E22 gene
Reporter: lacZ
Direct Detection
Results
Specimen JAX_1262571: embryonic day 12.5; 4930563E22Riktm1.1(KOMP)Vlcg/4930563E22Rik+ (more )
Structure Level Pattern Image Note
TS20: embryo Present JAX_1262571

Specimen JAX_1262573: embryonic day 12.5; 4930563E22Riktm1.1(KOMP)Vlcg/4930563E22Rik+ (more )
Structure Level Pattern Image Note
TS20: embryo Present JAX_1262573

Specimen JAX_1262575: embryonic day 12.5; 4930563E22Riktm1.1(KOMP)Vlcg/4930563E22Rik+ (more )
Structure Level Pattern Image Note
TS20: embryo Present JAX_1262575

Specimen JAX_1262577: embryonic day 12.5; 4930563E22Riktm1.1(KOMP)Vlcg/4930563E22Rik+ (more )
Structure Level Pattern Image Note
TS20: embryo Present JAX_1262577

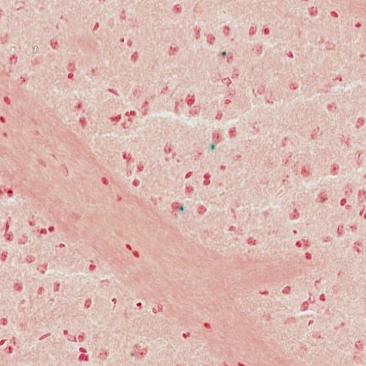
Specimen JAX_1625559: postnatal adult; 4930563E22Riktm1.1(KOMP)Vlcg/4930563E22Rik+ (more )
Structure Level Pattern Image Note
TS28: thalamus Present JAX_1625559

Specimen JAX_1625560: postnatal adult; 4930563E22Riktm1.1(KOMP)Vlcg/4930563E22Rik+ (more )
Structure Level Pattern Image Note
TS28: hypothalamus Present JAX_1625560

Specimen JAX_1625561: postnatal adult; 4930563E22Riktm1.1(KOMP)Vlcg/4930563E22Rik+ (more )
Structure Level Pattern Image Note
TS28: cerebellum Present JAX_1625561

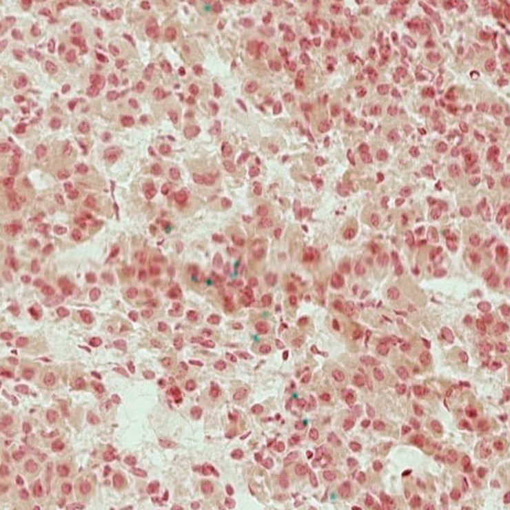
Specimen JAX_1625562: postnatal adult; 4930563E22Riktm1.1(KOMP)Vlcg/4930563E22Rik+ (more )
Structure Level Pattern Image Note
TS28: pancreas Present JAX_1625562

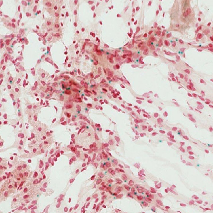
Specimen JAX_1625563: postnatal adult; 4930563E22Riktm1.1(KOMP)Vlcg/4930563E22Rik+ (more )
Structure Level Pattern Image Note
TS28: spinal cord Present JAX_1625563

Specimen JAX_1625564: postnatal adult; 4930563E22Riktm1.1(KOMP)Vlcg/4930563E22Rik+ (more )
Structure Level Pattern Image Note
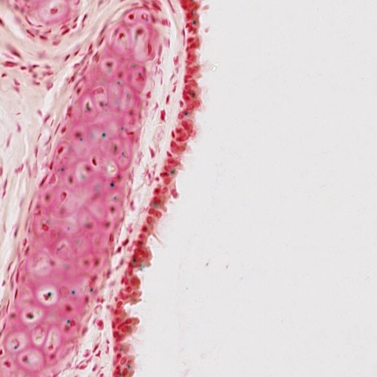
TS28: trachea Present JAX_1625564

Specimen JAX_1625565: postnatal adult; 4930563E22Riktm1.1(KOMP)Vlcg/4930563E22Rik+ (more )
Structure Level Pattern Image Note
TS28: oviduct Present JAX_1625565

Specimen JAX_1625566: postnatal adult; 4930563E22Riktm1.1(KOMP)Vlcg/4930563E22Rik+ (more )
Structure Level Pattern Image Note
TS28: ovary Present JAX_1625566

Specimen JAX_1625567: postnatal adult; 4930563E22Riktm1.1(KOMP)Vlcg/4930563E22Rik+ (more )
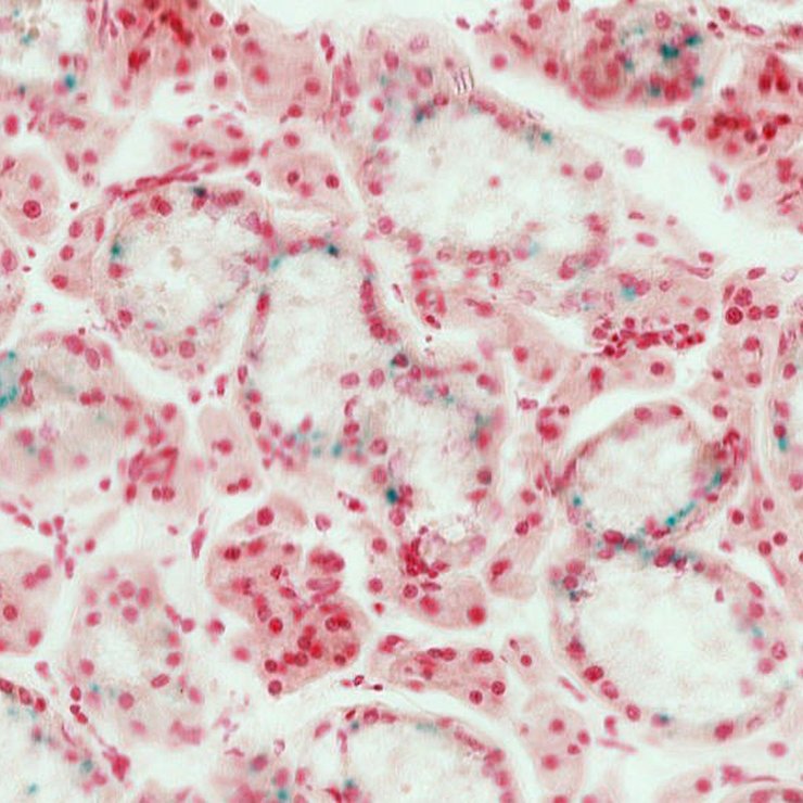
Structure Level Pattern Image Note
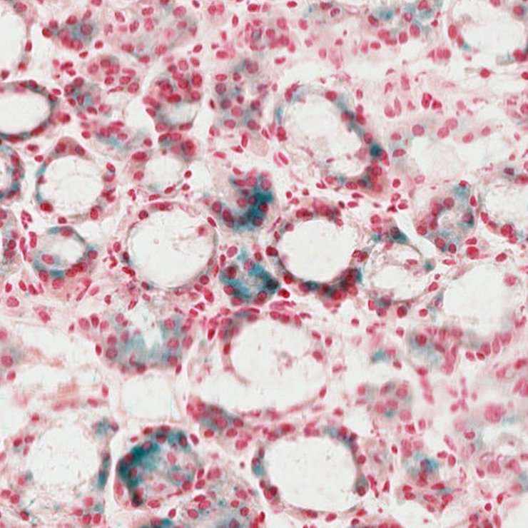
TS28: metanephros Present JAX_1625567 kidney

Specimen JAX_1625568: postnatal adult; 4930563E22Riktm1.1(KOMP)Vlcg/4930563E22Rik+ (more )
Structure Level Pattern Image Note
TS28: eye Present JAX_1625568

Specimen JAX_1625569: postnatal adult; 4930563E22Riktm1.1(KOMP)Vlcg/4930563E22Rik+ (more )
Structure Level Pattern Image Note
TS28: midbrain Present JAX_1625569

Specimen JAX_1625570: postnatal adult; 4930563E22Riktm1.1(KOMP)Vlcg/4930563E22Rik+ (more )
Structure Level Pattern Image Note
TS28: epididymis Present JAX_1625570

Specimen JAX_1625571: postnatal adult; 4930563E22Riktm1.1(KOMP)Vlcg/4930563E22Rik+ (more )
Structure Level Pattern Image Note
TS28: submandibular gland Present JAX_1625571

Specimen JAX_1625572: postnatal adult; 4930563E22Riktm1.1(KOMP)Vlcg/4930563E22Rik+ (more )
Structure Level Pattern Image Note
TS28: corpus striatum Present JAX_1625572

Specimen JAX_1625573: postnatal adult; 4930563E22Riktm1.1(KOMP)Vlcg/4930563E22Rik+ (more )
Structure Level Pattern Image Note
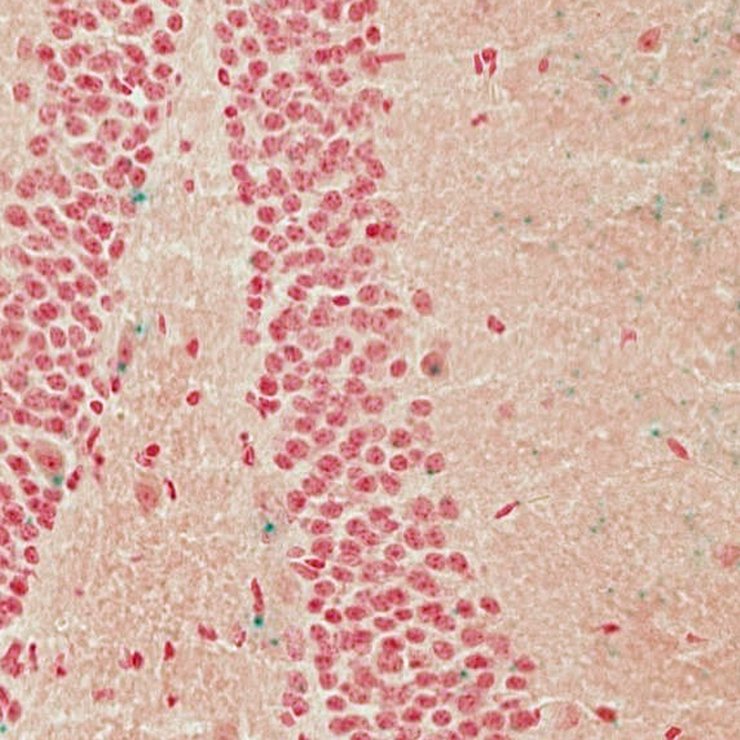
TS28: hippocampus Present JAX_1625573

Specimen JAX_1625574: postnatal adult; 4930563E22Riktm1.1(KOMP)Vlcg/4930563E22Rik+ (more )
Structure Level Pattern Image Note
TS28: cerebral cortex Present JAX_1625574

Specimen JAX_1625575: postnatal adult; 4930563E22Riktm1.1(KOMP)Vlcg/4930563E22Rik+ (more )
Structure Level Pattern Image Note
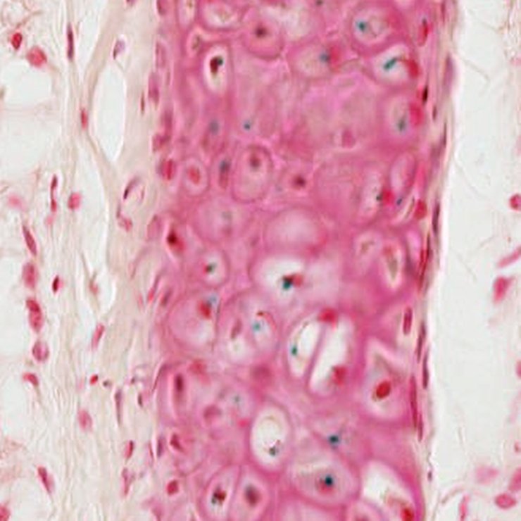
TS28: cartilage Present JAX_1625575

Specimen JAX_1625576: postnatal adult; 4930563E22Riktm1.1(KOMP)Vlcg/4930563E22Rik+ (more )
Structure Level Pattern Image Note
TS28: brainstem Present JAX_1625576

Specimen JAX_1625577: postnatal adult; 4930563E22Riktm1.1(KOMP)Vlcg/4930563E22Rik+ (more )
Structure Level Pattern Image Note
TS28: small intestine Present JAX_1625577

Specimen JAX_1625578: postnatal adult; 4930563E22Riktm1.1(KOMP)Vlcg/4930563E22Rik+ (more )
Structure Level Pattern Image Note
TS28: pituitary gland Present JAX_1625578

Specimen JAX_1625579: postnatal adult; 4930563E22Riktm1.1(KOMP)Vlcg/4930563E22Rik+ (more )
Structure Level Pattern Image Note
TS28: thyroid gland Present JAX_1625579

Specimen JAX_1625580: postnatal adult; 4930563E22Riktm1.1(KOMP)Vlcg/4930563E22Rik+ (more )
Structure Level Pattern Image Note
TS28: large intestine Present JAX_1625580

Specimen JAX_1625581: postnatal adult; 4930563E22Riktm1.1(KOMP)Vlcg/4930563E22Rik+ (more )
Structure Level Pattern Image Note
TS28: thymus Present JAX_1625581

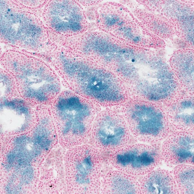
Specimen JAX_1625582: postnatal adult; 4930563E22Riktm1.1(KOMP)Vlcg/4930563E22Rik+ (more )
Structure Level Pattern Image Note
TS28: testis Present JAX_1625582

Specimen JAX_1625583: postnatal adult; 4930563E22Riktm1.1(KOMP)Vlcg/4930563E22Rik+ (more )
Structure Level Pattern Image Note
TS28: stomach Present JAX_1625583

Specimen JAX_1625584: postnatal adult; 4930563E22Riktm1.1(KOMP)Vlcg/4930563E22Rik+ (more )
Structure Level Pattern Image Note
TS28: brain Present JAX_1625584


Contributing Projects:
Mouse Genome Database (MGD), Gene Expression Database (GXD), Mouse Models of Human Cancer database (MMHCdb) (formerly Mouse Tumor Biology (MTB)), Gene Ontology (GO)
Citing These Resources
Funding Information
Warranty Disclaimer, Privacy Notice, Licensing, & Copyright
Send questions and comments to User Support.
last database update
01/28/2026
MGI 6.24
The Jackson Laboratory